About   Help   FAQ
Gene Expression Data
Assay Details
Assay
Reference: J:228563 Koscielny G, et al., The International Mouse Phenotyping Consortium Web Portal, a unified point of access for knockout mice and related phenotyping data. Nucleic Acids Res. 2014 Jan;42(Database issue):D802-9
Assay type: In situ reporter (knock in)
MGI Accession ID: MGI:6691024
Gene symbol: Gpx1
Gene name: glutathione peroxidase 1
Reporter: lacZ
Direct Detection
Results
Specimen UC Davis_1864291: postnatal adult; Gpx1tm1.1(KOMP)Vlcg/Gpx1+ (more )
Structure Level Pattern Image Note
TS28: submandibular gland Present UC Davis_1864291

Specimen UC Davis_1864292: postnatal adult; Gpx1tm1.1(KOMP)Vlcg/Gpx1+ (more )
Structure Level Pattern Image Note
TS28: submandibular gland Present UC Davis_1864292

Specimen UC Davis_1864293: postnatal adult; Gpx1tm1.1(KOMP)Vlcg/Gpx1+ (more )
Structure Level Pattern Image Note
TS28: submandibular gland Present UC Davis_1864293

Specimen UC Davis_1864294: postnatal adult; Gpx1tm1.1(KOMP)Vlcg/Gpx1+ (more )
Structure Level Pattern Image Note
TS28: sublingual gland Present UC Davis_1864294

Specimen UC Davis_1864295: postnatal adult; Gpx1tm1.1(KOMP)Vlcg/Gpx1+ (more )
Structure Level Pattern Image Note
TS28: sublingual gland Present UC Davis_1864295

Specimen UC Davis_1864296: postnatal adult; Gpx1tm1.1(KOMP)Vlcg/Gpx1+ (more )
Structure Level Pattern Image Note
TS28: parotid gland Present UC Davis_1864296

Specimen UC Davis_1864299: postnatal adult; Gpx1tm1.1(KOMP)Vlcg/Gpx1+ (more )
Structure Level Pattern Image Note
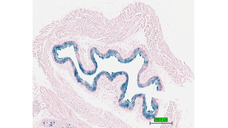
TS28: trachea Present UC Davis_1864299

Specimen UC Davis_1864300: postnatal adult; Gpx1tm1.1(KOMP)Vlcg/Gpx1+ (more )
Structure Level Pattern Image Note
TS28: esophagus Present UC Davis_1864300

Specimen UC Davis_1864301: postnatal adult; Gpx1tm1.1(KOMP)Vlcg/Gpx1+ (more )
Structure Level Pattern Image Note
TS28: esophagus Present UC Davis_1864301

Specimen UC Davis_1864302: postnatal adult; Gpx1tm1.1(KOMP)Vlcg/Gpx1+ (more )
Structure Level Pattern Image Note
TS28: esophagus Present UC Davis_1864302

Specimen UC Davis_1864303: postnatal adult; Gpx1tm1.1(KOMP)Vlcg/Gpx1+ (more )
Structure Level Pattern Image Note
TS28: thyroid gland Present UC Davis_1864303

Specimen UC Davis_1864304: postnatal adult; Gpx1tm1.1(KOMP)Vlcg/Gpx1+ (more )
Structure Level Pattern Image Note
TS28: aorta Present UC Davis_1864304

Specimen UC Davis_1864305: postnatal adult; Gpx1tm1.1(KOMP)Vlcg/Gpx1+ (more )
Structure Level Pattern Image Note
TS28: lung Present UC Davis_1864305

Specimen UC Davis_1864306: postnatal adult; Gpx1tm1.1(KOMP)Vlcg/Gpx1+ (more )
Structure Level Pattern Image Note
TS28: lung Present UC Davis_1864306

Specimen UC Davis_1864307: postnatal adult; Gpx1tm1.1(KOMP)Vlcg/Gpx1+ (more )
Structure Level Pattern Image Note
TS28: thymus Present UC Davis_1864307

Specimen UC Davis_1864308: postnatal adult; Gpx1tm1.1(KOMP)Vlcg/Gpx1+ (more )
Structure Level Pattern Image Note
TS28: thymus Present UC Davis_1864308

Specimen UC Davis_1864309: postnatal adult; Gpx1tm1.1(KOMP)Vlcg/Gpx1+ (more )
Structure Level Pattern Image Note
TS28: thymus Present UC Davis_1864309

Specimen UC Davis_1864313: postnatal adult; Gpx1tm1.1(KOMP)Vlcg/Gpx1+ (more )
Structure Level Pattern Image Note
TS28: mesenteric lymph node Present UC Davis_1864313

Specimen UC Davis_1864314: postnatal adult; Gpx1tm1.1(KOMP)Vlcg/Gpx1+ (more )
Structure Level Pattern Image Note
TS28: mesenteric lymph node Present UC Davis_1864314

Specimen UC Davis_1864315: postnatal adult; Gpx1tm1.1(KOMP)Vlcg/Gpx1+ (more )
Structure Level Pattern Image Note
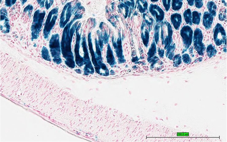
TS28: stomach Present UC Davis_1864315

Specimen UC Davis_1864316: postnatal adult; Gpx1tm1.1(KOMP)Vlcg/Gpx1+ (more )
Structure Level Pattern Image Note
TS28: stomach Present UC Davis_1864316

Specimen UC Davis_1864317: postnatal adult; Gpx1tm1.1(KOMP)Vlcg/Gpx1+ (more )
Structure Level Pattern Image Note
TS28: stomach Present UC Davis_1864317

Specimen UC Davis_1864318: postnatal adult; Gpx1tm1.1(KOMP)Vlcg/Gpx1+ (more )
Structure Level Pattern Image Note
TS28: stomach Present UC Davis_1864318

Specimen UC Davis_1864319: postnatal adult; Gpx1tm1.1(KOMP)Vlcg/Gpx1+ (more )
Structure Level Pattern Image Note
TS28: duodenum Present UC Davis_1864319

Specimen UC Davis_1864320: postnatal adult; Gpx1tm1.1(KOMP)Vlcg/Gpx1+ (more )
Structure Level Pattern Image Note
TS28: duodenum Present UC Davis_1864320

Specimen UC Davis_1864321: postnatal adult; Gpx1tm1.1(KOMP)Vlcg/Gpx1+ (more )
Structure Level Pattern Image Note
TS28: duodenum Present UC Davis_1864321

Specimen UC Davis_1864322: postnatal adult; Gpx1tm1.1(KOMP)Vlcg/Gpx1+ (more )
Structure Level Pattern Image Note
TS28: jejunum Present UC Davis_1864322

Specimen UC Davis_1864323: postnatal adult; Gpx1tm1.1(KOMP)Vlcg/Gpx1+ (more )
Structure Level Pattern Image Note
TS28: jejunum Present UC Davis_1864323

Specimen UC Davis_1864324: postnatal adult; Gpx1tm1.1(KOMP)Vlcg/Gpx1+ (more )
Structure Level Pattern Image Note
TS28: ileum Present UC Davis_1864324

Specimen UC Davis_1864325: postnatal adult; Gpx1tm1.1(KOMP)Vlcg/Gpx1+ (more )
Structure Level Pattern Image Note
TS28: colon Present UC Davis_1864325

Specimen UC Davis_1864326: postnatal adult; Gpx1tm1.1(KOMP)Vlcg/Gpx1+ (more )
Structure Level Pattern Image Note
TS28: colon Present UC Davis_1864326

Specimen UC Davis_1864327: postnatal adult; Gpx1tm1.1(KOMP)Vlcg/Gpx1+ (more )
Structure Level Pattern Image Note
TS28: colon Present UC Davis_1864327

Specimen UC Davis_1864328: postnatal adult; Gpx1tm1.1(KOMP)Vlcg/Gpx1+ (more )
Structure Level Pattern Image Note
TS28: cecum Present UC Davis_1864328

Specimen UC Davis_1864329: postnatal adult; Gpx1tm1.1(KOMP)Vlcg/Gpx1+ (more )
Structure Level Pattern Image Note
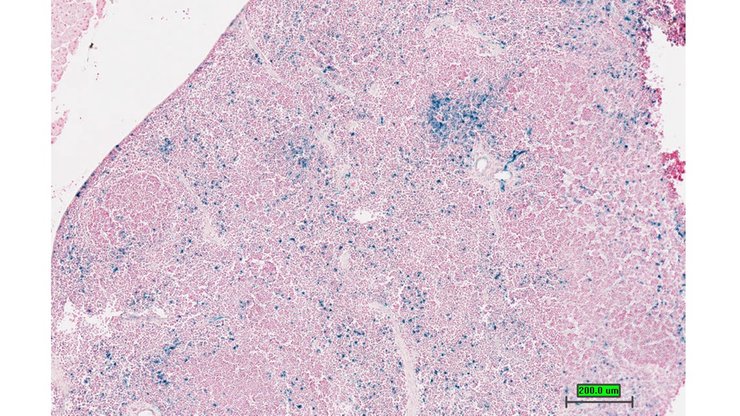
TS28: spleen Present UC Davis_1864329

Specimen UC Davis_1864330: postnatal adult; Gpx1tm1.1(KOMP)Vlcg/Gpx1+ (more )
Structure Level Pattern Image Note
TS28: spleen Present UC Davis_1864330

Specimen UC Davis_1864331: postnatal adult; Gpx1tm1.1(KOMP)Vlcg/Gpx1+ (more )
Structure Level Pattern Image Note
TS28: spleen Present UC Davis_1864331

Specimen UC Davis_1864332: postnatal adult; Gpx1tm1.1(KOMP)Vlcg/Gpx1+ (more )
Structure Level Pattern Image Note
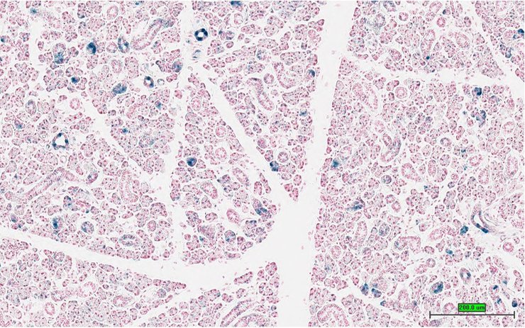
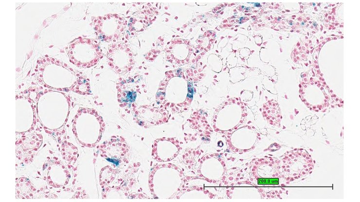
TS28: pancreas Present UC Davis_1864332

Specimen UC Davis_1864333: postnatal adult; Gpx1tm1.1(KOMP)Vlcg/Gpx1+ (more )
Structure Level Pattern Image Note
TS28: pancreas Present UC Davis_1864333

Specimen UC Davis_1864334: postnatal adult; Gpx1tm1.1(KOMP)Vlcg/Gpx1+ (more )
Structure Level Pattern Image Note
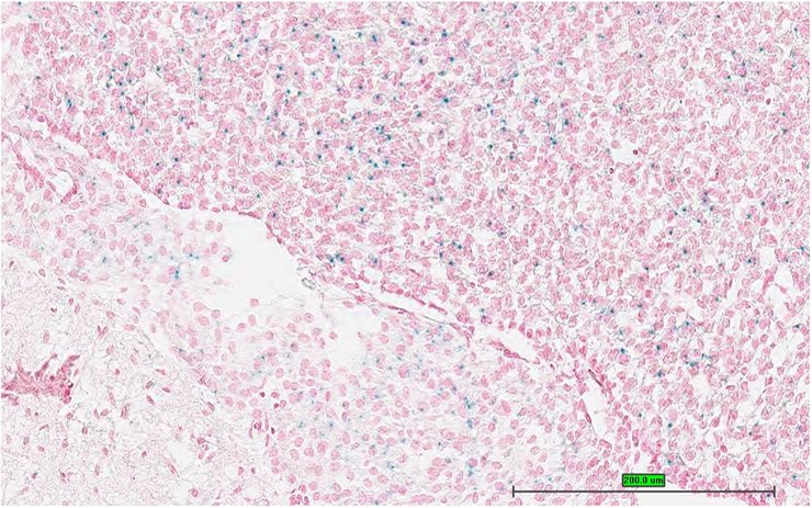
TS28: liver Present UC Davis_1864334

Specimen UC Davis_1864335: postnatal adult; Gpx1tm1.1(KOMP)Vlcg/Gpx1+ (more )
Structure Level Pattern Image Note
TS28: liver Present UC Davis_1864335

Specimen UC Davis_1864336: postnatal adult; Gpx1tm1.1(KOMP)Vlcg/Gpx1+ (more )
Structure Level Pattern Image Note
TS28: liver Present UC Davis_1864336

Specimen UC Davis_1864337: postnatal adult; Gpx1tm1.1(KOMP)Vlcg/Gpx1+ (more )
Structure Level Pattern Image Note
TS28: liver Present UC Davis_1864337

Specimen UC Davis_1864338: postnatal adult; Gpx1tm1.1(KOMP)Vlcg/Gpx1+ (more )
Structure Level Pattern Image Note
TS28: metanephros Present UC Davis_1864338 kidney

Specimen UC Davis_1864339: postnatal adult; Gpx1tm1.1(KOMP)Vlcg/Gpx1+ (more )
Structure Level Pattern Image Note
TS28: metanephros Present UC Davis_1864339 kidney

Specimen UC Davis_1864340: postnatal adult; Gpx1tm1.1(KOMP)Vlcg/Gpx1+ (more )
Structure Level Pattern Image Note
TS28: metanephros Present UC Davis_1864340 kidney

Specimen UC Davis_1864341: postnatal adult; Gpx1tm1.1(KOMP)Vlcg/Gpx1+ (more )
Structure Level Pattern Image Note
TS28: metanephros Present UC Davis_1864341 kidney

Specimen UC Davis_1864342: postnatal adult; Gpx1tm1.1(KOMP)Vlcg/Gpx1+ (more )
Structure Level Pattern Image Note
TS28: quadriceps femoris muscle Present UC Davis_1864342

Specimen UC Davis_1864343: postnatal adult; Gpx1tm1.1(KOMP)Vlcg/Gpx1+ (more )
Structure Level Pattern Image Note
TS28: quadriceps femoris muscle Present UC Davis_1864343

Specimen UC Davis_1864344: postnatal adult; Gpx1tm1.1(KOMP)Vlcg/Gpx1+ (more )
Structure Level Pattern Image Note
TS28: tongue Present UC Davis_1864344

Specimen UC Davis_1864345: postnatal adult; Gpx1tm1.1(KOMP)Vlcg/Gpx1+ (more )
Structure Level Pattern Image Note
TS28: tongue Present UC Davis_1864345

Specimen UC Davis_1864346: postnatal adult; Gpx1tm1.1(KOMP)Vlcg/Gpx1+ (more )
Structure Level Pattern Image Note
TS28: tongue Present UC Davis_1864346

Specimen UC Davis_1864347: postnatal adult; Gpx1tm1.1(KOMP)Vlcg/Gpx1+ (more )
Structure Level Pattern Image Note
TS28: tongue Present UC Davis_1864347

Specimen UC Davis_1864348: postnatal adult; Gpx1tm1.1(KOMP)Vlcg/Gpx1+ (more )
Structure Level Pattern Image Note
TS28: diaphragm Present UC Davis_1864348

Specimen UC Davis_1864349: postnatal adult; Gpx1tm1.1(KOMP)Vlcg/Gpx1+ (more )
Structure Level Pattern Image Note
TS28: adrenal gland Present UC Davis_1864349

Specimen UC Davis_1864350: postnatal adult; Gpx1tm1.1(KOMP)Vlcg/Gpx1+ (more )
Structure Level Pattern Image Note
TS28: pituitary gland Present UC Davis_1864350

Specimen UC Davis_1864351: postnatal adult; Gpx1tm1.1(KOMP)Vlcg/Gpx1+ (more )
Structure Level Pattern Image Note
TS28: spinal cord Present UC Davis_1864351

Specimen UC Davis_1864352: postnatal adult; Gpx1tm1.1(KOMP)Vlcg/Gpx1+ (more )
Structure Level Pattern Image Note
TS28: spinal cord Present UC Davis_1864352

Specimen UC Davis_1864353: postnatal adult; Gpx1tm1.1(KOMP)Vlcg/Gpx1+ (more )
Structure Level Pattern Image Note
TS28: eye Present UC Davis_1864353

Specimen UC Davis_1864354: postnatal adult; Gpx1tm1.1(KOMP)Vlcg/Gpx1+ (more )
Structure Level Pattern Image Note
TS28: eye Present UC Davis_1864354

Specimen UC Davis_1864355: postnatal adult; Gpx1tm1.1(KOMP)Vlcg/Gpx1+ (more )
Structure Level Pattern Image Note
TS28: eye Present UC Davis_1864355

Specimen UC Davis_1864356: postnatal adult; Gpx1tm1.1(KOMP)Vlcg/Gpx1+ (more )
Structure Level Pattern Image Note
TS28: eye Present UC Davis_1864356

Specimen UC Davis_1864359: postnatal adult; Gpx1tm1.1(KOMP)Vlcg/Gpx1+ (more )
Structure Level Pattern Image Note
TS28: Harderian gland Present UC Davis_1864359

Specimen UC Davis_1864360: postnatal adult; Gpx1tm1.1(KOMP)Vlcg/Gpx1+ (more )
Structure Level Pattern Image Note
TS28: Harderian gland Present UC Davis_1864360

Specimen UC Davis_1864361: postnatal adult; Gpx1tm1.1(KOMP)Vlcg/Gpx1+ (more )
Structure Level Pattern Image Note
TS28: Harderian gland Present UC Davis_1864361

Specimen UC Davis_1864362: postnatal adult; Gpx1tm1.1(KOMP)Vlcg/Gpx1+ (more )
Structure Level Pattern Image Note
TS28: gonadal fat pad Present UC Davis_1864362

Specimen UC Davis_1864363: postnatal adult; Gpx1tm1.1(KOMP)Vlcg/Gpx1+ (more )
Structure Level Pattern Image Note
TS28: gonadal fat pad Present UC Davis_1864363

Specimen UC Davis_1864364: postnatal adult; Gpx1tm1.1(KOMP)Vlcg/Gpx1+ (more )
Structure Level Pattern Image Note
TS28: mesenteric adipose tissue Present UC Davis_1864364

Specimen UC Davis_1864365: postnatal adult; Gpx1tm1.1(KOMP)Vlcg/Gpx1+ (more )
Structure Level Pattern Image Note
TS28: skin Present UC Davis_1864365

Specimen UC Davis_1864366: postnatal adult; Gpx1tm1.1(KOMP)Vlcg/Gpx1+ (more )
Structure Level Pattern Image Note
TS28: skin Present UC Davis_1864366

Specimen UC Davis_1864367: postnatal adult; Gpx1tm1.1(KOMP)Vlcg/Gpx1+ (more )
Structure Level Pattern Image Note
TS28: skin Present UC Davis_1864367

Specimen UC Davis_1864368: postnatal adult; Gpx1tm1.1(KOMP)Vlcg/Gpx1+ (more )
Structure Level Pattern Image Note
TS28: brown fat Present UC Davis_1864368

Specimen UC Davis_1864369: postnatal adult; Gpx1tm1.1(KOMP)Vlcg/Gpx1+ (more )
Structure Level Pattern Image Note
TS28: olfactory lobe Present UC Davis_1864369

Specimen UC Davis_1864373: postnatal adult; Gpx1tm1.1(KOMP)Vlcg/Gpx1+ (more )
Structure Level Pattern Image Note
TS28: midbrain Present UC Davis_1864373

Specimen UC Davis_1864375: postnatal adult; Gpx1tm1.1(KOMP)Vlcg/Gpx1+ (more )
Structure Level Pattern Image Note
TS28: cerebellum Present UC Davis_1864375

Specimen UC Davis_1864376: postnatal adult; Gpx1tm1.1(KOMP)Vlcg/Gpx1+ (more )
Structure Level Pattern Image Note
TS28: cerebellum Present UC Davis_1864376

Specimen UC Davis_1864377: postnatal adult; Gpx1tm1.1(KOMP)Vlcg/Gpx1+ (more )
Structure Level Pattern Image Note
TS28: trigeminal nerve Present UC Davis_1864377

Specimen UC Davis_1864378: postnatal adult; Gpx1tm1.1(KOMP)Vlcg/Gpx1+ (more )
Structure Level Pattern Image Note
TS28: ovary Present UC Davis_1864378

Specimen UC Davis_1864379: postnatal adult; Gpx1tm1.1(KOMP)Vlcg/Gpx1+ (more )
Structure Level Pattern Image Note
TS28: oviduct Present UC Davis_1864379

Specimen UC Davis_1864380: postnatal adult; Gpx1tm1.1(KOMP)Vlcg/Gpx1+ (more )
Structure Level Pattern Image Note
TS28: uterus Present UC Davis_1864380

Specimen UC Davis_1864381: postnatal adult; Gpx1tm1.1(KOMP)Vlcg/Gpx1+ (more )
Structure Level Pattern Image Note
TS28: uterus Present UC Davis_1864381

Specimen UC Davis_1864382: postnatal adult; Gpx1tm1.1(KOMP)Vlcg/Gpx1+ (more )
Structure Level Pattern Image Note
TS28: uterus Present UC Davis_1864382

Specimen UC Davis_1864383: postnatal adult; Gpx1tm1.1(KOMP)Vlcg/Gpx1+ (more )
Structure Level Pattern Image Note
TS28: vagina Present UC Davis_1864383

Specimen UC Davis_1864384: postnatal adult; Gpx1tm1.1(KOMP)Vlcg/Gpx1+ (more )
Structure Level Pattern Image Note
TS28: vagina Present UC Davis_1864384

Specimen UC Davis_1864385: postnatal adult; Gpx1tm1.1(KOMP)Vlcg/Gpx1+ (more )
Structure Level Pattern Image Note
TS28: vagina Present UC Davis_1864385

Specimen UC Davis_1864386: postnatal adult; Gpx1tm1.1(KOMP)Vlcg/Gpx1+ (more )
Structure Level Pattern Image Note
TS28: bladder Present UC Davis_1864386

Specimen UC Davis_1864387: postnatal adult; Gpx1tm1.1(KOMP)Vlcg/Gpx1+ (more )
Structure Level Pattern Image Note
TS28: bladder Present UC Davis_1864387

Specimen UC Davis_1864388: postnatal adult; Gpx1tm1.1(KOMP)Vlcg/Gpx1+ (more )
Structure Level Pattern Image Note
TS28: bladder Present UC Davis_1864388

Specimen UC Davis_1864390: postnatal adult; Gpx1tm1.1(KOMP)Vlcg/Gpx1+ (more )
Structure Level Pattern Image Note
TS28: blood Present UC Davis_1864390

Specimen UC Davis_1864391: postnatal adult; Gpx1tm1.1(KOMP)Vlcg/Gpx1+ (more )
Structure Level Pattern Image Note
TS28: blood Present UC Davis_1864391

Specimen UC Davis_1864392: postnatal adult; Gpx1tm1.1(KOMP)Vlcg/Gpx1+ (more )
Structure Level Pattern Image Note
TS28: bone marrow Present UC Davis_1864392

Specimen UC Davis_1864393: postnatal adult; Gpx1tm1.1(KOMP)Vlcg/Gpx1+ (more )
Structure Level Pattern Image Note
TS28: bone marrow Present UC Davis_1864393

Specimen UC Davis_1864394: postnatal adult; Gpx1tm1.1(KOMP)Vlcg/Gpx1+ (more )
Structure Level Pattern Image Note
TS28: mammary gland Present UC Davis_1864394

Specimen UC Davis_1864395: postnatal adult; Gpx1tm1.1(KOMP)Vlcg/Gpx1+ (more )
Structure Level Pattern Image Note
TS28: mammary gland Present UC Davis_1864395

Specimen UC Davis_1864397: postnatal adult; Gpx1tm1.1(KOMP)Vlcg/Gpx1+ (more )
Structure Level Pattern Image Note
TS28: submandibular gland Present UC Davis_1864397

Specimen UC Davis_1864398: postnatal adult; Gpx1tm1.1(KOMP)Vlcg/Gpx1+ (more )
Structure Level Pattern Image Note
TS28: submandibular gland Present UC Davis_1864398

Specimen UC Davis_1864399: postnatal adult; Gpx1tm1.1(KOMP)Vlcg/Gpx1+ (more )
Structure Level Pattern Image Note
TS28: sublingual gland Present UC Davis_1864399

Specimen UC Davis_1864400: postnatal adult; Gpx1tm1.1(KOMP)Vlcg/Gpx1+ (more )
Structure Level Pattern Image Note
TS28: sublingual gland Present UC Davis_1864400

Specimen UC Davis_1864401: postnatal adult; Gpx1tm1.1(KOMP)Vlcg/Gpx1+ (more )
Structure Level Pattern Image Note
TS28: parotid gland Present UC Davis_1864401

Specimen UC Davis_1864402: postnatal adult; Gpx1tm1.1(KOMP)Vlcg/Gpx1+ (more )
Structure Level Pattern Image Note
TS28: parotid gland Present UC Davis_1864402

Specimen UC Davis_1864403: postnatal adult; Gpx1tm1.1(KOMP)Vlcg/Gpx1+ (more )
Structure Level Pattern Image Note
TS28: trachea Present UC Davis_1864403

Specimen UC Davis_1864404: postnatal adult; Gpx1tm1.1(KOMP)Vlcg/Gpx1+ (more )
Structure Level Pattern Image Note
TS28: trachea Present UC Davis_1864404

Specimen UC Davis_1864405: postnatal adult; Gpx1tm1.1(KOMP)Vlcg/Gpx1+ (more )
Structure Level Pattern Image Note
TS28: esophagus Present UC Davis_1864405

Specimen UC Davis_1864406: postnatal adult; Gpx1tm1.1(KOMP)Vlcg/Gpx1+ (more )
Structure Level Pattern Image Note
TS28: esophagus Present UC Davis_1864406

Specimen UC Davis_1864407: postnatal adult; Gpx1tm1.1(KOMP)Vlcg/Gpx1+ (more )
Structure Level Pattern Image Note
TS28: thyroid gland Present UC Davis_1864407

Specimen UC Davis_1864408: postnatal adult; Gpx1tm1.1(KOMP)Vlcg/Gpx1+ (more )
Structure Level Pattern Image Note
TS28: thyroid gland Present UC Davis_1864408

Specimen UC Davis_1864411: postnatal adult; Gpx1tm1.1(KOMP)Vlcg/Gpx1+ (more )
Structure Level Pattern Image Note
TS28: parathyroid gland Present UC Davis_1864411

Specimen UC Davis_1864412: postnatal adult; Gpx1tm1.1(KOMP)Vlcg/Gpx1+ (more )
Structure Level Pattern Image Note
TS28: aorta Present UC Davis_1864412

Specimen UC Davis_1864413: postnatal adult; Gpx1tm1.1(KOMP)Vlcg/Gpx1+ (more )
Structure Level Pattern Image Note
TS28: aorta Present UC Davis_1864413

Specimen UC Davis_1864414: postnatal adult; Gpx1tm1.1(KOMP)Vlcg/Gpx1+ (more )
Structure Level Pattern Image Note
TS28: lung Present UC Davis_1864414

Specimen UC Davis_1864415: postnatal adult; Gpx1tm1.1(KOMP)Vlcg/Gpx1+ (more )
Structure Level Pattern Image Note
TS28: lung Present UC Davis_1864415

Specimen UC Davis_1864416: postnatal adult; Gpx1tm1.1(KOMP)Vlcg/Gpx1+ (more )
Structure Level Pattern Image Note
TS28: thymus Present UC Davis_1864416

Specimen UC Davis_1864417: postnatal adult; Gpx1tm1.1(KOMP)Vlcg/Gpx1+ (more )
Structure Level Pattern Image Note
TS28: thymus Present UC Davis_1864417

Specimen UC Davis_1864422: postnatal adult; Gpx1tm1.1(KOMP)Vlcg/Gpx1+ (more )
Structure Level Pattern Image Note
TS28: mesenteric lymph node Present UC Davis_1864422

Specimen UC Davis_1864423: postnatal adult; Gpx1tm1.1(KOMP)Vlcg/Gpx1+ (more )
Structure Level Pattern Image Note
TS28: stomach Present UC Davis_1864423

Specimen UC Davis_1864424: postnatal adult; Gpx1tm1.1(KOMP)Vlcg/Gpx1+ (more )
Structure Level Pattern Image Note
TS28: stomach Present UC Davis_1864424

Specimen UC Davis_1864425: postnatal adult; Gpx1tm1.1(KOMP)Vlcg/Gpx1+ (more )
Structure Level Pattern Image Note
TS28: stomach Present UC Davis_1864425

Specimen UC Davis_1864426: postnatal adult; Gpx1tm1.1(KOMP)Vlcg/Gpx1+ (more )
Structure Level Pattern Image Note
TS28: duodenum Present UC Davis_1864426

Specimen UC Davis_1864427: postnatal adult; Gpx1tm1.1(KOMP)Vlcg/Gpx1+ (more )
Structure Level Pattern Image Note
TS28: duodenum Present UC Davis_1864427

Specimen UC Davis_1864428: postnatal adult; Gpx1tm1.1(KOMP)Vlcg/Gpx1+ (more )
Structure Level Pattern Image Note
TS28: jejunum Present UC Davis_1864428

Specimen UC Davis_1864429: postnatal adult; Gpx1tm1.1(KOMP)Vlcg/Gpx1+ (more )
Structure Level Pattern Image Note
TS28: jejunum Present UC Davis_1864429

Specimen UC Davis_1864430: postnatal adult; Gpx1tm1.1(KOMP)Vlcg/Gpx1+ (more )
Structure Level Pattern Image Note
TS28: ileum Present UC Davis_1864430

Specimen UC Davis_1864431: postnatal adult; Gpx1tm1.1(KOMP)Vlcg/Gpx1+ (more )
Structure Level Pattern Image Note
TS28: colon Present UC Davis_1864431

Specimen UC Davis_1864432: postnatal adult; Gpx1tm1.1(KOMP)Vlcg/Gpx1+ (more )
Structure Level Pattern Image Note
TS28: colon Present UC Davis_1864432

Specimen UC Davis_1864433: postnatal adult; Gpx1tm1.1(KOMP)Vlcg/Gpx1+ (more )
Structure Level Pattern Image Note
TS28: cecum Present UC Davis_1864433

Specimen UC Davis_1864434: postnatal adult; Gpx1tm1.1(KOMP)Vlcg/Gpx1+ (more )
Structure Level Pattern Image Note
TS28: spleen Present UC Davis_1864434

Specimen UC Davis_1864435: postnatal adult; Gpx1tm1.1(KOMP)Vlcg/Gpx1+ (more )
Structure Level Pattern Image Note
TS28: spleen Present UC Davis_1864435

Specimen UC Davis_1864436: postnatal adult; Gpx1tm1.1(KOMP)Vlcg/Gpx1+ (more )
Structure Level Pattern Image Note
TS28: pancreas Present UC Davis_1864436

Specimen UC Davis_1864437: postnatal adult; Gpx1tm1.1(KOMP)Vlcg/Gpx1+ (more )
Structure Level Pattern Image Note
TS28: pancreas Present UC Davis_1864437

Specimen UC Davis_1864438: postnatal adult; Gpx1tm1.1(KOMP)Vlcg/Gpx1+ (more )
Structure Level Pattern Image Note
TS28: liver Present UC Davis_1864438

Specimen UC Davis_1864439: postnatal adult; Gpx1tm1.1(KOMP)Vlcg/Gpx1+ (more )
Structure Level Pattern Image Note
TS28: liver Present UC Davis_1864439

Specimen UC Davis_1864440: postnatal adult; Gpx1tm1.1(KOMP)Vlcg/Gpx1+ (more )
Structure Level Pattern Image Note
TS28: metanephros Present UC Davis_1864440 kidney

Specimen UC Davis_1864441: postnatal adult; Gpx1tm1.1(KOMP)Vlcg/Gpx1+ (more )
Structure Level Pattern Image Note
TS28: metanephros Present UC Davis_1864441 kidney

Specimen UC Davis_1864442: postnatal adult; Gpx1tm1.1(KOMP)Vlcg/Gpx1+ (more )
Structure Level Pattern Image Note
TS28: metanephros Present UC Davis_1864442 kidney

Specimen UC Davis_1864443: postnatal adult; Gpx1tm1.1(KOMP)Vlcg/Gpx1+ (more )
Structure Level Pattern Image Note
TS28: quadriceps femoris muscle Present UC Davis_1864443

Specimen UC Davis_1864444: postnatal adult; Gpx1tm1.1(KOMP)Vlcg/Gpx1+ (more )
Structure Level Pattern Image Note
TS28: quadriceps femoris muscle Present UC Davis_1864444

Specimen UC Davis_1864445: postnatal adult; Gpx1tm1.1(KOMP)Vlcg/Gpx1+ (more )
Structure Level Pattern Image Note
TS28: tongue Present UC Davis_1864445

Specimen UC Davis_1864446: postnatal adult; Gpx1tm1.1(KOMP)Vlcg/Gpx1+ (more )
Structure Level Pattern Image Note
TS28: tongue Present UC Davis_1864446

Specimen UC Davis_1864447: postnatal adult; Gpx1tm1.1(KOMP)Vlcg/Gpx1+ (more )
Structure Level Pattern Image Note
TS28: tongue Present UC Davis_1864447

Specimen UC Davis_1864448: postnatal adult; Gpx1tm1.1(KOMP)Vlcg/Gpx1+ (more )
Structure Level Pattern Image Note
TS28: diaphragm Present UC Davis_1864448

Specimen UC Davis_1864449: postnatal adult; Gpx1tm1.1(KOMP)Vlcg/Gpx1+ (more )
Structure Level Pattern Image Note
TS28: adrenal gland Present UC Davis_1864449

Specimen UC Davis_1864450: postnatal adult; Gpx1tm1.1(KOMP)Vlcg/Gpx1+ (more )
Structure Level Pattern Image Note
TS28: adrenal gland Present UC Davis_1864450

Specimen UC Davis_1864451: postnatal adult; Gpx1tm1.1(KOMP)Vlcg/Gpx1+ (more )
Structure Level Pattern Image Note
TS28: pituitary gland Present UC Davis_1864451

Specimen UC Davis_1864452: postnatal adult; Gpx1tm1.1(KOMP)Vlcg/Gpx1+ (more )
Structure Level Pattern Image Note
TS28: pituitary gland Present UC Davis_1864452

Specimen UC Davis_1864453: postnatal adult; Gpx1tm1.1(KOMP)Vlcg/Gpx1+ (more )
Structure Level Pattern Image Note
TS28: spinal cord Present UC Davis_1864453

Specimen UC Davis_1864454: postnatal adult; Gpx1tm1.1(KOMP)Vlcg/Gpx1+ (more )
Structure Level Pattern Image Note
TS28: spinal cord Present UC Davis_1864454

Specimen UC Davis_1864455: postnatal adult; Gpx1tm1.1(KOMP)Vlcg/Gpx1+ (more )
Structure Level Pattern Image Note
TS28: eye Present UC Davis_1864455

Specimen UC Davis_1864456: postnatal adult; Gpx1tm1.1(KOMP)Vlcg/Gpx1+ (more )
Structure Level Pattern Image Note
TS28: eye Present UC Davis_1864456

Specimen UC Davis_1864457: postnatal adult; Gpx1tm1.1(KOMP)Vlcg/Gpx1+ (more )
Structure Level Pattern Image Note
TS28: eye Present UC Davis_1864457

Specimen UC Davis_1864458: postnatal adult; Gpx1tm1.1(KOMP)Vlcg/Gpx1+ (more )
Structure Level Pattern Image Note
TS28: eye Present UC Davis_1864458

Specimen UC Davis_1864461: postnatal adult; Gpx1tm1.1(KOMP)Vlcg/Gpx1+ (more )
Structure Level Pattern Image Note
TS28: Harderian gland Present UC Davis_1864461

Specimen UC Davis_1864462: postnatal adult; Gpx1tm1.1(KOMP)Vlcg/Gpx1+ (more )
Structure Level Pattern Image Note
TS28: mesenteric adipose tissue Present UC Davis_1864462

Specimen UC Davis_1864463: postnatal adult; Gpx1tm1.1(KOMP)Vlcg/Gpx1+ (more )
Structure Level Pattern Image Note
TS28: skin Present UC Davis_1864463

Specimen UC Davis_1864464: postnatal adult; Gpx1tm1.1(KOMP)Vlcg/Gpx1+ (more )
Structure Level Pattern Image Note
TS28: skin Present UC Davis_1864464

Specimen UC Davis_1864465: postnatal adult; Gpx1tm1.1(KOMP)Vlcg/Gpx1+ (more )
Structure Level Pattern Image Note
TS28: brown fat Present UC Davis_1864465

Specimen UC Davis_1864466: postnatal adult; Gpx1tm1.1(KOMP)Vlcg/Gpx1+ (more )
Structure Level Pattern Image Note
TS28: olfactory lobe Present UC Davis_1864466

Specimen UC Davis_1864469: postnatal adult; Gpx1tm1.1(KOMP)Vlcg/Gpx1+ (more )
Structure Level Pattern Image Note
TS28: midbrain Present UC Davis_1864469

Specimen UC Davis_1864471: postnatal adult; Gpx1tm1.1(KOMP)Vlcg/Gpx1+ (more )
Structure Level Pattern Image Note
TS28: cerebellum Present UC Davis_1864471

Specimen UC Davis_1864472: postnatal adult; Gpx1tm1.1(KOMP)Vlcg/Gpx1+ (more )
Structure Level Pattern Image Note
TS28: trigeminal nerve Present UC Davis_1864472

Specimen UC Davis_1864473: postnatal adult; Gpx1tm1.1(KOMP)Vlcg/Gpx1+ (more )
Structure Level Pattern Image Note
TS28: trigeminal nerve Present UC Davis_1864473

Specimen UC Davis_1864474: postnatal adult; Gpx1tm1.1(KOMP)Vlcg/Gpx1+ (more )
Structure Level Pattern Image Note
TS28: bladder Present UC Davis_1864474

Specimen UC Davis_1864475: postnatal adult; Gpx1tm1.1(KOMP)Vlcg/Gpx1+ (more )
Structure Level Pattern Image Note
TS28: bladder Present UC Davis_1864475

Specimen UC Davis_1864476: postnatal adult; Gpx1tm1.1(KOMP)Vlcg/Gpx1+ (more )
Structure Level Pattern Image Note
TS28: testis Present UC Davis_1864476

Specimen UC Davis_1864477: postnatal adult; Gpx1tm1.1(KOMP)Vlcg/Gpx1+ (more )
Structure Level Pattern Image Note
TS28: epididymis Present UC Davis_1864477

Specimen UC Davis_1864478: postnatal adult; Gpx1tm1.1(KOMP)Vlcg/Gpx1+ (more )
Structure Level Pattern Image Note
TS28: epididymis Present UC Davis_1864478

Specimen UC Davis_1864479: postnatal adult; Gpx1tm1.1(KOMP)Vlcg/Gpx1+ (more )
Structure Level Pattern Image Note
TS28: prostate gland Present UC Davis_1864479

Specimen UC Davis_1864480: postnatal adult; Gpx1tm1.1(KOMP)Vlcg/Gpx1+ (more )
Structure Level Pattern Image Note
TS28: prostate gland Present UC Davis_1864480

Specimen UC Davis_1864481: postnatal adult; Gpx1tm1.1(KOMP)Vlcg/Gpx1+ (more )
Structure Level Pattern Image Note
TS28: penis Present UC Davis_1864481

Specimen UC Davis_1864482: postnatal adult; Gpx1tm1.1(KOMP)Vlcg/Gpx1+ (more )
Structure Level Pattern Image Note
TS28: penis Present UC Davis_1864482

Specimen UC Davis_1864483: postnatal adult; Gpx1tm1.1(KOMP)Vlcg/Gpx1+ (more )
Structure Level Pattern Image Note
TS28: penis Present UC Davis_1864483

Specimen UC Davis_1864484: postnatal adult; Gpx1tm1.1(KOMP)Vlcg/Gpx1+ (more )
Structure Level Pattern Image Note
TS28: blood Present UC Davis_1864484

Specimen UC Davis_1864485: postnatal adult; Gpx1tm1.1(KOMP)Vlcg/Gpx1+ (more )
Structure Level Pattern Image Note
TS28: bone marrow Present UC Davis_1864485

Specimen UC Davis_1864486: postnatal adult; Gpx1tm1.1(KOMP)Vlcg/Gpx1+ (more )
Structure Level Pattern Image Note
TS28: ductus deferens Present UC Davis_1864486 vas deferens

Specimen UC Davis_1864487: postnatal adult; Gpx1tm1.1(KOMP)Vlcg/Gpx1+ (more )
Structure Level Pattern Image Note
TS28: ductus deferens Present UC Davis_1864487 vas deferens

Specimen UC Davis_1864492: postnatal adult; Gpx1tm1.1(KOMP)Vlcg/Gpx1+ (more )
Structure Level Pattern Image Note
TS28: seminal vesicle Present UC Davis_1864492 vesicular gland

Specimen UC Davis_1864493: postnatal adult; Gpx1tm1.1(KOMP)Vlcg/Gpx1+ (more )
Structure Level Pattern Image Note
TS28: seminal vesicle Present UC Davis_1864493 vesicular gland


Contributing Projects:
Mouse Genome Database (MGD), Gene Expression Database (GXD), Mouse Models of Human Cancer database (MMHCdb) (formerly Mouse Tumor Biology (MTB)), Gene Ontology (GO)
Citing These Resources
Funding Information
Warranty Disclaimer, Privacy Notice, Licensing, & Copyright
Send questions and comments to User Support.
last database update
01/28/2026
MGI 6.24
The Jackson Laboratory