About   Help   FAQ
Gene Expression Data
Assay Details
Assay
Reference: J:228563 Koscielny G, et al., The International Mouse Phenotyping Consortium Web Portal, a unified point of access for knockout mice and related phenotyping data. Nucleic Acids Res. 2014 Jan;42(Database issue):D802-9
Assay type: In situ reporter (knock in)
MGI Accession ID: MGI:6691130
Gene symbol: Mlx
Gene name: MAX-like protein X
Reporter: lacZ
Direct Detection
Results
Specimen JAX_1127069: embryonic day 12.5; Mlxtm1.1(KOMP)Vlcg/Mlx+ (more )
Structure Level Pattern Image Note
TS20: embryo Present JAX_1127069

Specimen JAX_1127071: embryonic day 12.5; Mlxtm1.1(KOMP)Vlcg/Mlx+ (more )
Structure Level Pattern Image Note
TS20: embryo Present JAX_1127071

Specimen JAX_1127073: embryonic day 12.5; Mlxtm1.1(KOMP)Vlcg/Mlx+ (more )
Structure Level Pattern Image Note
TS20: embryo Present JAX_1127073

Specimen JAX_1127075: embryonic day 12.5; Mlxtm1.1(KOMP)Vlcg/Mlx+ (more )
Structure Level Pattern Image Note
TS20: embryo Present JAX_1127075

Specimen JAX_1470419: embryonic day 12.5; Mlxtm1.1(KOMP)Vlcg/Mlx+ (more )
Structure Level Pattern Image Note
TS20: embryo Present JAX_1470419

Specimen JAX_1470420: embryonic day 12.5; Mlxtm1.1(KOMP)Vlcg/Mlx+ (more )
Structure Level Pattern Image Note
TS20: embryo Present JAX_1470420

Specimen JAX_1470421: embryonic day 12.5; Mlxtm1.1(KOMP)Vlcg/Mlx+ (more )
Structure Level Pattern Image Note
TS20: embryo Present JAX_1470421

Specimen JAX_1470422: embryonic day 12.5; Mlxtm1.1(KOMP)Vlcg/Mlx+ (more )
Structure Level Pattern Image Note
TS20: embryo Present JAX_1470422

Specimen JAX_1623005: postnatal adult; Mlxtm1.1(KOMP)Vlcg/Mlx+ (more )
Structure Level Pattern Image Note
TS28: midbrain Present JAX_1623005

Specimen JAX_1623006: postnatal adult; Mlxtm1.1(KOMP)Vlcg/Mlx+ (more )
Structure Level Pattern Image Note
TS28: submandibular gland Present JAX_1623006

Specimen JAX_1623007: postnatal adult; Mlxtm1.1(KOMP)Vlcg/Mlx+ (more )
Structure Level Pattern Image Note
TS28: brown fat Present JAX_1623007

Specimen JAX_1623008: postnatal adult; Mlxtm1.1(KOMP)Vlcg/Mlx+ (more )
Structure Level Pattern Image Note
TS28: bladder Present JAX_1623008

Specimen JAX_1623009: postnatal adult; Mlxtm1.1(KOMP)Vlcg/Mlx+ (more )
Structure Level Pattern Image Note
TS28: corpus striatum Present JAX_1623009

Specimen JAX_1623010: postnatal adult; Mlxtm1.1(KOMP)Vlcg/Mlx+ (more )
Structure Level Pattern Image Note
TS28: olfactory lobe Present JAX_1623010

Specimen JAX_1623011: postnatal adult; Mlxtm1.1(KOMP)Vlcg/Mlx+ (more )
Structure Level Pattern Image Note
TS28: cerebellum Present JAX_1623011

Specimen JAX_1623012: postnatal adult; Mlxtm1.1(KOMP)Vlcg/Mlx+ (more )
Structure Level Pattern Image Note
TS28: cerebral cortex Present JAX_1623012

Specimen JAX_1623013: postnatal adult; Mlxtm1.1(KOMP)Vlcg/Mlx+ (more )
Structure Level Pattern Image Note
TS28: pancreas Present JAX_1623013

Specimen JAX_1623014: postnatal adult; Mlxtm1.1(KOMP)Vlcg/Mlx+ (more )
Structure Level Pattern Image Note
TS28: lung Present JAX_1623014

Specimen JAX_1623015: postnatal adult; Mlxtm1.1(KOMP)Vlcg/Mlx+ (more )
Structure Level Pattern Image Note
TS28: white fat Present JAX_1623015

Specimen JAX_1623016: postnatal adult; Mlxtm1.1(KOMP)Vlcg/Mlx+ (more )
Structure Level Pattern Image Note
TS28: thyroid gland Present JAX_1623016

Specimen JAX_1623017: postnatal adult; Mlxtm1.1(KOMP)Vlcg/Mlx+ (more )
Structure Level Pattern Image Note
TS28: spinal cord Present JAX_1623017

Specimen JAX_1623018: postnatal adult; Mlxtm1.1(KOMP)Vlcg/Mlx+ (more )
Structure Level Pattern Image Note
TS28: esophagus Present JAX_1623018

Specimen JAX_1623019: postnatal adult; Mlxtm1.1(KOMP)Vlcg/Mlx+ (more )
Structure Level Pattern Image Note
TS28: large intestine Present JAX_1623019

Specimen JAX_1623020: postnatal adult; Mlxtm1.1(KOMP)Vlcg/Mlx+ (more )
Structure Level Pattern Image Note
TS28: uterus Present JAX_1623020

Specimen JAX_1623021: postnatal adult; Mlxtm1.1(KOMP)Vlcg/Mlx+ (more )
Structure Level Pattern Image Note
TS28: trachea Present JAX_1623021

Specimen JAX_1623022: postnatal adult; Mlxtm1.1(KOMP)Vlcg/Mlx+ (more )
Structure Level Pattern Image Note
TS28: oviduct Present JAX_1623022

Specimen JAX_1623023: postnatal adult; Mlxtm1.1(KOMP)Vlcg/Mlx+ (more )
Structure Level Pattern Image Note
TS28: ovary Present JAX_1623023

Specimen JAX_1623024: postnatal adult; Mlxtm1.1(KOMP)Vlcg/Mlx+ (more )
Structure Level Pattern Image Note
TS28: lymph node Present JAX_1623024

Specimen JAX_1623025: postnatal adult; Mlxtm1.1(KOMP)Vlcg/Mlx+ (more )
Structure Level Pattern Image Note
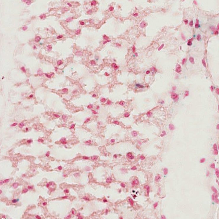
TS28: liver Present JAX_1623025

Specimen JAX_1623026: postnatal adult; Mlxtm1.1(KOMP)Vlcg/Mlx+ (more )
Structure Level Pattern Image Note
TS28: metanephros Present JAX_1623026 kidney

Specimen JAX_1623027: postnatal adult; Mlxtm1.1(KOMP)Vlcg/Mlx+ (more )
Structure Level Pattern Image Note
TS28: heart Present JAX_1623027

Specimen JAX_1623028: postnatal adult; Mlxtm1.1(KOMP)Vlcg/Mlx+ (more )
Structure Level Pattern Image Note
TS28: brain Present JAX_1623028

Specimen JAX_1623029: postnatal adult; Mlxtm1.1(KOMP)Vlcg/Mlx+ (more )
Structure Level Pattern Image Note
TS28: thalamus Present JAX_1623029

Specimen JAX_1623030: postnatal adult; Mlxtm1.1(KOMP)Vlcg/Mlx+ (more )
Structure Level Pattern Image Note
TS28: vascular system Present JAX_1623030

Specimen JAX_1623031: postnatal adult; Mlxtm1.1(KOMP)Vlcg/Mlx+ (more )
Structure Level Pattern Image Note
TS28: epididymis Present JAX_1623031

Specimen JAX_1623032: postnatal adult; Mlxtm1.1(KOMP)Vlcg/Mlx+ (more )
Structure Level Pattern Image Note
TS28: peripheral nervous system Present JAX_1623032

Specimen JAX_1623033: postnatal adult; Mlxtm1.1(KOMP)Vlcg/Mlx+ (more )
Structure Level Pattern Image Note
TS28: hypothalamus Present JAX_1623033

Specimen JAX_1623034: postnatal adult; Mlxtm1.1(KOMP)Vlcg/Mlx+ (more )
Structure Level Pattern Image Note
TS28: hippocampus Present JAX_1623034

Specimen JAX_1623035: postnatal adult; Mlxtm1.1(KOMP)Vlcg/Mlx+ (more )
Structure Level Pattern Image Note
TS28: cartilage Present JAX_1623035

Specimen JAX_1623036: postnatal adult; Mlxtm1.1(KOMP)Vlcg/Mlx+ (more )
Structure Level Pattern Image Note
TS28: brainstem Present JAX_1623036

Specimen JAX_1623037: postnatal adult; Mlxtm1.1(KOMP)Vlcg/Mlx+ (more )
Structure Level Pattern Image Note
TS28: spleen Present JAX_1623037

Specimen JAX_1623038: postnatal adult; Mlxtm1.1(KOMP)Vlcg/Mlx+ (more )
Structure Level Pattern Image Note
TS28: aorta Present JAX_1623038

Specimen JAX_1623039: postnatal adult; Mlxtm1.1(KOMP)Vlcg/Mlx+ (more )
Structure Level Pattern Image Note
TS28: small intestine Present JAX_1623039

Specimen JAX_1623040: postnatal adult; Mlxtm1.1(KOMP)Vlcg/Mlx+ (more )
Structure Level Pattern Image Note
TS28: skeletal muscle tissue Present JAX_1623040

Specimen JAX_1623041: postnatal adult; Mlxtm1.1(KOMP)Vlcg/Mlx+ (more )
Structure Level Pattern Image Note
TS28: pituitary gland Present JAX_1623041

Specimen JAX_1623042: postnatal adult; Mlxtm1.1(KOMP)Vlcg/Mlx+ (more )
Structure Level Pattern Image Note
TS28: thymus Present JAX_1623042

Specimen JAX_1623043: postnatal adult; Mlxtm1.1(KOMP)Vlcg/Mlx+ (more )
Structure Level Pattern Image Note
TS28: testis Present JAX_1623043

Specimen JAX_1623044: postnatal adult; Mlxtm1.1(KOMP)Vlcg/Mlx+ (more )
Structure Level Pattern Image Note
TS28: stomach Present JAX_1623044

Specimen JAX_1623045: postnatal adult; Mlxtm1.1(KOMP)Vlcg/Mlx+ (more )
Structure Level Pattern Image Note
TS28: skin Present JAX_1623045

Specimen JAX_1623046: postnatal adult; Mlxtm1.1(KOMP)Vlcg/Mlx+ (more )
Structure Level Pattern Image Note
TS28: eye Present JAX_1623046

Specimen JAX_1623047: postnatal adult; Mlxtm1.1(KOMP)Vlcg/Mlx+ (more )
Structure Level Pattern Image Note
TS28: adrenal gland Present JAX_1623047


Contributing Projects:
Mouse Genome Database (MGD), Gene Expression Database (GXD), Mouse Models of Human Cancer database (MMHCdb) (formerly Mouse Tumor Biology (MTB)), Gene Ontology (GO)
Citing These Resources
Funding Information
Warranty Disclaimer, Privacy Notice, Licensing, & Copyright
Send questions and comments to User Support.
last database update
03/24/2026
MGI 6.24
The Jackson Laboratory