About   Help   FAQ
Gene Expression Data
Assay Details
Assay
Reference: J:228563 Koscielny G, et al., The International Mouse Phenotyping Consortium Web Portal, a unified point of access for knockout mice and related phenotyping data. Nucleic Acids Res. 2014 Jan;42(Database issue):D802-9
Assay type: In situ reporter (knock in)
MGI Accession ID: MGI:6691017
Gene symbol: Sik1
Gene name: salt inducible kinase 1
Reporter: lacZ
Direct Detection
Results
Specimen UC Davis_1854203: postnatal adult; Sik1tm1.1(KOMP)Vlcg/Sik1+ (more )
Structure Level Pattern Image Note
TS28: submandibular gland Present UC Davis_1854203

Specimen UC Davis_1854204: postnatal adult; Sik1tm1.1(KOMP)Vlcg/Sik1+ (more )
Structure Level Pattern Image Note
TS28: submandibular gland Present UC Davis_1854204

Specimen UC Davis_1854205: postnatal adult; Sik1tm1.1(KOMP)Vlcg/Sik1+ (more )
Structure Level Pattern Image Note
TS28: submandibular gland Present UC Davis_1854205

Specimen UC Davis_1854206: postnatal adult; Sik1tm1.1(KOMP)Vlcg/Sik1+ (more )
Structure Level Pattern Image Note
TS28: sublingual gland Present UC Davis_1854206

Specimen UC Davis_1854207: postnatal adult; Sik1tm1.1(KOMP)Vlcg/Sik1+ (more )
Structure Level Pattern Image Note
TS28: sublingual gland Present UC Davis_1854207

Specimen UC Davis_1854208: postnatal adult; Sik1tm1.1(KOMP)Vlcg/Sik1+ (more )
Structure Level Pattern Image Note
TS28: sublingual gland Present UC Davis_1854208

Specimen UC Davis_1854209: postnatal adult; Sik1tm1.1(KOMP)Vlcg/Sik1+ (more )
Structure Level Pattern Image Note
TS28: trachea Present UC Davis_1854209

Specimen UC Davis_1854210: postnatal adult; Sik1tm1.1(KOMP)Vlcg/Sik1+ (more )
Structure Level Pattern Image Note
TS28: trachea Present UC Davis_1854210

Specimen UC Davis_1854211: postnatal adult; Sik1tm1.1(KOMP)Vlcg/Sik1+ (more )
Structure Level Pattern Image Note
TS28: trachea Present UC Davis_1854211

Specimen UC Davis_1854212: postnatal adult; Sik1tm1.1(KOMP)Vlcg/Sik1+ (more )
Structure Level Pattern Image Note
TS28: esophagus Present UC Davis_1854212

Specimen UC Davis_1854213: postnatal adult; Sik1tm1.1(KOMP)Vlcg/Sik1+ (more )
Structure Level Pattern Image Note
TS28: esophagus Present UC Davis_1854213

Specimen UC Davis_1854214: postnatal adult; Sik1tm1.1(KOMP)Vlcg/Sik1+ (more )
Structure Level Pattern Image Note
TS28: esophagus Present UC Davis_1854214

Specimen UC Davis_1854215: postnatal adult; Sik1tm1.1(KOMP)Vlcg/Sik1+ (more )
Structure Level Pattern Image Note
TS28: thyroid gland Present UC Davis_1854215

Specimen UC Davis_1854216: postnatal adult; Sik1tm1.1(KOMP)Vlcg/Sik1+ (more )
Structure Level Pattern Image Note
TS28: parathyroid gland Present UC Davis_1854216

Specimen UC Davis_1854217: postnatal adult; Sik1tm1.1(KOMP)Vlcg/Sik1+ (more )
Structure Level Pattern Image Note
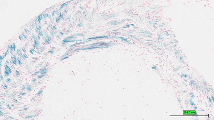
TS28: aorta Present UC Davis_1854217

Specimen UC Davis_1854218: postnatal adult; Sik1tm1.1(KOMP)Vlcg/Sik1+ (more )
Structure Level Pattern Image Note
TS28: lung Present UC Davis_1854218

Specimen UC Davis_1854219: postnatal adult; Sik1tm1.1(KOMP)Vlcg/Sik1+ (more )
Structure Level Pattern Image Note
TS28: lung Present UC Davis_1854219

Specimen UC Davis_1854220: postnatal adult; Sik1tm1.1(KOMP)Vlcg/Sik1+ (more )
Structure Level Pattern Image Note
TS28: lung Present UC Davis_1854220

Specimen UC Davis_1854221: postnatal adult; Sik1tm1.1(KOMP)Vlcg/Sik1+ (more )
Structure Level Pattern Image Note
TS28: thymus Present UC Davis_1854221

Specimen UC Davis_1854222: postnatal adult; Sik1tm1.1(KOMP)Vlcg/Sik1+ (more )
Structure Level Pattern Image Note
TS28: thymus Present UC Davis_1854222

Specimen UC Davis_1854223: postnatal adult; Sik1tm1.1(KOMP)Vlcg/Sik1+ (more )
Structure Level Pattern Image Note
TS28: thymus Present UC Davis_1854223

Specimen UC Davis_1854232: postnatal adult; Sik1tm1.1(KOMP)Vlcg/Sik1+ (more )
Structure Level Pattern Image Note
TS28: stomach Present UC Davis_1854232

Specimen UC Davis_1854233: postnatal adult; Sik1tm1.1(KOMP)Vlcg/Sik1+ (more )
Structure Level Pattern Image Note
TS28: stomach Present UC Davis_1854233

Specimen UC Davis_1854234: postnatal adult; Sik1tm1.1(KOMP)Vlcg/Sik1+ (more )
Structure Level Pattern Image Note
TS28: stomach Present UC Davis_1854234

Specimen UC Davis_1854235: postnatal adult; Sik1tm1.1(KOMP)Vlcg/Sik1+ (more )
Structure Level Pattern Image Note
TS28: jejunum Present UC Davis_1854235

Specimen UC Davis_1854236: postnatal adult; Sik1tm1.1(KOMP)Vlcg/Sik1+ (more )
Structure Level Pattern Image Note
TS28: jejunum Present UC Davis_1854236

Specimen UC Davis_1854237: postnatal adult; Sik1tm1.1(KOMP)Vlcg/Sik1+ (more )
Structure Level Pattern Image Note
TS28: jejunum Present UC Davis_1854237

Specimen UC Davis_1854238: postnatal adult; Sik1tm1.1(KOMP)Vlcg/Sik1+ (more )
Structure Level Pattern Image Note
TS28: colon Present UC Davis_1854238

Specimen UC Davis_1854239: postnatal adult; Sik1tm1.1(KOMP)Vlcg/Sik1+ (more )
Structure Level Pattern Image Note
TS28: colon Present UC Davis_1854239

Specimen UC Davis_1854240: postnatal adult; Sik1tm1.1(KOMP)Vlcg/Sik1+ (more )
Structure Level Pattern Image Note
TS28: colon Present UC Davis_1854240

Specimen UC Davis_1854241: postnatal adult; Sik1tm1.1(KOMP)Vlcg/Sik1+ (more )
Structure Level Pattern Image Note
TS28: cecum Present UC Davis_1854241

Specimen UC Davis_1854242: postnatal adult; Sik1tm1.1(KOMP)Vlcg/Sik1+ (more )
Structure Level Pattern Image Note
TS28: cecum Present UC Davis_1854242

Specimen UC Davis_1854243: postnatal adult; Sik1tm1.1(KOMP)Vlcg/Sik1+ (more )
Structure Level Pattern Image Note
TS28: cecum Present UC Davis_1854243

Specimen UC Davis_1854244: postnatal adult; Sik1tm1.1(KOMP)Vlcg/Sik1+ (more )
Structure Level Pattern Image Note
TS28: spleen Present UC Davis_1854244

Specimen UC Davis_1854245: postnatal adult; Sik1tm1.1(KOMP)Vlcg/Sik1+ (more )
Structure Level Pattern Image Note
TS28: spleen Present UC Davis_1854245

Specimen UC Davis_1854246: postnatal adult; Sik1tm1.1(KOMP)Vlcg/Sik1+ (more )
Structure Level Pattern Image Note
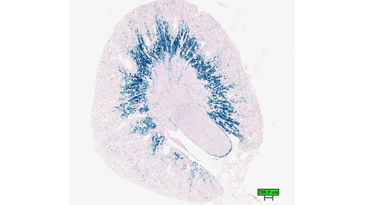
TS28: metanephros Present UC Davis_1854246 kidney

Specimen UC Davis_1854247: postnatal adult; Sik1tm1.1(KOMP)Vlcg/Sik1+ (more )
Structure Level Pattern Image Note
TS28: metanephros Present UC Davis_1854247 kidney

Specimen UC Davis_1854248: postnatal adult; Sik1tm1.1(KOMP)Vlcg/Sik1+ (more )
Structure Level Pattern Image Note
TS28: metanephros Present UC Davis_1854248 kidney

Specimen UC Davis_1854249: postnatal adult; Sik1tm1.1(KOMP)Vlcg/Sik1+ (more )
Structure Level Pattern Image Note
TS28: metanephros Present UC Davis_1854249 kidney

Specimen UC Davis_1854250: postnatal adult; Sik1tm1.1(KOMP)Vlcg/Sik1+ (more )
Structure Level Pattern Image Note
TS28: quadriceps femoris muscle Present UC Davis_1854250

Specimen UC Davis_1854251: postnatal adult; Sik1tm1.1(KOMP)Vlcg/Sik1+ (more )
Structure Level Pattern Image Note
TS28: quadriceps femoris muscle Present UC Davis_1854251

Specimen UC Davis_1854252: postnatal adult; Sik1tm1.1(KOMP)Vlcg/Sik1+ (more )
Structure Level Pattern Image Note
TS28: tongue Present UC Davis_1854252

Specimen UC Davis_1854253: postnatal adult; Sik1tm1.1(KOMP)Vlcg/Sik1+ (more )
Structure Level Pattern Image Note
TS28: tongue Present UC Davis_1854253

Specimen UC Davis_1854254: postnatal adult; Sik1tm1.1(KOMP)Vlcg/Sik1+ (more )
Structure Level Pattern Image Note
TS28: tongue Present UC Davis_1854254

Specimen UC Davis_1854255: postnatal adult; Sik1tm1.1(KOMP)Vlcg/Sik1+ (more )
Structure Level Pattern Image Note
TS28: diaphragm Present UC Davis_1854255

Specimen UC Davis_1854256: postnatal adult; Sik1tm1.1(KOMP)Vlcg/Sik1+ (more )
Structure Level Pattern Image Note
TS28: diaphragm Present UC Davis_1854256

Specimen UC Davis_1854257: postnatal adult; Sik1tm1.1(KOMP)Vlcg/Sik1+ (more )
Structure Level Pattern Image Note
TS28: diaphragm Present UC Davis_1854257

Specimen UC Davis_1854258: postnatal adult; Sik1tm1.1(KOMP)Vlcg/Sik1+ (more )
Structure Level Pattern Image Note
TS28: adrenal gland Present UC Davis_1854258

Specimen UC Davis_1854259: postnatal adult; Sik1tm1.1(KOMP)Vlcg/Sik1+ (more )
Structure Level Pattern Image Note
TS28: adrenal gland Present UC Davis_1854259

Specimen UC Davis_1854260: postnatal adult; Sik1tm1.1(KOMP)Vlcg/Sik1+ (more )
Structure Level Pattern Image Note
TS28: pituitary gland Present UC Davis_1854260

Specimen UC Davis_1854261: postnatal adult; Sik1tm1.1(KOMP)Vlcg/Sik1+ (more )
Structure Level Pattern Image Note
TS28: eye Present UC Davis_1854261

Specimen UC Davis_1854262: postnatal adult; Sik1tm1.1(KOMP)Vlcg/Sik1+ (more )
Structure Level Pattern Image Note
TS28: eye Present UC Davis_1854262

Specimen UC Davis_1854263: postnatal adult; Sik1tm1.1(KOMP)Vlcg/Sik1+ (more )
Structure Level Pattern Image Note
TS28: eye Present UC Davis_1854263

Specimen UC Davis_1854267: postnatal adult; Sik1tm1.1(KOMP)Vlcg/Sik1+ (more )
Structure Level Pattern Image Note
TS28: Harderian gland Present UC Davis_1854267

Specimen UC Davis_1854268: postnatal adult; Sik1tm1.1(KOMP)Vlcg/Sik1+ (more )
Structure Level Pattern Image Note
TS28: Harderian gland Present UC Davis_1854268

Specimen UC Davis_1854269: postnatal adult; Sik1tm1.1(KOMP)Vlcg/Sik1+ (more )
Structure Level Pattern Image Note
TS28: skin Present UC Davis_1854269

Specimen UC Davis_1854270: postnatal adult; Sik1tm1.1(KOMP)Vlcg/Sik1+ (more )
Structure Level Pattern Image Note
TS28: skin Present UC Davis_1854270

Specimen UC Davis_1854271: postnatal adult; Sik1tm1.1(KOMP)Vlcg/Sik1+ (more )
Structure Level Pattern Image Note
TS28: skin Present UC Davis_1854271

Specimen UC Davis_1854272: postnatal adult; Sik1tm1.1(KOMP)Vlcg/Sik1+ (more )
Structure Level Pattern Image Note
TS28: brown fat Present UC Davis_1854272

Specimen UC Davis_1854273: postnatal adult; Sik1tm1.1(KOMP)Vlcg/Sik1+ (more )
Structure Level Pattern Image Note
TS28: brown fat Present UC Davis_1854273

Specimen UC Davis_1854274: postnatal adult; Sik1tm1.1(KOMP)Vlcg/Sik1+ (more )
Structure Level Pattern Image Note
TS28: brown fat Present UC Davis_1854274

Specimen UC Davis_1854275: postnatal adult; Sik1tm1.1(KOMP)Vlcg/Sik1+ (more )
Structure Level Pattern Image Note
TS28: olfactory lobe Present UC Davis_1854275

Specimen UC Davis_1854277: postnatal adult; Sik1tm1.1(KOMP)Vlcg/Sik1+ (more )
Structure Level Pattern Image Note
TS28: midbrain Present UC Davis_1854277

Specimen UC Davis_1854279: postnatal adult; Sik1tm1.1(KOMP)Vlcg/Sik1+ (more )
Structure Level Pattern Image Note
TS28: cerebellum Present UC Davis_1854279

Specimen UC Davis_1854280: postnatal adult; Sik1tm1.1(KOMP)Vlcg/Sik1+ (more )
Structure Level Pattern Image Note
TS28: ovary Present UC Davis_1854280

Specimen UC Davis_1854281: postnatal adult; Sik1tm1.1(KOMP)Vlcg/Sik1+ (more )
Structure Level Pattern Image Note
TS28: ovary Present UC Davis_1854281

Specimen UC Davis_1854282: postnatal adult; Sik1tm1.1(KOMP)Vlcg/Sik1+ (more )
Structure Level Pattern Image Note
TS28: ovary Present UC Davis_1854282

Specimen UC Davis_1854283: postnatal adult; Sik1tm1.1(KOMP)Vlcg/Sik1+ (more )
Structure Level Pattern Image Note
TS28: oviduct Present UC Davis_1854283

Specimen UC Davis_1854284: postnatal adult; Sik1tm1.1(KOMP)Vlcg/Sik1+ (more )
Structure Level Pattern Image Note
TS28: oviduct Present UC Davis_1854284

Specimen UC Davis_1854285: postnatal adult; Sik1tm1.1(KOMP)Vlcg/Sik1+ (more )
Structure Level Pattern Image Note
TS28: oviduct Present UC Davis_1854285

Specimen UC Davis_1854286: postnatal adult; Sik1tm1.1(KOMP)Vlcg/Sik1+ (more )
Structure Level Pattern Image Note
TS28: uterus Present UC Davis_1854286

Specimen UC Davis_1854287: postnatal adult; Sik1tm1.1(KOMP)Vlcg/Sik1+ (more )
Structure Level Pattern Image Note
TS28: uterus Present UC Davis_1854287

Specimen UC Davis_1854288: postnatal adult; Sik1tm1.1(KOMP)Vlcg/Sik1+ (more )
Structure Level Pattern Image Note
TS28: uterus Present UC Davis_1854288

Specimen UC Davis_1854289: postnatal adult; Sik1tm1.1(KOMP)Vlcg/Sik1+ (more )
Structure Level Pattern Image Note
TS28: vagina Present UC Davis_1854289

Specimen UC Davis_1854290: postnatal adult; Sik1tm1.1(KOMP)Vlcg/Sik1+ (more )
Structure Level Pattern Image Note
TS28: vagina Present UC Davis_1854290

Specimen UC Davis_1854291: postnatal adult; Sik1tm1.1(KOMP)Vlcg/Sik1+ (more )
Structure Level Pattern Image Note
TS28: vagina Present UC Davis_1854291

Specimen UC Davis_1854292: postnatal adult; Sik1tm1.1(KOMP)Vlcg/Sik1+ (more )
Structure Level Pattern Image Note
TS28: bladder Present UC Davis_1854292

Specimen UC Davis_1854293: postnatal adult; Sik1tm1.1(KOMP)Vlcg/Sik1+ (more )
Structure Level Pattern Image Note
TS28: bladder Present UC Davis_1854293

Specimen UC Davis_1854294: postnatal adult; Sik1tm1.1(KOMP)Vlcg/Sik1+ (more )
Structure Level Pattern Image Note
TS28: bladder Present UC Davis_1854294

Specimen UC Davis_1854349: postnatal adult; Sik1tm1.1(KOMP)Vlcg/Sik1+ (more )
Structure Level Pattern Image Note
TS28: aorta Present UC Davis_1854349

Specimen UC Davis_1854351: postnatal adult; Sik1tm1.1(KOMP)Vlcg/Sik1+ (more )
Structure Level Pattern Image Note
TS28: trachea Present UC Davis_1854351

Specimen UC Davis_1854353: postnatal adult; Sik1tm1.1(KOMP)Vlcg/Sik1+ (more )
Structure Level Pattern Image Note
TS28: esophagus Present UC Davis_1854353

Specimen UC Davis_1854354: postnatal adult; Sik1tm1.1(KOMP)Vlcg/Sik1+ (more )
Structure Level Pattern Image Note
TS28: thyroid gland Present UC Davis_1854354

Specimen UC Davis_1854355: postnatal adult; Sik1tm1.1(KOMP)Vlcg/Sik1+ (more )
Structure Level Pattern Image Note
TS28: mesenteric adipose tissue Present UC Davis_1854355

Specimen UC Davis_1854356: postnatal adult; Sik1tm1.1(KOMP)Vlcg/Sik1+ (more )
Structure Level Pattern Image Note
TS28: ovary Present UC Davis_1854356

Specimen UC Davis_1854357: postnatal adult; Sik1tm1.1(KOMP)Vlcg/Sik1+ (more )
Structure Level Pattern Image Note
TS28: oviduct Present UC Davis_1854357

Specimen UC Davis_1854358: postnatal adult; Sik1tm1.1(KOMP)Vlcg/Sik1+ (more )
Structure Level Pattern Image Note
TS28: uterus Present UC Davis_1854358

Specimen UC Davis_1854085: postnatal adult; Sik1tm1.1(KOMP)Vlcg/Sik1+ (more )
Structure Level Pattern Image Note
TS28: submandibular gland Present UC Davis_1854085

Specimen UC Davis_1854086: postnatal adult; Sik1tm1.1(KOMP)Vlcg/Sik1+ (more )
Structure Level Pattern Image Note
TS28: submandibular gland Present UC Davis_1854086

Specimen UC Davis_1854087: postnatal adult; Sik1tm1.1(KOMP)Vlcg/Sik1+ (more )
Structure Level Pattern Image Note
TS28: submandibular gland Present UC Davis_1854087

Specimen UC Davis_1854088: postnatal adult; Sik1tm1.1(KOMP)Vlcg/Sik1+ (more )
Structure Level Pattern Image Note
TS28: sublingual gland Present UC Davis_1854088

Specimen UC Davis_1854089: postnatal adult; Sik1tm1.1(KOMP)Vlcg/Sik1+ (more )
Structure Level Pattern Image Note
TS28: sublingual gland Present UC Davis_1854089

Specimen UC Davis_1854090: postnatal adult; Sik1tm1.1(KOMP)Vlcg/Sik1+ (more )
Structure Level Pattern Image Note
TS28: parotid gland Present UC Davis_1854090

Specimen UC Davis_1854091: postnatal adult; Sik1tm1.1(KOMP)Vlcg/Sik1+ (more )
Structure Level Pattern Image Note
TS28: trachea Present UC Davis_1854091

Specimen UC Davis_1854092: postnatal adult; Sik1tm1.1(KOMP)Vlcg/Sik1+ (more )
Structure Level Pattern Image Note
TS28: esophagus Present UC Davis_1854092

Specimen UC Davis_1854093: postnatal adult; Sik1tm1.1(KOMP)Vlcg/Sik1+ (more )
Structure Level Pattern Image Note
TS28: esophagus Present UC Davis_1854093

Specimen UC Davis_1854094: postnatal adult; Sik1tm1.1(KOMP)Vlcg/Sik1+ (more )
Structure Level Pattern Image Note
TS28: esophagus Present UC Davis_1854094

Specimen UC Davis_1854095: postnatal adult; Sik1tm1.1(KOMP)Vlcg/Sik1+ (more )
Structure Level Pattern Image Note
TS28: thyroid gland Present UC Davis_1854095

Specimen UC Davis_1854098: postnatal adult; Sik1tm1.1(KOMP)Vlcg/Sik1+ (more )
Structure Level Pattern Image Note
TS28: parathyroid gland Present UC Davis_1854098

Specimen UC Davis_1854099: postnatal adult; Sik1tm1.1(KOMP)Vlcg/Sik1+ (more )
Structure Level Pattern Image Note
TS28: aorta Present UC Davis_1854099

Specimen UC Davis_1854100: postnatal adult; Sik1tm1.1(KOMP)Vlcg/Sik1+ (more )
Structure Level Pattern Image Note
TS28: aorta Present UC Davis_1854100

Specimen UC Davis_1854101: postnatal adult; Sik1tm1.1(KOMP)Vlcg/Sik1+ (more )
Structure Level Pattern Image Note
TS28: lung Present UC Davis_1854101

Specimen UC Davis_1854102: postnatal adult; Sik1tm1.1(KOMP)Vlcg/Sik1+ (more )
Structure Level Pattern Image Note
TS28: lung Present UC Davis_1854102

Specimen UC Davis_1854103: postnatal adult; Sik1tm1.1(KOMP)Vlcg/Sik1+ (more )
Structure Level Pattern Image Note
TS28: lung Present UC Davis_1854103

Specimen UC Davis_1854104: postnatal adult; Sik1tm1.1(KOMP)Vlcg/Sik1+ (more )
Structure Level Pattern Image Note
TS28: lung Present UC Davis_1854104

Specimen UC Davis_1854105: postnatal adult; Sik1tm1.1(KOMP)Vlcg/Sik1+ (more )
Structure Level Pattern Image Note
TS28: thymus Present UC Davis_1854105

Specimen UC Davis_1854106: postnatal adult; Sik1tm1.1(KOMP)Vlcg/Sik1+ (more )
Structure Level Pattern Image Note
TS28: thymus Present UC Davis_1854106

Specimen UC Davis_1854107: postnatal adult; Sik1tm1.1(KOMP)Vlcg/Sik1+ (more )
Structure Level Pattern Image Note
TS28: thymus Present UC Davis_1854107

Specimen UC Davis_1854115: postnatal adult; Sik1tm1.1(KOMP)Vlcg/Sik1+ (more )
Structure Level Pattern Image Note
TS28: mesenteric lymph node Present UC Davis_1854115

Specimen UC Davis_1854116: postnatal adult; Sik1tm1.1(KOMP)Vlcg/Sik1+ (more )
Structure Level Pattern Image Note
TS28: stomach Present UC Davis_1854116

Specimen UC Davis_1854117: postnatal adult; Sik1tm1.1(KOMP)Vlcg/Sik1+ (more )
Structure Level Pattern Image Note
TS28: stomach Present UC Davis_1854117

Specimen UC Davis_1854118: postnatal adult; Sik1tm1.1(KOMP)Vlcg/Sik1+ (more )
Structure Level Pattern Image Note
TS28: stomach Present UC Davis_1854118

Specimen UC Davis_1854119: postnatal adult; Sik1tm1.1(KOMP)Vlcg/Sik1+ (more )
Structure Level Pattern Image Note
TS28: stomach Present UC Davis_1854119

Specimen UC Davis_1854120: postnatal adult; Sik1tm1.1(KOMP)Vlcg/Sik1+ (more )
Structure Level Pattern Image Note
TS28: duodenum Present UC Davis_1854120

Specimen UC Davis_1854121: postnatal adult; Sik1tm1.1(KOMP)Vlcg/Sik1+ (more )
Structure Level Pattern Image Note
TS28: ileum Present UC Davis_1854121

Specimen UC Davis_1854122: postnatal adult; Sik1tm1.1(KOMP)Vlcg/Sik1+ (more )
Structure Level Pattern Image Note
TS28: ileum Present UC Davis_1854122

Specimen UC Davis_1854123: postnatal adult; Sik1tm1.1(KOMP)Vlcg/Sik1+ (more )
Structure Level Pattern Image Note
TS28: colon Present UC Davis_1854123

Specimen UC Davis_1854124: postnatal adult; Sik1tm1.1(KOMP)Vlcg/Sik1+ (more )
Structure Level Pattern Image Note
TS28: colon Present UC Davis_1854124

Specimen UC Davis_1854125: postnatal adult; Sik1tm1.1(KOMP)Vlcg/Sik1+ (more )
Structure Level Pattern Image Note
TS28: cecum Present UC Davis_1854125

Specimen UC Davis_1854126: postnatal adult; Sik1tm1.1(KOMP)Vlcg/Sik1+ (more )
Structure Level Pattern Image Note
TS28: cecum Present UC Davis_1854126

Specimen UC Davis_1854127: postnatal adult; Sik1tm1.1(KOMP)Vlcg/Sik1+ (more )
Structure Level Pattern Image Note
TS28: spleen Present UC Davis_1854127

Specimen UC Davis_1854128: postnatal adult; Sik1tm1.1(KOMP)Vlcg/Sik1+ (more )
Structure Level Pattern Image Note
TS28: spleen Present UC Davis_1854128

Specimen UC Davis_1854129: postnatal adult; Sik1tm1.1(KOMP)Vlcg/Sik1+ (more )
Structure Level Pattern Image Note
TS28: spleen Present UC Davis_1854129

Specimen UC Davis_1854130: postnatal adult; Sik1tm1.1(KOMP)Vlcg/Sik1+ (more )
Structure Level Pattern Image Note
TS28: pancreas Present UC Davis_1854130

Specimen UC Davis_1854131: postnatal adult; Sik1tm1.1(KOMP)Vlcg/Sik1+ (more )
Structure Level Pattern Image Note
TS28: pancreas Present UC Davis_1854131

Specimen UC Davis_1854132: postnatal adult; Sik1tm1.1(KOMP)Vlcg/Sik1+ (more )
Structure Level Pattern Image Note
TS28: pancreas Present UC Davis_1854132

Specimen UC Davis_1854133: postnatal adult; Sik1tm1.1(KOMP)Vlcg/Sik1+ (more )
Structure Level Pattern Image Note
TS28: pancreas Present UC Davis_1854133

Specimen UC Davis_1854134: postnatal adult; Sik1tm1.1(KOMP)Vlcg/Sik1+ (more )
Structure Level Pattern Image Note
TS28: liver Present UC Davis_1854134

Specimen UC Davis_1854135: postnatal adult; Sik1tm1.1(KOMP)Vlcg/Sik1+ (more )
Structure Level Pattern Image Note
TS28: liver Present UC Davis_1854135

Specimen UC Davis_1854136: postnatal adult; Sik1tm1.1(KOMP)Vlcg/Sik1+ (more )
Structure Level Pattern Image Note
TS28: liver Present UC Davis_1854136

Specimen UC Davis_1854137: postnatal adult; Sik1tm1.1(KOMP)Vlcg/Sik1+ (more )
Structure Level Pattern Image Note
TS28: metanephros Present UC Davis_1854137 kidney

Specimen UC Davis_1854138: postnatal adult; Sik1tm1.1(KOMP)Vlcg/Sik1+ (more )
Structure Level Pattern Image Note
TS28: metanephros Present UC Davis_1854138 kidney

Specimen UC Davis_1854139: postnatal adult; Sik1tm1.1(KOMP)Vlcg/Sik1+ (more )
Structure Level Pattern Image Note
TS28: metanephros Present UC Davis_1854139 kidney

Specimen UC Davis_1854140: postnatal adult; Sik1tm1.1(KOMP)Vlcg/Sik1+ (more )
Structure Level Pattern Image Note
TS28: metanephros Present UC Davis_1854140 kidney

Specimen UC Davis_1854141: postnatal adult; Sik1tm1.1(KOMP)Vlcg/Sik1+ (more )
Structure Level Pattern Image Note
TS28: quadriceps femoris muscle Present UC Davis_1854141

Specimen UC Davis_1854142: postnatal adult; Sik1tm1.1(KOMP)Vlcg/Sik1+ (more )
Structure Level Pattern Image Note
TS28: tongue Present UC Davis_1854142

Specimen UC Davis_1854143: postnatal adult; Sik1tm1.1(KOMP)Vlcg/Sik1+ (more )
Structure Level Pattern Image Note
TS28: tongue Present UC Davis_1854143

Specimen UC Davis_1854144: postnatal adult; Sik1tm1.1(KOMP)Vlcg/Sik1+ (more )
Structure Level Pattern Image Note
TS28: tongue Present UC Davis_1854144

Specimen UC Davis_1854145: postnatal adult; Sik1tm1.1(KOMP)Vlcg/Sik1+ (more )
Structure Level Pattern Image Note
TS28: tongue Present UC Davis_1854145

Specimen UC Davis_1854146: postnatal adult; Sik1tm1.1(KOMP)Vlcg/Sik1+ (more )
Structure Level Pattern Image Note
TS28: tongue Present UC Davis_1854146

Specimen UC Davis_1854147: postnatal adult; Sik1tm1.1(KOMP)Vlcg/Sik1+ (more )
Structure Level Pattern Image Note
TS28: diaphragm Present UC Davis_1854147

Specimen UC Davis_1854148: postnatal adult; Sik1tm1.1(KOMP)Vlcg/Sik1+ (more )
Structure Level Pattern Image Note
TS28: diaphragm Present UC Davis_1854148

Specimen UC Davis_1854149: postnatal adult; Sik1tm1.1(KOMP)Vlcg/Sik1+ (more )
Structure Level Pattern Image Note
TS28: adrenal gland Present UC Davis_1854149

Specimen UC Davis_1854150: postnatal adult; Sik1tm1.1(KOMP)Vlcg/Sik1+ (more )
Structure Level Pattern Image Note
TS28: pituitary gland Present UC Davis_1854150

Specimen UC Davis_1854151: postnatal adult; Sik1tm1.1(KOMP)Vlcg/Sik1+ (more )
Structure Level Pattern Image Note
TS28: pituitary gland Present UC Davis_1854151

Specimen UC Davis_1854152: postnatal adult; Sik1tm1.1(KOMP)Vlcg/Sik1+ (more )
Structure Level Pattern Image Note
TS28: spinal cord Present UC Davis_1854152

Specimen UC Davis_1854153: postnatal adult; Sik1tm1.1(KOMP)Vlcg/Sik1+ (more )
Structure Level Pattern Image Note
TS28: spinal cord Present UC Davis_1854153

Specimen UC Davis_1854154: postnatal adult; Sik1tm1.1(KOMP)Vlcg/Sik1+ (more )
Structure Level Pattern Image Note
TS28: eye Present UC Davis_1854154

Specimen UC Davis_1854155: postnatal adult; Sik1tm1.1(KOMP)Vlcg/Sik1+ (more )
Structure Level Pattern Image Note
TS28: eye Present UC Davis_1854155

Specimen UC Davis_1854156: postnatal adult; Sik1tm1.1(KOMP)Vlcg/Sik1+ (more )
Structure Level Pattern Image Note
TS28: eye Present UC Davis_1854156

Specimen UC Davis_1854157: postnatal adult; Sik1tm1.1(KOMP)Vlcg/Sik1+ (more )
Structure Level Pattern Image Note
TS28: eye Present UC Davis_1854157

Specimen UC Davis_1854160: postnatal adult; Sik1tm1.1(KOMP)Vlcg/Sik1+ (more )
Structure Level Pattern Image Note
TS28: Harderian gland Present UC Davis_1854160

Specimen UC Davis_1854161: postnatal adult; Sik1tm1.1(KOMP)Vlcg/Sik1+ (more )
Structure Level Pattern Image Note
TS28: Harderian gland Present UC Davis_1854161

Specimen UC Davis_1854162: postnatal adult; Sik1tm1.1(KOMP)Vlcg/Sik1+ (more )
Structure Level Pattern Image Note
TS28: Harderian gland Present UC Davis_1854162

Specimen UC Davis_1854163: postnatal adult; Sik1tm1.1(KOMP)Vlcg/Sik1+ (more )
Structure Level Pattern Image Note
TS28: mesenteric adipose tissue Present UC Davis_1854163

Specimen UC Davis_1854164: postnatal adult; Sik1tm1.1(KOMP)Vlcg/Sik1+ (more )
Structure Level Pattern Image Note
TS28: mesenteric adipose tissue Present UC Davis_1854164

Specimen UC Davis_1854165: postnatal adult; Sik1tm1.1(KOMP)Vlcg/Sik1+ (more )
Structure Level Pattern Image Note
TS28: skin Present UC Davis_1854165

Specimen UC Davis_1854166: postnatal adult; Sik1tm1.1(KOMP)Vlcg/Sik1+ (more )
Structure Level Pattern Image Note
TS28: skin Present UC Davis_1854166

Specimen UC Davis_1854167: postnatal adult; Sik1tm1.1(KOMP)Vlcg/Sik1+ (more )
Structure Level Pattern Image Note
TS28: skin Present UC Davis_1854167

Specimen UC Davis_1854168: postnatal adult; Sik1tm1.1(KOMP)Vlcg/Sik1+ (more )
Structure Level Pattern Image Note
TS28: brown fat Present UC Davis_1854168

Specimen UC Davis_1854169: postnatal adult; Sik1tm1.1(KOMP)Vlcg/Sik1+ (more )
Structure Level Pattern Image Note
TS28: brown fat Present UC Davis_1854169

Specimen UC Davis_1854170: postnatal adult; Sik1tm1.1(KOMP)Vlcg/Sik1+ (more )
Structure Level Pattern Image Note
TS28: olfactory lobe Present UC Davis_1854170

Specimen UC Davis_1854174: postnatal adult; Sik1tm1.1(KOMP)Vlcg/Sik1+ (more )
Structure Level Pattern Image Note
TS28: midbrain Present UC Davis_1854174

Specimen UC Davis_1854176: postnatal adult; Sik1tm1.1(KOMP)Vlcg/Sik1+ (more )
Structure Level Pattern Image Note
TS28: cerebellum Present UC Davis_1854176

Specimen UC Davis_1854177: postnatal adult; Sik1tm1.1(KOMP)Vlcg/Sik1+ (more )
Structure Level Pattern Image Note
TS28: cerebellum Present UC Davis_1854177

Specimen UC Davis_1854178: postnatal adult; Sik1tm1.1(KOMP)Vlcg/Sik1+ (more )
Structure Level Pattern Image Note
TS28: trigeminal nerve Present UC Davis_1854178

Specimen UC Davis_1854179: postnatal adult; Sik1tm1.1(KOMP)Vlcg/Sik1+ (more )
Structure Level Pattern Image Note
TS28: trigeminal nerve Present UC Davis_1854179

Specimen UC Davis_1854180: postnatal adult; Sik1tm1.1(KOMP)Vlcg/Sik1+ (more )
Structure Level Pattern Image Note
TS28: bladder Present UC Davis_1854180

Specimen UC Davis_1854181: postnatal adult; Sik1tm1.1(KOMP)Vlcg/Sik1+ (more )
Structure Level Pattern Image Note
TS28: bladder Present UC Davis_1854181

Specimen UC Davis_1854182: postnatal adult; Sik1tm1.1(KOMP)Vlcg/Sik1+ (more )
Structure Level Pattern Image Note
TS28: testis Present UC Davis_1854182

Specimen UC Davis_1854183: postnatal adult; Sik1tm1.1(KOMP)Vlcg/Sik1+ (more )
Structure Level Pattern Image Note
TS28: testis Present UC Davis_1854183

Specimen UC Davis_1854184: postnatal adult; Sik1tm1.1(KOMP)Vlcg/Sik1+ (more )
Structure Level Pattern Image Note
TS28: testis Present UC Davis_1854184

Specimen UC Davis_1854185: postnatal adult; Sik1tm1.1(KOMP)Vlcg/Sik1+ (more )
Structure Level Pattern Image Note
TS28: epididymis Present UC Davis_1854185

Specimen UC Davis_1854186: postnatal adult; Sik1tm1.1(KOMP)Vlcg/Sik1+ (more )
Structure Level Pattern Image Note
TS28: epididymis Present UC Davis_1854186

Specimen UC Davis_1854187: postnatal adult; Sik1tm1.1(KOMP)Vlcg/Sik1+ (more )
Structure Level Pattern Image Note
TS28: epididymis Present UC Davis_1854187

Specimen UC Davis_1854188: postnatal adult; Sik1tm1.1(KOMP)Vlcg/Sik1+ (more )
Structure Level Pattern Image Note
TS28: prostate gland Present UC Davis_1854188

Specimen UC Davis_1854189: postnatal adult; Sik1tm1.1(KOMP)Vlcg/Sik1+ (more )
Structure Level Pattern Image Note
TS28: prostate gland Present UC Davis_1854189

Specimen UC Davis_1854190: postnatal adult; Sik1tm1.1(KOMP)Vlcg/Sik1+ (more )
Structure Level Pattern Image Note
TS28: penis Present UC Davis_1854190

Specimen UC Davis_1854191: postnatal adult; Sik1tm1.1(KOMP)Vlcg/Sik1+ (more )
Structure Level Pattern Image Note
TS28: penis Present UC Davis_1854191

Specimen UC Davis_1854192: postnatal adult; Sik1tm1.1(KOMP)Vlcg/Sik1+ (more )
Structure Level Pattern Image Note
TS28: penis Present UC Davis_1854192

Specimen UC Davis_1854195: postnatal adult; Sik1tm1.1(KOMP)Vlcg/Sik1+ (more )
Structure Level Pattern Image Note
TS28: ductus deferens Present UC Davis_1854195 vas deferens

Specimen UC Davis_1854196: postnatal adult; Sik1tm1.1(KOMP)Vlcg/Sik1+ (more )
Structure Level Pattern Image Note
TS28: ductus deferens Present UC Davis_1854196 vas deferens

Specimen UC Davis_1854197: postnatal adult; Sik1tm1.1(KOMP)Vlcg/Sik1+ (more )
Structure Level Pattern Image Note
TS28: ductus deferens Present UC Davis_1854197 vas deferens

Specimen UC Davis_1854201: postnatal adult; Sik1tm1.1(KOMP)Vlcg/Sik1+ (more )
Structure Level Pattern Image Note
TS28: seminal vesicle Present UC Davis_1854201 vesicular gland

Specimen UC Davis_1854202: postnatal adult; Sik1tm1.1(KOMP)Vlcg/Sik1+ (more )
Structure Level Pattern Image Note
TS28: seminal vesicle Present UC Davis_1854202 vesicular gland

Specimen UC Davis_1854301: postnatal adult; Sik1tm1.1(KOMP)Vlcg/Sik1+ (more )
Structure Level Pattern Image Note
TS28: tongue Present UC Davis_1854301

Specimen UC Davis_1854302: postnatal adult; Sik1tm1.1(KOMP)Vlcg/Sik1+ (more )
Structure Level Pattern Image Note
TS28: spleen Present UC Davis_1854302

Specimen UC Davis_1854303: postnatal adult; Sik1tm1.1(KOMP)Vlcg/Sik1+ (more )
Structure Level Pattern Image Note
TS28: pancreas Present UC Davis_1854303

Specimen UC Davis_1854304: postnatal adult; Sik1tm1.1(KOMP)Vlcg/Sik1+ (more )
Structure Level Pattern Image Note
TS28: brown fat Present UC Davis_1854304

Specimen UC Davis_1854305: postnatal adult; Sik1tm1.1(KOMP)Vlcg/Sik1+ (more )
Structure Level Pattern Image Note
TS28: quadriceps femoris muscle Present UC Davis_1854305

Specimen UC Davis_1854306: postnatal adult; Sik1tm1.1(KOMP)Vlcg/Sik1+ (more )
Structure Level Pattern Image Note
TS28: olfactory lobe Present UC Davis_1854306

Specimen UC Davis_1854309: postnatal adult; Sik1tm1.1(KOMP)Vlcg/Sik1+ (more )
Structure Level Pattern Image Note
TS28: midbrain Present UC Davis_1854309

Specimen UC Davis_1854311: postnatal adult; Sik1tm1.1(KOMP)Vlcg/Sik1+ (more )
Structure Level Pattern Image Note
TS28: cerebellum Present UC Davis_1854311

Specimen UC Davis_1854312: postnatal adult; Sik1tm1.1(KOMP)Vlcg/Sik1+ (more )
Structure Level Pattern Image Note
TS28: brain Present UC Davis_1854312

Specimen UC Davis_1854314: postnatal adult; Sik1tm1.1(KOMP)Vlcg/Sik1+ (more )
Structure Level Pattern Image Note
TS28: lung Present UC Davis_1854314

Specimen UC Davis_1854316: postnatal adult; Sik1tm1.1(KOMP)Vlcg/Sik1+ (more )
Structure Level Pattern Image Note
TS28: thymus Present UC Davis_1854316

Specimen UC Davis_1854317: postnatal adult; Sik1tm1.1(KOMP)Vlcg/Sik1+ (more )
Structure Level Pattern Image Note
TS28: metanephros Present UC Davis_1854317 kidney

Specimen UC Davis_1854318: postnatal adult; Sik1tm1.1(KOMP)Vlcg/Sik1+ (more )
Structure Level Pattern Image Note
TS28: adrenal gland Present UC Davis_1854318

Specimen UC Davis_1854319: postnatal adult; Sik1tm1.1(KOMP)Vlcg/Sik1+ (more )
Structure Level Pattern Image Note
TS28: liver Present UC Davis_1854319

Specimen UC Davis_1854320: postnatal adult; Sik1tm1.1(KOMP)Vlcg/Sik1+ (more )
Structure Level Pattern Image Note
TS28: liver Present UC Davis_1854320

Specimen UC Davis_1854321: postnatal adult; Sik1tm1.1(KOMP)Vlcg/Sik1+ (more )
Structure Level Pattern Image Note
TS28: diaphragm Present UC Davis_1854321

Specimen UC Davis_1854322: postnatal adult; Sik1tm1.1(KOMP)Vlcg/Sik1+ (more )
Structure Level Pattern Image Note
TS28: skin Present UC Davis_1854322

Specimen UC Davis_1854323: postnatal adult; Sik1tm1.1(KOMP)Vlcg/Sik1+ (more )
Structure Level Pattern Image Note
TS28: spinal cord Present UC Davis_1854323

Specimen UC Davis_1854324: postnatal adult; Sik1tm1.1(KOMP)Vlcg/Sik1+ (more )
Structure Level Pattern Image Note
TS28: pituitary gland Present UC Davis_1854324

Specimen UC Davis_1854325: postnatal adult; Sik1tm1.1(KOMP)Vlcg/Sik1+ (more )
Structure Level Pattern Image Note
TS28: eye Present UC Davis_1854325

Specimen UC Davis_1854326: postnatal adult; Sik1tm1.1(KOMP)Vlcg/Sik1+ (more )
Structure Level Pattern Image Note
TS28: Harderian gland Present UC Davis_1854326

Specimen UC Davis_1854327: postnatal adult; Sik1tm1.1(KOMP)Vlcg/Sik1+ (more )
Structure Level Pattern Image Note
TS28: stomach Present UC Davis_1854327

Specimen UC Davis_1854328: postnatal adult; Sik1tm1.1(KOMP)Vlcg/Sik1+ (more )
Structure Level Pattern Image Note
TS28: duodenum Present UC Davis_1854328

Specimen UC Davis_1854329: postnatal adult; Sik1tm1.1(KOMP)Vlcg/Sik1+ (more )
Structure Level Pattern Image Note
TS28: jejunum Present UC Davis_1854329

Specimen UC Davis_1854330: postnatal adult; Sik1tm1.1(KOMP)Vlcg/Sik1+ (more )
Structure Level Pattern Image Note
TS28: ileum Present UC Davis_1854330

Specimen UC Davis_1854331: postnatal adult; Sik1tm1.1(KOMP)Vlcg/Sik1+ (more )
Structure Level Pattern Image Note
TS28: cecum Present UC Davis_1854331

Specimen UC Davis_1854332: postnatal adult; Sik1tm1.1(KOMP)Vlcg/Sik1+ (more )
Structure Level Pattern Image Note
TS28: colon Present UC Davis_1854332

Specimen UC Davis_1854333: postnatal adult; Sik1tm1.1(KOMP)Vlcg/Sik1+ (more )
Structure Level Pattern Image Note
TS28: mesenteric lymph node Present UC Davis_1854333

Specimen UC Davis_1854334: postnatal adult; Sik1tm1.1(KOMP)Vlcg/Sik1+ (more )
Structure Level Pattern Image Note
TS28: bladder Present UC Davis_1854334

Specimen UC Davis_1854335: postnatal adult; Sik1tm1.1(KOMP)Vlcg/Sik1+ (more )
Structure Level Pattern Image Note
TS28: gonadal fat pad Present UC Davis_1854335

Specimen UC Davis_1854336: postnatal adult; Sik1tm1.1(KOMP)Vlcg/Sik1+ (more )
Structure Level Pattern Image Note
TS28: testis Present UC Davis_1854336

Specimen UC Davis_1854337: postnatal adult; Sik1tm1.1(KOMP)Vlcg/Sik1+ (more )
Structure Level Pattern Image Note
TS28: prostate gland Present UC Davis_1854337

Specimen UC Davis_1854338: postnatal adult; Sik1tm1.1(KOMP)Vlcg/Sik1+ (more )
Structure Level Pattern Image Note
TS28: seminal vesicle Present UC Davis_1854338 vesicular gland

Specimen UC Davis_1854339: postnatal adult; Sik1tm1.1(KOMP)Vlcg/Sik1+ (more )
Structure Level Pattern Image Note
TS28: epididymis Present UC Davis_1854339

Specimen UC Davis_1854340: postnatal adult; Sik1tm1.1(KOMP)Vlcg/Sik1+ (more )
Structure Level Pattern Image Note
TS28: ductus deferens Present UC Davis_1854340 vas deferens

Specimen UC Davis_1854342: postnatal adult; Sik1tm1.1(KOMP)Vlcg/Sik1+ (more )
Structure Level Pattern Image Note
TS28: gallbladder Present UC Davis_1854342

Specimen UC Davis_1854344: postnatal adult; Sik1tm1.1(KOMP)Vlcg/Sik1+ (more )
Structure Level Pattern Image Note
TS28: thoracic segment skeleton Present UC Davis_1854344 chest bone


Contributing Projects:
Mouse Genome Database (MGD), Gene Expression Database (GXD), Mouse Models of Human Cancer database (MMHCdb) (formerly Mouse Tumor Biology (MTB)), Gene Ontology (GO)
Citing These Resources
Funding Information
Warranty Disclaimer, Privacy Notice, Licensing, & Copyright
Send questions and comments to User Support.
last database update
01/20/2026
MGI 6.24
The Jackson Laboratory