About   Help   FAQ
Gene Expression Data
Assay Details
Assay
Reference: J:228563 Koscielny G, et al., The International Mouse Phenotyping Consortium Web Portal, a unified point of access for knockout mice and related phenotyping data. Nucleic Acids Res. 2014 Jan;42(Database issue):D802-9
Assay type: In situ reporter (knock in)
MGI Accession ID: MGI:6691275
Gene symbol: Sgpl1
Gene name: sphingosine phosphate lyase 1
Reporter: lacZ
Direct Detection
Results
Specimen UC Davis_1867678: postnatal adult; Sgpl1tm1.1(KOMP)Vlcg/Sgpl1+ (more )
Structure Level Pattern Image Note
TS28: submandibular gland Present UC Davis_1867678

Specimen UC Davis_1867679: postnatal adult; Sgpl1tm1.1(KOMP)Vlcg/Sgpl1+ (more )
Structure Level Pattern Image Note
TS28: submandibular gland Present UC Davis_1867679

Specimen UC Davis_1867680: postnatal adult; Sgpl1tm1.1(KOMP)Vlcg/Sgpl1+ (more )
Structure Level Pattern Image Note
TS28: submandibular gland Present UC Davis_1867680

Specimen UC Davis_1867681: postnatal adult; Sgpl1tm1.1(KOMP)Vlcg/Sgpl1+ (more )
Structure Level Pattern Image Note
TS28: sublingual gland Present UC Davis_1867681

Specimen UC Davis_1867682: postnatal adult; Sgpl1tm1.1(KOMP)Vlcg/Sgpl1+ (more )
Structure Level Pattern Image Note
TS28: sublingual gland Present UC Davis_1867682

Specimen UC Davis_1867683: postnatal adult; Sgpl1tm1.1(KOMP)Vlcg/Sgpl1+ (more )
Structure Level Pattern Image Note
TS28: parotid gland Present UC Davis_1867683

Specimen UC Davis_1867684: postnatal adult; Sgpl1tm1.1(KOMP)Vlcg/Sgpl1+ (more )
Structure Level Pattern Image Note
TS28: parotid gland Present UC Davis_1867684

Specimen UC Davis_1867688: postnatal adult; Sgpl1tm1.1(KOMP)Vlcg/Sgpl1+ (more )
Structure Level Pattern Image Note
TS28: esophagus Present UC Davis_1867688

Specimen UC Davis_1867689: postnatal adult; Sgpl1tm1.1(KOMP)Vlcg/Sgpl1+ (more )
Structure Level Pattern Image Note
TS28: esophagus Present UC Davis_1867689

Specimen UC Davis_1867690: postnatal adult; Sgpl1tm1.1(KOMP)Vlcg/Sgpl1+ (more )
Structure Level Pattern Image Note
TS28: aorta Present UC Davis_1867690

Specimen UC Davis_1867691: postnatal adult; Sgpl1tm1.1(KOMP)Vlcg/Sgpl1+ (more )
Structure Level Pattern Image Note
TS28: aorta Present UC Davis_1867691

Specimen UC Davis_1867692: postnatal adult; Sgpl1tm1.1(KOMP)Vlcg/Sgpl1+ (more )
Structure Level Pattern Image Note
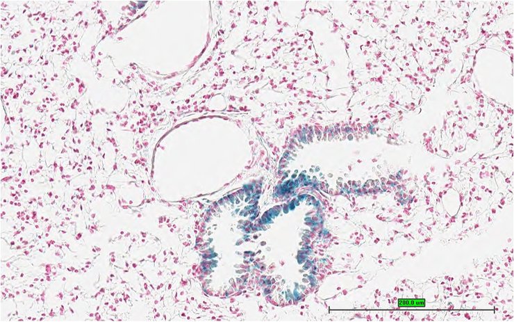
TS28: lung Present UC Davis_1867692

Specimen UC Davis_1867693: postnatal adult; Sgpl1tm1.1(KOMP)Vlcg/Sgpl1+ (more )
Structure Level Pattern Image Note
TS28: lung Present UC Davis_1867693

Specimen UC Davis_1867694: postnatal adult; Sgpl1tm1.1(KOMP)Vlcg/Sgpl1+ (more )
Structure Level Pattern Image Note
TS28: thymus Present UC Davis_1867694

Specimen UC Davis_1867695: postnatal adult; Sgpl1tm1.1(KOMP)Vlcg/Sgpl1+ (more )
Structure Level Pattern Image Note
TS28: thymus Present UC Davis_1867695

Specimen UC Davis_1867696: postnatal adult; Sgpl1tm1.1(KOMP)Vlcg/Sgpl1+ (more )
Structure Level Pattern Image Note
TS28: thymus Present UC Davis_1867696

Specimen UC Davis_1867697: postnatal adult; Sgpl1tm1.1(KOMP)Vlcg/Sgpl1+ (more )
Structure Level Pattern Image Note
TS28: thymus Present UC Davis_1867697

Specimen UC Davis_1867698: postnatal adult; Sgpl1tm1.1(KOMP)Vlcg/Sgpl1+ (more )
Structure Level Pattern Image Note
TS28: thymus Present UC Davis_1867698

Specimen UC Davis_1867703: postnatal adult; Sgpl1tm1.1(KOMP)Vlcg/Sgpl1+ (more )
Structure Level Pattern Image Note
TS28: mesenteric lymph node Present UC Davis_1867703

Specimen UC Davis_1867704: postnatal adult; Sgpl1tm1.1(KOMP)Vlcg/Sgpl1+ (more )
Structure Level Pattern Image Note
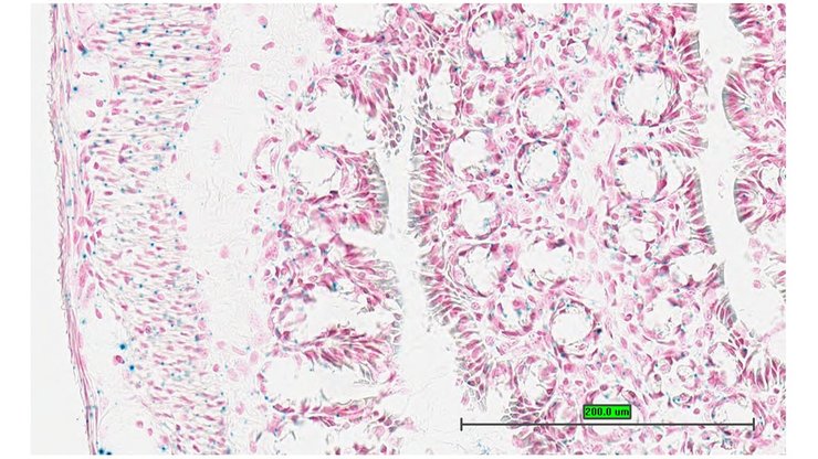
TS28: stomach Present UC Davis_1867704

Specimen UC Davis_1867705: postnatal adult; Sgpl1tm1.1(KOMP)Vlcg/Sgpl1+ (more )
Structure Level Pattern Image Note
TS28: stomach Present UC Davis_1867705

Specimen UC Davis_1867706: postnatal adult; Sgpl1tm1.1(KOMP)Vlcg/Sgpl1+ (more )
Structure Level Pattern Image Note
TS28: stomach Present UC Davis_1867706

Specimen UC Davis_1867707: postnatal adult; Sgpl1tm1.1(KOMP)Vlcg/Sgpl1+ (more )
Structure Level Pattern Image Note
TS28: stomach Present UC Davis_1867707

Specimen UC Davis_1867708: postnatal adult; Sgpl1tm1.1(KOMP)Vlcg/Sgpl1+ (more )
Structure Level Pattern Image Note
TS28: jejunum Present UC Davis_1867708

Specimen UC Davis_1867709: postnatal adult; Sgpl1tm1.1(KOMP)Vlcg/Sgpl1+ (more )
Structure Level Pattern Image Note
TS28: ileum Present UC Davis_1867709

Specimen UC Davis_1867710: postnatal adult; Sgpl1tm1.1(KOMP)Vlcg/Sgpl1+ (more )
Structure Level Pattern Image Note
TS28: ileum Present UC Davis_1867710

Specimen UC Davis_1867711: postnatal adult; Sgpl1tm1.1(KOMP)Vlcg/Sgpl1+ (more )
Structure Level Pattern Image Note
TS28: colon Present UC Davis_1867711

Specimen UC Davis_1867712: postnatal adult; Sgpl1tm1.1(KOMP)Vlcg/Sgpl1+ (more )
Structure Level Pattern Image Note
TS28: colon Present UC Davis_1867712

Specimen UC Davis_1867713: postnatal adult; Sgpl1tm1.1(KOMP)Vlcg/Sgpl1+ (more )
Structure Level Pattern Image Note
TS28: colon Present UC Davis_1867713

Specimen UC Davis_1867714: postnatal adult; Sgpl1tm1.1(KOMP)Vlcg/Sgpl1+ (more )
Structure Level Pattern Image Note
TS28: cecum Present UC Davis_1867714

Specimen UC Davis_1867715: postnatal adult; Sgpl1tm1.1(KOMP)Vlcg/Sgpl1+ (more )
Structure Level Pattern Image Note
TS28: cecum Present UC Davis_1867715

Specimen UC Davis_1867716: postnatal adult; Sgpl1tm1.1(KOMP)Vlcg/Sgpl1+ (more )
Structure Level Pattern Image Note
TS28: spleen Present UC Davis_1867716

Specimen UC Davis_1867717: postnatal adult; Sgpl1tm1.1(KOMP)Vlcg/Sgpl1+ (more )
Structure Level Pattern Image Note
TS28: spleen Present UC Davis_1867717

Specimen UC Davis_1867718: postnatal adult; Sgpl1tm1.1(KOMP)Vlcg/Sgpl1+ (more )
Structure Level Pattern Image Note
TS28: spleen Present UC Davis_1867718

Specimen UC Davis_1867719: postnatal adult; Sgpl1tm1.1(KOMP)Vlcg/Sgpl1+ (more )
Structure Level Pattern Image Note
TS28: spleen Present UC Davis_1867719

Specimen UC Davis_1867720: postnatal adult; Sgpl1tm1.1(KOMP)Vlcg/Sgpl1+ (more )
Structure Level Pattern Image Note
TS28: spleen Present UC Davis_1867720

Specimen UC Davis_1867721: postnatal adult; Sgpl1tm1.1(KOMP)Vlcg/Sgpl1+ (more )
Structure Level Pattern Image Note
TS28: pancreas Present UC Davis_1867721

Specimen UC Davis_1867722: postnatal adult; Sgpl1tm1.1(KOMP)Vlcg/Sgpl1+ (more )
Structure Level Pattern Image Note
TS28: pancreas Present UC Davis_1867722

Specimen UC Davis_1867723: postnatal adult; Sgpl1tm1.1(KOMP)Vlcg/Sgpl1+ (more )
Structure Level Pattern Image Note
TS28: liver Present UC Davis_1867723

Specimen UC Davis_1867724: postnatal adult; Sgpl1tm1.1(KOMP)Vlcg/Sgpl1+ (more )
Structure Level Pattern Image Note
TS28: liver Present UC Davis_1867724

Specimen UC Davis_1867725: postnatal adult; Sgpl1tm1.1(KOMP)Vlcg/Sgpl1+ (more )
Structure Level Pattern Image Note
TS28: liver Present UC Davis_1867725

Specimen UC Davis_1867726: postnatal adult; Sgpl1tm1.1(KOMP)Vlcg/Sgpl1+ (more )
Structure Level Pattern Image Note
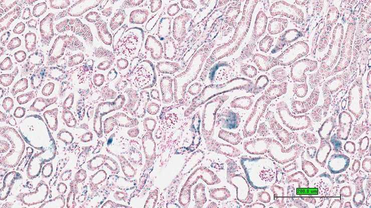
TS28: metanephros Present UC Davis_1867726 kidney

Specimen UC Davis_1867727: postnatal adult; Sgpl1tm1.1(KOMP)Vlcg/Sgpl1+ (more )
Structure Level Pattern Image Note
TS28: metanephros Present UC Davis_1867727 kidney

Specimen UC Davis_1867728: postnatal adult; Sgpl1tm1.1(KOMP)Vlcg/Sgpl1+ (more )
Structure Level Pattern Image Note
TS28: metanephros Present UC Davis_1867728 kidney

Specimen UC Davis_1867729: postnatal adult; Sgpl1tm1.1(KOMP)Vlcg/Sgpl1+ (more )
Structure Level Pattern Image Note
TS28: metanephros Present UC Davis_1867729 kidney

Specimen UC Davis_1867730: postnatal adult; Sgpl1tm1.1(KOMP)Vlcg/Sgpl1+ (more )
Structure Level Pattern Image Note
TS28: quadriceps femoris muscle Present UC Davis_1867730

Specimen UC Davis_1867731: postnatal adult; Sgpl1tm1.1(KOMP)Vlcg/Sgpl1+ (more )
Structure Level Pattern Image Note
TS28: quadriceps femoris muscle Present UC Davis_1867731

Specimen UC Davis_1867732: postnatal adult; Sgpl1tm1.1(KOMP)Vlcg/Sgpl1+ (more )
Structure Level Pattern Image Note
TS28: tongue Present UC Davis_1867732

Specimen UC Davis_1867733: postnatal adult; Sgpl1tm1.1(KOMP)Vlcg/Sgpl1+ (more )
Structure Level Pattern Image Note
TS28: tongue Present UC Davis_1867733

Specimen UC Davis_1867734: postnatal adult; Sgpl1tm1.1(KOMP)Vlcg/Sgpl1+ (more )
Structure Level Pattern Image Note
TS28: adrenal gland Present UC Davis_1867734

Specimen UC Davis_1867735: postnatal adult; Sgpl1tm1.1(KOMP)Vlcg/Sgpl1+ (more )
Structure Level Pattern Image Note
TS28: adrenal gland Present UC Davis_1867735

Specimen UC Davis_1867736: postnatal adult; Sgpl1tm1.1(KOMP)Vlcg/Sgpl1+ (more )
Structure Level Pattern Image Note
TS28: pituitary gland Present UC Davis_1867736

Specimen UC Davis_1867737: postnatal adult; Sgpl1tm1.1(KOMP)Vlcg/Sgpl1+ (more )
Structure Level Pattern Image Note
TS28: spinal cord Present UC Davis_1867737

Specimen UC Davis_1867738: postnatal adult; Sgpl1tm1.1(KOMP)Vlcg/Sgpl1+ (more )
Structure Level Pattern Image Note
TS28: spinal cord Present UC Davis_1867738

Specimen UC Davis_1867739: postnatal adult; Sgpl1tm1.1(KOMP)Vlcg/Sgpl1+ (more )
Structure Level Pattern Image Note
TS28: eye Present UC Davis_1867739

Specimen UC Davis_1867740: postnatal adult; Sgpl1tm1.1(KOMP)Vlcg/Sgpl1+ (more )
Structure Level Pattern Image Note
TS28: eye Present UC Davis_1867740

Specimen UC Davis_1867741: postnatal adult; Sgpl1tm1.1(KOMP)Vlcg/Sgpl1+ (more )
Structure Level Pattern Image Note
TS28: eye Present UC Davis_1867741

Specimen UC Davis_1867742: postnatal adult; Sgpl1tm1.1(KOMP)Vlcg/Sgpl1+ (more )
Structure Level Pattern Image Note
TS28: eye Present UC Davis_1867742

Specimen UC Davis_1867743: postnatal adult; Sgpl1tm1.1(KOMP)Vlcg/Sgpl1+ (more )
Structure Level Pattern Image Note
TS28: eye Present UC Davis_1867743

Specimen UC Davis_1867746: postnatal adult; Sgpl1tm1.1(KOMP)Vlcg/Sgpl1+ (more )
Structure Level Pattern Image Note
TS28: Harderian gland Present UC Davis_1867746

Specimen UC Davis_1867747: postnatal adult; Sgpl1tm1.1(KOMP)Vlcg/Sgpl1+ (more )
Structure Level Pattern Image Note
TS28: Harderian gland Present UC Davis_1867747

Specimen UC Davis_1867748: postnatal adult; Sgpl1tm1.1(KOMP)Vlcg/Sgpl1+ (more )
Structure Level Pattern Image Note
TS28: gonadal fat pad Present UC Davis_1867748

Specimen UC Davis_1867749: postnatal adult; Sgpl1tm1.1(KOMP)Vlcg/Sgpl1+ (more )
Structure Level Pattern Image Note
TS28: gonadal fat pad Present UC Davis_1867749

Specimen UC Davis_1867750: postnatal adult; Sgpl1tm1.1(KOMP)Vlcg/Sgpl1+ (more )
Structure Level Pattern Image Note
TS28: mesenteric adipose tissue Present UC Davis_1867750

Specimen UC Davis_1867751: postnatal adult; Sgpl1tm1.1(KOMP)Vlcg/Sgpl1+ (more )
Structure Level Pattern Image Note
TS28: mesenteric adipose tissue Present UC Davis_1867751

Specimen UC Davis_1867752: postnatal adult; Sgpl1tm1.1(KOMP)Vlcg/Sgpl1+ (more )
Structure Level Pattern Image Note
TS28: skin Present UC Davis_1867752

Specimen UC Davis_1867753: postnatal adult; Sgpl1tm1.1(KOMP)Vlcg/Sgpl1+ (more )
Structure Level Pattern Image Note
TS28: skin Present UC Davis_1867753

Specimen UC Davis_1867754: postnatal adult; Sgpl1tm1.1(KOMP)Vlcg/Sgpl1+ (more )
Structure Level Pattern Image Note
TS28: skin Present UC Davis_1867754

Specimen UC Davis_1867755: postnatal adult; Sgpl1tm1.1(KOMP)Vlcg/Sgpl1+ (more )
Structure Level Pattern Image Note
TS28: brown fat Present UC Davis_1867755

Specimen UC Davis_1867756: postnatal adult; Sgpl1tm1.1(KOMP)Vlcg/Sgpl1+ (more )
Structure Level Pattern Image Note
TS28: olfactory lobe Present UC Davis_1867756

Specimen UC Davis_1867757: postnatal adult; Sgpl1tm1.1(KOMP)Vlcg/Sgpl1+ (more )
Structure Level Pattern Image Note
TS28: olfactory lobe Present UC Davis_1867757

Specimen UC Davis_1867760: postnatal adult; Sgpl1tm1.1(KOMP)Vlcg/Sgpl1+ (more )
Structure Level Pattern Image Note
TS28: midbrain Present UC Davis_1867760

Specimen UC Davis_1867762: postnatal adult; Sgpl1tm1.1(KOMP)Vlcg/Sgpl1+ (more )
Structure Level Pattern Image Note
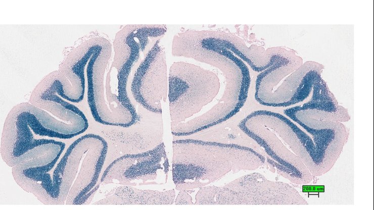
TS28: cerebellum Present UC Davis_1867762

Specimen UC Davis_1867763: postnatal adult; Sgpl1tm1.1(KOMP)Vlcg/Sgpl1+ (more )
Structure Level Pattern Image Note
TS28: ovary Present UC Davis_1867763

Specimen UC Davis_1867764: postnatal adult; Sgpl1tm1.1(KOMP)Vlcg/Sgpl1+ (more )
Structure Level Pattern Image Note
TS28: ovary Present UC Davis_1867764

Specimen UC Davis_1867765: postnatal adult; Sgpl1tm1.1(KOMP)Vlcg/Sgpl1+ (more )
Structure Level Pattern Image Note
TS28: ovary Present UC Davis_1867765

Specimen UC Davis_1867766: postnatal adult; Sgpl1tm1.1(KOMP)Vlcg/Sgpl1+ (more )
Structure Level Pattern Image Note
TS28: ovary Present UC Davis_1867766

Specimen UC Davis_1867767: postnatal adult; Sgpl1tm1.1(KOMP)Vlcg/Sgpl1+ (more )
Structure Level Pattern Image Note
TS28: oviduct Present UC Davis_1867767

Specimen UC Davis_1867768: postnatal adult; Sgpl1tm1.1(KOMP)Vlcg/Sgpl1+ (more )
Structure Level Pattern Image Note
TS28: oviduct Present UC Davis_1867768

Specimen UC Davis_1867769: postnatal adult; Sgpl1tm1.1(KOMP)Vlcg/Sgpl1+ (more )
Structure Level Pattern Image Note
TS28: uterus Present UC Davis_1867769

Specimen UC Davis_1867770: postnatal adult; Sgpl1tm1.1(KOMP)Vlcg/Sgpl1+ (more )
Structure Level Pattern Image Note
TS28: vagina Present UC Davis_1867770

Specimen UC Davis_1867771: postnatal adult; Sgpl1tm1.1(KOMP)Vlcg/Sgpl1+ (more )
Structure Level Pattern Image Note
TS28: vagina Present UC Davis_1867771

Specimen UC Davis_1867772: postnatal adult; Sgpl1tm1.1(KOMP)Vlcg/Sgpl1+ (more )
Structure Level Pattern Image Note
TS28: bladder Present UC Davis_1867772

Specimen UC Davis_1867773: postnatal adult; Sgpl1tm1.1(KOMP)Vlcg/Sgpl1+ (more )
Structure Level Pattern Image Note
TS28: bladder Present UC Davis_1867773

Specimen UC Davis_1867774: postnatal adult; Sgpl1tm1.1(KOMP)Vlcg/Sgpl1+ (more )
Structure Level Pattern Image Note
TS28: mammary gland Present UC Davis_1867774

Specimen UC Davis_1867775: postnatal adult; Sgpl1tm1.1(KOMP)Vlcg/Sgpl1+ (more )
Structure Level Pattern Image Note
TS28: mammary gland Present UC Davis_1867775

Specimen UC Davis_1867776: postnatal adult; Sgpl1tm1.1(KOMP)Vlcg/Sgpl1+ (more )
Structure Level Pattern Image Note
TS28: mammary gland Present UC Davis_1867776

Specimen UC Davis_1867589: postnatal adult; Sgpl1tm1.1(KOMP)Vlcg/Sgpl1+ (more )
Structure Level Pattern Image Note
TS28: submandibular gland Present UC Davis_1867589

Specimen UC Davis_1867590: postnatal adult; Sgpl1tm1.1(KOMP)Vlcg/Sgpl1+ (more )
Structure Level Pattern Image Note
TS28: submandibular gland Present UC Davis_1867590

Specimen UC Davis_1867591: postnatal adult; Sgpl1tm1.1(KOMP)Vlcg/Sgpl1+ (more )
Structure Level Pattern Image Note
TS28: sublingual gland Present UC Davis_1867591

Specimen UC Davis_1867592: postnatal adult; Sgpl1tm1.1(KOMP)Vlcg/Sgpl1+ (more )
Structure Level Pattern Image Note
TS28: sublingual gland Present UC Davis_1867592

Specimen UC Davis_1867593: postnatal adult; Sgpl1tm1.1(KOMP)Vlcg/Sgpl1+ (more )
Structure Level Pattern Image Note
TS28: sublingual gland Present UC Davis_1867593

Specimen UC Davis_1867594: postnatal adult; Sgpl1tm1.1(KOMP)Vlcg/Sgpl1+ (more )
Structure Level Pattern Image Note
TS28: parotid gland Present UC Davis_1867594

Specimen UC Davis_1867595: postnatal adult; Sgpl1tm1.1(KOMP)Vlcg/Sgpl1+ (more )
Structure Level Pattern Image Note
TS28: parotid gland Present UC Davis_1867595

Specimen UC Davis_1867598: postnatal adult; Sgpl1tm1.1(KOMP)Vlcg/Sgpl1+ (more )
Structure Level Pattern Image Note
TS28: trachea Present UC Davis_1867598

Specimen UC Davis_1867599: postnatal adult; Sgpl1tm1.1(KOMP)Vlcg/Sgpl1+ (more )
Structure Level Pattern Image Note
TS28: trachea Present UC Davis_1867599

Specimen UC Davis_1867600: postnatal adult; Sgpl1tm1.1(KOMP)Vlcg/Sgpl1+ (more )
Structure Level Pattern Image Note
TS28: esophagus Present UC Davis_1867600

Specimen UC Davis_1867601: postnatal adult; Sgpl1tm1.1(KOMP)Vlcg/Sgpl1+ (more )
Structure Level Pattern Image Note
TS28: esophagus Present UC Davis_1867601

Specimen UC Davis_1867602: postnatal adult; Sgpl1tm1.1(KOMP)Vlcg/Sgpl1+ (more )
Structure Level Pattern Image Note
TS28: thyroid gland Present UC Davis_1867602

Specimen UC Davis_1867603: postnatal adult; Sgpl1tm1.1(KOMP)Vlcg/Sgpl1+ (more )
Structure Level Pattern Image Note
TS28: thyroid gland Present UC Davis_1867603

Specimen UC Davis_1867606: postnatal adult; Sgpl1tm1.1(KOMP)Vlcg/Sgpl1+ (more )
Structure Level Pattern Image Note
TS28: aorta Present UC Davis_1867606

Specimen UC Davis_1867607: postnatal adult; Sgpl1tm1.1(KOMP)Vlcg/Sgpl1+ (more )
Structure Level Pattern Image Note
TS28: aorta Present UC Davis_1867607

Specimen UC Davis_1867608: postnatal adult; Sgpl1tm1.1(KOMP)Vlcg/Sgpl1+ (more )
Structure Level Pattern Image Note
TS28: lung Present UC Davis_1867608

Specimen UC Davis_1867609: postnatal adult; Sgpl1tm1.1(KOMP)Vlcg/Sgpl1+ (more )
Structure Level Pattern Image Note
TS28: lung Present UC Davis_1867609

Specimen UC Davis_1867610: postnatal adult; Sgpl1tm1.1(KOMP)Vlcg/Sgpl1+ (more )
Structure Level Pattern Image Note
TS28: thymus Present UC Davis_1867610

Specimen UC Davis_1867611: postnatal adult; Sgpl1tm1.1(KOMP)Vlcg/Sgpl1+ (more )
Structure Level Pattern Image Note
TS28: thymus Present UC Davis_1867611

Specimen UC Davis_1867616: postnatal adult; Sgpl1tm1.1(KOMP)Vlcg/Sgpl1+ (more )
Structure Level Pattern Image Note
TS28: mesenteric lymph node Present UC Davis_1867616

Specimen UC Davis_1867617: postnatal adult; Sgpl1tm1.1(KOMP)Vlcg/Sgpl1+ (more )
Structure Level Pattern Image Note
TS28: mesenteric lymph node Present UC Davis_1867617

Specimen UC Davis_1867618: postnatal adult; Sgpl1tm1.1(KOMP)Vlcg/Sgpl1+ (more )
Structure Level Pattern Image Note
TS28: stomach Present UC Davis_1867618

Specimen UC Davis_1867619: postnatal adult; Sgpl1tm1.1(KOMP)Vlcg/Sgpl1+ (more )
Structure Level Pattern Image Note
TS28: stomach Present UC Davis_1867619

Specimen UC Davis_1867620: postnatal adult; Sgpl1tm1.1(KOMP)Vlcg/Sgpl1+ (more )
Structure Level Pattern Image Note
TS28: stomach Present UC Davis_1867620

Specimen UC Davis_1867621: postnatal adult; Sgpl1tm1.1(KOMP)Vlcg/Sgpl1+ (more )
Structure Level Pattern Image Note
TS28: jejunum Present UC Davis_1867621

Specimen UC Davis_1867622: postnatal adult; Sgpl1tm1.1(KOMP)Vlcg/Sgpl1+ (more )
Structure Level Pattern Image Note
TS28: jejunum Present UC Davis_1867622

Specimen UC Davis_1867623: postnatal adult; Sgpl1tm1.1(KOMP)Vlcg/Sgpl1+ (more )
Structure Level Pattern Image Note
TS28: ileum Present UC Davis_1867623

Specimen UC Davis_1867624: postnatal adult; Sgpl1tm1.1(KOMP)Vlcg/Sgpl1+ (more )
Structure Level Pattern Image Note
TS28: ileum Present UC Davis_1867624

Specimen UC Davis_1867625: postnatal adult; Sgpl1tm1.1(KOMP)Vlcg/Sgpl1+ (more )
Structure Level Pattern Image Note
TS28: colon Present UC Davis_1867625

Specimen UC Davis_1867626: postnatal adult; Sgpl1tm1.1(KOMP)Vlcg/Sgpl1+ (more )
Structure Level Pattern Image Note
TS28: colon Present UC Davis_1867626

Specimen UC Davis_1867627: postnatal adult; Sgpl1tm1.1(KOMP)Vlcg/Sgpl1+ (more )
Structure Level Pattern Image Note
TS28: cecum Present UC Davis_1867627

Specimen UC Davis_1867628: postnatal adult; Sgpl1tm1.1(KOMP)Vlcg/Sgpl1+ (more )
Structure Level Pattern Image Note
TS28: spleen Present UC Davis_1867628

Specimen UC Davis_1867629: postnatal adult; Sgpl1tm1.1(KOMP)Vlcg/Sgpl1+ (more )
Structure Level Pattern Image Note
TS28: spleen Present UC Davis_1867629

Specimen UC Davis_1867630: postnatal adult; Sgpl1tm1.1(KOMP)Vlcg/Sgpl1+ (more )
Structure Level Pattern Image Note
TS28: metanephros Present UC Davis_1867630 kidney

Specimen UC Davis_1867631: postnatal adult; Sgpl1tm1.1(KOMP)Vlcg/Sgpl1+ (more )
Structure Level Pattern Image Note
TS28: metanephros Present UC Davis_1867631 kidney

Specimen UC Davis_1867632: postnatal adult; Sgpl1tm1.1(KOMP)Vlcg/Sgpl1+ (more )
Structure Level Pattern Image Note
TS28: metanephros Present UC Davis_1867632 kidney

Specimen UC Davis_1867633: postnatal adult; Sgpl1tm1.1(KOMP)Vlcg/Sgpl1+ (more )
Structure Level Pattern Image Note
TS28: metanephros Present UC Davis_1867633 kidney

Specimen UC Davis_1867634: postnatal adult; Sgpl1tm1.1(KOMP)Vlcg/Sgpl1+ (more )
Structure Level Pattern Image Note
TS28: tongue Present UC Davis_1867634

Specimen UC Davis_1867635: postnatal adult; Sgpl1tm1.1(KOMP)Vlcg/Sgpl1+ (more )
Structure Level Pattern Image Note
TS28: tongue Present UC Davis_1867635

Specimen UC Davis_1867636: postnatal adult; Sgpl1tm1.1(KOMP)Vlcg/Sgpl1+ (more )
Structure Level Pattern Image Note
TS28: adrenal gland Present UC Davis_1867636

Specimen UC Davis_1867637: postnatal adult; Sgpl1tm1.1(KOMP)Vlcg/Sgpl1+ (more )
Structure Level Pattern Image Note
TS28: adrenal gland Present UC Davis_1867637

Specimen UC Davis_1867638: postnatal adult; Sgpl1tm1.1(KOMP)Vlcg/Sgpl1+ (more )
Structure Level Pattern Image Note
TS28: spinal cord Present UC Davis_1867638

Specimen UC Davis_1867639: postnatal adult; Sgpl1tm1.1(KOMP)Vlcg/Sgpl1+ (more )
Structure Level Pattern Image Note
TS28: spinal cord Present UC Davis_1867639

Specimen UC Davis_1867640: postnatal adult; Sgpl1tm1.1(KOMP)Vlcg/Sgpl1+ (more )
Structure Level Pattern Image Note
TS28: eye Present UC Davis_1867640

Specimen UC Davis_1867641: postnatal adult; Sgpl1tm1.1(KOMP)Vlcg/Sgpl1+ (more )
Structure Level Pattern Image Note
TS28: eye Present UC Davis_1867641

Specimen UC Davis_1867644: postnatal adult; Sgpl1tm1.1(KOMP)Vlcg/Sgpl1+ (more )
Structure Level Pattern Image Note
TS28: Harderian gland Present UC Davis_1867644

Specimen UC Davis_1867645: postnatal adult; Sgpl1tm1.1(KOMP)Vlcg/Sgpl1+ (more )
Structure Level Pattern Image Note
TS28: Harderian gland Present UC Davis_1867645

Specimen UC Davis_1867646: postnatal adult; Sgpl1tm1.1(KOMP)Vlcg/Sgpl1+ (more )
Structure Level Pattern Image Note
TS28: gonadal fat pad Present UC Davis_1867646

Specimen UC Davis_1867647: postnatal adult; Sgpl1tm1.1(KOMP)Vlcg/Sgpl1+ (more )
Structure Level Pattern Image Note
TS28: mesenteric adipose tissue Present UC Davis_1867647

Specimen UC Davis_1867648: postnatal adult; Sgpl1tm1.1(KOMP)Vlcg/Sgpl1+ (more )
Structure Level Pattern Image Note
TS28: skin Present UC Davis_1867648

Specimen UC Davis_1867649: postnatal adult; Sgpl1tm1.1(KOMP)Vlcg/Sgpl1+ (more )
Structure Level Pattern Image Note
TS28: skin Present UC Davis_1867649

Specimen UC Davis_1867650: postnatal adult; Sgpl1tm1.1(KOMP)Vlcg/Sgpl1+ (more )
Structure Level Pattern Image Note
TS28: olfactory lobe Present UC Davis_1867650

Specimen UC Davis_1867654: postnatal adult; Sgpl1tm1.1(KOMP)Vlcg/Sgpl1+ (more )
Structure Level Pattern Image Note
TS28: midbrain Present UC Davis_1867654

Specimen UC Davis_1867656: postnatal adult; Sgpl1tm1.1(KOMP)Vlcg/Sgpl1+ (more )
Structure Level Pattern Image Note
TS28: cerebellum Present UC Davis_1867656

Specimen UC Davis_1867657: postnatal adult; Sgpl1tm1.1(KOMP)Vlcg/Sgpl1+ (more )
Structure Level Pattern Image Note
TS28: trigeminal nerve Present UC Davis_1867657

Specimen UC Davis_1867658: postnatal adult; Sgpl1tm1.1(KOMP)Vlcg/Sgpl1+ (more )
Structure Level Pattern Image Note
TS28: trigeminal nerve Present UC Davis_1867658

Specimen UC Davis_1867659: postnatal adult; Sgpl1tm1.1(KOMP)Vlcg/Sgpl1+ (more )
Structure Level Pattern Image Note
TS28: bladder Present UC Davis_1867659

Specimen UC Davis_1867660: postnatal adult; Sgpl1tm1.1(KOMP)Vlcg/Sgpl1+ (more )
Structure Level Pattern Image Note
TS28: bladder Present UC Davis_1867660

Specimen UC Davis_1867661: postnatal adult; Sgpl1tm1.1(KOMP)Vlcg/Sgpl1+ (more )
Structure Level Pattern Image Note
TS28: bladder Present UC Davis_1867661

Specimen UC Davis_1867662: postnatal adult; Sgpl1tm1.1(KOMP)Vlcg/Sgpl1+ (more )
Structure Level Pattern Image Note
TS28: testis Present UC Davis_1867662

Specimen UC Davis_1867663: postnatal adult; Sgpl1tm1.1(KOMP)Vlcg/Sgpl1+ (more )
Structure Level Pattern Image Note
TS28: testis Present UC Davis_1867663

Specimen UC Davis_1867664: postnatal adult; Sgpl1tm1.1(KOMP)Vlcg/Sgpl1+ (more )
Structure Level Pattern Image Note
TS28: epididymis Present UC Davis_1867664

Specimen UC Davis_1867665: postnatal adult; Sgpl1tm1.1(KOMP)Vlcg/Sgpl1+ (more )
Structure Level Pattern Image Note
TS28: epididymis Present UC Davis_1867665

Specimen UC Davis_1867666: postnatal adult; Sgpl1tm1.1(KOMP)Vlcg/Sgpl1+ (more )
Structure Level Pattern Image Note
TS28: epididymis Present UC Davis_1867666

Specimen UC Davis_1867667: postnatal adult; Sgpl1tm1.1(KOMP)Vlcg/Sgpl1+ (more )
Structure Level Pattern Image Note
TS28: epididymis Present UC Davis_1867667

Specimen UC Davis_1867668: postnatal adult; Sgpl1tm1.1(KOMP)Vlcg/Sgpl1+ (more )
Structure Level Pattern Image Note
TS28: prostate gland Present UC Davis_1867668

Specimen UC Davis_1867669: postnatal adult; Sgpl1tm1.1(KOMP)Vlcg/Sgpl1+ (more )
Structure Level Pattern Image Note
TS28: prostate gland Present UC Davis_1867669

Specimen UC Davis_1867670: postnatal adult; Sgpl1tm1.1(KOMP)Vlcg/Sgpl1+ (more )
Structure Level Pattern Image Note
TS28: penis Present UC Davis_1867670

Specimen UC Davis_1867671: postnatal adult; Sgpl1tm1.1(KOMP)Vlcg/Sgpl1+ (more )
Structure Level Pattern Image Note
TS28: penis Present UC Davis_1867671

Specimen UC Davis_1867672: postnatal adult; Sgpl1tm1.1(KOMP)Vlcg/Sgpl1+ (more )
Structure Level Pattern Image Note
TS28: ductus deferens Present UC Davis_1867672 vas deferens

Specimen UC Davis_1867673: postnatal adult; Sgpl1tm1.1(KOMP)Vlcg/Sgpl1+ (more )
Structure Level Pattern Image Note
TS28: ductus deferens Present UC Davis_1867673 vas deferens

Specimen UC Davis_1867676: postnatal adult; Sgpl1tm1.1(KOMP)Vlcg/Sgpl1+ (more )
Structure Level Pattern Image Note
TS28: seminal vesicle Present UC Davis_1867676 vesicular gland

Specimen UC Davis_1867677: postnatal adult; Sgpl1tm1.1(KOMP)Vlcg/Sgpl1+ (more )
Structure Level Pattern Image Note
TS28: seminal vesicle Present UC Davis_1867677 vesicular gland


Contributing Projects:
Mouse Genome Database (MGD), Gene Expression Database (GXD), Mouse Models of Human Cancer database (MMHCdb) (formerly Mouse Tumor Biology (MTB)), Gene Ontology (GO)
Citing These Resources
Funding Information
Warranty Disclaimer, Privacy Notice, Licensing, & Copyright
Send questions and comments to User Support.
last database update
01/20/2026
MGI 6.24
The Jackson Laboratory