About   Help   FAQ
Gene Expression Data
Assay Details
Assay
Reference: J:228563 Koscielny G, et al., The International Mouse Phenotyping Consortium Web Portal, a unified point of access for knockout mice and related phenotyping data. Nucleic Acids Res. 2014 Jan;42(Database issue):D802-9
Assay type: In situ reporter (knock in)
MGI Accession ID: MGI:6691006
Gene symbol: Twist2
Gene name: twist basic helix-loop-helix transcription factor 2
Reporter: lacZ
Direct Detection
Results
Specimen UC Davis_1869326: postnatal adult; Twist2tm1.1(KOMP)Vlcg/Twist2+ (more )
Structure Level Pattern Image Note
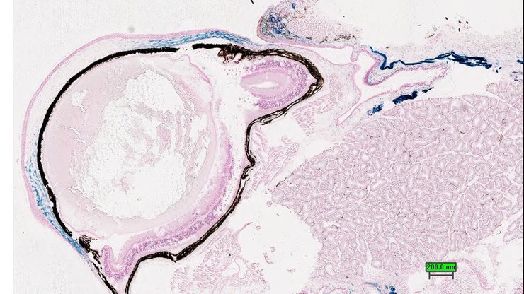
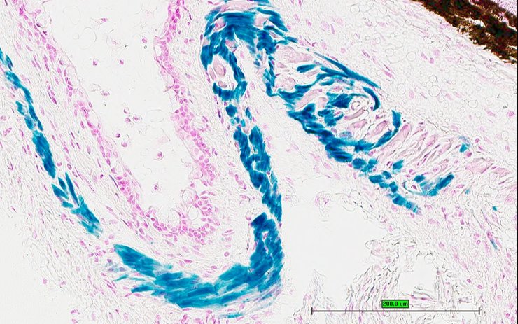
TS28: trachea Present UC Davis_1869326

Specimen UC Davis_1869327: postnatal adult; Twist2tm1.1(KOMP)Vlcg/Twist2+ (more )
Structure Level Pattern Image Note
TS28: esophagus Present UC Davis_1869327

Specimen UC Davis_1869328: postnatal adult; Twist2tm1.1(KOMP)Vlcg/Twist2+ (more )
Structure Level Pattern Image Note
TS28: esophagus Present UC Davis_1869328

Specimen UC Davis_1869329: postnatal adult; Twist2tm1.1(KOMP)Vlcg/Twist2+ (more )
Structure Level Pattern Image Note
TS28: esophagus Present UC Davis_1869329

Specimen UC Davis_1869330: postnatal adult; Twist2tm1.1(KOMP)Vlcg/Twist2+ (more )
Structure Level Pattern Image Note
TS28: esophagus Present UC Davis_1869330

Specimen UC Davis_1869331: postnatal adult; Twist2tm1.1(KOMP)Vlcg/Twist2+ (more )
Structure Level Pattern Image Note
TS28: lung Present UC Davis_1869331

Specimen UC Davis_1869332: postnatal adult; Twist2tm1.1(KOMP)Vlcg/Twist2+ (more )
Structure Level Pattern Image Note
TS28: lung Present UC Davis_1869332

Specimen UC Davis_1869333: postnatal adult; Twist2tm1.1(KOMP)Vlcg/Twist2+ (more )
Structure Level Pattern Image Note
TS28: lung Present UC Davis_1869333

Specimen UC Davis_1869334: postnatal adult; Twist2tm1.1(KOMP)Vlcg/Twist2+ (more )
Structure Level Pattern Image Note
TS28: lung Present UC Davis_1869334

Specimen UC Davis_1869335: postnatal adult; Twist2tm1.1(KOMP)Vlcg/Twist2+ (more )
Structure Level Pattern Image Note
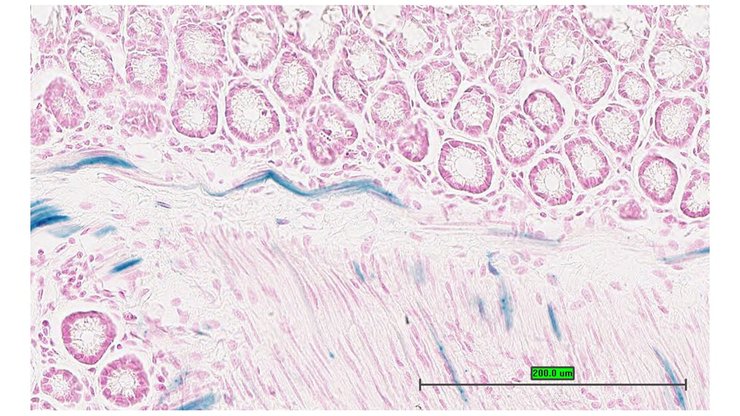
TS28: stomach Present UC Davis_1869335

Specimen UC Davis_1869336: postnatal adult; Twist2tm1.1(KOMP)Vlcg/Twist2+ (more )
Structure Level Pattern Image Note
TS28: stomach Present UC Davis_1869336

Specimen UC Davis_1869337: postnatal adult; Twist2tm1.1(KOMP)Vlcg/Twist2+ (more )
Structure Level Pattern Image Note
TS28: stomach Present UC Davis_1869337

Specimen UC Davis_1869338: postnatal adult; Twist2tm1.1(KOMP)Vlcg/Twist2+ (more )
Structure Level Pattern Image Note
TS28: jejunum Present UC Davis_1869338

Specimen UC Davis_1869339: postnatal adult; Twist2tm1.1(KOMP)Vlcg/Twist2+ (more )
Structure Level Pattern Image Note
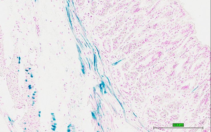
TS28: ileum Present UC Davis_1869339

Specimen UC Davis_1869340: postnatal adult; Twist2tm1.1(KOMP)Vlcg/Twist2+ (more )
Structure Level Pattern Image Note
TS28: ileum Present UC Davis_1869340

Specimen UC Davis_1869341: postnatal adult; Twist2tm1.1(KOMP)Vlcg/Twist2+ (more )
Structure Level Pattern Image Note
TS28: colon Present UC Davis_1869341

Specimen UC Davis_1869342: postnatal adult; Twist2tm1.1(KOMP)Vlcg/Twist2+ (more )
Structure Level Pattern Image Note
TS28: colon Present UC Davis_1869342

Specimen UC Davis_1869343: postnatal adult; Twist2tm1.1(KOMP)Vlcg/Twist2+ (more )
Structure Level Pattern Image Note
TS28: cecum Present UC Davis_1869343

Specimen UC Davis_1869344: postnatal adult; Twist2tm1.1(KOMP)Vlcg/Twist2+ (more )
Structure Level Pattern Image Note
TS28: tongue Present UC Davis_1869344

Specimen UC Davis_1869345: postnatal adult; Twist2tm1.1(KOMP)Vlcg/Twist2+ (more )
Structure Level Pattern Image Note
TS28: tongue Present UC Davis_1869345

Specimen UC Davis_1869346: postnatal adult; Twist2tm1.1(KOMP)Vlcg/Twist2+ (more )
Structure Level Pattern Image Note
TS28: tongue Present UC Davis_1869346

Specimen UC Davis_1869347: postnatal adult; Twist2tm1.1(KOMP)Vlcg/Twist2+ (more )
Structure Level Pattern Image Note
TS28: eye Present UC Davis_1869347

Specimen UC Davis_1869348: postnatal adult; Twist2tm1.1(KOMP)Vlcg/Twist2+ (more )
Structure Level Pattern Image Note
TS28: mesenteric adipose tissue Present UC Davis_1869348

Specimen UC Davis_1869349: postnatal adult; Twist2tm1.1(KOMP)Vlcg/Twist2+ (more )
Structure Level Pattern Image Note
TS28: mesenteric adipose tissue Present UC Davis_1869349

Specimen UC Davis_1869350: postnatal adult; Twist2tm1.1(KOMP)Vlcg/Twist2+ (more )
Structure Level Pattern Image Note
TS28: skin Present UC Davis_1869350

Specimen UC Davis_1869351: postnatal adult; Twist2tm1.1(KOMP)Vlcg/Twist2+ (more )
Structure Level Pattern Image Note
TS28: skin Present UC Davis_1869351

Specimen UC Davis_1869352: postnatal adult; Twist2tm1.1(KOMP)Vlcg/Twist2+ (more )
Structure Level Pattern Image Note
TS28: skin Present UC Davis_1869352

Specimen UC Davis_1869353: postnatal adult; Twist2tm1.1(KOMP)Vlcg/Twist2+ (more )
Structure Level Pattern Image Note
TS28: oviduct Present UC Davis_1869353

Specimen UC Davis_1869354: postnatal adult; Twist2tm1.1(KOMP)Vlcg/Twist2+ (more )
Structure Level Pattern Image Note
TS28: uterus Present UC Davis_1869354

Specimen UC Davis_1869355: postnatal adult; Twist2tm1.1(KOMP)Vlcg/Twist2+ (more )
Structure Level Pattern Image Note
TS28: uterus Present UC Davis_1869355

Specimen UC Davis_1869356: postnatal adult; Twist2tm1.1(KOMP)Vlcg/Twist2+ (more )
Structure Level Pattern Image Note
TS28: bladder Present UC Davis_1869356

Specimen UC Davis_1869357: postnatal adult; Twist2tm1.1(KOMP)Vlcg/Twist2+ (more )
Structure Level Pattern Image Note
TS28: bladder Present UC Davis_1869357

Specimen UC Davis_1869358: postnatal adult; Twist2tm1.1(KOMP)Vlcg/Twist2+ (more )
Structure Level Pattern Image Note
TS28: bladder Present UC Davis_1869358

Specimen UC Davis_1869359: postnatal adult; Twist2tm1.1(KOMP)Vlcg/Twist2+ (more )
Structure Level Pattern Image Note
TS28: mammary gland Present UC Davis_1869359

Specimen UC Davis_1869360: postnatal adult; Twist2tm1.1(KOMP)Vlcg/Twist2+ (more )
Structure Level Pattern Image Note
TS28: mammary gland Present UC Davis_1869360

Specimen UC Davis_1869280: postnatal adult; Twist2tm1.1(KOMP)Vlcg/Twist2+ (more )
Structure Level Pattern Image Note
TS28: trachea Present UC Davis_1869280

Specimen UC Davis_1869281: postnatal adult; Twist2tm1.1(KOMP)Vlcg/Twist2+ (more )
Structure Level Pattern Image Note
TS28: trachea Present UC Davis_1869281

Specimen UC Davis_1869282: postnatal adult; Twist2tm1.1(KOMP)Vlcg/Twist2+ (more )
Structure Level Pattern Image Note
TS28: esophagus Present UC Davis_1869282

Specimen UC Davis_1869283: postnatal adult; Twist2tm1.1(KOMP)Vlcg/Twist2+ (more )
Structure Level Pattern Image Note
TS28: esophagus Present UC Davis_1869283

Specimen UC Davis_1869284: postnatal adult; Twist2tm1.1(KOMP)Vlcg/Twist2+ (more )
Structure Level Pattern Image Note
TS28: esophagus Present UC Davis_1869284

Specimen UC Davis_1869287: postnatal adult; Twist2tm1.1(KOMP)Vlcg/Twist2+ (more )
Structure Level Pattern Image Note
TS28: lung Present UC Davis_1869287

Specimen UC Davis_1869288: postnatal adult; Twist2tm1.1(KOMP)Vlcg/Twist2+ (more )
Structure Level Pattern Image Note
TS28: lung Present UC Davis_1869288

Specimen UC Davis_1869289: postnatal adult; Twist2tm1.1(KOMP)Vlcg/Twist2+ (more )
Structure Level Pattern Image Note
TS28: stomach Present UC Davis_1869289

Specimen UC Davis_1869290: postnatal adult; Twist2tm1.1(KOMP)Vlcg/Twist2+ (more )
Structure Level Pattern Image Note
TS28: stomach Present UC Davis_1869290

Specimen UC Davis_1869291: postnatal adult; Twist2tm1.1(KOMP)Vlcg/Twist2+ (more )
Structure Level Pattern Image Note
TS28: stomach Present UC Davis_1869291

Specimen UC Davis_1869292: postnatal adult; Twist2tm1.1(KOMP)Vlcg/Twist2+ (more )
Structure Level Pattern Image Note
TS28: ileum Present UC Davis_1869292

Specimen UC Davis_1869293: postnatal adult; Twist2tm1.1(KOMP)Vlcg/Twist2+ (more )
Structure Level Pattern Image Note
TS28: ileum Present UC Davis_1869293

Specimen UC Davis_1869294: postnatal adult; Twist2tm1.1(KOMP)Vlcg/Twist2+ (more )
Structure Level Pattern Image Note
TS28: colon Present UC Davis_1869294

Specimen UC Davis_1869295: postnatal adult; Twist2tm1.1(KOMP)Vlcg/Twist2+ (more )
Structure Level Pattern Image Note
TS28: colon Present UC Davis_1869295

Specimen UC Davis_1869296: postnatal adult; Twist2tm1.1(KOMP)Vlcg/Twist2+ (more )
Structure Level Pattern Image Note
TS28: cecum Present UC Davis_1869296

Specimen UC Davis_1869297: postnatal adult; Twist2tm1.1(KOMP)Vlcg/Twist2+ (more )
Structure Level Pattern Image Note
TS28: cecum Present UC Davis_1869297

Specimen UC Davis_1869298: postnatal adult; Twist2tm1.1(KOMP)Vlcg/Twist2+ (more )
Structure Level Pattern Image Note
TS28: spleen Present UC Davis_1869298

Specimen UC Davis_1869299: postnatal adult; Twist2tm1.1(KOMP)Vlcg/Twist2+ (more )
Structure Level Pattern Image Note
TS28: tongue Present UC Davis_1869299

Specimen UC Davis_1869300: postnatal adult; Twist2tm1.1(KOMP)Vlcg/Twist2+ (more )
Structure Level Pattern Image Note
TS28: tongue Present UC Davis_1869300

Specimen UC Davis_1869301: postnatal adult; Twist2tm1.1(KOMP)Vlcg/Twist2+ (more )
Structure Level Pattern Image Note
TS28: tongue Present UC Davis_1869301

Specimen UC Davis_1869302: postnatal adult; Twist2tm1.1(KOMP)Vlcg/Twist2+ (more )
Structure Level Pattern Image Note
TS28: adrenal gland Present UC Davis_1869302

Specimen UC Davis_1869303: postnatal adult; Twist2tm1.1(KOMP)Vlcg/Twist2+ (more )
Structure Level Pattern Image Note
TS28: adrenal gland Present UC Davis_1869303

Specimen UC Davis_1869304: postnatal adult; Twist2tm1.1(KOMP)Vlcg/Twist2+ (more )
Structure Level Pattern Image Note
TS28: eye Present UC Davis_1869304

Specimen UC Davis_1869305: postnatal adult; Twist2tm1.1(KOMP)Vlcg/Twist2+ (more )
Structure Level Pattern Image Note
TS28: eye Present UC Davis_1869305

Specimen UC Davis_1869306: postnatal adult; Twist2tm1.1(KOMP)Vlcg/Twist2+ (more )
Structure Level Pattern Image Note
TS28: skin Present UC Davis_1869306

Specimen UC Davis_1869307: postnatal adult; Twist2tm1.1(KOMP)Vlcg/Twist2+ (more )
Structure Level Pattern Image Note
TS28: skin Present UC Davis_1869307

Specimen UC Davis_1869308: postnatal adult; Twist2tm1.1(KOMP)Vlcg/Twist2+ (more )
Structure Level Pattern Image Note
TS28: skin Present UC Davis_1869308

Specimen UC Davis_1869309: postnatal adult; Twist2tm1.1(KOMP)Vlcg/Twist2+ (more )
Structure Level Pattern Image Note
TS28: bladder Present UC Davis_1869309

Specimen UC Davis_1869310: postnatal adult; Twist2tm1.1(KOMP)Vlcg/Twist2+ (more )
Structure Level Pattern Image Note
TS28: bladder Present UC Davis_1869310

Specimen UC Davis_1869311: postnatal adult; Twist2tm1.1(KOMP)Vlcg/Twist2+ (more )
Structure Level Pattern Image Note
TS28: testis Present UC Davis_1869311

Specimen UC Davis_1869312: postnatal adult; Twist2tm1.1(KOMP)Vlcg/Twist2+ (more )
Structure Level Pattern Image Note
TS28: testis Present UC Davis_1869312

Specimen UC Davis_1869313: postnatal adult; Twist2tm1.1(KOMP)Vlcg/Twist2+ (more )
Structure Level Pattern Image Note
TS28: epididymis Present UC Davis_1869313

Specimen UC Davis_1869314: postnatal adult; Twist2tm1.1(KOMP)Vlcg/Twist2+ (more )
Structure Level Pattern Image Note
TS28: epididymis Present UC Davis_1869314

Specimen UC Davis_1869315: postnatal adult; Twist2tm1.1(KOMP)Vlcg/Twist2+ (more )
Structure Level Pattern Image Note
TS28: epididymis Present UC Davis_1869315

Specimen UC Davis_1869316: postnatal adult; Twist2tm1.1(KOMP)Vlcg/Twist2+ (more )
Structure Level Pattern Image Note
TS28: penis Present UC Davis_1869316

Specimen UC Davis_1869317: postnatal adult; Twist2tm1.1(KOMP)Vlcg/Twist2+ (more )
Structure Level Pattern Image Note
TS28: penis Present UC Davis_1869317

Specimen UC Davis_1869318: postnatal adult; Twist2tm1.1(KOMP)Vlcg/Twist2+ (more )
Structure Level Pattern Image Note
TS28: ductus deferens Present UC Davis_1869318 vas deferens

Specimen UC Davis_1869319: postnatal adult; Twist2tm1.1(KOMP)Vlcg/Twist2+ (more )
Structure Level Pattern Image Note
TS28: ductus deferens Present UC Davis_1869319 vas deferens

Specimen UC Davis_1869324: postnatal adult; Twist2tm1.1(KOMP)Vlcg/Twist2+ (more )
Structure Level Pattern Image Note
TS28: seminal vesicle Present UC Davis_1869324 vesicular gland

Specimen UC Davis_1869325: postnatal adult; Twist2tm1.1(KOMP)Vlcg/Twist2+ (more )
Structure Level Pattern Image Note
TS28: seminal vesicle Present UC Davis_1869325 vesicular gland


Contributing Projects:
Mouse Genome Database (MGD), Gene Expression Database (GXD), Mouse Models of Human Cancer database (MMHCdb) (formerly Mouse Tumor Biology (MTB)), Gene Ontology (GO)
Citing These Resources
Funding Information
Warranty Disclaimer, Privacy Notice, Licensing, & Copyright
Send questions and comments to User Support.
last database update
01/20/2026
MGI 6.24
The Jackson Laboratory