About   Help   FAQ
Gene Expression Data
Assay Details
Assay
Reference: J:228563 Koscielny G, et al., The International Mouse Phenotyping Consortium Web Portal, a unified point of access for knockout mice and related phenotyping data. Nucleic Acids Res. 2014 Jan;42(Database issue):D802-9
Assay type: In situ reporter (knock in)
MGI Accession ID: MGI:6691066
Gene symbol: Mbd6
Gene name: methyl-CpG binding domain protein 6
Reporter: lacZ
Direct Detection
Results
Specimen UC Davis_1867028: postnatal adult; Mbd6tm1.1(KOMP)Vlcg/Mbd6+ (more )
Structure Level Pattern Image Note
TS28: submandibular gland Present UC Davis_1867028

Specimen UC Davis_1867029: postnatal adult; Mbd6tm1.1(KOMP)Vlcg/Mbd6+ (more )
Structure Level Pattern Image Note
TS28: submandibular gland Present UC Davis_1867029

Specimen UC Davis_1867030: postnatal adult; Mbd6tm1.1(KOMP)Vlcg/Mbd6+ (more )
Structure Level Pattern Image Note
TS28: sublingual gland Present UC Davis_1867030

Specimen UC Davis_1867031: postnatal adult; Mbd6tm1.1(KOMP)Vlcg/Mbd6+ (more )
Structure Level Pattern Image Note
TS28: sublingual gland Present UC Davis_1867031

Specimen UC Davis_1867032: postnatal adult; Mbd6tm1.1(KOMP)Vlcg/Mbd6+ (more )
Structure Level Pattern Image Note
TS28: parotid gland Present UC Davis_1867032

Specimen UC Davis_1867033: postnatal adult; Mbd6tm1.1(KOMP)Vlcg/Mbd6+ (more )
Structure Level Pattern Image Note
TS28: trachea Present UC Davis_1867033

Specimen UC Davis_1867034: postnatal adult; Mbd6tm1.1(KOMP)Vlcg/Mbd6+ (more )
Structure Level Pattern Image Note
TS28: trachea Present UC Davis_1867034

Specimen UC Davis_1867035: postnatal adult; Mbd6tm1.1(KOMP)Vlcg/Mbd6+ (more )
Structure Level Pattern Image Note
TS28: trachea Present UC Davis_1867035

Specimen UC Davis_1867036: postnatal adult; Mbd6tm1.1(KOMP)Vlcg/Mbd6+ (more )
Structure Level Pattern Image Note
TS28: trachea Present UC Davis_1867036

Specimen UC Davis_1867037: postnatal adult; Mbd6tm1.1(KOMP)Vlcg/Mbd6+ (more )
Structure Level Pattern Image Note
TS28: esophagus Present UC Davis_1867037

Specimen UC Davis_1867038: postnatal adult; Mbd6tm1.1(KOMP)Vlcg/Mbd6+ (more )
Structure Level Pattern Image Note
TS28: esophagus Present UC Davis_1867038

Specimen UC Davis_1867039: postnatal adult; Mbd6tm1.1(KOMP)Vlcg/Mbd6+ (more )
Structure Level Pattern Image Note
TS28: thyroid gland Present UC Davis_1867039

Specimen UC Davis_1867040: postnatal adult; Mbd6tm1.1(KOMP)Vlcg/Mbd6+ (more )
Structure Level Pattern Image Note
TS28: parathyroid gland Present UC Davis_1867040

Specimen UC Davis_1867041: postnatal adult; Mbd6tm1.1(KOMP)Vlcg/Mbd6+ (more )
Structure Level Pattern Image Note
TS28: lung Present UC Davis_1867041

Specimen UC Davis_1867042: postnatal adult; Mbd6tm1.1(KOMP)Vlcg/Mbd6+ (more )
Structure Level Pattern Image Note
TS28: thymus Present UC Davis_1867042

Specimen UC Davis_1867046: postnatal adult; Mbd6tm1.1(KOMP)Vlcg/Mbd6+ (more )
Structure Level Pattern Image Note
TS28: stomach Present UC Davis_1867046

Specimen UC Davis_1867047: postnatal adult; Mbd6tm1.1(KOMP)Vlcg/Mbd6+ (more )
Structure Level Pattern Image Note
TS28: stomach Present UC Davis_1867047

Specimen UC Davis_1867048: postnatal adult; Mbd6tm1.1(KOMP)Vlcg/Mbd6+ (more )
Structure Level Pattern Image Note
TS28: duodenum Present UC Davis_1867048

Specimen UC Davis_1867049: postnatal adult; Mbd6tm1.1(KOMP)Vlcg/Mbd6+ (more )
Structure Level Pattern Image Note
TS28: duodenum Present UC Davis_1867049

Specimen UC Davis_1867050: postnatal adult; Mbd6tm1.1(KOMP)Vlcg/Mbd6+ (more )
Structure Level Pattern Image Note
TS28: ileum Absent UC Davis_1867050

Specimen UC Davis_1867051: postnatal adult; Mbd6tm1.1(KOMP)Vlcg/Mbd6+ (more )
Structure Level Pattern Image Note
TS28: colon Present UC Davis_1867051

Specimen UC Davis_1867052: postnatal adult; Mbd6tm1.1(KOMP)Vlcg/Mbd6+ (more )
Structure Level Pattern Image Note
TS28: colon Present UC Davis_1867052

Specimen UC Davis_1867053: postnatal adult; Mbd6tm1.1(KOMP)Vlcg/Mbd6+ (more )
Structure Level Pattern Image Note
TS28: cecum Present UC Davis_1867053

Specimen UC Davis_1867054: postnatal adult; Mbd6tm1.1(KOMP)Vlcg/Mbd6+ (more )
Structure Level Pattern Image Note
TS28: cecum Present UC Davis_1867054

Specimen UC Davis_1867055: postnatal adult; Mbd6tm1.1(KOMP)Vlcg/Mbd6+ (more )
Structure Level Pattern Image Note
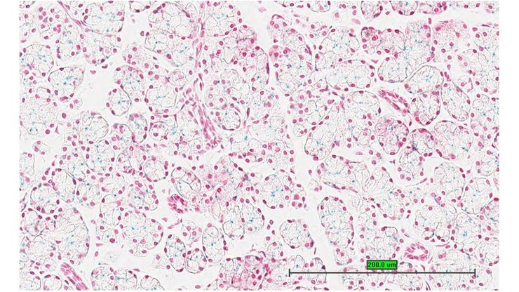
TS28: pancreas Present UC Davis_1867055

Specimen UC Davis_1867056: postnatal adult; Mbd6tm1.1(KOMP)Vlcg/Mbd6+ (more )
Structure Level Pattern Image Note
TS28: metanephros Present UC Davis_1867056 kidney

Specimen UC Davis_1867057: postnatal adult; Mbd6tm1.1(KOMP)Vlcg/Mbd6+ (more )
Structure Level Pattern Image Note
TS28: metanephros Present UC Davis_1867057 kidney

Specimen UC Davis_1867058: postnatal adult; Mbd6tm1.1(KOMP)Vlcg/Mbd6+ (more )
Structure Level Pattern Image Note
TS28: quadriceps femoris muscle Present UC Davis_1867058

Specimen UC Davis_1867059: postnatal adult; Mbd6tm1.1(KOMP)Vlcg/Mbd6+ (more )
Structure Level Pattern Image Note
TS28: quadriceps femoris muscle Present UC Davis_1867059

Specimen UC Davis_1867060: postnatal adult; Mbd6tm1.1(KOMP)Vlcg/Mbd6+ (more )
Structure Level Pattern Image Note
TS28: tongue Present UC Davis_1867060

Specimen UC Davis_1867061: postnatal adult; Mbd6tm1.1(KOMP)Vlcg/Mbd6+ (more )
Structure Level Pattern Image Note
TS28: tongue Present UC Davis_1867061

Specimen UC Davis_1867062: postnatal adult; Mbd6tm1.1(KOMP)Vlcg/Mbd6+ (more )
Structure Level Pattern Image Note
TS28: tongue Present UC Davis_1867062

Specimen UC Davis_1867063: postnatal adult; Mbd6tm1.1(KOMP)Vlcg/Mbd6+ (more )
Structure Level Pattern Image Note
TS28: tongue Present UC Davis_1867063

Specimen UC Davis_1867064: postnatal adult; Mbd6tm1.1(KOMP)Vlcg/Mbd6+ (more )
Structure Level Pattern Image Note
TS28: diaphragm Present UC Davis_1867064

Specimen UC Davis_1867065: postnatal adult; Mbd6tm1.1(KOMP)Vlcg/Mbd6+ (more )
Structure Level Pattern Image Note
TS28: adrenal gland Present UC Davis_1867065

Specimen UC Davis_1867066: postnatal adult; Mbd6tm1.1(KOMP)Vlcg/Mbd6+ (more )
Structure Level Pattern Image Note
TS28: adrenal gland Present UC Davis_1867066

Specimen UC Davis_1867067: postnatal adult; Mbd6tm1.1(KOMP)Vlcg/Mbd6+ (more )
Structure Level Pattern Image Note
TS28: pituitary gland Present UC Davis_1867067

Specimen UC Davis_1867068: postnatal adult; Mbd6tm1.1(KOMP)Vlcg/Mbd6+ (more )
Structure Level Pattern Image Note
TS28: pituitary gland Present UC Davis_1867068

Specimen UC Davis_1867069: postnatal adult; Mbd6tm1.1(KOMP)Vlcg/Mbd6+ (more )
Structure Level Pattern Image Note
TS28: spinal cord Present UC Davis_1867069

Specimen UC Davis_1867070: postnatal adult; Mbd6tm1.1(KOMP)Vlcg/Mbd6+ (more )
Structure Level Pattern Image Note
TS28: spinal cord Present UC Davis_1867070

Specimen UC Davis_1867071: postnatal adult; Mbd6tm1.1(KOMP)Vlcg/Mbd6+ (more )
Structure Level Pattern Image Note
TS28: spinal cord Present UC Davis_1867071

Specimen UC Davis_1867072: postnatal adult; Mbd6tm1.1(KOMP)Vlcg/Mbd6+ (more )
Structure Level Pattern Image Note
TS28: eye Present UC Davis_1867072

Specimen UC Davis_1867073: postnatal adult; Mbd6tm1.1(KOMP)Vlcg/Mbd6+ (more )
Structure Level Pattern Image Note
TS28: eye Present UC Davis_1867073

Specimen UC Davis_1867074: postnatal adult; Mbd6tm1.1(KOMP)Vlcg/Mbd6+ (more )
Structure Level Pattern Image Note
TS28: Harderian gland Present UC Davis_1867074

Specimen UC Davis_1867075: postnatal adult; Mbd6tm1.1(KOMP)Vlcg/Mbd6+ (more )
Structure Level Pattern Image Note
TS28: Harderian gland Present UC Davis_1867075

Specimen UC Davis_1867076: postnatal adult; Mbd6tm1.1(KOMP)Vlcg/Mbd6+ (more )
Structure Level Pattern Image Note
TS28: gonadal fat pad Present UC Davis_1867076

Specimen UC Davis_1867077: postnatal adult; Mbd6tm1.1(KOMP)Vlcg/Mbd6+ (more )
Structure Level Pattern Image Note
TS28: mesenteric adipose tissue Present UC Davis_1867077

Specimen UC Davis_1867078: postnatal adult; Mbd6tm1.1(KOMP)Vlcg/Mbd6+ (more )
Structure Level Pattern Image Note
TS28: skin Present UC Davis_1867078

Specimen UC Davis_1867079: postnatal adult; Mbd6tm1.1(KOMP)Vlcg/Mbd6+ (more )
Structure Level Pattern Image Note
TS28: skin Present UC Davis_1867079

Specimen UC Davis_1867080: postnatal adult; Mbd6tm1.1(KOMP)Vlcg/Mbd6+ (more )
Structure Level Pattern Image Note
TS28: skin Present UC Davis_1867080

Specimen UC Davis_1867081: postnatal adult; Mbd6tm1.1(KOMP)Vlcg/Mbd6+ (more )
Structure Level Pattern Image Note
TS28: brown fat Present UC Davis_1867081

Specimen UC Davis_1867082: postnatal adult; Mbd6tm1.1(KOMP)Vlcg/Mbd6+ (more )
Structure Level Pattern Image Note
TS28: brown fat Present UC Davis_1867082

Specimen UC Davis_1867083: postnatal adult; Mbd6tm1.1(KOMP)Vlcg/Mbd6+ (more )
Structure Level Pattern Image Note
TS28: olfactory lobe Present UC Davis_1867083

Specimen UC Davis_1867087: postnatal adult; Mbd6tm1.1(KOMP)Vlcg/Mbd6+ (more )
Structure Level Pattern Image Note
TS28: midbrain Present UC Davis_1867087

Specimen UC Davis_1867089: postnatal adult; Mbd6tm1.1(KOMP)Vlcg/Mbd6+ (more )
Structure Level Pattern Image Note
TS28: cerebellum Present UC Davis_1867089

Specimen UC Davis_1867090: postnatal adult; Mbd6tm1.1(KOMP)Vlcg/Mbd6+ (more )
Structure Level Pattern Image Note
TS28: trigeminal nerve Present UC Davis_1867090

Specimen UC Davis_1867091: postnatal adult; Mbd6tm1.1(KOMP)Vlcg/Mbd6+ (more )
Structure Level Pattern Image Note
TS28: trigeminal nerve Present UC Davis_1867091

Specimen UC Davis_1867092: postnatal adult; Mbd6tm1.1(KOMP)Vlcg/Mbd6+ (more )
Structure Level Pattern Image Note
TS28: ovary Present UC Davis_1867092

Specimen UC Davis_1867093: postnatal adult; Mbd6tm1.1(KOMP)Vlcg/Mbd6+ (more )
Structure Level Pattern Image Note
TS28: ovary Present UC Davis_1867093

Specimen UC Davis_1867094: postnatal adult; Mbd6tm1.1(KOMP)Vlcg/Mbd6+ (more )
Structure Level Pattern Image Note
TS28: oviduct Present UC Davis_1867094

Specimen UC Davis_1867095: postnatal adult; Mbd6tm1.1(KOMP)Vlcg/Mbd6+ (more )
Structure Level Pattern Image Note
TS28: oviduct Present UC Davis_1867095

Specimen UC Davis_1867096: postnatal adult; Mbd6tm1.1(KOMP)Vlcg/Mbd6+ (more )
Structure Level Pattern Image Note
TS28: uterus Present UC Davis_1867096

Specimen UC Davis_1867097: postnatal adult; Mbd6tm1.1(KOMP)Vlcg/Mbd6+ (more )
Structure Level Pattern Image Note
TS28: uterus Present UC Davis_1867097

Specimen UC Davis_1867098: postnatal adult; Mbd6tm1.1(KOMP)Vlcg/Mbd6+ (more )
Structure Level Pattern Image Note
TS28: vagina Present UC Davis_1867098

Specimen UC Davis_1867099: postnatal adult; Mbd6tm1.1(KOMP)Vlcg/Mbd6+ (more )
Structure Level Pattern Image Note
TS28: vagina Present UC Davis_1867099

Specimen UC Davis_1867100: postnatal adult; Mbd6tm1.1(KOMP)Vlcg/Mbd6+ (more )
Structure Level Pattern Image Note
TS28: vagina Present UC Davis_1867100

Specimen UC Davis_1867101: postnatal adult; Mbd6tm1.1(KOMP)Vlcg/Mbd6+ (more )
Structure Level Pattern Image Note
TS28: bladder Present UC Davis_1867101

Specimen UC Davis_1867102: postnatal adult; Mbd6tm1.1(KOMP)Vlcg/Mbd6+ (more )
Structure Level Pattern Image Note
TS28: bladder Present UC Davis_1867102

Specimen UC Davis_1867103: postnatal adult; Mbd6tm1.1(KOMP)Vlcg/Mbd6+ (more )
Structure Level Pattern Image Note
TS28: bone marrow Present UC Davis_1867103

Specimen UC Davis_1867104: postnatal adult; Mbd6tm1.1(KOMP)Vlcg/Mbd6+ (more )
Structure Level Pattern Image Note
TS28: bone marrow Present UC Davis_1867104

Specimen UC Davis_1867107: postnatal adult; Mbd6tm1.1(KOMP)Vlcg/Mbd6+ (more )
Structure Level Pattern Image Note
TS28: sublingual gland Present UC Davis_1867107

Specimen UC Davis_1867108: postnatal adult; Mbd6tm1.1(KOMP)Vlcg/Mbd6+ (more )
Structure Level Pattern Image Note
TS28: parotid gland Present UC Davis_1867108

Specimen UC Davis_1867109: postnatal adult; Mbd6tm1.1(KOMP)Vlcg/Mbd6+ (more )
Structure Level Pattern Image Note
TS28: trachea Present UC Davis_1867109

Specimen UC Davis_1867110: postnatal adult; Mbd6tm1.1(KOMP)Vlcg/Mbd6+ (more )
Structure Level Pattern Image Note
TS28: esophagus Present UC Davis_1867110

Specimen UC Davis_1867112: postnatal adult; Mbd6tm1.1(KOMP)Vlcg/Mbd6+ (more )
Structure Level Pattern Image Note
TS28: aorta Present UC Davis_1867112

Specimen UC Davis_1867113: postnatal adult; Mbd6tm1.1(KOMP)Vlcg/Mbd6+ (more )
Structure Level Pattern Image Note
TS28: lung Present UC Davis_1867113

Specimen UC Davis_1867114: postnatal adult; Mbd6tm1.1(KOMP)Vlcg/Mbd6+ (more )
Structure Level Pattern Image Note
TS28: lung Present UC Davis_1867114

Specimen UC Davis_1867115: postnatal adult; Mbd6tm1.1(KOMP)Vlcg/Mbd6+ (more )
Structure Level Pattern Image Note
TS28: thymus Present UC Davis_1867115

Specimen UC Davis_1867116: postnatal adult; Mbd6tm1.1(KOMP)Vlcg/Mbd6+ (more )
Structure Level Pattern Image Note
TS28: thymus Present UC Davis_1867116

Specimen UC Davis_1867119: postnatal adult; Mbd6tm1.1(KOMP)Vlcg/Mbd6+ (more )
Structure Level Pattern Image Note
TS28: stomach Present UC Davis_1867119

Specimen UC Davis_1867120: postnatal adult; Mbd6tm1.1(KOMP)Vlcg/Mbd6+ (more )
Structure Level Pattern Image Note
TS28: stomach Present UC Davis_1867120

Specimen UC Davis_1867121: postnatal adult; Mbd6tm1.1(KOMP)Vlcg/Mbd6+ (more )
Structure Level Pattern Image Note
TS28: duodenum Present UC Davis_1867121

Specimen UC Davis_1867122: postnatal adult; Mbd6tm1.1(KOMP)Vlcg/Mbd6+ (more )
Structure Level Pattern Image Note
TS28: ileum Present UC Davis_1867122

Specimen UC Davis_1867123: postnatal adult; Mbd6tm1.1(KOMP)Vlcg/Mbd6+ (more )
Structure Level Pattern Image Note
TS28: colon Present UC Davis_1867123

Specimen UC Davis_1867124: postnatal adult; Mbd6tm1.1(KOMP)Vlcg/Mbd6+ (more )
Structure Level Pattern Image Note
TS28: colon Present UC Davis_1867124

Specimen UC Davis_1867125: postnatal adult; Mbd6tm1.1(KOMP)Vlcg/Mbd6+ (more )
Structure Level Pattern Image Note
TS28: cecum Present UC Davis_1867125

Specimen UC Davis_1867126: postnatal adult; Mbd6tm1.1(KOMP)Vlcg/Mbd6+ (more )
Structure Level Pattern Image Note
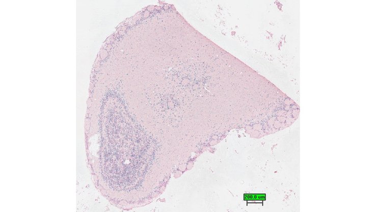
TS28: spleen Present UC Davis_1867126

Specimen UC Davis_1867127: postnatal adult; Mbd6tm1.1(KOMP)Vlcg/Mbd6+ (more )
Structure Level Pattern Image Note
TS28: metanephros Present UC Davis_1867127 kidney

Specimen UC Davis_1867128: postnatal adult; Mbd6tm1.1(KOMP)Vlcg/Mbd6+ (more )
Structure Level Pattern Image Note
TS28: metanephros Present UC Davis_1867128 kidney

Specimen UC Davis_1867129: postnatal adult; Mbd6tm1.1(KOMP)Vlcg/Mbd6+ (more )
Structure Level Pattern Image Note
TS28: quadriceps femoris muscle Present UC Davis_1867129

Specimen UC Davis_1867130: postnatal adult; Mbd6tm1.1(KOMP)Vlcg/Mbd6+ (more )
Structure Level Pattern Image Note
TS28: tongue Present UC Davis_1867130

Specimen UC Davis_1867131: postnatal adult; Mbd6tm1.1(KOMP)Vlcg/Mbd6+ (more )
Structure Level Pattern Image Note
TS28: diaphragm Present UC Davis_1867131

Specimen UC Davis_1867132: postnatal adult; Mbd6tm1.1(KOMP)Vlcg/Mbd6+ (more )
Structure Level Pattern Image Note
TS28: pituitary gland Present UC Davis_1867132

Specimen UC Davis_1867133: postnatal adult; Mbd6tm1.1(KOMP)Vlcg/Mbd6+ (more )
Structure Level Pattern Image Note
TS28: spinal cord Present UC Davis_1867133

Specimen UC Davis_1867134: postnatal adult; Mbd6tm1.1(KOMP)Vlcg/Mbd6+ (more )
Structure Level Pattern Image Note
TS28: spinal cord Present UC Davis_1867134

Specimen UC Davis_1867135: postnatal adult; Mbd6tm1.1(KOMP)Vlcg/Mbd6+ (more )
Structure Level Pattern Image Note
TS28: eye Present UC Davis_1867135

Specimen UC Davis_1867136: postnatal adult; Mbd6tm1.1(KOMP)Vlcg/Mbd6+ (more )
Structure Level Pattern Image Note
TS28: eye Present UC Davis_1867136

Specimen UC Davis_1867137: postnatal adult; Mbd6tm1.1(KOMP)Vlcg/Mbd6+ (more )
Structure Level Pattern Image Note
TS28: Harderian gland Present UC Davis_1867137

Specimen UC Davis_1867138: postnatal adult; Mbd6tm1.1(KOMP)Vlcg/Mbd6+ (more )
Structure Level Pattern Image Note
TS28: gonadal fat pad Present UC Davis_1867138

Specimen UC Davis_1867139: postnatal adult; Mbd6tm1.1(KOMP)Vlcg/Mbd6+ (more )
Structure Level Pattern Image Note
TS28: mesenteric adipose tissue Present UC Davis_1867139

Specimen UC Davis_1867140: postnatal adult; Mbd6tm1.1(KOMP)Vlcg/Mbd6+ (more )
Structure Level Pattern Image Note
TS28: mesenteric adipose tissue Present UC Davis_1867140

Specimen UC Davis_1867141: postnatal adult; Mbd6tm1.1(KOMP)Vlcg/Mbd6+ (more )
Structure Level Pattern Image Note
TS28: skin Present UC Davis_1867141

Specimen UC Davis_1867142: postnatal adult; Mbd6tm1.1(KOMP)Vlcg/Mbd6+ (more )
Structure Level Pattern Image Note
TS28: skin Present UC Davis_1867142

Specimen UC Davis_1867143: postnatal adult; Mbd6tm1.1(KOMP)Vlcg/Mbd6+ (more )
Structure Level Pattern Image Note
TS28: olfactory lobe Present UC Davis_1867143

Specimen UC Davis_1867147: postnatal adult; Mbd6tm1.1(KOMP)Vlcg/Mbd6+ (more )
Structure Level Pattern Image Note
TS28: midbrain Present UC Davis_1867147

Specimen UC Davis_1867149: postnatal adult; Mbd6tm1.1(KOMP)Vlcg/Mbd6+ (more )
Structure Level Pattern Image Note
TS28: cerebellum Present UC Davis_1867149

Specimen UC Davis_1867150: postnatal adult; Mbd6tm1.1(KOMP)Vlcg/Mbd6+ (more )
Structure Level Pattern Image Note
TS28: trigeminal nerve Present UC Davis_1867150

Specimen UC Davis_1867151: postnatal adult; Mbd6tm1.1(KOMP)Vlcg/Mbd6+ (more )
Structure Level Pattern Image Note
TS28: bladder Present UC Davis_1867151

Specimen UC Davis_1867152: postnatal adult; Mbd6tm1.1(KOMP)Vlcg/Mbd6+ (more )
Structure Level Pattern Image Note
TS28: testis Present UC Davis_1867152

Specimen UC Davis_1867153: postnatal adult; Mbd6tm1.1(KOMP)Vlcg/Mbd6+ (more )
Structure Level Pattern Image Note
TS28: testis Present UC Davis_1867153

Specimen UC Davis_1867154: postnatal adult; Mbd6tm1.1(KOMP)Vlcg/Mbd6+ (more )
Structure Level Pattern Image Note
TS28: epididymis Present UC Davis_1867154

Specimen UC Davis_1867155: postnatal adult; Mbd6tm1.1(KOMP)Vlcg/Mbd6+ (more )
Structure Level Pattern Image Note
TS28: prostate gland Present UC Davis_1867155

Specimen UC Davis_1867156: postnatal adult; Mbd6tm1.1(KOMP)Vlcg/Mbd6+ (more )
Structure Level Pattern Image Note
TS28: prostate gland Present UC Davis_1867156

Specimen UC Davis_1867157: postnatal adult; Mbd6tm1.1(KOMP)Vlcg/Mbd6+ (more )
Structure Level Pattern Image Note
TS28: penis Present UC Davis_1867157

Specimen UC Davis_1867158: postnatal adult; Mbd6tm1.1(KOMP)Vlcg/Mbd6+ (more )
Structure Level Pattern Image Note
TS28: penis Present UC Davis_1867158

Specimen UC Davis_1867159: postnatal adult; Mbd6tm1.1(KOMP)Vlcg/Mbd6+ (more )
Structure Level Pattern Image Note
TS28: ductus deferens Present UC Davis_1867159 vas deferens

Specimen UC Davis_1867161: postnatal adult; Mbd6tm1.1(KOMP)Vlcg/Mbd6+ (more )
Structure Level Pattern Image Note
TS28: seminal vesicle Present UC Davis_1867161 vesicular gland


Contributing Projects:
Mouse Genome Database (MGD), Gene Expression Database (GXD), Mouse Models of Human Cancer database (MMHCdb) (formerly Mouse Tumor Biology (MTB)), Gene Ontology (GO)
Citing These Resources
Funding Information
Warranty Disclaimer, Privacy Notice, Licensing, & Copyright
Send questions and comments to User Support.
last database update
01/06/2026
MGI 6.24
The Jackson Laboratory