About   Help   FAQ
Gene Expression Data
Assay Details
Assay
Reference: J:228563 Koscielny G, et al., The International Mouse Phenotyping Consortium Web Portal, a unified point of access for knockout mice and related phenotyping data. Nucleic Acids Res. 2014 Jan;42(Database issue):D802-9
Assay type: In situ reporter (knock in)
MGI Accession ID: MGI:6691040
Gene symbol: Rbl2
Gene name: RB transcriptional corepressor like 2
Reporter: lacZ
Direct Detection
Results
Specimen JAX_1330112: embryonic day 12.5; Rbl2tm1b(EUCOMM)Hmgu/Rbl2+ (more )
Structure Level Pattern Image Note
TS20: embryo Present JAX_1330112

Specimen JAX_1330113: embryonic day 12.5; Rbl2tm1b(EUCOMM)Hmgu/Rbl2+ (more )
Structure Level Pattern Image Note
TS20: embryo Present JAX_1330113

Specimen JAX_1330114: embryonic day 12.5; Rbl2tm1b(EUCOMM)Hmgu/Rbl2+ (more )
Structure Level Pattern Image Note
TS20: embryo Present JAX_1330114

Specimen JAX_1330115: embryonic day 12.5; Rbl2tm1b(EUCOMM)Hmgu/Rbl2+ (more )
Structure Level Pattern Image Note
TS20: embryo Present JAX_1330115

Specimen JAX_1330108: embryonic day 12.5; Rbl2tm1b(EUCOMM)Hmgu/Rbl2tm1b(EUCOMM)Hmgu (more )
Structure Level Pattern Image Note
TS20: embryo Present JAX_1330108

Specimen JAX_1330109: embryonic day 12.5; Rbl2tm1b(EUCOMM)Hmgu/Rbl2tm1b(EUCOMM)Hmgu (more )
Structure Level Pattern Image Note
TS20: embryo Present JAX_1330109

Specimen JAX_1330110: embryonic day 12.5; Rbl2tm1b(EUCOMM)Hmgu/Rbl2tm1b(EUCOMM)Hmgu (more )
Structure Level Pattern Image Note
TS20: embryo Present JAX_1330110

Specimen JAX_1330111: embryonic day 12.5; Rbl2tm1b(EUCOMM)Hmgu/Rbl2tm1b(EUCOMM)Hmgu (more )
Structure Level Pattern Image Note
TS20: embryo Present JAX_1330111

Specimen JAX_1470756: postnatal adult; Rbl2tm1b(EUCOMM)Hmgu/Rbl2+ (more )
Structure Level Pattern Image Note
TS28: vascular system Present JAX_1470756

Specimen JAX_1470757: postnatal adult; Rbl2tm1b(EUCOMM)Hmgu/Rbl2+ (more )
Structure Level Pattern Image Note
TS28: submandibular gland Present JAX_1470757

Specimen JAX_1470758: postnatal adult; Rbl2tm1b(EUCOMM)Hmgu/Rbl2+ (more )
Structure Level Pattern Image Note
TS28: bone Present JAX_1470758

Specimen JAX_1470759: postnatal adult; Rbl2tm1b(EUCOMM)Hmgu/Rbl2+ (more )
Structure Level Pattern Image Note
TS28: bladder Present JAX_1470759

Specimen JAX_1470760: postnatal adult; Rbl2tm1b(EUCOMM)Hmgu/Rbl2+ (more )
Structure Level Pattern Image Note
TS28: cartilage Present JAX_1470760

Specimen JAX_1470761: postnatal adult; Rbl2tm1b(EUCOMM)Hmgu/Rbl2+ (more )
Structure Level Pattern Image Note
TS28: spleen Present JAX_1470761

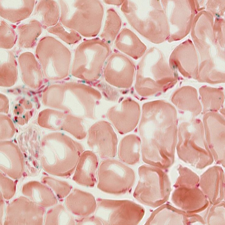
Specimen JAX_1470762: postnatal adult; Rbl2tm1b(EUCOMM)Hmgu/Rbl2+ (more )
Structure Level Pattern Image Note
TS28: skeletal muscle tissue Present JAX_1470762

Specimen JAX_1470763: postnatal adult; Rbl2tm1b(EUCOMM)Hmgu/Rbl2+ (more )
Structure Level Pattern Image Note
TS28: thyroid gland Present JAX_1470763

Specimen JAX_1470764: postnatal adult; Rbl2tm1b(EUCOMM)Hmgu/Rbl2+ (more )
Structure Level Pattern Image Note
TS28: spinal cord Present JAX_1470764

Specimen JAX_1470765: postnatal adult; Rbl2tm1b(EUCOMM)Hmgu/Rbl2+ (more )
Structure Level Pattern Image Note
TS28: uterus Present JAX_1470765

Specimen JAX_1470766: postnatal adult; Rbl2tm1b(EUCOMM)Hmgu/Rbl2+ (more )
Structure Level Pattern Image Note
TS28: thymus Present JAX_1470766

Specimen JAX_1470767: postnatal adult; Rbl2tm1b(EUCOMM)Hmgu/Rbl2+ (more )
Structure Level Pattern Image Note
TS28: oviduct Present JAX_1470767

Specimen JAX_1470768: postnatal adult; Rbl2tm1b(EUCOMM)Hmgu/Rbl2+ (more )
Structure Level Pattern Image Note
TS28: ovary Present JAX_1470768

Specimen JAX_1470769: postnatal adult; Rbl2tm1b(EUCOMM)Hmgu/Rbl2+ (more )
Structure Level Pattern Image Note
TS28: mammary gland Present JAX_1470769

Specimen JAX_1470770: postnatal adult; Rbl2tm1b(EUCOMM)Hmgu/Rbl2+ (more )
Structure Level Pattern Image Note
TS28: lymph node Present JAX_1470770

Specimen JAX_1470771: postnatal adult; Rbl2tm1b(EUCOMM)Hmgu/Rbl2+ (more )
Structure Level Pattern Image Note
TS28: heart Present JAX_1470771

Specimen JAX_1470772: postnatal adult; Rbl2tm1b(EUCOMM)Hmgu/Rbl2+ (more )
Structure Level Pattern Image Note
TS28: eye Present JAX_1470772

Specimen JAX_1470773: postnatal adult; Rbl2tm1b(EUCOMM)Hmgu/Rbl2+ (more )
Structure Level Pattern Image Note
TS28: adrenal gland Present JAX_1470773

Specimen JAX_1470774: postnatal adult; Rbl2tm1b(EUCOMM)Hmgu/Rbl2+ (more )
Structure Level Pattern Image Note
TS28: thalamus Present JAX_1470774

Specimen JAX_1470775: postnatal adult; Rbl2tm1b(EUCOMM)Hmgu/Rbl2+ (more )
Structure Level Pattern Image Note
TS28: midbrain Present JAX_1470775

Specimen JAX_1470776: postnatal adult; Rbl2tm1b(EUCOMM)Hmgu/Rbl2+ (more )
Structure Level Pattern Image Note
TS28: epididymis Present JAX_1470776

Specimen JAX_1470777: postnatal adult; Rbl2tm1b(EUCOMM)Hmgu/Rbl2+ (more )
Structure Level Pattern Image Note
TS28: brown fat Present JAX_1470777

Specimen JAX_1470778: postnatal adult; Rbl2tm1b(EUCOMM)Hmgu/Rbl2+ (more )
Structure Level Pattern Image Note
TS28: corpus striatum Present JAX_1470778

Specimen JAX_1470779: postnatal adult; Rbl2tm1b(EUCOMM)Hmgu/Rbl2+ (more )
Structure Level Pattern Image Note
TS28: Peyer's patch Present JAX_1470779

Specimen JAX_1470780: postnatal adult; Rbl2tm1b(EUCOMM)Hmgu/Rbl2+ (more )
Structure Level Pattern Image Note
TS28: peripheral nervous system Present JAX_1470780

Specimen JAX_1470781: postnatal adult; Rbl2tm1b(EUCOMM)Hmgu/Rbl2+ (more )
Structure Level Pattern Image Note
TS28: olfactory lobe Present JAX_1470781

Specimen JAX_1470782: postnatal adult; Rbl2tm1b(EUCOMM)Hmgu/Rbl2+ (more )
Structure Level Pattern Image Note
TS28: hypothalamus Present JAX_1470782

Specimen JAX_1470783: postnatal adult; Rbl2tm1b(EUCOMM)Hmgu/Rbl2+ (more )
Structure Level Pattern Image Note
TS28: hippocampus Present JAX_1470783

Specimen JAX_1470784: postnatal adult; Rbl2tm1b(EUCOMM)Hmgu/Rbl2+ (more )
Structure Level Pattern Image Note
TS28: cerebellum Present JAX_1470784

Specimen JAX_1470785: postnatal adult; Rbl2tm1b(EUCOMM)Hmgu/Rbl2+ (more )
Structure Level Pattern Image Note
TS28: cerebral cortex Present JAX_1470785

Specimen JAX_1470786: postnatal adult; Rbl2tm1b(EUCOMM)Hmgu/Rbl2+ (more )
Structure Level Pattern Image Note
TS28: brainstem Present JAX_1470786

Specimen JAX_1470787: postnatal adult; Rbl2tm1b(EUCOMM)Hmgu/Rbl2+ (more )
Structure Level Pattern Image Note
TS28: pancreas Present JAX_1470787

Specimen JAX_1470788: postnatal adult; Rbl2tm1b(EUCOMM)Hmgu/Rbl2+ (more )
Structure Level Pattern Image Note
TS28: aorta Present JAX_1470788

Specimen JAX_1470789: postnatal adult; Rbl2tm1b(EUCOMM)Hmgu/Rbl2+ (more )
Structure Level Pattern Image Note
TS28: lung Present JAX_1470789

Specimen JAX_1470790: postnatal adult; Rbl2tm1b(EUCOMM)Hmgu/Rbl2+ (more )
Structure Level Pattern Image Note
TS28: white fat Present JAX_1470790

Specimen JAX_1470791: postnatal adult; Rbl2tm1b(EUCOMM)Hmgu/Rbl2+ (more )
Structure Level Pattern Image Note
TS28: small intestine Present JAX_1470791

Specimen JAX_1470792: postnatal adult; Rbl2tm1b(EUCOMM)Hmgu/Rbl2+ (more )
Structure Level Pattern Image Note
TS28: pituitary gland Present JAX_1470792

Specimen JAX_1470793: postnatal adult; Rbl2tm1b(EUCOMM)Hmgu/Rbl2+ (more )
Structure Level Pattern Image Note
TS28: esophagus Present JAX_1470793

Specimen JAX_1470794: postnatal adult; Rbl2tm1b(EUCOMM)Hmgu/Rbl2+ (more )
Structure Level Pattern Image Note
TS28: large intestine Present JAX_1470794

Specimen JAX_1470795: postnatal adult; Rbl2tm1b(EUCOMM)Hmgu/Rbl2+ (more )
Structure Level Pattern Image Note
TS28: trachea Present JAX_1470795

Specimen JAX_1470796: postnatal adult; Rbl2tm1b(EUCOMM)Hmgu/Rbl2+ (more )
Structure Level Pattern Image Note
TS28: testis Present JAX_1470796

Specimen JAX_1470797: postnatal adult; Rbl2tm1b(EUCOMM)Hmgu/Rbl2+ (more )
Structure Level Pattern Image Note
TS28: stomach Present JAX_1470797

Specimen JAX_1470798: postnatal adult; Rbl2tm1b(EUCOMM)Hmgu/Rbl2+ (more )
Structure Level Pattern Image Note
TS28: skin Present JAX_1470798

Specimen JAX_1470799: postnatal adult; Rbl2tm1b(EUCOMM)Hmgu/Rbl2+ (more )
Structure Level Pattern Image Note
TS28: liver Present JAX_1470799

Specimen JAX_1470800: postnatal adult; Rbl2tm1b(EUCOMM)Hmgu/Rbl2+ (more )
Structure Level Pattern Image Note
TS28: metanephros Present JAX_1470800 kidney

Specimen JAX_1470801: postnatal adult; Rbl2tm1b(EUCOMM)Hmgu/Rbl2+ (more )
Structure Level Pattern Image Note
TS28: brain Present JAX_1470801


Contributing Projects:
Mouse Genome Database (MGD), Gene Expression Database (GXD), Mouse Models of Human Cancer database (MMHCdb) (formerly Mouse Tumor Biology (MTB)), Gene Ontology (GO)
Citing These Resources
Funding Information
Warranty Disclaimer, Privacy Notice, Licensing, & Copyright
Send questions and comments to User Support.
last database update
01/20/2026
MGI 6.24
The Jackson Laboratory