About   Help   FAQ
Gene Expression Data
Assay Details
Assay
Reference: J:228563 Koscielny G, et al., The International Mouse Phenotyping Consortium Web Portal, a unified point of access for knockout mice and related phenotyping data. Nucleic Acids Res. 2014 Jan;42(Database issue):D802-9
Assay type: In situ reporter (knock in)
MGI Accession ID: MGI:6690994
Gene symbol: Rapgef1
Gene name: Rap guanine nucleotide exchange factor (GEF) 1
Reporter: lacZ
Direct Detection
Results
Specimen JAX_1262915: embryonic day 12.5; Rapgef1tm1b(KOMP)Wtsi/Rapgef1+ (more )
Structure Level Pattern Image Note
TS20: embryo Present JAX_1262915

Specimen JAX_1262917: embryonic day 12.5; Rapgef1tm1b(KOMP)Wtsi/Rapgef1+ (more )
Structure Level Pattern Image Note
TS20: embryo Present JAX_1262917

Specimen JAX_1262919: embryonic day 12.5; Rapgef1tm1b(KOMP)Wtsi/Rapgef1+ (more )
Structure Level Pattern Image Note
TS20: embryo Present JAX_1262919

Specimen JAX_1262921: embryonic day 12.5; Rapgef1tm1b(KOMP)Wtsi/Rapgef1+ (more )
Structure Level Pattern Image Note
TS20: embryo Present JAX_1262921

Specimen JAX_1262907: embryonic day 12.5; Rapgef1tm1b(KOMP)Wtsi/Rapgef1+ (more )
Structure Level Pattern Image Note
TS20: embryo Present JAX_1262907

Specimen JAX_1262909: embryonic day 12.5; Rapgef1tm1b(KOMP)Wtsi/Rapgef1+ (more )
Structure Level Pattern Image Note
TS20: embryo Present JAX_1262909

Specimen JAX_1262911: embryonic day 12.5; Rapgef1tm1b(KOMP)Wtsi/Rapgef1+ (more )
Structure Level Pattern Image Note
TS20: embryo Present JAX_1262911

Specimen JAX_1262913: embryonic day 12.5; Rapgef1tm1b(KOMP)Wtsi/Rapgef1+ (more )
Structure Level Pattern Image Note
TS20: embryo Present JAX_1262913

Specimen JAX_1372308: postnatal adult; Rapgef1tm1b(KOMP)Wtsi/Rapgef1+ (more )
Structure Level Pattern Image Note
TS28: vascular system Present JAX_1372308

Specimen JAX_1372309: postnatal adult; Rapgef1tm1b(KOMP)Wtsi/Rapgef1+ (more )
Structure Level Pattern Image Note
TS28: submandibular gland Present JAX_1372309

Specimen JAX_1372310: postnatal adult; Rapgef1tm1b(KOMP)Wtsi/Rapgef1+ (more )
Structure Level Pattern Image Note
TS28: brown fat Present JAX_1372310

Specimen JAX_1372311: postnatal adult; Rapgef1tm1b(KOMP)Wtsi/Rapgef1+ (more )
Structure Level Pattern Image Note
TS28: Peyer's patch Present JAX_1372311

Specimen JAX_1372312: postnatal adult; Rapgef1tm1b(KOMP)Wtsi/Rapgef1+ (more )
Structure Level Pattern Image Note
TS28: peripheral nervous system Present JAX_1372312

Specimen JAX_1372313: postnatal adult; Rapgef1tm1b(KOMP)Wtsi/Rapgef1+ (more )
Structure Level Pattern Image Note
TS28: olfactory lobe Present JAX_1372313

Specimen JAX_1372314: postnatal adult; Rapgef1tm1b(KOMP)Wtsi/Rapgef1+ (more )
Structure Level Pattern Image Note
TS28: cartilage Present JAX_1372314

Specimen JAX_1372315: postnatal adult; Rapgef1tm1b(KOMP)Wtsi/Rapgef1+ (more )
Structure Level Pattern Image Note
TS28: spleen Present JAX_1372315

Specimen JAX_1372316: postnatal adult; Rapgef1tm1b(KOMP)Wtsi/Rapgef1+ (more )
Structure Level Pattern Image Note
TS28: lung Present JAX_1372316

Specimen JAX_1372317: postnatal adult; Rapgef1tm1b(KOMP)Wtsi/Rapgef1+ (more )
Structure Level Pattern Image Note
TS28: white fat Present JAX_1372317

Specimen JAX_1372318: postnatal adult; Rapgef1tm1b(KOMP)Wtsi/Rapgef1+ (more )
Structure Level Pattern Image Note
TS28: small intestine Present JAX_1372318

Specimen JAX_1372319: postnatal adult; Rapgef1tm1b(KOMP)Wtsi/Rapgef1+ (more )
Structure Level Pattern Image Note
TS28: skeletal muscle tissue Present JAX_1372319

Specimen JAX_1372320: postnatal adult; Rapgef1tm1b(KOMP)Wtsi/Rapgef1+ (more )
Structure Level Pattern Image Note
TS28: pituitary gland Present JAX_1372320

Specimen JAX_1372321: postnatal adult; Rapgef1tm1b(KOMP)Wtsi/Rapgef1+ (more )
Structure Level Pattern Image Note
TS28: spinal cord Present JAX_1372321

Specimen JAX_1372322: postnatal adult; Rapgef1tm1b(KOMP)Wtsi/Rapgef1+ (more )
Structure Level Pattern Image Note
TS28: large intestine Present JAX_1372322

Specimen JAX_1372323: postnatal adult; Rapgef1tm1b(KOMP)Wtsi/Rapgef1+ (more )
Structure Level Pattern Image Note
TS28: uterus Present JAX_1372323

Specimen JAX_1372324: postnatal adult; Rapgef1tm1b(KOMP)Wtsi/Rapgef1+ (more )
Structure Level Pattern Image Note
TS28: trachea Present JAX_1372324

Specimen JAX_1372325: postnatal adult; Rapgef1tm1b(KOMP)Wtsi/Rapgef1+ (more )
Structure Level Pattern Image Note
TS28: thymus Present JAX_1372325

Specimen JAX_1372326: postnatal adult; Rapgef1tm1b(KOMP)Wtsi/Rapgef1+ (more )
Structure Level Pattern Image Note
TS28: stomach Present JAX_1372326

Specimen JAX_1372327: postnatal adult; Rapgef1tm1b(KOMP)Wtsi/Rapgef1+ (more )
Structure Level Pattern Image Note
TS28: skin Present JAX_1372327

Specimen JAX_1372328: postnatal adult; Rapgef1tm1b(KOMP)Wtsi/Rapgef1+ (more )
Structure Level Pattern Image Note
TS28: oviduct Present JAX_1372328

Specimen JAX_1372329: postnatal adult; Rapgef1tm1b(KOMP)Wtsi/Rapgef1+ (more )
Structure Level Pattern Image Note
TS28: ovary Present JAX_1372329

Specimen JAX_1372330: postnatal adult; Rapgef1tm1b(KOMP)Wtsi/Rapgef1+ (more )
Structure Level Pattern Image Note
TS28: mammary gland Present JAX_1372330

Specimen JAX_1372331: postnatal adult; Rapgef1tm1b(KOMP)Wtsi/Rapgef1+ (more )
Structure Level Pattern Image Note
TS28: heart Present JAX_1372331

Specimen JAX_1372332: postnatal adult; Rapgef1tm1b(KOMP)Wtsi/Rapgef1+ (more )
Structure Level Pattern Image Note
TS28: eye Present JAX_1372332

Specimen JAX_1372289: postnatal adult; Rapgef1tm1b(KOMP)Wtsi/Rapgef1+ (more )
Structure Level Pattern Image Note
TS28: thalamus Present JAX_1372289

Specimen JAX_1372290: postnatal adult; Rapgef1tm1b(KOMP)Wtsi/Rapgef1+ (more )
Structure Level Pattern Image Note
TS28: midbrain Present JAX_1372290

Specimen JAX_1372291: postnatal adult; Rapgef1tm1b(KOMP)Wtsi/Rapgef1+ (more )
Structure Level Pattern Image Note
TS28: epididymis Present JAX_1372291

Specimen JAX_1372292: postnatal adult; Rapgef1tm1b(KOMP)Wtsi/Rapgef1+ (more )
Structure Level Pattern Image Note
TS28: bladder Present JAX_1372292

Specimen JAX_1372293: postnatal adult; Rapgef1tm1b(KOMP)Wtsi/Rapgef1+ (more )
Structure Level Pattern Image Note
TS28: corpus striatum Present JAX_1372293

Specimen JAX_1372294: postnatal adult; Rapgef1tm1b(KOMP)Wtsi/Rapgef1+ (more )
Structure Level Pattern Image Note
TS28: hypothalamus Present JAX_1372294

Specimen JAX_1372295: postnatal adult; Rapgef1tm1b(KOMP)Wtsi/Rapgef1+ (more )
Structure Level Pattern Image Note
TS28: hippocampus Present JAX_1372295

Specimen JAX_1372296: postnatal adult; Rapgef1tm1b(KOMP)Wtsi/Rapgef1+ (more )
Structure Level Pattern Image Note
TS28: cerebellum Present JAX_1372296

Specimen JAX_1372297: postnatal adult; Rapgef1tm1b(KOMP)Wtsi/Rapgef1+ (more )
Structure Level Pattern Image Note
TS28: cerebral cortex Present JAX_1372297

Specimen JAX_1372298: postnatal adult; Rapgef1tm1b(KOMP)Wtsi/Rapgef1+ (more )
Structure Level Pattern Image Note
TS28: brainstem Present JAX_1372298

Specimen JAX_1372299: postnatal adult; Rapgef1tm1b(KOMP)Wtsi/Rapgef1+ (more )
Structure Level Pattern Image Note
TS28: pancreas Present JAX_1372299

Specimen JAX_1372300: postnatal adult; Rapgef1tm1b(KOMP)Wtsi/Rapgef1+ (more )
Structure Level Pattern Image Note
TS28: aorta Present JAX_1372300

Specimen JAX_1372301: postnatal adult; Rapgef1tm1b(KOMP)Wtsi/Rapgef1+ (more )
Structure Level Pattern Image Note
TS28: esophagus Present JAX_1372301

Specimen JAX_1372302: postnatal adult; Rapgef1tm1b(KOMP)Wtsi/Rapgef1+ (more )
Structure Level Pattern Image Note
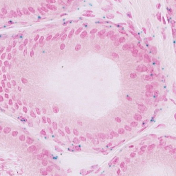
TS28: testis Present JAX_1372302

Specimen JAX_1372303: postnatal adult; Rapgef1tm1b(KOMP)Wtsi/Rapgef1+ (more )
Structure Level Pattern Image Note
TS28: lymph node Present JAX_1372303

Specimen JAX_1372304: postnatal adult; Rapgef1tm1b(KOMP)Wtsi/Rapgef1+ (more )
Structure Level Pattern Image Note
TS28: liver Present JAX_1372304

Specimen JAX_1372305: postnatal adult; Rapgef1tm1b(KOMP)Wtsi/Rapgef1+ (more )
Structure Level Pattern Image Note
TS28: metanephros Present JAX_1372305 kidney

Specimen JAX_1372306: postnatal adult; Rapgef1tm1b(KOMP)Wtsi/Rapgef1+ (more )
Structure Level Pattern Image Note
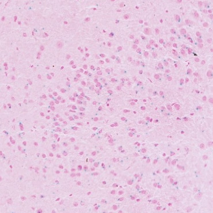
TS28: brain Present JAX_1372306

Specimen JAX_1372307: postnatal adult; Rapgef1tm1b(KOMP)Wtsi/Rapgef1+ (more )
Structure Level Pattern Image Note
TS28: adrenal gland Present JAX_1372307


Contributing Projects:
Mouse Genome Database (MGD), Gene Expression Database (GXD), Mouse Models of Human Cancer database (MMHCdb) (formerly Mouse Tumor Biology (MTB)), Gene Ontology (GO)
Citing These Resources
Funding Information
Warranty Disclaimer, Privacy Notice, Licensing, & Copyright
Send questions and comments to User Support.
last database update
01/28/2026
MGI 6.24
The Jackson Laboratory