About   Help   FAQ
Gene Expression Data
Assay Details
Assay
Reference: J:228563 Koscielny G, et al., The International Mouse Phenotyping Consortium Web Portal, a unified point of access for knockout mice and related phenotyping data. Nucleic Acids Res. 2014 Jan;42(Database issue):D802-9
Assay type: In situ reporter (knock in)
MGI Accession ID: MGI:6691145
Gene symbol: Grk5
Gene name: G protein-coupled receptor kinase 5
Reporter: lacZ
Direct Detection
Results
Specimen UC Davis_1872610: postnatal adult; Grk5tm1b(KOMP)Mbp/Grk5+ (more )
Structure Level Pattern Image Note
TS28: trachea Present UC Davis_1872610

Specimen UC Davis_1872611: postnatal adult; Grk5tm1b(KOMP)Mbp/Grk5+ (more )
Structure Level Pattern Image Note
TS28: trachea Present UC Davis_1872611

Specimen UC Davis_1872612: postnatal adult; Grk5tm1b(KOMP)Mbp/Grk5+ (more )
Structure Level Pattern Image Note
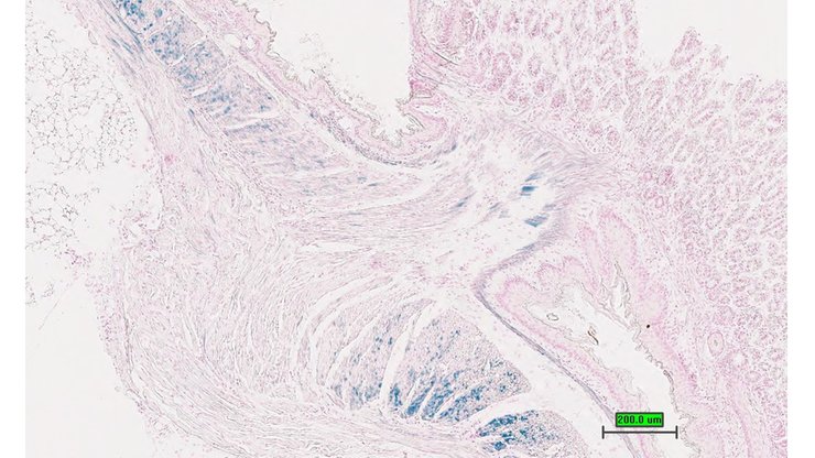
TS28: esophagus Present UC Davis_1872612

Specimen UC Davis_1872613: postnatal adult; Grk5tm1b(KOMP)Mbp/Grk5+ (more )
Structure Level Pattern Image Note
TS28: esophagus Present UC Davis_1872613

Specimen UC Davis_1872614: postnatal adult; Grk5tm1b(KOMP)Mbp/Grk5+ (more )
Structure Level Pattern Image Note
TS28: esophagus Present UC Davis_1872614

Specimen UC Davis_1872615: postnatal adult; Grk5tm1b(KOMP)Mbp/Grk5+ (more )
Structure Level Pattern Image Note
TS28: esophagus Present UC Davis_1872615

Specimen UC Davis_1872616: postnatal adult; Grk5tm1b(KOMP)Mbp/Grk5+ (more )
Structure Level Pattern Image Note
TS28: aorta Present UC Davis_1872616

Specimen UC Davis_1872617: postnatal adult; Grk5tm1b(KOMP)Mbp/Grk5+ (more )
Structure Level Pattern Image Note
TS28: thymus Present UC Davis_1872617

Specimen UC Davis_1872618: postnatal adult; Grk5tm1b(KOMP)Mbp/Grk5+ (more )
Structure Level Pattern Image Note
TS28: thymus Present UC Davis_1872618

Specimen UC Davis_1872620: postnatal adult; Grk5tm1b(KOMP)Mbp/Grk5+ (more )
Structure Level Pattern Image Note
TS28: stomach Present UC Davis_1872620

Specimen UC Davis_1872621: postnatal adult; Grk5tm1b(KOMP)Mbp/Grk5+ (more )
Structure Level Pattern Image Note
TS28: stomach Present UC Davis_1872621

Specimen UC Davis_1872622: postnatal adult; Grk5tm1b(KOMP)Mbp/Grk5+ (more )
Structure Level Pattern Image Note
TS28: metanephros Present UC Davis_1872622 kidney

Specimen UC Davis_1872623: postnatal adult; Grk5tm1b(KOMP)Mbp/Grk5+ (more )
Structure Level Pattern Image Note
TS28: metanephros Present UC Davis_1872623 kidney

Specimen UC Davis_1872624: postnatal adult; Grk5tm1b(KOMP)Mbp/Grk5+ (more )
Structure Level Pattern Image Note
TS28: metanephros Present UC Davis_1872624 kidney

Specimen UC Davis_1872625: postnatal adult; Grk5tm1b(KOMP)Mbp/Grk5+ (more )
Structure Level Pattern Image Note
TS28: metanephros Present UC Davis_1872625 kidney

Specimen UC Davis_1872626: postnatal adult; Grk5tm1b(KOMP)Mbp/Grk5+ (more )
Structure Level Pattern Image Note
TS28: tongue Present UC Davis_1872626

Specimen UC Davis_1872627: postnatal adult; Grk5tm1b(KOMP)Mbp/Grk5+ (more )
Structure Level Pattern Image Note
TS28: tongue Present UC Davis_1872627

Specimen UC Davis_1872628: postnatal adult; Grk5tm1b(KOMP)Mbp/Grk5+ (more )
Structure Level Pattern Image Note
TS28: tongue Present UC Davis_1872628

Specimen UC Davis_1872629: postnatal adult; Grk5tm1b(KOMP)Mbp/Grk5+ (more )
Structure Level Pattern Image Note
TS28: tongue Present UC Davis_1872629

Specimen UC Davis_1872630: postnatal adult; Grk5tm1b(KOMP)Mbp/Grk5+ (more )
Structure Level Pattern Image Note
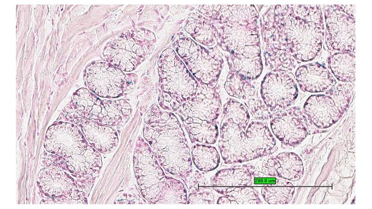
TS28: Harderian gland Present UC Davis_1872630

Specimen UC Davis_1872631: postnatal adult; Grk5tm1b(KOMP)Mbp/Grk5+ (more )
Structure Level Pattern Image Note
TS28: Harderian gland Present UC Davis_1872631

Specimen UC Davis_1872634: postnatal adult; Grk5tm1b(KOMP)Mbp/Grk5+ (more )
Structure Level Pattern Image Note
TS28: trigeminal nerve Present UC Davis_1872634

Specimen UC Davis_1872635: postnatal adult; Grk5tm1b(KOMP)Mbp/Grk5+ (more )
Structure Level Pattern Image Note
TS28: ovary Present UC Davis_1872635

Specimen UC Davis_1872636: postnatal adult; Grk5tm1b(KOMP)Mbp/Grk5+ (more )
Structure Level Pattern Image Note
TS28: bladder Present UC Davis_1872636

Specimen UC Davis_1872569: postnatal adult; Grk5tm1b(KOMP)Mbp/Grk5+ (more )
Structure Level Pattern Image Note
TS28: esophagus Present UC Davis_1872569

Specimen UC Davis_1872570: postnatal adult; Grk5tm1b(KOMP)Mbp/Grk5+ (more )
Structure Level Pattern Image Note
TS28: esophagus Present UC Davis_1872570

Specimen UC Davis_1872572: postnatal adult; Grk5tm1b(KOMP)Mbp/Grk5+ (more )
Structure Level Pattern Image Note
TS28: aorta Present UC Davis_1872572

Specimen UC Davis_1872573: postnatal adult; Grk5tm1b(KOMP)Mbp/Grk5+ (more )
Structure Level Pattern Image Note
TS28: aorta Present UC Davis_1872573

Specimen UC Davis_1872576: postnatal adult; Grk5tm1b(KOMP)Mbp/Grk5+ (more )
Structure Level Pattern Image Note
TS28: stomach Present UC Davis_1872576

Specimen UC Davis_1872577: postnatal adult; Grk5tm1b(KOMP)Mbp/Grk5+ (more )
Structure Level Pattern Image Note
TS28: stomach Present UC Davis_1872577

Specimen UC Davis_1872578: postnatal adult; Grk5tm1b(KOMP)Mbp/Grk5+ (more )
Structure Level Pattern Image Note
TS28: duodenum Present UC Davis_1872578

Specimen UC Davis_1872579: postnatal adult; Grk5tm1b(KOMP)Mbp/Grk5+ (more )
Structure Level Pattern Image Note
TS28: jejunum Present UC Davis_1872579

Specimen UC Davis_1872580: postnatal adult; Grk5tm1b(KOMP)Mbp/Grk5+ (more )
Structure Level Pattern Image Note
TS28: ileum Present UC Davis_1872580

Specimen UC Davis_1872581: postnatal adult; Grk5tm1b(KOMP)Mbp/Grk5+ (more )
Structure Level Pattern Image Note
TS28: colon Present UC Davis_1872581

Specimen UC Davis_1872582: postnatal adult; Grk5tm1b(KOMP)Mbp/Grk5+ (more )
Structure Level Pattern Image Note
TS28: spleen Present UC Davis_1872582

Specimen UC Davis_1872583: postnatal adult; Grk5tm1b(KOMP)Mbp/Grk5+ (more )
Structure Level Pattern Image Note
TS28: spleen Present UC Davis_1872583

Specimen UC Davis_1872584: postnatal adult; Grk5tm1b(KOMP)Mbp/Grk5+ (more )
Structure Level Pattern Image Note
TS28: metanephros Present UC Davis_1872584 kidney

Specimen UC Davis_1872585: postnatal adult; Grk5tm1b(KOMP)Mbp/Grk5+ (more )
Structure Level Pattern Image Note
TS28: metanephros Present UC Davis_1872585 kidney

Specimen UC Davis_1872586: postnatal adult; Grk5tm1b(KOMP)Mbp/Grk5+ (more )
Structure Level Pattern Image Note
TS28: metanephros Present UC Davis_1872586 kidney

Specimen UC Davis_1872587: postnatal adult; Grk5tm1b(KOMP)Mbp/Grk5+ (more )
Structure Level Pattern Image Note
TS28: tongue Present UC Davis_1872587

Specimen UC Davis_1872588: postnatal adult; Grk5tm1b(KOMP)Mbp/Grk5+ (more )
Structure Level Pattern Image Note
TS28: tongue Present UC Davis_1872588

Specimen UC Davis_1872589: postnatal adult; Grk5tm1b(KOMP)Mbp/Grk5+ (more )
Structure Level Pattern Image Note
TS28: tongue Present UC Davis_1872589

Specimen UC Davis_1872590: postnatal adult; Grk5tm1b(KOMP)Mbp/Grk5+ (more )
Structure Level Pattern Image Note
TS28: adrenal gland Present UC Davis_1872590

Specimen UC Davis_1872591: postnatal adult; Grk5tm1b(KOMP)Mbp/Grk5+ (more )
Structure Level Pattern Image Note
TS28: adrenal gland Present UC Davis_1872591

Specimen UC Davis_1872592: postnatal adult; Grk5tm1b(KOMP)Mbp/Grk5+ (more )
Structure Level Pattern Image Note
TS28: eye Present UC Davis_1872592

Specimen UC Davis_1872593: postnatal adult; Grk5tm1b(KOMP)Mbp/Grk5+ (more )
Structure Level Pattern Image Note
TS28: Harderian gland Present UC Davis_1872593

Specimen UC Davis_1872596: postnatal adult; Grk5tm1b(KOMP)Mbp/Grk5+ (more )
Structure Level Pattern Image Note
TS28: midbrain Present UC Davis_1872596

Specimen UC Davis_1872597: postnatal adult; Grk5tm1b(KOMP)Mbp/Grk5+ (more )
Structure Level Pattern Image Note
TS28: bladder Present UC Davis_1872597

Specimen UC Davis_1872598: postnatal adult; Grk5tm1b(KOMP)Mbp/Grk5+ (more )
Structure Level Pattern Image Note
TS28: testis Present UC Davis_1872598

Specimen UC Davis_1872599: postnatal adult; Grk5tm1b(KOMP)Mbp/Grk5+ (more )
Structure Level Pattern Image Note
TS28: testis Present UC Davis_1872599

Specimen UC Davis_1872600: postnatal adult; Grk5tm1b(KOMP)Mbp/Grk5+ (more )
Structure Level Pattern Image Note
TS28: testis Present UC Davis_1872600

Specimen UC Davis_1872601: postnatal adult; Grk5tm1b(KOMP)Mbp/Grk5+ (more )
Structure Level Pattern Image Note
TS28: epididymis Present UC Davis_1872601

Specimen UC Davis_1872602: postnatal adult; Grk5tm1b(KOMP)Mbp/Grk5+ (more )
Structure Level Pattern Image Note
TS28: epididymis Present UC Davis_1872602

Specimen UC Davis_1872603: postnatal adult; Grk5tm1b(KOMP)Mbp/Grk5+ (more )
Structure Level Pattern Image Note
TS28: prostate gland Present UC Davis_1872603

Specimen UC Davis_1872604: postnatal adult; Grk5tm1b(KOMP)Mbp/Grk5+ (more )
Structure Level Pattern Image Note
TS28: penis Present UC Davis_1872604

Specimen UC Davis_1872605: postnatal adult; Grk5tm1b(KOMP)Mbp/Grk5+ (more )
Structure Level Pattern Image Note
TS28: penis Present UC Davis_1872605

Specimen UC Davis_1872606: postnatal adult; Grk5tm1b(KOMP)Mbp/Grk5+ (more )
Structure Level Pattern Image Note
TS28: penis Present UC Davis_1872606

Specimen UC Davis_1872607: postnatal adult; Grk5tm1b(KOMP)Mbp/Grk5+ (more )
Structure Level Pattern Image Note
TS28: ductus deferens Present UC Davis_1872607 vas deferens

Specimen UC Davis_1872608: postnatal adult; Grk5tm1b(KOMP)Mbp/Grk5+ (more )
Structure Level Pattern Image Note
TS28: seminal vesicle Present UC Davis_1872608 vesicular gland

Specimen UC Davis_1872609: postnatal adult; Grk5tm1b(KOMP)Mbp/Grk5+ (more )
Structure Level Pattern Image Note
TS28: seminal vesicle Present UC Davis_1872609 vesicular gland


Contributing Projects:
Mouse Genome Database (MGD), Gene Expression Database (GXD), Mouse Models of Human Cancer database (MMHCdb) (formerly Mouse Tumor Biology (MTB)), Gene Ontology (GO)
Citing These Resources
Funding Information
Warranty Disclaimer, Privacy Notice, Licensing, & Copyright
Send questions and comments to User Support.
last database update
01/20/2026
MGI 6.24
The Jackson Laboratory