About   Help   FAQ
Gene Expression Data
Assay Details
Assay
Reference: J:228563 Koscielny G, et al., The International Mouse Phenotyping Consortium Web Portal, a unified point of access for knockout mice and related phenotyping data. Nucleic Acids Res. 2014 Jan;42(Database issue):D802-9
Assay type: In situ reporter (knock in)
MGI Accession ID: MGI:6690996
Gene symbol: Cnr1
Gene name: cannabinoid receptor 1
Reporter: lacZ
Direct Detection
Results
Specimen UC Davis_1868051: postnatal adult; Cnr1tm1.1(KOMP)Vlcg/Cnr1+ (more )
Structure Level Pattern Image Note
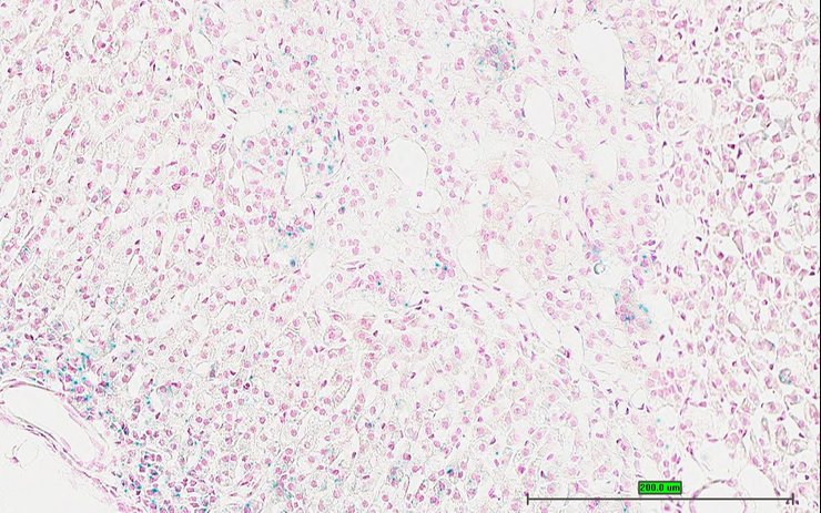
TS28: stomach Present UC Davis_1868051

Specimen UC Davis_1868052: postnatal adult; Cnr1tm1.1(KOMP)Vlcg/Cnr1+ (more )
Structure Level Pattern Image Note
TS28: stomach Present UC Davis_1868052

Specimen UC Davis_1868053: postnatal adult; Cnr1tm1.1(KOMP)Vlcg/Cnr1+ (more )
Structure Level Pattern Image Note
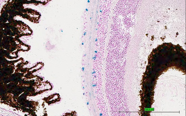
TS28: duodenum Present UC Davis_1868053

Specimen UC Davis_1868054: postnatal adult; Cnr1tm1.1(KOMP)Vlcg/Cnr1+ (more )
Structure Level Pattern Image Note
TS28: jejunum Present UC Davis_1868054

Specimen UC Davis_1868055: postnatal adult; Cnr1tm1.1(KOMP)Vlcg/Cnr1+ (more )
Structure Level Pattern Image Note
TS28: jejunum Present UC Davis_1868055

Specimen UC Davis_1868056: postnatal adult; Cnr1tm1.1(KOMP)Vlcg/Cnr1+ (more )
Structure Level Pattern Image Note
TS28: ileum Present UC Davis_1868056

Specimen UC Davis_1868057: postnatal adult; Cnr1tm1.1(KOMP)Vlcg/Cnr1+ (more )
Structure Level Pattern Image Note
TS28: colon Present UC Davis_1868057

Specimen UC Davis_1868058: postnatal adult; Cnr1tm1.1(KOMP)Vlcg/Cnr1+ (more )
Structure Level Pattern Image Note
TS28: colon Present UC Davis_1868058

Specimen UC Davis_1868059: postnatal adult; Cnr1tm1.1(KOMP)Vlcg/Cnr1+ (more )
Structure Level Pattern Image Note
TS28: cecum Present UC Davis_1868059

Specimen UC Davis_1868060: postnatal adult; Cnr1tm1.1(KOMP)Vlcg/Cnr1+ (more )
Structure Level Pattern Image Note
TS28: spinal cord Present UC Davis_1868060

Specimen UC Davis_1868061: postnatal adult; Cnr1tm1.1(KOMP)Vlcg/Cnr1+ (more )
Structure Level Pattern Image Note
TS28: spinal cord Present UC Davis_1868061

Specimen UC Davis_1868062: postnatal adult; Cnr1tm1.1(KOMP)Vlcg/Cnr1+ (more )
Structure Level Pattern Image Note
TS28: skin Present UC Davis_1868062

Specimen UC Davis_1868063: postnatal adult; Cnr1tm1.1(KOMP)Vlcg/Cnr1+ (more )
Structure Level Pattern Image Note
TS28: skin Present UC Davis_1868063

Specimen UC Davis_1868064: postnatal adult; Cnr1tm1.1(KOMP)Vlcg/Cnr1+ (more )
Structure Level Pattern Image Note
TS28: skin Present UC Davis_1868064

Specimen UC Davis_1868065: postnatal adult; Cnr1tm1.1(KOMP)Vlcg/Cnr1+ (more )
Structure Level Pattern Image Note
TS28: skin Present UC Davis_1868065

Specimen UC Davis_1868066: postnatal adult; Cnr1tm1.1(KOMP)Vlcg/Cnr1+ (more )
Structure Level Pattern Image Note
TS28: olfactory lobe Present UC Davis_1868066

Specimen UC Davis_1868069: postnatal adult; Cnr1tm1.1(KOMP)Vlcg/Cnr1+ (more )
Structure Level Pattern Image Note
TS28: midbrain Present UC Davis_1868069

Specimen UC Davis_1868071: postnatal adult; Cnr1tm1.1(KOMP)Vlcg/Cnr1+ (more )
Structure Level Pattern Image Note
TS28: cerebellum Present UC Davis_1868071

Specimen UC Davis_1868072: postnatal adult; Cnr1tm1.1(KOMP)Vlcg/Cnr1+ (more )
Structure Level Pattern Image Note
TS28: trigeminal nerve Present UC Davis_1868072

Specimen UC Davis_1868073: postnatal adult; Cnr1tm1.1(KOMP)Vlcg/Cnr1+ (more )
Structure Level Pattern Image Note
TS28: oviduct Present UC Davis_1868073

Specimen UC Davis_1868074: postnatal adult; Cnr1tm1.1(KOMP)Vlcg/Cnr1+ (more )
Structure Level Pattern Image Note
TS28: oviduct Present UC Davis_1868074

Specimen UC Davis_1868076: postnatal adult; Cnr1tm1.1(KOMP)Vlcg/Cnr1+ (more )
Structure Level Pattern Image Note
TS28: stomach Present UC Davis_1868076

Specimen UC Davis_1868077: postnatal adult; Cnr1tm1.1(KOMP)Vlcg/Cnr1+ (more )
Structure Level Pattern Image Note
TS28: stomach Present UC Davis_1868077

Specimen UC Davis_1868078: postnatal adult; Cnr1tm1.1(KOMP)Vlcg/Cnr1+ (more )
Structure Level Pattern Image Note
TS28: duodenum Present UC Davis_1868078

Specimen UC Davis_1868079: postnatal adult; Cnr1tm1.1(KOMP)Vlcg/Cnr1+ (more )
Structure Level Pattern Image Note
TS28: duodenum Present UC Davis_1868079

Specimen UC Davis_1868080: postnatal adult; Cnr1tm1.1(KOMP)Vlcg/Cnr1+ (more )
Structure Level Pattern Image Note
TS28: jejunum Present UC Davis_1868080

Specimen UC Davis_1868081: postnatal adult; Cnr1tm1.1(KOMP)Vlcg/Cnr1+ (more )
Structure Level Pattern Image Note
TS28: ileum Present UC Davis_1868081

Specimen UC Davis_1868082: postnatal adult; Cnr1tm1.1(KOMP)Vlcg/Cnr1+ (more )
Structure Level Pattern Image Note
TS28: colon Present UC Davis_1868082

Specimen UC Davis_1868083: postnatal adult; Cnr1tm1.1(KOMP)Vlcg/Cnr1+ (more )
Structure Level Pattern Image Note
TS28: colon Present UC Davis_1868083

Specimen UC Davis_1868084: postnatal adult; Cnr1tm1.1(KOMP)Vlcg/Cnr1+ (more )
Structure Level Pattern Image Note
TS28: cecum Present UC Davis_1868084

Specimen UC Davis_1868085: postnatal adult; Cnr1tm1.1(KOMP)Vlcg/Cnr1+ (more )
Structure Level Pattern Image Note
TS28: tongue Present UC Davis_1868085

Specimen UC Davis_1868086: postnatal adult; Cnr1tm1.1(KOMP)Vlcg/Cnr1+ (more )
Structure Level Pattern Image Note
TS28: adrenal gland Present UC Davis_1868086

Specimen UC Davis_1868087: postnatal adult; Cnr1tm1.1(KOMP)Vlcg/Cnr1+ (more )
Structure Level Pattern Image Note
TS28: adrenal gland Present UC Davis_1868087

Specimen UC Davis_1868088: postnatal adult; Cnr1tm1.1(KOMP)Vlcg/Cnr1+ (more )
Structure Level Pattern Image Note
TS28: spinal cord Present UC Davis_1868088

Specimen UC Davis_1868089: postnatal adult; Cnr1tm1.1(KOMP)Vlcg/Cnr1+ (more )
Structure Level Pattern Image Note
TS28: spinal cord Present UC Davis_1868089

Specimen UC Davis_1868090: postnatal adult; Cnr1tm1.1(KOMP)Vlcg/Cnr1+ (more )
Structure Level Pattern Image Note
TS28: eye Present UC Davis_1868090

Specimen UC Davis_1868091: postnatal adult; Cnr1tm1.1(KOMP)Vlcg/Cnr1+ (more )
Structure Level Pattern Image Note
TS28: skin Present UC Davis_1868091

Specimen UC Davis_1868092: postnatal adult; Cnr1tm1.1(KOMP)Vlcg/Cnr1+ (more )
Structure Level Pattern Image Note
TS28: olfactory lobe Present UC Davis_1868092

Specimen UC Davis_1868095: postnatal adult; Cnr1tm1.1(KOMP)Vlcg/Cnr1+ (more )
Structure Level Pattern Image Note
TS28: midbrain Present UC Davis_1868095

Specimen UC Davis_1868097: postnatal adult; Cnr1tm1.1(KOMP)Vlcg/Cnr1+ (more )
Structure Level Pattern Image Note
TS28: cerebellum Present UC Davis_1868097

Specimen UC Davis_1868098: postnatal adult; Cnr1tm1.1(KOMP)Vlcg/Cnr1+ (more )
Structure Level Pattern Image Note
TS28: trigeminal nerve Present UC Davis_1868098

Specimen UC Davis_1868099: postnatal adult; Cnr1tm1.1(KOMP)Vlcg/Cnr1+ (more )
Structure Level Pattern Image Note
TS28: testis Present UC Davis_1868099

Specimen UC Davis_1868100: postnatal adult; Cnr1tm1.1(KOMP)Vlcg/Cnr1+ (more )
Structure Level Pattern Image Note
TS28: testis Present UC Davis_1868100

Specimen UC Davis_1868101: postnatal adult; Cnr1tm1.1(KOMP)Vlcg/Cnr1+ (more )
Structure Level Pattern Image Note
TS28: epididymis Present UC Davis_1868101

Specimen UC Davis_1868102: postnatal adult; Cnr1tm1.1(KOMP)Vlcg/Cnr1+ (more )
Structure Level Pattern Image Note
TS28: epididymis Present UC Davis_1868102

Specimen UC Davis_1868103: postnatal adult; Cnr1tm1.1(KOMP)Vlcg/Cnr1+ (more )
Structure Level Pattern Image Note
TS28: prostate gland Present UC Davis_1868103

Specimen UC Davis_1868104: postnatal adult; Cnr1tm1.1(KOMP)Vlcg/Cnr1+ (more )
Structure Level Pattern Image Note
TS28: penis Present UC Davis_1868104

Specimen UC Davis_1868105: postnatal adult; Cnr1tm1.1(KOMP)Vlcg/Cnr1+ (more )
Structure Level Pattern Image Note
TS28: ductus deferens Present UC Davis_1868105 vas deferens


Contributing Projects:
Mouse Genome Database (MGD), Gene Expression Database (GXD), Mouse Models of Human Cancer database (MMHCdb) (formerly Mouse Tumor Biology (MTB)), Gene Ontology (GO)
Citing These Resources
Funding Information
Warranty Disclaimer, Privacy Notice, Licensing, & Copyright
Send questions and comments to User Support.
last database update
01/06/2026
MGI 6.24
The Jackson Laboratory