About   Help   FAQ
Gene Expression Data
Assay Details
Assay
Reference: J:228563 Koscielny G, et al., The International Mouse Phenotyping Consortium Web Portal, a unified point of access for knockout mice and related phenotyping data. Nucleic Acids Res. 2014 Jan;42(Database issue):D802-9
Assay type: In situ reporter (knock in)
MGI Accession ID: MGI:6691203
Gene symbol: Bhlhe40
Gene name: basic helix-loop-helix family, member e40
Reporter: lacZ
Direct Detection
Results
Specimen JAX_1279211: embryonic day 12.5; Bhlhe40tm1b(KOMP)Wtsi/Bhlhe40+ (more )
Structure Level Pattern Image Note
TS20: embryo Present JAX_1279211

Specimen JAX_1279213: embryonic day 12.5; Bhlhe40tm1b(KOMP)Wtsi/Bhlhe40+ (more )
Structure Level Pattern Image Note
TS20: embryo Present JAX_1279213

Specimen JAX_1279215: embryonic day 12.5; Bhlhe40tm1b(KOMP)Wtsi/Bhlhe40+ (more )
Structure Level Pattern Image Note
TS20: embryo Present JAX_1279215

Specimen JAX_1279217: embryonic day 12.5; Bhlhe40tm1b(KOMP)Wtsi/Bhlhe40+ (more )
Structure Level Pattern Image Note
TS20: embryo Present JAX_1279217

Specimen JAX_1470059: embryonic day 12.5; Bhlhe40tm1b(KOMP)Wtsi/Bhlhe40+ (more )
Structure Level Pattern Image Note
TS20: embryo Present JAX_1470059

Specimen JAX_1470060: embryonic day 12.5; Bhlhe40tm1b(KOMP)Wtsi/Bhlhe40+ (more )
Structure Level Pattern Image Note
TS20: embryo Present JAX_1470060

Specimen JAX_1470061: embryonic day 12.5; Bhlhe40tm1b(KOMP)Wtsi/Bhlhe40+ (more )
Structure Level Pattern Image Note
TS20: embryo Present JAX_1470061

Specimen JAX_1470062: embryonic day 12.5; Bhlhe40tm1b(KOMP)Wtsi/Bhlhe40+ (more )
Structure Level Pattern Image Note
TS20: embryo Present JAX_1470062

Specimen JAX_1279157: postnatal adult; Bhlhe40tm1b(KOMP)Wtsi/Bhlhe40+ (more )
Structure Level Pattern Image Note
TS28: vascular system Present JAX_1279157

Specimen JAX_1279159: postnatal adult; Bhlhe40tm1b(KOMP)Wtsi/Bhlhe40+ (more )
Structure Level Pattern Image Note
TS28: brown fat Present JAX_1279159

Specimen JAX_1279161: postnatal adult; Bhlhe40tm1b(KOMP)Wtsi/Bhlhe40+ (more )
Structure Level Pattern Image Note
TS28: bone marrow Present JAX_1279161

Specimen JAX_1279163: postnatal adult; Bhlhe40tm1b(KOMP)Wtsi/Bhlhe40+ (more )
Structure Level Pattern Image Note
TS28: bladder Present JAX_1279163

Specimen JAX_1279165: postnatal adult; Bhlhe40tm1b(KOMP)Wtsi/Bhlhe40+ (more )
Structure Level Pattern Image Note
TS28: Peyer's patch Present JAX_1279165

Specimen JAX_1279167: postnatal adult; Bhlhe40tm1b(KOMP)Wtsi/Bhlhe40+ (more )
Structure Level Pattern Image Note
TS28: peripheral nervous system Present JAX_1279167

Specimen JAX_1279169: postnatal adult; Bhlhe40tm1b(KOMP)Wtsi/Bhlhe40+ (more )
Structure Level Pattern Image Note
TS28: pancreas Present JAX_1279169

Specimen JAX_1279171: postnatal adult; Bhlhe40tm1b(KOMP)Wtsi/Bhlhe40+ (more )
Structure Level Pattern Image Note
TS28: aorta Present JAX_1279171

Specimen JAX_1279173: postnatal adult; Bhlhe40tm1b(KOMP)Wtsi/Bhlhe40+ (more )
Structure Level Pattern Image Note
TS28: lung Present JAX_1279173

Specimen JAX_1279175: postnatal adult; Bhlhe40tm1b(KOMP)Wtsi/Bhlhe40+ (more )
Structure Level Pattern Image Note
TS28: white fat Present JAX_1279175

Specimen JAX_1279177: postnatal adult; Bhlhe40tm1b(KOMP)Wtsi/Bhlhe40+ (more )
Structure Level Pattern Image Note
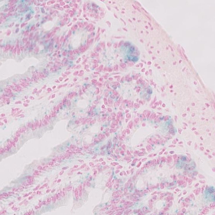
TS28: small intestine Present JAX_1279177

Specimen JAX_1279179: postnatal adult; Bhlhe40tm1b(KOMP)Wtsi/Bhlhe40+ (more )
Structure Level Pattern Image Note
TS28: spinal cord Present JAX_1279179

Specimen JAX_1279181: postnatal adult; Bhlhe40tm1b(KOMP)Wtsi/Bhlhe40+ (more )
Structure Level Pattern Image Note
TS28: esophagus Present JAX_1279181

Specimen JAX_1279183: postnatal adult; Bhlhe40tm1b(KOMP)Wtsi/Bhlhe40+ (more )
Structure Level Pattern Image Note
TS28: uterus Present JAX_1279183

Specimen JAX_1279185: postnatal adult; Bhlhe40tm1b(KOMP)Wtsi/Bhlhe40+ (more )
Structure Level Pattern Image Note
TS28: trachea Present JAX_1279185

Specimen JAX_1279187: postnatal adult; Bhlhe40tm1b(KOMP)Wtsi/Bhlhe40+ (more )
Structure Level Pattern Image Note
TS28: thymus Present JAX_1279187

Specimen JAX_1279189: postnatal adult; Bhlhe40tm1b(KOMP)Wtsi/Bhlhe40+ (more )
Structure Level Pattern Image Note
TS28: stomach Present JAX_1279189

Specimen JAX_1279191: postnatal adult; Bhlhe40tm1b(KOMP)Wtsi/Bhlhe40+ (more )
Structure Level Pattern Image Note
TS28: skin Present JAX_1279191

Specimen JAX_1279193: postnatal adult; Bhlhe40tm1b(KOMP)Wtsi/Bhlhe40+ (more )
Structure Level Pattern Image Note
TS28: oviduct Present JAX_1279193

Specimen JAX_1279195: postnatal adult; Bhlhe40tm1b(KOMP)Wtsi/Bhlhe40+ (more )
Structure Level Pattern Image Note
TS28: ovary Present JAX_1279195

Specimen JAX_1279197: postnatal adult; Bhlhe40tm1b(KOMP)Wtsi/Bhlhe40+ (more )
Structure Level Pattern Image Note
TS28: mammary gland Present JAX_1279197

Specimen JAX_1279199: postnatal adult; Bhlhe40tm1b(KOMP)Wtsi/Bhlhe40+ (more )
Structure Level Pattern Image Note
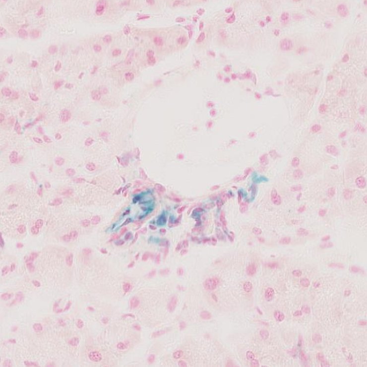
TS28: liver Present JAX_1279199

Specimen JAX_1279201: postnatal adult; Bhlhe40tm1b(KOMP)Wtsi/Bhlhe40+ (more )
Structure Level Pattern Image Note
TS28: heart Present JAX_1279201

Specimen JAX_1279109: postnatal adult; Bhlhe40tm1b(KOMP)Wtsi/Bhlhe40+ (more )
Structure Level Pattern Image Note
TS28: thalamus Present JAX_1279109

Specimen JAX_1279111: postnatal adult; Bhlhe40tm1b(KOMP)Wtsi/Bhlhe40+ (more )
Structure Level Pattern Image Note
TS28: midbrain Present JAX_1279111

Specimen JAX_1279113: postnatal adult; Bhlhe40tm1b(KOMP)Wtsi/Bhlhe40+ (more )
Structure Level Pattern Image Note
TS28: epididymis Present JAX_1279113

Specimen JAX_1279115: postnatal adult; Bhlhe40tm1b(KOMP)Wtsi/Bhlhe40+ (more )
Structure Level Pattern Image Note
TS28: submandibular gland Present JAX_1279115

Specimen JAX_1279117: postnatal adult; Bhlhe40tm1b(KOMP)Wtsi/Bhlhe40+ (more )
Structure Level Pattern Image Note
TS28: corpus striatum Present JAX_1279117

Specimen JAX_1279119: postnatal adult; Bhlhe40tm1b(KOMP)Wtsi/Bhlhe40+ (more )
Structure Level Pattern Image Note
TS28: olfactory lobe Present JAX_1279119

Specimen JAX_1279121: postnatal adult; Bhlhe40tm1b(KOMP)Wtsi/Bhlhe40+ (more )
Structure Level Pattern Image Note
TS28: hypothalamus Present JAX_1279121

Specimen JAX_1279123: postnatal adult; Bhlhe40tm1b(KOMP)Wtsi/Bhlhe40+ (more )
Structure Level Pattern Image Note
TS28: hippocampus Present JAX_1279123

Specimen JAX_1279125: postnatal adult; Bhlhe40tm1b(KOMP)Wtsi/Bhlhe40+ (more )
Structure Level Pattern Image Note
TS28: cerebellum Present JAX_1279125

Specimen JAX_1279127: postnatal adult; Bhlhe40tm1b(KOMP)Wtsi/Bhlhe40+ (more )
Structure Level Pattern Image Note
TS28: cerebral cortex Present JAX_1279127

Specimen JAX_1279129: postnatal adult; Bhlhe40tm1b(KOMP)Wtsi/Bhlhe40+ (more )
Structure Level Pattern Image Note
TS28: cartilage Present JAX_1279129

Specimen JAX_1279131: postnatal adult; Bhlhe40tm1b(KOMP)Wtsi/Bhlhe40+ (more )
Structure Level Pattern Image Note
TS28: brainstem Present JAX_1279131

Specimen JAX_1279133: postnatal adult; Bhlhe40tm1b(KOMP)Wtsi/Bhlhe40+ (more )
Structure Level Pattern Image Note
TS28: spleen Present JAX_1279133

Specimen JAX_1279135: postnatal adult; Bhlhe40tm1b(KOMP)Wtsi/Bhlhe40+ (more )
Structure Level Pattern Image Note
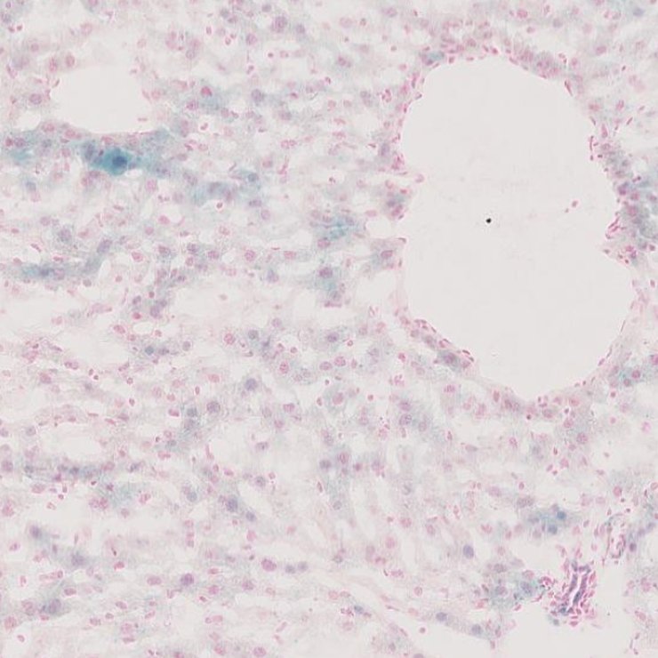
TS28: pancreas Present JAX_1279135

Specimen JAX_1279137: postnatal adult; Bhlhe40tm1b(KOMP)Wtsi/Bhlhe40+ (more )
Structure Level Pattern Image Note
TS28: pituitary gland Present JAX_1279137

Specimen JAX_1279139: postnatal adult; Bhlhe40tm1b(KOMP)Wtsi/Bhlhe40+ (more )
Structure Level Pattern Image Note
TS28: thyroid gland Present JAX_1279139

Specimen JAX_1279141: postnatal adult; Bhlhe40tm1b(KOMP)Wtsi/Bhlhe40+ (more )
Structure Level Pattern Image Note
TS28: large intestine Present JAX_1279141

Specimen JAX_1279143: postnatal adult; Bhlhe40tm1b(KOMP)Wtsi/Bhlhe40+ (more )
Structure Level Pattern Image Note
TS28: testis Present JAX_1279143

Specimen JAX_1279145: postnatal adult; Bhlhe40tm1b(KOMP)Wtsi/Bhlhe40+ (more )
Structure Level Pattern Image Note
TS28: lymph node Present JAX_1279145

Specimen JAX_1279147: postnatal adult; Bhlhe40tm1b(KOMP)Wtsi/Bhlhe40+ (more )
Structure Level Pattern Image Note
TS28: liver Present JAX_1279147

Specimen JAX_1279149: postnatal adult; Bhlhe40tm1b(KOMP)Wtsi/Bhlhe40+ (more )
Structure Level Pattern Image Note
TS28: metanephros Present JAX_1279149 kidney

Specimen JAX_1279151: postnatal adult; Bhlhe40tm1b(KOMP)Wtsi/Bhlhe40+ (more )
Structure Level Pattern Image Note
TS28: eye Present JAX_1279151

Specimen JAX_1279153: postnatal adult; Bhlhe40tm1b(KOMP)Wtsi/Bhlhe40+ (more )
Structure Level Pattern Image Note
TS28: brain Present JAX_1279153

Specimen JAX_1279155: postnatal adult; Bhlhe40tm1b(KOMP)Wtsi/Bhlhe40+ (more )
Structure Level Pattern Image Note
TS28: adrenal gland Present JAX_1279155


Contributing Projects:
Mouse Genome Database (MGD), Gene Expression Database (GXD), Mouse Models of Human Cancer database (MMHCdb) (formerly Mouse Tumor Biology (MTB)), Gene Ontology (GO)
Citing These Resources
Funding Information
Warranty Disclaimer, Privacy Notice, Licensing, & Copyright
Send questions and comments to User Support.
last database update
12/30/2025
MGI 6.24
The Jackson Laboratory