About   Help   FAQ
Gene Expression Data
Assay Details
Assay
Reference: J:228563 Koscielny G, et al., The International Mouse Phenotyping Consortium Web Portal, a unified point of access for knockout mice and related phenotyping data. Nucleic Acids Res. 2014 Jan;42(Database issue):D802-9
Assay type: In situ reporter (knock in)
MGI Accession ID: MGI:6691242
Gene symbol: Slc3a1
Gene name: solute carrier family 3, member 1
Reporter: lacZ
Direct Detection
Results
Specimen UC Davis_1883620: postnatal adult; Slc3a1tm1.1(KOMP)Vlcg/Slc3a1+ (more )
Structure Level Pattern Image Note
TS28: duodenum Present UC Davis_1883620

Specimen UC Davis_1883621: postnatal adult; Slc3a1tm1.1(KOMP)Vlcg/Slc3a1+ (more )
Structure Level Pattern Image Note
TS28: duodenum Present UC Davis_1883621

Specimen UC Davis_1883622: postnatal adult; Slc3a1tm1.1(KOMP)Vlcg/Slc3a1+ (more )
Structure Level Pattern Image Note
TS28: jejunum Present UC Davis_1883622

Specimen UC Davis_1883623: postnatal adult; Slc3a1tm1.1(KOMP)Vlcg/Slc3a1+ (more )
Structure Level Pattern Image Note
TS28: ileum Present UC Davis_1883623

Specimen UC Davis_1883624: postnatal adult; Slc3a1tm1.1(KOMP)Vlcg/Slc3a1+ (more )
Structure Level Pattern Image Note
TS28: colon Present UC Davis_1883624

Specimen UC Davis_1883625: postnatal adult; Slc3a1tm1.1(KOMP)Vlcg/Slc3a1+ (more )
Structure Level Pattern Image Note
TS28: pancreas Present UC Davis_1883625

Specimen UC Davis_1883626: postnatal adult; Slc3a1tm1.1(KOMP)Vlcg/Slc3a1+ (more )
Structure Level Pattern Image Note
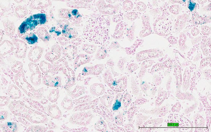
TS28: metanephros Present UC Davis_1883626 kidney

Specimen UC Davis_1883627: postnatal adult; Slc3a1tm1.1(KOMP)Vlcg/Slc3a1+ (more )
Structure Level Pattern Image Note
TS28: metanephros Present UC Davis_1883627 kidney

Specimen UC Davis_1883628: postnatal adult; Slc3a1tm1.1(KOMP)Vlcg/Slc3a1+ (more )
Structure Level Pattern Image Note
TS28: metanephros Present UC Davis_1883628 kidney

Specimen UC Davis_1883613: postnatal adult; Slc3a1tm1.1(KOMP)Vlcg/Slc3a1+ (more )
Structure Level Pattern Image Note
TS28: jejunum Present UC Davis_1883613

Specimen UC Davis_1883614: postnatal adult; Slc3a1tm1.1(KOMP)Vlcg/Slc3a1+ (more )
Structure Level Pattern Image Note
TS28: ileum Present UC Davis_1883614

Specimen UC Davis_1883615: postnatal adult; Slc3a1tm1.1(KOMP)Vlcg/Slc3a1+ (more )
Structure Level Pattern Image Note
TS28: metanephros Present UC Davis_1883615 kidney

Specimen UC Davis_1883616: postnatal adult; Slc3a1tm1.1(KOMP)Vlcg/Slc3a1+ (more )
Structure Level Pattern Image Note
TS28: metanephros Present UC Davis_1883616 kidney

Specimen UC Davis_1883617: postnatal adult; Slc3a1tm1.1(KOMP)Vlcg/Slc3a1+ (more )
Structure Level Pattern Image Note
TS28: eye Present UC Davis_1883617

Specimen UC Davis_1883618: postnatal adult; Slc3a1tm1.1(KOMP)Vlcg/Slc3a1+ (more )
Structure Level Pattern Image Note
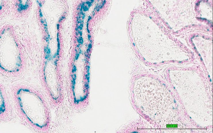
TS28: epididymis Present UC Davis_1883618

Specimen UC Davis_1883619: postnatal adult; Slc3a1tm1.1(KOMP)Vlcg/Slc3a1+ (more )
Structure Level Pattern Image Note
TS28: ductus deferens Present UC Davis_1883619 vas deferens


Contributing Projects:
Mouse Genome Database (MGD), Gene Expression Database (GXD), Mouse Models of Human Cancer database (MMHCdb) (formerly Mouse Tumor Biology (MTB)), Gene Ontology (GO)
Citing These Resources
Funding Information
Warranty Disclaimer, Privacy Notice, Licensing, & Copyright
Send questions and comments to User Support.
last database update
03/24/2026
MGI 6.24
The Jackson Laboratory