About   Help   FAQ
Gene Expression Data
Assay Details
Assay
Reference: J:228563 Koscielny G, et al., The International Mouse Phenotyping Consortium Web Portal, a unified point of access for knockout mice and related phenotyping data. Nucleic Acids Res. 2014 Jan;42(Database issue):D802-9
Assay type: In situ reporter (knock in)
MGI Accession ID: MGI:6691155
Gene symbol: Ddit3
Gene name: DNA-damage inducible transcript 3
Reporter: lacZ
Direct Detection
Results
Specimen UC Davis_1874721: postnatal adult; Ddit3tm1.1(KOMP)Vlcg/Ddit3+ (more )
Structure Level Pattern Image Note
TS28: submandibular gland Present UC Davis_1874721

Specimen UC Davis_1874722: postnatal adult; Ddit3tm1.1(KOMP)Vlcg/Ddit3+ (more )
Structure Level Pattern Image Note
TS28: sublingual gland Present UC Davis_1874722

Specimen UC Davis_1874723: postnatal adult; Ddit3tm1.1(KOMP)Vlcg/Ddit3+ (more )
Structure Level Pattern Image Note
TS28: parotid gland Present UC Davis_1874723

Specimen UC Davis_1874725: postnatal adult; Ddit3tm1.1(KOMP)Vlcg/Ddit3+ (more )
Structure Level Pattern Image Note
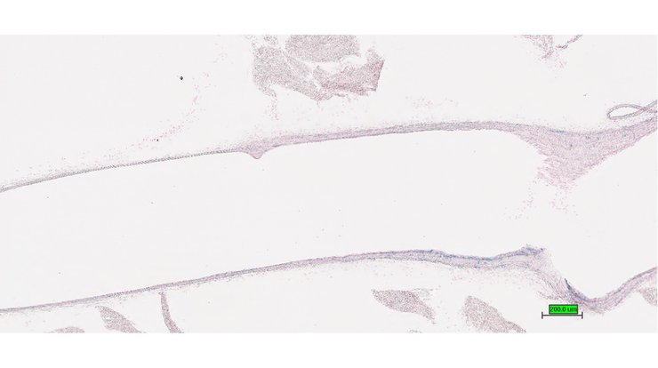
TS28: trachea Present UC Davis_1874725

Specimen UC Davis_1874726: postnatal adult; Ddit3tm1.1(KOMP)Vlcg/Ddit3+ (more )
Structure Level Pattern Image Note
TS28: trachea Present UC Davis_1874726

Specimen UC Davis_1874727: postnatal adult; Ddit3tm1.1(KOMP)Vlcg/Ddit3+ (more )
Structure Level Pattern Image Note
TS28: esophagus Present UC Davis_1874727

Specimen UC Davis_1874728: postnatal adult; Ddit3tm1.1(KOMP)Vlcg/Ddit3+ (more )
Structure Level Pattern Image Note
TS28: thyroid gland Present UC Davis_1874728

Specimen UC Davis_1874729: postnatal adult; Ddit3tm1.1(KOMP)Vlcg/Ddit3+ (more )
Structure Level Pattern Image Note
TS28: parathyroid gland Present UC Davis_1874729

Specimen UC Davis_1874730: postnatal adult; Ddit3tm1.1(KOMP)Vlcg/Ddit3+ (more )
Structure Level Pattern Image Note
TS28: aorta Present UC Davis_1874730

Specimen UC Davis_1874731: postnatal adult; Ddit3tm1.1(KOMP)Vlcg/Ddit3+ (more )
Structure Level Pattern Image Note
TS28: aorta Present UC Davis_1874731

Specimen UC Davis_1874732: postnatal adult; Ddit3tm1.1(KOMP)Vlcg/Ddit3+ (more )
Structure Level Pattern Image Note
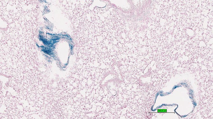
TS28: lung Present UC Davis_1874732

Specimen UC Davis_1874733: postnatal adult; Ddit3tm1.1(KOMP)Vlcg/Ddit3+ (more )
Structure Level Pattern Image Note
TS28: lung Present UC Davis_1874733

Specimen UC Davis_1874734: postnatal adult; Ddit3tm1.1(KOMP)Vlcg/Ddit3+ (more )
Structure Level Pattern Image Note
TS28: lung Present UC Davis_1874734

Specimen UC Davis_1874735: postnatal adult; Ddit3tm1.1(KOMP)Vlcg/Ddit3+ (more )
Structure Level Pattern Image Note
TS28: thymus Present UC Davis_1874735

Specimen UC Davis_1874736: postnatal adult; Ddit3tm1.1(KOMP)Vlcg/Ddit3+ (more )
Structure Level Pattern Image Note
TS28: thymus Present UC Davis_1874736

Specimen UC Davis_1874740: postnatal adult; Ddit3tm1.1(KOMP)Vlcg/Ddit3+ (more )
Structure Level Pattern Image Note
TS28: stomach Present UC Davis_1874740

Specimen UC Davis_1874741: postnatal adult; Ddit3tm1.1(KOMP)Vlcg/Ddit3+ (more )
Structure Level Pattern Image Note
TS28: stomach Present UC Davis_1874741

Specimen UC Davis_1874742: postnatal adult; Ddit3tm1.1(KOMP)Vlcg/Ddit3+ (more )
Structure Level Pattern Image Note
TS28: jejunum Present UC Davis_1874742

Specimen UC Davis_1874743: postnatal adult; Ddit3tm1.1(KOMP)Vlcg/Ddit3+ (more )
Structure Level Pattern Image Note
TS28: ileum Present UC Davis_1874743

Specimen UC Davis_1874744: postnatal adult; Ddit3tm1.1(KOMP)Vlcg/Ddit3+ (more )
Structure Level Pattern Image Note
TS28: colon Present UC Davis_1874744

Specimen UC Davis_1874745: postnatal adult; Ddit3tm1.1(KOMP)Vlcg/Ddit3+ (more )
Structure Level Pattern Image Note
TS28: colon Present UC Davis_1874745

Specimen UC Davis_1874746: postnatal adult; Ddit3tm1.1(KOMP)Vlcg/Ddit3+ (more )
Structure Level Pattern Image Note
TS28: cecum Present UC Davis_1874746

Specimen UC Davis_1874747: postnatal adult; Ddit3tm1.1(KOMP)Vlcg/Ddit3+ (more )
Structure Level Pattern Image Note
TS28: spleen Present UC Davis_1874747

Specimen UC Davis_1874748: postnatal adult; Ddit3tm1.1(KOMP)Vlcg/Ddit3+ (more )
Structure Level Pattern Image Note
TS28: metanephros Present UC Davis_1874748 kidney

Specimen UC Davis_1874749: postnatal adult; Ddit3tm1.1(KOMP)Vlcg/Ddit3+ (more )
Structure Level Pattern Image Note
TS28: metanephros Present UC Davis_1874749 kidney

Specimen UC Davis_1874750: postnatal adult; Ddit3tm1.1(KOMP)Vlcg/Ddit3+ (more )
Structure Level Pattern Image Note
TS28: metanephros Present UC Davis_1874750 kidney

Specimen UC Davis_1874751: postnatal adult; Ddit3tm1.1(KOMP)Vlcg/Ddit3+ (more )
Structure Level Pattern Image Note
TS28: quadriceps femoris muscle Present UC Davis_1874751

Specimen UC Davis_1874752: postnatal adult; Ddit3tm1.1(KOMP)Vlcg/Ddit3+ (more )
Structure Level Pattern Image Note
TS28: quadriceps femoris muscle Present UC Davis_1874752

Specimen UC Davis_1874753: postnatal adult; Ddit3tm1.1(KOMP)Vlcg/Ddit3+ (more )
Structure Level Pattern Image Note
TS28: tongue Present UC Davis_1874753

Specimen UC Davis_1874754: postnatal adult; Ddit3tm1.1(KOMP)Vlcg/Ddit3+ (more )
Structure Level Pattern Image Note
TS28: tongue Present UC Davis_1874754

Specimen UC Davis_1874755: postnatal adult; Ddit3tm1.1(KOMP)Vlcg/Ddit3+ (more )
Structure Level Pattern Image Note
TS28: tongue Present UC Davis_1874755

Specimen UC Davis_1874756: postnatal adult; Ddit3tm1.1(KOMP)Vlcg/Ddit3+ (more )
Structure Level Pattern Image Note
TS28: diaphragm Present UC Davis_1874756

Specimen UC Davis_1874757: postnatal adult; Ddit3tm1.1(KOMP)Vlcg/Ddit3+ (more )
Structure Level Pattern Image Note
TS28: adrenal gland Present UC Davis_1874757

Specimen UC Davis_1874758: postnatal adult; Ddit3tm1.1(KOMP)Vlcg/Ddit3+ (more )
Structure Level Pattern Image Note
TS28: pituitary gland Present UC Davis_1874758

Specimen UC Davis_1874759: postnatal adult; Ddit3tm1.1(KOMP)Vlcg/Ddit3+ (more )
Structure Level Pattern Image Note
TS28: spinal cord Present UC Davis_1874759

Specimen UC Davis_1874760: postnatal adult; Ddit3tm1.1(KOMP)Vlcg/Ddit3+ (more )
Structure Level Pattern Image Note
TS28: spinal cord Present UC Davis_1874760

Specimen UC Davis_1874761: postnatal adult; Ddit3tm1.1(KOMP)Vlcg/Ddit3+ (more )
Structure Level Pattern Image Note
TS28: eye Present UC Davis_1874761

Specimen UC Davis_1874762: postnatal adult; Ddit3tm1.1(KOMP)Vlcg/Ddit3+ (more )
Structure Level Pattern Image Note
TS28: eye Present UC Davis_1874762

Specimen UC Davis_1874764: postnatal adult; Ddit3tm1.1(KOMP)Vlcg/Ddit3+ (more )
Structure Level Pattern Image Note
TS28: skin Present UC Davis_1874764

Specimen UC Davis_1874765: postnatal adult; Ddit3tm1.1(KOMP)Vlcg/Ddit3+ (more )
Structure Level Pattern Image Note
TS28: skin Present UC Davis_1874765

Specimen UC Davis_1874766: postnatal adult; Ddit3tm1.1(KOMP)Vlcg/Ddit3+ (more )
Structure Level Pattern Image Note
TS28: olfactory lobe Present UC Davis_1874766

Specimen UC Davis_1874769: postnatal adult; Ddit3tm1.1(KOMP)Vlcg/Ddit3+ (more )
Structure Level Pattern Image Note
TS28: midbrain Present UC Davis_1874769

Specimen UC Davis_1874771: postnatal adult; Ddit3tm1.1(KOMP)Vlcg/Ddit3+ (more )
Structure Level Pattern Image Note
TS28: cerebellum Present UC Davis_1874771

Specimen UC Davis_1874772: postnatal adult; Ddit3tm1.1(KOMP)Vlcg/Ddit3+ (more )
Structure Level Pattern Image Note
TS28: trigeminal nerve Present UC Davis_1874772

Specimen UC Davis_1874773: postnatal adult; Ddit3tm1.1(KOMP)Vlcg/Ddit3+ (more )
Structure Level Pattern Image Note
TS28: ovary Present UC Davis_1874773

Specimen UC Davis_1874774: postnatal adult; Ddit3tm1.1(KOMP)Vlcg/Ddit3+ (more )
Structure Level Pattern Image Note
TS28: oviduct Present UC Davis_1874774

Specimen UC Davis_1874775: postnatal adult; Ddit3tm1.1(KOMP)Vlcg/Ddit3+ (more )
Structure Level Pattern Image Note
TS28: uterus Present UC Davis_1874775

Specimen UC Davis_1874776: postnatal adult; Ddit3tm1.1(KOMP)Vlcg/Ddit3+ (more )
Structure Level Pattern Image Note
TS28: vagina Present UC Davis_1874776

Specimen UC Davis_1874777: postnatal adult; Ddit3tm1.1(KOMP)Vlcg/Ddit3+ (more )
Structure Level Pattern Image Note
TS28: bladder Present UC Davis_1874777

Specimen UC Davis_1874779: postnatal adult; Ddit3tm1.1(KOMP)Vlcg/Ddit3+ (more )
Structure Level Pattern Image Note
TS28: submandibular gland Present UC Davis_1874779

Specimen UC Davis_1874780: postnatal adult; Ddit3tm1.1(KOMP)Vlcg/Ddit3+ (more )
Structure Level Pattern Image Note
TS28: submandibular gland Present UC Davis_1874780

Specimen UC Davis_1874781: postnatal adult; Ddit3tm1.1(KOMP)Vlcg/Ddit3+ (more )
Structure Level Pattern Image Note
TS28: sublingual gland Present UC Davis_1874781

Specimen UC Davis_1874782: postnatal adult; Ddit3tm1.1(KOMP)Vlcg/Ddit3+ (more )
Structure Level Pattern Image Note
TS28: parotid gland Present UC Davis_1874782

Specimen UC Davis_1874784: postnatal adult; Ddit3tm1.1(KOMP)Vlcg/Ddit3+ (more )
Structure Level Pattern Image Note
TS28: trachea Present UC Davis_1874784

Specimen UC Davis_1874785: postnatal adult; Ddit3tm1.1(KOMP)Vlcg/Ddit3+ (more )
Structure Level Pattern Image Note
TS28: esophagus Present UC Davis_1874785

Specimen UC Davis_1874786: postnatal adult; Ddit3tm1.1(KOMP)Vlcg/Ddit3+ (more )
Structure Level Pattern Image Note
TS28: thyroid gland Present UC Davis_1874786

Specimen UC Davis_1874788: postnatal adult; Ddit3tm1.1(KOMP)Vlcg/Ddit3+ (more )
Structure Level Pattern Image Note
TS28: aorta Present UC Davis_1874788

Specimen UC Davis_1874789: postnatal adult; Ddit3tm1.1(KOMP)Vlcg/Ddit3+ (more )
Structure Level Pattern Image Note
TS28: aorta Present UC Davis_1874789

Specimen UC Davis_1874790: postnatal adult; Ddit3tm1.1(KOMP)Vlcg/Ddit3+ (more )
Structure Level Pattern Image Note
TS28: lung Present UC Davis_1874790

Specimen UC Davis_1874791: postnatal adult; Ddit3tm1.1(KOMP)Vlcg/Ddit3+ (more )
Structure Level Pattern Image Note
TS28: lung Present UC Davis_1874791

Specimen UC Davis_1874792: postnatal adult; Ddit3tm1.1(KOMP)Vlcg/Ddit3+ (more )
Structure Level Pattern Image Note
TS28: thymus Present UC Davis_1874792

Specimen UC Davis_1874793: postnatal adult; Ddit3tm1.1(KOMP)Vlcg/Ddit3+ (more )
Structure Level Pattern Image Note
TS28: thymus Present UC Davis_1874793

Specimen UC Davis_1874797: postnatal adult; Ddit3tm1.1(KOMP)Vlcg/Ddit3+ (more )
Structure Level Pattern Image Note
TS28: stomach Present UC Davis_1874797

Specimen UC Davis_1874798: postnatal adult; Ddit3tm1.1(KOMP)Vlcg/Ddit3+ (more )
Structure Level Pattern Image Note
TS28: stomach Present UC Davis_1874798

Specimen UC Davis_1874799: postnatal adult; Ddit3tm1.1(KOMP)Vlcg/Ddit3+ (more )
Structure Level Pattern Image Note
TS28: stomach Present UC Davis_1874799

Specimen UC Davis_1874800: postnatal adult; Ddit3tm1.1(KOMP)Vlcg/Ddit3+ (more )
Structure Level Pattern Image Note
TS28: stomach Present UC Davis_1874800

Specimen UC Davis_1874801: postnatal adult; Ddit3tm1.1(KOMP)Vlcg/Ddit3+ (more )
Structure Level Pattern Image Note
TS28: duodenum Present UC Davis_1874801

Specimen UC Davis_1874802: postnatal adult; Ddit3tm1.1(KOMP)Vlcg/Ddit3+ (more )
Structure Level Pattern Image Note
TS28: duodenum Present UC Davis_1874802

Specimen UC Davis_1874803: postnatal adult; Ddit3tm1.1(KOMP)Vlcg/Ddit3+ (more )
Structure Level Pattern Image Note
TS28: jejunum Present UC Davis_1874803

Specimen UC Davis_1874804: postnatal adult; Ddit3tm1.1(KOMP)Vlcg/Ddit3+ (more )
Structure Level Pattern Image Note
TS28: ileum Present UC Davis_1874804

Specimen UC Davis_1874805: postnatal adult; Ddit3tm1.1(KOMP)Vlcg/Ddit3+ (more )
Structure Level Pattern Image Note
TS28: ileum Present UC Davis_1874805

Specimen UC Davis_1874806: postnatal adult; Ddit3tm1.1(KOMP)Vlcg/Ddit3+ (more )
Structure Level Pattern Image Note
TS28: colon Present UC Davis_1874806

Specimen UC Davis_1874807: postnatal adult; Ddit3tm1.1(KOMP)Vlcg/Ddit3+ (more )
Structure Level Pattern Image Note
TS28: colon Present UC Davis_1874807

Specimen UC Davis_1874808: postnatal adult; Ddit3tm1.1(KOMP)Vlcg/Ddit3+ (more )
Structure Level Pattern Image Note
TS28: spleen Present UC Davis_1874808

Specimen UC Davis_1874809: postnatal adult; Ddit3tm1.1(KOMP)Vlcg/Ddit3+ (more )
Structure Level Pattern Image Note
TS28: spleen Present UC Davis_1874809

Specimen UC Davis_1874810: postnatal adult; Ddit3tm1.1(KOMP)Vlcg/Ddit3+ (more )
Structure Level Pattern Image Note
TS28: spleen Present UC Davis_1874810

Specimen UC Davis_1874811: postnatal adult; Ddit3tm1.1(KOMP)Vlcg/Ddit3+ (more )
Structure Level Pattern Image Note
TS28: pancreas Present UC Davis_1874811

Specimen UC Davis_1874812: postnatal adult; Ddit3tm1.1(KOMP)Vlcg/Ddit3+ (more )
Structure Level Pattern Image Note
TS28: pancreas Present UC Davis_1874812

Specimen UC Davis_1874813: postnatal adult; Ddit3tm1.1(KOMP)Vlcg/Ddit3+ (more )
Structure Level Pattern Image Note
TS28: metanephros Present UC Davis_1874813 kidney

Specimen UC Davis_1874814: postnatal adult; Ddit3tm1.1(KOMP)Vlcg/Ddit3+ (more )
Structure Level Pattern Image Note
TS28: metanephros Present UC Davis_1874814 kidney

Specimen UC Davis_1874815: postnatal adult; Ddit3tm1.1(KOMP)Vlcg/Ddit3+ (more )
Structure Level Pattern Image Note
TS28: metanephros Present UC Davis_1874815 kidney

Specimen UC Davis_1874816: postnatal adult; Ddit3tm1.1(KOMP)Vlcg/Ddit3+ (more )
Structure Level Pattern Image Note
TS28: quadriceps femoris muscle Present UC Davis_1874816

Specimen UC Davis_1874817: postnatal adult; Ddit3tm1.1(KOMP)Vlcg/Ddit3+ (more )
Structure Level Pattern Image Note
TS28: quadriceps femoris muscle Present UC Davis_1874817

Specimen UC Davis_1874818: postnatal adult; Ddit3tm1.1(KOMP)Vlcg/Ddit3+ (more )
Structure Level Pattern Image Note
TS28: sciatic nerve Present UC Davis_1874818

Specimen UC Davis_1874819: postnatal adult; Ddit3tm1.1(KOMP)Vlcg/Ddit3+ (more )
Structure Level Pattern Image Note
TS28: tongue Present UC Davis_1874819

Specimen UC Davis_1874820: postnatal adult; Ddit3tm1.1(KOMP)Vlcg/Ddit3+ (more )
Structure Level Pattern Image Note
TS28: tongue Present UC Davis_1874820

Specimen UC Davis_1874821: postnatal adult; Ddit3tm1.1(KOMP)Vlcg/Ddit3+ (more )
Structure Level Pattern Image Note
TS28: tongue Present UC Davis_1874821

Specimen UC Davis_1874822: postnatal adult; Ddit3tm1.1(KOMP)Vlcg/Ddit3+ (more )
Structure Level Pattern Image Note
TS28: tongue Present UC Davis_1874822

Specimen UC Davis_1874823: postnatal adult; Ddit3tm1.1(KOMP)Vlcg/Ddit3+ (more )
Structure Level Pattern Image Note
TS28: diaphragm Present UC Davis_1874823

Specimen UC Davis_1874824: postnatal adult; Ddit3tm1.1(KOMP)Vlcg/Ddit3+ (more )
Structure Level Pattern Image Note
TS28: adrenal gland Present UC Davis_1874824

Specimen UC Davis_1874825: postnatal adult; Ddit3tm1.1(KOMP)Vlcg/Ddit3+ (more )
Structure Level Pattern Image Note
TS28: adrenal gland Present UC Davis_1874825

Specimen UC Davis_1874826: postnatal adult; Ddit3tm1.1(KOMP)Vlcg/Ddit3+ (more )
Structure Level Pattern Image Note
TS28: pituitary gland Present UC Davis_1874826

Specimen UC Davis_1874827: postnatal adult; Ddit3tm1.1(KOMP)Vlcg/Ddit3+ (more )
Structure Level Pattern Image Note
TS28: pituitary gland Present UC Davis_1874827

Specimen UC Davis_1874828: postnatal adult; Ddit3tm1.1(KOMP)Vlcg/Ddit3+ (more )
Structure Level Pattern Image Note
TS28: spinal cord Present UC Davis_1874828

Specimen UC Davis_1874829: postnatal adult; Ddit3tm1.1(KOMP)Vlcg/Ddit3+ (more )
Structure Level Pattern Image Note
TS28: spinal cord Present UC Davis_1874829

Specimen UC Davis_1874830: postnatal adult; Ddit3tm1.1(KOMP)Vlcg/Ddit3+ (more )
Structure Level Pattern Image Note
TS28: eye Present UC Davis_1874830

Specimen UC Davis_1874831: postnatal adult; Ddit3tm1.1(KOMP)Vlcg/Ddit3+ (more )
Structure Level Pattern Image Note
TS28: eye Present UC Davis_1874831

Specimen UC Davis_1874832: postnatal adult; Ddit3tm1.1(KOMP)Vlcg/Ddit3+ (more )
Structure Level Pattern Image Note
TS28: eye Present UC Davis_1874832

Specimen UC Davis_1874833: postnatal adult; Ddit3tm1.1(KOMP)Vlcg/Ddit3+ (more )
Structure Level Pattern Image Note
TS28: Harderian gland Present UC Davis_1874833

Specimen UC Davis_1874834: postnatal adult; Ddit3tm1.1(KOMP)Vlcg/Ddit3+ (more )
Structure Level Pattern Image Note
TS28: Harderian gland Present UC Davis_1874834

Specimen UC Davis_1874835: postnatal adult; Ddit3tm1.1(KOMP)Vlcg/Ddit3+ (more )
Structure Level Pattern Image Note
TS28: gonadal fat pad Present UC Davis_1874835

Specimen UC Davis_1874836: postnatal adult; Ddit3tm1.1(KOMP)Vlcg/Ddit3+ (more )
Structure Level Pattern Image Note
TS28: gonadal fat pad Present UC Davis_1874836

Specimen UC Davis_1874837: postnatal adult; Ddit3tm1.1(KOMP)Vlcg/Ddit3+ (more )
Structure Level Pattern Image Note
TS28: mesenteric adipose tissue Present UC Davis_1874837

Specimen UC Davis_1874838: postnatal adult; Ddit3tm1.1(KOMP)Vlcg/Ddit3+ (more )
Structure Level Pattern Image Note
TS28: mesenteric adipose tissue Present UC Davis_1874838

Specimen UC Davis_1874839: postnatal adult; Ddit3tm1.1(KOMP)Vlcg/Ddit3+ (more )
Structure Level Pattern Image Note
TS28: skin Present UC Davis_1874839

Specimen UC Davis_1874840: postnatal adult; Ddit3tm1.1(KOMP)Vlcg/Ddit3+ (more )
Structure Level Pattern Image Note
TS28: skin Present UC Davis_1874840

Specimen UC Davis_1874841: postnatal adult; Ddit3tm1.1(KOMP)Vlcg/Ddit3+ (more )
Structure Level Pattern Image Note
TS28: brown fat Present UC Davis_1874841

Specimen UC Davis_1874842: postnatal adult; Ddit3tm1.1(KOMP)Vlcg/Ddit3+ (more )
Structure Level Pattern Image Note
TS28: brown fat Present UC Davis_1874842

Specimen UC Davis_1874843: postnatal adult; Ddit3tm1.1(KOMP)Vlcg/Ddit3+ (more )
Structure Level Pattern Image Note
TS28: olfactory lobe Present UC Davis_1874843

Specimen UC Davis_1874847: postnatal adult; Ddit3tm1.1(KOMP)Vlcg/Ddit3+ (more )
Structure Level Pattern Image Note
TS28: midbrain Present UC Davis_1874847

Specimen UC Davis_1874849: postnatal adult; Ddit3tm1.1(KOMP)Vlcg/Ddit3+ (more )
Structure Level Pattern Image Note
TS28: cerebellum Present UC Davis_1874849

Specimen UC Davis_1874850: postnatal adult; Ddit3tm1.1(KOMP)Vlcg/Ddit3+ (more )
Structure Level Pattern Image Note
TS28: trigeminal nerve Present UC Davis_1874850

Specimen UC Davis_1874851: postnatal adult; Ddit3tm1.1(KOMP)Vlcg/Ddit3+ (more )
Structure Level Pattern Image Note
TS28: bladder Present UC Davis_1874851

Specimen UC Davis_1874852: postnatal adult; Ddit3tm1.1(KOMP)Vlcg/Ddit3+ (more )
Structure Level Pattern Image Note
TS28: testis Present UC Davis_1874852

Specimen UC Davis_1874853: postnatal adult; Ddit3tm1.1(KOMP)Vlcg/Ddit3+ (more )
Structure Level Pattern Image Note
TS28: testis Present UC Davis_1874853

Specimen UC Davis_1874854: postnatal adult; Ddit3tm1.1(KOMP)Vlcg/Ddit3+ (more )
Structure Level Pattern Image Note
TS28: epididymis Present UC Davis_1874854

Specimen UC Davis_1874855: postnatal adult; Ddit3tm1.1(KOMP)Vlcg/Ddit3+ (more )
Structure Level Pattern Image Note
TS28: epididymis Present UC Davis_1874855

Specimen UC Davis_1874856: postnatal adult; Ddit3tm1.1(KOMP)Vlcg/Ddit3+ (more )
Structure Level Pattern Image Note
TS28: penis Present UC Davis_1874856

Specimen UC Davis_1874857: postnatal adult; Ddit3tm1.1(KOMP)Vlcg/Ddit3+ (more )
Structure Level Pattern Image Note
TS28: penis Present UC Davis_1874857

Specimen UC Davis_1874858: postnatal adult; Ddit3tm1.1(KOMP)Vlcg/Ddit3+ (more )
Structure Level Pattern Image Note
TS28: penis Present UC Davis_1874858

Specimen UC Davis_1874859: postnatal adult; Ddit3tm1.1(KOMP)Vlcg/Ddit3+ (more )
Structure Level Pattern Image Note
TS28: bone marrow Absent UC Davis_1874859

Specimen UC Davis_1874860: postnatal adult; Ddit3tm1.1(KOMP)Vlcg/Ddit3+ (more )
Structure Level Pattern Image Note
TS28: bone marrow Absent UC Davis_1874860

Specimen UC Davis_1874861: postnatal adult; Ddit3tm1.1(KOMP)Vlcg/Ddit3+ (more )
Structure Level Pattern Image Note
TS28: ductus deferens Present UC Davis_1874861 vas deferens

Specimen UC Davis_1874864: postnatal adult; Ddit3tm1.1(KOMP)Vlcg/Ddit3+ (more )
Structure Level Pattern Image Note
TS28: seminal vesicle Present UC Davis_1874864 vesicular gland

Specimen UC Davis_1874865: postnatal adult; Ddit3tm1.1(KOMP)Vlcg/Ddit3+ (more )
Structure Level Pattern Image Note
TS28: seminal vesicle Present UC Davis_1874865 vesicular gland


Contributing Projects:
Mouse Genome Database (MGD), Gene Expression Database (GXD), Mouse Models of Human Cancer database (MMHCdb) (formerly Mouse Tumor Biology (MTB)), Gene Ontology (GO)
Citing These Resources
Funding Information
Warranty Disclaimer, Privacy Notice, Licensing, & Copyright
Send questions and comments to User Support.
last database update
12/30/2025
MGI 6.24
The Jackson Laboratory