About   Help   FAQ
Gene Expression Data
Assay Details
Assay
Reference: J:228563 Koscielny G, et al., The International Mouse Phenotyping Consortium Web Portal, a unified point of access for knockout mice and related phenotyping data. Nucleic Acids Res. 2014 Jan;42(Database issue):D802-9
Assay type: In situ reporter (knock in)
MGI Accession ID: MGI:6691174
Gene symbol: Gata5
Gene name: GATA binding protein 5
Reporter: lacZ
Direct Detection
Results
Specimen UC Davis_1871087: postnatal adult; Gata5tm1.1(KOMP)Vlcg/Gata5+ (more )
Note: The IMPC refers to this as a tm1b allele; when using standard nomenclature conventions, however, it is a tm1.1 allele.
Structure Level Pattern Image Note
TS28: lung Present UC Davis_1871087

Specimen UC Davis_1871088: postnatal adult; Gata5tm1.1(KOMP)Vlcg/Gata5+ (more )
Note: The IMPC refers to this as a tm1b allele; when using standard nomenclature conventions, however, it is a tm1.1 allele.
Structure Level Pattern Image Note
TS28: lung Present UC Davis_1871088

Specimen UC Davis_1871089: postnatal adult; Gata5tm1.1(KOMP)Vlcg/Gata5+ (more )
Note: The IMPC refers to this as a tm1b allele; when using standard nomenclature conventions, however, it is a tm1.1 allele.
Structure Level Pattern Image Note
TS28: lung Present UC Davis_1871089

Specimen UC Davis_1871090: postnatal adult; Gata5tm1.1(KOMP)Vlcg/Gata5+ (more )
Note: The IMPC refers to this as a tm1b allele; when using standard nomenclature conventions, however, it is a tm1.1 allele.
Structure Level Pattern Image Note
TS28: lung Present UC Davis_1871090

Specimen UC Davis_1871091: postnatal adult; Gata5tm1.1(KOMP)Vlcg/Gata5+ (more )
Note: The IMPC refers to this as a tm1b allele; when using standard nomenclature conventions, however, it is a tm1.1 allele.
Structure Level Pattern Image Note
TS28: stomach Present UC Davis_1871091

Specimen UC Davis_1871092: postnatal adult; Gata5tm1.1(KOMP)Vlcg/Gata5+ (more )
Note: The IMPC refers to this as a tm1b allele; when using standard nomenclature conventions, however, it is a tm1.1 allele.
Structure Level Pattern Image Note
TS28: stomach Present UC Davis_1871092

Specimen UC Davis_1871093: postnatal adult; Gata5tm1.1(KOMP)Vlcg/Gata5+ (more )
Note: The IMPC refers to this as a tm1b allele; when using standard nomenclature conventions, however, it is a tm1.1 allele.
Structure Level Pattern Image Note
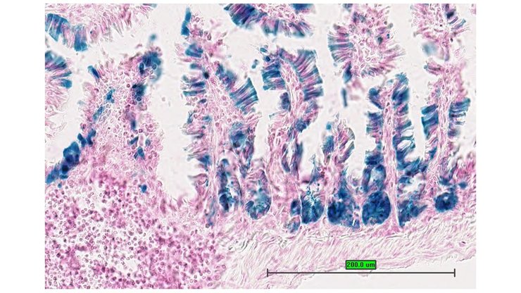
TS28: jejunum Present UC Davis_1871093

Specimen UC Davis_1871094: postnatal adult; Gata5tm1.1(KOMP)Vlcg/Gata5+ (more )
Note: The IMPC refers to this as a tm1b allele; when using standard nomenclature conventions, however, it is a tm1.1 allele.
Structure Level Pattern Image Note
TS28: ileum Present UC Davis_1871094

Specimen UC Davis_1871095: postnatal adult; Gata5tm1.1(KOMP)Vlcg/Gata5+ (more )
Note: The IMPC refers to this as a tm1b allele; when using standard nomenclature conventions, however, it is a tm1.1 allele.
Structure Level Pattern Image Note
TS28: ileum Present UC Davis_1871095

Specimen UC Davis_1871096: postnatal adult; Gata5tm1.1(KOMP)Vlcg/Gata5+ (more )
Note: The IMPC refers to this as a tm1b allele; when using standard nomenclature conventions, however, it is a tm1.1 allele.
Structure Level Pattern Image Note
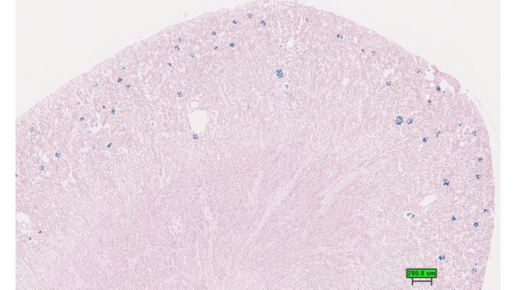
TS28: metanephros Present UC Davis_1871096 kidney

Specimen UC Davis_1871097: postnatal adult; Gata5tm1.1(KOMP)Vlcg/Gata5+ (more )
Note: The IMPC refers to this as a tm1b allele; when using standard nomenclature conventions, however, it is a tm1.1 allele.
Structure Level Pattern Image Note
TS28: metanephros Present UC Davis_1871097 kidney

Specimen UC Davis_1871098: postnatal adult; Gata5tm1.1(KOMP)Vlcg/Gata5+ (more )
Note: The IMPC refers to this as a tm1b allele; when using standard nomenclature conventions, however, it is a tm1.1 allele.
Structure Level Pattern Image Note
TS28: metanephros Present UC Davis_1871098 kidney

Specimen UC Davis_1871099: postnatal adult; Gata5tm1.1(KOMP)Vlcg/Gata5+ (more )
Note: The IMPC refers to this as a tm1b allele; when using standard nomenclature conventions, however, it is a tm1.1 allele.
Structure Level Pattern Image Note
TS28: metanephros Present UC Davis_1871099 kidney

Specimen UC Davis_1871100: postnatal adult; Gata5tm1.1(KOMP)Vlcg/Gata5+ (more )
Note: The IMPC refers to this as a tm1b allele; when using standard nomenclature conventions, however, it is a tm1.1 allele.
Structure Level Pattern Image Note
TS28: uterus Present UC Davis_1871100

Specimen UC Davis_1871101: postnatal adult; Gata5tm1.1(KOMP)Vlcg/Gata5+ (more )
Note: The IMPC refers to this as a tm1b allele; when using standard nomenclature conventions, however, it is a tm1.1 allele.
Structure Level Pattern Image Note
TS28: uterus Present UC Davis_1871101

Specimen UC Davis_1871102: postnatal adult; Gata5tm1.1(KOMP)Vlcg/Gata5+ (more )
Note: The IMPC refers to this as a tm1b allele; when using standard nomenclature conventions, however, it is a tm1.1 allele.
Structure Level Pattern Image Note
TS28: uterus Present UC Davis_1871102

Specimen UC Davis_1871103: postnatal adult; Gata5tm1.1(KOMP)Vlcg/Gata5+ (more )
Note: The IMPC refers to this as a tm1b allele; when using standard nomenclature conventions, however, it is a tm1.1 allele.
Structure Level Pattern Image Note
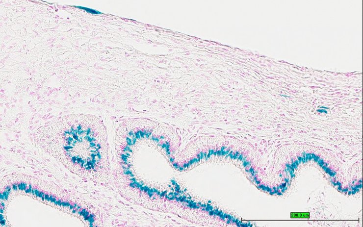
TS28: bladder Present UC Davis_1871103

Specimen UC Davis_1871104: postnatal adult; Gata5tm1.1(KOMP)Vlcg/Gata5+ (more )
Note: The IMPC refers to this as a tm1b allele; when using standard nomenclature conventions, however, it is a tm1.1 allele.
Structure Level Pattern Image Note
TS28: bladder Present UC Davis_1871104

Specimen UC Davis_1871105: postnatal adult; Gata5tm1.1(KOMP)Vlcg/Gata5+ (more )
Note: The IMPC refers to this as a tm1b allele; when using standard nomenclature conventions, however, it is a tm1.1 allele.
Structure Level Pattern Image Note
TS28: bladder Present UC Davis_1871105

Specimen UC Davis_1871110: postnatal adult; Gata5tm1.1(KOMP)Vlcg/Gata5+ (more )
Note: The IMPC refers to this as a tm1b allele; when using standard nomenclature conventions, however, it is a tm1.1 allele.
Structure Level Pattern Image Note
TS28: lung Present UC Davis_1871110

Specimen UC Davis_1871111: postnatal adult; Gata5tm1.1(KOMP)Vlcg/Gata5+ (more )
Note: The IMPC refers to this as a tm1b allele; when using standard nomenclature conventions, however, it is a tm1.1 allele.
Structure Level Pattern Image Note
TS28: lung Present UC Davis_1871111

Specimen UC Davis_1871112: postnatal adult; Gata5tm1.1(KOMP)Vlcg/Gata5+ (more )
Note: The IMPC refers to this as a tm1b allele; when using standard nomenclature conventions, however, it is a tm1.1 allele.
Structure Level Pattern Image Note
TS28: lung Present UC Davis_1871112

Specimen UC Davis_1871113: postnatal adult; Gata5tm1.1(KOMP)Vlcg/Gata5+ (more )
Note: The IMPC refers to this as a tm1b allele; when using standard nomenclature conventions, however, it is a tm1.1 allele.
Structure Level Pattern Image Note
TS28: lung Present UC Davis_1871113

Specimen UC Davis_1871118: postnatal adult; Gata5tm1.1(KOMP)Vlcg/Gata5+ (more )
Note: The IMPC refers to this as a tm1b allele; when using standard nomenclature conventions, however, it is a tm1.1 allele.
Structure Level Pattern Image Note
TS28: stomach Present UC Davis_1871118

Specimen UC Davis_1871119: postnatal adult; Gata5tm1.1(KOMP)Vlcg/Gata5+ (more )
Note: The IMPC refers to this as a tm1b allele; when using standard nomenclature conventions, however, it is a tm1.1 allele.
Structure Level Pattern Image Note
TS28: stomach Present UC Davis_1871119

Specimen UC Davis_1871120: postnatal adult; Gata5tm1.1(KOMP)Vlcg/Gata5+ (more )
Note: The IMPC refers to this as a tm1b allele; when using standard nomenclature conventions, however, it is a tm1.1 allele.
Structure Level Pattern Image Note
TS28: stomach Present UC Davis_1871120

Specimen UC Davis_1871121: postnatal adult; Gata5tm1.1(KOMP)Vlcg/Gata5+ (more )
Note: The IMPC refers to this as a tm1b allele; when using standard nomenclature conventions, however, it is a tm1.1 allele.
Structure Level Pattern Image Note
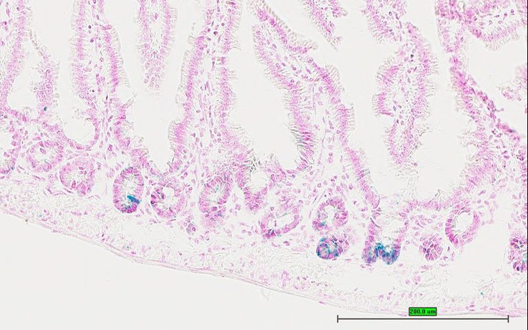
TS28: duodenum Present UC Davis_1871121

Specimen UC Davis_1871122: postnatal adult; Gata5tm1.1(KOMP)Vlcg/Gata5+ (more )
Note: The IMPC refers to this as a tm1b allele; when using standard nomenclature conventions, however, it is a tm1.1 allele.
Structure Level Pattern Image Note
TS28: duodenum Present UC Davis_1871122

Specimen UC Davis_1871123: postnatal adult; Gata5tm1.1(KOMP)Vlcg/Gata5+ (more )
Note: The IMPC refers to this as a tm1b allele; when using standard nomenclature conventions, however, it is a tm1.1 allele.
Structure Level Pattern Image Note
TS28: duodenum Present UC Davis_1871123

Specimen UC Davis_1871124: postnatal adult; Gata5tm1.1(KOMP)Vlcg/Gata5+ (more )
Note: The IMPC refers to this as a tm1b allele; when using standard nomenclature conventions, however, it is a tm1.1 allele.
Structure Level Pattern Image Note
TS28: jejunum Present UC Davis_1871124

Specimen UC Davis_1871125: postnatal adult; Gata5tm1.1(KOMP)Vlcg/Gata5+ (more )
Note: The IMPC refers to this as a tm1b allele; when using standard nomenclature conventions, however, it is a tm1.1 allele.
Structure Level Pattern Image Note
TS28: ileum Present UC Davis_1871125

Specimen UC Davis_1871126: postnatal adult; Gata5tm1.1(KOMP)Vlcg/Gata5+ (more )
Note: The IMPC refers to this as a tm1b allele; when using standard nomenclature conventions, however, it is a tm1.1 allele.
Structure Level Pattern Image Note
TS28: colon Present UC Davis_1871126

Specimen UC Davis_1871127: postnatal adult; Gata5tm1.1(KOMP)Vlcg/Gata5+ (more )
Note: The IMPC refers to this as a tm1b allele; when using standard nomenclature conventions, however, it is a tm1.1 allele.
Structure Level Pattern Image Note
TS28: liver Present UC Davis_1871127

Specimen UC Davis_1871128: postnatal adult; Gata5tm1.1(KOMP)Vlcg/Gata5+ (more )
Note: The IMPC refers to this as a tm1b allele; when using standard nomenclature conventions, however, it is a tm1.1 allele.
Structure Level Pattern Image Note
TS28: metanephros Present UC Davis_1871128 kidney

Specimen UC Davis_1871129: postnatal adult; Gata5tm1.1(KOMP)Vlcg/Gata5+ (more )
Note: The IMPC refers to this as a tm1b allele; when using standard nomenclature conventions, however, it is a tm1.1 allele.
Structure Level Pattern Image Note
TS28: metanephros Present UC Davis_1871129 kidney

Specimen UC Davis_1871130: postnatal adult; Gata5tm1.1(KOMP)Vlcg/Gata5+ (more )
Note: The IMPC refers to this as a tm1b allele; when using standard nomenclature conventions, however, it is a tm1.1 allele.
Structure Level Pattern Image Note
TS28: metanephros Present UC Davis_1871130 kidney

Specimen UC Davis_1871131: postnatal adult; Gata5tm1.1(KOMP)Vlcg/Gata5+ (more )
Note: The IMPC refers to this as a tm1b allele; when using standard nomenclature conventions, however, it is a tm1.1 allele.
Structure Level Pattern Image Note
TS28: tongue Present UC Davis_1871131

Specimen UC Davis_1871132: postnatal adult; Gata5tm1.1(KOMP)Vlcg/Gata5+ (more )
Note: The IMPC refers to this as a tm1b allele; when using standard nomenclature conventions, however, it is a tm1.1 allele.
Structure Level Pattern Image Note
TS28: bladder Present UC Davis_1871132

Specimen UC Davis_1871133: postnatal adult; Gata5tm1.1(KOMP)Vlcg/Gata5+ (more )
Note: The IMPC refers to this as a tm1b allele; when using standard nomenclature conventions, however, it is a tm1.1 allele.
Structure Level Pattern Image Note
TS28: bladder Present UC Davis_1871133

Specimen UC Davis_1871134: postnatal adult; Gata5tm1.1(KOMP)Vlcg/Gata5+ (more )
Note: The IMPC refers to this as a tm1b allele; when using standard nomenclature conventions, however, it is a tm1.1 allele.
Structure Level Pattern Image Note
TS28: bladder Present UC Davis_1871134

Specimen UC Davis_1871135: postnatal adult; Gata5tm1.1(KOMP)Vlcg/Gata5+ (more )
Note: The IMPC refers to this as a tm1b allele; when using standard nomenclature conventions, however, it is a tm1.1 allele.
Structure Level Pattern Image Note
TS28: testis Present UC Davis_1871135

Specimen UC Davis_1871136: postnatal adult; Gata5tm1.1(KOMP)Vlcg/Gata5+ (more )
Note: The IMPC refers to this as a tm1b allele; when using standard nomenclature conventions, however, it is a tm1.1 allele.
Structure Level Pattern Image Note
TS28: testis Present UC Davis_1871136

Specimen UC Davis_1871137: postnatal adult; Gata5tm1.1(KOMP)Vlcg/Gata5+ (more )
Note: The IMPC refers to this as a tm1b allele; when using standard nomenclature conventions, however, it is a tm1.1 allele.
Structure Level Pattern Image Note
TS28: epididymis Present UC Davis_1871137

Specimen UC Davis_1871138: postnatal adult; Gata5tm1.1(KOMP)Vlcg/Gata5+ (more )
Note: The IMPC refers to this as a tm1b allele; when using standard nomenclature conventions, however, it is a tm1.1 allele.
Structure Level Pattern Image Note
TS28: prostate gland Present UC Davis_1871138

Specimen UC Davis_1871139: postnatal adult; Gata5tm1.1(KOMP)Vlcg/Gata5+ (more )
Note: The IMPC refers to this as a tm1b allele; when using standard nomenclature conventions, however, it is a tm1.1 allele.
Structure Level Pattern Image Note
TS28: ductus deferens Present UC Davis_1871139 vas deferens

Specimen UC Davis_1871140: postnatal adult; Gata5tm1.1(KOMP)Vlcg/Gata5+ (more )
Note: The IMPC refers to this as a tm1b allele; when using standard nomenclature conventions, however, it is a tm1.1 allele.
Structure Level Pattern Image Note
TS28: seminal vesicle Present UC Davis_1871140 vesicular gland


Contributing Projects:
Mouse Genome Database (MGD), Gene Expression Database (GXD), Mouse Models of Human Cancer database (MMHCdb) (formerly Mouse Tumor Biology (MTB)), Gene Ontology (GO)
Citing These Resources
Funding Information
Warranty Disclaimer, Privacy Notice, Licensing, & Copyright
Send questions and comments to User Support.
last database update
01/20/2026
MGI 6.24
The Jackson Laboratory