About   Help   FAQ
Gene Expression Data
Assay Details
Assay
Reference: J:228563 Koscielny G, et al., The International Mouse Phenotyping Consortium Web Portal, a unified point of access for knockout mice and related phenotyping data. Nucleic Acids Res. 2014 Jan;42(Database issue):D802-9
Assay type: In situ reporter (knock in)
MGI Accession ID: MGI:6691182
Gene symbol: Gpr182
Gene name: G protein-coupled receptor 182
Reporter: lacZ
Direct Detection
Results
Specimen UC Davis_1863321: postnatal adult; Gpr182tm2b(KOMP)Wtsi/Gpr182+ (more )
Structure Level Pattern Image Note
TS28: lung Present UC Davis_1863321

Specimen UC Davis_1863322: postnatal adult; Gpr182tm2b(KOMP)Wtsi/Gpr182+ (more )
Structure Level Pattern Image Note
TS28: lung Present UC Davis_1863322

Specimen UC Davis_1863323: postnatal adult; Gpr182tm2b(KOMP)Wtsi/Gpr182+ (more )
Structure Level Pattern Image Note
TS28: stomach Present UC Davis_1863323

Specimen UC Davis_1863324: postnatal adult; Gpr182tm2b(KOMP)Wtsi/Gpr182+ (more )
Structure Level Pattern Image Note
TS28: stomach Present UC Davis_1863324

Specimen UC Davis_1863325: postnatal adult; Gpr182tm2b(KOMP)Wtsi/Gpr182+ (more )
Structure Level Pattern Image Note
TS28: jejunum Present UC Davis_1863325

Specimen UC Davis_1863326: postnatal adult; Gpr182tm2b(KOMP)Wtsi/Gpr182+ (more )
Structure Level Pattern Image Note
TS28: ileum Present UC Davis_1863326

Specimen UC Davis_1863327: postnatal adult; Gpr182tm2b(KOMP)Wtsi/Gpr182+ (more )
Structure Level Pattern Image Note
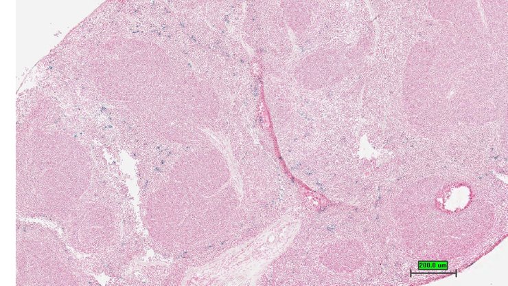
TS28: spleen Present UC Davis_1863327

Specimen UC Davis_1863328: postnatal adult; Gpr182tm2b(KOMP)Wtsi/Gpr182+ (more )
Structure Level Pattern Image Note
TS28: spleen Present UC Davis_1863328

Specimen UC Davis_1863329: postnatal adult; Gpr182tm2b(KOMP)Wtsi/Gpr182+ (more )
Structure Level Pattern Image Note
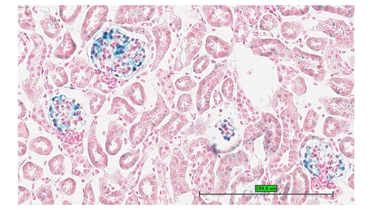
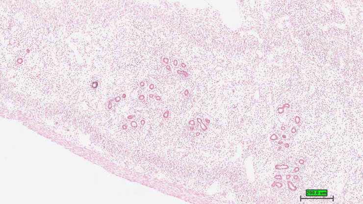
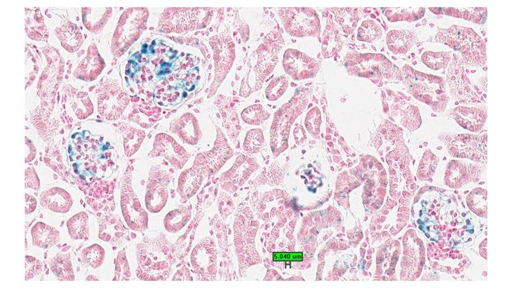
TS28: metanephros Present UC Davis_1863329 kidney

Specimen UC Davis_1863330: postnatal adult; Gpr182tm2b(KOMP)Wtsi/Gpr182+ (more )
Structure Level Pattern Image Note
TS28: metanephros Present UC Davis_1863330 kidney

Specimen UC Davis_1863331: postnatal adult; Gpr182tm2b(KOMP)Wtsi/Gpr182+ (more )
Structure Level Pattern Image Note
TS28: skin Present UC Davis_1863331

Specimen UC Davis_1863332: postnatal adult; Gpr182tm2b(KOMP)Wtsi/Gpr182+ (more )
Structure Level Pattern Image Note
TS28: skin Present UC Davis_1863332

Specimen UC Davis_1863333: postnatal adult; Gpr182tm2b(KOMP)Wtsi/Gpr182+ (more )
Structure Level Pattern Image Note
TS28: oviduct Present UC Davis_1863333

Specimen UC Davis_1863334: postnatal adult; Gpr182tm2b(KOMP)Wtsi/Gpr182+ (more )
Structure Level Pattern Image Note
TS28: uterus Present UC Davis_1863334

Specimen UC Davis_1863335: postnatal adult; Gpr182tm2b(KOMP)Wtsi/Gpr182+ (more )
Structure Level Pattern Image Note
TS28: uterus Present UC Davis_1863335

Specimen UC Davis_1863355: postnatal adult; Gpr182tm2b(KOMP)Wtsi/Gpr182+ (more )
Structure Level Pattern Image Note
TS28: metanephros Present UC Davis_1863355 kidney

Specimen UC Davis_1863356: postnatal adult; Gpr182tm2b(KOMP)Wtsi/Gpr182+ (more )
Structure Level Pattern Image Note
TS28: ovary Present UC Davis_1863356

Specimen UC Davis_1863357: postnatal adult; Gpr182tm2b(KOMP)Wtsi/Gpr182+ (more )
Structure Level Pattern Image Note
TS28: oviduct Present UC Davis_1863357

Specimen UC Davis_1863316: postnatal adult; Gpr182tm2b(KOMP)Wtsi/Gpr182+ (more )
Structure Level Pattern Image Note
TS28: esophagus Present UC Davis_1863316

Specimen UC Davis_1863318: postnatal adult; Gpr182tm2b(KOMP)Wtsi/Gpr182+ (more )
Structure Level Pattern Image Note
TS28: ileum Present UC Davis_1863318

Specimen UC Davis_1863319: postnatal adult; Gpr182tm2b(KOMP)Wtsi/Gpr182+ (more )
Structure Level Pattern Image Note
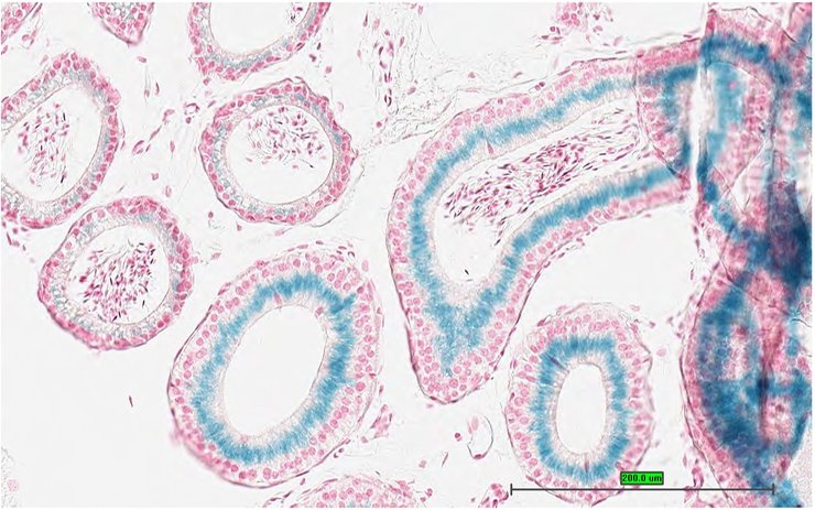
TS28: epididymis Present UC Davis_1863319

Specimen UC Davis_1863320: postnatal adult; Gpr182tm2b(KOMP)Wtsi/Gpr182+ (more )
Structure Level Pattern Image Note
TS28: ductus deferens Present UC Davis_1863320 vas deferens

Specimen UC Davis_1863336: postnatal adult; Gpr182tm2b(KOMP)Wtsi/Gpr182+ (more )
Structure Level Pattern Image Note
TS28: spleen Present UC Davis_1863336

Specimen UC Davis_1863337: postnatal adult; Gpr182tm2b(KOMP)Wtsi/Gpr182+ (more )
Structure Level Pattern Image Note
TS28: lung Present UC Davis_1863337

Specimen UC Davis_1863339: postnatal adult; Gpr182tm2b(KOMP)Wtsi/Gpr182+ (more )
Structure Level Pattern Image Note
TS28: metanephros Present UC Davis_1863339 kidney

Specimen UC Davis_1863340: postnatal adult; Gpr182tm2b(KOMP)Wtsi/Gpr182+ (more )
Structure Level Pattern Image Note
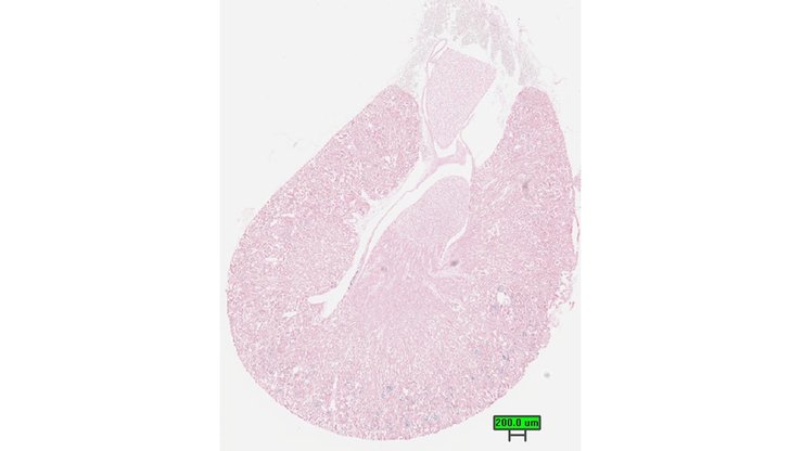
TS28: liver Present UC Davis_1863340

Specimen UC Davis_1863341: postnatal adult; Gpr182tm2b(KOMP)Wtsi/Gpr182+ (more )
Structure Level Pattern Image Note
TS28: thyroid gland Present UC Davis_1863341

Specimen UC Davis_1863342: postnatal adult; Gpr182tm2b(KOMP)Wtsi/Gpr182+ (more )
Structure Level Pattern Image Note
TS28: stomach Present UC Davis_1863342

Specimen UC Davis_1863343: postnatal adult; Gpr182tm2b(KOMP)Wtsi/Gpr182+ (more )
Structure Level Pattern Image Note
TS28: duodenum Present UC Davis_1863343

Specimen UC Davis_1863344: postnatal adult; Gpr182tm2b(KOMP)Wtsi/Gpr182+ (more )
Structure Level Pattern Image Note
TS28: jejunum Present UC Davis_1863344

Specimen UC Davis_1863345: postnatal adult; Gpr182tm2b(KOMP)Wtsi/Gpr182+ (more )
Structure Level Pattern Image Note
TS28: ileum Present UC Davis_1863345

Specimen UC Davis_1863346: postnatal adult; Gpr182tm2b(KOMP)Wtsi/Gpr182+ (more )
Structure Level Pattern Image Note
TS28: cecum Present UC Davis_1863346

Specimen UC Davis_1863347: postnatal adult; Gpr182tm2b(KOMP)Wtsi/Gpr182+ (more )
Structure Level Pattern Image Note
TS28: colon Present UC Davis_1863347

Specimen UC Davis_1863348: postnatal adult; Gpr182tm2b(KOMP)Wtsi/Gpr182+ (more )
Structure Level Pattern Image Note
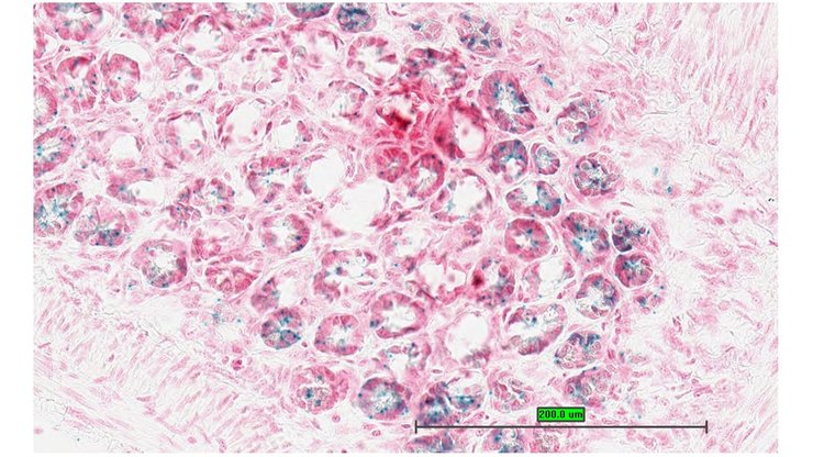
TS28: testis Present UC Davis_1863348

Specimen UC Davis_1863349: postnatal adult; Gpr182tm2b(KOMP)Wtsi/Gpr182+ (more )
Structure Level Pattern Image Note
TS28: epididymis Present UC Davis_1863349

Specimen UC Davis_1863350: postnatal adult; Gpr182tm2b(KOMP)Wtsi/Gpr182+ (more )
Structure Level Pattern Image Note
TS28: ductus deferens Present UC Davis_1863350 vas deferens


Contributing Projects:
Mouse Genome Database (MGD), Gene Expression Database (GXD), Mouse Models of Human Cancer database (MMHCdb) (formerly Mouse Tumor Biology (MTB)), Gene Ontology (GO)
Citing These Resources
Funding Information
Warranty Disclaimer, Privacy Notice, Licensing, & Copyright
Send questions and comments to User Support.
last database update
12/30/2025
MGI 6.24
The Jackson Laboratory