About   Help   FAQ
Gene Expression Data
Assay Details
Assay
Reference: J:228563 Koscielny G, et al., The International Mouse Phenotyping Consortium Web Portal, a unified point of access for knockout mice and related phenotyping data. Nucleic Acids Res. 2014 Jan;42(Database issue):D802-9
Assay type: In situ reporter (knock in)
MGI Accession ID: MGI:6691061
Gene symbol: Ilrun
Gene name: inflammation and lipid regulator with UBA-like and NBR1-like domains
Reporter: lacZ
Direct Detection
Results
Specimen UC Davis_1858801: postnatal adult; IlrunGt(IST12471H5)Tigm/Ilrun+ (more )
Structure Level Pattern Image Note
TS28: submandibular gland Present UC Davis_1858801

Specimen UC Davis_1858802: postnatal adult; IlrunGt(IST12471H5)Tigm/Ilrun+ (more )
Structure Level Pattern Image Note
TS28: sublingual gland Present UC Davis_1858802

Specimen UC Davis_1858803: postnatal adult; IlrunGt(IST12471H5)Tigm/Ilrun+ (more )
Structure Level Pattern Image Note
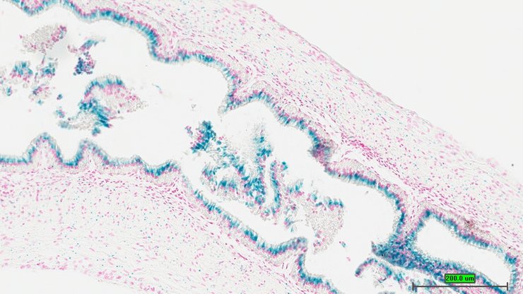
TS28: esophagus Present UC Davis_1858803

Specimen UC Davis_1858804: postnatal adult; IlrunGt(IST12471H5)Tigm/Ilrun+ (more )
Structure Level Pattern Image Note
TS28: aorta Present UC Davis_1858804

Specimen UC Davis_1858805: postnatal adult; IlrunGt(IST12471H5)Tigm/Ilrun+ (more )
Structure Level Pattern Image Note
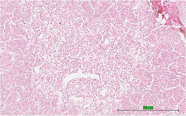
TS28: thymus Present UC Davis_1858805

Specimen UC Davis_1858806: postnatal adult; IlrunGt(IST12471H5)Tigm/Ilrun+ (more )
Structure Level Pattern Image Note
TS28: thymus Present UC Davis_1858806

Specimen UC Davis_1858810: postnatal adult; IlrunGt(IST12471H5)Tigm/Ilrun+ (more )
Structure Level Pattern Image Note
TS28: stomach Present UC Davis_1858810

Specimen UC Davis_1858811: postnatal adult; IlrunGt(IST12471H5)Tigm/Ilrun+ (more )
Structure Level Pattern Image Note
TS28: stomach Present UC Davis_1858811

Specimen UC Davis_1858812: postnatal adult; IlrunGt(IST12471H5)Tigm/Ilrun+ (more )
Structure Level Pattern Image Note
TS28: colon Present UC Davis_1858812

Specimen UC Davis_1858813: postnatal adult; IlrunGt(IST12471H5)Tigm/Ilrun+ (more )
Structure Level Pattern Image Note
TS28: colon Present UC Davis_1858813

Specimen UC Davis_1858814: postnatal adult; IlrunGt(IST12471H5)Tigm/Ilrun+ (more )
Structure Level Pattern Image Note
TS28: cecum Present UC Davis_1858814

Specimen UC Davis_1858815: postnatal adult; IlrunGt(IST12471H5)Tigm/Ilrun+ (more )
Structure Level Pattern Image Note
TS28: metanephros Present UC Davis_1858815 kidney

Specimen UC Davis_1858816: postnatal adult; IlrunGt(IST12471H5)Tigm/Ilrun+ (more )
Structure Level Pattern Image Note
TS28: metanephros Present UC Davis_1858816 kidney

Specimen UC Davis_1858817: postnatal adult; IlrunGt(IST12471H5)Tigm/Ilrun+ (more )
Structure Level Pattern Image Note
TS28: metanephros Present UC Davis_1858817 kidney

Specimen UC Davis_1858818: postnatal adult; IlrunGt(IST12471H5)Tigm/Ilrun+ (more )
Structure Level Pattern Image Note
TS28: quadriceps femoris muscle Present UC Davis_1858818

Specimen UC Davis_1858819: postnatal adult; IlrunGt(IST12471H5)Tigm/Ilrun+ (more )
Structure Level Pattern Image Note
TS28: quadriceps femoris muscle Present UC Davis_1858819

Specimen UC Davis_1858820: postnatal adult; IlrunGt(IST12471H5)Tigm/Ilrun+ (more )
Structure Level Pattern Image Note
TS28: tongue Present UC Davis_1858820

Specimen UC Davis_1858821: postnatal adult; IlrunGt(IST12471H5)Tigm/Ilrun+ (more )
Structure Level Pattern Image Note
TS28: tongue Present UC Davis_1858821

Specimen UC Davis_1858822: postnatal adult; IlrunGt(IST12471H5)Tigm/Ilrun+ (more )
Structure Level Pattern Image Note
TS28: tongue Present UC Davis_1858822

Specimen UC Davis_1858823: postnatal adult; IlrunGt(IST12471H5)Tigm/Ilrun+ (more )
Structure Level Pattern Image Note
TS28: adrenal gland Present UC Davis_1858823

Specimen UC Davis_1858824: postnatal adult; IlrunGt(IST12471H5)Tigm/Ilrun+ (more )
Structure Level Pattern Image Note
TS28: pituitary gland Present UC Davis_1858824

Specimen UC Davis_1858825: postnatal adult; IlrunGt(IST12471H5)Tigm/Ilrun+ (more )
Structure Level Pattern Image Note
TS28: spinal cord Present UC Davis_1858825

Specimen UC Davis_1858826: postnatal adult; IlrunGt(IST12471H5)Tigm/Ilrun+ (more )
Structure Level Pattern Image Note
TS28: spinal cord Present UC Davis_1858826

Specimen UC Davis_1858827: postnatal adult; IlrunGt(IST12471H5)Tigm/Ilrun+ (more )
Structure Level Pattern Image Note
TS28: eye Present UC Davis_1858827

Specimen UC Davis_1858828: postnatal adult; IlrunGt(IST12471H5)Tigm/Ilrun+ (more )
Structure Level Pattern Image Note
TS28: eye Present UC Davis_1858828

Specimen UC Davis_1858829: postnatal adult; IlrunGt(IST12471H5)Tigm/Ilrun+ (more )
Structure Level Pattern Image Note
TS28: Harderian gland Present UC Davis_1858829

Specimen UC Davis_1858830: postnatal adult; IlrunGt(IST12471H5)Tigm/Ilrun+ (more )
Structure Level Pattern Image Note
TS28: Harderian gland Present UC Davis_1858830

Specimen UC Davis_1858831: postnatal adult; IlrunGt(IST12471H5)Tigm/Ilrun+ (more )
Structure Level Pattern Image Note
TS28: skin Present UC Davis_1858831

Specimen UC Davis_1858832: postnatal adult; IlrunGt(IST12471H5)Tigm/Ilrun+ (more )
Structure Level Pattern Image Note
TS28: skin Present UC Davis_1858832

Specimen UC Davis_1858833: postnatal adult; IlrunGt(IST12471H5)Tigm/Ilrun+ (more )
Structure Level Pattern Image Note
TS28: skin Present UC Davis_1858833

Specimen UC Davis_1858837: postnatal adult; IlrunGt(IST12471H5)Tigm/Ilrun+ (more )
Structure Level Pattern Image Note
TS28: midbrain Present UC Davis_1858837

Specimen UC Davis_1858839: postnatal adult; IlrunGt(IST12471H5)Tigm/Ilrun+ (more )
Structure Level Pattern Image Note
TS28: cerebellum Present UC Davis_1858839

Specimen UC Davis_1858840: postnatal adult; IlrunGt(IST12471H5)Tigm/Ilrun+ (more )
Structure Level Pattern Image Note
TS28: cerebellum Present UC Davis_1858840

Specimen UC Davis_1858841: postnatal adult; IlrunGt(IST12471H5)Tigm/Ilrun+ (more )
Structure Level Pattern Image Note
TS28: trigeminal nerve Present UC Davis_1858841

Specimen UC Davis_1858842: postnatal adult; IlrunGt(IST12471H5)Tigm/Ilrun+ (more )
Structure Level Pattern Image Note
TS28: uterus Present UC Davis_1858842

Specimen UC Davis_1858843: postnatal adult; IlrunGt(IST12471H5)Tigm/Ilrun+ (more )
Structure Level Pattern Image Note
TS28: uterus Present UC Davis_1858843

Specimen UC Davis_1858844: postnatal adult; IlrunGt(IST12471H5)Tigm/Ilrun+ (more )
Structure Level Pattern Image Note
TS28: uterus Present UC Davis_1858844

Specimen UC Davis_1858845: postnatal adult; IlrunGt(IST12471H5)Tigm/Ilrun+ (more )
Structure Level Pattern Image Note
TS28: vagina Present UC Davis_1858845

Specimen UC Davis_1858846: postnatal adult; IlrunGt(IST12471H5)Tigm/Ilrun+ (more )
Structure Level Pattern Image Note
TS28: vagina Present UC Davis_1858846

Specimen UC Davis_1858847: postnatal adult; IlrunGt(IST12471H5)Tigm/Ilrun+ (more )
Structure Level Pattern Image Note
TS28: bladder Present UC Davis_1858847

Specimen UC Davis_1858850: postnatal adult; IlrunGt(IST12471H5)Tigm/Ilrun+ (more )
Structure Level Pattern Image Note
TS28: mammary gland Present UC Davis_1858850

Specimen UC Davis_1858851: postnatal adult; IlrunGt(IST12471H5)Tigm/Ilrun+ (more )
Structure Level Pattern Image Note
TS28: mammary gland Present UC Davis_1858851

Specimen UC Davis_1858874: postnatal adult; IlrunGt(IST12471H5)Tigm/Ilrun+ (more )
Structure Level Pattern Image Note
TS28: oviduct Present UC Davis_1858874

Specimen UC Davis_1858746: postnatal adult; IlrunGt(IST12471H5)Tigm/IlrunGt(IST12471H5)Tigm (more )
Structure Level Pattern Image Note
TS28: submandibular gland Present UC Davis_1858746

Specimen UC Davis_1858747: postnatal adult; IlrunGt(IST12471H5)Tigm/IlrunGt(IST12471H5)Tigm (more )
Structure Level Pattern Image Note
TS28: sublingual gland Present UC Davis_1858747

Specimen UC Davis_1858748: postnatal adult; IlrunGt(IST12471H5)Tigm/IlrunGt(IST12471H5)Tigm (more )
Structure Level Pattern Image Note
TS28: sublingual gland Present UC Davis_1858748

Specimen UC Davis_1858749: postnatal adult; IlrunGt(IST12471H5)Tigm/IlrunGt(IST12471H5)Tigm (more )
Structure Level Pattern Image Note
TS28: parotid gland Present UC Davis_1858749

Specimen UC Davis_1858750: postnatal adult; IlrunGt(IST12471H5)Tigm/IlrunGt(IST12471H5)Tigm (more )
Structure Level Pattern Image Note
TS28: parotid gland Present UC Davis_1858750

Specimen UC Davis_1858751: postnatal adult; IlrunGt(IST12471H5)Tigm/IlrunGt(IST12471H5)Tigm (more )
Structure Level Pattern Image Note
TS28: esophagus Present UC Davis_1858751

Specimen UC Davis_1858752: postnatal adult; IlrunGt(IST12471H5)Tigm/IlrunGt(IST12471H5)Tigm (more )
Structure Level Pattern Image Note
TS28: esophagus Present UC Davis_1858752

Specimen UC Davis_1858755: postnatal adult; IlrunGt(IST12471H5)Tigm/IlrunGt(IST12471H5)Tigm (more )
Structure Level Pattern Image Note
TS28: aorta Present UC Davis_1858755

Specimen UC Davis_1858756: postnatal adult; IlrunGt(IST12471H5)Tigm/IlrunGt(IST12471H5)Tigm (more )
Structure Level Pattern Image Note
TS28: thymus Present UC Davis_1858756

Specimen UC Davis_1858757: postnatal adult; IlrunGt(IST12471H5)Tigm/IlrunGt(IST12471H5)Tigm (more )
Structure Level Pattern Image Note
TS28: thymus Present UC Davis_1858757

Specimen UC Davis_1858761: postnatal adult; IlrunGt(IST12471H5)Tigm/IlrunGt(IST12471H5)Tigm (more )
Structure Level Pattern Image Note
TS28: stomach Present UC Davis_1858761

Specimen UC Davis_1858762: postnatal adult; IlrunGt(IST12471H5)Tigm/IlrunGt(IST12471H5)Tigm (more )
Structure Level Pattern Image Note
TS28: stomach Present UC Davis_1858762

Specimen UC Davis_1858763: postnatal adult; IlrunGt(IST12471H5)Tigm/IlrunGt(IST12471H5)Tigm (more )
Structure Level Pattern Image Note
TS28: jejunum Present UC Davis_1858763

Specimen UC Davis_1858764: postnatal adult; IlrunGt(IST12471H5)Tigm/IlrunGt(IST12471H5)Tigm (more )
Structure Level Pattern Image Note
TS28: ileum Present UC Davis_1858764

Specimen UC Davis_1858765: postnatal adult; IlrunGt(IST12471H5)Tigm/IlrunGt(IST12471H5)Tigm (more )
Structure Level Pattern Image Note
TS28: cecum Present UC Davis_1858765

Specimen UC Davis_1858766: postnatal adult; IlrunGt(IST12471H5)Tigm/IlrunGt(IST12471H5)Tigm (more )
Structure Level Pattern Image Note
TS28: cecum Present UC Davis_1858766

Specimen UC Davis_1858767: postnatal adult; IlrunGt(IST12471H5)Tigm/IlrunGt(IST12471H5)Tigm (more )
Structure Level Pattern Image Note
TS28: metanephros Present UC Davis_1858767 kidney

Specimen UC Davis_1858768: postnatal adult; IlrunGt(IST12471H5)Tigm/IlrunGt(IST12471H5)Tigm (more )
Structure Level Pattern Image Note
TS28: metanephros Present UC Davis_1858768 kidney

Specimen UC Davis_1858769: postnatal adult; IlrunGt(IST12471H5)Tigm/IlrunGt(IST12471H5)Tigm (more )
Structure Level Pattern Image Note
TS28: metanephros Present UC Davis_1858769 kidney

Specimen UC Davis_1858770: postnatal adult; IlrunGt(IST12471H5)Tigm/IlrunGt(IST12471H5)Tigm (more )
Structure Level Pattern Image Note
TS28: quadriceps femoris muscle Present UC Davis_1858770

Specimen UC Davis_1858771: postnatal adult; IlrunGt(IST12471H5)Tigm/IlrunGt(IST12471H5)Tigm (more )
Structure Level Pattern Image Note
TS28: quadriceps femoris muscle Present UC Davis_1858771

Specimen UC Davis_1858772: postnatal adult; IlrunGt(IST12471H5)Tigm/IlrunGt(IST12471H5)Tigm (more )
Structure Level Pattern Image Note
TS28: tongue Present UC Davis_1858772

Specimen UC Davis_1858773: postnatal adult; IlrunGt(IST12471H5)Tigm/IlrunGt(IST12471H5)Tigm (more )
Structure Level Pattern Image Note
TS28: tongue Present UC Davis_1858773

Specimen UC Davis_1858774: postnatal adult; IlrunGt(IST12471H5)Tigm/IlrunGt(IST12471H5)Tigm (more )
Structure Level Pattern Image Note
TS28: diaphragm Present UC Davis_1858774

Specimen UC Davis_1858775: postnatal adult; IlrunGt(IST12471H5)Tigm/IlrunGt(IST12471H5)Tigm (more )
Structure Level Pattern Image Note
TS28: spinal cord Present UC Davis_1858775

Specimen UC Davis_1858776: postnatal adult; IlrunGt(IST12471H5)Tigm/IlrunGt(IST12471H5)Tigm (more )
Structure Level Pattern Image Note
TS28: Harderian gland Present UC Davis_1858776

Specimen UC Davis_1858777: postnatal adult; IlrunGt(IST12471H5)Tigm/IlrunGt(IST12471H5)Tigm (more )
Structure Level Pattern Image Note
TS28: Harderian gland Present UC Davis_1858777

Specimen UC Davis_1858778: postnatal adult; IlrunGt(IST12471H5)Tigm/IlrunGt(IST12471H5)Tigm (more )
Structure Level Pattern Image Note
TS28: skin Present UC Davis_1858778

Specimen UC Davis_1858779: postnatal adult; IlrunGt(IST12471H5)Tigm/IlrunGt(IST12471H5)Tigm (more )
Structure Level Pattern Image Note
TS28: skin Present UC Davis_1858779

Specimen UC Davis_1858780: postnatal adult; IlrunGt(IST12471H5)Tigm/IlrunGt(IST12471H5)Tigm (more )
Structure Level Pattern Image Note
TS28: olfactory lobe Present UC Davis_1858780

Specimen UC Davis_1858782: postnatal adult; IlrunGt(IST12471H5)Tigm/IlrunGt(IST12471H5)Tigm (more )
Structure Level Pattern Image Note
TS28: midbrain Present UC Davis_1858782

Specimen UC Davis_1858784: postnatal adult; IlrunGt(IST12471H5)Tigm/IlrunGt(IST12471H5)Tigm (more )
Structure Level Pattern Image Note
TS28: cerebellum Present UC Davis_1858784

Specimen UC Davis_1858785: postnatal adult; IlrunGt(IST12471H5)Tigm/IlrunGt(IST12471H5)Tigm (more )
Structure Level Pattern Image Note
TS28: testis Present UC Davis_1858785

Specimen UC Davis_1858786: postnatal adult; IlrunGt(IST12471H5)Tigm/IlrunGt(IST12471H5)Tigm (more )
Structure Level Pattern Image Note
TS28: testis Present UC Davis_1858786

Specimen UC Davis_1858787: postnatal adult; IlrunGt(IST12471H5)Tigm/IlrunGt(IST12471H5)Tigm (more )
Structure Level Pattern Image Note
TS28: testis Present UC Davis_1858787

Specimen UC Davis_1858788: postnatal adult; IlrunGt(IST12471H5)Tigm/IlrunGt(IST12471H5)Tigm (more )
Structure Level Pattern Image Note
TS28: epididymis Present UC Davis_1858788

Specimen UC Davis_1858789: postnatal adult; IlrunGt(IST12471H5)Tigm/IlrunGt(IST12471H5)Tigm (more )
Structure Level Pattern Image Note
TS28: epididymis Present UC Davis_1858789

Specimen UC Davis_1858790: postnatal adult; IlrunGt(IST12471H5)Tigm/IlrunGt(IST12471H5)Tigm (more )
Structure Level Pattern Image Note
TS28: epididymis Present UC Davis_1858790

Specimen UC Davis_1858791: postnatal adult; IlrunGt(IST12471H5)Tigm/IlrunGt(IST12471H5)Tigm (more )
Structure Level Pattern Image Note
TS28: penis Present UC Davis_1858791

Specimen UC Davis_1858792: postnatal adult; IlrunGt(IST12471H5)Tigm/IlrunGt(IST12471H5)Tigm (more )
Structure Level Pattern Image Note
TS28: penis Present UC Davis_1858792

Specimen UC Davis_1858794: postnatal adult; IlrunGt(IST12471H5)Tigm/IlrunGt(IST12471H5)Tigm (more )
Structure Level Pattern Image Note
TS28: ductus deferens Present UC Davis_1858794 vas deferens

Specimen UC Davis_1858795: postnatal adult; IlrunGt(IST12471H5)Tigm/IlrunGt(IST12471H5)Tigm (more )
Structure Level Pattern Image Note
TS28: ductus deferens Present UC Davis_1858795 vas deferens

Specimen UC Davis_1858796: postnatal adult; IlrunGt(IST12471H5)Tigm/IlrunGt(IST12471H5)Tigm (more )
Structure Level Pattern Image Note
TS28: ductus deferens Present UC Davis_1858796 vas deferens

Specimen UC Davis_1858799: postnatal adult; IlrunGt(IST12471H5)Tigm/IlrunGt(IST12471H5)Tigm (more )
Structure Level Pattern Image Note
TS28: seminal vesicle Present UC Davis_1858799 vesicular gland

Specimen UC Davis_1858800: postnatal adult; IlrunGt(IST12471H5)Tigm/IlrunGt(IST12471H5)Tigm (more )
Structure Level Pattern Image Note
TS28: seminal vesicle Present UC Davis_1858800 vesicular gland

Specimen UC Davis_1858852: postnatal adult; IlrunGt(IST12471H5)Tigm/IlrunGt(IST12471H5)Tigm (more )
Structure Level Pattern Image Note
TS28: pancreas Present UC Davis_1858852

Specimen UC Davis_1858853: postnatal adult; IlrunGt(IST12471H5)Tigm/IlrunGt(IST12471H5)Tigm (more )
Structure Level Pattern Image Note
TS28: olfactory lobe Present UC Davis_1858853

Specimen UC Davis_1858856: postnatal adult; IlrunGt(IST12471H5)Tigm/IlrunGt(IST12471H5)Tigm (more )
Structure Level Pattern Image Note
TS28: midbrain Present UC Davis_1858856

Specimen UC Davis_1858858: postnatal adult; IlrunGt(IST12471H5)Tigm/IlrunGt(IST12471H5)Tigm (more )
Structure Level Pattern Image Note
TS28: cerebellum Present UC Davis_1858858

Specimen UC Davis_1858859: postnatal adult; IlrunGt(IST12471H5)Tigm/IlrunGt(IST12471H5)Tigm (more )
Structure Level Pattern Image Note
TS28: brain Present UC Davis_1858859

Specimen UC Davis_1858861: postnatal adult; IlrunGt(IST12471H5)Tigm/IlrunGt(IST12471H5)Tigm (more )
Structure Level Pattern Image Note
TS28: metanephros Present UC Davis_1858861 kidney

Specimen UC Davis_1858862: postnatal adult; IlrunGt(IST12471H5)Tigm/IlrunGt(IST12471H5)Tigm (more )
Structure Level Pattern Image Note
TS28: adrenal gland Present UC Davis_1858862

Specimen UC Davis_1858863: postnatal adult; IlrunGt(IST12471H5)Tigm/IlrunGt(IST12471H5)Tigm (more )
Structure Level Pattern Image Note
TS28: trachea Present UC Davis_1858863

Specimen UC Davis_1858864: postnatal adult; IlrunGt(IST12471H5)Tigm/IlrunGt(IST12471H5)Tigm (more )
Structure Level Pattern Image Note
TS28: spinal cord Present UC Davis_1858864

Specimen UC Davis_1858865: postnatal adult; IlrunGt(IST12471H5)Tigm/IlrunGt(IST12471H5)Tigm (more )
Structure Level Pattern Image Note
TS28: pituitary gland Present UC Davis_1858865

Specimen UC Davis_1858866: postnatal adult; IlrunGt(IST12471H5)Tigm/IlrunGt(IST12471H5)Tigm (more )
Structure Level Pattern Image Note
TS28: eye Present UC Davis_1858866

Specimen UC Davis_1858867: postnatal adult; IlrunGt(IST12471H5)Tigm/IlrunGt(IST12471H5)Tigm (more )
Structure Level Pattern Image Note
TS28: Harderian gland Present UC Davis_1858867

Specimen UC Davis_1858868: postnatal adult; IlrunGt(IST12471H5)Tigm/IlrunGt(IST12471H5)Tigm (more )
Structure Level Pattern Image Note
TS28: bladder Present UC Davis_1858868

Specimen UC Davis_1858869: postnatal adult; IlrunGt(IST12471H5)Tigm/IlrunGt(IST12471H5)Tigm (more )
Structure Level Pattern Image Note
TS28: testis Present UC Davis_1858869

Specimen UC Davis_1858870: postnatal adult; IlrunGt(IST12471H5)Tigm/IlrunGt(IST12471H5)Tigm (more )
Structure Level Pattern Image Note
TS28: thoracic segment skeleton Present UC Davis_1858870 chest bone


Contributing Projects:
Mouse Genome Database (MGD), Gene Expression Database (GXD), Mouse Models of Human Cancer database (MMHCdb) (formerly Mouse Tumor Biology (MTB)), Gene Ontology (GO)
Citing These Resources
Funding Information
Warranty Disclaimer, Privacy Notice, Licensing, & Copyright
Send questions and comments to User Support.
last database update
01/20/2026
MGI 6.24
The Jackson Laboratory