About   Help   FAQ
Gene Expression Data
Assay Details
Assay
Reference: J:228563 Koscielny G, et al., The International Mouse Phenotyping Consortium Web Portal, a unified point of access for knockout mice and related phenotyping data. Nucleic Acids Res. 2014 Jan;42(Database issue):D802-9
Assay type: In situ reporter (knock in)
MGI Accession ID: MGI:6691259
Gene symbol: Sumo1
Gene name: small ubiquitin-like modifier 1
Reporter: lacZ
Direct Detection
Results
Specimen UC Davis_1884071: postnatal adult; Sumo1tm1.1(KOMP)Vlcg/Sumo1+ (more )
Structure Level Pattern Image Note
TS28: submandibular gland Present UC Davis_1884071

Specimen UC Davis_1884072: postnatal adult; Sumo1tm1.1(KOMP)Vlcg/Sumo1+ (more )
Structure Level Pattern Image Note
TS28: sublingual gland Present UC Davis_1884072

Specimen UC Davis_1884073: postnatal adult; Sumo1tm1.1(KOMP)Vlcg/Sumo1+ (more )
Structure Level Pattern Image Note
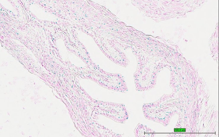
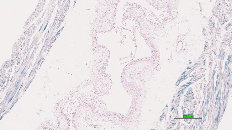
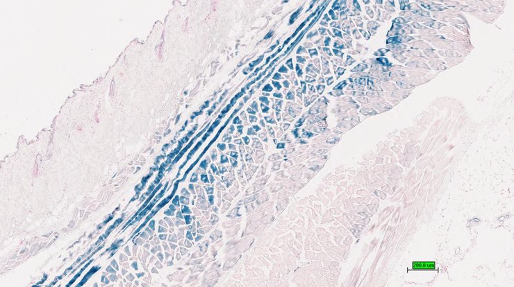
TS28: trachea Present UC Davis_1884073

Specimen UC Davis_1884074: postnatal adult; Sumo1tm1.1(KOMP)Vlcg/Sumo1+ (more )
Structure Level Pattern Image Note
TS28: trachea Present UC Davis_1884074

Specimen UC Davis_1884075: postnatal adult; Sumo1tm1.1(KOMP)Vlcg/Sumo1+ (more )
Structure Level Pattern Image Note
TS28: esophagus Present UC Davis_1884075

Specimen UC Davis_1884078: postnatal adult; Sumo1tm1.1(KOMP)Vlcg/Sumo1+ (more )
Structure Level Pattern Image Note
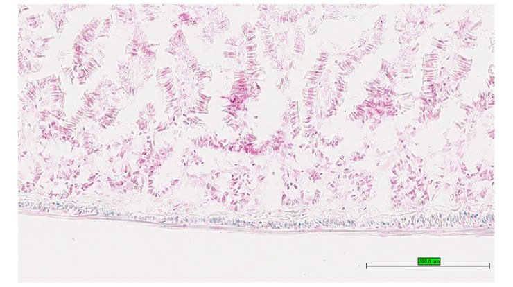
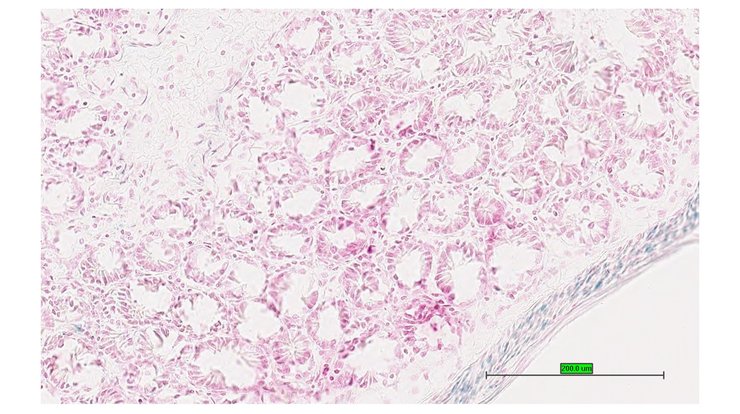
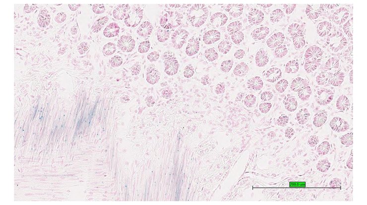
TS28: stomach Present UC Davis_1884078

Specimen UC Davis_1884079: postnatal adult; Sumo1tm1.1(KOMP)Vlcg/Sumo1+ (more )
Structure Level Pattern Image Note
TS28: stomach Present UC Davis_1884079

Specimen UC Davis_1884080: postnatal adult; Sumo1tm1.1(KOMP)Vlcg/Sumo1+ (more )
Structure Level Pattern Image Note
TS28: stomach Present UC Davis_1884080

Specimen UC Davis_1884081: postnatal adult; Sumo1tm1.1(KOMP)Vlcg/Sumo1+ (more )
Structure Level Pattern Image Note
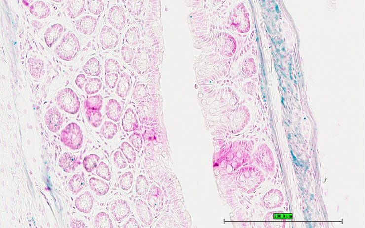
TS28: ileum Present UC Davis_1884081

Specimen UC Davis_1884082: postnatal adult; Sumo1tm1.1(KOMP)Vlcg/Sumo1+ (more )
Structure Level Pattern Image Note
TS28: colon Present UC Davis_1884082

Specimen UC Davis_1884083: postnatal adult; Sumo1tm1.1(KOMP)Vlcg/Sumo1+ (more )
Structure Level Pattern Image Note
TS28: colon Present UC Davis_1884083

Specimen UC Davis_1884084: postnatal adult; Sumo1tm1.1(KOMP)Vlcg/Sumo1+ (more )
Structure Level Pattern Image Note
TS28: colon Present UC Davis_1884084

Specimen UC Davis_1884085: postnatal adult; Sumo1tm1.1(KOMP)Vlcg/Sumo1+ (more )
Structure Level Pattern Image Note
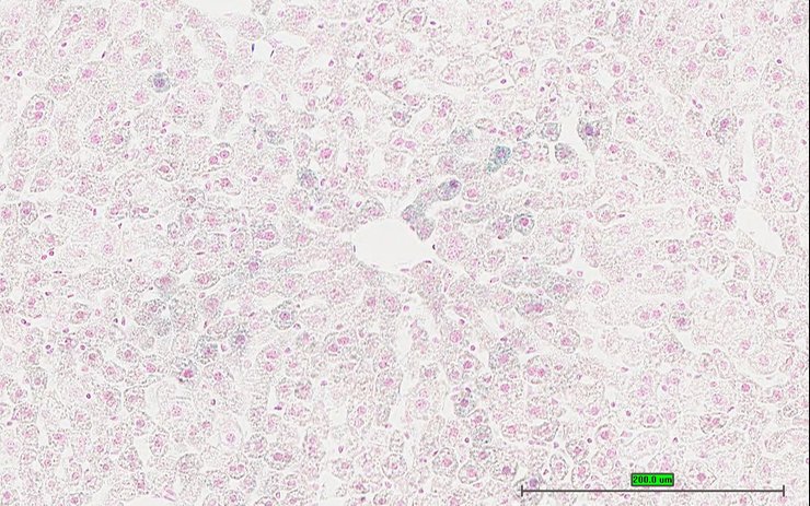
TS28: liver Present UC Davis_1884085

Specimen UC Davis_1884086: postnatal adult; Sumo1tm1.1(KOMP)Vlcg/Sumo1+ (more )
Structure Level Pattern Image Note
TS28: liver Present UC Davis_1884086

Specimen UC Davis_1884087: postnatal adult; Sumo1tm1.1(KOMP)Vlcg/Sumo1+ (more )
Structure Level Pattern Image Note
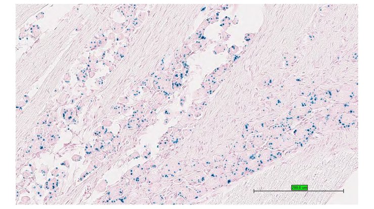
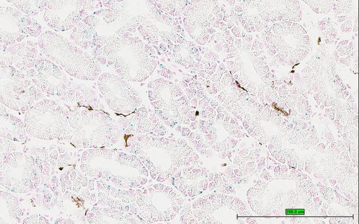
TS28: metanephros Present UC Davis_1884087 kidney

Specimen UC Davis_1884088: postnatal adult; Sumo1tm1.1(KOMP)Vlcg/Sumo1+ (more )
Structure Level Pattern Image Note
TS28: metanephros Present UC Davis_1884088 kidney

Specimen UC Davis_1884089: postnatal adult; Sumo1tm1.1(KOMP)Vlcg/Sumo1+ (more )
Structure Level Pattern Image Note
TS28: metanephros Present UC Davis_1884089 kidney

Specimen UC Davis_1884090: postnatal adult; Sumo1tm1.1(KOMP)Vlcg/Sumo1+ (more )
Structure Level Pattern Image Note
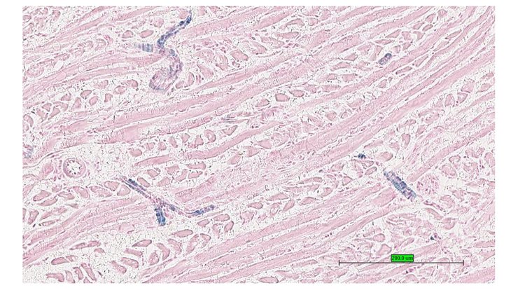
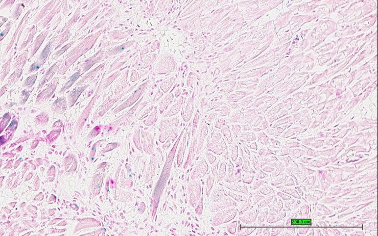
TS28: quadriceps femoris muscle Present UC Davis_1884090

Specimen UC Davis_1884091: postnatal adult; Sumo1tm1.1(KOMP)Vlcg/Sumo1+ (more )
Structure Level Pattern Image Note
TS28: tongue Present UC Davis_1884091

Specimen UC Davis_1884092: postnatal adult; Sumo1tm1.1(KOMP)Vlcg/Sumo1+ (more )
Structure Level Pattern Image Note
TS28: tongue Present UC Davis_1884092

Specimen UC Davis_1884093: postnatal adult; Sumo1tm1.1(KOMP)Vlcg/Sumo1+ (more )
Structure Level Pattern Image Note
TS28: tongue Present UC Davis_1884093

Specimen UC Davis_1884094: postnatal adult; Sumo1tm1.1(KOMP)Vlcg/Sumo1+ (more )
Structure Level Pattern Image Note
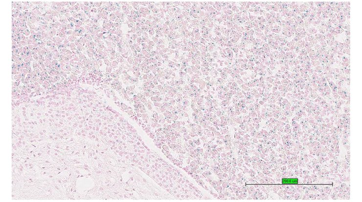
TS28: adrenal gland Present UC Davis_1884094

Specimen UC Davis_1884095: postnatal adult; Sumo1tm1.1(KOMP)Vlcg/Sumo1+ (more )
Structure Level Pattern Image Note
TS28: adrenal gland Present UC Davis_1884095

Specimen UC Davis_1884096: postnatal adult; Sumo1tm1.1(KOMP)Vlcg/Sumo1+ (more )
Structure Level Pattern Image Note
TS28: pituitary gland Present UC Davis_1884096

Specimen UC Davis_1884097: postnatal adult; Sumo1tm1.1(KOMP)Vlcg/Sumo1+ (more )
Structure Level Pattern Image Note
TS28: spinal cord Present UC Davis_1884097

Specimen UC Davis_1884098: postnatal adult; Sumo1tm1.1(KOMP)Vlcg/Sumo1+ (more )
Structure Level Pattern Image Note
TS28: spinal cord Present UC Davis_1884098

Specimen UC Davis_1884099: postnatal adult; Sumo1tm1.1(KOMP)Vlcg/Sumo1+ (more )
Structure Level Pattern Image Note
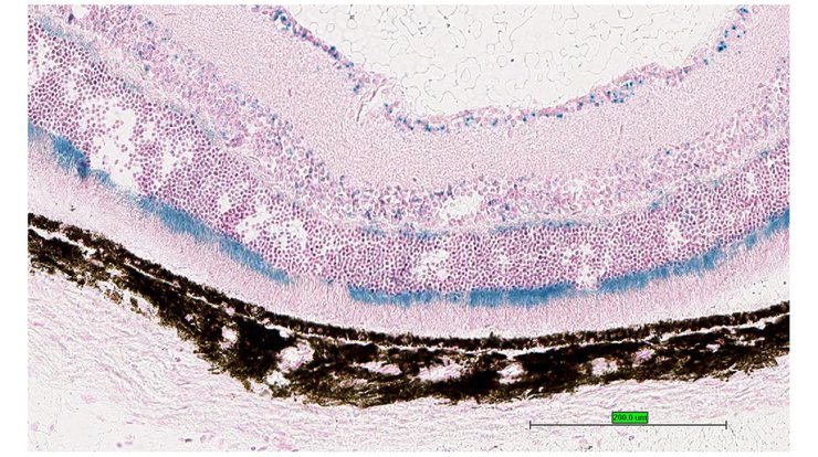
TS28: eye Present UC Davis_1884099

Specimen UC Davis_1884100: postnatal adult; Sumo1tm1.1(KOMP)Vlcg/Sumo1+ (more )
Structure Level Pattern Image Note
TS28: eye Present UC Davis_1884100

Specimen UC Davis_1884101: postnatal adult; Sumo1tm1.1(KOMP)Vlcg/Sumo1+ (more )
Structure Level Pattern Image Note
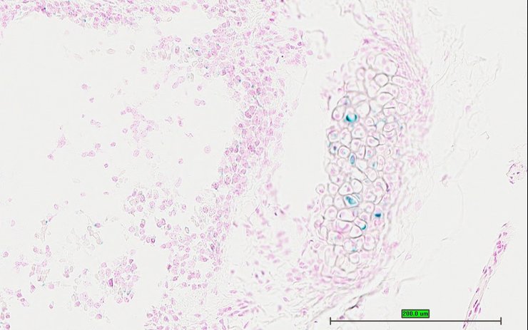
TS28: Harderian gland Present UC Davis_1884101

Specimen UC Davis_1884102: postnatal adult; Sumo1tm1.1(KOMP)Vlcg/Sumo1+ (more )
Structure Level Pattern Image Note
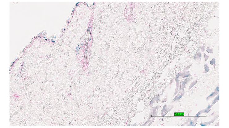
TS28: skin Present UC Davis_1884102

Specimen UC Davis_1884103: postnatal adult; Sumo1tm1.1(KOMP)Vlcg/Sumo1+ (more )
Structure Level Pattern Image Note
TS28: skin Present UC Davis_1884103

Specimen UC Davis_1884104: postnatal adult; Sumo1tm1.1(KOMP)Vlcg/Sumo1+ (more )
Structure Level Pattern Image Note
TS28: brown fat Present UC Davis_1884104

Specimen UC Davis_1884105: postnatal adult; Sumo1tm1.1(KOMP)Vlcg/Sumo1+ (more )
Structure Level Pattern Image Note
TS28: brown fat Present UC Davis_1884105

Specimen UC Davis_1884106: postnatal adult; Sumo1tm1.1(KOMP)Vlcg/Sumo1+ (more )
Structure Level Pattern Image Note
TS28: olfactory lobe Present UC Davis_1884106

Specimen UC Davis_1884109: postnatal adult; Sumo1tm1.1(KOMP)Vlcg/Sumo1+ (more )
Structure Level Pattern Image Note
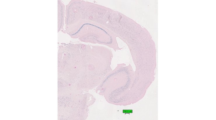
TS28: midbrain Present UC Davis_1884109

Specimen UC Davis_1884111: postnatal adult; Sumo1tm1.1(KOMP)Vlcg/Sumo1+ (more )
Structure Level Pattern Image Note
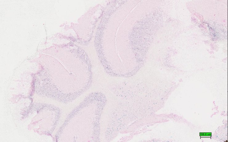
TS28: cerebellum Present UC Davis_1884111

Specimen UC Davis_1884112: postnatal adult; Sumo1tm1.1(KOMP)Vlcg/Sumo1+ (more )
Structure Level Pattern Image Note
TS28: trigeminal nerve Present UC Davis_1884112

Specimen UC Davis_1884113: postnatal adult; Sumo1tm1.1(KOMP)Vlcg/Sumo1+ (more )
Structure Level Pattern Image Note
TS28: ovary Present UC Davis_1884113

Specimen UC Davis_1884114: postnatal adult; Sumo1tm1.1(KOMP)Vlcg/Sumo1+ (more )
Structure Level Pattern Image Note
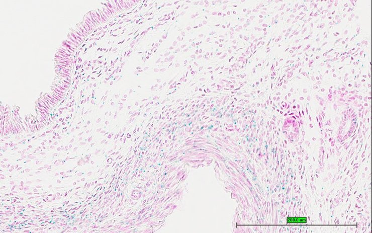
TS28: oviduct Present UC Davis_1884114

Specimen UC Davis_1884115: postnatal adult; Sumo1tm1.1(KOMP)Vlcg/Sumo1+ (more )
Structure Level Pattern Image Note
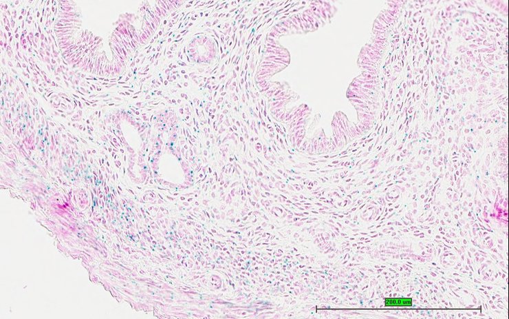
TS28: uterus Present UC Davis_1884115

Specimen UC Davis_1884116: postnatal adult; Sumo1tm1.1(KOMP)Vlcg/Sumo1+ (more )
Structure Level Pattern Image Note
TS28: uterus Present UC Davis_1884116

Specimen UC Davis_1884117: postnatal adult; Sumo1tm1.1(KOMP)Vlcg/Sumo1+ (more )
Structure Level Pattern Image Note
TS28: bladder Present UC Davis_1884117

Specimen UC Davis_1884118: postnatal adult; Sumo1tm1.1(KOMP)Vlcg/Sumo1+ (more )
Structure Level Pattern Image Note
TS28: mammary gland Present UC Davis_1884118

Specimen UC Davis_1884119: postnatal adult; Sumo1tm1.1(KOMP)Vlcg/Sumo1+ (more )
Structure Level Pattern Image Note
TS28: trachea Present UC Davis_1884119

Specimen UC Davis_1884120: postnatal adult; Sumo1tm1.1(KOMP)Vlcg/Sumo1+ (more )
Structure Level Pattern Image Note
TS28: trachea Present UC Davis_1884120

Specimen UC Davis_1884121: postnatal adult; Sumo1tm1.1(KOMP)Vlcg/Sumo1+ (more )
Structure Level Pattern Image Note
TS28: trachea Present UC Davis_1884121

Specimen UC Davis_1884122: postnatal adult; Sumo1tm1.1(KOMP)Vlcg/Sumo1+ (more )
Structure Level Pattern Image Note
TS28: esophagus Present UC Davis_1884122

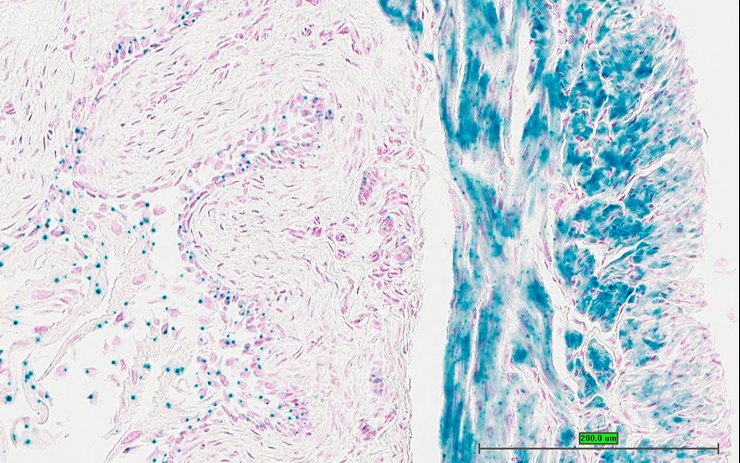
Specimen UC Davis_1884123: postnatal adult; Sumo1tm1.1(KOMP)Vlcg/Sumo1+ (more )
Structure Level Pattern Image Note
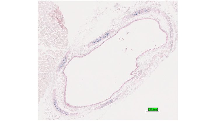
TS28: aorta Present UC Davis_1884123

Specimen UC Davis_1884124: postnatal adult; Sumo1tm1.1(KOMP)Vlcg/Sumo1+ (more )
Structure Level Pattern Image Note
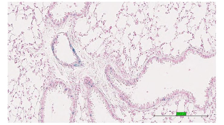
TS28: lung Present UC Davis_1884124

Specimen UC Davis_1884125: postnatal adult; Sumo1tm1.1(KOMP)Vlcg/Sumo1+ (more )
Structure Level Pattern Image Note
TS28: lung Present UC Davis_1884125

Specimen UC Davis_1884127: postnatal adult; Sumo1tm1.1(KOMP)Vlcg/Sumo1+ (more )
Structure Level Pattern Image Note
TS28: stomach Present UC Davis_1884127

Specimen UC Davis_1884128: postnatal adult; Sumo1tm1.1(KOMP)Vlcg/Sumo1+ (more )
Structure Level Pattern Image Note
TS28: stomach Present UC Davis_1884128

Specimen UC Davis_1884129: postnatal adult; Sumo1tm1.1(KOMP)Vlcg/Sumo1+ (more )
Structure Level Pattern Image Note
TS28: stomach Present UC Davis_1884129

Specimen UC Davis_1884130: postnatal adult; Sumo1tm1.1(KOMP)Vlcg/Sumo1+ (more )
Structure Level Pattern Image Note
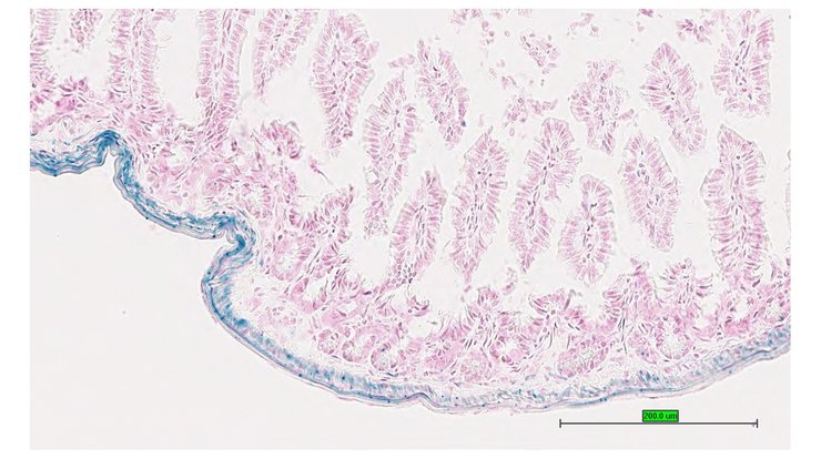
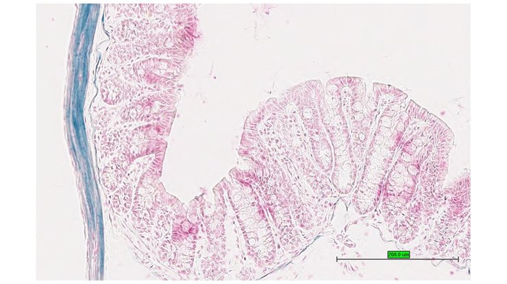
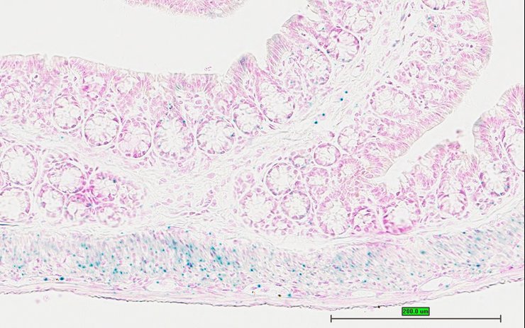
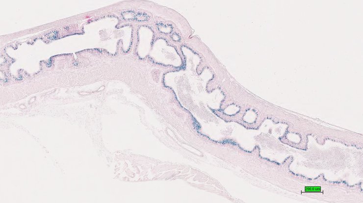
TS28: duodenum Present UC Davis_1884130

Specimen UC Davis_1884131: postnatal adult; Sumo1tm1.1(KOMP)Vlcg/Sumo1+ (more )
Structure Level Pattern Image Note
TS28: duodenum Present UC Davis_1884131

Specimen UC Davis_1884132: postnatal adult; Sumo1tm1.1(KOMP)Vlcg/Sumo1+ (more )
Structure Level Pattern Image Note
TS28: duodenum Present UC Davis_1884132

Specimen UC Davis_1884133: postnatal adult; Sumo1tm1.1(KOMP)Vlcg/Sumo1+ (more )
Structure Level Pattern Image Note
TS28: jejunum Present UC Davis_1884133

Specimen UC Davis_1884134: postnatal adult; Sumo1tm1.1(KOMP)Vlcg/Sumo1+ (more )
Structure Level Pattern Image Note
TS28: ileum Present UC Davis_1884134

Specimen UC Davis_1884135: postnatal adult; Sumo1tm1.1(KOMP)Vlcg/Sumo1+ (more )
Structure Level Pattern Image Note
TS28: ileum Present UC Davis_1884135

Specimen UC Davis_1884136: postnatal adult; Sumo1tm1.1(KOMP)Vlcg/Sumo1+ (more )
Structure Level Pattern Image Note
TS28: colon Present UC Davis_1884136

Specimen UC Davis_1884137: postnatal adult; Sumo1tm1.1(KOMP)Vlcg/Sumo1+ (more )
Structure Level Pattern Image Note
TS28: colon Present UC Davis_1884137

Specimen UC Davis_1884138: postnatal adult; Sumo1tm1.1(KOMP)Vlcg/Sumo1+ (more )
Structure Level Pattern Image Note
TS28: cecum Present UC Davis_1884138

Specimen UC Davis_1884139: postnatal adult; Sumo1tm1.1(KOMP)Vlcg/Sumo1+ (more )
Structure Level Pattern Image Note
TS28: metanephros Present UC Davis_1884139 kidney

Specimen UC Davis_1884140: postnatal adult; Sumo1tm1.1(KOMP)Vlcg/Sumo1+ (more )
Structure Level Pattern Image Note
TS28: metanephros Present UC Davis_1884140 kidney

Specimen UC Davis_1884141: postnatal adult; Sumo1tm1.1(KOMP)Vlcg/Sumo1+ (more )
Structure Level Pattern Image Note
TS28: metanephros Present UC Davis_1884141 kidney

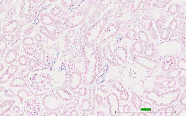
Specimen UC Davis_1884142: postnatal adult; Sumo1tm1.1(KOMP)Vlcg/Sumo1+ (more )
Structure Level Pattern Image Note
TS28: metanephros Present UC Davis_1884142 kidney

Specimen UC Davis_1884143: postnatal adult; Sumo1tm1.1(KOMP)Vlcg/Sumo1+ (more )
Structure Level Pattern Image Note
TS28: quadriceps femoris muscle Present UC Davis_1884143

Specimen UC Davis_1884144: postnatal adult; Sumo1tm1.1(KOMP)Vlcg/Sumo1+ (more )
Structure Level Pattern Image Note
TS28: quadriceps femoris muscle Present UC Davis_1884144

Specimen UC Davis_1884145: postnatal adult; Sumo1tm1.1(KOMP)Vlcg/Sumo1+ (more )
Structure Level Pattern Image Note
TS28: tongue Present UC Davis_1884145

Specimen UC Davis_1884146: postnatal adult; Sumo1tm1.1(KOMP)Vlcg/Sumo1+ (more )
Structure Level Pattern Image Note
TS28: tongue Present UC Davis_1884146

Specimen UC Davis_1884147: postnatal adult; Sumo1tm1.1(KOMP)Vlcg/Sumo1+ (more )
Structure Level Pattern Image Note
TS28: tongue Present UC Davis_1884147

Specimen UC Davis_1884148: postnatal adult; Sumo1tm1.1(KOMP)Vlcg/Sumo1+ (more )
Structure Level Pattern Image Note
TS28: pituitary gland Present UC Davis_1884148

Specimen UC Davis_1884149: postnatal adult; Sumo1tm1.1(KOMP)Vlcg/Sumo1+ (more )
Structure Level Pattern Image Note
TS28: pituitary gland Present UC Davis_1884149

Specimen UC Davis_1884150: postnatal adult; Sumo1tm1.1(KOMP)Vlcg/Sumo1+ (more )
Structure Level Pattern Image Note
TS28: spinal cord Present UC Davis_1884150

Specimen UC Davis_1884151: postnatal adult; Sumo1tm1.1(KOMP)Vlcg/Sumo1+ (more )
Structure Level Pattern Image Note
TS28: spinal cord Present UC Davis_1884151

Specimen UC Davis_1884152: postnatal adult; Sumo1tm1.1(KOMP)Vlcg/Sumo1+ (more )
Structure Level Pattern Image Note
TS28: eye Present UC Davis_1884152

Specimen UC Davis_1884153: postnatal adult; Sumo1tm1.1(KOMP)Vlcg/Sumo1+ (more )
Structure Level Pattern Image Note
TS28: Harderian gland Present UC Davis_1884153

Specimen UC Davis_1884154: postnatal adult; Sumo1tm1.1(KOMP)Vlcg/Sumo1+ (more )
Structure Level Pattern Image Note
TS28: skin Present UC Davis_1884154

Specimen UC Davis_1884155: postnatal adult; Sumo1tm1.1(KOMP)Vlcg/Sumo1+ (more )
Structure Level Pattern Image Note
TS28: skin Present UC Davis_1884155

Specimen UC Davis_1884156: postnatal adult; Sumo1tm1.1(KOMP)Vlcg/Sumo1+ (more )
Structure Level Pattern Image Note
TS28: skin Present UC Davis_1884156

Specimen UC Davis_1884157: postnatal adult; Sumo1tm1.1(KOMP)Vlcg/Sumo1+ (more )
Structure Level Pattern Image Note
TS28: brown fat Present UC Davis_1884157

Specimen UC Davis_1884158: postnatal adult; Sumo1tm1.1(KOMP)Vlcg/Sumo1+ (more )
Structure Level Pattern Image Note
TS28: olfactory lobe Present UC Davis_1884158

Specimen UC Davis_1884161: postnatal adult; Sumo1tm1.1(KOMP)Vlcg/Sumo1+ (more )
Structure Level Pattern Image Note
TS28: midbrain Present UC Davis_1884161

Specimen UC Davis_1884163: postnatal adult; Sumo1tm1.1(KOMP)Vlcg/Sumo1+ (more )
Structure Level Pattern Image Note
TS28: cerebellum Present UC Davis_1884163

Specimen UC Davis_1884164: postnatal adult; Sumo1tm1.1(KOMP)Vlcg/Sumo1+ (more )
Structure Level Pattern Image Note
TS28: trigeminal nerve Present UC Davis_1884164

Specimen UC Davis_1884165: postnatal adult; Sumo1tm1.1(KOMP)Vlcg/Sumo1+ (more )
Structure Level Pattern Image Note
TS28: bladder Present UC Davis_1884165

Specimen UC Davis_1884166: postnatal adult; Sumo1tm1.1(KOMP)Vlcg/Sumo1+ (more )
Structure Level Pattern Image Note
TS28: bladder Present UC Davis_1884166

Specimen UC Davis_1884167: postnatal adult; Sumo1tm1.1(KOMP)Vlcg/Sumo1+ (more )
Structure Level Pattern Image Note
TS28: bladder Present UC Davis_1884167

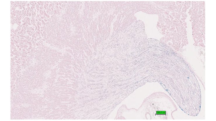
Specimen UC Davis_1884168: postnatal adult; Sumo1tm1.1(KOMP)Vlcg/Sumo1+ (more )
Structure Level Pattern Image Note
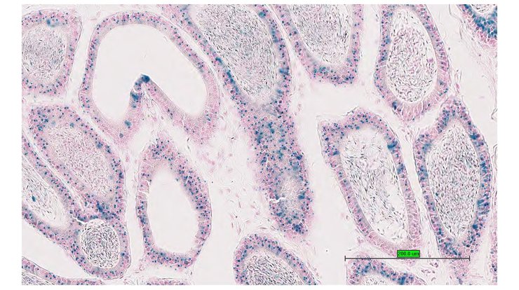
TS28: testis Present UC Davis_1884168

Specimen UC Davis_1884169: postnatal adult; Sumo1tm1.1(KOMP)Vlcg/Sumo1+ (more )
Structure Level Pattern Image Note
TS28: testis Present UC Davis_1884169

Specimen UC Davis_1884170: postnatal adult; Sumo1tm1.1(KOMP)Vlcg/Sumo1+ (more )
Structure Level Pattern Image Note
TS28: epididymis Present UC Davis_1884170

Specimen UC Davis_1884171: postnatal adult; Sumo1tm1.1(KOMP)Vlcg/Sumo1+ (more )
Structure Level Pattern Image Note
TS28: epididymis Present UC Davis_1884171

Specimen UC Davis_1884172: postnatal adult; Sumo1tm1.1(KOMP)Vlcg/Sumo1+ (more )
Structure Level Pattern Image Note
TS28: epididymis Present UC Davis_1884172

Specimen UC Davis_1884173: postnatal adult; Sumo1tm1.1(KOMP)Vlcg/Sumo1+ (more )
Structure Level Pattern Image Note
TS28: penis Present UC Davis_1884173

Specimen UC Davis_1884174: postnatal adult; Sumo1tm1.1(KOMP)Vlcg/Sumo1+ (more )
Structure Level Pattern Image Note
TS28: penis Present UC Davis_1884174

Specimen UC Davis_1884175: postnatal adult; Sumo1tm1.1(KOMP)Vlcg/Sumo1+ (more )
Structure Level Pattern Image Note
TS28: penis Present UC Davis_1884175

Specimen UC Davis_1884176: postnatal adult; Sumo1tm1.1(KOMP)Vlcg/Sumo1+ (more )
Structure Level Pattern Image Note
TS28: ductus deferens Present UC Davis_1884176 vas deferens

Specimen UC Davis_1884177: postnatal adult; Sumo1tm1.1(KOMP)Vlcg/Sumo1+ (more )
Structure Level Pattern Image Note
TS28: ductus deferens Present UC Davis_1884177 vas deferens

Specimen UC Davis_1884178: postnatal adult; Sumo1tm1.1(KOMP)Vlcg/Sumo1+ (more )
Structure Level Pattern Image Note
TS28: ductus deferens Present UC Davis_1884178 vas deferens

Specimen UC Davis_1884181: postnatal adult; Sumo1tm1.1(KOMP)Vlcg/Sumo1+ (more )
Structure Level Pattern Image Note
TS28: seminal vesicle Present UC Davis_1884181 vesicular gland


Contributing Projects:
Mouse Genome Database (MGD), Gene Expression Database (GXD), Mouse Models of Human Cancer database (MMHCdb) (formerly Mouse Tumor Biology (MTB)), Gene Ontology (GO)
Citing These Resources
Funding Information
Warranty Disclaimer, Privacy Notice, Licensing, & Copyright
Send questions and comments to User Support.
last database update
12/30/2025
MGI 6.24
The Jackson Laboratory