About   Help   FAQ
Gene Expression Data
Assay Details
Assay
Reference: J:228563 Koscielny G, et al., The International Mouse Phenotyping Consortium Web Portal, a unified point of access for knockout mice and related phenotyping data. Nucleic Acids Res. 2014 Jan;42(Database issue):D802-9
Assay type: In situ reporter (knock in)
MGI Accession ID: MGI:6691115
Gene symbol: Kif3c
Gene name: kinesin family member 3C
Reporter: lacZ
Direct Detection
Results
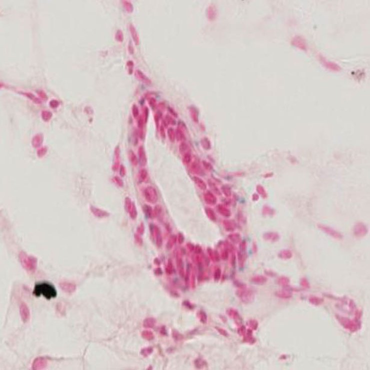
Specimen JAX_1470238: embryonic day 12.5; Kif3ctm1.1(KOMP)Vlcg/Kif3c+ (more )
Structure Level Pattern Image Note
TS20: embryo Present JAX_1470238

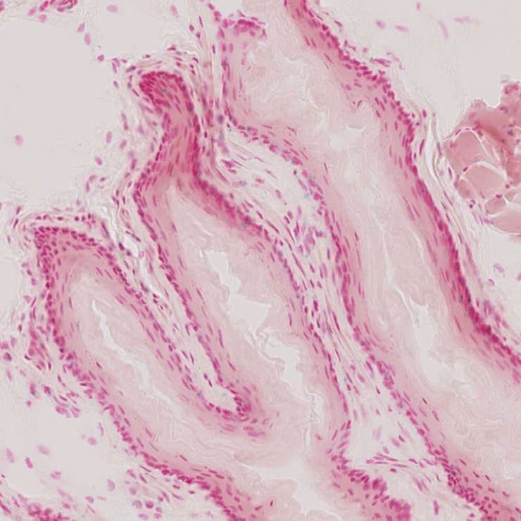
Specimen JAX_1470239: embryonic day 12.5; Kif3ctm1.1(KOMP)Vlcg/Kif3c+ (more )
Structure Level Pattern Image Note
TS20: embryo Present JAX_1470239

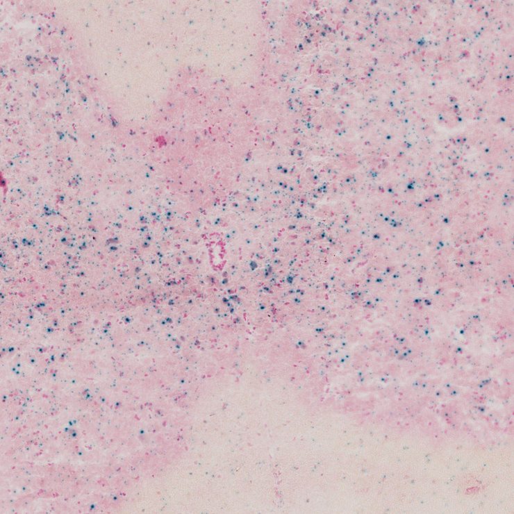
Specimen JAX_1470240: embryonic day 12.5; Kif3ctm1.1(KOMP)Vlcg/Kif3c+ (more )
Structure Level Pattern Image Note
TS20: embryo Present JAX_1470240

Specimen JAX_1470241: embryonic day 12.5; Kif3ctm1.1(KOMP)Vlcg/Kif3c+ (more )
Structure Level Pattern Image Note
TS20: embryo Present JAX_1470241

Specimen JAX_955151: embryonic day 12.5; Kif3ctm1.1(KOMP)Vlcg/Kif3c+ (more )
Structure Level Pattern Image Note
TS20: embryo Present JAX_955151

Specimen JAX_955153: embryonic day 12.5; Kif3ctm1.1(KOMP)Vlcg/Kif3c+ (more )
Structure Level Pattern Image Note
TS20: embryo Present JAX_955153

Specimen JAX_955155: embryonic day 12.5; Kif3ctm1.1(KOMP)Vlcg/Kif3c+ (more )
Structure Level Pattern Image Note
TS20: embryo Present JAX_955155

Specimen JAX_955157: embryonic day 12.5; Kif3ctm1.1(KOMP)Vlcg/Kif3c+ (more )
Structure Level Pattern Image Note
TS20: embryo Present JAX_955157

Specimen JAX_1244191: postnatal adult; Kif3ctm1.1(KOMP)Vlcg/Kif3c+ (more )
Structure Level Pattern Image Note
TS28: thalamus Present JAX_1244191

Specimen JAX_1244193: postnatal adult; Kif3ctm1.1(KOMP)Vlcg/Kif3c+ (more )
Structure Level Pattern Image Note
TS28: midbrain Present JAX_1244193

Specimen JAX_1244195: postnatal adult; Kif3ctm1.1(KOMP)Vlcg/Kif3c+ (more )
Structure Level Pattern Image Note
TS28: bladder Present JAX_1244195

Specimen JAX_1244197: postnatal adult; Kif3ctm1.1(KOMP)Vlcg/Kif3c+ (more )
Structure Level Pattern Image Note
TS28: corpus striatum Present JAX_1244197

Specimen JAX_1244199: postnatal adult; Kif3ctm1.1(KOMP)Vlcg/Kif3c+ (more )
Structure Level Pattern Image Note
TS28: peripheral nervous system Present JAX_1244199

Specimen JAX_1244201: postnatal adult; Kif3ctm1.1(KOMP)Vlcg/Kif3c+ (more )
Structure Level Pattern Image Note
TS28: olfactory lobe Present JAX_1244201

Specimen JAX_1244203: postnatal adult; Kif3ctm1.1(KOMP)Vlcg/Kif3c+ (more )
Structure Level Pattern Image Note
TS28: hypothalamus Present JAX_1244203

Specimen JAX_1244205: postnatal adult; Kif3ctm1.1(KOMP)Vlcg/Kif3c+ (more )
Structure Level Pattern Image Note
TS28: hippocampus Present JAX_1244205

Specimen JAX_1244207: postnatal adult; Kif3ctm1.1(KOMP)Vlcg/Kif3c+ (more )
Structure Level Pattern Image Note
TS28: cerebellum Present JAX_1244207

Specimen JAX_1244209: postnatal adult; Kif3ctm1.1(KOMP)Vlcg/Kif3c+ (more )
Structure Level Pattern Image Note
TS28: cerebral cortex Present JAX_1244209

Specimen JAX_1244211: postnatal adult; Kif3ctm1.1(KOMP)Vlcg/Kif3c+ (more )
Structure Level Pattern Image Note
TS28: cartilage Present JAX_1244211

Specimen JAX_1244213: postnatal adult; Kif3ctm1.1(KOMP)Vlcg/Kif3c+ (more )
Structure Level Pattern Image Note
TS28: brainstem Present JAX_1244213

Specimen JAX_1244215: postnatal adult; Kif3ctm1.1(KOMP)Vlcg/Kif3c+ (more )
Structure Level Pattern Image Note
TS28: spleen Present JAX_1244215

Specimen JAX_1244217: postnatal adult; Kif3ctm1.1(KOMP)Vlcg/Kif3c+ (more )
Structure Level Pattern Image Note
TS28: pancreas Present JAX_1244217

Specimen JAX_1244219: postnatal adult; Kif3ctm1.1(KOMP)Vlcg/Kif3c+ (more )
Structure Level Pattern Image Note
TS28: aorta Present JAX_1244219

Specimen JAX_1244221: postnatal adult; Kif3ctm1.1(KOMP)Vlcg/Kif3c+ (more )
Structure Level Pattern Image Note
TS28: spinal cord Present JAX_1244221

Specimen JAX_1244223: postnatal adult; Kif3ctm1.1(KOMP)Vlcg/Kif3c+ (more )
Structure Level Pattern Image Note
TS28: uterus Present JAX_1244223

Specimen JAX_1244225: postnatal adult; Kif3ctm1.1(KOMP)Vlcg/Kif3c+ (more )
Structure Level Pattern Image Note
TS28: trachea Present JAX_1244225

Specimen JAX_1244227: postnatal adult; Kif3ctm1.1(KOMP)Vlcg/Kif3c+ (more )
Structure Level Pattern Image Note
TS28: thymus Present JAX_1244227

Specimen JAX_1244229: postnatal adult; Kif3ctm1.1(KOMP)Vlcg/Kif3c+ (more )
Structure Level Pattern Image Note
TS28: skin Present JAX_1244229

Specimen JAX_1244231: postnatal adult; Kif3ctm1.1(KOMP)Vlcg/Kif3c+ (more )
Structure Level Pattern Image Note
TS28: oviduct Present JAX_1244231

Specimen JAX_1244233: postnatal adult; Kif3ctm1.1(KOMP)Vlcg/Kif3c+ (more )
Structure Level Pattern Image Note
TS28: ovary Present JAX_1244233

Specimen JAX_1244235: postnatal adult; Kif3ctm1.1(KOMP)Vlcg/Kif3c+ (more )
Structure Level Pattern Image Note
TS28: mammary gland Present JAX_1244235

Specimen JAX_1244237: postnatal adult; Kif3ctm1.1(KOMP)Vlcg/Kif3c+ (more )
Structure Level Pattern Image Note
TS28: metanephros Present JAX_1244237 kidney

Specimen JAX_1244239: postnatal adult; Kif3ctm1.1(KOMP)Vlcg/Kif3c+ (more )
Structure Level Pattern Image Note
TS28: eye Present JAX_1244239

Specimen JAX_1244241: postnatal adult; Kif3ctm1.1(KOMP)Vlcg/Kif3c+ (more )
Structure Level Pattern Image Note
TS28: brain Present JAX_1244241

Specimen JAX_1244243: postnatal adult; Kif3ctm1.1(KOMP)Vlcg/Kif3c+ (more )
Structure Level Pattern Image Note
TS28: adrenal gland Present JAX_1244243

Specimen JAX_1244173: postnatal adult; Kif3ctm1.1(KOMP)Vlcg/Kif3c+ (more )
Structure Level Pattern Image Note
TS28: vascular system Present JAX_1244173

Specimen JAX_1244175: postnatal adult; Kif3ctm1.1(KOMP)Vlcg/Kif3c+ (more )
Structure Level Pattern Image Note
TS28: epididymis Present JAX_1244175

Specimen JAX_1244177: postnatal adult; Kif3ctm1.1(KOMP)Vlcg/Kif3c+ (more )
Structure Level Pattern Image Note
TS28: lung Present JAX_1244177

Specimen JAX_1244179: postnatal adult; Kif3ctm1.1(KOMP)Vlcg/Kif3c+ (more )
Structure Level Pattern Image Note
TS28: small intestine Present JAX_1244179

Specimen JAX_1244181: postnatal adult; Kif3ctm1.1(KOMP)Vlcg/Kif3c+ (more )
Structure Level Pattern Image Note
TS28: pituitary gland Present JAX_1244181

Specimen JAX_1244183: postnatal adult; Kif3ctm1.1(KOMP)Vlcg/Kif3c+ (more )
Structure Level Pattern Image Note
TS28: esophagus Present JAX_1244183

Specimen JAX_1244185: postnatal adult; Kif3ctm1.1(KOMP)Vlcg/Kif3c+ (more )
Structure Level Pattern Image Note
TS28: large intestine Present JAX_1244185

Specimen JAX_1244187: postnatal adult; Kif3ctm1.1(KOMP)Vlcg/Kif3c+ (more )
Structure Level Pattern Image Note
TS28: testis Present JAX_1244187

Specimen JAX_1244189: postnatal adult; Kif3ctm1.1(KOMP)Vlcg/Kif3c+ (more )
Structure Level Pattern Image Note
TS28: stomach Present JAX_1244189


Contributing Projects:
Mouse Genome Database (MGD), Gene Expression Database (GXD), Mouse Models of Human Cancer database (MMHCdb) (formerly Mouse Tumor Biology (MTB)), Gene Ontology (GO)
Citing These Resources
Funding Information
Warranty Disclaimer, Privacy Notice, Licensing, & Copyright
Send questions and comments to User Support.
last database update
01/28/2026
MGI 6.24
The Jackson Laboratory