About   Help   FAQ
Gene Expression Data
Assay Details
Assay
Reference: J:228563 Koscielny G, et al., The International Mouse Phenotyping Consortium Web Portal, a unified point of access for knockout mice and related phenotyping data. Nucleic Acids Res. 2014 Jan;42(Database issue):D802-9
Assay type: In situ reporter (knock in)
MGI Accession ID: MGI:6691235
Gene symbol: Elf3
Gene name: E74-like factor 3
Reporter: lacZ
Direct Detection
Results
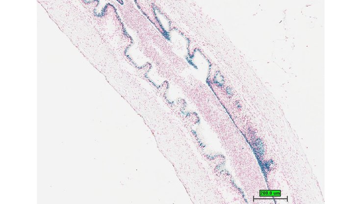
Specimen UC Davis_1859967: postnatal adult; Elf3tm1b(KOMP)Wtsi/Elf3+ (more )
Structure Level Pattern Image Note
TS28: submandibular gland Present UC Davis_1859967

Specimen UC Davis_1859968: postnatal adult; Elf3tm1b(KOMP)Wtsi/Elf3+ (more )
Structure Level Pattern Image Note
TS28: submandibular gland Present UC Davis_1859968

Specimen UC Davis_1859969: postnatal adult; Elf3tm1b(KOMP)Wtsi/Elf3+ (more )
Structure Level Pattern Image Note
TS28: sublingual gland Present UC Davis_1859969

Specimen UC Davis_1859970: postnatal adult; Elf3tm1b(KOMP)Wtsi/Elf3+ (more )
Structure Level Pattern Image Note
TS28: sublingual gland Present UC Davis_1859970

Specimen UC Davis_1859971: postnatal adult; Elf3tm1b(KOMP)Wtsi/Elf3+ (more )
Structure Level Pattern Image Note
TS28: trachea Present UC Davis_1859971

Specimen UC Davis_1859972: postnatal adult; Elf3tm1b(KOMP)Wtsi/Elf3+ (more )
Structure Level Pattern Image Note
TS28: lung Present UC Davis_1859972

Specimen UC Davis_1859973: postnatal adult; Elf3tm1b(KOMP)Wtsi/Elf3+ (more )
Structure Level Pattern Image Note
TS28: lung Present UC Davis_1859973

Specimen UC Davis_1859974: postnatal adult; Elf3tm1b(KOMP)Wtsi/Elf3+ (more )
Structure Level Pattern Image Note
TS28: thymus Present UC Davis_1859974

Specimen UC Davis_1859975: postnatal adult; Elf3tm1b(KOMP)Wtsi/Elf3+ (more )
Structure Level Pattern Image Note
TS28: thymus Present UC Davis_1859975

Specimen UC Davis_1859976: postnatal adult; Elf3tm1b(KOMP)Wtsi/Elf3+ (more )
Structure Level Pattern Image Note
TS28: stomach Present UC Davis_1859976

Specimen UC Davis_1859977: postnatal adult; Elf3tm1b(KOMP)Wtsi/Elf3+ (more )
Structure Level Pattern Image Note
TS28: stomach Present UC Davis_1859977

Specimen UC Davis_1859978: postnatal adult; Elf3tm1b(KOMP)Wtsi/Elf3+ (more )
Structure Level Pattern Image Note
TS28: ileum Present UC Davis_1859978

Specimen UC Davis_1859979: postnatal adult; Elf3tm1b(KOMP)Wtsi/Elf3+ (more )
Structure Level Pattern Image Note
TS28: ileum Present UC Davis_1859979

Specimen UC Davis_1859980: postnatal adult; Elf3tm1b(KOMP)Wtsi/Elf3+ (more )
Structure Level Pattern Image Note
TS28: colon Present UC Davis_1859980

Specimen UC Davis_1859981: postnatal adult; Elf3tm1b(KOMP)Wtsi/Elf3+ (more )
Structure Level Pattern Image Note
TS28: colon Present UC Davis_1859981

Specimen UC Davis_1859982: postnatal adult; Elf3tm1b(KOMP)Wtsi/Elf3+ (more )
Structure Level Pattern Image Note
TS28: colon Present UC Davis_1859982

Specimen UC Davis_1859983: postnatal adult; Elf3tm1b(KOMP)Wtsi/Elf3+ (more )
Structure Level Pattern Image Note
TS28: colon Present UC Davis_1859983

Specimen UC Davis_1859984: postnatal adult; Elf3tm1b(KOMP)Wtsi/Elf3+ (more )
Structure Level Pattern Image Note
TS28: colon Present UC Davis_1859984

Specimen UC Davis_1859985: postnatal adult; Elf3tm1b(KOMP)Wtsi/Elf3+ (more )
Structure Level Pattern Image Note
TS28: metanephros Present UC Davis_1859985 kidney

Specimen UC Davis_1859986: postnatal adult; Elf3tm1b(KOMP)Wtsi/Elf3+ (more )
Structure Level Pattern Image Note
TS28: metanephros Present UC Davis_1859986 kidney

Specimen UC Davis_1859987: postnatal adult; Elf3tm1b(KOMP)Wtsi/Elf3+ (more )
Structure Level Pattern Image Note
TS28: metanephros Present UC Davis_1859987 kidney

Specimen UC Davis_1859988: postnatal adult; Elf3tm1b(KOMP)Wtsi/Elf3+ (more )
Structure Level Pattern Image Note
TS28: tongue Present UC Davis_1859988

Specimen UC Davis_1859989: postnatal adult; Elf3tm1b(KOMP)Wtsi/Elf3+ (more )
Structure Level Pattern Image Note
TS28: tongue Present UC Davis_1859989

Specimen UC Davis_1859990: postnatal adult; Elf3tm1b(KOMP)Wtsi/Elf3+ (more )
Structure Level Pattern Image Note
TS28: tongue Present UC Davis_1859990

Specimen UC Davis_1859991: postnatal adult; Elf3tm1b(KOMP)Wtsi/Elf3+ (more )
Structure Level Pattern Image Note
TS28: eye Present UC Davis_1859991

Specimen UC Davis_1859992: postnatal adult; Elf3tm1b(KOMP)Wtsi/Elf3+ (more )
Structure Level Pattern Image Note
TS28: eye Present UC Davis_1859992

Specimen UC Davis_1859993: postnatal adult; Elf3tm1b(KOMP)Wtsi/Elf3+ (more )
Structure Level Pattern Image Note
TS28: Harderian gland Present UC Davis_1859993

Specimen UC Davis_1859994: postnatal adult; Elf3tm1b(KOMP)Wtsi/Elf3+ (more )
Structure Level Pattern Image Note
TS28: oviduct Present UC Davis_1859994

Specimen UC Davis_1859995: postnatal adult; Elf3tm1b(KOMP)Wtsi/Elf3+ (more )
Structure Level Pattern Image Note
TS28: uterus Present UC Davis_1859995

Specimen UC Davis_1859996: postnatal adult; Elf3tm1b(KOMP)Wtsi/Elf3+ (more )
Structure Level Pattern Image Note
TS28: uterus Present UC Davis_1859996

Specimen UC Davis_1859997: postnatal adult; Elf3tm1b(KOMP)Wtsi/Elf3+ (more )
Structure Level Pattern Image Note
TS28: uterus Present UC Davis_1859997

Specimen UC Davis_1859998: postnatal adult; Elf3tm1b(KOMP)Wtsi/Elf3+ (more )
Structure Level Pattern Image Note
TS28: vagina Present UC Davis_1859998

Specimen UC Davis_1859999: postnatal adult; Elf3tm1b(KOMP)Wtsi/Elf3+ (more )
Structure Level Pattern Image Note
TS28: vagina Present UC Davis_1859999

Specimen UC Davis_1860000: postnatal adult; Elf3tm1b(KOMP)Wtsi/Elf3+ (more )
Structure Level Pattern Image Note
TS28: bladder Present UC Davis_1860000

Specimen UC Davis_1860001: postnatal adult; Elf3tm1b(KOMP)Wtsi/Elf3+ (more )
Structure Level Pattern Image Note
TS28: bladder Present UC Davis_1860001

Specimen UC Davis_1860062: postnatal adult; Elf3tm1b(KOMP)Wtsi/Elf3+ (more )
Structure Level Pattern Image Note
TS28: ovary Present UC Davis_1860062

Specimen UC Davis_1860063: postnatal adult; Elf3tm1b(KOMP)Wtsi/Elf3+ (more )
Structure Level Pattern Image Note
TS28: oviduct Present UC Davis_1860063

Specimen UC Davis_1860064: postnatal adult; Elf3tm1b(KOMP)Wtsi/Elf3+ (more )
Structure Level Pattern Image Note
TS28: uterus Present UC Davis_1860064

Specimen UC Davis_1860004: postnatal adult; Elf3tm1b(KOMP)Wtsi/Elf3+ (more )
Structure Level Pattern Image Note
TS28: thymus Present UC Davis_1860004

Specimen UC Davis_1860005: postnatal adult; Elf3tm1b(KOMP)Wtsi/Elf3+ (more )
Structure Level Pattern Image Note
TS28: thymus Present UC Davis_1860005

Specimen UC Davis_1860006: postnatal adult; Elf3tm1b(KOMP)Wtsi/Elf3+ (more )
Structure Level Pattern Image Note
TS28: thymus Present UC Davis_1860006

Specimen UC Davis_1860007: postnatal adult; Elf3tm1b(KOMP)Wtsi/Elf3+ (more )
Structure Level Pattern Image Note
TS28: thymus Present UC Davis_1860007

Specimen UC Davis_1860008: postnatal adult; Elf3tm1b(KOMP)Wtsi/Elf3+ (more )
Structure Level Pattern Image Note
TS28: thymus Present UC Davis_1860008

Specimen UC Davis_1860009: postnatal adult; Elf3tm1b(KOMP)Wtsi/Elf3+ (more )
Structure Level Pattern Image Note
TS28: thymus Present UC Davis_1860009

Specimen UC Davis_1860010: postnatal adult; Elf3tm1b(KOMP)Wtsi/Elf3+ (more )
Structure Level Pattern Image Note
TS28: duodenum Present UC Davis_1860010

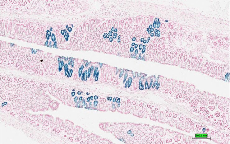
Specimen UC Davis_1860011: postnatal adult; Elf3tm1b(KOMP)Wtsi/Elf3+ (more )
Structure Level Pattern Image Note
TS28: duodenum Present UC Davis_1860011

Specimen UC Davis_1860012: postnatal adult; Elf3tm1b(KOMP)Wtsi/Elf3+ (more )
Structure Level Pattern Image Note
TS28: duodenum Present UC Davis_1860012

Specimen UC Davis_1860013: postnatal adult; Elf3tm1b(KOMP)Wtsi/Elf3+ (more )
Structure Level Pattern Image Note
TS28: duodenum Present UC Davis_1860013

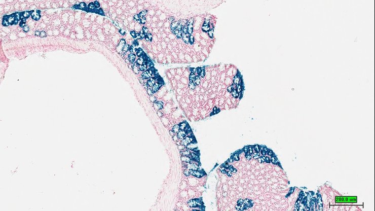
Specimen UC Davis_1860014: postnatal adult; Elf3tm1b(KOMP)Wtsi/Elf3+ (more )
Structure Level Pattern Image Note
TS28: ileum Present UC Davis_1860014

Specimen UC Davis_1860015: postnatal adult; Elf3tm1b(KOMP)Wtsi/Elf3+ (more )
Structure Level Pattern Image Note
TS28: ileum Present UC Davis_1860015

Specimen UC Davis_1860016: postnatal adult; Elf3tm1b(KOMP)Wtsi/Elf3+ (more )
Structure Level Pattern Image Note
TS28: ileum Present UC Davis_1860016

Specimen UC Davis_1860017: postnatal adult; Elf3tm1b(KOMP)Wtsi/Elf3+ (more )
Structure Level Pattern Image Note
TS28: ileum Present UC Davis_1860017

Specimen UC Davis_1860018: postnatal adult; Elf3tm1b(KOMP)Wtsi/Elf3+ (more )
Structure Level Pattern Image Note
TS28: colon Present UC Davis_1860018

Specimen UC Davis_1860019: postnatal adult; Elf3tm1b(KOMP)Wtsi/Elf3+ (more )
Structure Level Pattern Image Note
TS28: colon Present UC Davis_1860019

Specimen UC Davis_1860020: postnatal adult; Elf3tm1b(KOMP)Wtsi/Elf3+ (more )
Structure Level Pattern Image Note
TS28: colon Present UC Davis_1860020

Specimen UC Davis_1860021: postnatal adult; Elf3tm1b(KOMP)Wtsi/Elf3+ (more )
Structure Level Pattern Image Note
TS28: colon Present UC Davis_1860021

Specimen UC Davis_1860022: postnatal adult; Elf3tm1b(KOMP)Wtsi/Elf3+ (more )
Structure Level Pattern Image Note
TS28: cecum Present UC Davis_1860022

Specimen UC Davis_1860023: postnatal adult; Elf3tm1b(KOMP)Wtsi/Elf3+ (more )
Structure Level Pattern Image Note
TS28: cecum Present UC Davis_1860023

Specimen UC Davis_1860024: postnatal adult; Elf3tm1b(KOMP)Wtsi/Elf3+ (more )
Structure Level Pattern Image Note
TS28: cecum Present UC Davis_1860024

Specimen UC Davis_1860025: postnatal adult; Elf3tm1b(KOMP)Wtsi/Elf3+ (more )
Structure Level Pattern Image Note
TS28: cecum Present UC Davis_1860025

Specimen UC Davis_1860026: postnatal adult; Elf3tm1b(KOMP)Wtsi/Elf3+ (more )
Structure Level Pattern Image Note
TS28: metanephros Present UC Davis_1860026 kidney

Specimen UC Davis_1860027: postnatal adult; Elf3tm1b(KOMP)Wtsi/Elf3+ (more )
Structure Level Pattern Image Note
TS28: metanephros Present UC Davis_1860027 kidney

Specimen UC Davis_1860028: postnatal adult; Elf3tm1b(KOMP)Wtsi/Elf3+ (more )
Structure Level Pattern Image Note
TS28: metanephros Present UC Davis_1860028 kidney

Specimen UC Davis_1860029: postnatal adult; Elf3tm1b(KOMP)Wtsi/Elf3+ (more )
Structure Level Pattern Image Note
TS28: metanephros Present UC Davis_1860029 kidney

Specimen UC Davis_1860030: postnatal adult; Elf3tm1b(KOMP)Wtsi/Elf3+ (more )
Structure Level Pattern Image Note
TS28: eye Present UC Davis_1860030

Specimen UC Davis_1860031: postnatal adult; Elf3tm1b(KOMP)Wtsi/Elf3+ (more )
Structure Level Pattern Image Note
TS28: eye Present UC Davis_1860031

Specimen UC Davis_1860032: postnatal adult; Elf3tm1b(KOMP)Wtsi/Elf3+ (more )
Structure Level Pattern Image Note
TS28: testis Present UC Davis_1860032

Specimen UC Davis_1860033: postnatal adult; Elf3tm1b(KOMP)Wtsi/Elf3+ (more )
Structure Level Pattern Image Note
TS28: testis Present UC Davis_1860033

Specimen UC Davis_1860034: postnatal adult; Elf3tm1b(KOMP)Wtsi/Elf3+ (more )
Structure Level Pattern Image Note
TS28: testis Present UC Davis_1860034

Specimen UC Davis_1860035: postnatal adult; Elf3tm1b(KOMP)Wtsi/Elf3+ (more )
Structure Level Pattern Image Note
TS28: testis Present UC Davis_1860035

Specimen UC Davis_1860036: postnatal adult; Elf3tm1b(KOMP)Wtsi/Elf3+ (more )
Structure Level Pattern Image Note
TS28: epididymis Present UC Davis_1860036

Specimen UC Davis_1860037: postnatal adult; Elf3tm1b(KOMP)Wtsi/Elf3+ (more )
Structure Level Pattern Image Note
TS28: epididymis Present UC Davis_1860037

Specimen UC Davis_1860038: postnatal adult; Elf3tm1b(KOMP)Wtsi/Elf3+ (more )
Structure Level Pattern Image Note
TS28: epididymis Present UC Davis_1860038

Specimen UC Davis_1860039: postnatal adult; Elf3tm1b(KOMP)Wtsi/Elf3+ (more )
Structure Level Pattern Image Note
TS28: epididymis Present UC Davis_1860039

Specimen UC Davis_1860040: postnatal adult; Elf3tm1b(KOMP)Wtsi/Elf3+ (more )
Structure Level Pattern Image Note
TS28: prostate gland Present UC Davis_1860040

Specimen UC Davis_1860041: postnatal adult; Elf3tm1b(KOMP)Wtsi/Elf3+ (more )
Structure Level Pattern Image Note
TS28: prostate gland Present UC Davis_1860041

Specimen UC Davis_1860042: postnatal adult; Elf3tm1b(KOMP)Wtsi/Elf3+ (more )
Structure Level Pattern Image Note
TS28: prostate gland Present UC Davis_1860042

Specimen UC Davis_1860043: postnatal adult; Elf3tm1b(KOMP)Wtsi/Elf3+ (more )
Structure Level Pattern Image Note
TS28: prostate gland Present UC Davis_1860043

Specimen UC Davis_1860044: postnatal adult; Elf3tm1b(KOMP)Wtsi/Elf3+ (more )
Structure Level Pattern Image Note
TS28: ductus deferens Present UC Davis_1860044 vas deferens

Specimen UC Davis_1860045: postnatal adult; Elf3tm1b(KOMP)Wtsi/Elf3+ (more )
Structure Level Pattern Image Note
TS28: ductus deferens Present UC Davis_1860045 vas deferens

Specimen UC Davis_1860046: postnatal adult; Elf3tm1b(KOMP)Wtsi/Elf3+ (more )
Structure Level Pattern Image Note
TS28: ductus deferens Present UC Davis_1860046 vas deferens

Specimen UC Davis_1860047: postnatal adult; Elf3tm1b(KOMP)Wtsi/Elf3+ (more )
Structure Level Pattern Image Note
TS28: ductus deferens Present UC Davis_1860047 vas deferens

Specimen UC Davis_1860048: postnatal adult; Elf3tm1b(KOMP)Wtsi/Elf3+ (more )
Structure Level Pattern Image Note
TS28: lung Present UC Davis_1860048

Specimen UC Davis_1860049: postnatal adult; Elf3tm1b(KOMP)Wtsi/Elf3+ (more )
Structure Level Pattern Image Note
TS28: metanephros Present UC Davis_1860049 kidney

Specimen UC Davis_1860051: postnatal adult; Elf3tm1b(KOMP)Wtsi/Elf3+ (more )
Structure Level Pattern Image Note
TS28: stomach Present UC Davis_1860051

Specimen UC Davis_1860052: postnatal adult; Elf3tm1b(KOMP)Wtsi/Elf3+ (more )
Structure Level Pattern Image Note
TS28: duodenum Present UC Davis_1860052

Specimen UC Davis_1860053: postnatal adult; Elf3tm1b(KOMP)Wtsi/Elf3+ (more )
Structure Level Pattern Image Note
TS28: jejunum Present UC Davis_1860053

Specimen UC Davis_1860054: postnatal adult; Elf3tm1b(KOMP)Wtsi/Elf3+ (more )
Structure Level Pattern Image Note
TS28: ileum Present UC Davis_1860054

Specimen UC Davis_1860055: postnatal adult; Elf3tm1b(KOMP)Wtsi/Elf3+ (more )
Structure Level Pattern Image Note
TS28: cecum Present UC Davis_1860055

Specimen UC Davis_1860056: postnatal adult; Elf3tm1b(KOMP)Wtsi/Elf3+ (more )
Structure Level Pattern Image Note
TS28: colon Present UC Davis_1860056

Specimen UC Davis_1860057: postnatal adult; Elf3tm1b(KOMP)Wtsi/Elf3+ (more )
Structure Level Pattern Image Note
TS28: bladder Present UC Davis_1860057

Specimen UC Davis_1860058: postnatal adult; Elf3tm1b(KOMP)Wtsi/Elf3+ (more )
Structure Level Pattern Image Note
TS28: testis Present UC Davis_1860058

Specimen UC Davis_1860059: postnatal adult; Elf3tm1b(KOMP)Wtsi/Elf3+ (more )
Structure Level Pattern Image Note
TS28: epididymis Present UC Davis_1860059

Specimen UC Davis_1860060: postnatal adult; Elf3tm1b(KOMP)Wtsi/Elf3+ (more )
Structure Level Pattern Image Note
TS28: gallbladder Present UC Davis_1860060


Contributing Projects:
Mouse Genome Database (MGD), Gene Expression Database (GXD), Mouse Models of Human Cancer database (MMHCdb) (formerly Mouse Tumor Biology (MTB)), Gene Ontology (GO)
Citing These Resources
Funding Information
Warranty Disclaimer, Privacy Notice, Licensing, & Copyright
Send questions and comments to User Support.
last database update
01/28/2026
MGI 6.24
The Jackson Laboratory