About   Help   FAQ
Gene Expression Data
Assay Details
Assay
Reference: J:228563 Koscielny G, et al., The International Mouse Phenotyping Consortium Web Portal, a unified point of access for knockout mice and related phenotyping data. Nucleic Acids Res. 2014 Jan;42(Database issue):D802-9
Assay type: In situ reporter (knock in)
MGI Accession ID: MGI:6691173
Gene symbol: Nfil3
Gene name: nuclear factor, interleukin 3, regulated
Reporter: lacZ
Direct Detection
Results
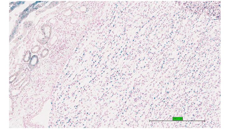
Specimen UC Davis_1882202: postnatal adult; Nfil3tm1.1(KOMP)Vlcg/Nfil3+ (more )
Structure Level Pattern Image Note
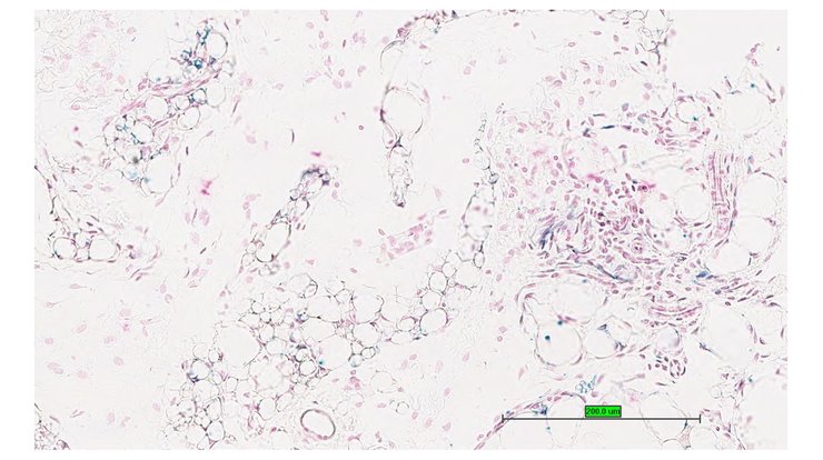
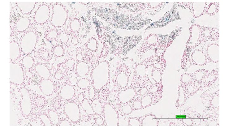
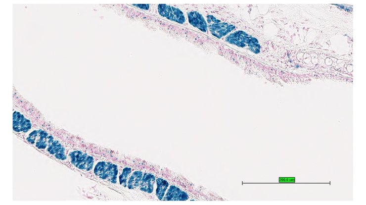
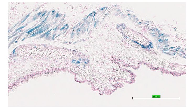
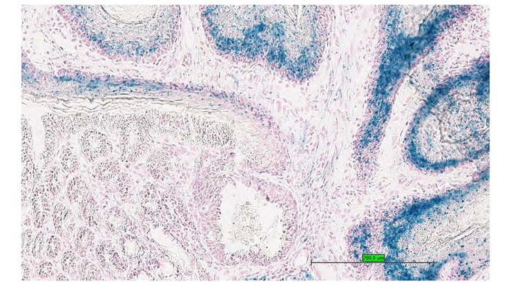
TS28: submandibular gland Present UC Davis_1882202

Specimen UC Davis_1882203: postnatal adult; Nfil3tm1.1(KOMP)Vlcg/Nfil3+ (more )
Structure Level Pattern Image Note
TS28: submandibular gland Present UC Davis_1882203

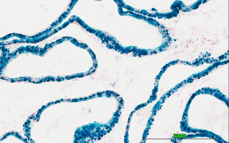
Specimen UC Davis_1882204: postnatal adult; Nfil3tm1.1(KOMP)Vlcg/Nfil3+ (more )
Structure Level Pattern Image Note
TS28: sublingual gland Present UC Davis_1882204

Specimen UC Davis_1882205: postnatal adult; Nfil3tm1.1(KOMP)Vlcg/Nfil3+ (more )
Structure Level Pattern Image Note
TS28: sublingual gland Present UC Davis_1882205

Specimen UC Davis_1882206: postnatal adult; Nfil3tm1.1(KOMP)Vlcg/Nfil3+ (more )
Structure Level Pattern Image Note
TS28: parotid gland Present UC Davis_1882206

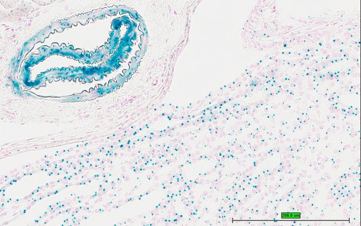
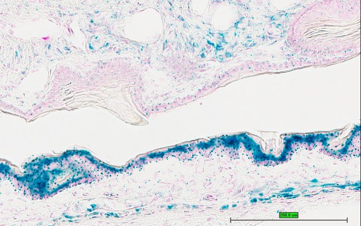
Specimen UC Davis_1882208: postnatal adult; Nfil3tm1.1(KOMP)Vlcg/Nfil3+ (more )
Structure Level Pattern Image Note
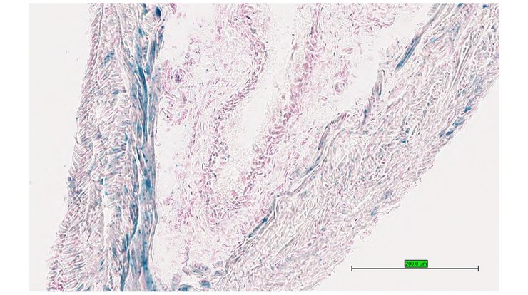
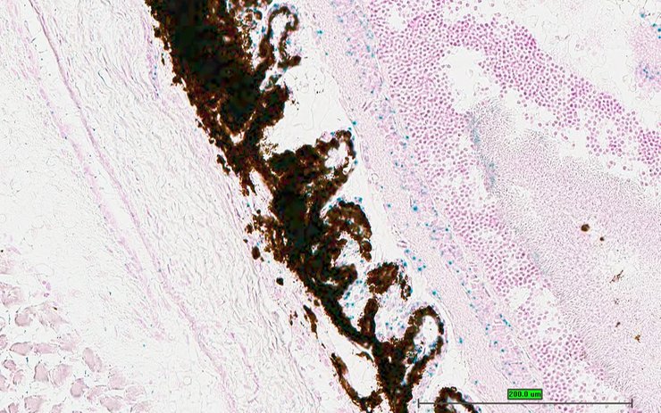
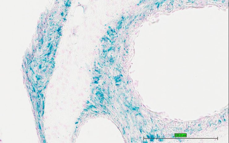
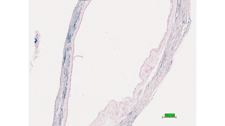
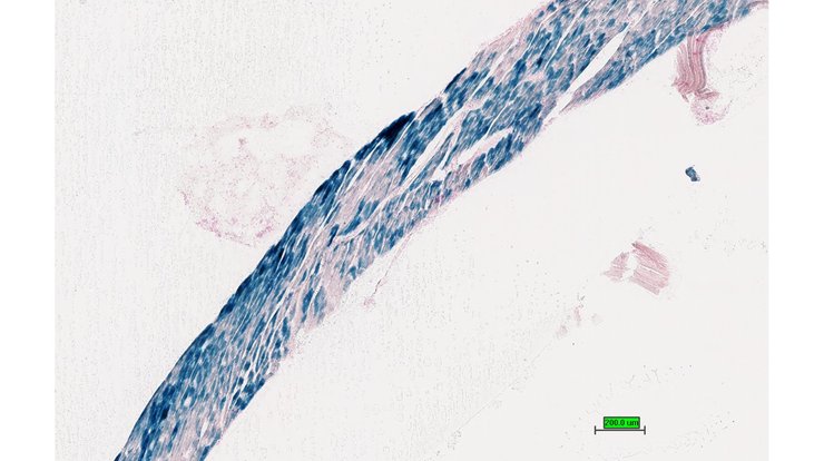
TS28: trachea Present UC Davis_1882208

Specimen UC Davis_1882209: postnatal adult; Nfil3tm1.1(KOMP)Vlcg/Nfil3+ (more )
Structure Level Pattern Image Note
TS28: trachea Present UC Davis_1882209

Specimen UC Davis_1882210: postnatal adult; Nfil3tm1.1(KOMP)Vlcg/Nfil3+ (more )
Structure Level Pattern Image Note
TS28: trachea Present UC Davis_1882210

Specimen UC Davis_1882211: postnatal adult; Nfil3tm1.1(KOMP)Vlcg/Nfil3+ (more )
Structure Level Pattern Image Note
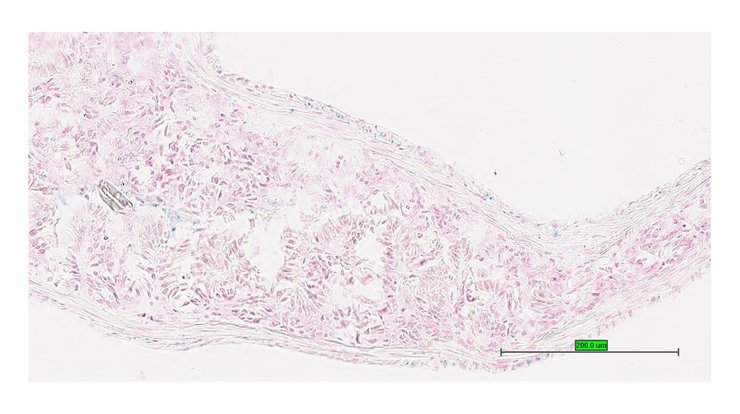
TS28: esophagus Present UC Davis_1882211

Specimen UC Davis_1882212: postnatal adult; Nfil3tm1.1(KOMP)Vlcg/Nfil3+ (more )
Structure Level Pattern Image Note
TS28: esophagus Present UC Davis_1882212

Specimen UC Davis_1882213: postnatal adult; Nfil3tm1.1(KOMP)Vlcg/Nfil3+ (more )
Structure Level Pattern Image Note
TS28: esophagus Present UC Davis_1882213

Specimen UC Davis_1882214: postnatal adult; Nfil3tm1.1(KOMP)Vlcg/Nfil3+ (more )
Structure Level Pattern Image Note
TS28: thyroid gland Present UC Davis_1882214

Specimen UC Davis_1882215: postnatal adult; Nfil3tm1.1(KOMP)Vlcg/Nfil3+ (more )
Structure Level Pattern Image Note
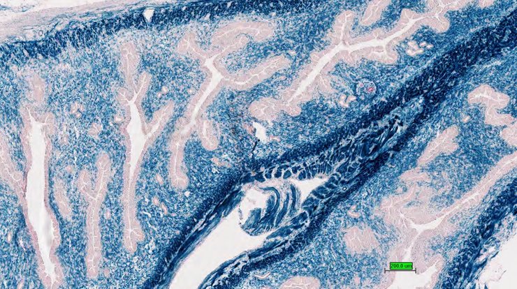
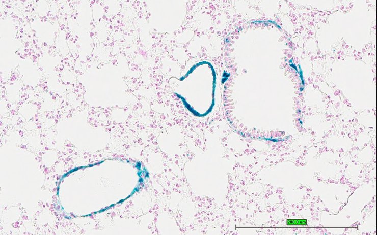
TS28: lung Present UC Davis_1882215

Specimen UC Davis_1882216: postnatal adult; Nfil3tm1.1(KOMP)Vlcg/Nfil3+ (more )
Structure Level Pattern Image Note
TS28: lung Present UC Davis_1882216

Specimen UC Davis_1882219: postnatal adult; Nfil3tm1.1(KOMP)Vlcg/Nfil3+ (more )
Structure Level Pattern Image Note
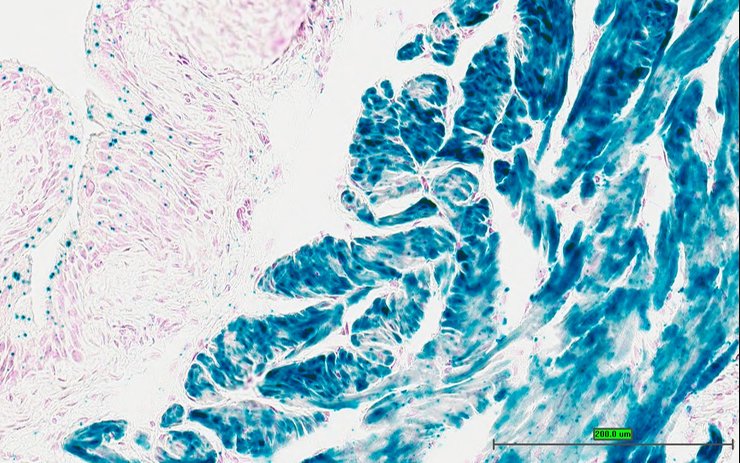
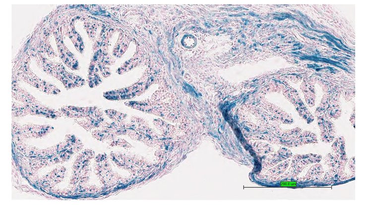
TS28: stomach Present UC Davis_1882219

Specimen UC Davis_1882220: postnatal adult; Nfil3tm1.1(KOMP)Vlcg/Nfil3+ (more )
Structure Level Pattern Image Note
TS28: stomach Present UC Davis_1882220

Specimen UC Davis_1882221: postnatal adult; Nfil3tm1.1(KOMP)Vlcg/Nfil3+ (more )
Structure Level Pattern Image Note
TS28: colon Present UC Davis_1882221

Specimen UC Davis_1882222: postnatal adult; Nfil3tm1.1(KOMP)Vlcg/Nfil3+ (more )
Structure Level Pattern Image Note
TS28: colon Present UC Davis_1882222

Specimen UC Davis_1882223: postnatal adult; Nfil3tm1.1(KOMP)Vlcg/Nfil3+ (more )
Structure Level Pattern Image Note
TS28: cecum Present UC Davis_1882223

Specimen UC Davis_1882224: postnatal adult; Nfil3tm1.1(KOMP)Vlcg/Nfil3+ (more )
Structure Level Pattern Image Note
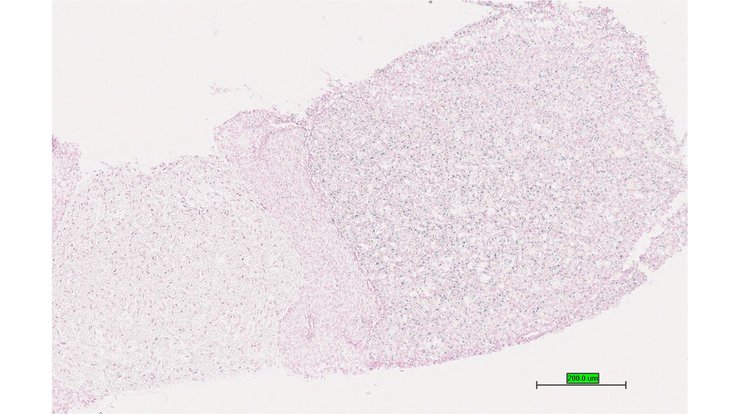
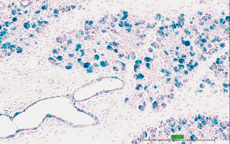
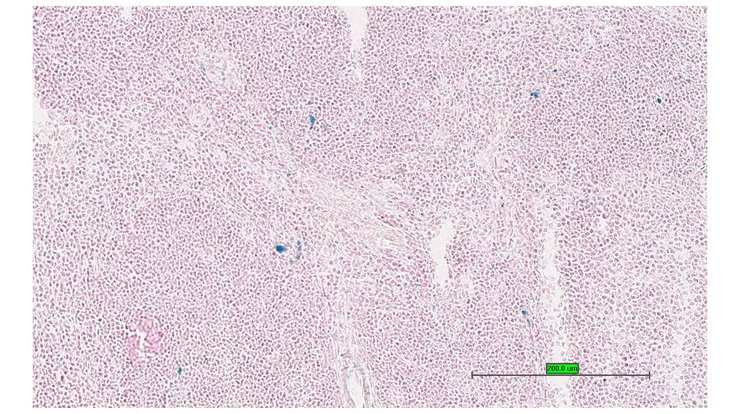
TS28: spleen Present UC Davis_1882224

Specimen UC Davis_1882225: postnatal adult; Nfil3tm1.1(KOMP)Vlcg/Nfil3+ (more )
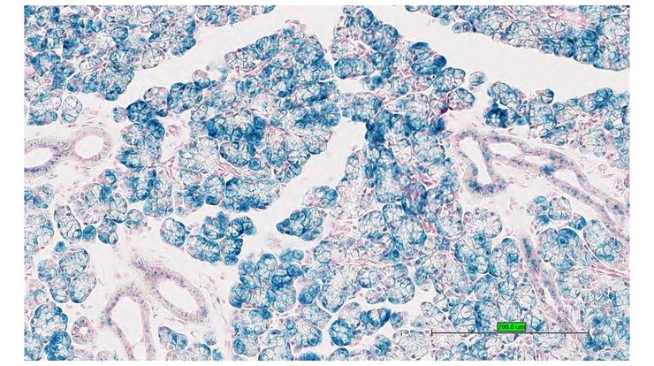
Structure Level Pattern Image Note
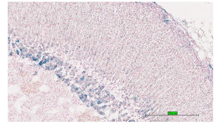
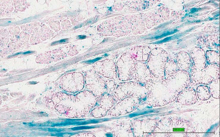
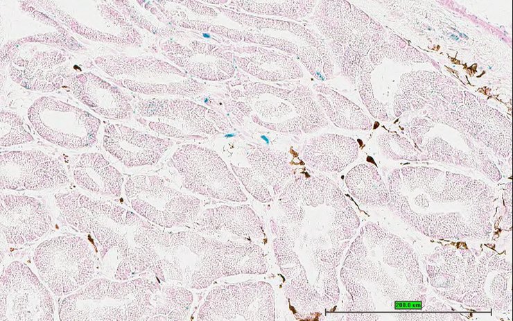
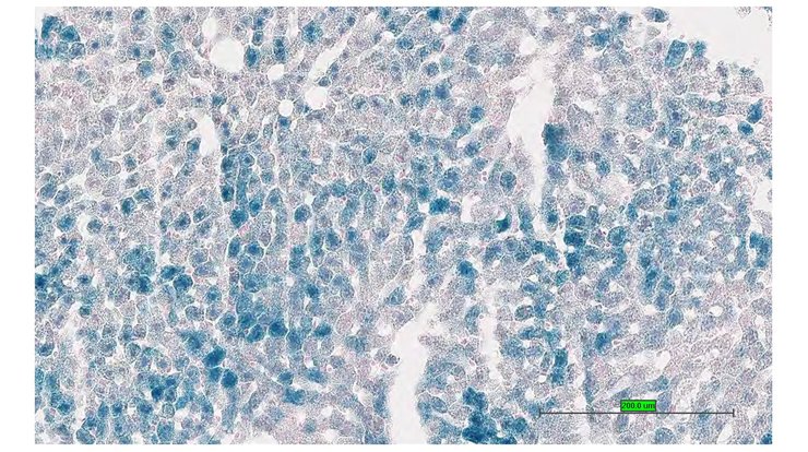
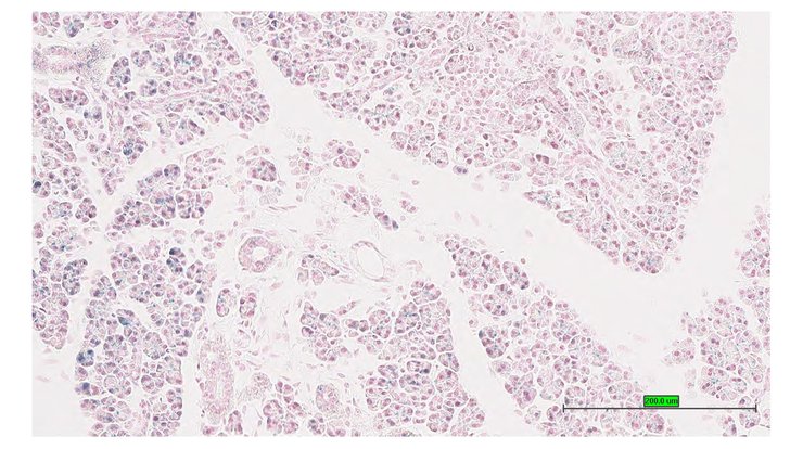
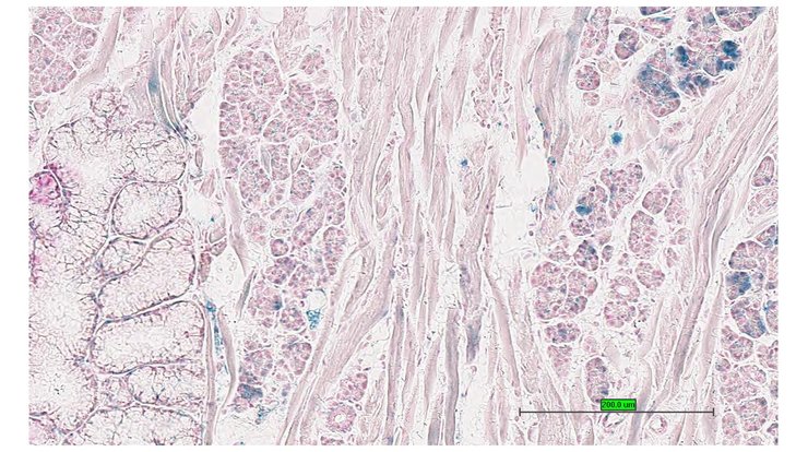
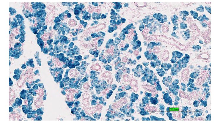
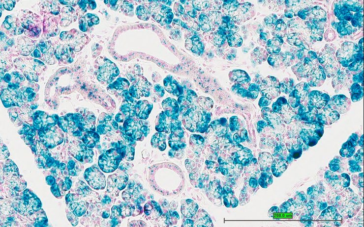
TS28: pancreas Present UC Davis_1882225

Specimen UC Davis_1882226: postnatal adult; Nfil3tm1.1(KOMP)Vlcg/Nfil3+ (more )
Structure Level Pattern Image Note
TS28: pancreas Present UC Davis_1882226

Specimen UC Davis_1882227: postnatal adult; Nfil3tm1.1(KOMP)Vlcg/Nfil3+ (more )
Structure Level Pattern Image Note
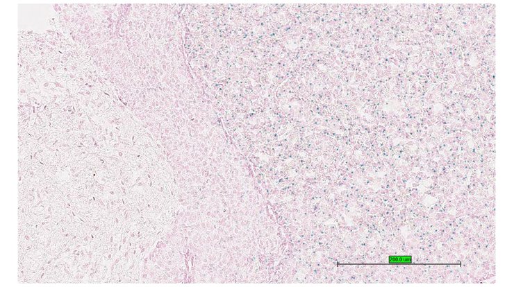
TS28: liver Present UC Davis_1882227

Specimen UC Davis_1882228: postnatal adult; Nfil3tm1.1(KOMP)Vlcg/Nfil3+ (more )
Structure Level Pattern Image Note
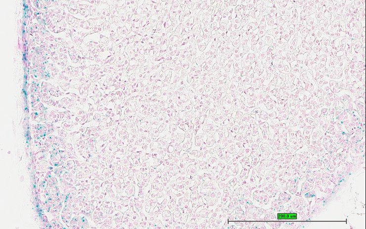
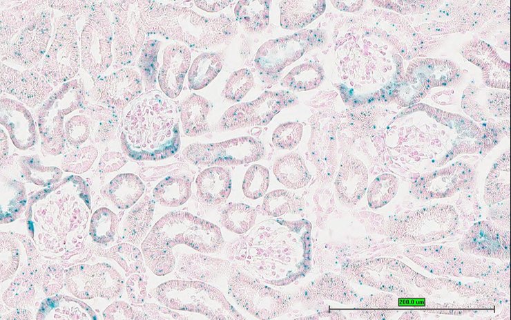
TS28: metanephros Present UC Davis_1882228 kidney

Specimen UC Davis_1882229: postnatal adult; Nfil3tm1.1(KOMP)Vlcg/Nfil3+ (more )
Structure Level Pattern Image Note
TS28: metanephros Present UC Davis_1882229 kidney

Specimen UC Davis_1882230: postnatal adult; Nfil3tm1.1(KOMP)Vlcg/Nfil3+ (more )
Structure Level Pattern Image Note
TS28: metanephros Present UC Davis_1882230 kidney

Specimen UC Davis_1882231: postnatal adult; Nfil3tm1.1(KOMP)Vlcg/Nfil3+ (more )
Structure Level Pattern Image Note
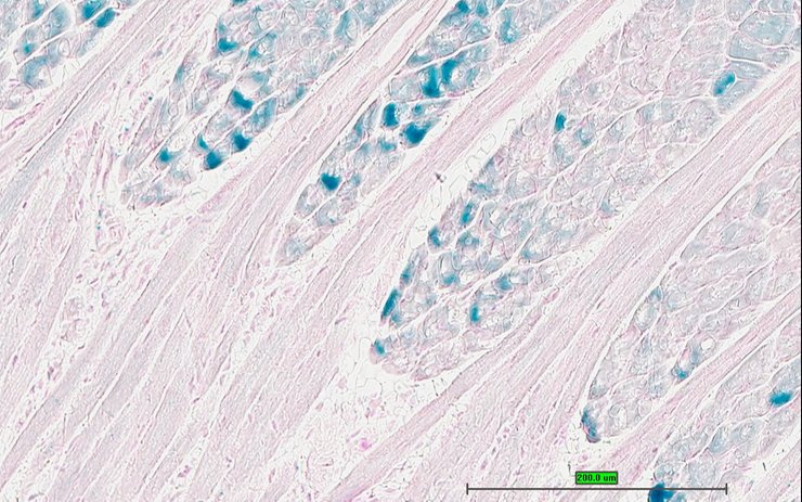
TS28: quadriceps femoris muscle Present UC Davis_1882231

Specimen UC Davis_1882232: postnatal adult; Nfil3tm1.1(KOMP)Vlcg/Nfil3+ (more )
Structure Level Pattern Image Note
TS28: quadriceps femoris muscle Present UC Davis_1882232

Specimen UC Davis_1882233: postnatal adult; Nfil3tm1.1(KOMP)Vlcg/Nfil3+ (more )
Structure Level Pattern Image Note
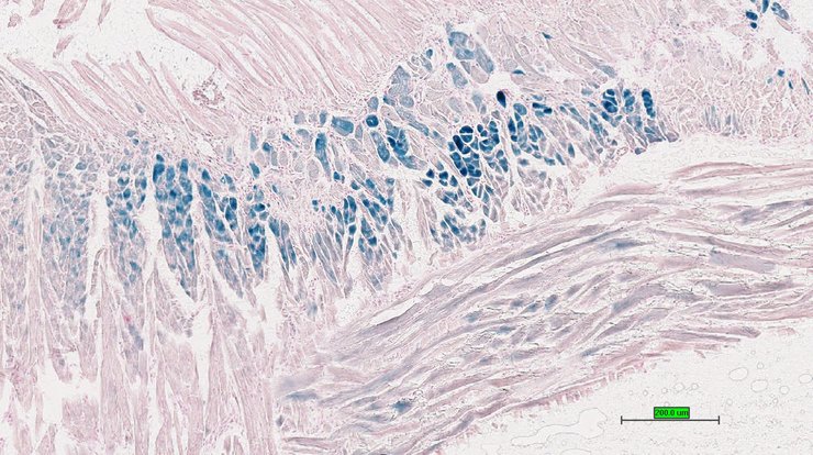
TS28: tongue Present UC Davis_1882233

Specimen UC Davis_1882234: postnatal adult; Nfil3tm1.1(KOMP)Vlcg/Nfil3+ (more )
Structure Level Pattern Image Note
TS28: tongue Present UC Davis_1882234

Specimen UC Davis_1882235: postnatal adult; Nfil3tm1.1(KOMP)Vlcg/Nfil3+ (more )
Structure Level Pattern Image Note
TS28: tongue Present UC Davis_1882235

Specimen UC Davis_1882236: postnatal adult; Nfil3tm1.1(KOMP)Vlcg/Nfil3+ (more )
Structure Level Pattern Image Note
TS28: diaphragm Present UC Davis_1882236

Specimen UC Davis_1882237: postnatal adult; Nfil3tm1.1(KOMP)Vlcg/Nfil3+ (more )
Structure Level Pattern Image Note
TS28: diaphragm Present UC Davis_1882237

Specimen UC Davis_1882238: postnatal adult; Nfil3tm1.1(KOMP)Vlcg/Nfil3+ (more )
Structure Level Pattern Image Note
TS28: adrenal gland Present UC Davis_1882238

Specimen UC Davis_1882239: postnatal adult; Nfil3tm1.1(KOMP)Vlcg/Nfil3+ (more )
Structure Level Pattern Image Note
TS28: adrenal gland Present UC Davis_1882239

Specimen UC Davis_1882240: postnatal adult; Nfil3tm1.1(KOMP)Vlcg/Nfil3+ (more )
Structure Level Pattern Image Note
TS28: pituitary gland Present UC Davis_1882240

Specimen UC Davis_1882241: postnatal adult; Nfil3tm1.1(KOMP)Vlcg/Nfil3+ (more )
Structure Level Pattern Image Note
TS28: pituitary gland Present UC Davis_1882241

Specimen UC Davis_1882242: postnatal adult; Nfil3tm1.1(KOMP)Vlcg/Nfil3+ (more )
Structure Level Pattern Image Note
TS28: spinal cord Present UC Davis_1882242

Specimen UC Davis_1882243: postnatal adult; Nfil3tm1.1(KOMP)Vlcg/Nfil3+ (more )
Structure Level Pattern Image Note
TS28: spinal cord Present UC Davis_1882243

Specimen UC Davis_1882244: postnatal adult; Nfil3tm1.1(KOMP)Vlcg/Nfil3+ (more )
Structure Level Pattern Image Note
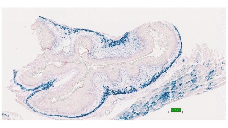
TS28: eye Present UC Davis_1882244

Specimen UC Davis_1882245: postnatal adult; Nfil3tm1.1(KOMP)Vlcg/Nfil3+ (more )
Structure Level Pattern Image Note
TS28: eye Present UC Davis_1882245

Specimen UC Davis_1882247: postnatal adult; Nfil3tm1.1(KOMP)Vlcg/Nfil3+ (more )
Structure Level Pattern Image Note
TS28: Harderian gland Present UC Davis_1882247

Specimen UC Davis_1882248: postnatal adult; Nfil3tm1.1(KOMP)Vlcg/Nfil3+ (more )
Structure Level Pattern Image Note
TS28: gonadal fat pad Present UC Davis_1882248

Specimen UC Davis_1882249: postnatal adult; Nfil3tm1.1(KOMP)Vlcg/Nfil3+ (more )
Structure Level Pattern Image Note
TS28: gonadal fat pad Present UC Davis_1882249

Specimen UC Davis_1882250: postnatal adult; Nfil3tm1.1(KOMP)Vlcg/Nfil3+ (more )
Structure Level Pattern Image Note
TS28: gonadal fat pad Present UC Davis_1882250

Specimen UC Davis_1882251: postnatal adult; Nfil3tm1.1(KOMP)Vlcg/Nfil3+ (more )
Structure Level Pattern Image Note
TS28: mesenteric adipose tissue Present UC Davis_1882251

Specimen UC Davis_1882252: postnatal adult; Nfil3tm1.1(KOMP)Vlcg/Nfil3+ (more )
Structure Level Pattern Image Note
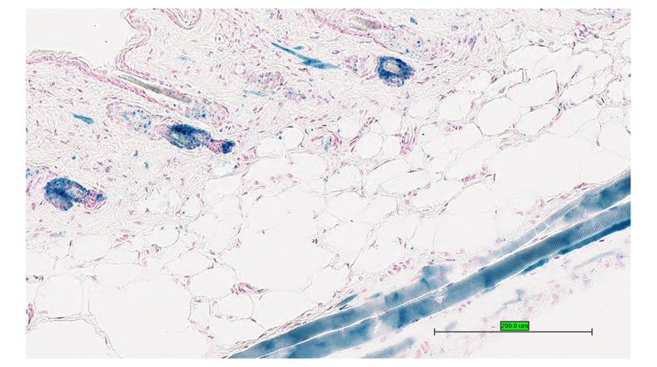
TS28: skin Present UC Davis_1882252

Specimen UC Davis_1882253: postnatal adult; Nfil3tm1.1(KOMP)Vlcg/Nfil3+ (more )
Structure Level Pattern Image Note
TS28: skin Present UC Davis_1882253

Specimen UC Davis_1882254: postnatal adult; Nfil3tm1.1(KOMP)Vlcg/Nfil3+ (more )
Structure Level Pattern Image Note
TS28: brown fat Present UC Davis_1882254

Specimen UC Davis_1882255: postnatal adult; Nfil3tm1.1(KOMP)Vlcg/Nfil3+ (more )
Structure Level Pattern Image Note
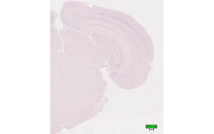
TS28: olfactory lobe Present UC Davis_1882255

Specimen UC Davis_1882258: postnatal adult; Nfil3tm1.1(KOMP)Vlcg/Nfil3+ (more )
Structure Level Pattern Image Note
TS28: midbrain Present UC Davis_1882258

Specimen UC Davis_1882261: postnatal adult; Nfil3tm1.1(KOMP)Vlcg/Nfil3+ (more )
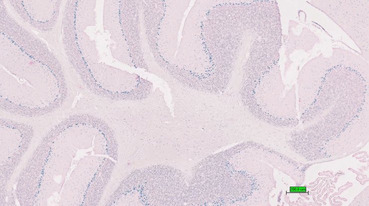
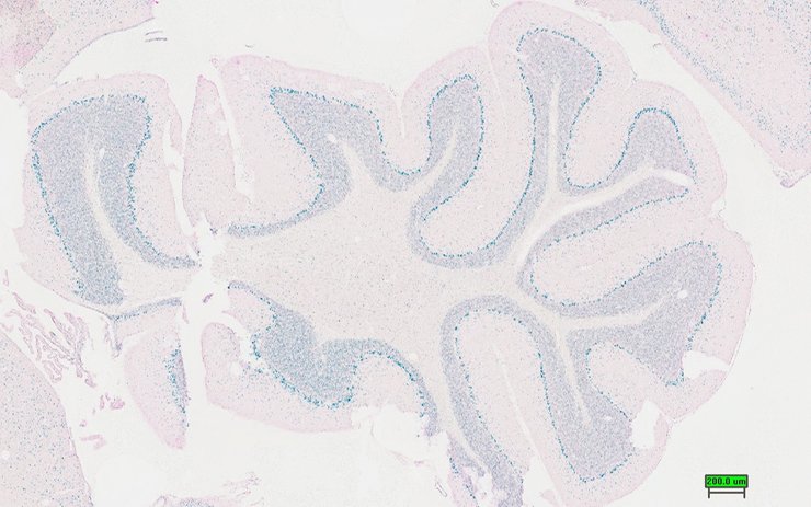
Structure Level Pattern Image Note
TS28: cerebellum Present UC Davis_1882261

Specimen UC Davis_1882262: postnatal adult; Nfil3tm1.1(KOMP)Vlcg/Nfil3+ (more )
Structure Level Pattern Image Note
TS28: trigeminal nerve Present UC Davis_1882262

Specimen UC Davis_1882263: postnatal adult; Nfil3tm1.1(KOMP)Vlcg/Nfil3+ (more )
Structure Level Pattern Image Note
TS28: trigeminal nerve Present UC Davis_1882263

Specimen UC Davis_1882264: postnatal adult; Nfil3tm1.1(KOMP)Vlcg/Nfil3+ (more )
Structure Level Pattern Image Note
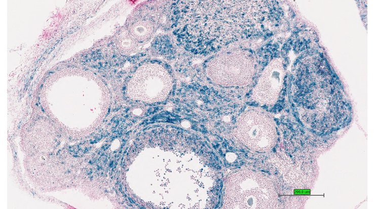
TS28: ovary Present UC Davis_1882264

Specimen UC Davis_1882265: postnatal adult; Nfil3tm1.1(KOMP)Vlcg/Nfil3+ (more )
Structure Level Pattern Image Note
TS28: ovary Present UC Davis_1882265

Specimen UC Davis_1882266: postnatal adult; Nfil3tm1.1(KOMP)Vlcg/Nfil3+ (more )
Structure Level Pattern Image Note
TS28: oviduct Present UC Davis_1882266

Specimen UC Davis_1882267: postnatal adult; Nfil3tm1.1(KOMP)Vlcg/Nfil3+ (more )
Structure Level Pattern Image Note
TS28: uterus Present UC Davis_1882267

Specimen UC Davis_1882268: postnatal adult; Nfil3tm1.1(KOMP)Vlcg/Nfil3+ (more )
Structure Level Pattern Image Note
TS28: uterus Present UC Davis_1882268

Specimen UC Davis_1882269: postnatal adult; Nfil3tm1.1(KOMP)Vlcg/Nfil3+ (more )
Structure Level Pattern Image Note
TS28: vagina Present UC Davis_1882269

Specimen UC Davis_1882270: postnatal adult; Nfil3tm1.1(KOMP)Vlcg/Nfil3+ (more )
Structure Level Pattern Image Note
TS28: vagina Present UC Davis_1882270

Specimen UC Davis_1882271: postnatal adult; Nfil3tm1.1(KOMP)Vlcg/Nfil3+ (more )
Structure Level Pattern Image Note
TS28: bladder Present UC Davis_1882271

Specimen UC Davis_1882272: postnatal adult; Nfil3tm1.1(KOMP)Vlcg/Nfil3+ (more )
Structure Level Pattern Image Note
TS28: bladder Present UC Davis_1882272

Specimen UC Davis_1882273: postnatal adult; Nfil3tm1.1(KOMP)Vlcg/Nfil3+ (more )
Structure Level Pattern Image Note
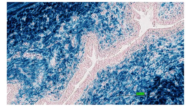
TS28: bone marrow Present UC Davis_1882273

Specimen UC Davis_1882274: postnatal adult; Nfil3tm1.1(KOMP)Vlcg/Nfil3+ (more )
Structure Level Pattern Image Note
TS28: bone marrow Present UC Davis_1882274

Specimen UC Davis_1882275: postnatal adult; Nfil3tm1.1(KOMP)Vlcg/Nfil3+ (more )
Structure Level Pattern Image Note
TS28: mammary gland Present UC Davis_1882275

Specimen UC Davis_1882276: postnatal adult; Nfil3tm1.1(KOMP)Vlcg/Nfil3+ (more )
Structure Level Pattern Image Note
TS28: mammary gland Present UC Davis_1882276

Specimen UC Davis_1882277: postnatal adult; Nfil3tm1.1(KOMP)Vlcg/Nfil3+ (more )
Structure Level Pattern Image Note
TS28: submandibular gland Present UC Davis_1882277

Specimen UC Davis_1882278: postnatal adult; Nfil3tm1.1(KOMP)Vlcg/Nfil3+ (more )
Structure Level Pattern Image Note
TS28: submandibular gland Present UC Davis_1882278

Specimen UC Davis_1882279: postnatal adult; Nfil3tm1.1(KOMP)Vlcg/Nfil3+ (more )
Structure Level Pattern Image Note
TS28: sublingual gland Present UC Davis_1882279

Specimen UC Davis_1882280: postnatal adult; Nfil3tm1.1(KOMP)Vlcg/Nfil3+ (more )
Structure Level Pattern Image Note
TS28: parotid gland Present UC Davis_1882280

Specimen UC Davis_1882282: postnatal adult; Nfil3tm1.1(KOMP)Vlcg/Nfil3+ (more )
Structure Level Pattern Image Note
TS28: trachea Present UC Davis_1882282

Specimen UC Davis_1882283: postnatal adult; Nfil3tm1.1(KOMP)Vlcg/Nfil3+ (more )
Structure Level Pattern Image Note
TS28: esophagus Present UC Davis_1882283

Specimen UC Davis_1882285: postnatal adult; Nfil3tm1.1(KOMP)Vlcg/Nfil3+ (more )
Structure Level Pattern Image Note
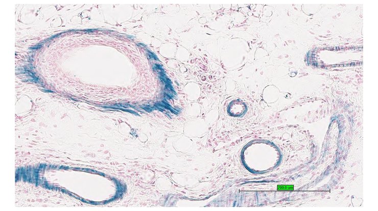
TS28: aorta Present UC Davis_1882285

Specimen UC Davis_1882286: postnatal adult; Nfil3tm1.1(KOMP)Vlcg/Nfil3+ (more )
Structure Level Pattern Image Note
TS28: lung Present UC Davis_1882286

Specimen UC Davis_1882287: postnatal adult; Nfil3tm1.1(KOMP)Vlcg/Nfil3+ (more )
Structure Level Pattern Image Note
TS28: lung Present UC Davis_1882287

Specimen UC Davis_1882288: postnatal adult; Nfil3tm1.1(KOMP)Vlcg/Nfil3+ (more )
Structure Level Pattern Image Note
TS28: thymus Present UC Davis_1882288

Specimen UC Davis_1882291: postnatal adult; Nfil3tm1.1(KOMP)Vlcg/Nfil3+ (more )
Structure Level Pattern Image Note
TS28: mesenteric lymph node Present UC Davis_1882291

Specimen UC Davis_1882292: postnatal adult; Nfil3tm1.1(KOMP)Vlcg/Nfil3+ (more )
Structure Level Pattern Image Note
TS28: stomach Present UC Davis_1882292

Specimen UC Davis_1882293: postnatal adult; Nfil3tm1.1(KOMP)Vlcg/Nfil3+ (more )
Structure Level Pattern Image Note
TS28: stomach Present UC Davis_1882293

Specimen UC Davis_1882294: postnatal adult; Nfil3tm1.1(KOMP)Vlcg/Nfil3+ (more )
Structure Level Pattern Image Note
TS28: colon Present UC Davis_1882294

Specimen UC Davis_1882295: postnatal adult; Nfil3tm1.1(KOMP)Vlcg/Nfil3+ (more )
Structure Level Pattern Image Note
TS28: colon Present UC Davis_1882295

Specimen UC Davis_1882296: postnatal adult; Nfil3tm1.1(KOMP)Vlcg/Nfil3+ (more )
Structure Level Pattern Image Note
TS28: spleen Present UC Davis_1882296

Specimen UC Davis_1882297: postnatal adult; Nfil3tm1.1(KOMP)Vlcg/Nfil3+ (more )
Structure Level Pattern Image Note
TS28: spleen Present UC Davis_1882297

Specimen UC Davis_1882298: postnatal adult; Nfil3tm1.1(KOMP)Vlcg/Nfil3+ (more )
Structure Level Pattern Image Note
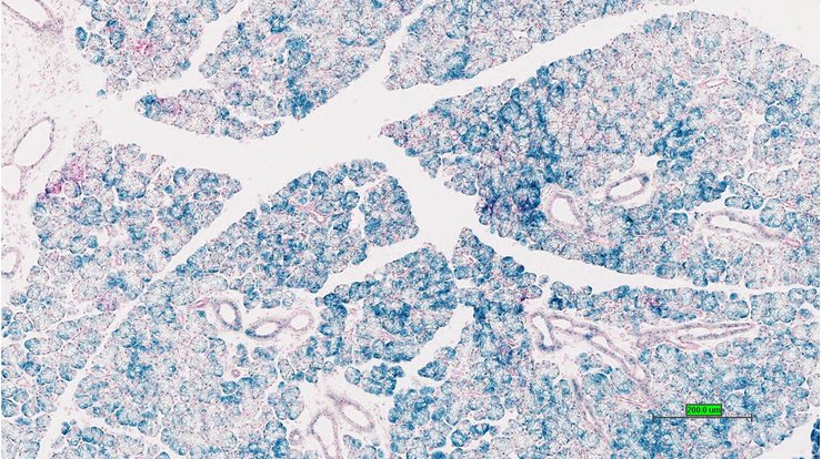
TS28: pancreas Present UC Davis_1882298

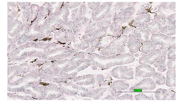
Specimen UC Davis_1882299: postnatal adult; Nfil3tm1.1(KOMP)Vlcg/Nfil3+ (more )
Structure Level Pattern Image Note
TS28: pancreas Present UC Davis_1882299

Specimen UC Davis_1882300: postnatal adult; Nfil3tm1.1(KOMP)Vlcg/Nfil3+ (more )
Structure Level Pattern Image Note
TS28: liver Present UC Davis_1882300

Specimen UC Davis_1882301: postnatal adult; Nfil3tm1.1(KOMP)Vlcg/Nfil3+ (more )
Structure Level Pattern Image Note
TS28: liver Present UC Davis_1882301

Specimen UC Davis_1882302: postnatal adult; Nfil3tm1.1(KOMP)Vlcg/Nfil3+ (more )
Structure Level Pattern Image Note
TS28: metanephros Present UC Davis_1882302 kidney

Specimen UC Davis_1882303: postnatal adult; Nfil3tm1.1(KOMP)Vlcg/Nfil3+ (more )
Structure Level Pattern Image Note
TS28: metanephros Present UC Davis_1882303 kidney

Specimen UC Davis_1882304: postnatal adult; Nfil3tm1.1(KOMP)Vlcg/Nfil3+ (more )
Structure Level Pattern Image Note
TS28: quadriceps femoris muscle Present UC Davis_1882304

Specimen UC Davis_1882305: postnatal adult; Nfil3tm1.1(KOMP)Vlcg/Nfil3+ (more )
Structure Level Pattern Image Note
TS28: quadriceps femoris muscle Present UC Davis_1882305

Specimen UC Davis_1882306: postnatal adult; Nfil3tm1.1(KOMP)Vlcg/Nfil3+ (more )
Structure Level Pattern Image Note
TS28: tongue Present UC Davis_1882306

Specimen UC Davis_1882307: postnatal adult; Nfil3tm1.1(KOMP)Vlcg/Nfil3+ (more )
Structure Level Pattern Image Note
TS28: tongue Present UC Davis_1882307

Specimen UC Davis_1882308: postnatal adult; Nfil3tm1.1(KOMP)Vlcg/Nfil3+ (more )
Structure Level Pattern Image Note
TS28: tongue Present UC Davis_1882308

Specimen UC Davis_1882309: postnatal adult; Nfil3tm1.1(KOMP)Vlcg/Nfil3+ (more )
Structure Level Pattern Image Note
TS28: diaphragm Present UC Davis_1882309

Specimen UC Davis_1882310: postnatal adult; Nfil3tm1.1(KOMP)Vlcg/Nfil3+ (more )
Structure Level Pattern Image Note
TS28: adrenal gland Present UC Davis_1882310

Specimen UC Davis_1882311: postnatal adult; Nfil3tm1.1(KOMP)Vlcg/Nfil3+ (more )
Structure Level Pattern Image Note
TS28: pituitary gland Present UC Davis_1882311

Specimen UC Davis_1882312: postnatal adult; Nfil3tm1.1(KOMP)Vlcg/Nfil3+ (more )
Structure Level Pattern Image Note
TS28: spinal cord Present UC Davis_1882312

Specimen UC Davis_1882313: postnatal adult; Nfil3tm1.1(KOMP)Vlcg/Nfil3+ (more )
Structure Level Pattern Image Note
TS28: spinal cord Present UC Davis_1882313

Specimen UC Davis_1882314: postnatal adult; Nfil3tm1.1(KOMP)Vlcg/Nfil3+ (more )
Structure Level Pattern Image Note
TS28: eye Present UC Davis_1882314

Specimen UC Davis_1882315: postnatal adult; Nfil3tm1.1(KOMP)Vlcg/Nfil3+ (more )
Structure Level Pattern Image Note
TS28: eye Present UC Davis_1882315

Specimen UC Davis_1882316: postnatal adult; Nfil3tm1.1(KOMP)Vlcg/Nfil3+ (more )
Structure Level Pattern Image Note
TS28: eye Present UC Davis_1882316

Specimen UC Davis_1882318: postnatal adult; Nfil3tm1.1(KOMP)Vlcg/Nfil3+ (more )
Structure Level Pattern Image Note
TS28: Harderian gland Present UC Davis_1882318

Specimen UC Davis_1882319: postnatal adult; Nfil3tm1.1(KOMP)Vlcg/Nfil3+ (more )
Structure Level Pattern Image Note
TS28: Harderian gland Present UC Davis_1882319

Specimen UC Davis_1882320: postnatal adult; Nfil3tm1.1(KOMP)Vlcg/Nfil3+ (more )
Structure Level Pattern Image Note
TS28: gonadal fat pad Present UC Davis_1882320

Specimen UC Davis_1882321: postnatal adult; Nfil3tm1.1(KOMP)Vlcg/Nfil3+ (more )
Structure Level Pattern Image Note
TS28: mesenteric adipose tissue Present UC Davis_1882321

Specimen UC Davis_1882322: postnatal adult; Nfil3tm1.1(KOMP)Vlcg/Nfil3+ (more )
Structure Level Pattern Image Note
TS28: skin Present UC Davis_1882322

Specimen UC Davis_1882323: postnatal adult; Nfil3tm1.1(KOMP)Vlcg/Nfil3+ (more )
Structure Level Pattern Image Note
TS28: skin Present UC Davis_1882323

Specimen UC Davis_1882324: postnatal adult; Nfil3tm1.1(KOMP)Vlcg/Nfil3+ (more )
Structure Level Pattern Image Note
TS28: brown fat Present UC Davis_1882324

Specimen UC Davis_1882325: postnatal adult; Nfil3tm1.1(KOMP)Vlcg/Nfil3+ (more )
Structure Level Pattern Image Note
TS28: brown fat Present UC Davis_1882325

Specimen UC Davis_1882326: postnatal adult; Nfil3tm1.1(KOMP)Vlcg/Nfil3+ (more )
Structure Level Pattern Image Note
TS28: olfactory lobe Present UC Davis_1882326

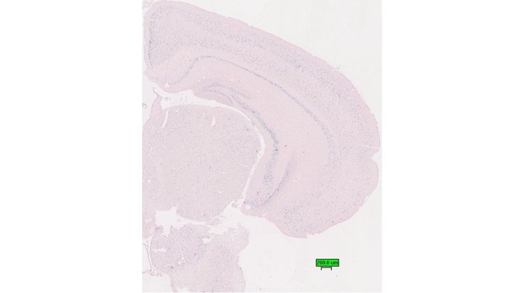
Specimen UC Davis_1882329: postnatal adult; Nfil3tm1.1(KOMP)Vlcg/Nfil3+ (more )
Structure Level Pattern Image Note
TS28: midbrain Present UC Davis_1882329

Specimen UC Davis_1882331: postnatal adult; Nfil3tm1.1(KOMP)Vlcg/Nfil3+ (more )
Structure Level Pattern Image Note
TS28: cerebellum Present UC Davis_1882331

Specimen UC Davis_1882332: postnatal adult; Nfil3tm1.1(KOMP)Vlcg/Nfil3+ (more )
Structure Level Pattern Image Note
TS28: trigeminal nerve Present UC Davis_1882332

Specimen UC Davis_1882333: postnatal adult; Nfil3tm1.1(KOMP)Vlcg/Nfil3+ (more )
Structure Level Pattern Image Note
TS28: trigeminal nerve Present UC Davis_1882333

Specimen UC Davis_1882334: postnatal adult; Nfil3tm1.1(KOMP)Vlcg/Nfil3+ (more )
Structure Level Pattern Image Note
TS28: bladder Present UC Davis_1882334

Specimen UC Davis_1882335: postnatal adult; Nfil3tm1.1(KOMP)Vlcg/Nfil3+ (more )
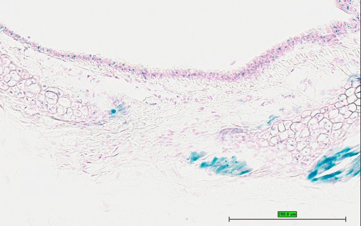
Structure Level Pattern Image Note
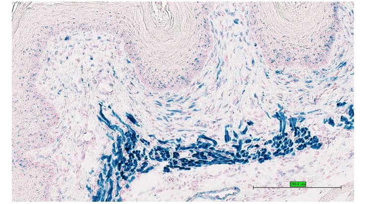
TS28: testis Present UC Davis_1882335

Specimen UC Davis_1882336: postnatal adult; Nfil3tm1.1(KOMP)Vlcg/Nfil3+ (more )
Structure Level Pattern Image Note
TS28: testis Present UC Davis_1882336

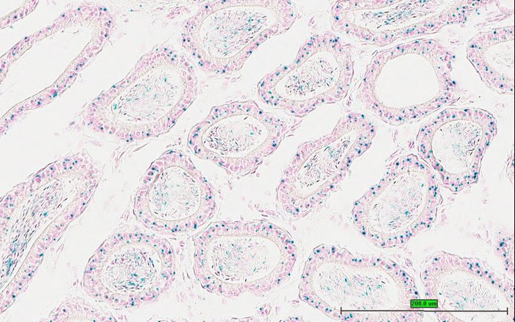
Specimen UC Davis_1882337: postnatal adult; Nfil3tm1.1(KOMP)Vlcg/Nfil3+ (more )
Structure Level Pattern Image Note
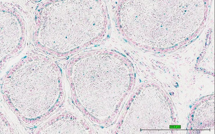
TS28: epididymis Present UC Davis_1882337

Specimen UC Davis_1882338: postnatal adult; Nfil3tm1.1(KOMP)Vlcg/Nfil3+ (more )
Structure Level Pattern Image Note
TS28: epididymis Present UC Davis_1882338

Specimen UC Davis_1882339: postnatal adult; Nfil3tm1.1(KOMP)Vlcg/Nfil3+ (more )
Structure Level Pattern Image Note
TS28: prostate gland Present UC Davis_1882339

Specimen UC Davis_1882340: postnatal adult; Nfil3tm1.1(KOMP)Vlcg/Nfil3+ (more )
Structure Level Pattern Image Note
TS28: prostate gland Present UC Davis_1882340

Specimen UC Davis_1882341: postnatal adult; Nfil3tm1.1(KOMP)Vlcg/Nfil3+ (more )
Structure Level Pattern Image Note
TS28: penis Present UC Davis_1882341

Specimen UC Davis_1882342: postnatal adult; Nfil3tm1.1(KOMP)Vlcg/Nfil3+ (more )
Structure Level Pattern Image Note
TS28: penis Present UC Davis_1882342

Specimen UC Davis_1882343: postnatal adult; Nfil3tm1.1(KOMP)Vlcg/Nfil3+ (more )
Structure Level Pattern Image Note
TS28: bone marrow Present UC Davis_1882343

Specimen UC Davis_1882344: postnatal adult; Nfil3tm1.1(KOMP)Vlcg/Nfil3+ (more )
Structure Level Pattern Image Note
TS28: bone marrow Present UC Davis_1882344

Specimen UC Davis_1882345: postnatal adult; Nfil3tm1.1(KOMP)Vlcg/Nfil3+ (more )
Structure Level Pattern Image Note
TS28: ductus deferens Present UC Davis_1882345 vas deferens

Specimen UC Davis_1882348: postnatal adult; Nfil3tm1.1(KOMP)Vlcg/Nfil3+ (more )
Structure Level Pattern Image Note
TS28: seminal vesicle Present UC Davis_1882348 vesicular gland


Contributing Projects:
Mouse Genome Database (MGD), Gene Expression Database (GXD), Mouse Models of Human Cancer database (MMHCdb) (formerly Mouse Tumor Biology (MTB)), Gene Ontology (GO)
Citing These Resources
Funding Information
Warranty Disclaimer, Privacy Notice, Licensing, & Copyright
Send questions and comments to User Support.
last database update
12/30/2025
MGI 6.24
The Jackson Laboratory