About   Help   FAQ
Gene Expression Data
Assay Details
Assay
Reference: J:228563 Koscielny G, et al., The International Mouse Phenotyping Consortium Web Portal, a unified point of access for knockout mice and related phenotyping data. Nucleic Acids Res. 2014 Jan;42(Database issue):D802-9
Assay type: In situ reporter (knock in)
MGI Accession ID: MGI:6691060
Gene symbol: Ermp1
Gene name: endoplasmic reticulum metallopeptidase 1
Reporter: lacZ
Direct Detection
Results
Specimen JAX_1800459: postnatal adult; Ermp1tm1.1(KOMP)Vlcg/Ermp1+ (more )
Structure Level Pattern Image Note
TS28: ovary Present JAX_1800459

Specimen JAX_1800460: postnatal adult; Ermp1tm1.1(KOMP)Vlcg/Ermp1+ (more )
Structure Level Pattern Image Note
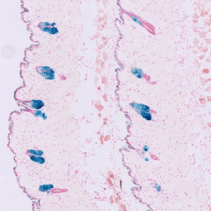
TS28: uterus Present JAX_1800460

Specimen JAX_1800461: postnatal adult; Ermp1tm1.1(KOMP)Vlcg/Ermp1+ (more )
Structure Level Pattern Image Note
TS28: metanephros Present JAX_1800461 kidney

Specimen JAX_1800462: postnatal adult; Ermp1tm1.1(KOMP)Vlcg/Ermp1+ (more )
Structure Level Pattern Image Note
TS28: bladder Present JAX_1800462

Specimen JAX_1800463: postnatal adult; Ermp1tm1.1(KOMP)Vlcg/Ermp1+ (more )
Structure Level Pattern Image Note
TS28: adrenal gland Present JAX_1800463

Specimen JAX_1800464: postnatal adult; Ermp1tm1.1(KOMP)Vlcg/Ermp1+ (more )
Structure Level Pattern Image Note
TS28: pancreas Present JAX_1800464

Specimen JAX_1800465: postnatal adult; Ermp1tm1.1(KOMP)Vlcg/Ermp1+ (more )
Structure Level Pattern Image Note
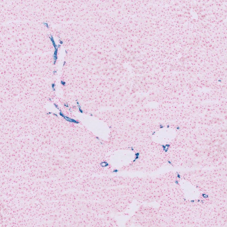
TS28: liver Present JAX_1800465

Specimen JAX_1800466: postnatal adult; Ermp1tm1.1(KOMP)Vlcg/Ermp1+ (more )
Structure Level Pattern Image Note
TS28: oviduct Present JAX_1800466

Specimen JAX_1800467: postnatal adult; Ermp1tm1.1(KOMP)Vlcg/Ermp1+ (more )
Structure Level Pattern Image Note
TS28: testis Present JAX_1800467

Specimen JAX_1800468: postnatal adult; Ermp1tm1.1(KOMP)Vlcg/Ermp1+ (more )
Structure Level Pattern Image Note
TS28: epididymis Present JAX_1800468

Specimen JAX_1800469: postnatal adult; Ermp1tm1.1(KOMP)Vlcg/Ermp1+ (more )
Structure Level Pattern Image Note
TS28: thymus Present JAX_1800469

Specimen JAX_1800470: postnatal adult; Ermp1tm1.1(KOMP)Vlcg/Ermp1+ (more )
Structure Level Pattern Image Note
TS28: lymph node Present JAX_1800470

Specimen JAX_1800471: postnatal adult; Ermp1tm1.1(KOMP)Vlcg/Ermp1+ (more )
Structure Level Pattern Image Note
TS28: large intestine Present JAX_1800471

Specimen JAX_1800472: postnatal adult; Ermp1tm1.1(KOMP)Vlcg/Ermp1+ (more )
Structure Level Pattern Image Note
TS28: small intestine Present JAX_1800472

Specimen JAX_1800473: postnatal adult; Ermp1tm1.1(KOMP)Vlcg/Ermp1+ (more )
Structure Level Pattern Image Note
TS28: stomach Present JAX_1800473

Specimen JAX_1800474: postnatal adult; Ermp1tm1.1(KOMP)Vlcg/Ermp1+ (more )
Structure Level Pattern Image Note
TS28: lung Present JAX_1800474

Specimen JAX_1800475: postnatal adult; Ermp1tm1.1(KOMP)Vlcg/Ermp1+ (more )
Structure Level Pattern Image Note
TS28: heart Present JAX_1800475

Specimen JAX_1800476: postnatal adult; Ermp1tm1.1(KOMP)Vlcg/Ermp1+ (more )
Structure Level Pattern Image Note
TS28: aorta Present JAX_1800476

Specimen JAX_1800477: postnatal adult; Ermp1tm1.1(KOMP)Vlcg/Ermp1+ (more )
Structure Level Pattern Image Note
TS28: skin Present JAX_1800477

Specimen JAX_1800478: postnatal adult; Ermp1tm1.1(KOMP)Vlcg/Ermp1+ (more )
Structure Level Pattern Image Note
TS28: brown fat Present JAX_1800478

Specimen JAX_1800479: postnatal adult; Ermp1tm1.1(KOMP)Vlcg/Ermp1+ (more )
Structure Level Pattern Image Note
TS28: brain Present JAX_1800479

Specimen JAX_1800480: postnatal adult; Ermp1tm1.1(KOMP)Vlcg/Ermp1+ (more )
Structure Level Pattern Image Note
TS28: brainstem Present JAX_1800480

Specimen JAX_1800481: postnatal adult; Ermp1tm1.1(KOMP)Vlcg/Ermp1+ (more )
Structure Level Pattern Image Note
TS28: cerebral cortex Present JAX_1800481

Specimen JAX_1800482: postnatal adult; Ermp1tm1.1(KOMP)Vlcg/Ermp1+ (more )
Structure Level Pattern Image Note
TS28: cerebellum Present JAX_1800482

Specimen JAX_1800483: postnatal adult; Ermp1tm1.1(KOMP)Vlcg/Ermp1+ (more )
Structure Level Pattern Image Note
TS28: hippocampus Present JAX_1800483

Specimen JAX_1800484: postnatal adult; Ermp1tm1.1(KOMP)Vlcg/Ermp1+ (more )
Structure Level Pattern Image Note
TS28: thalamus Present JAX_1800484

Specimen JAX_1800485: postnatal adult; Ermp1tm1.1(KOMP)Vlcg/Ermp1+ (more )
Structure Level Pattern Image Note
TS28: midbrain Present JAX_1800485

Specimen JAX_1800486: postnatal adult; Ermp1tm1.1(KOMP)Vlcg/Ermp1+ (more )
Structure Level Pattern Image Note
TS28: hypothalamus Present JAX_1800486

Specimen JAX_1800487: postnatal adult; Ermp1tm1.1(KOMP)Vlcg/Ermp1+ (more )
Structure Level Pattern Image Note
TS28: olfactory lobe Present JAX_1800487

Specimen JAX_1800488: postnatal adult; Ermp1tm1.1(KOMP)Vlcg/Ermp1+ (more )
Structure Level Pattern Image Note
TS28: spinal cord Present JAX_1800488

Specimen JAX_1800489: postnatal adult; Ermp1tm1.1(KOMP)Vlcg/Ermp1+ (more )
Structure Level Pattern Image Note
TS28: peripheral nervous system Present JAX_1800489

Specimen JAX_1800490: postnatal adult; Ermp1tm1.1(KOMP)Vlcg/Ermp1+ (more )
Structure Level Pattern Image Note
TS28: eye Present JAX_1800490

Specimen JAX_1800491: postnatal adult; Ermp1tm1.1(KOMP)Vlcg/Ermp1+ (more )
Structure Level Pattern Image Note
TS28: trachea Present JAX_1800491

Specimen JAX_1800492: postnatal adult; Ermp1tm1.1(KOMP)Vlcg/Ermp1+ (more )
Structure Level Pattern Image Note
TS28: submandibular gland Present JAX_1800492

Specimen JAX_1800493: postnatal adult; Ermp1tm1.1(KOMP)Vlcg/Ermp1+ (more )
Structure Level Pattern Image Note
TS28: thyroid gland Present JAX_1800493

Specimen JAX_1800494: postnatal adult; Ermp1tm1.1(KOMP)Vlcg/Ermp1+ (more )
Structure Level Pattern Image Note
TS28: esophagus Present JAX_1800494

Specimen JAX_1800495: postnatal adult; Ermp1tm1.1(KOMP)Vlcg/Ermp1+ (more )
Structure Level Pattern Image Note
TS28: cartilage Present JAX_1800495


Contributing Projects:
Mouse Genome Database (MGD), Gene Expression Database (GXD), Mouse Models of Human Cancer database (MMHCdb) (formerly Mouse Tumor Biology (MTB)), Gene Ontology (GO)
Citing These Resources
Funding Information
Warranty Disclaimer, Privacy Notice, Licensing, & Copyright
Send questions and comments to User Support.
last database update
10/07/2025
MGI 6.24
The Jackson Laboratory