About   Help   FAQ
Gene Expression Data
Assay Details
Assay
Reference: J:228563 Koscielny G, et al., The International Mouse Phenotyping Consortium Web Portal, a unified point of access for knockout mice and related phenotyping data. Nucleic Acids Res. 2014 Jan;42(Database issue):D802-9
Assay type: In situ reporter (knock in)
MGI Accession ID: MGI:6691005
Gene symbol: Fnta
Gene name: farnesyltransferase, CAAX box, alpha
Reporter: lacZ
Direct Detection
Results
Specimen TCP_2216222: postnatal adult; Fntatm1b(KOMP)Wtsi/Fnta+ (more )
Structure Level Pattern Image Note
TS28: brain Present TCP_2216222

Specimen TCP_2216223: postnatal adult; Fntatm1b(KOMP)Wtsi/Fnta+ (more )
Structure Level Pattern Image Note
TS28: brainstem Present TCP_2216223

Specimen TCP_2216224: postnatal adult; Fntatm1b(KOMP)Wtsi/Fnta+ (more )
Structure Level Pattern Image Note
TS28: brown fat Present TCP_2216224

Specimen TCP_2216225: postnatal adult; Fntatm1b(KOMP)Wtsi/Fnta+ (more )
Structure Level Pattern Image Note
TS28: cerebellum Present TCP_2216225

Specimen TCP_2216226: postnatal adult; Fntatm1b(KOMP)Wtsi/Fnta+ (more )
Structure Level Pattern Image Note
TS28: heart Present TCP_2216226

Specimen TCP_2216227: postnatal adult; Fntatm1b(KOMP)Wtsi/Fnta+ (more )
Structure Level Pattern Image Note
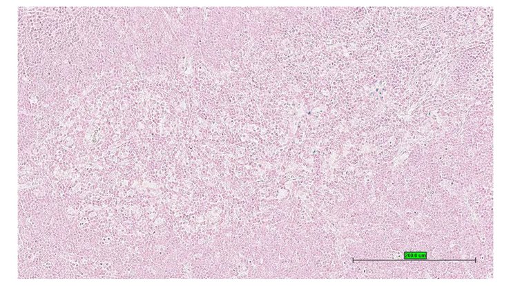
TS28: liver Present TCP_2216227

Specimen TCP_2216228: postnatal adult; Fntatm1b(KOMP)Wtsi/Fnta+ (more )
Structure Level Pattern Image Note
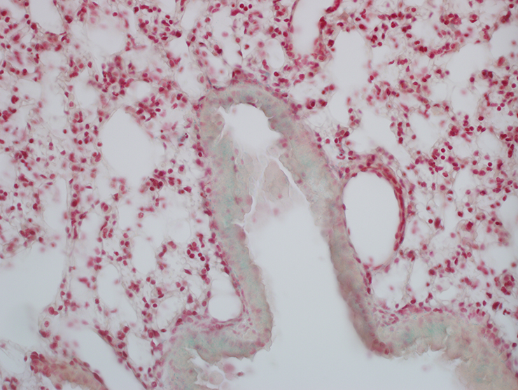
TS28: lung Present TCP_2216228

Specimen TCP_2216229: postnatal adult; Fntatm1b(KOMP)Wtsi/Fnta+ (more )
Structure Level Pattern Image Note
TS28: pancreas Present TCP_2216229

Specimen TCP_2216230: postnatal adult; Fntatm1b(KOMP)Wtsi/Fnta+ (more )
Structure Level Pattern Image Note
TS28: skin Present TCP_2216230

Specimen TCP_2216231: postnatal adult; Fntatm1b(KOMP)Wtsi/Fnta+ (more )
Structure Level Pattern Image Note
TS28: spinal cord Present TCP_2216231

Specimen TCP_2216232: postnatal adult; Fntatm1b(KOMP)Wtsi/Fnta+ (more )
Structure Level Pattern Image Note
TS28: spleen Present TCP_2216232

Specimen TCP_2216233: postnatal adult; Fntatm1b(KOMP)Wtsi/Fnta+ (more )
Structure Level Pattern Image Note
TS28: bladder Present TCP_2216233

Specimen TCP_2216234: postnatal adult; Fntatm1b(KOMP)Wtsi/Fnta+ (more )
Structure Level Pattern Image Note
TS28: mammary gland Present TCP_2216234

Specimen UC Davis_1876392: postnatal adult; Fntatm1b(KOMP)Wtsi/Fnta+ (more )
Structure Level Pattern Image Note
TS28: esophagus Present UC Davis_1876392

Specimen UC Davis_1876393: postnatal adult; Fntatm1b(KOMP)Wtsi/Fnta+ (more )
Structure Level Pattern Image Note
TS28: ileum Present UC Davis_1876393

Specimen UC Davis_1876394: postnatal adult; Fntatm1b(KOMP)Wtsi/Fnta+ (more )
Structure Level Pattern Image Note
TS28: tongue Absent UC Davis_1876394

Specimen UC Davis_1876395: postnatal adult; Fntatm1b(KOMP)Wtsi/Fnta+ (more )
Structure Level Pattern Image Note
TS28: tongue Present UC Davis_1876395

Specimen UC Davis_1876396: postnatal adult; Fntatm1b(KOMP)Wtsi/Fnta+ (more )
Structure Level Pattern Image Note
TS28: pancreas Present UC Davis_1876396

Specimen UC Davis_1876397: postnatal adult; Fntatm1b(KOMP)Wtsi/Fnta+ (more )
Structure Level Pattern Image Note
TS28: sciatic nerve Present UC Davis_1876397

Specimen UC Davis_1876398: postnatal adult; Fntatm1b(KOMP)Wtsi/Fnta+ (more )
Structure Level Pattern Image Note
TS28: olfactory lobe Present UC Davis_1876398

Specimen UC Davis_1876400: postnatal adult; Fntatm1b(KOMP)Wtsi/Fnta+ (more )
Structure Level Pattern Image Note
TS28: midbrain Present UC Davis_1876400

Specimen UC Davis_1876402: postnatal adult; Fntatm1b(KOMP)Wtsi/Fnta+ (more )
Structure Level Pattern Image Note
TS28: cerebellum Present UC Davis_1876402

Specimen UC Davis_1876403: postnatal adult; Fntatm1b(KOMP)Wtsi/Fnta+ (more )
Structure Level Pattern Image Note
TS28: brain Present UC Davis_1876403

Specimen UC Davis_1876404: postnatal adult; Fntatm1b(KOMP)Wtsi/Fnta+ (more )
Structure Level Pattern Image Note
TS28: lung Present UC Davis_1876404

Specimen UC Davis_1876405: postnatal adult; Fntatm1b(KOMP)Wtsi/Fnta+ (more )
Structure Level Pattern Image Note
TS28: aorta Present UC Davis_1876405

Specimen UC Davis_1876407: postnatal adult; Fntatm1b(KOMP)Wtsi/Fnta+ (more )
Structure Level Pattern Image Note
TS28: metanephros Present UC Davis_1876407 kidney

Specimen UC Davis_1876408: postnatal adult; Fntatm1b(KOMP)Wtsi/Fnta+ (more )
Structure Level Pattern Image Note
TS28: adrenal gland Present UC Davis_1876408

Specimen UC Davis_1876409: postnatal adult; Fntatm1b(KOMP)Wtsi/Fnta+ (more )
Structure Level Pattern Image Note
TS28: esophagus Present UC Davis_1876409

Specimen UC Davis_1876410: postnatal adult; Fntatm1b(KOMP)Wtsi/Fnta+ (more )
Structure Level Pattern Image Note
TS28: thyroid gland Present UC Davis_1876410

Specimen UC Davis_1876411: postnatal adult; Fntatm1b(KOMP)Wtsi/Fnta+ (more )
Structure Level Pattern Image Note
TS28: spinal cord Present UC Davis_1876411

Specimen UC Davis_1876412: postnatal adult; Fntatm1b(KOMP)Wtsi/Fnta+ (more )
Structure Level Pattern Image Note
TS28: pituitary gland Present UC Davis_1876412

Specimen UC Davis_1876413: postnatal adult; Fntatm1b(KOMP)Wtsi/Fnta+ (more )
Structure Level Pattern Image Note
TS28: eye Present UC Davis_1876413

Specimen UC Davis_1876414: postnatal adult; Fntatm1b(KOMP)Wtsi/Fnta+ (more )
Structure Level Pattern Image Note
TS28: Harderian gland Present UC Davis_1876414

Specimen UC Davis_1876415: postnatal adult; Fntatm1b(KOMP)Wtsi/Fnta+ (more )
Structure Level Pattern Image Note
TS28: mesenteric adipose tissue Present UC Davis_1876415

Specimen UC Davis_1876416: postnatal adult; Fntatm1b(KOMP)Wtsi/Fnta+ (more )
Structure Level Pattern Image Note
TS28: bladder Present UC Davis_1876416

Specimen UC Davis_1876417: postnatal adult; Fntatm1b(KOMP)Wtsi/Fnta+ (more )
Structure Level Pattern Image Note
TS28: ovary Present UC Davis_1876417

Specimen UC Davis_1876418: postnatal adult; Fntatm1b(KOMP)Wtsi/Fnta+ (more )
Structure Level Pattern Image Note
TS28: oviduct Present UC Davis_1876418

Specimen UC Davis_1876419: postnatal adult; Fntatm1b(KOMP)Wtsi/Fnta+ (more )
Structure Level Pattern Image Note
TS28: uterus Present UC Davis_1876419

Specimen UC Davis_1876420: postnatal adult; Fntatm1b(KOMP)Wtsi/Fnta+ (more )
Structure Level Pattern Image Note
TS28: vagina Present UC Davis_1876420

Specimen UC Davis_1876422: postnatal adult; Fntatm1b(KOMP)Wtsi/Fnta+ (more )
Structure Level Pattern Image Note
TS28: thoracic segment skeleton Present UC Davis_1876422 chest bone

Specimen TCP_2216235: postnatal adult; Fntatm1b(KOMP)Wtsi/Fnta+ (more )
Structure Level Pattern Image Note
TS28: brain Present TCP_2216235

Specimen TCP_2216236: postnatal adult; Fntatm1b(KOMP)Wtsi/Fnta+ (more )
Structure Level Pattern Image Note
TS28: brainstem Present TCP_2216236

Specimen TCP_2216237: postnatal adult; Fntatm1b(KOMP)Wtsi/Fnta+ (more )
Structure Level Pattern Image Note
TS28: brown fat Present TCP_2216237

Specimen TCP_2216238: postnatal adult; Fntatm1b(KOMP)Wtsi/Fnta+ (more )
Structure Level Pattern Image Note
TS28: cerebellum Present TCP_2216238

Specimen TCP_2216239: postnatal adult; Fntatm1b(KOMP)Wtsi/Fnta+ (more )
Structure Level Pattern Image Note
TS28: heart Present TCP_2216239

Specimen TCP_2216240: postnatal adult; Fntatm1b(KOMP)Wtsi/Fnta+ (more )
Structure Level Pattern Image Note
TS28: liver Present TCP_2216240

Specimen TCP_2216241: postnatal adult; Fntatm1b(KOMP)Wtsi/Fnta+ (more )
Structure Level Pattern Image Note
TS28: lung Present TCP_2216241

Specimen TCP_2216242: postnatal adult; Fntatm1b(KOMP)Wtsi/Fnta+ (more )
Structure Level Pattern Image Note
TS28: pancreas Present TCP_2216242

Specimen TCP_2216243: postnatal adult; Fntatm1b(KOMP)Wtsi/Fnta+ (more )
Structure Level Pattern Image Note
TS28: parathyroid gland Present TCP_2216243

Specimen TCP_2216244: postnatal adult; Fntatm1b(KOMP)Wtsi/Fnta+ (more )
Structure Level Pattern Image Note
TS28: skin Present TCP_2216244

Specimen TCP_2216245: postnatal adult; Fntatm1b(KOMP)Wtsi/Fnta+ (more )
Structure Level Pattern Image Note
TS28: spinal cord Present TCP_2216245

Specimen TCP_2216246: postnatal adult; Fntatm1b(KOMP)Wtsi/Fnta+ (more )
Structure Level Pattern Image Note
TS28: spleen Present TCP_2216246

Specimen TCP_2216247: postnatal adult; Fntatm1b(KOMP)Wtsi/Fnta+ (more )
Structure Level Pattern Image Note
TS28: bladder Present TCP_2216247

Specimen UC Davis_1876332: postnatal adult; Fntatm1b(KOMP)Wtsi/Fnta+ (more )
Structure Level Pattern Image Note
TS28: parotid gland Present UC Davis_1876332

Specimen UC Davis_1876333: postnatal adult; Fntatm1b(KOMP)Wtsi/Fnta+ (more )
Structure Level Pattern Image Note
TS28: trachea Present UC Davis_1876333

Specimen UC Davis_1876334: postnatal adult; Fntatm1b(KOMP)Wtsi/Fnta+ (more )
Structure Level Pattern Image Note
TS28: esophagus Present UC Davis_1876334

Specimen UC Davis_1876335: postnatal adult; Fntatm1b(KOMP)Wtsi/Fnta+ (more )
Structure Level Pattern Image Note
TS28: esophagus Present UC Davis_1876335

Specimen UC Davis_1876336: postnatal adult; Fntatm1b(KOMP)Wtsi/Fnta+ (more )
Structure Level Pattern Image Note
TS28: thyroid gland Present UC Davis_1876336

Specimen UC Davis_1876339: postnatal adult; Fntatm1b(KOMP)Wtsi/Fnta+ (more )
Structure Level Pattern Image Note
TS28: parathyroid gland Present UC Davis_1876339

Specimen UC Davis_1876340: postnatal adult; Fntatm1b(KOMP)Wtsi/Fnta+ (more )
Structure Level Pattern Image Note
TS28: lung Present UC Davis_1876340

Specimen UC Davis_1876341: postnatal adult; Fntatm1b(KOMP)Wtsi/Fnta+ (more )
Structure Level Pattern Image Note
TS28: lung Present UC Davis_1876341

Specimen UC Davis_1876342: postnatal adult; Fntatm1b(KOMP)Wtsi/Fnta+ (more )
Structure Level Pattern Image Note
TS28: thymus Present UC Davis_1876342

Specimen UC Davis_1876345: postnatal adult; Fntatm1b(KOMP)Wtsi/Fnta+ (more )
Structure Level Pattern Image Note
TS28: stomach Present UC Davis_1876345

Specimen UC Davis_1876346: postnatal adult; Fntatm1b(KOMP)Wtsi/Fnta+ (more )
Structure Level Pattern Image Note
TS28: stomach Present UC Davis_1876346

Specimen UC Davis_1876347: postnatal adult; Fntatm1b(KOMP)Wtsi/Fnta+ (more )
Structure Level Pattern Image Note
TS28: duodenum Present UC Davis_1876347

Specimen UC Davis_1876348: postnatal adult; Fntatm1b(KOMP)Wtsi/Fnta+ (more )
Structure Level Pattern Image Note
TS28: jejunum Present UC Davis_1876348

Specimen UC Davis_1876349: postnatal adult; Fntatm1b(KOMP)Wtsi/Fnta+ (more )
Structure Level Pattern Image Note
TS28: ileum Present UC Davis_1876349

Specimen UC Davis_1876350: postnatal adult; Fntatm1b(KOMP)Wtsi/Fnta+ (more )
Structure Level Pattern Image Note
TS28: colon Present UC Davis_1876350

Specimen UC Davis_1876351: postnatal adult; Fntatm1b(KOMP)Wtsi/Fnta+ (more )
Structure Level Pattern Image Note
TS28: colon Present UC Davis_1876351

Specimen UC Davis_1876352: postnatal adult; Fntatm1b(KOMP)Wtsi/Fnta+ (more )
Structure Level Pattern Image Note
TS28: colon Present UC Davis_1876352

Specimen UC Davis_1876353: postnatal adult; Fntatm1b(KOMP)Wtsi/Fnta+ (more )
Structure Level Pattern Image Note
TS28: cecum Present UC Davis_1876353

Specimen UC Davis_1876354: postnatal adult; Fntatm1b(KOMP)Wtsi/Fnta+ (more )
Structure Level Pattern Image Note
TS28: metanephros Present UC Davis_1876354 kidney

Specimen UC Davis_1876355: postnatal adult; Fntatm1b(KOMP)Wtsi/Fnta+ (more )
Structure Level Pattern Image Note
TS28: metanephros Present UC Davis_1876355 kidney

Specimen UC Davis_1876356: postnatal adult; Fntatm1b(KOMP)Wtsi/Fnta+ (more )
Structure Level Pattern Image Note
TS28: metanephros Present UC Davis_1876356 kidney

Specimen UC Davis_1876357: postnatal adult; Fntatm1b(KOMP)Wtsi/Fnta+ (more )
Structure Level Pattern Image Note
TS28: adrenal gland Present UC Davis_1876357

Specimen UC Davis_1876358: postnatal adult; Fntatm1b(KOMP)Wtsi/Fnta+ (more )
Structure Level Pattern Image Note
TS28: adrenal gland Present UC Davis_1876358

Specimen UC Davis_1876359: postnatal adult; Fntatm1b(KOMP)Wtsi/Fnta+ (more )
Structure Level Pattern Image Note
TS28: pituitary gland Present UC Davis_1876359

Specimen UC Davis_1876360: postnatal adult; Fntatm1b(KOMP)Wtsi/Fnta+ (more )
Structure Level Pattern Image Note
TS28: spinal cord Present UC Davis_1876360

Specimen UC Davis_1876361: postnatal adult; Fntatm1b(KOMP)Wtsi/Fnta+ (more )
Structure Level Pattern Image Note
TS28: spinal cord Present UC Davis_1876361

Specimen UC Davis_1876362: postnatal adult; Fntatm1b(KOMP)Wtsi/Fnta+ (more )
Structure Level Pattern Image Note
TS28: eye Present UC Davis_1876362

Specimen UC Davis_1876363: postnatal adult; Fntatm1b(KOMP)Wtsi/Fnta+ (more )
Structure Level Pattern Image Note
TS28: Harderian gland Present UC Davis_1876363

Specimen UC Davis_1876364: postnatal adult; Fntatm1b(KOMP)Wtsi/Fnta+ (more )
Structure Level Pattern Image Note
TS28: Harderian gland Present UC Davis_1876364

Specimen UC Davis_1876365: postnatal adult; Fntatm1b(KOMP)Wtsi/Fnta+ (more )
Structure Level Pattern Image Note
TS28: skin Present UC Davis_1876365

Specimen UC Davis_1876366: postnatal adult; Fntatm1b(KOMP)Wtsi/Fnta+ (more )
Structure Level Pattern Image Note
TS28: skin Present UC Davis_1876366

Specimen UC Davis_1876367: postnatal adult; Fntatm1b(KOMP)Wtsi/Fnta+ (more )
Structure Level Pattern Image Note
TS28: olfactory lobe Present UC Davis_1876367

Specimen UC Davis_1876369: postnatal adult; Fntatm1b(KOMP)Wtsi/Fnta+ (more )
Structure Level Pattern Image Note
TS28: midbrain Present UC Davis_1876369

Specimen UC Davis_1876371: postnatal adult; Fntatm1b(KOMP)Wtsi/Fnta+ (more )
Structure Level Pattern Image Note
TS28: cerebellum Present UC Davis_1876371

Specimen UC Davis_1876372: postnatal adult; Fntatm1b(KOMP)Wtsi/Fnta+ (more )
Structure Level Pattern Image Note
TS28: trigeminal nerve Present UC Davis_1876372

Specimen UC Davis_1876373: postnatal adult; Fntatm1b(KOMP)Wtsi/Fnta+ (more )
Structure Level Pattern Image Note
TS28: bladder Present UC Davis_1876373

Specimen UC Davis_1876374: postnatal adult; Fntatm1b(KOMP)Wtsi/Fnta+ (more )
Structure Level Pattern Image Note
TS28: bladder Present UC Davis_1876374

Specimen UC Davis_1876375: postnatal adult; Fntatm1b(KOMP)Wtsi/Fnta+ (more )
Structure Level Pattern Image Note
TS28: testis Present UC Davis_1876375

Specimen UC Davis_1876376: postnatal adult; Fntatm1b(KOMP)Wtsi/Fnta+ (more )
Structure Level Pattern Image Note
TS28: testis Present UC Davis_1876376

Specimen UC Davis_1876377: postnatal adult; Fntatm1b(KOMP)Wtsi/Fnta+ (more )
Structure Level Pattern Image Note
TS28: epididymis Present UC Davis_1876377

Specimen UC Davis_1876378: postnatal adult; Fntatm1b(KOMP)Wtsi/Fnta+ (more )
Structure Level Pattern Image Note
TS28: epididymis Present UC Davis_1876378

Specimen UC Davis_1876379: postnatal adult; Fntatm1b(KOMP)Wtsi/Fnta+ (more )
Structure Level Pattern Image Note
TS28: epididymis Present UC Davis_1876379

Specimen UC Davis_1876380: postnatal adult; Fntatm1b(KOMP)Wtsi/Fnta+ (more )
Structure Level Pattern Image Note
TS28: prostate gland Present UC Davis_1876380

Specimen UC Davis_1876381: postnatal adult; Fntatm1b(KOMP)Wtsi/Fnta+ (more )
Structure Level Pattern Image Note
TS28: prostate gland Present UC Davis_1876381

Specimen UC Davis_1876382: postnatal adult; Fntatm1b(KOMP)Wtsi/Fnta+ (more )
Structure Level Pattern Image Note
TS28: penis Present UC Davis_1876382

Specimen UC Davis_1876383: postnatal adult; Fntatm1b(KOMP)Wtsi/Fnta+ (more )
Structure Level Pattern Image Note
TS28: penis Present UC Davis_1876383

Specimen UC Davis_1876384: postnatal adult; Fntatm1b(KOMP)Wtsi/Fnta+ (more )
Structure Level Pattern Image Note
TS28: ductus deferens Present UC Davis_1876384 vas deferens

Specimen UC Davis_1876385: postnatal adult; Fntatm1b(KOMP)Wtsi/Fnta+ (more )
Structure Level Pattern Image Note
TS28: ductus deferens Present UC Davis_1876385 vas deferens

Specimen UC Davis_1876391: postnatal adult; Fntatm1b(KOMP)Wtsi/Fnta+ (more )
Structure Level Pattern Image Note
TS28: seminal vesicle Present UC Davis_1876391 vesicular gland


Contributing Projects:
Mouse Genome Database (MGD), Gene Expression Database (GXD), Mouse Models of Human Cancer database (MMHCdb) (formerly Mouse Tumor Biology (MTB)), Gene Ontology (GO)
Citing These Resources
Funding Information
Warranty Disclaimer, Privacy Notice, Licensing, & Copyright
Send questions and comments to User Support.
last database update
03/24/2026
MGI 6.24
The Jackson Laboratory