About   Help   FAQ
Gene Expression Data
Assay Details
Assay
Reference: J:228563 Koscielny G, et al., The International Mouse Phenotyping Consortium Web Portal, a unified point of access for knockout mice and related phenotyping data. Nucleic Acids Res. 2014 Jan;42(Database issue):D802-9
Assay type: In situ reporter (knock in)
MGI Accession ID: MGI:6691056
Gene symbol: Vegfb
Gene name: vascular endothelial growth factor B
Reporter: lacZ
Direct Detection
Results
Specimen JAX_1469738: embryonic day 12.5; Vegfbtm1b(EUCOMM)Hmgu/Vegfb+ (more )
Structure Level Pattern Image Note
TS20: embryo Present JAX_1469738

Specimen JAX_1469739: embryonic day 12.5; Vegfbtm1b(EUCOMM)Hmgu/Vegfb+ (more )
Structure Level Pattern Image Note
TS20: embryo Present JAX_1469739

Specimen JAX_1469740: embryonic day 12.5; Vegfbtm1b(EUCOMM)Hmgu/Vegfb+ (more )
Structure Level Pattern Image Note
TS20: embryo Present JAX_1469740

Specimen JAX_1469741: embryonic day 12.5; Vegfbtm1b(EUCOMM)Hmgu/Vegfb+ (more )
Structure Level Pattern Image Note
TS20: embryo Present JAX_1469741

Specimen JAX_922869: embryonic day 12.5; Vegfbtm1b(EUCOMM)Hmgu/Vegfb+ (more )
Structure Level Pattern Image Note
TS20: embryo Absent JAX_922869

Specimen JAX_922871: embryonic day 12.5; Vegfbtm1b(EUCOMM)Hmgu/Vegfb+ (more )
Structure Level Pattern Image Note
TS20: embryo Absent JAX_922871

Specimen JAX_922873: embryonic day 12.5; Vegfbtm1b(EUCOMM)Hmgu/Vegfb+ (more )
Structure Level Pattern Image Note
TS20: embryo Absent JAX_922873

Specimen JAX_922875: embryonic day 12.5; Vegfbtm1b(EUCOMM)Hmgu/Vegfb+ (more )
Structure Level Pattern Image Note
TS20: embryo Absent JAX_922875

Specimen JAX_1802238: postnatal adult; Vegfbtm1b(EUCOMM)Hmgu/Vegfb+ (more )
Structure Level Pattern Image Note
TS28: submandibular gland Present JAX_1802238

Specimen JAX_1802239: postnatal adult; Vegfbtm1b(EUCOMM)Hmgu/Vegfb+ (more )
Structure Level Pattern Image Note
TS28: brown fat Present JAX_1802239

Specimen JAX_1802240: postnatal adult; Vegfbtm1b(EUCOMM)Hmgu/Vegfb+ (more )
Structure Level Pattern Image Note
TS28: bladder Present JAX_1802240

Specimen JAX_1802241: postnatal adult; Vegfbtm1b(EUCOMM)Hmgu/Vegfb+ (more )
Structure Level Pattern Image Note
TS28: cerebellum Present JAX_1802241

Specimen JAX_1802242: postnatal adult; Vegfbtm1b(EUCOMM)Hmgu/Vegfb+ (more )
Structure Level Pattern Image Note
TS28: brainstem Present JAX_1802242

Specimen JAX_1802243: postnatal adult; Vegfbtm1b(EUCOMM)Hmgu/Vegfb+ (more )
Structure Level Pattern Image Note
TS28: white fat Present JAX_1802243

Specimen JAX_1802244: postnatal adult; Vegfbtm1b(EUCOMM)Hmgu/Vegfb+ (more )
Structure Level Pattern Image Note
TS28: spinal cord Present JAX_1802244

Specimen JAX_1802245: postnatal adult; Vegfbtm1b(EUCOMM)Hmgu/Vegfb+ (more )
Structure Level Pattern Image Note
TS28: large intestine Present JAX_1802245

Specimen JAX_1802246: postnatal adult; Vegfbtm1b(EUCOMM)Hmgu/Vegfb+ (more )
Structure Level Pattern Image Note
TS28: oviduct Present JAX_1802246

Specimen JAX_1802247: postnatal adult; Vegfbtm1b(EUCOMM)Hmgu/Vegfb+ (more )
Structure Level Pattern Image Note
TS28: ovary Present JAX_1802247

Specimen JAX_1802248: postnatal adult; Vegfbtm1b(EUCOMM)Hmgu/Vegfb+ (more )
Structure Level Pattern Image Note
TS28: brain Present JAX_1802248

Specimen JAX_1802249: postnatal adult; Vegfbtm1b(EUCOMM)Hmgu/Vegfb+ (more )
Structure Level Pattern Image Note
TS28: adrenal gland Present JAX_1802249

Specimen JAX_1802227: postnatal adult; Vegfbtm1b(EUCOMM)Hmgu/Vegfb+ (more )
Structure Level Pattern Image Note
TS28: vascular system Present JAX_1802227

Specimen JAX_1802228: postnatal adult; Vegfbtm1b(EUCOMM)Hmgu/Vegfb+ (more )
Structure Level Pattern Image Note
TS28: epididymis Present JAX_1802228

Specimen JAX_1802229: postnatal adult; Vegfbtm1b(EUCOMM)Hmgu/Vegfb+ (more )
Structure Level Pattern Image Note
TS28: submandibular gland Present JAX_1802229

Specimen JAX_1802230: postnatal adult; Vegfbtm1b(EUCOMM)Hmgu/Vegfb+ (more )
Structure Level Pattern Image Note
TS28: aorta Present JAX_1802230

Specimen JAX_1802231: postnatal adult; Vegfbtm1b(EUCOMM)Hmgu/Vegfb+ (more )
Structure Level Pattern Image Note
TS28: small intestine Present JAX_1802231

Specimen JAX_1802232: postnatal adult; Vegfbtm1b(EUCOMM)Hmgu/Vegfb+ (more )
Structure Level Pattern Image Note
TS28: skeletal muscle tissue Present JAX_1802232

Specimen JAX_1802233: postnatal adult; Vegfbtm1b(EUCOMM)Hmgu/Vegfb+ (more )
Structure Level Pattern Image Note
TS28: esophagus Present JAX_1802233

Specimen JAX_1802234: postnatal adult; Vegfbtm1b(EUCOMM)Hmgu/Vegfb+ (more )
Structure Level Pattern Image Note
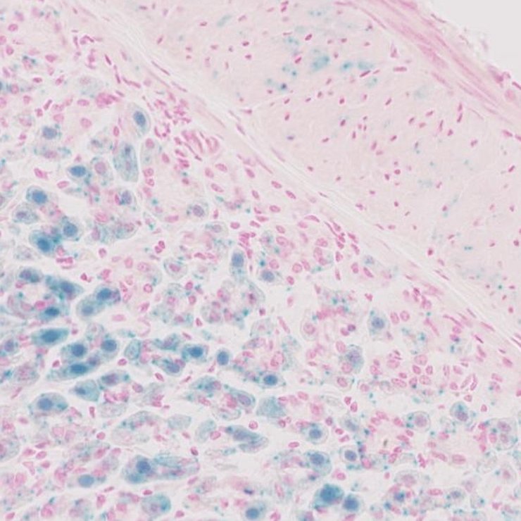
TS28: testis Present JAX_1802234

Specimen JAX_1802235: postnatal adult; Vegfbtm1b(EUCOMM)Hmgu/Vegfb+ (more )
Structure Level Pattern Image Note
TS28: stomach Present JAX_1802235

Specimen JAX_1802236: postnatal adult; Vegfbtm1b(EUCOMM)Hmgu/Vegfb+ (more )
Structure Level Pattern Image Note
TS28: metanephros Present JAX_1802236 kidney

Specimen JAX_1802237: postnatal adult; Vegfbtm1b(EUCOMM)Hmgu/Vegfb+ (more )
Structure Level Pattern Image Note
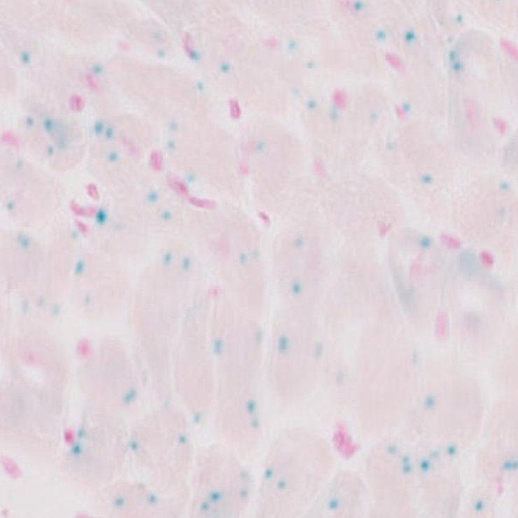
TS28: heart Present JAX_1802237


Contributing Projects:
Mouse Genome Database (MGD), Gene Expression Database (GXD), Mouse Models of Human Cancer database (MMHCdb) (formerly Mouse Tumor Biology (MTB)), Gene Ontology (GO)
Citing These Resources
Funding Information
Warranty Disclaimer, Privacy Notice, Licensing, & Copyright
Send questions and comments to User Support.
last database update
12/30/2025
MGI 6.24
The Jackson Laboratory