About   Help   FAQ
Gene Expression Data
Assay Details
Assay
Reference: J:228563 Koscielny G, et al., The International Mouse Phenotyping Consortium Web Portal, a unified point of access for knockout mice and related phenotyping data. Nucleic Acids Res. 2014 Jan;42(Database issue):D802-9
Assay type: In situ reporter (knock in)
MGI Accession ID: MGI:6691288
Gene symbol: Rasd1
Gene name: RAS, dexamethasone-induced 1
Reporter: lacZ
Direct Detection
Results
Specimen UC Davis_1865852: postnatal adult; Rasd1tm1.1(KOMP)Vlcg/Rasd1+ (more )
Structure Level Pattern Image Note
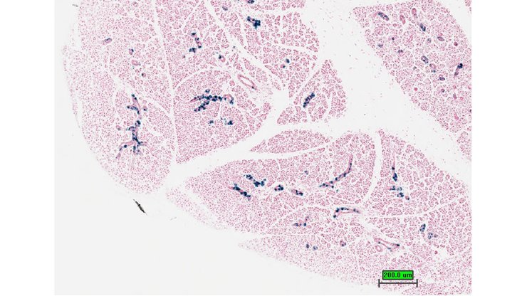
TS28: submandibular gland Present UC Davis_1865852

Specimen UC Davis_1865853: postnatal adult; Rasd1tm1.1(KOMP)Vlcg/Rasd1+ (more )
Structure Level Pattern Image Note
TS28: submandibular gland Present UC Davis_1865853

Specimen UC Davis_1865854: postnatal adult; Rasd1tm1.1(KOMP)Vlcg/Rasd1+ (more )
Structure Level Pattern Image Note
TS28: sublingual gland Present UC Davis_1865854

Specimen UC Davis_1865855: postnatal adult; Rasd1tm1.1(KOMP)Vlcg/Rasd1+ (more )
Structure Level Pattern Image Note
TS28: sublingual gland Present UC Davis_1865855

Specimen UC Davis_1865856: postnatal adult; Rasd1tm1.1(KOMP)Vlcg/Rasd1+ (more )
Structure Level Pattern Image Note
TS28: sublingual gland Present UC Davis_1865856

Specimen UC Davis_1865857: postnatal adult; Rasd1tm1.1(KOMP)Vlcg/Rasd1+ (more )
Structure Level Pattern Image Note
TS28: parotid gland Present UC Davis_1865857

Specimen UC Davis_1865858: postnatal adult; Rasd1tm1.1(KOMP)Vlcg/Rasd1+ (more )
Structure Level Pattern Image Note
TS28: parotid gland Present UC Davis_1865858

Specimen UC Davis_1865860: postnatal adult; Rasd1tm1.1(KOMP)Vlcg/Rasd1+ (more )
Structure Level Pattern Image Note
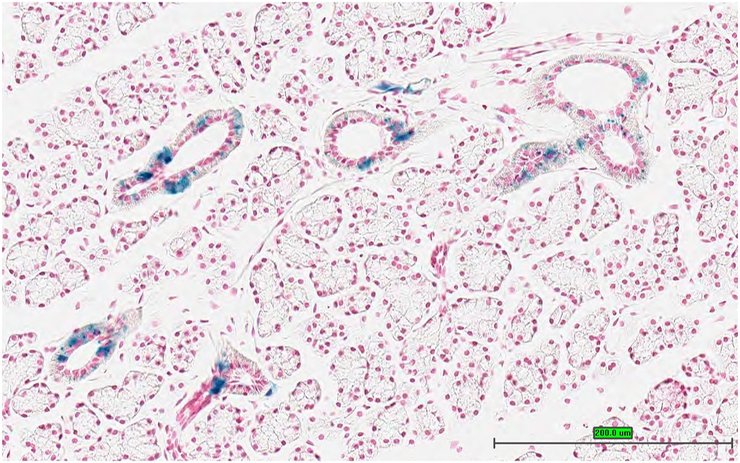
TS28: trachea Present UC Davis_1865860

Specimen UC Davis_1865861: postnatal adult; Rasd1tm1.1(KOMP)Vlcg/Rasd1+ (more )
Structure Level Pattern Image Note
TS28: trachea Present UC Davis_1865861

Specimen UC Davis_1865862: postnatal adult; Rasd1tm1.1(KOMP)Vlcg/Rasd1+ (more )
Structure Level Pattern Image Note
TS28: trachea Present UC Davis_1865862

Specimen UC Davis_1865863: postnatal adult; Rasd1tm1.1(KOMP)Vlcg/Rasd1+ (more )
Structure Level Pattern Image Note
TS28: thyroid gland Present UC Davis_1865863

Specimen UC Davis_1865864: postnatal adult; Rasd1tm1.1(KOMP)Vlcg/Rasd1+ (more )
Structure Level Pattern Image Note
TS28: thyroid gland Present UC Davis_1865864

Specimen UC Davis_1865865: postnatal adult; Rasd1tm1.1(KOMP)Vlcg/Rasd1+ (more )
Structure Level Pattern Image Note
TS28: parathyroid gland Present UC Davis_1865865

Specimen UC Davis_1865866: postnatal adult; Rasd1tm1.1(KOMP)Vlcg/Rasd1+ (more )
Structure Level Pattern Image Note
TS28: lung Present UC Davis_1865866

Specimen UC Davis_1865867: postnatal adult; Rasd1tm1.1(KOMP)Vlcg/Rasd1+ (more )
Structure Level Pattern Image Note
TS28: lung Present UC Davis_1865867

Specimen UC Davis_1865868: postnatal adult; Rasd1tm1.1(KOMP)Vlcg/Rasd1+ (more )
Structure Level Pattern Image Note
TS28: thymus Present UC Davis_1865868

Specimen UC Davis_1865869: postnatal adult; Rasd1tm1.1(KOMP)Vlcg/Rasd1+ (more )
Structure Level Pattern Image Note
TS28: thymus Present UC Davis_1865869

Specimen UC Davis_1865870: postnatal adult; Rasd1tm1.1(KOMP)Vlcg/Rasd1+ (more )
Structure Level Pattern Image Note
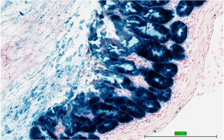
TS28: stomach Present UC Davis_1865870

Specimen UC Davis_1865871: postnatal adult; Rasd1tm1.1(KOMP)Vlcg/Rasd1+ (more )
Structure Level Pattern Image Note
TS28: stomach Present UC Davis_1865871

Specimen UC Davis_1865872: postnatal adult; Rasd1tm1.1(KOMP)Vlcg/Rasd1+ (more )
Structure Level Pattern Image Note
TS28: stomach Present UC Davis_1865872

Specimen UC Davis_1865873: postnatal adult; Rasd1tm1.1(KOMP)Vlcg/Rasd1+ (more )
Structure Level Pattern Image Note
TS28: ileum Present UC Davis_1865873

Specimen UC Davis_1865874: postnatal adult; Rasd1tm1.1(KOMP)Vlcg/Rasd1+ (more )
Structure Level Pattern Image Note
TS28: ileum Present UC Davis_1865874

Specimen UC Davis_1865875: postnatal adult; Rasd1tm1.1(KOMP)Vlcg/Rasd1+ (more )
Structure Level Pattern Image Note
TS28: ileum Present UC Davis_1865875

Specimen UC Davis_1865876: postnatal adult; Rasd1tm1.1(KOMP)Vlcg/Rasd1+ (more )
Structure Level Pattern Image Note
TS28: colon Present UC Davis_1865876

Specimen UC Davis_1865877: postnatal adult; Rasd1tm1.1(KOMP)Vlcg/Rasd1+ (more )
Structure Level Pattern Image Note
TS28: colon Present UC Davis_1865877

Specimen UC Davis_1865878: postnatal adult; Rasd1tm1.1(KOMP)Vlcg/Rasd1+ (more )
Structure Level Pattern Image Note
TS28: cecum Present UC Davis_1865878

Specimen UC Davis_1865879: postnatal adult; Rasd1tm1.1(KOMP)Vlcg/Rasd1+ (more )
Structure Level Pattern Image Note
TS28: spleen Present UC Davis_1865879

Specimen UC Davis_1865880: postnatal adult; Rasd1tm1.1(KOMP)Vlcg/Rasd1+ (more )
Structure Level Pattern Image Note
TS28: spleen Present UC Davis_1865880

Specimen UC Davis_1865881: postnatal adult; Rasd1tm1.1(KOMP)Vlcg/Rasd1+ (more )
Structure Level Pattern Image Note
TS28: spleen Present UC Davis_1865881

Specimen UC Davis_1865882: postnatal adult; Rasd1tm1.1(KOMP)Vlcg/Rasd1+ (more )
Structure Level Pattern Image Note
TS28: pancreas Present UC Davis_1865882

Specimen UC Davis_1865883: postnatal adult; Rasd1tm1.1(KOMP)Vlcg/Rasd1+ (more )
Structure Level Pattern Image Note
TS28: pancreas Present UC Davis_1865883

Specimen UC Davis_1865884: postnatal adult; Rasd1tm1.1(KOMP)Vlcg/Rasd1+ (more )
Structure Level Pattern Image Note
TS28: pancreas Present UC Davis_1865884

Specimen UC Davis_1865885: postnatal adult; Rasd1tm1.1(KOMP)Vlcg/Rasd1+ (more )
Structure Level Pattern Image Note
TS28: metanephros Present UC Davis_1865885 kidney

Specimen UC Davis_1865886: postnatal adult; Rasd1tm1.1(KOMP)Vlcg/Rasd1+ (more )
Structure Level Pattern Image Note
TS28: metanephros Present UC Davis_1865886 kidney

Specimen UC Davis_1865887: postnatal adult; Rasd1tm1.1(KOMP)Vlcg/Rasd1+ (more )
Structure Level Pattern Image Note
TS28: metanephros Present UC Davis_1865887 kidney

Specimen UC Davis_1865888: postnatal adult; Rasd1tm1.1(KOMP)Vlcg/Rasd1+ (more )
Structure Level Pattern Image Note
TS28: quadriceps femoris muscle Present UC Davis_1865888

Specimen UC Davis_1865889: postnatal adult; Rasd1tm1.1(KOMP)Vlcg/Rasd1+ (more )
Structure Level Pattern Image Note
TS28: quadriceps femoris muscle Present UC Davis_1865889

Specimen UC Davis_1865890: postnatal adult; Rasd1tm1.1(KOMP)Vlcg/Rasd1+ (more )
Structure Level Pattern Image Note
TS28: quadriceps femoris muscle Present UC Davis_1865890

Specimen UC Davis_1865891: postnatal adult; Rasd1tm1.1(KOMP)Vlcg/Rasd1+ (more )
Structure Level Pattern Image Note
TS28: quadriceps femoris muscle Present UC Davis_1865891

Specimen UC Davis_1865892: postnatal adult; Rasd1tm1.1(KOMP)Vlcg/Rasd1+ (more )
Structure Level Pattern Image Note
TS28: tongue Present UC Davis_1865892

Specimen UC Davis_1865893: postnatal adult; Rasd1tm1.1(KOMP)Vlcg/Rasd1+ (more )
Structure Level Pattern Image Note
TS28: tongue Present UC Davis_1865893

Specimen UC Davis_1865894: postnatal adult; Rasd1tm1.1(KOMP)Vlcg/Rasd1+ (more )
Structure Level Pattern Image Note
TS28: diaphragm Present UC Davis_1865894

Specimen UC Davis_1865895: postnatal adult; Rasd1tm1.1(KOMP)Vlcg/Rasd1+ (more )
Structure Level Pattern Image Note
TS28: diaphragm Present UC Davis_1865895

Specimen UC Davis_1865896: postnatal adult; Rasd1tm1.1(KOMP)Vlcg/Rasd1+ (more )
Structure Level Pattern Image Note
TS28: adrenal gland Present UC Davis_1865896

Specimen UC Davis_1865897: postnatal adult; Rasd1tm1.1(KOMP)Vlcg/Rasd1+ (more )
Structure Level Pattern Image Note
TS28: adrenal gland Present UC Davis_1865897

Specimen UC Davis_1865898: postnatal adult; Rasd1tm1.1(KOMP)Vlcg/Rasd1+ (more )
Structure Level Pattern Image Note
TS28: pituitary gland Present UC Davis_1865898

Specimen UC Davis_1865899: postnatal adult; Rasd1tm1.1(KOMP)Vlcg/Rasd1+ (more )
Structure Level Pattern Image Note
TS28: pituitary gland Present UC Davis_1865899

Specimen UC Davis_1865900: postnatal adult; Rasd1tm1.1(KOMP)Vlcg/Rasd1+ (more )
Structure Level Pattern Image Note
TS28: spinal cord Present UC Davis_1865900

Specimen UC Davis_1865901: postnatal adult; Rasd1tm1.1(KOMP)Vlcg/Rasd1+ (more )
Structure Level Pattern Image Note
TS28: spinal cord Present UC Davis_1865901

Specimen UC Davis_1865902: postnatal adult; Rasd1tm1.1(KOMP)Vlcg/Rasd1+ (more )
Structure Level Pattern Image Note
TS28: eye Present UC Davis_1865902

Specimen UC Davis_1865903: postnatal adult; Rasd1tm1.1(KOMP)Vlcg/Rasd1+ (more )
Structure Level Pattern Image Note
TS28: eye Present UC Davis_1865903

Specimen UC Davis_1865904: postnatal adult; Rasd1tm1.1(KOMP)Vlcg/Rasd1+ (more )
Structure Level Pattern Image Note
TS28: eye Present UC Davis_1865904

Specimen UC Davis_1865905: postnatal adult; Rasd1tm1.1(KOMP)Vlcg/Rasd1+ (more )
Structure Level Pattern Image Note
TS28: gonadal fat pad Present UC Davis_1865905

Specimen UC Davis_1865906: postnatal adult; Rasd1tm1.1(KOMP)Vlcg/Rasd1+ (more )
Structure Level Pattern Image Note
TS28: gonadal fat pad Present UC Davis_1865906

Specimen UC Davis_1865907: postnatal adult; Rasd1tm1.1(KOMP)Vlcg/Rasd1+ (more )
Structure Level Pattern Image Note
TS28: mesenteric adipose tissue Present UC Davis_1865907

Specimen UC Davis_1865908: postnatal adult; Rasd1tm1.1(KOMP)Vlcg/Rasd1+ (more )
Structure Level Pattern Image Note
TS28: mesenteric adipose tissue Present UC Davis_1865908

Specimen UC Davis_1865909: postnatal adult; Rasd1tm1.1(KOMP)Vlcg/Rasd1+ (more )
Structure Level Pattern Image Note
TS28: skin Present UC Davis_1865909

Specimen UC Davis_1865910: postnatal adult; Rasd1tm1.1(KOMP)Vlcg/Rasd1+ (more )
Structure Level Pattern Image Note
TS28: skin Present UC Davis_1865910

Specimen UC Davis_1865911: postnatal adult; Rasd1tm1.1(KOMP)Vlcg/Rasd1+ (more )
Structure Level Pattern Image Note
TS28: brown fat Present UC Davis_1865911

Specimen UC Davis_1865912: postnatal adult; Rasd1tm1.1(KOMP)Vlcg/Rasd1+ (more )
Structure Level Pattern Image Note
TS28: brown fat Present UC Davis_1865912

Specimen UC Davis_1865913: postnatal adult; Rasd1tm1.1(KOMP)Vlcg/Rasd1+ (more )
Structure Level Pattern Image Note
TS28: olfactory lobe Present UC Davis_1865913

Specimen UC Davis_1865916: postnatal adult; Rasd1tm1.1(KOMP)Vlcg/Rasd1+ (more )
Structure Level Pattern Image Note
TS28: midbrain Present UC Davis_1865916

Specimen UC Davis_1865918: postnatal adult; Rasd1tm1.1(KOMP)Vlcg/Rasd1+ (more )
Structure Level Pattern Image Note
TS28: cerebellum Present UC Davis_1865918

Specimen UC Davis_1865919: postnatal adult; Rasd1tm1.1(KOMP)Vlcg/Rasd1+ (more )
Structure Level Pattern Image Note
TS28: trigeminal nerve Present UC Davis_1865919

Specimen UC Davis_1865920: postnatal adult; Rasd1tm1.1(KOMP)Vlcg/Rasd1+ (more )
Structure Level Pattern Image Note
TS28: trigeminal nerve Present UC Davis_1865920

Specimen UC Davis_1865921: postnatal adult; Rasd1tm1.1(KOMP)Vlcg/Rasd1+ (more )
Structure Level Pattern Image Note
TS28: ovary Present UC Davis_1865921

Specimen UC Davis_1865922: postnatal adult; Rasd1tm1.1(KOMP)Vlcg/Rasd1+ (more )
Structure Level Pattern Image Note
TS28: ovary Present UC Davis_1865922

Specimen UC Davis_1865923: postnatal adult; Rasd1tm1.1(KOMP)Vlcg/Rasd1+ (more )
Structure Level Pattern Image Note
TS28: ovary Present UC Davis_1865923

Specimen UC Davis_1865924: postnatal adult; Rasd1tm1.1(KOMP)Vlcg/Rasd1+ (more )
Structure Level Pattern Image Note
TS28: oviduct Present UC Davis_1865924

Specimen UC Davis_1865925: postnatal adult; Rasd1tm1.1(KOMP)Vlcg/Rasd1+ (more )
Structure Level Pattern Image Note
TS28: oviduct Present UC Davis_1865925

Specimen UC Davis_1865926: postnatal adult; Rasd1tm1.1(KOMP)Vlcg/Rasd1+ (more )
Structure Level Pattern Image Note
TS28: uterus Present UC Davis_1865926

Specimen UC Davis_1865927: postnatal adult; Rasd1tm1.1(KOMP)Vlcg/Rasd1+ (more )
Structure Level Pattern Image Note
TS28: uterus Present UC Davis_1865927

Specimen UC Davis_1865928: postnatal adult; Rasd1tm1.1(KOMP)Vlcg/Rasd1+ (more )
Structure Level Pattern Image Note
TS28: uterus Present UC Davis_1865928

Specimen UC Davis_1865929: postnatal adult; Rasd1tm1.1(KOMP)Vlcg/Rasd1+ (more )
Structure Level Pattern Image Note
TS28: vagina Present UC Davis_1865929

Specimen UC Davis_1865930: postnatal adult; Rasd1tm1.1(KOMP)Vlcg/Rasd1+ (more )
Structure Level Pattern Image Note
TS28: vagina Present UC Davis_1865930

Specimen UC Davis_1865931: postnatal adult; Rasd1tm1.1(KOMP)Vlcg/Rasd1+ (more )
Structure Level Pattern Image Note
TS28: bladder Present UC Davis_1865931

Specimen UC Davis_1865932: postnatal adult; Rasd1tm1.1(KOMP)Vlcg/Rasd1+ (more )
Structure Level Pattern Image Note
TS28: bladder Present UC Davis_1865932

Specimen UC Davis_1865933: postnatal adult; Rasd1tm1.1(KOMP)Vlcg/Rasd1+ (more )
Structure Level Pattern Image Note
TS28: submandibular gland Present UC Davis_1865933

Specimen UC Davis_1865934: postnatal adult; Rasd1tm1.1(KOMP)Vlcg/Rasd1+ (more )
Structure Level Pattern Image Note
TS28: submandibular gland Present UC Davis_1865934

Specimen UC Davis_1865935: postnatal adult; Rasd1tm1.1(KOMP)Vlcg/Rasd1+ (more )
Structure Level Pattern Image Note
TS28: sublingual gland Present UC Davis_1865935

Specimen UC Davis_1865936: postnatal adult; Rasd1tm1.1(KOMP)Vlcg/Rasd1+ (more )
Structure Level Pattern Image Note
TS28: sublingual gland Present UC Davis_1865936

Specimen UC Davis_1865937: postnatal adult; Rasd1tm1.1(KOMP)Vlcg/Rasd1+ (more )
Structure Level Pattern Image Note
TS28: parotid gland Present UC Davis_1865937

Specimen UC Davis_1865939: postnatal adult; Rasd1tm1.1(KOMP)Vlcg/Rasd1+ (more )
Structure Level Pattern Image Note
TS28: trachea Present UC Davis_1865939

Specimen UC Davis_1865940: postnatal adult; Rasd1tm1.1(KOMP)Vlcg/Rasd1+ (more )
Structure Level Pattern Image Note
TS28: trachea Present UC Davis_1865940

Specimen UC Davis_1865941: postnatal adult; Rasd1tm1.1(KOMP)Vlcg/Rasd1+ (more )
Structure Level Pattern Image Note
TS28: esophagus Present UC Davis_1865941

Specimen UC Davis_1865942: postnatal adult; Rasd1tm1.1(KOMP)Vlcg/Rasd1+ (more )
Structure Level Pattern Image Note
TS28: esophagus Present UC Davis_1865942

Specimen UC Davis_1865945: postnatal adult; Rasd1tm1.1(KOMP)Vlcg/Rasd1+ (more )
Structure Level Pattern Image Note
TS28: lung Present UC Davis_1865945

Specimen UC Davis_1865946: postnatal adult; Rasd1tm1.1(KOMP)Vlcg/Rasd1+ (more )
Structure Level Pattern Image Note
TS28: lung Present UC Davis_1865946

Specimen UC Davis_1865947: postnatal adult; Rasd1tm1.1(KOMP)Vlcg/Rasd1+ (more )
Structure Level Pattern Image Note
TS28: thymus Present UC Davis_1865947

Specimen UC Davis_1865948: postnatal adult; Rasd1tm1.1(KOMP)Vlcg/Rasd1+ (more )
Structure Level Pattern Image Note
TS28: thymus Present UC Davis_1865948

Specimen UC Davis_1865949: postnatal adult; Rasd1tm1.1(KOMP)Vlcg/Rasd1+ (more )
Structure Level Pattern Image Note
TS28: thymus Present UC Davis_1865949

Specimen UC Davis_1865955: postnatal adult; Rasd1tm1.1(KOMP)Vlcg/Rasd1+ (more )
Structure Level Pattern Image Note
TS28: mesenteric lymph node Present UC Davis_1865955

Specimen UC Davis_1865956: postnatal adult; Rasd1tm1.1(KOMP)Vlcg/Rasd1+ (more )
Structure Level Pattern Image Note
TS28: stomach Present UC Davis_1865956

Specimen UC Davis_1865957: postnatal adult; Rasd1tm1.1(KOMP)Vlcg/Rasd1+ (more )
Structure Level Pattern Image Note
TS28: stomach Present UC Davis_1865957

Specimen UC Davis_1865958: postnatal adult; Rasd1tm1.1(KOMP)Vlcg/Rasd1+ (more )
Structure Level Pattern Image Note
TS28: stomach Present UC Davis_1865958

Specimen UC Davis_1865959: postnatal adult; Rasd1tm1.1(KOMP)Vlcg/Rasd1+ (more )
Structure Level Pattern Image Note
TS28: duodenum Present UC Davis_1865959

Specimen UC Davis_1865960: postnatal adult; Rasd1tm1.1(KOMP)Vlcg/Rasd1+ (more )
Structure Level Pattern Image Note
TS28: duodenum Present UC Davis_1865960

Specimen UC Davis_1865961: postnatal adult; Rasd1tm1.1(KOMP)Vlcg/Rasd1+ (more )
Structure Level Pattern Image Note
TS28: ileum Present UC Davis_1865961

Specimen UC Davis_1865962: postnatal adult; Rasd1tm1.1(KOMP)Vlcg/Rasd1+ (more )
Structure Level Pattern Image Note
TS28: ileum Present UC Davis_1865962

Specimen UC Davis_1865963: postnatal adult; Rasd1tm1.1(KOMP)Vlcg/Rasd1+ (more )
Structure Level Pattern Image Note
TS28: ileum Present UC Davis_1865963

Specimen UC Davis_1865964: postnatal adult; Rasd1tm1.1(KOMP)Vlcg/Rasd1+ (more )
Structure Level Pattern Image Note
TS28: colon Present UC Davis_1865964

Specimen UC Davis_1865965: postnatal adult; Rasd1tm1.1(KOMP)Vlcg/Rasd1+ (more )
Structure Level Pattern Image Note
TS28: colon Present UC Davis_1865965

Specimen UC Davis_1865966: postnatal adult; Rasd1tm1.1(KOMP)Vlcg/Rasd1+ (more )
Structure Level Pattern Image Note
TS28: colon Present UC Davis_1865966

Specimen UC Davis_1865967: postnatal adult; Rasd1tm1.1(KOMP)Vlcg/Rasd1+ (more )
Structure Level Pattern Image Note
TS28: cecum Present UC Davis_1865967

Specimen UC Davis_1865968: postnatal adult; Rasd1tm1.1(KOMP)Vlcg/Rasd1+ (more )
Structure Level Pattern Image Note
TS28: spleen Present UC Davis_1865968

Specimen UC Davis_1865969: postnatal adult; Rasd1tm1.1(KOMP)Vlcg/Rasd1+ (more )
Structure Level Pattern Image Note
TS28: spleen Present UC Davis_1865969

Specimen UC Davis_1865970: postnatal adult; Rasd1tm1.1(KOMP)Vlcg/Rasd1+ (more )
Structure Level Pattern Image Note
TS28: spleen Present UC Davis_1865970

Specimen UC Davis_1865971: postnatal adult; Rasd1tm1.1(KOMP)Vlcg/Rasd1+ (more )
Structure Level Pattern Image Note
TS28: pancreas Present UC Davis_1865971

Specimen UC Davis_1865972: postnatal adult; Rasd1tm1.1(KOMP)Vlcg/Rasd1+ (more )
Structure Level Pattern Image Note
TS28: pancreas Present UC Davis_1865972

Specimen UC Davis_1865973: postnatal adult; Rasd1tm1.1(KOMP)Vlcg/Rasd1+ (more )
Structure Level Pattern Image Note
TS28: pancreas Present UC Davis_1865973

Specimen UC Davis_1865974: postnatal adult; Rasd1tm1.1(KOMP)Vlcg/Rasd1+ (more )
Structure Level Pattern Image Note
TS28: liver Present UC Davis_1865974

Specimen UC Davis_1865975: postnatal adult; Rasd1tm1.1(KOMP)Vlcg/Rasd1+ (more )
Structure Level Pattern Image Note
TS28: metanephros Present UC Davis_1865975 kidney

Specimen UC Davis_1865976: postnatal adult; Rasd1tm1.1(KOMP)Vlcg/Rasd1+ (more )
Structure Level Pattern Image Note
TS28: metanephros Present UC Davis_1865976 kidney

Specimen UC Davis_1865977: postnatal adult; Rasd1tm1.1(KOMP)Vlcg/Rasd1+ (more )
Structure Level Pattern Image Note
TS28: metanephros Present UC Davis_1865977 kidney

Specimen UC Davis_1865978: postnatal adult; Rasd1tm1.1(KOMP)Vlcg/Rasd1+ (more )
Structure Level Pattern Image Note
TS28: quadriceps femoris muscle Present UC Davis_1865978

Specimen UC Davis_1865979: postnatal adult; Rasd1tm1.1(KOMP)Vlcg/Rasd1+ (more )
Structure Level Pattern Image Note
TS28: quadriceps femoris muscle Present UC Davis_1865979

Specimen UC Davis_1865980: postnatal adult; Rasd1tm1.1(KOMP)Vlcg/Rasd1+ (more )
Structure Level Pattern Image Note
TS28: tongue Present UC Davis_1865980

Specimen UC Davis_1865981: postnatal adult; Rasd1tm1.1(KOMP)Vlcg/Rasd1+ (more )
Structure Level Pattern Image Note
TS28: tongue Present UC Davis_1865981

Specimen UC Davis_1865982: postnatal adult; Rasd1tm1.1(KOMP)Vlcg/Rasd1+ (more )
Structure Level Pattern Image Note
TS28: tongue Present UC Davis_1865982

Specimen UC Davis_1865983: postnatal adult; Rasd1tm1.1(KOMP)Vlcg/Rasd1+ (more )
Structure Level Pattern Image Note
TS28: diaphragm Present UC Davis_1865983

Specimen UC Davis_1865984: postnatal adult; Rasd1tm1.1(KOMP)Vlcg/Rasd1+ (more )
Structure Level Pattern Image Note
TS28: adrenal gland Present UC Davis_1865984

Specimen UC Davis_1865985: postnatal adult; Rasd1tm1.1(KOMP)Vlcg/Rasd1+ (more )
Structure Level Pattern Image Note
TS28: adrenal gland Present UC Davis_1865985

Specimen UC Davis_1865986: postnatal adult; Rasd1tm1.1(KOMP)Vlcg/Rasd1+ (more )
Structure Level Pattern Image Note
TS28: pituitary gland Present UC Davis_1865986

Specimen UC Davis_1865987: postnatal adult; Rasd1tm1.1(KOMP)Vlcg/Rasd1+ (more )
Structure Level Pattern Image Note
TS28: pituitary gland Present UC Davis_1865987

Specimen UC Davis_1865988: postnatal adult; Rasd1tm1.1(KOMP)Vlcg/Rasd1+ (more )
Structure Level Pattern Image Note
TS28: spinal cord Present UC Davis_1865988

Specimen UC Davis_1865989: postnatal adult; Rasd1tm1.1(KOMP)Vlcg/Rasd1+ (more )
Structure Level Pattern Image Note
TS28: spinal cord Present UC Davis_1865989

Specimen UC Davis_1865990: postnatal adult; Rasd1tm1.1(KOMP)Vlcg/Rasd1+ (more )
Structure Level Pattern Image Note
TS28: eye Present UC Davis_1865990

Specimen UC Davis_1865991: postnatal adult; Rasd1tm1.1(KOMP)Vlcg/Rasd1+ (more )
Structure Level Pattern Image Note
TS28: eye Present UC Davis_1865991

Specimen UC Davis_1865993: postnatal adult; Rasd1tm1.1(KOMP)Vlcg/Rasd1+ (more )
Structure Level Pattern Image Note
TS28: Harderian gland Present UC Davis_1865993

Specimen UC Davis_1865994: postnatal adult; Rasd1tm1.1(KOMP)Vlcg/Rasd1+ (more )
Structure Level Pattern Image Note
TS28: Harderian gland Present UC Davis_1865994

Specimen UC Davis_1865995: postnatal adult; Rasd1tm1.1(KOMP)Vlcg/Rasd1+ (more )
Structure Level Pattern Image Note
TS28: gonadal fat pad Present UC Davis_1865995

Specimen UC Davis_1865996: postnatal adult; Rasd1tm1.1(KOMP)Vlcg/Rasd1+ (more )
Structure Level Pattern Image Note
TS28: gonadal fat pad Present UC Davis_1865996

Specimen UC Davis_1865997: postnatal adult; Rasd1tm1.1(KOMP)Vlcg/Rasd1+ (more )
Structure Level Pattern Image Note
TS28: mesenteric adipose tissue Present UC Davis_1865997

Specimen UC Davis_1865998: postnatal adult; Rasd1tm1.1(KOMP)Vlcg/Rasd1+ (more )
Structure Level Pattern Image Note
TS28: mesenteric adipose tissue Present UC Davis_1865998

Specimen UC Davis_1865999: postnatal adult; Rasd1tm1.1(KOMP)Vlcg/Rasd1+ (more )
Structure Level Pattern Image Note
TS28: skin Present UC Davis_1865999

Specimen UC Davis_1866000: postnatal adult; Rasd1tm1.1(KOMP)Vlcg/Rasd1+ (more )
Structure Level Pattern Image Note
TS28: skin Present UC Davis_1866000

Specimen UC Davis_1866001: postnatal adult; Rasd1tm1.1(KOMP)Vlcg/Rasd1+ (more )
Structure Level Pattern Image Note
TS28: brown fat Present UC Davis_1866001

Specimen UC Davis_1866002: postnatal adult; Rasd1tm1.1(KOMP)Vlcg/Rasd1+ (more )
Structure Level Pattern Image Note
TS28: brown fat Present UC Davis_1866002

Specimen UC Davis_1866003: postnatal adult; Rasd1tm1.1(KOMP)Vlcg/Rasd1+ (more )
Structure Level Pattern Image Note
TS28: olfactory lobe Present UC Davis_1866003

Specimen UC Davis_1866007: postnatal adult; Rasd1tm1.1(KOMP)Vlcg/Rasd1+ (more )
Structure Level Pattern Image Note
TS28: midbrain Present UC Davis_1866007

Specimen UC Davis_1866009: postnatal adult; Rasd1tm1.1(KOMP)Vlcg/Rasd1+ (more )
Structure Level Pattern Image Note
TS28: cerebellum Present UC Davis_1866009

Specimen UC Davis_1866010: postnatal adult; Rasd1tm1.1(KOMP)Vlcg/Rasd1+ (more )
Structure Level Pattern Image Note
TS28: trigeminal nerve Present UC Davis_1866010

Specimen UC Davis_1866011: postnatal adult; Rasd1tm1.1(KOMP)Vlcg/Rasd1+ (more )
Structure Level Pattern Image Note
TS28: trigeminal nerve Present UC Davis_1866011

Specimen UC Davis_1866012: postnatal adult; Rasd1tm1.1(KOMP)Vlcg/Rasd1+ (more )
Structure Level Pattern Image Note
TS28: bladder Present UC Davis_1866012

Specimen UC Davis_1866013: postnatal adult; Rasd1tm1.1(KOMP)Vlcg/Rasd1+ (more )
Structure Level Pattern Image Note
TS28: bladder Present UC Davis_1866013

Specimen UC Davis_1866014: postnatal adult; Rasd1tm1.1(KOMP)Vlcg/Rasd1+ (more )
Structure Level Pattern Image Note
TS28: testis Present UC Davis_1866014

Specimen UC Davis_1866015: postnatal adult; Rasd1tm1.1(KOMP)Vlcg/Rasd1+ (more )
Structure Level Pattern Image Note
TS28: testis Present UC Davis_1866015

Specimen UC Davis_1866016: postnatal adult; Rasd1tm1.1(KOMP)Vlcg/Rasd1+ (more )
Structure Level Pattern Image Note
TS28: epididymis Present UC Davis_1866016

Specimen UC Davis_1866017: postnatal adult; Rasd1tm1.1(KOMP)Vlcg/Rasd1+ (more )
Structure Level Pattern Image Note
TS28: epididymis Present UC Davis_1866017

Specimen UC Davis_1866018: postnatal adult; Rasd1tm1.1(KOMP)Vlcg/Rasd1+ (more )
Structure Level Pattern Image Note
TS28: penis Present UC Davis_1866018

Specimen UC Davis_1866019: postnatal adult; Rasd1tm1.1(KOMP)Vlcg/Rasd1+ (more )
Structure Level Pattern Image Note
TS28: penis Present UC Davis_1866019

Specimen UC Davis_1866020: postnatal adult; Rasd1tm1.1(KOMP)Vlcg/Rasd1+ (more )
Structure Level Pattern Image Note
TS28: bone marrow Present UC Davis_1866020

Specimen UC Davis_1866021: postnatal adult; Rasd1tm1.1(KOMP)Vlcg/Rasd1+ (more )
Structure Level Pattern Image Note
TS28: ductus deferens Present UC Davis_1866021 vas deferens

Specimen UC Davis_1866023: postnatal adult; Rasd1tm1.1(KOMP)Vlcg/Rasd1+ (more )
Structure Level Pattern Image Note
TS28: seminal vesicle Present UC Davis_1866023 vesicular gland

Specimen UC Davis_1866024: postnatal adult; Rasd1tm1.1(KOMP)Vlcg/Rasd1+ (more )
Structure Level Pattern Image Note
TS28: seminal vesicle Present UC Davis_1866024 vesicular gland


Contributing Projects:
Mouse Genome Database (MGD), Gene Expression Database (GXD), Mouse Models of Human Cancer database (MMHCdb) (formerly Mouse Tumor Biology (MTB)), Gene Ontology (GO)
Citing These Resources
Funding Information
Warranty Disclaimer, Privacy Notice, Licensing, & Copyright
Send questions and comments to User Support.
last database update
01/06/2026
MGI 6.24
The Jackson Laboratory