About   Help   FAQ
Gene Expression Data
Assay Details
Assay
Reference: J:228563 Koscielny G, et al., The International Mouse Phenotyping Consortium Web Portal, a unified point of access for knockout mice and related phenotyping data. Nucleic Acids Res. 2014 Jan;42(Database issue):D802-9
Assay type: In situ reporter (knock in)
MGI Accession ID: MGI:6691092
Gene symbol: Plcb4
Gene name: phospholipase C, beta 4
Reporter: lacZ
Direct Detection
Results
Specimen UC Davis_1886590: postnatal adult; Plcb4tm1b(EUCOMM)Wtsi/Plcb4+ (more )
Structure Level Pattern Image Note
TS28: submandibular gland Present UC Davis_1886590

Specimen UC Davis_1886591: postnatal adult; Plcb4tm1b(EUCOMM)Wtsi/Plcb4+ (more )
Structure Level Pattern Image Note
TS28: sublingual gland Present UC Davis_1886591

Specimen UC Davis_1886592: postnatal adult; Plcb4tm1b(EUCOMM)Wtsi/Plcb4+ (more )
Structure Level Pattern Image Note
TS28: parotid gland Present UC Davis_1886592

Specimen UC Davis_1886593: postnatal adult; Plcb4tm1b(EUCOMM)Wtsi/Plcb4+ (more )
Structure Level Pattern Image Note
TS28: trachea Present UC Davis_1886593

Specimen UC Davis_1886594: postnatal adult; Plcb4tm1b(EUCOMM)Wtsi/Plcb4+ (more )
Structure Level Pattern Image Note
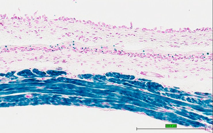
TS28: aorta Present UC Davis_1886594

Specimen UC Davis_1886595: postnatal adult; Plcb4tm1b(EUCOMM)Wtsi/Plcb4+ (more )
Structure Level Pattern Image Note
TS28: thymus Present UC Davis_1886595

Specimen UC Davis_1886598: postnatal adult; Plcb4tm1b(EUCOMM)Wtsi/Plcb4+ (more )
Structure Level Pattern Image Note
TS28: stomach Present UC Davis_1886598

Specimen UC Davis_1886599: postnatal adult; Plcb4tm1b(EUCOMM)Wtsi/Plcb4+ (more )
Structure Level Pattern Image Note
TS28: stomach Present UC Davis_1886599

Specimen UC Davis_1886600: postnatal adult; Plcb4tm1b(EUCOMM)Wtsi/Plcb4+ (more )
Structure Level Pattern Image Note
TS28: duodenum Present UC Davis_1886600

Specimen UC Davis_1886601: postnatal adult; Plcb4tm1b(EUCOMM)Wtsi/Plcb4+ (more )
Structure Level Pattern Image Note
TS28: jejunum Present UC Davis_1886601

Specimen UC Davis_1886602: postnatal adult; Plcb4tm1b(EUCOMM)Wtsi/Plcb4+ (more )
Structure Level Pattern Image Note
TS28: ileum Present UC Davis_1886602

Specimen UC Davis_1886603: postnatal adult; Plcb4tm1b(EUCOMM)Wtsi/Plcb4+ (more )
Structure Level Pattern Image Note
TS28: colon Present UC Davis_1886603

Specimen UC Davis_1886604: postnatal adult; Plcb4tm1b(EUCOMM)Wtsi/Plcb4+ (more )
Structure Level Pattern Image Note
TS28: colon Present UC Davis_1886604

Specimen UC Davis_1886605: postnatal adult; Plcb4tm1b(EUCOMM)Wtsi/Plcb4+ (more )
Structure Level Pattern Image Note
TS28: cecum Present UC Davis_1886605

Specimen UC Davis_1886606: postnatal adult; Plcb4tm1b(EUCOMM)Wtsi/Plcb4+ (more )
Structure Level Pattern Image Note
TS28: liver Present UC Davis_1886606

Specimen UC Davis_1886607: postnatal adult; Plcb4tm1b(EUCOMM)Wtsi/Plcb4+ (more )
Structure Level Pattern Image Note
TS28: liver Present UC Davis_1886607

Specimen UC Davis_1886608: postnatal adult; Plcb4tm1b(EUCOMM)Wtsi/Plcb4+ (more )
Structure Level Pattern Image Note
TS28: metanephros Present UC Davis_1886608 kidney

Specimen UC Davis_1886609: postnatal adult; Plcb4tm1b(EUCOMM)Wtsi/Plcb4+ (more )
Structure Level Pattern Image Note
TS28: metanephros Present UC Davis_1886609 kidney

Specimen UC Davis_1886610: postnatal adult; Plcb4tm1b(EUCOMM)Wtsi/Plcb4+ (more )
Structure Level Pattern Image Note
TS28: quadriceps femoris muscle Present UC Davis_1886610

Specimen UC Davis_1886611: postnatal adult; Plcb4tm1b(EUCOMM)Wtsi/Plcb4+ (more )
Structure Level Pattern Image Note
TS28: quadriceps femoris muscle Present UC Davis_1886611

Specimen UC Davis_1886612: postnatal adult; Plcb4tm1b(EUCOMM)Wtsi/Plcb4+ (more )
Structure Level Pattern Image Note
TS28: tongue Present UC Davis_1886612

Specimen UC Davis_1886613: postnatal adult; Plcb4tm1b(EUCOMM)Wtsi/Plcb4+ (more )
Structure Level Pattern Image Note
TS28: tongue Present UC Davis_1886613

Specimen UC Davis_1886614: postnatal adult; Plcb4tm1b(EUCOMM)Wtsi/Plcb4+ (more )
Structure Level Pattern Image Note
TS28: tongue Present UC Davis_1886614

Specimen UC Davis_1886615: postnatal adult; Plcb4tm1b(EUCOMM)Wtsi/Plcb4+ (more )
Structure Level Pattern Image Note
TS28: diaphragm Present UC Davis_1886615

Specimen UC Davis_1886616: postnatal adult; Plcb4tm1b(EUCOMM)Wtsi/Plcb4+ (more )
Structure Level Pattern Image Note
TS28: adrenal gland Present UC Davis_1886616

Specimen UC Davis_1886617: postnatal adult; Plcb4tm1b(EUCOMM)Wtsi/Plcb4+ (more )
Structure Level Pattern Image Note
TS28: pituitary gland Present UC Davis_1886617

Specimen UC Davis_1886618: postnatal adult; Plcb4tm1b(EUCOMM)Wtsi/Plcb4+ (more )
Structure Level Pattern Image Note
TS28: spinal cord Present UC Davis_1886618

Specimen UC Davis_1886619: postnatal adult; Plcb4tm1b(EUCOMM)Wtsi/Plcb4+ (more )
Structure Level Pattern Image Note
TS28: eye Present UC Davis_1886619

Specimen UC Davis_1886620: postnatal adult; Plcb4tm1b(EUCOMM)Wtsi/Plcb4+ (more )
Structure Level Pattern Image Note
TS28: eye Present UC Davis_1886620

Specimen UC Davis_1886621: postnatal adult; Plcb4tm1b(EUCOMM)Wtsi/Plcb4+ (more )
Structure Level Pattern Image Note
TS28: eye Present UC Davis_1886621

Specimen UC Davis_1886624: postnatal adult; Plcb4tm1b(EUCOMM)Wtsi/Plcb4+ (more )
Structure Level Pattern Image Note
TS28: Harderian gland Present UC Davis_1886624

Specimen UC Davis_1886625: postnatal adult; Plcb4tm1b(EUCOMM)Wtsi/Plcb4+ (more )
Structure Level Pattern Image Note
TS28: Harderian gland Present UC Davis_1886625

Specimen UC Davis_1886626: postnatal adult; Plcb4tm1b(EUCOMM)Wtsi/Plcb4+ (more )
Structure Level Pattern Image Note
TS28: gonadal fat pad Present UC Davis_1886626

Specimen UC Davis_1886627: postnatal adult; Plcb4tm1b(EUCOMM)Wtsi/Plcb4+ (more )
Structure Level Pattern Image Note
TS28: mesenteric adipose tissue Present UC Davis_1886627

Specimen UC Davis_1886628: postnatal adult; Plcb4tm1b(EUCOMM)Wtsi/Plcb4+ (more )
Structure Level Pattern Image Note
TS28: mesenteric adipose tissue Present UC Davis_1886628

Specimen UC Davis_1886629: postnatal adult; Plcb4tm1b(EUCOMM)Wtsi/Plcb4+ (more )
Structure Level Pattern Image Note
TS28: skin Present UC Davis_1886629

Specimen UC Davis_1886630: postnatal adult; Plcb4tm1b(EUCOMM)Wtsi/Plcb4+ (more )
Structure Level Pattern Image Note
TS28: skin Present UC Davis_1886630

Specimen UC Davis_1886631: postnatal adult; Plcb4tm1b(EUCOMM)Wtsi/Plcb4+ (more )
Structure Level Pattern Image Note
TS28: brown fat Present UC Davis_1886631

Specimen UC Davis_1886632: postnatal adult; Plcb4tm1b(EUCOMM)Wtsi/Plcb4+ (more )
Structure Level Pattern Image Note
TS28: brown fat Present UC Davis_1886632

Specimen UC Davis_1886633: postnatal adult; Plcb4tm1b(EUCOMM)Wtsi/Plcb4+ (more )
Structure Level Pattern Image Note
TS28: olfactory lobe Present UC Davis_1886633

Specimen UC Davis_1886637: postnatal adult; Plcb4tm1b(EUCOMM)Wtsi/Plcb4+ (more )
Structure Level Pattern Image Note
TS28: midbrain Present UC Davis_1886637

Specimen UC Davis_1886640: postnatal adult; Plcb4tm1b(EUCOMM)Wtsi/Plcb4+ (more )
Structure Level Pattern Image Note
TS28: cerebellum Present UC Davis_1886640

Specimen UC Davis_1886641: postnatal adult; Plcb4tm1b(EUCOMM)Wtsi/Plcb4+ (more )
Structure Level Pattern Image Note
TS28: cerebellum Present UC Davis_1886641

Specimen UC Davis_1886642: postnatal adult; Plcb4tm1b(EUCOMM)Wtsi/Plcb4+ (more )
Structure Level Pattern Image Note
TS28: ovary Present UC Davis_1886642

Specimen UC Davis_1886643: postnatal adult; Plcb4tm1b(EUCOMM)Wtsi/Plcb4+ (more )
Structure Level Pattern Image Note
TS28: ovary Present UC Davis_1886643

Specimen UC Davis_1886644: postnatal adult; Plcb4tm1b(EUCOMM)Wtsi/Plcb4+ (more )
Structure Level Pattern Image Note
TS28: oviduct Present UC Davis_1886644

Specimen UC Davis_1886645: postnatal adult; Plcb4tm1b(EUCOMM)Wtsi/Plcb4+ (more )
Structure Level Pattern Image Note
TS28: uterus Present UC Davis_1886645

Specimen UC Davis_1886646: postnatal adult; Plcb4tm1b(EUCOMM)Wtsi/Plcb4+ (more )
Structure Level Pattern Image Note
TS28: uterus Present UC Davis_1886646

Specimen UC Davis_1886647: postnatal adult; Plcb4tm1b(EUCOMM)Wtsi/Plcb4+ (more )
Structure Level Pattern Image Note
TS28: vagina Present UC Davis_1886647

Specimen UC Davis_1886648: postnatal adult; Plcb4tm1b(EUCOMM)Wtsi/Plcb4+ (more )
Structure Level Pattern Image Note
TS28: bladder Present UC Davis_1886648

Specimen UC Davis_1886516: postnatal adult; Plcb4tm1b(EUCOMM)Wtsi/Plcb4+ (more )
Structure Level Pattern Image Note
TS28: submandibular gland Present UC Davis_1886516

Specimen UC Davis_1886517: postnatal adult; Plcb4tm1b(EUCOMM)Wtsi/Plcb4+ (more )
Structure Level Pattern Image Note
TS28: submandibular gland Present UC Davis_1886517

Specimen UC Davis_1886518: postnatal adult; Plcb4tm1b(EUCOMM)Wtsi/Plcb4+ (more )
Structure Level Pattern Image Note
TS28: submandibular gland Present UC Davis_1886518

Specimen UC Davis_1886519: postnatal adult; Plcb4tm1b(EUCOMM)Wtsi/Plcb4+ (more )
Structure Level Pattern Image Note
TS28: sublingual gland Present UC Davis_1886519

Specimen UC Davis_1886520: postnatal adult; Plcb4tm1b(EUCOMM)Wtsi/Plcb4+ (more )
Structure Level Pattern Image Note
TS28: sublingual gland Present UC Davis_1886520

Specimen UC Davis_1886521: postnatal adult; Plcb4tm1b(EUCOMM)Wtsi/Plcb4+ (more )
Structure Level Pattern Image Note
TS28: sublingual gland Present UC Davis_1886521

Specimen UC Davis_1886522: postnatal adult; Plcb4tm1b(EUCOMM)Wtsi/Plcb4+ (more )
Structure Level Pattern Image Note
TS28: parotid gland Present UC Davis_1886522

Specimen UC Davis_1886523: postnatal adult; Plcb4tm1b(EUCOMM)Wtsi/Plcb4+ (more )
Structure Level Pattern Image Note
TS28: parotid gland Present UC Davis_1886523

Specimen UC Davis_1886524: postnatal adult; Plcb4tm1b(EUCOMM)Wtsi/Plcb4+ (more )
Structure Level Pattern Image Note
TS28: parotid gland Present UC Davis_1886524

Specimen UC Davis_1886525: postnatal adult; Plcb4tm1b(EUCOMM)Wtsi/Plcb4+ (more )
Structure Level Pattern Image Note
TS28: trachea Present UC Davis_1886525

Specimen UC Davis_1886526: postnatal adult; Plcb4tm1b(EUCOMM)Wtsi/Plcb4+ (more )
Structure Level Pattern Image Note
TS28: trachea Present UC Davis_1886526

Specimen UC Davis_1886527: postnatal adult; Plcb4tm1b(EUCOMM)Wtsi/Plcb4+ (more )
Structure Level Pattern Image Note
TS28: esophagus Present UC Davis_1886527

Specimen UC Davis_1886528: postnatal adult; Plcb4tm1b(EUCOMM)Wtsi/Plcb4+ (more )
Structure Level Pattern Image Note
TS28: esophagus Present UC Davis_1886528

Specimen UC Davis_1886529: postnatal adult; Plcb4tm1b(EUCOMM)Wtsi/Plcb4+ (more )
Structure Level Pattern Image Note
TS28: esophagus Present UC Davis_1886529

Specimen UC Davis_1886532: postnatal adult; Plcb4tm1b(EUCOMM)Wtsi/Plcb4+ (more )
Structure Level Pattern Image Note
TS28: aorta Present UC Davis_1886532

Specimen UC Davis_1886533: postnatal adult; Plcb4tm1b(EUCOMM)Wtsi/Plcb4+ (more )
Structure Level Pattern Image Note
TS28: aorta Present UC Davis_1886533

Specimen UC Davis_1886534: postnatal adult; Plcb4tm1b(EUCOMM)Wtsi/Plcb4+ (more )
Structure Level Pattern Image Note
TS28: lung Present UC Davis_1886534

Specimen UC Davis_1886535: postnatal adult; Plcb4tm1b(EUCOMM)Wtsi/Plcb4+ (more )
Structure Level Pattern Image Note
TS28: lung Present UC Davis_1886535

Specimen UC Davis_1886538: postnatal adult; Plcb4tm1b(EUCOMM)Wtsi/Plcb4+ (more )
Structure Level Pattern Image Note
TS28: stomach Present UC Davis_1886538

Specimen UC Davis_1886539: postnatal adult; Plcb4tm1b(EUCOMM)Wtsi/Plcb4+ (more )
Structure Level Pattern Image Note
TS28: stomach Present UC Davis_1886539

Specimen UC Davis_1886540: postnatal adult; Plcb4tm1b(EUCOMM)Wtsi/Plcb4+ (more )
Structure Level Pattern Image Note
TS28: ileum Present UC Davis_1886540

Specimen UC Davis_1886541: postnatal adult; Plcb4tm1b(EUCOMM)Wtsi/Plcb4+ (more )
Structure Level Pattern Image Note
TS28: colon Present UC Davis_1886541

Specimen UC Davis_1886542: postnatal adult; Plcb4tm1b(EUCOMM)Wtsi/Plcb4+ (more )
Structure Level Pattern Image Note
TS28: colon Present UC Davis_1886542

Specimen UC Davis_1886543: postnatal adult; Plcb4tm1b(EUCOMM)Wtsi/Plcb4+ (more )
Structure Level Pattern Image Note
TS28: colon Present UC Davis_1886543

Specimen UC Davis_1886544: postnatal adult; Plcb4tm1b(EUCOMM)Wtsi/Plcb4+ (more )
Structure Level Pattern Image Note
TS28: metanephros Present UC Davis_1886544 kidney

Specimen UC Davis_1886545: postnatal adult; Plcb4tm1b(EUCOMM)Wtsi/Plcb4+ (more )
Structure Level Pattern Image Note
TS28: metanephros Present UC Davis_1886545 kidney

Specimen UC Davis_1886546: postnatal adult; Plcb4tm1b(EUCOMM)Wtsi/Plcb4+ (more )
Structure Level Pattern Image Note
TS28: quadriceps femoris muscle Present UC Davis_1886546

Specimen UC Davis_1886547: postnatal adult; Plcb4tm1b(EUCOMM)Wtsi/Plcb4+ (more )
Structure Level Pattern Image Note
TS28: quadriceps femoris muscle Present UC Davis_1886547

Specimen UC Davis_1886548: postnatal adult; Plcb4tm1b(EUCOMM)Wtsi/Plcb4+ (more )
Structure Level Pattern Image Note
TS28: quadriceps femoris muscle Present UC Davis_1886548

Specimen UC Davis_1886549: postnatal adult; Plcb4tm1b(EUCOMM)Wtsi/Plcb4+ (more )
Structure Level Pattern Image Note
TS28: tongue Present UC Davis_1886549

Specimen UC Davis_1886550: postnatal adult; Plcb4tm1b(EUCOMM)Wtsi/Plcb4+ (more )
Structure Level Pattern Image Note
TS28: tongue Present UC Davis_1886550

Specimen UC Davis_1886551: postnatal adult; Plcb4tm1b(EUCOMM)Wtsi/Plcb4+ (more )
Structure Level Pattern Image Note
TS28: tongue Present UC Davis_1886551

Specimen UC Davis_1886552: postnatal adult; Plcb4tm1b(EUCOMM)Wtsi/Plcb4+ (more )
Structure Level Pattern Image Note
TS28: adrenal gland Present UC Davis_1886552

Specimen UC Davis_1886553: postnatal adult; Plcb4tm1b(EUCOMM)Wtsi/Plcb4+ (more )
Structure Level Pattern Image Note
TS28: pituitary gland Present UC Davis_1886553

Specimen UC Davis_1886554: postnatal adult; Plcb4tm1b(EUCOMM)Wtsi/Plcb4+ (more )
Structure Level Pattern Image Note
TS28: eye Present UC Davis_1886554

Specimen UC Davis_1886555: postnatal adult; Plcb4tm1b(EUCOMM)Wtsi/Plcb4+ (more )
Structure Level Pattern Image Note
TS28: Harderian gland Present UC Davis_1886555

Specimen UC Davis_1886556: postnatal adult; Plcb4tm1b(EUCOMM)Wtsi/Plcb4+ (more )
Structure Level Pattern Image Note
TS28: Harderian gland Present UC Davis_1886556

Specimen UC Davis_1886557: postnatal adult; Plcb4tm1b(EUCOMM)Wtsi/Plcb4+ (more )
Structure Level Pattern Image Note
TS28: Harderian gland Present UC Davis_1886557

Specimen UC Davis_1886558: postnatal adult; Plcb4tm1b(EUCOMM)Wtsi/Plcb4+ (more )
Structure Level Pattern Image Note
TS28: skin Present UC Davis_1886558

Specimen UC Davis_1886559: postnatal adult; Plcb4tm1b(EUCOMM)Wtsi/Plcb4+ (more )
Structure Level Pattern Image Note
TS28: skin Present UC Davis_1886559

Specimen UC Davis_1886560: postnatal adult; Plcb4tm1b(EUCOMM)Wtsi/Plcb4+ (more )
Structure Level Pattern Image Note
TS28: skin Present UC Davis_1886560

Specimen UC Davis_1886561: postnatal adult; Plcb4tm1b(EUCOMM)Wtsi/Plcb4+ (more )
Structure Level Pattern Image Note
TS28: olfactory lobe Present UC Davis_1886561

Specimen UC Davis_1886564: postnatal adult; Plcb4tm1b(EUCOMM)Wtsi/Plcb4+ (more )
Structure Level Pattern Image Note
TS28: midbrain Present UC Davis_1886564

Specimen UC Davis_1886565: postnatal adult; Plcb4tm1b(EUCOMM)Wtsi/Plcb4+ (more )
Structure Level Pattern Image Note
TS28: midbrain Present UC Davis_1886565

Specimen UC Davis_1886568: postnatal adult; Plcb4tm1b(EUCOMM)Wtsi/Plcb4+ (more )
Structure Level Pattern Image Note
TS28: cerebellum Present UC Davis_1886568

Specimen UC Davis_1886569: postnatal adult; Plcb4tm1b(EUCOMM)Wtsi/Plcb4+ (more )
Structure Level Pattern Image Note
TS28: bladder Present UC Davis_1886569

Specimen UC Davis_1886570: postnatal adult; Plcb4tm1b(EUCOMM)Wtsi/Plcb4+ (more )
Structure Level Pattern Image Note
TS28: bladder Present UC Davis_1886570

Specimen UC Davis_1886571: postnatal adult; Plcb4tm1b(EUCOMM)Wtsi/Plcb4+ (more )
Structure Level Pattern Image Note
TS28: bladder Present UC Davis_1886571

Specimen UC Davis_1886572: postnatal adult; Plcb4tm1b(EUCOMM)Wtsi/Plcb4+ (more )
Structure Level Pattern Image Note
TS28: testis Present UC Davis_1886572

Specimen UC Davis_1886573: postnatal adult; Plcb4tm1b(EUCOMM)Wtsi/Plcb4+ (more )
Structure Level Pattern Image Note
TS28: testis Present UC Davis_1886573

Specimen UC Davis_1886574: postnatal adult; Plcb4tm1b(EUCOMM)Wtsi/Plcb4+ (more )
Structure Level Pattern Image Note
TS28: epididymis Present UC Davis_1886574

Specimen UC Davis_1886575: postnatal adult; Plcb4tm1b(EUCOMM)Wtsi/Plcb4+ (more )
Structure Level Pattern Image Note
TS28: epididymis Present UC Davis_1886575

Specimen UC Davis_1886576: postnatal adult; Plcb4tm1b(EUCOMM)Wtsi/Plcb4+ (more )
Structure Level Pattern Image Note
TS28: prostate gland Present UC Davis_1886576

Specimen UC Davis_1886577: postnatal adult; Plcb4tm1b(EUCOMM)Wtsi/Plcb4+ (more )
Structure Level Pattern Image Note
TS28: prostate gland Present UC Davis_1886577

Specimen UC Davis_1886578: postnatal adult; Plcb4tm1b(EUCOMM)Wtsi/Plcb4+ (more )
Structure Level Pattern Image Note
TS28: penis Present UC Davis_1886578

Specimen UC Davis_1886579: postnatal adult; Plcb4tm1b(EUCOMM)Wtsi/Plcb4+ (more )
Structure Level Pattern Image Note
TS28: penis Present UC Davis_1886579

Specimen UC Davis_1886582: postnatal adult; Plcb4tm1b(EUCOMM)Wtsi/Plcb4+ (more )
Structure Level Pattern Image Note
TS28: ductus deferens Present UC Davis_1886582 vas deferens

Specimen UC Davis_1886587: postnatal adult; Plcb4tm1b(EUCOMM)Wtsi/Plcb4+ (more )
Structure Level Pattern Image Note
TS28: seminal vesicle Present UC Davis_1886587 vesicular gland

Specimen UC Davis_1886588: postnatal adult; Plcb4tm1b(EUCOMM)Wtsi/Plcb4+ (more )
Structure Level Pattern Image Note
TS28: seminal vesicle Present UC Davis_1886588 vesicular gland

Specimen UC Davis_1886589: postnatal adult; Plcb4tm1b(EUCOMM)Wtsi/Plcb4+ (more )
Structure Level Pattern Image Note
TS28: seminal vesicle Present UC Davis_1886589 vesicular gland


Contributing Projects:
Mouse Genome Database (MGD), Gene Expression Database (GXD), Mouse Models of Human Cancer database (MMHCdb) (formerly Mouse Tumor Biology (MTB)), Gene Ontology (GO)
Citing These Resources
Funding Information
Warranty Disclaimer, Privacy Notice, Licensing, & Copyright
Send questions and comments to User Support.
last database update
01/20/2026
MGI 6.24
The Jackson Laboratory