About   Help   FAQ
Gene Expression Data
Assay Details
Assay
Reference: J:228563 Koscielny G, et al., The International Mouse Phenotyping Consortium Web Portal, a unified point of access for knockout mice and related phenotyping data. Nucleic Acids Res. 2014 Jan;42(Database issue):D802-9
Assay type: In situ reporter (knock in)
MGI Accession ID: MGI:6691197
Gene symbol: Snai2
Gene name: snail family zinc finger 2
Reporter: lacZ
Direct Detection
Results
Specimen UC Davis_1865258: postnatal adult; Snai2tm1.1(KOMP)Vlcg/Snai2+ (more )
Structure Level Pattern Image Note
TS28: submandibular gland Present UC Davis_1865258

Specimen UC Davis_1865259: postnatal adult; Snai2tm1.1(KOMP)Vlcg/Snai2+ (more )
Structure Level Pattern Image Note
TS28: submandibular gland Present UC Davis_1865259

Specimen UC Davis_1865260: postnatal adult; Snai2tm1.1(KOMP)Vlcg/Snai2+ (more )
Structure Level Pattern Image Note
TS28: submandibular gland Present UC Davis_1865260

Specimen UC Davis_1865261: postnatal adult; Snai2tm1.1(KOMP)Vlcg/Snai2+ (more )
Structure Level Pattern Image Note
TS28: sublingual gland Present UC Davis_1865261

Specimen UC Davis_1865262: postnatal adult; Snai2tm1.1(KOMP)Vlcg/Snai2+ (more )
Structure Level Pattern Image Note
TS28: parotid gland Present UC Davis_1865262

Specimen UC Davis_1865265: postnatal adult; Snai2tm1.1(KOMP)Vlcg/Snai2+ (more )
Structure Level Pattern Image Note
TS28: trachea Present UC Davis_1865265

Specimen UC Davis_1865266: postnatal adult; Snai2tm1.1(KOMP)Vlcg/Snai2+ (more )
Structure Level Pattern Image Note
TS28: esophagus Present UC Davis_1865266

Specimen UC Davis_1865267: postnatal adult; Snai2tm1.1(KOMP)Vlcg/Snai2+ (more )
Structure Level Pattern Image Note
TS28: aorta Present UC Davis_1865267

Specimen UC Davis_1865268: postnatal adult; Snai2tm1.1(KOMP)Vlcg/Snai2+ (more )
Structure Level Pattern Image Note
TS28: lung Present UC Davis_1865268

Specimen UC Davis_1865269: postnatal adult; Snai2tm1.1(KOMP)Vlcg/Snai2+ (more )
Structure Level Pattern Image Note
TS28: lung Present UC Davis_1865269

Specimen UC Davis_1865270: postnatal adult; Snai2tm1.1(KOMP)Vlcg/Snai2+ (more )
Structure Level Pattern Image Note
TS28: lung Present UC Davis_1865270

Specimen UC Davis_1865271: postnatal adult; Snai2tm1.1(KOMP)Vlcg/Snai2+ (more )
Structure Level Pattern Image Note
TS28: lung Present UC Davis_1865271

Specimen UC Davis_1865272: postnatal adult; Snai2tm1.1(KOMP)Vlcg/Snai2+ (more )
Structure Level Pattern Image Note
TS28: thymus Present UC Davis_1865272

Specimen UC Davis_1865273: postnatal adult; Snai2tm1.1(KOMP)Vlcg/Snai2+ (more )
Structure Level Pattern Image Note
TS28: thymus Present UC Davis_1865273

Specimen UC Davis_1865274: postnatal adult; Snai2tm1.1(KOMP)Vlcg/Snai2+ (more )
Structure Level Pattern Image Note
TS28: thymus Present UC Davis_1865274

Specimen UC Davis_1865277: postnatal adult; Snai2tm1.1(KOMP)Vlcg/Snai2+ (more )
Structure Level Pattern Image Note
TS28: mesenteric lymph node Present UC Davis_1865277

Specimen UC Davis_1865278: postnatal adult; Snai2tm1.1(KOMP)Vlcg/Snai2+ (more )
Structure Level Pattern Image Note
TS28: mesenteric lymph node Present UC Davis_1865278

Specimen UC Davis_1865279: postnatal adult; Snai2tm1.1(KOMP)Vlcg/Snai2+ (more )
Structure Level Pattern Image Note
TS28: stomach Present UC Davis_1865279

Specimen UC Davis_1865280: postnatal adult; Snai2tm1.1(KOMP)Vlcg/Snai2+ (more )
Structure Level Pattern Image Note
TS28: stomach Present UC Davis_1865280

Specimen UC Davis_1865281: postnatal adult; Snai2tm1.1(KOMP)Vlcg/Snai2+ (more )
Structure Level Pattern Image Note
TS28: stomach Present UC Davis_1865281

Specimen UC Davis_1865282: postnatal adult; Snai2tm1.1(KOMP)Vlcg/Snai2+ (more )
Structure Level Pattern Image Note
TS28: stomach Present UC Davis_1865282

Specimen UC Davis_1865283: postnatal adult; Snai2tm1.1(KOMP)Vlcg/Snai2+ (more )
Structure Level Pattern Image Note
TS28: duodenum Present UC Davis_1865283

Specimen UC Davis_1865284: postnatal adult; Snai2tm1.1(KOMP)Vlcg/Snai2+ (more )
Structure Level Pattern Image Note
TS28: jejunum Present UC Davis_1865284

Specimen UC Davis_1865285: postnatal adult; Snai2tm1.1(KOMP)Vlcg/Snai2+ (more )
Structure Level Pattern Image Note
TS28: ileum Present UC Davis_1865285

Specimen UC Davis_1865286: postnatal adult; Snai2tm1.1(KOMP)Vlcg/Snai2+ (more )
Structure Level Pattern Image Note
TS28: ileum Present UC Davis_1865286

Specimen UC Davis_1865287: postnatal adult; Snai2tm1.1(KOMP)Vlcg/Snai2+ (more )
Structure Level Pattern Image Note
TS28: colon Present UC Davis_1865287

Specimen UC Davis_1865288: postnatal adult; Snai2tm1.1(KOMP)Vlcg/Snai2+ (more )
Structure Level Pattern Image Note
TS28: colon Present UC Davis_1865288

Specimen UC Davis_1865289: postnatal adult; Snai2tm1.1(KOMP)Vlcg/Snai2+ (more )
Structure Level Pattern Image Note
TS28: cecum Present UC Davis_1865289

Specimen UC Davis_1865290: postnatal adult; Snai2tm1.1(KOMP)Vlcg/Snai2+ (more )
Structure Level Pattern Image Note
TS28: spleen Present UC Davis_1865290

Specimen UC Davis_1865291: postnatal adult; Snai2tm1.1(KOMP)Vlcg/Snai2+ (more )
Structure Level Pattern Image Note
TS28: spleen Present UC Davis_1865291

Specimen UC Davis_1865292: postnatal adult; Snai2tm1.1(KOMP)Vlcg/Snai2+ (more )
Structure Level Pattern Image Note
TS28: spleen Present UC Davis_1865292

Specimen UC Davis_1865293: postnatal adult; Snai2tm1.1(KOMP)Vlcg/Snai2+ (more )
Structure Level Pattern Image Note
TS28: spleen Present UC Davis_1865293

Specimen UC Davis_1865294: postnatal adult; Snai2tm1.1(KOMP)Vlcg/Snai2+ (more )
Structure Level Pattern Image Note
TS28: spleen Present UC Davis_1865294

Specimen UC Davis_1865295: postnatal adult; Snai2tm1.1(KOMP)Vlcg/Snai2+ (more )
Structure Level Pattern Image Note
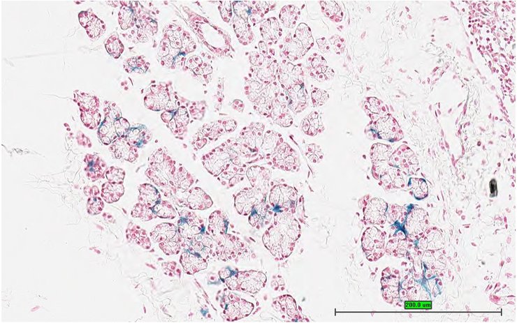
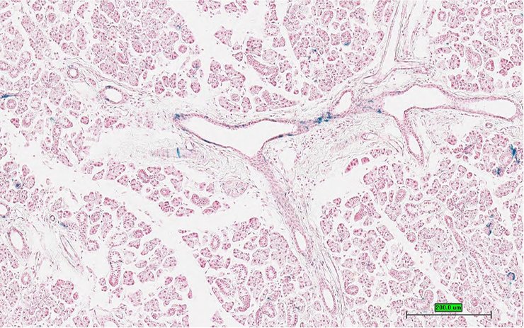
TS28: pancreas Present UC Davis_1865295

Specimen UC Davis_1865296: postnatal adult; Snai2tm1.1(KOMP)Vlcg/Snai2+ (more )
Structure Level Pattern Image Note
TS28: pancreas Present UC Davis_1865296

Specimen UC Davis_1865297: postnatal adult; Snai2tm1.1(KOMP)Vlcg/Snai2+ (more )
Structure Level Pattern Image Note
TS28: liver Present UC Davis_1865297

Specimen UC Davis_1865298: postnatal adult; Snai2tm1.1(KOMP)Vlcg/Snai2+ (more )
Structure Level Pattern Image Note
TS28: liver Present UC Davis_1865298

Specimen UC Davis_1865299: postnatal adult; Snai2tm1.1(KOMP)Vlcg/Snai2+ (more )
Structure Level Pattern Image Note
TS28: liver Present UC Davis_1865299

Specimen UC Davis_1865300: postnatal adult; Snai2tm1.1(KOMP)Vlcg/Snai2+ (more )
Structure Level Pattern Image Note
TS28: liver Present UC Davis_1865300

Specimen UC Davis_1865301: postnatal adult; Snai2tm1.1(KOMP)Vlcg/Snai2+ (more )
Structure Level Pattern Image Note
TS28: metanephros Present UC Davis_1865301 kidney

Specimen UC Davis_1865302: postnatal adult; Snai2tm1.1(KOMP)Vlcg/Snai2+ (more )
Structure Level Pattern Image Note
TS28: metanephros Present UC Davis_1865302 kidney

Specimen UC Davis_1865303: postnatal adult; Snai2tm1.1(KOMP)Vlcg/Snai2+ (more )
Structure Level Pattern Image Note
TS28: metanephros Present UC Davis_1865303 kidney

Specimen UC Davis_1865304: postnatal adult; Snai2tm1.1(KOMP)Vlcg/Snai2+ (more )
Structure Level Pattern Image Note
TS28: metanephros Present UC Davis_1865304 kidney

Specimen UC Davis_1865305: postnatal adult; Snai2tm1.1(KOMP)Vlcg/Snai2+ (more )
Structure Level Pattern Image Note
TS28: quadriceps femoris muscle Present UC Davis_1865305

Specimen UC Davis_1865306: postnatal adult; Snai2tm1.1(KOMP)Vlcg/Snai2+ (more )
Structure Level Pattern Image Note
TS28: tongue Present UC Davis_1865306

Specimen UC Davis_1865307: postnatal adult; Snai2tm1.1(KOMP)Vlcg/Snai2+ (more )
Structure Level Pattern Image Note
TS28: tongue Present UC Davis_1865307

Specimen UC Davis_1865308: postnatal adult; Snai2tm1.1(KOMP)Vlcg/Snai2+ (more )
Structure Level Pattern Image Note
TS28: tongue Present UC Davis_1865308

Specimen UC Davis_1865309: postnatal adult; Snai2tm1.1(KOMP)Vlcg/Snai2+ (more )
Structure Level Pattern Image Note
TS28: tongue Present UC Davis_1865309

Specimen UC Davis_1865310: postnatal adult; Snai2tm1.1(KOMP)Vlcg/Snai2+ (more )
Structure Level Pattern Image Note
TS28: diaphragm Present UC Davis_1865310

Specimen UC Davis_1865311: postnatal adult; Snai2tm1.1(KOMP)Vlcg/Snai2+ (more )
Structure Level Pattern Image Note
TS28: eye Present UC Davis_1865311

Specimen UC Davis_1865312: postnatal adult; Snai2tm1.1(KOMP)Vlcg/Snai2+ (more )
Structure Level Pattern Image Note
TS28: eye Present UC Davis_1865312

Specimen UC Davis_1865314: postnatal adult; Snai2tm1.1(KOMP)Vlcg/Snai2+ (more )
Structure Level Pattern Image Note
TS28: Harderian gland Present UC Davis_1865314

Specimen UC Davis_1865315: postnatal adult; Snai2tm1.1(KOMP)Vlcg/Snai2+ (more )
Structure Level Pattern Image Note
TS28: Harderian gland Present UC Davis_1865315

Specimen UC Davis_1865316: postnatal adult; Snai2tm1.1(KOMP)Vlcg/Snai2+ (more )
Structure Level Pattern Image Note
TS28: gonadal fat pad Present UC Davis_1865316

Specimen UC Davis_1865317: postnatal adult; Snai2tm1.1(KOMP)Vlcg/Snai2+ (more )
Structure Level Pattern Image Note
TS28: gonadal fat pad Present UC Davis_1865317

Specimen UC Davis_1865318: postnatal adult; Snai2tm1.1(KOMP)Vlcg/Snai2+ (more )
Structure Level Pattern Image Note
TS28: mesenteric adipose tissue Present UC Davis_1865318

Specimen UC Davis_1865319: postnatal adult; Snai2tm1.1(KOMP)Vlcg/Snai2+ (more )
Structure Level Pattern Image Note
TS28: mesenteric adipose tissue Present UC Davis_1865319

Specimen UC Davis_1865320: postnatal adult; Snai2tm1.1(KOMP)Vlcg/Snai2+ (more )
Structure Level Pattern Image Note
TS28: skin Present UC Davis_1865320

Specimen UC Davis_1865321: postnatal adult; Snai2tm1.1(KOMP)Vlcg/Snai2+ (more )
Structure Level Pattern Image Note
TS28: skin Present UC Davis_1865321

Specimen UC Davis_1865322: postnatal adult; Snai2tm1.1(KOMP)Vlcg/Snai2+ (more )
Structure Level Pattern Image Note
TS28: brown fat Present UC Davis_1865322

Specimen UC Davis_1865323: postnatal adult; Snai2tm1.1(KOMP)Vlcg/Snai2+ (more )
Structure Level Pattern Image Note
TS28: brown fat Present UC Davis_1865323

Specimen UC Davis_1865326: postnatal adult; Snai2tm1.1(KOMP)Vlcg/Snai2+ (more )
Structure Level Pattern Image Note
TS28: midbrain Present UC Davis_1865326

Specimen UC Davis_1865327: postnatal adult; Snai2tm1.1(KOMP)Vlcg/Snai2+ (more )
Structure Level Pattern Image Note
TS28: uterus Present UC Davis_1865327

Specimen UC Davis_1865328: postnatal adult; Snai2tm1.1(KOMP)Vlcg/Snai2+ (more )
Structure Level Pattern Image Note
TS28: uterus Present UC Davis_1865328

Specimen UC Davis_1865329: postnatal adult; Snai2tm1.1(KOMP)Vlcg/Snai2+ (more )
Structure Level Pattern Image Note
TS28: uterus Present UC Davis_1865329

Specimen UC Davis_1865330: postnatal adult; Snai2tm1.1(KOMP)Vlcg/Snai2+ (more )
Structure Level Pattern Image Note
TS28: vagina Present UC Davis_1865330

Specimen UC Davis_1865331: postnatal adult; Snai2tm1.1(KOMP)Vlcg/Snai2+ (more )
Structure Level Pattern Image Note
TS28: vagina Present UC Davis_1865331

Specimen UC Davis_1865332: postnatal adult; Snai2tm1.1(KOMP)Vlcg/Snai2+ (more )
Structure Level Pattern Image Note
TS28: bladder Present UC Davis_1865332

Specimen UC Davis_1865333: postnatal adult; Snai2tm1.1(KOMP)Vlcg/Snai2+ (more )
Structure Level Pattern Image Note
TS28: bladder Present UC Davis_1865333

Specimen UC Davis_1865335: postnatal adult; Snai2tm1.1(KOMP)Vlcg/Snai2+ (more )
Structure Level Pattern Image Note
TS28: bone marrow Absent UC Davis_1865335

Specimen UC Davis_1865336: postnatal adult; Snai2tm1.1(KOMP)Vlcg/Snai2+ (more )
Structure Level Pattern Image Note
TS28: bone marrow Absent UC Davis_1865336

Specimen UC Davis_1865337: postnatal adult; Snai2tm1.1(KOMP)Vlcg/Snai2+ (more )
Structure Level Pattern Image Note
TS28: mammary gland Present UC Davis_1865337

Specimen UC Davis_1865338: postnatal adult; Snai2tm1.1(KOMP)Vlcg/Snai2+ (more )
Structure Level Pattern Image Note
TS28: mammary gland Present UC Davis_1865338

Specimen UC Davis_1865180: postnatal adult; Snai2tm1.1(KOMP)Vlcg/Snai2+ (more )
Structure Level Pattern Image Note
TS28: submandibular gland Present UC Davis_1865180

Specimen UC Davis_1865181: postnatal adult; Snai2tm1.1(KOMP)Vlcg/Snai2+ (more )
Structure Level Pattern Image Note
TS28: submandibular gland Present UC Davis_1865181

Specimen UC Davis_1865182: postnatal adult; Snai2tm1.1(KOMP)Vlcg/Snai2+ (more )
Structure Level Pattern Image Note
TS28: sublingual gland Present UC Davis_1865182

Specimen UC Davis_1865183: postnatal adult; Snai2tm1.1(KOMP)Vlcg/Snai2+ (more )
Structure Level Pattern Image Note
TS28: sublingual gland Present UC Davis_1865183

Specimen UC Davis_1865184: postnatal adult; Snai2tm1.1(KOMP)Vlcg/Snai2+ (more )
Structure Level Pattern Image Note
TS28: parotid gland Present UC Davis_1865184

Specimen UC Davis_1865185: postnatal adult; Snai2tm1.1(KOMP)Vlcg/Snai2+ (more )
Structure Level Pattern Image Note
TS28: parotid gland Present UC Davis_1865185

Specimen UC Davis_1865188: postnatal adult; Snai2tm1.1(KOMP)Vlcg/Snai2+ (more )
Structure Level Pattern Image Note
TS28: trachea Absent UC Davis_1865188

Specimen UC Davis_1865189: postnatal adult; Snai2tm1.1(KOMP)Vlcg/Snai2+ (more )
Structure Level Pattern Image Note
TS28: trachea Absent UC Davis_1865189

Specimen UC Davis_1865190: postnatal adult; Snai2tm1.1(KOMP)Vlcg/Snai2+ (more )
Structure Level Pattern Image Note
TS28: trachea Absent UC Davis_1865190

Specimen UC Davis_1865191: postnatal adult; Snai2tm1.1(KOMP)Vlcg/Snai2+ (more )
Structure Level Pattern Image Note
TS28: esophagus Present UC Davis_1865191

Specimen UC Davis_1865192: postnatal adult; Snai2tm1.1(KOMP)Vlcg/Snai2+ (more )
Structure Level Pattern Image Note
TS28: esophagus Present UC Davis_1865192

Specimen UC Davis_1865193: postnatal adult; Snai2tm1.1(KOMP)Vlcg/Snai2+ (more )
Structure Level Pattern Image Note
TS28: thyroid gland Present UC Davis_1865193

Specimen UC Davis_1865196: postnatal adult; Snai2tm1.1(KOMP)Vlcg/Snai2+ (more )
Structure Level Pattern Image Note
TS28: aorta Present UC Davis_1865196

Specimen UC Davis_1865197: postnatal adult; Snai2tm1.1(KOMP)Vlcg/Snai2+ (more )
Structure Level Pattern Image Note
TS28: aorta Present UC Davis_1865197

Specimen UC Davis_1865198: postnatal adult; Snai2tm1.1(KOMP)Vlcg/Snai2+ (more )
Structure Level Pattern Image Note
TS28: lung Present UC Davis_1865198

Specimen UC Davis_1865199: postnatal adult; Snai2tm1.1(KOMP)Vlcg/Snai2+ (more )
Structure Level Pattern Image Note
TS28: thymus Present UC Davis_1865199

Specimen UC Davis_1865200: postnatal adult; Snai2tm1.1(KOMP)Vlcg/Snai2+ (more )
Structure Level Pattern Image Note
TS28: thymus Present UC Davis_1865200

Specimen UC Davis_1865202: postnatal adult; Snai2tm1.1(KOMP)Vlcg/Snai2+ (more )
Structure Level Pattern Image Note
TS28: stomach Present UC Davis_1865202

Specimen UC Davis_1865203: postnatal adult; Snai2tm1.1(KOMP)Vlcg/Snai2+ (more )
Structure Level Pattern Image Note
TS28: stomach Present UC Davis_1865203

Specimen UC Davis_1865204: postnatal adult; Snai2tm1.1(KOMP)Vlcg/Snai2+ (more )
Structure Level Pattern Image Note
TS28: ileum Present UC Davis_1865204

Specimen UC Davis_1865205: postnatal adult; Snai2tm1.1(KOMP)Vlcg/Snai2+ (more )
Structure Level Pattern Image Note
TS28: colon Present UC Davis_1865205

Specimen UC Davis_1865206: postnatal adult; Snai2tm1.1(KOMP)Vlcg/Snai2+ (more )
Structure Level Pattern Image Note
TS28: colon Present UC Davis_1865206

Specimen UC Davis_1865207: postnatal adult; Snai2tm1.1(KOMP)Vlcg/Snai2+ (more )
Structure Level Pattern Image Note
TS28: cecum Present UC Davis_1865207

Specimen UC Davis_1865208: postnatal adult; Snai2tm1.1(KOMP)Vlcg/Snai2+ (more )
Structure Level Pattern Image Note
TS28: spleen Present UC Davis_1865208

Specimen UC Davis_1865209: postnatal adult; Snai2tm1.1(KOMP)Vlcg/Snai2+ (more )
Structure Level Pattern Image Note
TS28: spleen Present UC Davis_1865209

Specimen UC Davis_1865210: postnatal adult; Snai2tm1.1(KOMP)Vlcg/Snai2+ (more )
Structure Level Pattern Image Note
TS28: spleen Present UC Davis_1865210

Specimen UC Davis_1865211: postnatal adult; Snai2tm1.1(KOMP)Vlcg/Snai2+ (more )
Structure Level Pattern Image Note
TS28: spleen Present UC Davis_1865211

Specimen UC Davis_1865212: postnatal adult; Snai2tm1.1(KOMP)Vlcg/Snai2+ (more )
Structure Level Pattern Image Note
TS28: liver Present UC Davis_1865212

Specimen UC Davis_1865213: postnatal adult; Snai2tm1.1(KOMP)Vlcg/Snai2+ (more )
Structure Level Pattern Image Note
TS28: liver Present UC Davis_1865213

Specimen UC Davis_1865214: postnatal adult; Snai2tm1.1(KOMP)Vlcg/Snai2+ (more )
Structure Level Pattern Image Note
TS28: liver Present UC Davis_1865214

Specimen UC Davis_1865215: postnatal adult; Snai2tm1.1(KOMP)Vlcg/Snai2+ (more )
Structure Level Pattern Image Note
TS28: metanephros Present UC Davis_1865215 kidney

Specimen UC Davis_1865216: postnatal adult; Snai2tm1.1(KOMP)Vlcg/Snai2+ (more )
Structure Level Pattern Image Note
TS28: metanephros Present UC Davis_1865216 kidney

Specimen UC Davis_1865217: postnatal adult; Snai2tm1.1(KOMP)Vlcg/Snai2+ (more )
Structure Level Pattern Image Note
TS28: metanephros Present UC Davis_1865217 kidney

Specimen UC Davis_1865218: postnatal adult; Snai2tm1.1(KOMP)Vlcg/Snai2+ (more )
Structure Level Pattern Image Note
TS28: adrenal gland Present UC Davis_1865218

Specimen UC Davis_1865219: postnatal adult; Snai2tm1.1(KOMP)Vlcg/Snai2+ (more )
Structure Level Pattern Image Note
TS28: eye Present UC Davis_1865219

Specimen UC Davis_1865220: postnatal adult; Snai2tm1.1(KOMP)Vlcg/Snai2+ (more )
Structure Level Pattern Image Note
TS28: Harderian gland Present UC Davis_1865220

Specimen UC Davis_1865221: postnatal adult; Snai2tm1.1(KOMP)Vlcg/Snai2+ (more )
Structure Level Pattern Image Note
TS28: Harderian gland Present UC Davis_1865221

Specimen UC Davis_1865222: postnatal adult; Snai2tm1.1(KOMP)Vlcg/Snai2+ (more )
Structure Level Pattern Image Note
TS28: gonadal fat pad Present UC Davis_1865222

Specimen UC Davis_1865223: postnatal adult; Snai2tm1.1(KOMP)Vlcg/Snai2+ (more )
Structure Level Pattern Image Note
TS28: gonadal fat pad Present UC Davis_1865223

Specimen UC Davis_1865224: postnatal adult; Snai2tm1.1(KOMP)Vlcg/Snai2+ (more )
Structure Level Pattern Image Note
TS28: skin Present UC Davis_1865224

Specimen UC Davis_1865225: postnatal adult; Snai2tm1.1(KOMP)Vlcg/Snai2+ (more )
Structure Level Pattern Image Note
TS28: skin Present UC Davis_1865225

Specimen UC Davis_1865226: postnatal adult; Snai2tm1.1(KOMP)Vlcg/Snai2+ (more )
Structure Level Pattern Image Note
TS28: skin Present UC Davis_1865226

Specimen UC Davis_1865227: postnatal adult; Snai2tm1.1(KOMP)Vlcg/Snai2+ (more )
Structure Level Pattern Image Note
TS28: brown fat Present UC Davis_1865227

Specimen UC Davis_1865228: postnatal adult; Snai2tm1.1(KOMP)Vlcg/Snai2+ (more )
Structure Level Pattern Image Note
TS28: brown fat Present UC Davis_1865228

Specimen UC Davis_1865229: postnatal adult; Snai2tm1.1(KOMP)Vlcg/Snai2+ (more )
Structure Level Pattern Image Note
TS28: brown fat Present UC Davis_1865229

Specimen UC Davis_1865230: postnatal adult; Snai2tm1.1(KOMP)Vlcg/Snai2+ (more )
Structure Level Pattern Image Note
TS28: brown fat Present UC Davis_1865230

Specimen UC Davis_1865233: postnatal adult; Snai2tm1.1(KOMP)Vlcg/Snai2+ (more )
Structure Level Pattern Image Note
TS28: bladder Present UC Davis_1865233

Specimen UC Davis_1865234: postnatal adult; Snai2tm1.1(KOMP)Vlcg/Snai2+ (more )
Structure Level Pattern Image Note
TS28: bladder Present UC Davis_1865234

Specimen UC Davis_1865235: postnatal adult; Snai2tm1.1(KOMP)Vlcg/Snai2+ (more )
Structure Level Pattern Image Note
TS28: bladder Present UC Davis_1865235

Specimen UC Davis_1865236: postnatal adult; Snai2tm1.1(KOMP)Vlcg/Snai2+ (more )
Structure Level Pattern Image Note
TS28: testis Present UC Davis_1865236

Specimen UC Davis_1865237: postnatal adult; Snai2tm1.1(KOMP)Vlcg/Snai2+ (more )
Structure Level Pattern Image Note
TS28: testis Present UC Davis_1865237

Specimen UC Davis_1865238: postnatal adult; Snai2tm1.1(KOMP)Vlcg/Snai2+ (more )
Structure Level Pattern Image Note
TS28: testis Present UC Davis_1865238

Specimen UC Davis_1865239: postnatal adult; Snai2tm1.1(KOMP)Vlcg/Snai2+ (more )
Structure Level Pattern Image Note
TS28: epididymis Present UC Davis_1865239

Specimen UC Davis_1865240: postnatal adult; Snai2tm1.1(KOMP)Vlcg/Snai2+ (more )
Structure Level Pattern Image Note
TS28: epididymis Present UC Davis_1865240

Specimen UC Davis_1865241: postnatal adult; Snai2tm1.1(KOMP)Vlcg/Snai2+ (more )
Structure Level Pattern Image Note
TS28: epididymis Present UC Davis_1865241

Specimen UC Davis_1865242: postnatal adult; Snai2tm1.1(KOMP)Vlcg/Snai2+ (more )
Structure Level Pattern Image Note
TS28: prostate gland Present UC Davis_1865242

Specimen UC Davis_1865243: postnatal adult; Snai2tm1.1(KOMP)Vlcg/Snai2+ (more )
Structure Level Pattern Image Note
TS28: prostate gland Present UC Davis_1865243

Specimen UC Davis_1865244: postnatal adult; Snai2tm1.1(KOMP)Vlcg/Snai2+ (more )
Structure Level Pattern Image Note
TS28: penis Present UC Davis_1865244

Specimen UC Davis_1865245: postnatal adult; Snai2tm1.1(KOMP)Vlcg/Snai2+ (more )
Structure Level Pattern Image Note
TS28: penis Present UC Davis_1865245

Specimen UC Davis_1865246: postnatal adult; Snai2tm1.1(KOMP)Vlcg/Snai2+ (more )
Structure Level Pattern Image Note
TS28: penis Present UC Davis_1865246

Specimen UC Davis_1865248: postnatal adult; Snai2tm1.1(KOMP)Vlcg/Snai2+ (more )
Structure Level Pattern Image Note
TS28: bone marrow Present UC Davis_1865248

Specimen UC Davis_1865249: postnatal adult; Snai2tm1.1(KOMP)Vlcg/Snai2+ (more )
Structure Level Pattern Image Note
TS28: bone marrow Present UC Davis_1865249

Specimen UC Davis_1865250: postnatal adult; Snai2tm1.1(KOMP)Vlcg/Snai2+ (more )
Structure Level Pattern Image Note
TS28: bone marrow Present UC Davis_1865250

Specimen UC Davis_1865256: postnatal adult; Snai2tm1.1(KOMP)Vlcg/Snai2+ (more )
Structure Level Pattern Image Note
TS28: seminal vesicle Present UC Davis_1865256 vesicular gland

Specimen UC Davis_1865257: postnatal adult; Snai2tm1.1(KOMP)Vlcg/Snai2+ (more )
Structure Level Pattern Image Note
TS28: seminal vesicle Present UC Davis_1865257 vesicular gland


Contributing Projects:
Mouse Genome Database (MGD), Gene Expression Database (GXD), Mouse Models of Human Cancer database (MMHCdb) (formerly Mouse Tumor Biology (MTB)), Gene Ontology (GO)
Citing These Resources
Funding Information
Warranty Disclaimer, Privacy Notice, Licensing, & Copyright
Send questions and comments to User Support.
last database update
03/31/2026
MGI 6.24
The Jackson Laboratory