About   Help   FAQ
Gene Expression Data
Assay Details
Assay
Reference: J:228563 Koscielny G, et al., The International Mouse Phenotyping Consortium Web Portal, a unified point of access for knockout mice and related phenotyping data. Nucleic Acids Res. 2014 Jan;42(Database issue):D802-9
Assay type: In situ reporter (knock in)
MGI Accession ID: MGI:6691012
Gene symbol: Fgf9
Gene name: fibroblast growth factor 9
Reporter: lacZ
Direct Detection
Results
Specimen JAX_1469774: embryonic day 12.5; Fgf9tm1b(KOMP)Wtsi/Fgf9+ (more )
Structure Level Pattern Image Note
TS20: embryo Present JAX_1469774

Specimen JAX_1469775: embryonic day 12.5; Fgf9tm1b(KOMP)Wtsi/Fgf9+ (more )
Structure Level Pattern Image Note
TS20: embryo Present JAX_1469775

Specimen JAX_1469776: embryonic day 12.5; Fgf9tm1b(KOMP)Wtsi/Fgf9+ (more )
Structure Level Pattern Image Note
TS20: embryo Present JAX_1469776

Specimen JAX_1469777: embryonic day 12.5; Fgf9tm1b(KOMP)Wtsi/Fgf9+ (more )
Structure Level Pattern Image Note
TS20: embryo Present JAX_1469777

Specimen JAX_1802621: postnatal adult; Fgf9tm1b(KOMP)Wtsi/Fgf9+ (more )
Structure Level Pattern Image Note
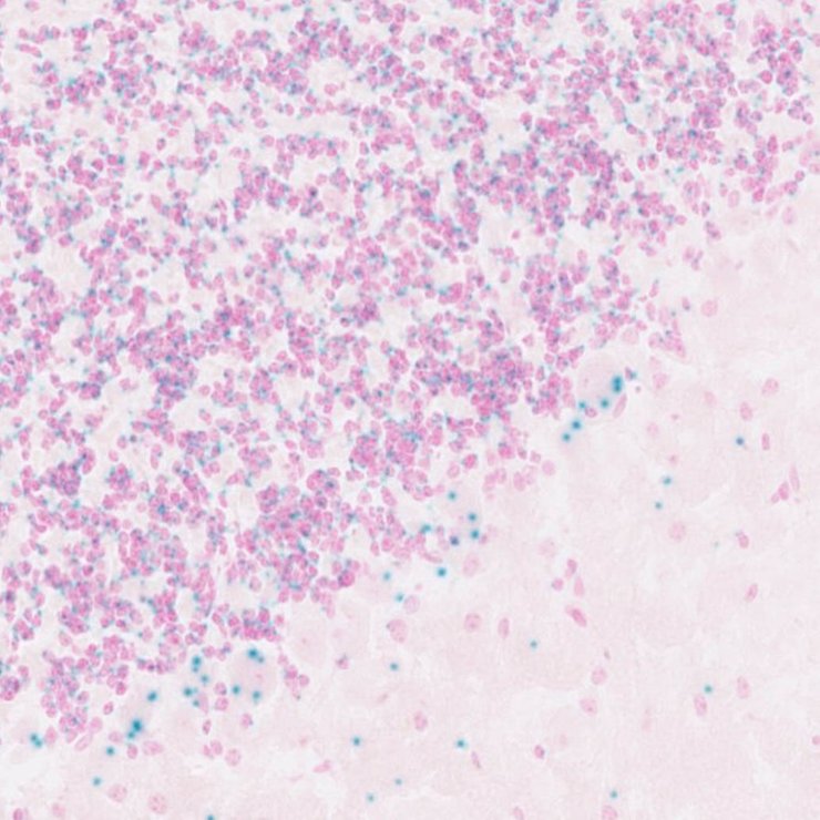
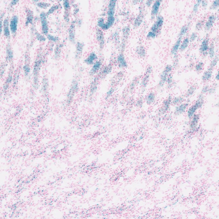
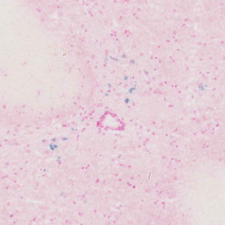
TS28: hippocampus Present JAX_1802621

Specimen JAX_1802622: postnatal adult; Fgf9tm1b(KOMP)Wtsi/Fgf9+ (more )
Structure Level Pattern Image Note
TS28: cerebellum Present JAX_1802622

Specimen JAX_1802623: postnatal adult; Fgf9tm1b(KOMP)Wtsi/Fgf9+ (more )
Structure Level Pattern Image Note
TS28: brainstem Present JAX_1802623

Specimen JAX_1802624: postnatal adult; Fgf9tm1b(KOMP)Wtsi/Fgf9+ (more )
Structure Level Pattern Image Note
TS28: spinal cord Present JAX_1802624

Specimen JAX_1802625: postnatal adult; Fgf9tm1b(KOMP)Wtsi/Fgf9+ (more )
Structure Level Pattern Image Note
TS28: metanephros Present JAX_1802625 kidney

Specimen JAX_1802626: postnatal adult; Fgf9tm1b(KOMP)Wtsi/Fgf9+ (more )
Structure Level Pattern Image Note
TS28: brain Present JAX_1802626

Specimen MRC Harwell_892175: postnatal adult; Fgf9tm1b(KOMP)Wtsi/Fgf9+ (more )
Structure Level Pattern Image Note
TS28: ovary Present MRC Harwell_892175
TS28: oviduct Present MRC Harwell_892175

Specimen MRC Harwell_892177: postnatal adult; Fgf9tm1b(KOMP)Wtsi/Fgf9+ (more )
Structure Level Pattern Image Note
TS28: skin Present MRC Harwell_892177

Specimen MRC Harwell_892179: postnatal adult; Fgf9tm1b(KOMP)Wtsi/Fgf9+ (more )
Structure Level Pattern Image Note
TS28: cartilage Present MRC Harwell_892179
TS28: parathyroid gland Absent MRC Harwell_892179
TS28: trachea Present MRC Harwell_892179

Specimen MRC Harwell_892181: postnatal adult; Fgf9tm1b(KOMP)Wtsi/Fgf9+ (more )
Structure Level Pattern Image Note
TS28: peripheral nervous system Present MRC Harwell_892181
TS28: pituitary gland Present MRC Harwell_892181

Specimen MRC Harwell_892183: postnatal adult; Fgf9tm1b(KOMP)Wtsi/Fgf9+ (more )
Structure Level Pattern Image Note
TS28: adrenal gland Present MRC Harwell_892183

Specimen MRC Harwell_892157: postnatal adult; Fgf9tm1b(KOMP)Wtsi/Fgf9+ (more )
Structure Level Pattern Image Note
TS28: bone Present MRC Harwell_892157
TS28: cartilage Present MRC Harwell_892157

Specimen MRC Harwell_892159: postnatal adult; Fgf9tm1b(KOMP)Wtsi/Fgf9+ (more )
Structure Level Pattern Image Note
TS28: lower urinary tract Present MRC Harwell_892159

Specimen MRC Harwell_892161: postnatal adult; Fgf9tm1b(KOMP)Wtsi/Fgf9+ (more )
Structure Level Pattern Image Note
TS28: brain Present MRC Harwell_892161
TS28: brainstem Present MRC Harwell_892161
TS28: cerebellum Present MRC Harwell_892161
TS28: cerebral cortex Present MRC Harwell_892161
TS28: hippocampus Present MRC Harwell_892161
TS28: hypothalamus Present MRC Harwell_892161
TS28: olfactory lobe Present MRC Harwell_892161
TS28: corpus striatum Present MRC Harwell_892161

Specimen MRC Harwell_892163: postnatal adult; Fgf9tm1b(KOMP)Wtsi/Fgf9+ (more )
Structure Level Pattern Image Note
TS28: brain Present MRC Harwell_892163
TS28: brainstem Present MRC Harwell_892163
TS28: cerebellum Present MRC Harwell_892163
TS28: cerebral cortex Present MRC Harwell_892163
TS28: hippocampus Present MRC Harwell_892163
TS28: hypothalamus Present MRC Harwell_892163
TS28: olfactory lobe Present MRC Harwell_892163
TS28: corpus striatum Present MRC Harwell_892163

Specimen MRC Harwell_892165: postnatal adult; Fgf9tm1b(KOMP)Wtsi/Fgf9+ (more )
Structure Level Pattern Image Note
TS28: bone Present MRC Harwell_892165
TS28: spinal cord Present MRC Harwell_892165

Specimen MRC Harwell_892167: postnatal adult; Fgf9tm1b(KOMP)Wtsi/Fgf9+ (more )
Structure Level Pattern Image Note
TS28: metanephros Present MRC Harwell_892167 kidney

Specimen MRC Harwell_892169: postnatal adult; Fgf9tm1b(KOMP)Wtsi/Fgf9+ (more )
Structure Level Pattern Image Note
TS28: testis Present MRC Harwell_892169

Specimen MRC Harwell_892171: postnatal adult; Fgf9tm1b(KOMP)Wtsi/Fgf9+ (more )
Structure Level Pattern Image Note
TS28: brain Present MRC Harwell_892171
TS28: cerebral cortex Present MRC Harwell_892171
TS28: hippocampus Present MRC Harwell_892171
TS28: corpus striatum Present MRC Harwell_892171

Specimen MRC Harwell_892173: postnatal adult; Fgf9tm1b(KOMP)Wtsi/Fgf9+ (more )
Structure Level Pattern Image Note
TS28: eye Present MRC Harwell_892173


Contributing Projects:
Mouse Genome Database (MGD), Gene Expression Database (GXD), Mouse Models of Human Cancer database (MMHCdb) (formerly Mouse Tumor Biology (MTB)), Gene Ontology (GO)
Citing These Resources
Funding Information
Warranty Disclaimer, Privacy Notice, Licensing, & Copyright
Send questions and comments to User Support.
last database update
01/28/2026
MGI 6.24
The Jackson Laboratory