About   Help   FAQ
Gene Expression Data
Assay Details
Assay
Reference: J:228563 Koscielny G, et al., The International Mouse Phenotyping Consortium Web Portal, a unified point of access for knockout mice and related phenotyping data. Nucleic Acids Res. 2014 Jan;42(Database issue):D802-9
Assay type: In situ reporter (knock in)
MGI Accession ID: MGI:6691280
Gene symbol: Wnt2b
Gene name: wingless-type MMTV integration site family, member 2B
Reporter: lacZ
Direct Detection
Results
Specimen UC Davis_1862634: postnatal adult; Wnt2btm1b(EUCOMM)Wtsi/Wnt2b+ (more )
Structure Level Pattern Image Note
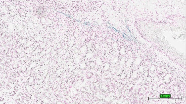
TS28: stomach Present UC Davis_1862634

Specimen UC Davis_1862635: postnatal adult; Wnt2btm1b(EUCOMM)Wtsi/Wnt2b+ (more )
Structure Level Pattern Image Note
TS28: stomach Present UC Davis_1862635

Specimen UC Davis_1862636: postnatal adult; Wnt2btm1b(EUCOMM)Wtsi/Wnt2b+ (more )
Structure Level Pattern Image Note
TS28: stomach Present UC Davis_1862636

Specimen UC Davis_1862637: postnatal adult; Wnt2btm1b(EUCOMM)Wtsi/Wnt2b+ (more )
Structure Level Pattern Image Note
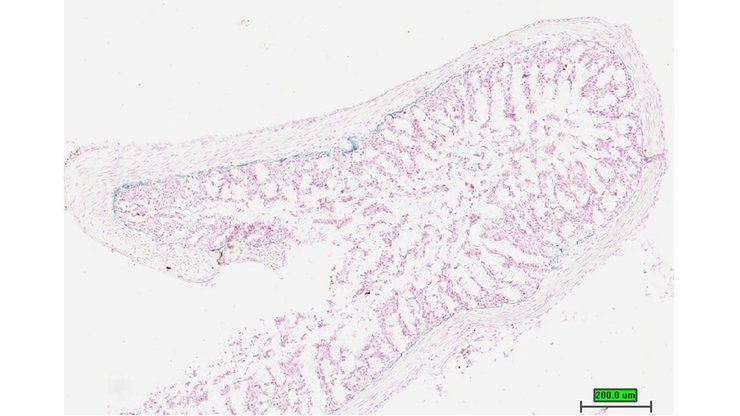
TS28: colon Present UC Davis_1862637

Specimen UC Davis_1862638: postnatal adult; Wnt2btm1b(EUCOMM)Wtsi/Wnt2b+ (more )
Structure Level Pattern Image Note
TS28: colon Present UC Davis_1862638

Specimen UC Davis_1862639: postnatal adult; Wnt2btm1b(EUCOMM)Wtsi/Wnt2b+ (more )
Structure Level Pattern Image Note
TS28: colon Present UC Davis_1862639

Specimen UC Davis_1862640: postnatal adult; Wnt2btm1b(EUCOMM)Wtsi/Wnt2b+ (more )
Structure Level Pattern Image Note
TS28: cecum Present UC Davis_1862640

Specimen UC Davis_1862641: postnatal adult; Wnt2btm1b(EUCOMM)Wtsi/Wnt2b+ (more )
Structure Level Pattern Image Note
TS28: adrenal gland Present UC Davis_1862641

Specimen UC Davis_1862642: postnatal adult; Wnt2btm1b(EUCOMM)Wtsi/Wnt2b+ (more )
Structure Level Pattern Image Note
TS28: adrenal gland Present UC Davis_1862642

Specimen UC Davis_1862643: postnatal adult; Wnt2btm1b(EUCOMM)Wtsi/Wnt2b+ (more )
Structure Level Pattern Image Note
TS28: adrenal gland Present UC Davis_1862643

Specimen UC Davis_1862644: postnatal adult; Wnt2btm1b(EUCOMM)Wtsi/Wnt2b+ (more )
Structure Level Pattern Image Note
TS28: ovary Present UC Davis_1862644

Specimen UC Davis_1862645: postnatal adult; Wnt2btm1b(EUCOMM)Wtsi/Wnt2b+ (more )
Structure Level Pattern Image Note
TS28: ovary Present UC Davis_1862645

Specimen UC Davis_1862646: postnatal adult; Wnt2btm1b(EUCOMM)Wtsi/Wnt2b+ (more )
Structure Level Pattern Image Note
TS28: ovary Present UC Davis_1862646

Specimen UC Davis_1862647: postnatal adult; Wnt2btm1b(EUCOMM)Wtsi/Wnt2b+ (more )
Structure Level Pattern Image Note
TS28: oviduct Present UC Davis_1862647

Specimen UC Davis_1862648: postnatal adult; Wnt2btm1b(EUCOMM)Wtsi/Wnt2b+ (more )
Structure Level Pattern Image Note
TS28: oviduct Present UC Davis_1862648

Specimen UC Davis_1862649: postnatal adult; Wnt2btm1b(EUCOMM)Wtsi/Wnt2b+ (more )
Structure Level Pattern Image Note
TS28: oviduct Present UC Davis_1862649

Specimen UC Davis_1862659: postnatal adult; Wnt2btm1b(EUCOMM)Wtsi/Wnt2b+ (more )
Structure Level Pattern Image Note
TS28: oviduct Present UC Davis_1862659

Specimen UC Davis_1862660: postnatal adult; Wnt2btm1b(EUCOMM)Wtsi/Wnt2b+ (more )
Structure Level Pattern Image Note
TS28: gallbladder Present UC Davis_1862660

Specimen UC Davis_1862618: postnatal adult; Wnt2btm1b(EUCOMM)Wtsi/Wnt2b+ (more )
Structure Level Pattern Image Note
TS28: stomach Present UC Davis_1862618

Specimen UC Davis_1862619: postnatal adult; Wnt2btm1b(EUCOMM)Wtsi/Wnt2b+ (more )
Structure Level Pattern Image Note
TS28: stomach Present UC Davis_1862619

Specimen UC Davis_1862620: postnatal adult; Wnt2btm1b(EUCOMM)Wtsi/Wnt2b+ (more )
Structure Level Pattern Image Note
TS28: stomach Present UC Davis_1862620

Specimen UC Davis_1862621: postnatal adult; Wnt2btm1b(EUCOMM)Wtsi/Wnt2b+ (more )
Structure Level Pattern Image Note
TS28: colon Present UC Davis_1862621

Specimen UC Davis_1862622: postnatal adult; Wnt2btm1b(EUCOMM)Wtsi/Wnt2b+ (more )
Structure Level Pattern Image Note
TS28: colon Present UC Davis_1862622

Specimen UC Davis_1862623: postnatal adult; Wnt2btm1b(EUCOMM)Wtsi/Wnt2b+ (more )
Structure Level Pattern Image Note
TS28: colon Present UC Davis_1862623

Specimen UC Davis_1862624: postnatal adult; Wnt2btm1b(EUCOMM)Wtsi/Wnt2b+ (more )
Structure Level Pattern Image Note
TS28: colon Present UC Davis_1862624

Specimen UC Davis_1862625: postnatal adult; Wnt2btm1b(EUCOMM)Wtsi/Wnt2b+ (more )
Structure Level Pattern Image Note
TS28: cecum Present UC Davis_1862625

Specimen UC Davis_1862626: postnatal adult; Wnt2btm1b(EUCOMM)Wtsi/Wnt2b+ (more )
Structure Level Pattern Image Note
TS28: cecum Present UC Davis_1862626

Specimen UC Davis_1862627: postnatal adult; Wnt2btm1b(EUCOMM)Wtsi/Wnt2b+ (more )
Structure Level Pattern Image Note
TS28: midbrain Present UC Davis_1862627

Specimen UC Davis_1862628: postnatal adult; Wnt2btm1b(EUCOMM)Wtsi/Wnt2b+ (more )
Structure Level Pattern Image Note
TS28: midbrain Present UC Davis_1862628

Specimen UC Davis_1862629: postnatal adult; Wnt2btm1b(EUCOMM)Wtsi/Wnt2b+ (more )
Structure Level Pattern Image Note
TS28: midbrain Present UC Davis_1862629

Specimen UC Davis_1862630: postnatal adult; Wnt2btm1b(EUCOMM)Wtsi/Wnt2b+ (more )
Structure Level Pattern Image Note
TS28: testis Present UC Davis_1862630

Specimen UC Davis_1862631: postnatal adult; Wnt2btm1b(EUCOMM)Wtsi/Wnt2b+ (more )
Structure Level Pattern Image Note
TS28: testis Present UC Davis_1862631

Specimen UC Davis_1862632: postnatal adult; Wnt2btm1b(EUCOMM)Wtsi/Wnt2b+ (more )
Structure Level Pattern Image Note
TS28: epididymis Present UC Davis_1862632

Specimen UC Davis_1862633: postnatal adult; Wnt2btm1b(EUCOMM)Wtsi/Wnt2b+ (more )
Structure Level Pattern Image Note
TS28: ductus deferens Present UC Davis_1862633 vas deferens

Specimen UC Davis_1862650: postnatal adult; Wnt2btm1b(EUCOMM)Wtsi/Wnt2b+ (more )
Structure Level Pattern Image Note
TS28: quadriceps femoris muscle Present UC Davis_1862650

Specimen UC Davis_1862651: postnatal adult; Wnt2btm1b(EUCOMM)Wtsi/Wnt2b+ (more )
Structure Level Pattern Image Note
TS28: sciatic nerve Present UC Davis_1862651

Specimen UC Davis_1862653: postnatal adult; Wnt2btm1b(EUCOMM)Wtsi/Wnt2b+ (more )
Structure Level Pattern Image Note
TS28: midbrain Present UC Davis_1862653

Specimen UC Davis_1862654: postnatal adult; Wnt2btm1b(EUCOMM)Wtsi/Wnt2b+ (more )
Structure Level Pattern Image Note
TS28: brain Present UC Davis_1862654

Specimen UC Davis_1862655: postnatal adult; Wnt2btm1b(EUCOMM)Wtsi/Wnt2b+ (more )
Structure Level Pattern Image Note
TS28: adrenal gland Present UC Davis_1862655

Specimen UC Davis_1862656: postnatal adult; Wnt2btm1b(EUCOMM)Wtsi/Wnt2b+ (more )
Structure Level Pattern Image Note
TS28: esophagus Present UC Davis_1862656

Specimen UC Davis_1862657: postnatal adult; Wnt2btm1b(EUCOMM)Wtsi/Wnt2b+ (more )
Structure Level Pattern Image Note
TS28: testis Present UC Davis_1862657

Specimen UC Davis_1862658: postnatal adult; Wnt2btm1b(EUCOMM)Wtsi/Wnt2b+ (more )
Structure Level Pattern Image Note
TS28: thoracic segment skeleton Present UC Davis_1862658 chest bone


Contributing Projects:
Mouse Genome Database (MGD), Gene Expression Database (GXD), Mouse Models of Human Cancer database (MMHCdb) (formerly Mouse Tumor Biology (MTB)), Gene Ontology (GO)
Citing These Resources
Funding Information
Warranty Disclaimer, Privacy Notice, Licensing, & Copyright
Send questions and comments to User Support.
last database update
01/20/2026
MGI 6.24
The Jackson Laboratory