About   Help   FAQ
Gene Expression Data
Assay Details
Assay
Reference: J:228563 Koscielny G, et al., The International Mouse Phenotyping Consortium Web Portal, a unified point of access for knockout mice and related phenotyping data. Nucleic Acids Res. 2014 Jan;42(Database issue):D802-9
Assay type: In situ reporter (knock in)
MGI Accession ID: MGI:6691132
Gene symbol: Apbb2
Gene name: amyloid beta precursor protein binding family B member 2
Reporter: lacZ
Direct Detection
Results
Specimen UC Davis_1878580: postnatal adult; Apbb2tm1.1(KOMP)Vlcg/Apbb2+ (more )
Structure Level Pattern Image Note
TS28: sublingual gland Present UC Davis_1878580

Specimen UC Davis_1878582: postnatal adult; Apbb2tm1.1(KOMP)Vlcg/Apbb2+ (more )
Structure Level Pattern Image Note
TS28: trachea Present UC Davis_1878582

Specimen UC Davis_1878583: postnatal adult; Apbb2tm1.1(KOMP)Vlcg/Apbb2+ (more )
Structure Level Pattern Image Note
TS28: esophagus Present UC Davis_1878583

Specimen UC Davis_1878584: postnatal adult; Apbb2tm1.1(KOMP)Vlcg/Apbb2+ (more )
Structure Level Pattern Image Note
TS28: parathyroid gland Present UC Davis_1878584

Specimen UC Davis_1878585: postnatal adult; Apbb2tm1.1(KOMP)Vlcg/Apbb2+ (more )
Structure Level Pattern Image Note
TS28: thymus Present UC Davis_1878585

Specimen UC Davis_1878589: postnatal adult; Apbb2tm1.1(KOMP)Vlcg/Apbb2+ (more )
Structure Level Pattern Image Note
TS28: stomach Present UC Davis_1878589

Specimen UC Davis_1878590: postnatal adult; Apbb2tm1.1(KOMP)Vlcg/Apbb2+ (more )
Structure Level Pattern Image Note
TS28: stomach Present UC Davis_1878590

Specimen UC Davis_1878591: postnatal adult; Apbb2tm1.1(KOMP)Vlcg/Apbb2+ (more )
Structure Level Pattern Image Note
TS28: jejunum Present UC Davis_1878591

Specimen UC Davis_1878592: postnatal adult; Apbb2tm1.1(KOMP)Vlcg/Apbb2+ (more )
Structure Level Pattern Image Note
TS28: colon Present UC Davis_1878592

Specimen UC Davis_1878593: postnatal adult; Apbb2tm1.1(KOMP)Vlcg/Apbb2+ (more )
Structure Level Pattern Image Note
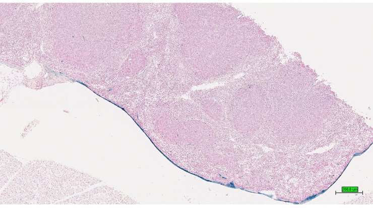
TS28: spleen Present UC Davis_1878593

Specimen UC Davis_1878594: postnatal adult; Apbb2tm1.1(KOMP)Vlcg/Apbb2+ (more )
Structure Level Pattern Image Note
TS28: spleen Present UC Davis_1878594

Specimen UC Davis_1878595: postnatal adult; Apbb2tm1.1(KOMP)Vlcg/Apbb2+ (more )
Structure Level Pattern Image Note
TS28: pancreas Present UC Davis_1878595

Specimen UC Davis_1878596: postnatal adult; Apbb2tm1.1(KOMP)Vlcg/Apbb2+ (more )
Structure Level Pattern Image Note
TS28: liver Present UC Davis_1878596

Specimen UC Davis_1878597: postnatal adult; Apbb2tm1.1(KOMP)Vlcg/Apbb2+ (more )
Structure Level Pattern Image Note
TS28: metanephros Present UC Davis_1878597 kidney

Specimen UC Davis_1878598: postnatal adult; Apbb2tm1.1(KOMP)Vlcg/Apbb2+ (more )
Structure Level Pattern Image Note
TS28: metanephros Present UC Davis_1878598 kidney

Specimen UC Davis_1878599: postnatal adult; Apbb2tm1.1(KOMP)Vlcg/Apbb2+ (more )
Structure Level Pattern Image Note
TS28: metanephros Present UC Davis_1878599 kidney

Specimen UC Davis_1878600: postnatal adult; Apbb2tm1.1(KOMP)Vlcg/Apbb2+ (more )
Structure Level Pattern Image Note
TS28: quadriceps femoris muscle Present UC Davis_1878600

Specimen UC Davis_1878601: postnatal adult; Apbb2tm1.1(KOMP)Vlcg/Apbb2+ (more )
Structure Level Pattern Image Note
TS28: tongue Present UC Davis_1878601

Specimen UC Davis_1878602: postnatal adult; Apbb2tm1.1(KOMP)Vlcg/Apbb2+ (more )
Structure Level Pattern Image Note
TS28: tongue Present UC Davis_1878602

Specimen UC Davis_1878603: postnatal adult; Apbb2tm1.1(KOMP)Vlcg/Apbb2+ (more )
Structure Level Pattern Image Note
TS28: adrenal gland Present UC Davis_1878603

Specimen UC Davis_1878604: postnatal adult; Apbb2tm1.1(KOMP)Vlcg/Apbb2+ (more )
Structure Level Pattern Image Note
TS28: spinal cord Present UC Davis_1878604

Specimen UC Davis_1878605: postnatal adult; Apbb2tm1.1(KOMP)Vlcg/Apbb2+ (more )
Structure Level Pattern Image Note
TS28: spinal cord Present UC Davis_1878605

Specimen UC Davis_1878606: postnatal adult; Apbb2tm1.1(KOMP)Vlcg/Apbb2+ (more )
Structure Level Pattern Image Note
TS28: eye Present UC Davis_1878606

Specimen UC Davis_1878607: postnatal adult; Apbb2tm1.1(KOMP)Vlcg/Apbb2+ (more )
Structure Level Pattern Image Note
TS28: eye Present UC Davis_1878607

Specimen UC Davis_1878608: postnatal adult; Apbb2tm1.1(KOMP)Vlcg/Apbb2+ (more )
Structure Level Pattern Image Note
TS28: eye Present UC Davis_1878608

Specimen UC Davis_1878609: postnatal adult; Apbb2tm1.1(KOMP)Vlcg/Apbb2+ (more )
Structure Level Pattern Image Note
TS28: Harderian gland Present UC Davis_1878609

Specimen UC Davis_1878610: postnatal adult; Apbb2tm1.1(KOMP)Vlcg/Apbb2+ (more )
Structure Level Pattern Image Note
TS28: mesenteric adipose tissue Present UC Davis_1878610

Specimen UC Davis_1878611: postnatal adult; Apbb2tm1.1(KOMP)Vlcg/Apbb2+ (more )
Structure Level Pattern Image Note
TS28: skin Present UC Davis_1878611

Specimen UC Davis_1878612: postnatal adult; Apbb2tm1.1(KOMP)Vlcg/Apbb2+ (more )
Structure Level Pattern Image Note
TS28: skin Present UC Davis_1878612

Specimen UC Davis_1878613: postnatal adult; Apbb2tm1.1(KOMP)Vlcg/Apbb2+ (more )
Structure Level Pattern Image Note
TS28: olfactory lobe Present UC Davis_1878613

Specimen UC Davis_1878617: postnatal adult; Apbb2tm1.1(KOMP)Vlcg/Apbb2+ (more )
Structure Level Pattern Image Note
TS28: midbrain Present UC Davis_1878617

Specimen UC Davis_1878619: postnatal adult; Apbb2tm1.1(KOMP)Vlcg/Apbb2+ (more )
Structure Level Pattern Image Note
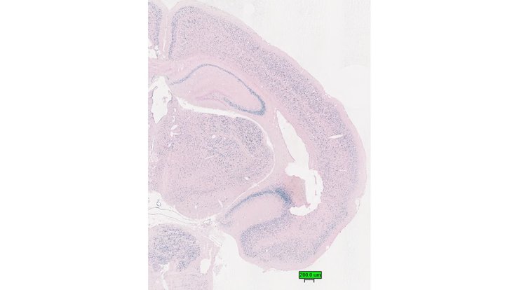
TS28: cerebellum Present UC Davis_1878619

Specimen UC Davis_1878620: postnatal adult; Apbb2tm1.1(KOMP)Vlcg/Apbb2+ (more )
Structure Level Pattern Image Note
TS28: trigeminal nerve Present UC Davis_1878620

Specimen UC Davis_1878621: postnatal adult; Apbb2tm1.1(KOMP)Vlcg/Apbb2+ (more )
Structure Level Pattern Image Note
TS28: oviduct Present UC Davis_1878621

Specimen UC Davis_1878622: postnatal adult; Apbb2tm1.1(KOMP)Vlcg/Apbb2+ (more )
Structure Level Pattern Image Note
TS28: uterus Present UC Davis_1878622

Specimen UC Davis_1878623: postnatal adult; Apbb2tm1.1(KOMP)Vlcg/Apbb2+ (more )
Structure Level Pattern Image Note
TS28: vagina Present UC Davis_1878623

Specimen UC Davis_1878624: postnatal adult; Apbb2tm1.1(KOMP)Vlcg/Apbb2+ (more )
Structure Level Pattern Image Note
TS28: bladder Present UC Davis_1878624

Specimen UC Davis_1878625: postnatal adult; Apbb2tm1.1(KOMP)Vlcg/Apbb2+ (more )
Structure Level Pattern Image Note
TS28: bladder Present UC Davis_1878625

Specimen UC Davis_1878627: postnatal adult; Apbb2tm1.1(KOMP)Vlcg/Apbb2+ (more )
Structure Level Pattern Image Note
TS28: trachea Present UC Davis_1878627

Specimen UC Davis_1878628: postnatal adult; Apbb2tm1.1(KOMP)Vlcg/Apbb2+ (more )
Structure Level Pattern Image Note
TS28: trachea Present UC Davis_1878628

Specimen UC Davis_1878629: postnatal adult; Apbb2tm1.1(KOMP)Vlcg/Apbb2+ (more )
Structure Level Pattern Image Note
TS28: trachea Present UC Davis_1878629

Specimen UC Davis_1878630: postnatal adult; Apbb2tm1.1(KOMP)Vlcg/Apbb2+ (more )
Structure Level Pattern Image Note
TS28: trachea Present UC Davis_1878630

Specimen UC Davis_1878632: postnatal adult; Apbb2tm1.1(KOMP)Vlcg/Apbb2+ (more )
Structure Level Pattern Image Note
TS28: parathyroid gland Present UC Davis_1878632

Specimen UC Davis_1878635: postnatal adult; Apbb2tm1.1(KOMP)Vlcg/Apbb2+ (more )
Structure Level Pattern Image Note
TS28: ileum Present UC Davis_1878635

Specimen UC Davis_1878636: postnatal adult; Apbb2tm1.1(KOMP)Vlcg/Apbb2+ (more )
Structure Level Pattern Image Note
TS28: colon Present UC Davis_1878636

Specimen UC Davis_1878637: postnatal adult; Apbb2tm1.1(KOMP)Vlcg/Apbb2+ (more )
Structure Level Pattern Image Note
TS28: spleen Present UC Davis_1878637

Specimen UC Davis_1878638: postnatal adult; Apbb2tm1.1(KOMP)Vlcg/Apbb2+ (more )
Structure Level Pattern Image Note
TS28: spleen Present UC Davis_1878638

Specimen UC Davis_1878639: postnatal adult; Apbb2tm1.1(KOMP)Vlcg/Apbb2+ (more )
Structure Level Pattern Image Note
TS28: pancreas Present UC Davis_1878639

Specimen UC Davis_1878640: postnatal adult; Apbb2tm1.1(KOMP)Vlcg/Apbb2+ (more )
Structure Level Pattern Image Note
TS28: metanephros Present UC Davis_1878640 kidney

Specimen UC Davis_1878641: postnatal adult; Apbb2tm1.1(KOMP)Vlcg/Apbb2+ (more )
Structure Level Pattern Image Note
TS28: metanephros Present UC Davis_1878641 kidney

Specimen UC Davis_1878642: postnatal adult; Apbb2tm1.1(KOMP)Vlcg/Apbb2+ (more )
Structure Level Pattern Image Note
TS28: metanephros Present UC Davis_1878642 kidney

Specimen UC Davis_1878643: postnatal adult; Apbb2tm1.1(KOMP)Vlcg/Apbb2+ (more )
Structure Level Pattern Image Note
TS28: metanephros Present UC Davis_1878643 kidney

Specimen UC Davis_1878644: postnatal adult; Apbb2tm1.1(KOMP)Vlcg/Apbb2+ (more )
Structure Level Pattern Image Note
TS28: metanephros Present UC Davis_1878644 kidney

Specimen UC Davis_1878645: postnatal adult; Apbb2tm1.1(KOMP)Vlcg/Apbb2+ (more )
Structure Level Pattern Image Note
TS28: quadriceps femoris muscle Absent UC Davis_1878645

Specimen UC Davis_1878646: postnatal adult; Apbb2tm1.1(KOMP)Vlcg/Apbb2+ (more )
Structure Level Pattern Image Note
TS28: quadriceps femoris muscle Absent UC Davis_1878646

Specimen UC Davis_1878647: postnatal adult; Apbb2tm1.1(KOMP)Vlcg/Apbb2+ (more )
Structure Level Pattern Image Note
TS28: tongue Present UC Davis_1878647

Specimen UC Davis_1878648: postnatal adult; Apbb2tm1.1(KOMP)Vlcg/Apbb2+ (more )
Structure Level Pattern Image Note
TS28: tongue Present UC Davis_1878648

Specimen UC Davis_1878649: postnatal adult; Apbb2tm1.1(KOMP)Vlcg/Apbb2+ (more )
Structure Level Pattern Image Note
TS28: adrenal gland Absent UC Davis_1878649

Specimen UC Davis_1878650: postnatal adult; Apbb2tm1.1(KOMP)Vlcg/Apbb2+ (more )
Structure Level Pattern Image Note
TS28: adrenal gland Absent UC Davis_1878650

Specimen UC Davis_1878651: postnatal adult; Apbb2tm1.1(KOMP)Vlcg/Apbb2+ (more )
Structure Level Pattern Image Note
TS28: pituitary gland Absent UC Davis_1878651

Specimen UC Davis_1878652: postnatal adult; Apbb2tm1.1(KOMP)Vlcg/Apbb2+ (more )
Structure Level Pattern Image Note
TS28: spinal cord Absent UC Davis_1878652

Specimen UC Davis_1878653: postnatal adult; Apbb2tm1.1(KOMP)Vlcg/Apbb2+ (more )
Structure Level Pattern Image Note
TS28: eye Absent UC Davis_1878653

Specimen UC Davis_1878654: postnatal adult; Apbb2tm1.1(KOMP)Vlcg/Apbb2+ (more )
Structure Level Pattern Image Note
TS28: eye Absent UC Davis_1878654

Specimen UC Davis_1878655: postnatal adult; Apbb2tm1.1(KOMP)Vlcg/Apbb2+ (more )
Structure Level Pattern Image Note
TS28: Harderian gland Absent UC Davis_1878655

Specimen UC Davis_1878656: postnatal adult; Apbb2tm1.1(KOMP)Vlcg/Apbb2+ (more )
Structure Level Pattern Image Note
TS28: skin Present UC Davis_1878656

Specimen UC Davis_1878657: postnatal adult; Apbb2tm1.1(KOMP)Vlcg/Apbb2+ (more )
Structure Level Pattern Image Note
TS28: olfactory lobe Present UC Davis_1878657

Specimen UC Davis_1878660: postnatal adult; Apbb2tm1.1(KOMP)Vlcg/Apbb2+ (more )
Structure Level Pattern Image Note
TS28: midbrain Present UC Davis_1878660

Specimen UC Davis_1878662: postnatal adult; Apbb2tm1.1(KOMP)Vlcg/Apbb2+ (more )
Structure Level Pattern Image Note
TS28: cerebellum Present UC Davis_1878662

Specimen UC Davis_1878663: postnatal adult; Apbb2tm1.1(KOMP)Vlcg/Apbb2+ (more )
Structure Level Pattern Image Note
TS28: trigeminal nerve Absent UC Davis_1878663

Specimen UC Davis_1878664: postnatal adult; Apbb2tm1.1(KOMP)Vlcg/Apbb2+ (more )
Structure Level Pattern Image Note
TS28: bladder Present UC Davis_1878664

Specimen UC Davis_1878665: postnatal adult; Apbb2tm1.1(KOMP)Vlcg/Apbb2+ (more )
Structure Level Pattern Image Note
TS28: testis Present UC Davis_1878665

Specimen UC Davis_1878666: postnatal adult; Apbb2tm1.1(KOMP)Vlcg/Apbb2+ (more )
Structure Level Pattern Image Note
TS28: epididymis Present UC Davis_1878666

Specimen UC Davis_1878667: postnatal adult; Apbb2tm1.1(KOMP)Vlcg/Apbb2+ (more )
Structure Level Pattern Image Note
TS28: epididymis Present UC Davis_1878667

Specimen UC Davis_1878668: postnatal adult; Apbb2tm1.1(KOMP)Vlcg/Apbb2+ (more )
Structure Level Pattern Image Note
TS28: prostate gland Present UC Davis_1878668

Specimen UC Davis_1878669: postnatal adult; Apbb2tm1.1(KOMP)Vlcg/Apbb2+ (more )
Structure Level Pattern Image Note
TS28: prostate gland Present UC Davis_1878669

Specimen UC Davis_1878670: postnatal adult; Apbb2tm1.1(KOMP)Vlcg/Apbb2+ (more )
Structure Level Pattern Image Note
TS28: penis Present UC Davis_1878670

Specimen UC Davis_1878671: postnatal adult; Apbb2tm1.1(KOMP)Vlcg/Apbb2+ (more )
Structure Level Pattern Image Note
TS28: penis Present UC Davis_1878671

Specimen UC Davis_1878672: postnatal adult; Apbb2tm1.1(KOMP)Vlcg/Apbb2+ (more )
Structure Level Pattern Image Note
TS28: penis Present UC Davis_1878672

Specimen UC Davis_1878673: postnatal adult; Apbb2tm1.1(KOMP)Vlcg/Apbb2+ (more )
Structure Level Pattern Image Note
TS28: ductus deferens Present UC Davis_1878673 vas deferens

Specimen UC Davis_1878674: postnatal adult; Apbb2tm1.1(KOMP)Vlcg/Apbb2+ (more )
Structure Level Pattern Image Note
TS28: ductus deferens Present UC Davis_1878674 vas deferens


Contributing Projects:
Mouse Genome Database (MGD), Gene Expression Database (GXD), Mouse Models of Human Cancer database (MMHCdb) (formerly Mouse Tumor Biology (MTB)), Gene Ontology (GO)
Citing These Resources
Funding Information
Warranty Disclaimer, Privacy Notice, Licensing, & Copyright
Send questions and comments to User Support.
last database update
01/06/2026
MGI 6.24
The Jackson Laboratory