About   Help   FAQ
Gene Expression Data
Assay Details
Assay
Reference: J:228563 Koscielny G, et al., The International Mouse Phenotyping Consortium Web Portal, a unified point of access for knockout mice and related phenotyping data. Nucleic Acids Res. 2014 Jan;42(Database issue):D802-9
Assay type: In situ reporter (knock in)
MGI Accession ID: MGI:6691089
Gene symbol: Slc50a1
Gene name: solute carrier family 50 (sugar transporter), member 1
Reporter: lacZ
Direct Detection
Results
Specimen JAX_1263337: embryonic day 12.5; Slc50a1tm1.1(KOMP)Vlcg/Slc50a1+ (more )
Structure Level Pattern Image Note
TS20: embryo Present JAX_1263337

Specimen JAX_1263339: embryonic day 12.5; Slc50a1tm1.1(KOMP)Vlcg/Slc50a1+ (more )
Structure Level Pattern Image Note
TS20: embryo Present JAX_1263339

Specimen JAX_1263341: embryonic day 12.5; Slc50a1tm1.1(KOMP)Vlcg/Slc50a1+ (more )
Structure Level Pattern Image Note
TS20: embryo Present JAX_1263341

Specimen JAX_1263343: embryonic day 12.5; Slc50a1tm1.1(KOMP)Vlcg/Slc50a1+ (more )
Structure Level Pattern Image Note
TS20: embryo Present JAX_1263343

Specimen JAX_1263353: embryonic day 12.5; Slc50a1tm1.1(KOMP)Vlcg/Slc50a1+ (more )
Structure Level Pattern Image Note
TS20: embryo Present JAX_1263353

Specimen JAX_1263355: embryonic day 12.5; Slc50a1tm1.1(KOMP)Vlcg/Slc50a1+ (more )
Structure Level Pattern Image Note
TS20: embryo Present JAX_1263355

Specimen JAX_1263357: embryonic day 12.5; Slc50a1tm1.1(KOMP)Vlcg/Slc50a1+ (more )
Structure Level Pattern Image Note
TS20: embryo Present JAX_1263357

Specimen JAX_1263359: embryonic day 12.5; Slc50a1tm1.1(KOMP)Vlcg/Slc50a1+ (more )
Structure Level Pattern Image Note
TS20: embryo Present JAX_1263359

Specimen JAX_1522060: postnatal adult; Slc50a1tm1.1(KOMP)Vlcg/Slc50a1+ (more )
Structure Level Pattern Image Note
TS28: vascular system Present JAX_1522060

Specimen JAX_1522061: postnatal adult; Slc50a1tm1.1(KOMP)Vlcg/Slc50a1+ (more )
Structure Level Pattern Image Note
TS28: bladder Ambiguous JAX_1522061

Specimen JAX_1522062: postnatal adult; Slc50a1tm1.1(KOMP)Vlcg/Slc50a1+ (more )
Structure Level Pattern Image Note
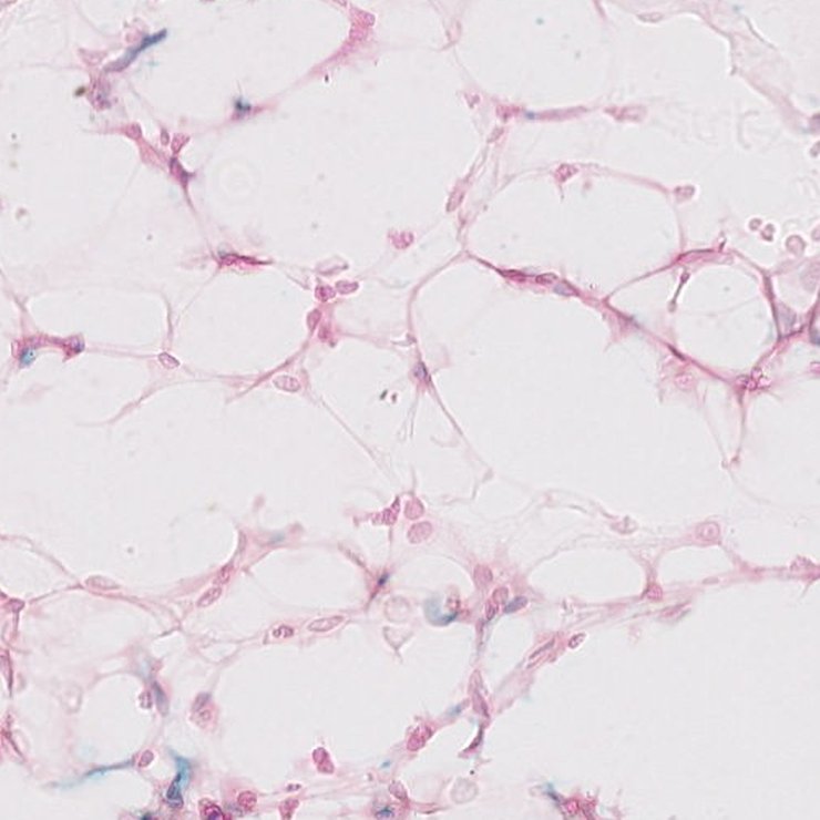
TS28: peripheral nervous system Present JAX_1522062

Specimen JAX_1522063: postnatal adult; Slc50a1tm1.1(KOMP)Vlcg/Slc50a1+ (more )
Structure Level Pattern Image Note
TS28: pituitary gland Present JAX_1522063

Specimen JAX_1522064: postnatal adult; Slc50a1tm1.1(KOMP)Vlcg/Slc50a1+ (more )
Structure Level Pattern Image Note
TS28: spinal cord Present JAX_1522064

Specimen JAX_1522065: postnatal adult; Slc50a1tm1.1(KOMP)Vlcg/Slc50a1+ (more )
Structure Level Pattern Image Note
TS28: esophagus Present JAX_1522065

Specimen JAX_1522066: postnatal adult; Slc50a1tm1.1(KOMP)Vlcg/Slc50a1+ (more )
Structure Level Pattern Image Note
TS28: uterus Present JAX_1522066

Specimen JAX_1522067: postnatal adult; Slc50a1tm1.1(KOMP)Vlcg/Slc50a1+ (more )
Structure Level Pattern Image Note
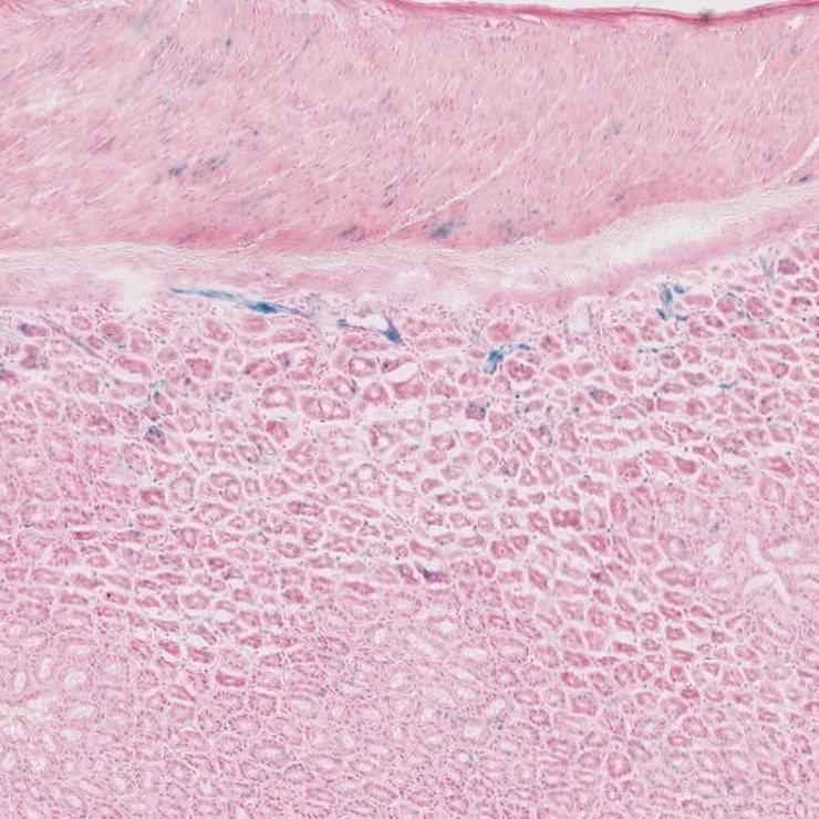
TS28: stomach Present JAX_1522067

Specimen JAX_1522069: postnatal adult; Slc50a1tm1.1(KOMP)Vlcg/Slc50a1+ (more )
Structure Level Pattern Image Note
TS28: ovary Present JAX_1522069

Specimen JAX_1522070: postnatal adult; Slc50a1tm1.1(KOMP)Vlcg/Slc50a1+ (more )
Structure Level Pattern Image Note
TS28: mammary gland Present JAX_1522070

Specimen JAX_1522072: postnatal adult; Slc50a1tm1.1(KOMP)Vlcg/Slc50a1+ (more )
Structure Level Pattern Image Note
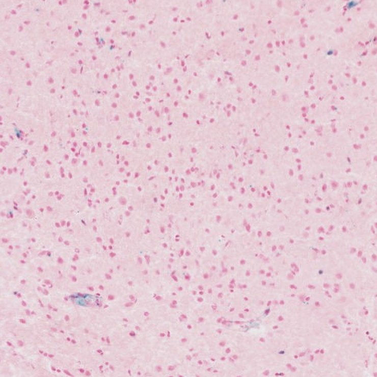
TS28: thalamus Present JAX_1522072

Specimen JAX_1522073: postnatal adult; Slc50a1tm1.1(KOMP)Vlcg/Slc50a1+ (more )
Structure Level Pattern Image Note
TS28: midbrain Present JAX_1522073

Specimen JAX_1522074: postnatal adult; Slc50a1tm1.1(KOMP)Vlcg/Slc50a1+ (more )
Structure Level Pattern Image Note
TS28: epididymis Present JAX_1522074

Specimen JAX_1522075: postnatal adult; Slc50a1tm1.1(KOMP)Vlcg/Slc50a1+ (more )
Structure Level Pattern Image Note
TS28: submandibular gland Present JAX_1522075

Specimen JAX_1522076: postnatal adult; Slc50a1tm1.1(KOMP)Vlcg/Slc50a1+ (more )
Structure Level Pattern Image Note
TS28: brown fat Present JAX_1522076

Specimen JAX_1522077: postnatal adult; Slc50a1tm1.1(KOMP)Vlcg/Slc50a1+ (more )
Structure Level Pattern Image Note
TS28: corpus striatum Present JAX_1522077

Specimen JAX_1522078: postnatal adult; Slc50a1tm1.1(KOMP)Vlcg/Slc50a1+ (more )
Structure Level Pattern Image Note
TS28: olfactory lobe Present JAX_1522078

Specimen JAX_1522080: postnatal adult; Slc50a1tm1.1(KOMP)Vlcg/Slc50a1+ (more )
Structure Level Pattern Image Note
TS28: hippocampus Present JAX_1522080

Specimen JAX_1522081: postnatal adult; Slc50a1tm1.1(KOMP)Vlcg/Slc50a1+ (more )
Structure Level Pattern Image Note
TS28: cerebellum Present JAX_1522081

Specimen JAX_1522083: postnatal adult; Slc50a1tm1.1(KOMP)Vlcg/Slc50a1+ (more )
Structure Level Pattern Image Note
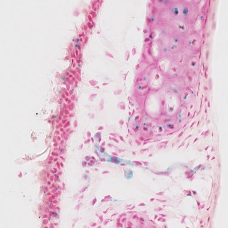
TS28: cartilage Present JAX_1522083

Specimen JAX_1522084: postnatal adult; Slc50a1tm1.1(KOMP)Vlcg/Slc50a1+ (more )
Structure Level Pattern Image Note
TS28: brainstem Present JAX_1522084

Specimen JAX_1522085: postnatal adult; Slc50a1tm1.1(KOMP)Vlcg/Slc50a1+ (more )
Structure Level Pattern Image Note
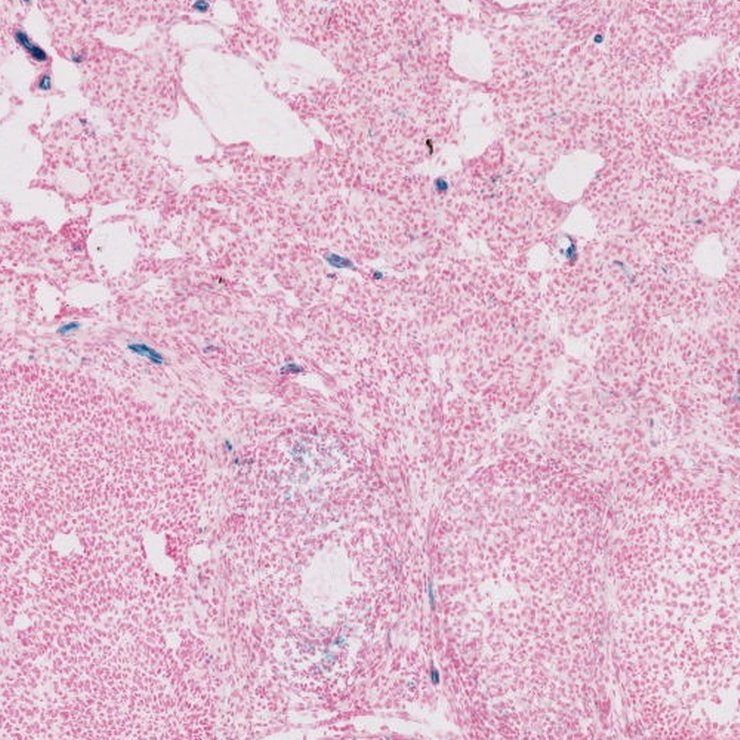
TS28: spleen Present JAX_1522085

Specimen JAX_1522086: postnatal adult; Slc50a1tm1.1(KOMP)Vlcg/Slc50a1+ (more )
Structure Level Pattern Image Note
TS28: pancreas Present JAX_1522086

Specimen JAX_1522087: postnatal adult; Slc50a1tm1.1(KOMP)Vlcg/Slc50a1+ (more )
Structure Level Pattern Image Note
TS28: aorta Present JAX_1522087

Specimen JAX_1522088: postnatal adult; Slc50a1tm1.1(KOMP)Vlcg/Slc50a1+ (more )
Structure Level Pattern Image Note
TS28: lung Present JAX_1522088

Specimen JAX_1522089: postnatal adult; Slc50a1tm1.1(KOMP)Vlcg/Slc50a1+ (more )
Structure Level Pattern Image Note
TS28: white fat Present JAX_1522089

Specimen JAX_1522090: postnatal adult; Slc50a1tm1.1(KOMP)Vlcg/Slc50a1+ (more )
Structure Level Pattern Image Note
TS28: small intestine Present JAX_1522090

Specimen JAX_1522091: postnatal adult; Slc50a1tm1.1(KOMP)Vlcg/Slc50a1+ (more )
Structure Level Pattern Image Note
TS28: thyroid gland Present JAX_1522091

Specimen JAX_1522092: postnatal adult; Slc50a1tm1.1(KOMP)Vlcg/Slc50a1+ (more )
Structure Level Pattern Image Note
TS28: large intestine Present JAX_1522092

Specimen JAX_1522093: postnatal adult; Slc50a1tm1.1(KOMP)Vlcg/Slc50a1+ (more )
Structure Level Pattern Image Note
TS28: trachea Present JAX_1522093

Specimen JAX_1522094: postnatal adult; Slc50a1tm1.1(KOMP)Vlcg/Slc50a1+ (more )
Structure Level Pattern Image Note
TS28: thymus Present JAX_1522094

Specimen JAX_1522095: postnatal adult; Slc50a1tm1.1(KOMP)Vlcg/Slc50a1+ (more )
Structure Level Pattern Image Note
TS28: testis Present JAX_1522095

Specimen JAX_1522096: postnatal adult; Slc50a1tm1.1(KOMP)Vlcg/Slc50a1+ (more )
Structure Level Pattern Image Note
TS28: skin Present JAX_1522096

Specimen JAX_1522097: postnatal adult; Slc50a1tm1.1(KOMP)Vlcg/Slc50a1+ (more )
Structure Level Pattern Image Note
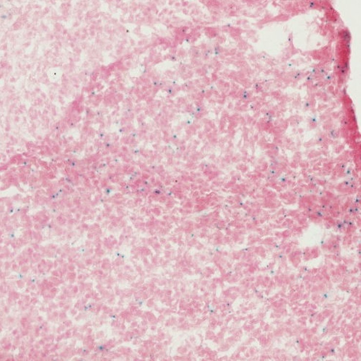
TS28: liver Present JAX_1522097

Specimen JAX_1522098: postnatal adult; Slc50a1tm1.1(KOMP)Vlcg/Slc50a1+ (more )
Structure Level Pattern Image Note
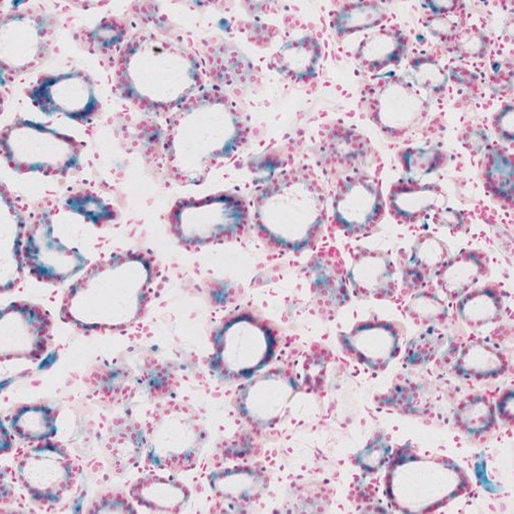
TS28: metanephros Present JAX_1522098 kidney

Specimen JAX_1522099: postnatal adult; Slc50a1tm1.1(KOMP)Vlcg/Slc50a1+ (more )
Structure Level Pattern Image Note
TS28: heart Present JAX_1522099

Specimen JAX_1522100: postnatal adult; Slc50a1tm1.1(KOMP)Vlcg/Slc50a1+ (more )
Structure Level Pattern Image Note
TS28: eye Present JAX_1522100

Specimen JAX_1522101: postnatal adult; Slc50a1tm1.1(KOMP)Vlcg/Slc50a1+ (more )
Structure Level Pattern Image Note
TS28: brain Present JAX_1522101

Specimen JAX_1522102: postnatal adult; Slc50a1tm1.1(KOMP)Vlcg/Slc50a1+ (more )
Structure Level Pattern Image Note
TS28: adrenal gland Present JAX_1522102


Contributing Projects:
Mouse Genome Database (MGD), Gene Expression Database (GXD), Mouse Models of Human Cancer database (MMHCdb) (formerly Mouse Tumor Biology (MTB)), Gene Ontology (GO)
Citing These Resources
Funding Information
Warranty Disclaimer, Privacy Notice, Licensing, & Copyright
Send questions and comments to User Support.
last database update
01/20/2026
MGI 6.24
The Jackson Laboratory