About   Help   FAQ
Gene Expression Data
Assay Details
Assay
Reference: J:228563 Koscielny G, et al., The International Mouse Phenotyping Consortium Web Portal, a unified point of access for knockout mice and related phenotyping data. Nucleic Acids Res. 2014 Jan;42(Database issue):D802-9
Assay type: In situ reporter (knock in)
MGI Accession ID: MGI:6691088
Gene symbol: Tnfsf10
Gene name: tumor necrosis factor (ligand) superfamily, member 10
Reporter: lacZ
Direct Detection
Results
Specimen UC Davis_1878993: postnatal adult; Tnfsf10tm1b(KOMP)Wtsi/Tnfsf10+ (more )
Structure Level Pattern Image Note
TS28: esophagus Present UC Davis_1878993

Specimen UC Davis_1878994: postnatal adult; Tnfsf10tm1b(KOMP)Wtsi/Tnfsf10+ (more )
Structure Level Pattern Image Note
TS28: mesenteric lymph node Present UC Davis_1878994

Specimen UC Davis_1878995: postnatal adult; Tnfsf10tm1b(KOMP)Wtsi/Tnfsf10+ (more )
Structure Level Pattern Image Note
TS28: mesenteric lymph node Present UC Davis_1878995

Specimen UC Davis_1878996: postnatal adult; Tnfsf10tm1b(KOMP)Wtsi/Tnfsf10+ (more )
Structure Level Pattern Image Note
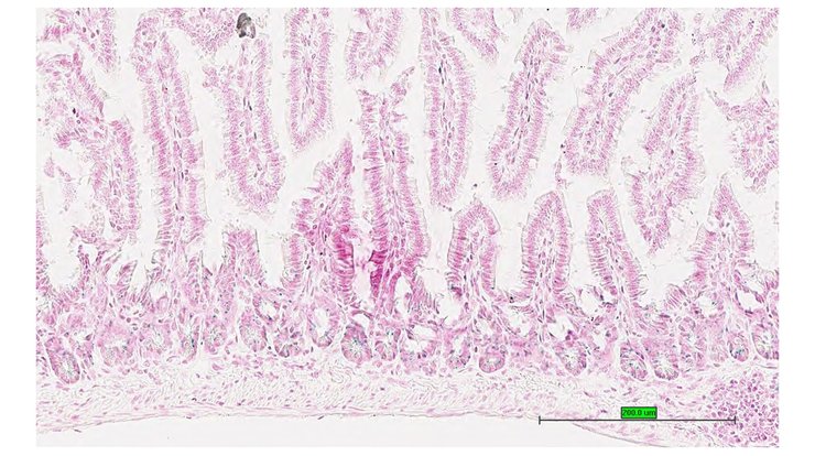
TS28: ileum Present UC Davis_1878996

Specimen UC Davis_1878997: postnatal adult; Tnfsf10tm1b(KOMP)Wtsi/Tnfsf10+ (more )
Structure Level Pattern Image Note
TS28: ileum Present UC Davis_1878997

Specimen UC Davis_1878998: postnatal adult; Tnfsf10tm1b(KOMP)Wtsi/Tnfsf10+ (more )
Structure Level Pattern Image Note
TS28: colon Present UC Davis_1878998

Specimen UC Davis_1878999: postnatal adult; Tnfsf10tm1b(KOMP)Wtsi/Tnfsf10+ (more )
Structure Level Pattern Image Note
TS28: metanephros Present UC Davis_1878999 kidney

Specimen UC Davis_1879000: postnatal adult; Tnfsf10tm1b(KOMP)Wtsi/Tnfsf10+ (more )
Structure Level Pattern Image Note
TS28: metanephros Present UC Davis_1879000 kidney

Specimen UC Davis_1879001: postnatal adult; Tnfsf10tm1b(KOMP)Wtsi/Tnfsf10+ (more )
Structure Level Pattern Image Note
TS28: metanephros Present UC Davis_1879001 kidney

Specimen UC Davis_1879002: postnatal adult; Tnfsf10tm1b(KOMP)Wtsi/Tnfsf10+ (more )
Structure Level Pattern Image Note
TS28: tongue Present UC Davis_1879002

Specimen UC Davis_1879003: postnatal adult; Tnfsf10tm1b(KOMP)Wtsi/Tnfsf10+ (more )
Structure Level Pattern Image Note
TS28: tongue Present UC Davis_1879003

Specimen UC Davis_1879004: postnatal adult; Tnfsf10tm1b(KOMP)Wtsi/Tnfsf10+ (more )
Structure Level Pattern Image Note
TS28: oviduct Present UC Davis_1879004

Specimen UC Davis_1879005: postnatal adult; Tnfsf10tm1b(KOMP)Wtsi/Tnfsf10+ (more )
Structure Level Pattern Image Note
TS28: uterus Present UC Davis_1879005

Specimen UC Davis_1879006: postnatal adult; Tnfsf10tm1b(KOMP)Wtsi/Tnfsf10+ (more )
Structure Level Pattern Image Note
TS28: uterus Present UC Davis_1879006

Specimen UC Davis_1879007: postnatal adult; Tnfsf10tm1b(KOMP)Wtsi/Tnfsf10+ (more )
Structure Level Pattern Image Note
TS28: vagina Present UC Davis_1879007

Specimen UC Davis_1879008: postnatal adult; Tnfsf10tm1b(KOMP)Wtsi/Tnfsf10+ (more )
Structure Level Pattern Image Note
TS28: vagina Present UC Davis_1879008

Specimen UC Davis_1879009: postnatal adult; Tnfsf10tm1b(KOMP)Wtsi/Tnfsf10+ (more )
Structure Level Pattern Image Note
TS28: bladder Present UC Davis_1879009

Specimen UC Davis_1879010: postnatal adult; Tnfsf10tm1b(KOMP)Wtsi/Tnfsf10+ (more )
Structure Level Pattern Image Note
TS28: esophagus Present UC Davis_1879010

Specimen UC Davis_1879011: postnatal adult; Tnfsf10tm1b(KOMP)Wtsi/Tnfsf10+ (more )
Structure Level Pattern Image Note
TS28: esophagus Present UC Davis_1879011

Specimen UC Davis_1879014: postnatal adult; Tnfsf10tm1b(KOMP)Wtsi/Tnfsf10+ (more )
Structure Level Pattern Image Note
TS28: duodenum Present UC Davis_1879014

Specimen UC Davis_1879015: postnatal adult; Tnfsf10tm1b(KOMP)Wtsi/Tnfsf10+ (more )
Structure Level Pattern Image Note
TS28: duodenum Present UC Davis_1879015

Specimen UC Davis_1879016: postnatal adult; Tnfsf10tm1b(KOMP)Wtsi/Tnfsf10+ (more )
Structure Level Pattern Image Note
TS28: jejunum Present UC Davis_1879016

Specimen UC Davis_1879017: postnatal adult; Tnfsf10tm1b(KOMP)Wtsi/Tnfsf10+ (more )
Structure Level Pattern Image Note
TS28: jejunum Present UC Davis_1879017

Specimen UC Davis_1879018: postnatal adult; Tnfsf10tm1b(KOMP)Wtsi/Tnfsf10+ (more )
Structure Level Pattern Image Note
TS28: ileum Absent UC Davis_1879018

Specimen UC Davis_1879019: postnatal adult; Tnfsf10tm1b(KOMP)Wtsi/Tnfsf10+ (more )
Structure Level Pattern Image Note
TS28: ileum Absent UC Davis_1879019

Specimen UC Davis_1879020: postnatal adult; Tnfsf10tm1b(KOMP)Wtsi/Tnfsf10+ (more )
Structure Level Pattern Image Note
TS28: metanephros Present UC Davis_1879020 kidney

Specimen UC Davis_1879021: postnatal adult; Tnfsf10tm1b(KOMP)Wtsi/Tnfsf10+ (more )
Structure Level Pattern Image Note
TS28: metanephros Present UC Davis_1879021 kidney

Specimen UC Davis_1879022: postnatal adult; Tnfsf10tm1b(KOMP)Wtsi/Tnfsf10+ (more )
Structure Level Pattern Image Note
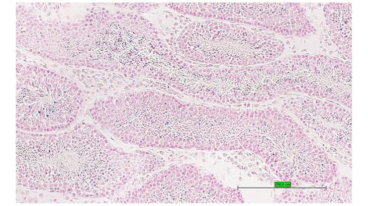
TS28: testis Present UC Davis_1879022

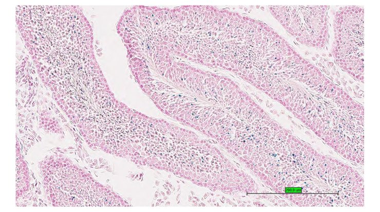
Specimen UC Davis_1879023: postnatal adult; Tnfsf10tm1b(KOMP)Wtsi/Tnfsf10+ (more )
Structure Level Pattern Image Note
TS28: testis Present UC Davis_1879023

Specimen UC Davis_1879024: postnatal adult; Tnfsf10tm1b(KOMP)Wtsi/Tnfsf10+ (more )
Structure Level Pattern Image Note
TS28: epididymis Present UC Davis_1879024

Specimen UC Davis_1879025: postnatal adult; Tnfsf10tm1b(KOMP)Wtsi/Tnfsf10+ (more )
Structure Level Pattern Image Note
TS28: epididymis Present UC Davis_1879025

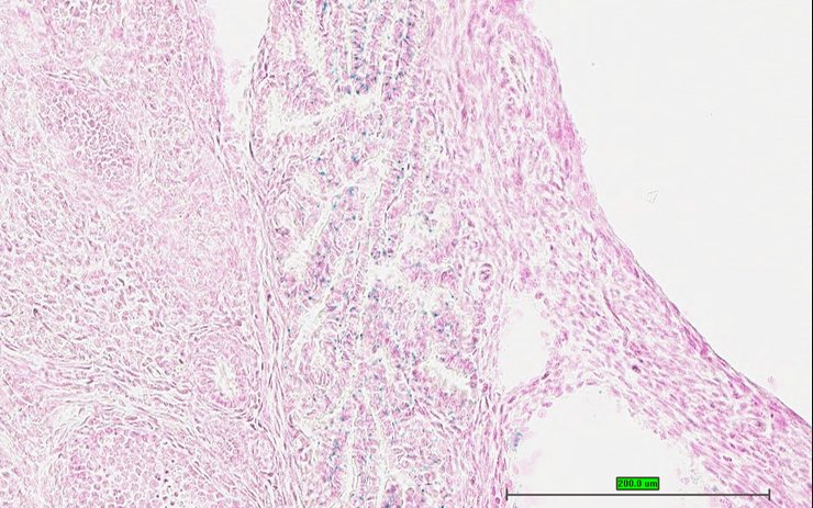
Specimen UC Davis_1879026: postnatal adult; Tnfsf10tm1b(KOMP)Wtsi/Tnfsf10+ (more )
Structure Level Pattern Image Note
TS28: prostate gland Present UC Davis_1879026

Specimen UC Davis_1879027: postnatal adult; Tnfsf10tm1b(KOMP)Wtsi/Tnfsf10+ (more )
Structure Level Pattern Image Note
TS28: ductus deferens Present UC Davis_1879027 vas deferens


Contributing Projects:
Mouse Genome Database (MGD), Gene Expression Database (GXD), Mouse Models of Human Cancer database (MMHCdb) (formerly Mouse Tumor Biology (MTB)), Gene Ontology (GO)
Citing These Resources
Funding Information
Warranty Disclaimer, Privacy Notice, Licensing, & Copyright
Send questions and comments to User Support.
last database update
01/20/2026
MGI 6.24
The Jackson Laboratory