About   Help   FAQ
Gene Expression Data
Assay Details
Assay
Reference: J:228563 Koscielny G, et al., The International Mouse Phenotyping Consortium Web Portal, a unified point of access for knockout mice and related phenotyping data. Nucleic Acids Res. 2014 Jan;42(Database issue):D802-9
Assay type: In situ reporter (knock in)
MGI Accession ID: MGI:6691283
Gene symbol: Fbxo41
Gene name: F-box protein 41
Reporter: lacZ
Direct Detection
Results
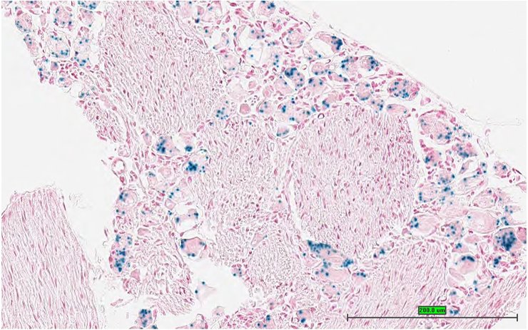
Specimen UC Davis_1859929: postnatal adult; Fbxo41tm1.1(KOMP)Vlcg/Fbxo41+ (more )
Structure Level Pattern Image Note
TS28: colon Present UC Davis_1859929

Specimen UC Davis_1859930: postnatal adult; Fbxo41tm1.1(KOMP)Vlcg/Fbxo41+ (more )
Structure Level Pattern Image Note
TS28: colon Present UC Davis_1859930

Specimen UC Davis_1859931: postnatal adult; Fbxo41tm1.1(KOMP)Vlcg/Fbxo41+ (more )
Structure Level Pattern Image Note
TS28: adrenal gland Present UC Davis_1859931

Specimen UC Davis_1859932: postnatal adult; Fbxo41tm1.1(KOMP)Vlcg/Fbxo41+ (more )
Structure Level Pattern Image Note
TS28: spinal cord Present UC Davis_1859932

Specimen UC Davis_1859933: postnatal adult; Fbxo41tm1.1(KOMP)Vlcg/Fbxo41+ (more )
Structure Level Pattern Image Note
TS28: eye Present UC Davis_1859933

Specimen UC Davis_1859934: postnatal adult; Fbxo41tm1.1(KOMP)Vlcg/Fbxo41+ (more )
Structure Level Pattern Image Note
TS28: eye Present UC Davis_1859934

Specimen UC Davis_1859935: postnatal adult; Fbxo41tm1.1(KOMP)Vlcg/Fbxo41+ (more )
Structure Level Pattern Image Note
TS28: olfactory lobe Present UC Davis_1859935

Specimen UC Davis_1859938: postnatal adult; Fbxo41tm1.1(KOMP)Vlcg/Fbxo41+ (more )
Structure Level Pattern Image Note
TS28: midbrain Present UC Davis_1859938

Specimen UC Davis_1859939: postnatal adult; Fbxo41tm1.1(KOMP)Vlcg/Fbxo41+ (more )
Structure Level Pattern Image Note
TS28: midbrain Present UC Davis_1859939

Specimen UC Davis_1859940: postnatal adult; Fbxo41tm1.1(KOMP)Vlcg/Fbxo41+ (more )
Structure Level Pattern Image Note
TS28: cerebellum Present UC Davis_1859940

Specimen UC Davis_1859941: postnatal adult; Fbxo41tm1.1(KOMP)Vlcg/Fbxo41+ (more )
Structure Level Pattern Image Note
TS28: trigeminal nerve Present UC Davis_1859941

Specimen UC Davis_1859942: postnatal adult; Fbxo41tm1.1(KOMP)Vlcg/Fbxo41+ (more )
Structure Level Pattern Image Note
TS28: trigeminal nerve Present UC Davis_1859942

Specimen UC Davis_1859909: postnatal adult; Fbxo41tm1.1(KOMP)Vlcg/Fbxo41+ (more )
Structure Level Pattern Image Note
TS28: colon Present UC Davis_1859909

Specimen UC Davis_1859910: postnatal adult; Fbxo41tm1.1(KOMP)Vlcg/Fbxo41+ (more )
Structure Level Pattern Image Note
TS28: colon Present UC Davis_1859910

Specimen UC Davis_1859911: postnatal adult; Fbxo41tm1.1(KOMP)Vlcg/Fbxo41+ (more )
Structure Level Pattern Image Note
TS28: spinal cord Present UC Davis_1859911

Specimen UC Davis_1859912: postnatal adult; Fbxo41tm1.1(KOMP)Vlcg/Fbxo41+ (more )
Structure Level Pattern Image Note
TS28: spinal cord Present UC Davis_1859912

Specimen UC Davis_1859913: postnatal adult; Fbxo41tm1.1(KOMP)Vlcg/Fbxo41+ (more )
Structure Level Pattern Image Note
TS28: eye Present UC Davis_1859913

Specimen UC Davis_1859914: postnatal adult; Fbxo41tm1.1(KOMP)Vlcg/Fbxo41+ (more )
Structure Level Pattern Image Note
TS28: eye Present UC Davis_1859914

Specimen UC Davis_1859915: postnatal adult; Fbxo41tm1.1(KOMP)Vlcg/Fbxo41+ (more )
Structure Level Pattern Image Note
TS28: olfactory lobe Present UC Davis_1859915

Specimen UC Davis_1859919: postnatal adult; Fbxo41tm1.1(KOMP)Vlcg/Fbxo41+ (more )
Structure Level Pattern Image Note
TS28: midbrain Present UC Davis_1859919

Specimen UC Davis_1859921: postnatal adult; Fbxo41tm1.1(KOMP)Vlcg/Fbxo41+ (more )
Structure Level Pattern Image Note
TS28: cerebellum Present UC Davis_1859921

Specimen UC Davis_1859922: postnatal adult; Fbxo41tm1.1(KOMP)Vlcg/Fbxo41+ (more )
Structure Level Pattern Image Note
TS28: trigeminal nerve Present UC Davis_1859922

Specimen UC Davis_1859923: postnatal adult; Fbxo41tm1.1(KOMP)Vlcg/Fbxo41+ (more )
Structure Level Pattern Image Note
TS28: bladder Present UC Davis_1859923

Specimen UC Davis_1859924: postnatal adult; Fbxo41tm1.1(KOMP)Vlcg/Fbxo41+ (more )
Structure Level Pattern Image Note
TS28: bladder Present UC Davis_1859924

Specimen UC Davis_1859925: postnatal adult; Fbxo41tm1.1(KOMP)Vlcg/Fbxo41+ (more )
Structure Level Pattern Image Note
TS28: testis Present UC Davis_1859925

Specimen UC Davis_1859926: postnatal adult; Fbxo41tm1.1(KOMP)Vlcg/Fbxo41+ (more )
Structure Level Pattern Image Note
TS28: epididymis Present UC Davis_1859926

Specimen UC Davis_1859927: postnatal adult; Fbxo41tm1.1(KOMP)Vlcg/Fbxo41+ (more )
Structure Level Pattern Image Note
TS28: prostate gland Present UC Davis_1859927

Specimen UC Davis_1859928: postnatal adult; Fbxo41tm1.1(KOMP)Vlcg/Fbxo41+ (more )
Structure Level Pattern Image Note
TS28: ductus deferens Present UC Davis_1859928 vas deferens

Specimen UC Davis_1859943: postnatal adult; Fbxo41tm1.1(KOMP)Vlcg/Fbxo41+ (more )
Structure Level Pattern Image Note
TS28: olfactory lobe Present UC Davis_1859943

Specimen UC Davis_1859946: postnatal adult; Fbxo41tm1.1(KOMP)Vlcg/Fbxo41+ (more )
Structure Level Pattern Image Note
TS28: midbrain Present UC Davis_1859946

Specimen UC Davis_1859948: postnatal adult; Fbxo41tm1.1(KOMP)Vlcg/Fbxo41+ (more )
Structure Level Pattern Image Note
TS28: cerebellum Present UC Davis_1859948

Specimen UC Davis_1859949: postnatal adult; Fbxo41tm1.1(KOMP)Vlcg/Fbxo41+ (more )
Structure Level Pattern Image Note
TS28: brain Present UC Davis_1859949

Specimen UC Davis_1859950: postnatal adult; Fbxo41tm1.1(KOMP)Vlcg/Fbxo41+ (more )
Structure Level Pattern Image Note
TS28: spinal cord Present UC Davis_1859950

Specimen UC Davis_1859951: postnatal adult; Fbxo41tm1.1(KOMP)Vlcg/Fbxo41+ (more )
Structure Level Pattern Image Note
TS28: pituitary gland Present UC Davis_1859951


Contributing Projects:
Mouse Genome Database (MGD), Gene Expression Database (GXD), Mouse Models of Human Cancer database (MMHCdb) (formerly Mouse Tumor Biology (MTB)), Gene Ontology (GO)
Citing These Resources
Funding Information
Warranty Disclaimer, Privacy Notice, Licensing, & Copyright
Send questions and comments to User Support.
last database update
01/20/2026
MGI 6.24
The Jackson Laboratory