About   Help   FAQ
Gene Expression Data
Assay Details
Assay
Reference: J:228563 Koscielny G, et al., The International Mouse Phenotyping Consortium Web Portal, a unified point of access for knockout mice and related phenotyping data. Nucleic Acids Res. 2014 Jan;42(Database issue):D802-9
Assay type: In situ reporter (knock in)
MGI Accession ID: MGI:6691194
Gene symbol: Erf
Gene name: Ets2 repressor factor
Reporter: lacZ
Direct Detection
Results
Specimen UC Davis_1884884: postnatal adult; Erftm1.1(KOMP)Mbp/Erf+ (more )
Structure Level Pattern Image Note
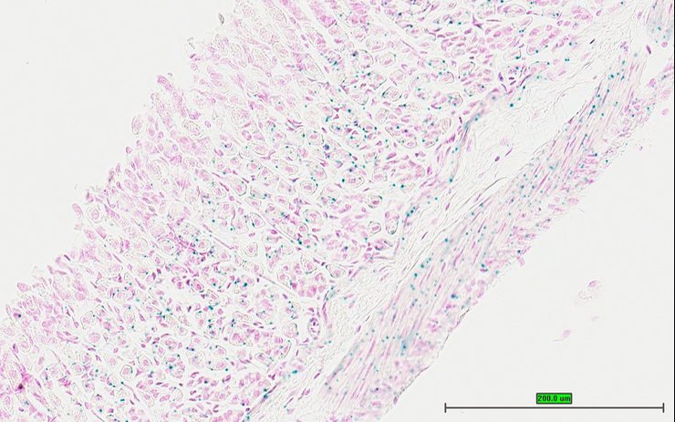
TS28: submandibular gland Present UC Davis_1884884

Specimen UC Davis_1884885: postnatal adult; Erftm1.1(KOMP)Mbp/Erf+ (more )
Structure Level Pattern Image Note
TS28: submandibular gland Present UC Davis_1884885

Specimen UC Davis_1884886: postnatal adult; Erftm1.1(KOMP)Mbp/Erf+ (more )
Structure Level Pattern Image Note
TS28: sublingual gland Present UC Davis_1884886

Specimen UC Davis_1884887: postnatal adult; Erftm1.1(KOMP)Mbp/Erf+ (more )
Structure Level Pattern Image Note
TS28: parotid gland Present UC Davis_1884887

Specimen UC Davis_1884888: postnatal adult; Erftm1.1(KOMP)Mbp/Erf+ (more )
Structure Level Pattern Image Note
TS28: parotid gland Present UC Davis_1884888

Specimen UC Davis_1884889: postnatal adult; Erftm1.1(KOMP)Mbp/Erf+ (more )
Structure Level Pattern Image Note
TS28: trachea Present UC Davis_1884889

Specimen UC Davis_1884890: postnatal adult; Erftm1.1(KOMP)Mbp/Erf+ (more )
Structure Level Pattern Image Note
TS28: trachea Present UC Davis_1884890

Specimen UC Davis_1884891: postnatal adult; Erftm1.1(KOMP)Mbp/Erf+ (more )
Structure Level Pattern Image Note
TS28: esophagus Present UC Davis_1884891

Specimen UC Davis_1884892: postnatal adult; Erftm1.1(KOMP)Mbp/Erf+ (more )
Structure Level Pattern Image Note
TS28: esophagus Present UC Davis_1884892

Specimen UC Davis_1884893: postnatal adult; Erftm1.1(KOMP)Mbp/Erf+ (more )
Structure Level Pattern Image Note
TS28: thyroid gland Present UC Davis_1884893

Specimen UC Davis_1884894: postnatal adult; Erftm1.1(KOMP)Mbp/Erf+ (more )
Structure Level Pattern Image Note
TS28: parathyroid gland Present UC Davis_1884894

Specimen UC Davis_1884895: postnatal adult; Erftm1.1(KOMP)Mbp/Erf+ (more )
Structure Level Pattern Image Note
TS28: aorta Present UC Davis_1884895

Specimen UC Davis_1884896: postnatal adult; Erftm1.1(KOMP)Mbp/Erf+ (more )
Structure Level Pattern Image Note
TS28: lung Present UC Davis_1884896

Specimen UC Davis_1884897: postnatal adult; Erftm1.1(KOMP)Mbp/Erf+ (more )
Structure Level Pattern Image Note
TS28: lung Present UC Davis_1884897

Specimen UC Davis_1884898: postnatal adult; Erftm1.1(KOMP)Mbp/Erf+ (more )
Structure Level Pattern Image Note
TS28: lung Present UC Davis_1884898

Specimen UC Davis_1884903: postnatal adult; Erftm1.1(KOMP)Mbp/Erf+ (more )
Structure Level Pattern Image Note
TS28: mesenteric lymph node Present UC Davis_1884903

Specimen UC Davis_1884904: postnatal adult; Erftm1.1(KOMP)Mbp/Erf+ (more )
Structure Level Pattern Image Note
TS28: mesenteric lymph node Present UC Davis_1884904

Specimen UC Davis_1884905: postnatal adult; Erftm1.1(KOMP)Mbp/Erf+ (more )
Structure Level Pattern Image Note
TS28: stomach Present UC Davis_1884905

Specimen UC Davis_1884906: postnatal adult; Erftm1.1(KOMP)Mbp/Erf+ (more )
Structure Level Pattern Image Note
TS28: stomach Present UC Davis_1884906

Specimen UC Davis_1884907: postnatal adult; Erftm1.1(KOMP)Mbp/Erf+ (more )
Structure Level Pattern Image Note
TS28: stomach Present UC Davis_1884907

Specimen UC Davis_1884908: postnatal adult; Erftm1.1(KOMP)Mbp/Erf+ (more )
Structure Level Pattern Image Note
TS28: duodenum Present UC Davis_1884908

Specimen UC Davis_1884909: postnatal adult; Erftm1.1(KOMP)Mbp/Erf+ (more )
Structure Level Pattern Image Note
TS28: jejunum Present UC Davis_1884909

Specimen UC Davis_1884910: postnatal adult; Erftm1.1(KOMP)Mbp/Erf+ (more )
Structure Level Pattern Image Note
TS28: ileum Present UC Davis_1884910

Specimen UC Davis_1884911: postnatal adult; Erftm1.1(KOMP)Mbp/Erf+ (more )
Structure Level Pattern Image Note
TS28: ileum Present UC Davis_1884911

Specimen UC Davis_1884912: postnatal adult; Erftm1.1(KOMP)Mbp/Erf+ (more )
Structure Level Pattern Image Note
TS28: colon Present UC Davis_1884912

Specimen UC Davis_1884913: postnatal adult; Erftm1.1(KOMP)Mbp/Erf+ (more )
Structure Level Pattern Image Note
TS28: colon Present UC Davis_1884913

Specimen UC Davis_1884914: postnatal adult; Erftm1.1(KOMP)Mbp/Erf+ (more )
Structure Level Pattern Image Note
TS28: cecum Present UC Davis_1884914

Specimen UC Davis_1884915: postnatal adult; Erftm1.1(KOMP)Mbp/Erf+ (more )
Structure Level Pattern Image Note
TS28: spleen Present UC Davis_1884915

Specimen UC Davis_1884916: postnatal adult; Erftm1.1(KOMP)Mbp/Erf+ (more )
Structure Level Pattern Image Note
TS28: pancreas Present UC Davis_1884916

Specimen UC Davis_1884917: postnatal adult; Erftm1.1(KOMP)Mbp/Erf+ (more )
Structure Level Pattern Image Note
TS28: pancreas Present UC Davis_1884917

Specimen UC Davis_1884918: postnatal adult; Erftm1.1(KOMP)Mbp/Erf+ (more )
Structure Level Pattern Image Note
TS28: liver Present UC Davis_1884918

Specimen UC Davis_1884919: postnatal adult; Erftm1.1(KOMP)Mbp/Erf+ (more )
Structure Level Pattern Image Note
TS28: liver Present UC Davis_1884919

Specimen UC Davis_1884920: postnatal adult; Erftm1.1(KOMP)Mbp/Erf+ (more )
Structure Level Pattern Image Note
TS28: metanephros Present UC Davis_1884920 kidney

Specimen UC Davis_1884921: postnatal adult; Erftm1.1(KOMP)Mbp/Erf+ (more )
Structure Level Pattern Image Note
TS28: metanephros Present UC Davis_1884921 kidney

Specimen UC Davis_1884922: postnatal adult; Erftm1.1(KOMP)Mbp/Erf+ (more )
Structure Level Pattern Image Note
TS28: metanephros Present UC Davis_1884922 kidney

Specimen UC Davis_1884923: postnatal adult; Erftm1.1(KOMP)Mbp/Erf+ (more )
Structure Level Pattern Image Note
TS28: quadriceps femoris muscle Present UC Davis_1884923

Specimen UC Davis_1884924: postnatal adult; Erftm1.1(KOMP)Mbp/Erf+ (more )
Structure Level Pattern Image Note
TS28: quadriceps femoris muscle Present UC Davis_1884924

Specimen UC Davis_1884925: postnatal adult; Erftm1.1(KOMP)Mbp/Erf+ (more )
Structure Level Pattern Image Note
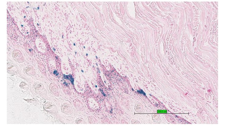
TS28: tongue Present UC Davis_1884925

Specimen UC Davis_1884926: postnatal adult; Erftm1.1(KOMP)Mbp/Erf+ (more )
Structure Level Pattern Image Note
TS28: tongue Present UC Davis_1884926

Specimen UC Davis_1884927: postnatal adult; Erftm1.1(KOMP)Mbp/Erf+ (more )
Structure Level Pattern Image Note
TS28: diaphragm Present UC Davis_1884927

Specimen UC Davis_1884928: postnatal adult; Erftm1.1(KOMP)Mbp/Erf+ (more )
Structure Level Pattern Image Note
TS28: adrenal gland Present UC Davis_1884928

Specimen UC Davis_1884929: postnatal adult; Erftm1.1(KOMP)Mbp/Erf+ (more )
Structure Level Pattern Image Note
TS28: adrenal gland Present UC Davis_1884929

Specimen UC Davis_1884930: postnatal adult; Erftm1.1(KOMP)Mbp/Erf+ (more )
Structure Level Pattern Image Note
TS28: adrenal gland Present UC Davis_1884930

Specimen UC Davis_1884931: postnatal adult; Erftm1.1(KOMP)Mbp/Erf+ (more )
Structure Level Pattern Image Note
TS28: adrenal gland Present UC Davis_1884931

Specimen UC Davis_1884932: postnatal adult; Erftm1.1(KOMP)Mbp/Erf+ (more )
Structure Level Pattern Image Note
TS28: pituitary gland Present UC Davis_1884932

Specimen UC Davis_1884933: postnatal adult; Erftm1.1(KOMP)Mbp/Erf+ (more )
Structure Level Pattern Image Note
TS28: spinal cord Present UC Davis_1884933

Specimen UC Davis_1884934: postnatal adult; Erftm1.1(KOMP)Mbp/Erf+ (more )
Structure Level Pattern Image Note
TS28: eye Present UC Davis_1884934

Specimen UC Davis_1884935: postnatal adult; Erftm1.1(KOMP)Mbp/Erf+ (more )
Structure Level Pattern Image Note
TS28: eye Present UC Davis_1884935

Specimen UC Davis_1884936: postnatal adult; Erftm1.1(KOMP)Mbp/Erf+ (more )
Structure Level Pattern Image Note
TS28: eye Present UC Davis_1884936

Specimen UC Davis_1884938: postnatal adult; Erftm1.1(KOMP)Mbp/Erf+ (more )
Structure Level Pattern Image Note
TS28: Harderian gland Present UC Davis_1884938

Specimen UC Davis_1884939: postnatal adult; Erftm1.1(KOMP)Mbp/Erf+ (more )
Structure Level Pattern Image Note
TS28: Harderian gland Present UC Davis_1884939

Specimen UC Davis_1884940: postnatal adult; Erftm1.1(KOMP)Mbp/Erf+ (more )
Structure Level Pattern Image Note
TS28: gonadal fat pad Present UC Davis_1884940

Specimen UC Davis_1884941: postnatal adult; Erftm1.1(KOMP)Mbp/Erf+ (more )
Structure Level Pattern Image Note
TS28: gonadal fat pad Present UC Davis_1884941

Specimen UC Davis_1884942: postnatal adult; Erftm1.1(KOMP)Mbp/Erf+ (more )
Structure Level Pattern Image Note
TS28: mesenteric adipose tissue Present UC Davis_1884942

Specimen UC Davis_1884943: postnatal adult; Erftm1.1(KOMP)Mbp/Erf+ (more )
Structure Level Pattern Image Note
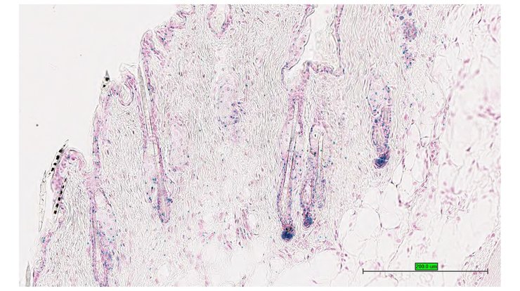
TS28: skin Present UC Davis_1884943

Specimen UC Davis_1884944: postnatal adult; Erftm1.1(KOMP)Mbp/Erf+ (more )
Structure Level Pattern Image Note
TS28: skin Present UC Davis_1884944

Specimen UC Davis_1884945: postnatal adult; Erftm1.1(KOMP)Mbp/Erf+ (more )
Structure Level Pattern Image Note
TS28: skin Present UC Davis_1884945

Specimen UC Davis_1884946: postnatal adult; Erftm1.1(KOMP)Mbp/Erf+ (more )
Structure Level Pattern Image Note
TS28: brown fat Present UC Davis_1884946

Specimen UC Davis_1884947: postnatal adult; Erftm1.1(KOMP)Mbp/Erf+ (more )
Structure Level Pattern Image Note
TS28: olfactory lobe Present UC Davis_1884947

Specimen UC Davis_1884948: postnatal adult; Erftm1.1(KOMP)Mbp/Erf+ (more )
Structure Level Pattern Image Note
TS28: olfactory lobe Present UC Davis_1884948

Specimen UC Davis_1884951: postnatal adult; Erftm1.1(KOMP)Mbp/Erf+ (more )
Structure Level Pattern Image Note
TS28: midbrain Present UC Davis_1884951

Specimen UC Davis_1884954: postnatal adult; Erftm1.1(KOMP)Mbp/Erf+ (more )
Structure Level Pattern Image Note
TS28: cerebellum Present UC Davis_1884954

Specimen UC Davis_1884955: postnatal adult; Erftm1.1(KOMP)Mbp/Erf+ (more )
Structure Level Pattern Image Note
TS28: cerebellum Present UC Davis_1884955

Specimen UC Davis_1884956: postnatal adult; Erftm1.1(KOMP)Mbp/Erf+ (more )
Structure Level Pattern Image Note
TS28: trigeminal nerve Present UC Davis_1884956

Specimen UC Davis_1884957: postnatal adult; Erftm1.1(KOMP)Mbp/Erf+ (more )
Structure Level Pattern Image Note
TS28: ovary Present UC Davis_1884957

Specimen UC Davis_1884958: postnatal adult; Erftm1.1(KOMP)Mbp/Erf+ (more )
Structure Level Pattern Image Note
TS28: ovary Present UC Davis_1884958

Specimen UC Davis_1884959: postnatal adult; Erftm1.1(KOMP)Mbp/Erf+ (more )
Structure Level Pattern Image Note
TS28: oviduct Present UC Davis_1884959

Specimen UC Davis_1884960: postnatal adult; Erftm1.1(KOMP)Mbp/Erf+ (more )
Structure Level Pattern Image Note
TS28: oviduct Present UC Davis_1884960

Specimen UC Davis_1884961: postnatal adult; Erftm1.1(KOMP)Mbp/Erf+ (more )
Structure Level Pattern Image Note
TS28: oviduct Present UC Davis_1884961

Specimen UC Davis_1884962: postnatal adult; Erftm1.1(KOMP)Mbp/Erf+ (more )
Structure Level Pattern Image Note
TS28: oviduct Present UC Davis_1884962

Specimen UC Davis_1884963: postnatal adult; Erftm1.1(KOMP)Mbp/Erf+ (more )
Structure Level Pattern Image Note
TS28: uterus Present UC Davis_1884963

Specimen UC Davis_1884964: postnatal adult; Erftm1.1(KOMP)Mbp/Erf+ (more )
Structure Level Pattern Image Note
TS28: uterus Present UC Davis_1884964

Specimen UC Davis_1884965: postnatal adult; Erftm1.1(KOMP)Mbp/Erf+ (more )
Structure Level Pattern Image Note
TS28: uterus Present UC Davis_1884965

Specimen UC Davis_1884966: postnatal adult; Erftm1.1(KOMP)Mbp/Erf+ (more )
Structure Level Pattern Image Note
TS28: vagina Present UC Davis_1884966

Specimen UC Davis_1884967: postnatal adult; Erftm1.1(KOMP)Mbp/Erf+ (more )
Structure Level Pattern Image Note
TS28: vagina Present UC Davis_1884967

Specimen UC Davis_1884968: postnatal adult; Erftm1.1(KOMP)Mbp/Erf+ (more )
Structure Level Pattern Image Note
TS28: vagina Present UC Davis_1884968

Specimen UC Davis_1884969: postnatal adult; Erftm1.1(KOMP)Mbp/Erf+ (more )
Structure Level Pattern Image Note
TS28: bladder Present UC Davis_1884969

Specimen UC Davis_1884970: postnatal adult; Erftm1.1(KOMP)Mbp/Erf+ (more )
Structure Level Pattern Image Note
TS28: bladder Present UC Davis_1884970

Specimen UC Davis_1884971: postnatal adult; Erftm1.1(KOMP)Mbp/Erf+ (more )
Structure Level Pattern Image Note
TS28: mammary gland Present UC Davis_1884971

Specimen UC Davis_1884975: postnatal adult; Erftm1.1(KOMP)Mbp/Erf+ (more )
Structure Level Pattern Image Note
TS28: submandibular gland Present UC Davis_1884975

Specimen UC Davis_1884976: postnatal adult; Erftm1.1(KOMP)Mbp/Erf+ (more )
Structure Level Pattern Image Note
TS28: submandibular gland Present UC Davis_1884976

Specimen UC Davis_1884977: postnatal adult; Erftm1.1(KOMP)Mbp/Erf+ (more )
Structure Level Pattern Image Note
TS28: sublingual gland Present UC Davis_1884977

Specimen UC Davis_1884978: postnatal adult; Erftm1.1(KOMP)Mbp/Erf+ (more )
Structure Level Pattern Image Note
TS28: parotid gland Present UC Davis_1884978

Specimen UC Davis_1884980: postnatal adult; Erftm1.1(KOMP)Mbp/Erf+ (more )
Structure Level Pattern Image Note
TS28: trachea Present UC Davis_1884980

Specimen UC Davis_1884981: postnatal adult; Erftm1.1(KOMP)Mbp/Erf+ (more )
Structure Level Pattern Image Note
TS28: trachea Present UC Davis_1884981

Specimen UC Davis_1884982: postnatal adult; Erftm1.1(KOMP)Mbp/Erf+ (more )
Structure Level Pattern Image Note
TS28: esophagus Present UC Davis_1884982

Specimen UC Davis_1884983: postnatal adult; Erftm1.1(KOMP)Mbp/Erf+ (more )
Structure Level Pattern Image Note
TS28: thyroid gland Present UC Davis_1884983

Specimen UC Davis_1884985: postnatal adult; Erftm1.1(KOMP)Mbp/Erf+ (more )
Structure Level Pattern Image Note
TS28: aorta Present UC Davis_1884985

Specimen UC Davis_1884986: postnatal adult; Erftm1.1(KOMP)Mbp/Erf+ (more )
Structure Level Pattern Image Note
TS28: lung Present UC Davis_1884986

Specimen UC Davis_1884987: postnatal adult; Erftm1.1(KOMP)Mbp/Erf+ (more )
Structure Level Pattern Image Note
TS28: lung Present UC Davis_1884987

Specimen UC Davis_1884991: postnatal adult; Erftm1.1(KOMP)Mbp/Erf+ (more )
Structure Level Pattern Image Note
TS28: mesenteric lymph node Present UC Davis_1884991

Specimen UC Davis_1884992: postnatal adult; Erftm1.1(KOMP)Mbp/Erf+ (more )
Structure Level Pattern Image Note
TS28: stomach Present UC Davis_1884992

Specimen UC Davis_1884993: postnatal adult; Erftm1.1(KOMP)Mbp/Erf+ (more )
Structure Level Pattern Image Note
TS28: stomach Present UC Davis_1884993

Specimen UC Davis_1884994: postnatal adult; Erftm1.1(KOMP)Mbp/Erf+ (more )
Structure Level Pattern Image Note
TS28: stomach Present UC Davis_1884994

Specimen UC Davis_1884995: postnatal adult; Erftm1.1(KOMP)Mbp/Erf+ (more )
Structure Level Pattern Image Note
TS28: duodenum Present UC Davis_1884995

Specimen UC Davis_1884996: postnatal adult; Erftm1.1(KOMP)Mbp/Erf+ (more )
Structure Level Pattern Image Note
TS28: jejunum Present UC Davis_1884996

Specimen UC Davis_1884997: postnatal adult; Erftm1.1(KOMP)Mbp/Erf+ (more )
Structure Level Pattern Image Note
TS28: ileum Present UC Davis_1884997

Specimen UC Davis_1884998: postnatal adult; Erftm1.1(KOMP)Mbp/Erf+ (more )
Structure Level Pattern Image Note
TS28: ileum Present UC Davis_1884998

Specimen UC Davis_1884999: postnatal adult; Erftm1.1(KOMP)Mbp/Erf+ (more )
Structure Level Pattern Image Note
TS28: colon Present UC Davis_1884999

Specimen UC Davis_1885000: postnatal adult; Erftm1.1(KOMP)Mbp/Erf+ (more )
Structure Level Pattern Image Note
TS28: cecum Present UC Davis_1885000

Specimen UC Davis_1885001: postnatal adult; Erftm1.1(KOMP)Mbp/Erf+ (more )
Structure Level Pattern Image Note
TS28: spleen Present UC Davis_1885001

Specimen UC Davis_1885002: postnatal adult; Erftm1.1(KOMP)Mbp/Erf+ (more )
Structure Level Pattern Image Note
TS28: spleen Present UC Davis_1885002

Specimen UC Davis_1885003: postnatal adult; Erftm1.1(KOMP)Mbp/Erf+ (more )
Structure Level Pattern Image Note
TS28: pancreas Present UC Davis_1885003

Specimen UC Davis_1885004: postnatal adult; Erftm1.1(KOMP)Mbp/Erf+ (more )
Structure Level Pattern Image Note
TS28: pancreas Present UC Davis_1885004

Specimen UC Davis_1885005: postnatal adult; Erftm1.1(KOMP)Mbp/Erf+ (more )
Structure Level Pattern Image Note
TS28: liver Present UC Davis_1885005

Specimen UC Davis_1885006: postnatal adult; Erftm1.1(KOMP)Mbp/Erf+ (more )
Structure Level Pattern Image Note
TS28: metanephros Present UC Davis_1885006 kidney

Specimen UC Davis_1885007: postnatal adult; Erftm1.1(KOMP)Mbp/Erf+ (more )
Structure Level Pattern Image Note
TS28: metanephros Present UC Davis_1885007 kidney

Specimen UC Davis_1885008: postnatal adult; Erftm1.1(KOMP)Mbp/Erf+ (more )
Structure Level Pattern Image Note
TS28: metanephros Present UC Davis_1885008 kidney

Specimen UC Davis_1885009: postnatal adult; Erftm1.1(KOMP)Mbp/Erf+ (more )
Structure Level Pattern Image Note
TS28: quadriceps femoris muscle Present UC Davis_1885009

Specimen UC Davis_1885010: postnatal adult; Erftm1.1(KOMP)Mbp/Erf+ (more )
Structure Level Pattern Image Note
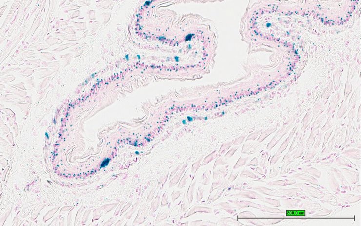
TS28: sciatic nerve Present UC Davis_1885010

Specimen UC Davis_1885011: postnatal adult; Erftm1.1(KOMP)Mbp/Erf+ (more )
Structure Level Pattern Image Note
TS28: sciatic nerve Present UC Davis_1885011

Specimen UC Davis_1885012: postnatal adult; Erftm1.1(KOMP)Mbp/Erf+ (more )
Structure Level Pattern Image Note
TS28: tongue Present UC Davis_1885012

Specimen UC Davis_1885013: postnatal adult; Erftm1.1(KOMP)Mbp/Erf+ (more )
Structure Level Pattern Image Note
TS28: tongue Present UC Davis_1885013

Specimen UC Davis_1885014: postnatal adult; Erftm1.1(KOMP)Mbp/Erf+ (more )
Structure Level Pattern Image Note
TS28: diaphragm Present UC Davis_1885014

Specimen UC Davis_1885015: postnatal adult; Erftm1.1(KOMP)Mbp/Erf+ (more )
Structure Level Pattern Image Note
TS28: adrenal gland Present UC Davis_1885015

Specimen UC Davis_1885016: postnatal adult; Erftm1.1(KOMP)Mbp/Erf+ (more )
Structure Level Pattern Image Note
TS28: pituitary gland Present UC Davis_1885016

Specimen UC Davis_1885017: postnatal adult; Erftm1.1(KOMP)Mbp/Erf+ (more )
Structure Level Pattern Image Note
TS28: spinal cord Present UC Davis_1885017

Specimen UC Davis_1885018: postnatal adult; Erftm1.1(KOMP)Mbp/Erf+ (more )
Structure Level Pattern Image Note
TS28: spinal cord Present UC Davis_1885018

Specimen UC Davis_1885019: postnatal adult; Erftm1.1(KOMP)Mbp/Erf+ (more )
Structure Level Pattern Image Note
TS28: eye Present UC Davis_1885019

Specimen UC Davis_1885020: postnatal adult; Erftm1.1(KOMP)Mbp/Erf+ (more )
Structure Level Pattern Image Note
TS28: eye Present UC Davis_1885020

Specimen UC Davis_1885021: postnatal adult; Erftm1.1(KOMP)Mbp/Erf+ (more )
Structure Level Pattern Image Note
TS28: eye Present UC Davis_1885021

Specimen UC Davis_1885023: postnatal adult; Erftm1.1(KOMP)Mbp/Erf+ (more )
Structure Level Pattern Image Note
TS28: Harderian gland Present UC Davis_1885023

Specimen UC Davis_1885024: postnatal adult; Erftm1.1(KOMP)Mbp/Erf+ (more )
Structure Level Pattern Image Note
TS28: mesenteric adipose tissue Present UC Davis_1885024

Specimen UC Davis_1885025: postnatal adult; Erftm1.1(KOMP)Mbp/Erf+ (more )
Structure Level Pattern Image Note
TS28: skin Present UC Davis_1885025

Specimen UC Davis_1885026: postnatal adult; Erftm1.1(KOMP)Mbp/Erf+ (more )
Structure Level Pattern Image Note
TS28: skin Present UC Davis_1885026

Specimen UC Davis_1885027: postnatal adult; Erftm1.1(KOMP)Mbp/Erf+ (more )
Structure Level Pattern Image Note
TS28: brown fat Present UC Davis_1885027

Specimen UC Davis_1885030: postnatal adult; Erftm1.1(KOMP)Mbp/Erf+ (more )
Structure Level Pattern Image Note
TS28: midbrain Present UC Davis_1885030

Specimen UC Davis_1885032: postnatal adult; Erftm1.1(KOMP)Mbp/Erf+ (more )
Structure Level Pattern Image Note
TS28: cerebellum Present UC Davis_1885032

Specimen UC Davis_1885033: postnatal adult; Erftm1.1(KOMP)Mbp/Erf+ (more )
Structure Level Pattern Image Note
TS28: trigeminal nerve Present UC Davis_1885033

Specimen UC Davis_1885034: postnatal adult; Erftm1.1(KOMP)Mbp/Erf+ (more )
Structure Level Pattern Image Note
TS28: bladder Present UC Davis_1885034

Specimen UC Davis_1885035: postnatal adult; Erftm1.1(KOMP)Mbp/Erf+ (more )
Structure Level Pattern Image Note
TS28: bladder Present UC Davis_1885035

Specimen UC Davis_1885036: postnatal adult; Erftm1.1(KOMP)Mbp/Erf+ (more )
Structure Level Pattern Image Note
TS28: testis Present UC Davis_1885036

Specimen UC Davis_1885037: postnatal adult; Erftm1.1(KOMP)Mbp/Erf+ (more )
Structure Level Pattern Image Note
TS28: testis Present UC Davis_1885037

Specimen UC Davis_1885038: postnatal adult; Erftm1.1(KOMP)Mbp/Erf+ (more )
Structure Level Pattern Image Note
TS28: epididymis Present UC Davis_1885038

Specimen UC Davis_1885039: postnatal adult; Erftm1.1(KOMP)Mbp/Erf+ (more )
Structure Level Pattern Image Note
TS28: epididymis Present UC Davis_1885039

Specimen UC Davis_1885040: postnatal adult; Erftm1.1(KOMP)Mbp/Erf+ (more )
Structure Level Pattern Image Note
TS28: epididymis Present UC Davis_1885040

Specimen UC Davis_1885041: postnatal adult; Erftm1.1(KOMP)Mbp/Erf+ (more )
Structure Level Pattern Image Note
TS28: penis Present UC Davis_1885041

Specimen UC Davis_1885042: postnatal adult; Erftm1.1(KOMP)Mbp/Erf+ (more )
Structure Level Pattern Image Note
TS28: penis Present UC Davis_1885042

Specimen UC Davis_1885043: postnatal adult; Erftm1.1(KOMP)Mbp/Erf+ (more )
Structure Level Pattern Image Note
TS28: ductus deferens Present UC Davis_1885043 vas deferens

Specimen UC Davis_1885046: postnatal adult; Erftm1.1(KOMP)Mbp/Erf+ (more )
Structure Level Pattern Image Note
TS28: seminal vesicle Present UC Davis_1885046 vesicular gland


Contributing Projects:
Mouse Genome Database (MGD), Gene Expression Database (GXD), Mouse Models of Human Cancer database (MMHCdb) (formerly Mouse Tumor Biology (MTB)), Gene Ontology (GO)
Citing These Resources
Funding Information
Warranty Disclaimer, Privacy Notice, Licensing, & Copyright
Send questions and comments to User Support.
last database update
01/06/2026
MGI 6.24
The Jackson Laboratory