About   Help   FAQ
Gene Expression Data
Assay Details
Assay
Reference: J:228563 Koscielny G, et al., The International Mouse Phenotyping Consortium Web Portal, a unified point of access for knockout mice and related phenotyping data. Nucleic Acids Res. 2014 Jan;42(Database issue):D802-9
Assay type: In situ reporter (knock in)
MGI Accession ID: MGI:6691270
Gene symbol: Pms1
Gene name: PMS1 homolog 1, mismatch repair system component
Reporter: lacZ
Direct Detection
Results
Specimen UC Davis_1888614: postnatal adult; Pms1tm1.1(KOMP)Vlcg/Pms1+ (more )
Structure Level Pattern Image Note
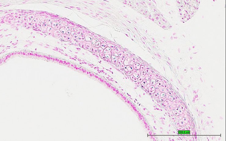
TS28: trachea Present UC Davis_1888614

Specimen UC Davis_1888615: postnatal adult; Pms1tm1.1(KOMP)Vlcg/Pms1+ (more )
Structure Level Pattern Image Note
TS28: esophagus Present UC Davis_1888615

Specimen UC Davis_1888618: postnatal adult; Pms1tm1.1(KOMP)Vlcg/Pms1+ (more )
Structure Level Pattern Image Note
TS28: stomach Present UC Davis_1888618

Specimen UC Davis_1888619: postnatal adult; Pms1tm1.1(KOMP)Vlcg/Pms1+ (more )
Structure Level Pattern Image Note
TS28: duodenum Present UC Davis_1888619

Specimen UC Davis_1888620: postnatal adult; Pms1tm1.1(KOMP)Vlcg/Pms1+ (more )
Structure Level Pattern Image Note
TS28: duodenum Present UC Davis_1888620

Specimen UC Davis_1888621: postnatal adult; Pms1tm1.1(KOMP)Vlcg/Pms1+ (more )
Structure Level Pattern Image Note
TS28: ileum Present UC Davis_1888621

Specimen UC Davis_1888622: postnatal adult; Pms1tm1.1(KOMP)Vlcg/Pms1+ (more )
Structure Level Pattern Image Note
TS28: ileum Present UC Davis_1888622

Specimen UC Davis_1888623: postnatal adult; Pms1tm1.1(KOMP)Vlcg/Pms1+ (more )
Structure Level Pattern Image Note
TS28: colon Present UC Davis_1888623

Specimen UC Davis_1888624: postnatal adult; Pms1tm1.1(KOMP)Vlcg/Pms1+ (more )
Structure Level Pattern Image Note
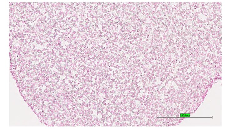
TS28: metanephros Present UC Davis_1888624 kidney

Specimen UC Davis_1888625: postnatal adult; Pms1tm1.1(KOMP)Vlcg/Pms1+ (more )
Structure Level Pattern Image Note
TS28: quadriceps femoris muscle Present UC Davis_1888625

Specimen UC Davis_1888626: postnatal adult; Pms1tm1.1(KOMP)Vlcg/Pms1+ (more )
Structure Level Pattern Image Note
TS28: tongue Present UC Davis_1888626

Specimen UC Davis_1888627: postnatal adult; Pms1tm1.1(KOMP)Vlcg/Pms1+ (more )
Structure Level Pattern Image Note
TS28: diaphragm Present UC Davis_1888627

Specimen UC Davis_1888628: postnatal adult; Pms1tm1.1(KOMP)Vlcg/Pms1+ (more )
Structure Level Pattern Image Note
TS28: adrenal gland Present UC Davis_1888628

Specimen UC Davis_1888629: postnatal adult; Pms1tm1.1(KOMP)Vlcg/Pms1+ (more )
Structure Level Pattern Image Note
TS28: pituitary gland Present UC Davis_1888629

Specimen UC Davis_1888630: postnatal adult; Pms1tm1.1(KOMP)Vlcg/Pms1+ (more )
Structure Level Pattern Image Note
TS28: eye Present UC Davis_1888630

Specimen UC Davis_1888631: postnatal adult; Pms1tm1.1(KOMP)Vlcg/Pms1+ (more )
Structure Level Pattern Image Note
TS28: eye Present UC Davis_1888631

Specimen UC Davis_1888632: postnatal adult; Pms1tm1.1(KOMP)Vlcg/Pms1+ (more )
Structure Level Pattern Image Note
TS28: skin Present UC Davis_1888632

Specimen UC Davis_1888633: postnatal adult; Pms1tm1.1(KOMP)Vlcg/Pms1+ (more )
Structure Level Pattern Image Note
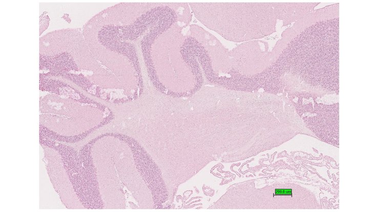
TS28: cerebellum Present UC Davis_1888633

Specimen UC Davis_1888634: postnatal adult; Pms1tm1.1(KOMP)Vlcg/Pms1+ (more )
Structure Level Pattern Image Note
TS28: cerebellum Present UC Davis_1888634

Specimen UC Davis_1888635: postnatal adult; Pms1tm1.1(KOMP)Vlcg/Pms1+ (more )
Structure Level Pattern Image Note
TS28: trigeminal nerve Present UC Davis_1888635

Specimen UC Davis_1888636: postnatal adult; Pms1tm1.1(KOMP)Vlcg/Pms1+ (more )
Structure Level Pattern Image Note
TS28: ovary Present UC Davis_1888636

Specimen UC Davis_1888637: postnatal adult; Pms1tm1.1(KOMP)Vlcg/Pms1+ (more )
Structure Level Pattern Image Note
TS28: vagina Present UC Davis_1888637

Specimen UC Davis_1888638: postnatal adult; Pms1tm1.1(KOMP)Vlcg/Pms1+ (more )
Structure Level Pattern Image Note
TS28: bladder Present UC Davis_1888638

Specimen UC Davis_1888639: postnatal adult; Pms1tm1.1(KOMP)Vlcg/Pms1+ (more )
Structure Level Pattern Image Note
TS28: bladder Present UC Davis_1888639

Specimen UC Davis_1888640: postnatal adult; Pms1tm1.1(KOMP)Vlcg/Pms1+ (more )
Structure Level Pattern Image Note
TS28: mammary gland Present UC Davis_1888640

Specimen UC Davis_1888589: postnatal adult; Pms1tm1.1(KOMP)Vlcg/Pms1+ (more )
Structure Level Pattern Image Note
TS28: trachea Present UC Davis_1888589

Specimen UC Davis_1888593: postnatal adult; Pms1tm1.1(KOMP)Vlcg/Pms1+ (more )
Structure Level Pattern Image Note
TS28: stomach Present UC Davis_1888593

Specimen UC Davis_1888594: postnatal adult; Pms1tm1.1(KOMP)Vlcg/Pms1+ (more )
Structure Level Pattern Image Note
TS28: stomach Present UC Davis_1888594

Specimen UC Davis_1888595: postnatal adult; Pms1tm1.1(KOMP)Vlcg/Pms1+ (more )
Structure Level Pattern Image Note
TS28: duodenum Present UC Davis_1888595

Specimen UC Davis_1888596: postnatal adult; Pms1tm1.1(KOMP)Vlcg/Pms1+ (more )
Structure Level Pattern Image Note
TS28: ileum Present UC Davis_1888596

Specimen UC Davis_1888597: postnatal adult; Pms1tm1.1(KOMP)Vlcg/Pms1+ (more )
Structure Level Pattern Image Note
TS28: ileum Present UC Davis_1888597

Specimen UC Davis_1888598: postnatal adult; Pms1tm1.1(KOMP)Vlcg/Pms1+ (more )
Structure Level Pattern Image Note
TS28: colon Present UC Davis_1888598

Specimen UC Davis_1888599: postnatal adult; Pms1tm1.1(KOMP)Vlcg/Pms1+ (more )
Structure Level Pattern Image Note
TS28: metanephros Present UC Davis_1888599 kidney

Specimen UC Davis_1888600: postnatal adult; Pms1tm1.1(KOMP)Vlcg/Pms1+ (more )
Structure Level Pattern Image Note
TS28: metanephros Present UC Davis_1888600 kidney

Specimen UC Davis_1888601: postnatal adult; Pms1tm1.1(KOMP)Vlcg/Pms1+ (more )
Structure Level Pattern Image Note
TS28: metanephros Present UC Davis_1888601 kidney

Specimen UC Davis_1888602: postnatal adult; Pms1tm1.1(KOMP)Vlcg/Pms1+ (more )
Structure Level Pattern Image Note
TS28: pituitary gland Present UC Davis_1888602

Specimen UC Davis_1888603: postnatal adult; Pms1tm1.1(KOMP)Vlcg/Pms1+ (more )
Structure Level Pattern Image Note
TS28: pituitary gland Present UC Davis_1888603

Specimen UC Davis_1888604: postnatal adult; Pms1tm1.1(KOMP)Vlcg/Pms1+ (more )
Structure Level Pattern Image Note
TS28: eye Present UC Davis_1888604

Specimen UC Davis_1888605: postnatal adult; Pms1tm1.1(KOMP)Vlcg/Pms1+ (more )
Structure Level Pattern Image Note
TS28: skin Present UC Davis_1888605

Specimen UC Davis_1888606: postnatal adult; Pms1tm1.1(KOMP)Vlcg/Pms1+ (more )
Structure Level Pattern Image Note
TS28: skin Present UC Davis_1888606

Specimen UC Davis_1888608: postnatal adult; Pms1tm1.1(KOMP)Vlcg/Pms1+ (more )
Structure Level Pattern Image Note
TS28: midbrain Present UC Davis_1888608

Specimen UC Davis_1888609: postnatal adult; Pms1tm1.1(KOMP)Vlcg/Pms1+ (more )
Structure Level Pattern Image Note
TS28: midbrain Present UC Davis_1888609

Specimen UC Davis_1888610: postnatal adult; Pms1tm1.1(KOMP)Vlcg/Pms1+ (more )
Structure Level Pattern Image Note
TS28: cerebellum Present UC Davis_1888610

Specimen UC Davis_1888611: postnatal adult; Pms1tm1.1(KOMP)Vlcg/Pms1+ (more )
Structure Level Pattern Image Note
TS28: cerebellum Present UC Davis_1888611

Specimen UC Davis_1888612: postnatal adult; Pms1tm1.1(KOMP)Vlcg/Pms1+ (more )
Structure Level Pattern Image Note
TS28: bladder Present UC Davis_1888612

Specimen UC Davis_1888613: postnatal adult; Pms1tm1.1(KOMP)Vlcg/Pms1+ (more )
Structure Level Pattern Image Note
TS28: ductus deferens Present UC Davis_1888613 vas deferens


Contributing Projects:
Mouse Genome Database (MGD), Gene Expression Database (GXD), Mouse Models of Human Cancer database (MMHCdb) (formerly Mouse Tumor Biology (MTB)), Gene Ontology (GO)
Citing These Resources
Funding Information
Warranty Disclaimer, Privacy Notice, Licensing, & Copyright
Send questions and comments to User Support.
last database update
12/30/2025
MGI 6.24
The Jackson Laboratory