About   Help   FAQ
Gene Expression Data
Assay Details
Assay
Reference: J:228563 Koscielny G, et al., The International Mouse Phenotyping Consortium Web Portal, a unified point of access for knockout mice and related phenotyping data. Nucleic Acids Res. 2014 Jan;42(Database issue):D802-9
Assay type: In situ reporter (knock in)
MGI Accession ID: MGI:6690991
Gene symbol: Nsf
Gene name: N-ethylmaleimide sensitive fusion protein
Reporter: lacZ
Direct Detection
Results
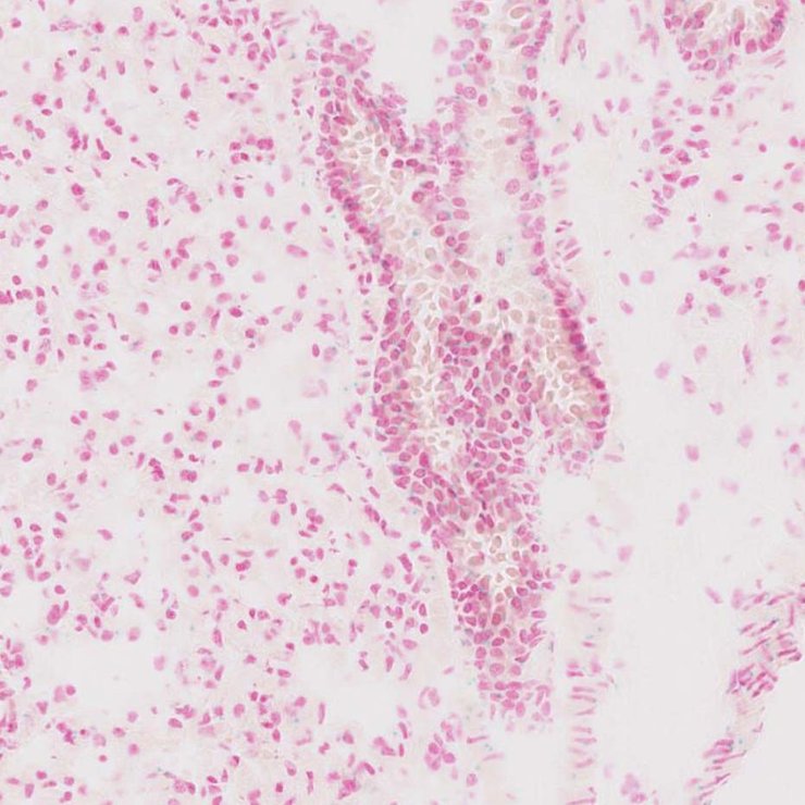
Specimen JAX_1469364: embryonic day 12.5; Nsftm1b(KOMP)Mbp/Nsf+ (more )
Structure Level Pattern Image Note
TS20: embryo Present JAX_1469364

Specimen JAX_1469365: embryonic day 12.5; Nsftm1b(KOMP)Mbp/Nsf+ (more )
Structure Level Pattern Image Note
TS20: embryo Present JAX_1469365

Specimen JAX_1469366: embryonic day 12.5; Nsftm1b(KOMP)Mbp/Nsf+ (more )
Structure Level Pattern Image Note
TS20: embryo Present JAX_1469366

Specimen JAX_1469367: embryonic day 12.5; Nsftm1b(KOMP)Mbp/Nsf+ (more )
Structure Level Pattern Image Note
TS20: embryo Present JAX_1469367

Specimen JAX_619435: embryonic day 12.5; Nsftm1b(KOMP)Mbp/Nsf+ (more )
Structure Level Pattern Image Note
TS20: embryo Present JAX_619435

Specimen JAX_619437: embryonic day 12.5; Nsftm1b(KOMP)Mbp/Nsf+ (more )
Structure Level Pattern Image Note
TS20: embryo Present JAX_619437

Specimen JAX_619439: embryonic day 12.5; Nsftm1b(KOMP)Mbp/Nsf+ (more )
Structure Level Pattern Image Note
TS20: embryo Present JAX_619439

Specimen JAX_619441: embryonic day 12.5; Nsftm1b(KOMP)Mbp/Nsf+ (more )
Structure Level Pattern Image Note
TS20: embryo Present JAX_619441

Specimen JAX_619443: embryonic day 12.5; Nsftm1b(KOMP)Mbp/Nsf+ (more )
Structure Level Pattern Image Note
TS20: embryo Present JAX_619443

Specimen JAX_619445: embryonic day 12.5; Nsftm1b(KOMP)Mbp/Nsf+ (more )
Structure Level Pattern Image Note
TS20: embryo Present JAX_619445

Specimen JAX_619447: embryonic day 12.5; Nsftm1b(KOMP)Mbp/Nsf+ (more )
Structure Level Pattern Image Note
TS20: embryo Present JAX_619447

Specimen JAX_619449: embryonic day 12.5; Nsftm1b(KOMP)Mbp/Nsf+ (more )
Structure Level Pattern Image Note
TS20: embryo Present JAX_619449

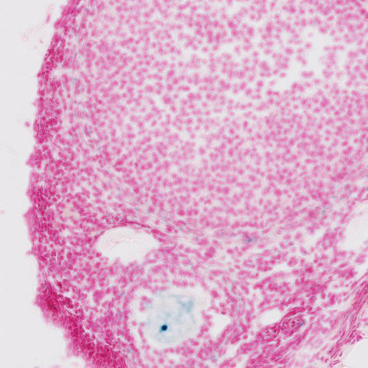
Specimen JAX_1797658: postnatal adult; Nsftm1b(KOMP)Mbp/Nsf+ (more )
Structure Level Pattern Image Note
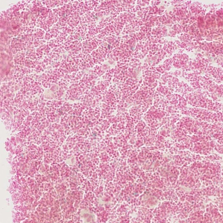
TS28: bone marrow Present JAX_1797658

Specimen JAX_1797659: postnatal adult; Nsftm1b(KOMP)Mbp/Nsf+ (more )
Structure Level Pattern Image Note
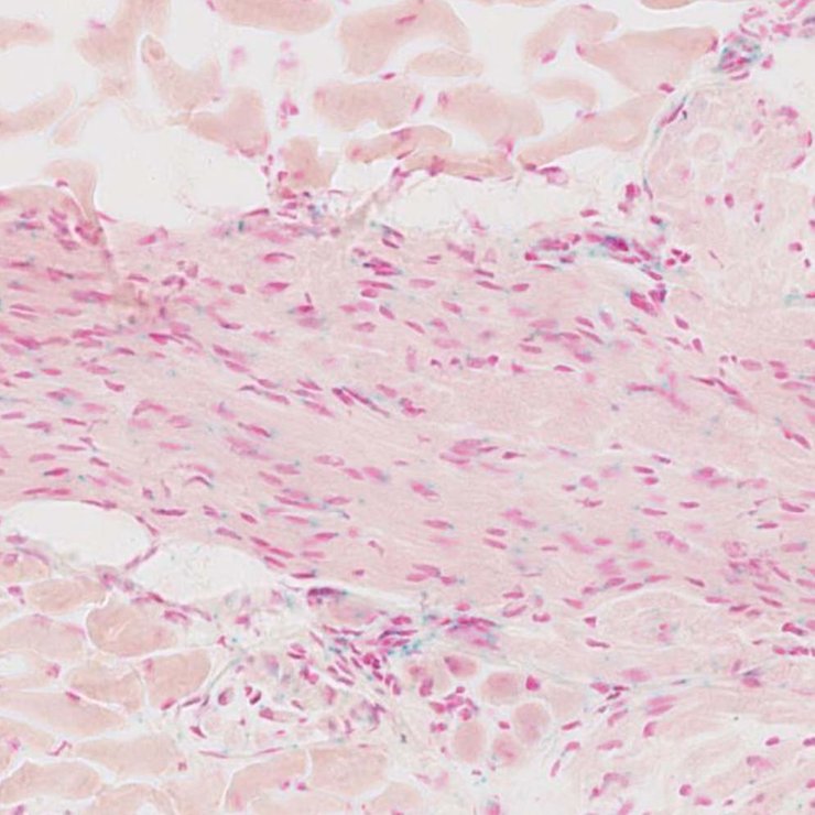
TS28: peripheral nervous system Present JAX_1797659

Specimen JAX_1797660: postnatal adult; Nsftm1b(KOMP)Mbp/Nsf+ (more )
Structure Level Pattern Image Note
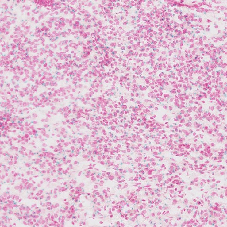
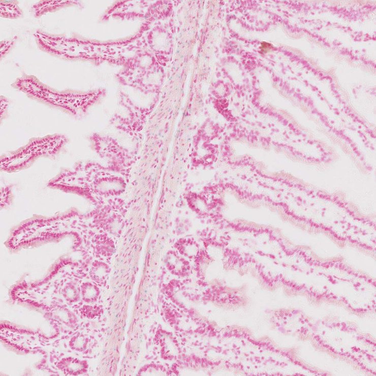
TS28: small intestine Present JAX_1797660

Specimen JAX_1797661: postnatal adult; Nsftm1b(KOMP)Mbp/Nsf+ (more )
Structure Level Pattern Image Note
TS28: spinal cord Present JAX_1797661

Specimen JAX_1797662: postnatal adult; Nsftm1b(KOMP)Mbp/Nsf+ (more )
Structure Level Pattern Image Note
TS28: large intestine Present JAX_1797662

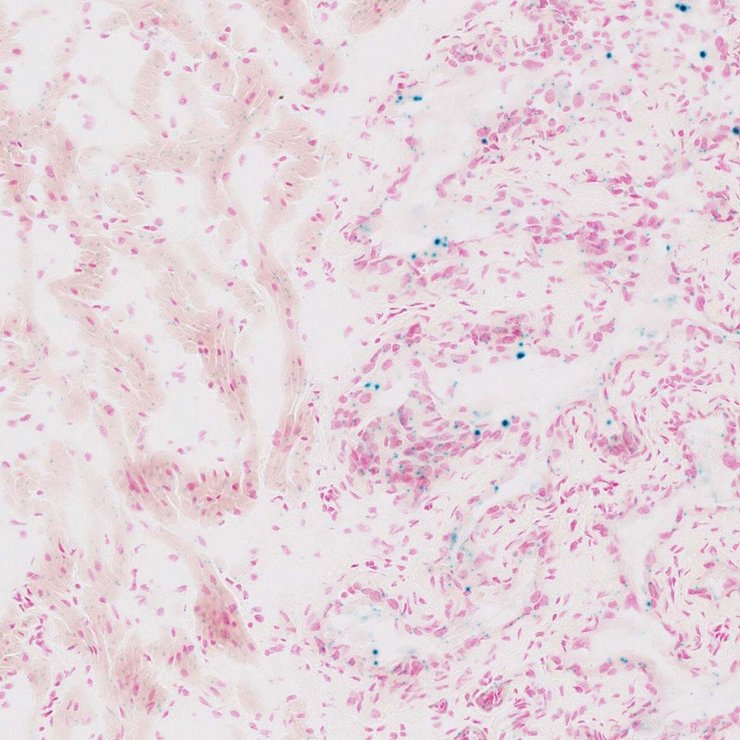
Specimen JAX_1797663: postnatal adult; Nsftm1b(KOMP)Mbp/Nsf+ (more )
Structure Level Pattern Image Note
TS28: uterus Present JAX_1797663

Specimen JAX_1797664: postnatal adult; Nsftm1b(KOMP)Mbp/Nsf+ (more )
Structure Level Pattern Image Note
TS28: stomach Present JAX_1797664

Specimen JAX_1797665: postnatal adult; Nsftm1b(KOMP)Mbp/Nsf+ (more )
Structure Level Pattern Image Note
TS28: oviduct Present JAX_1797665

Specimen JAX_1797666: postnatal adult; Nsftm1b(KOMP)Mbp/Nsf+ (more )
Structure Level Pattern Image Note
TS28: ovary Present JAX_1797666

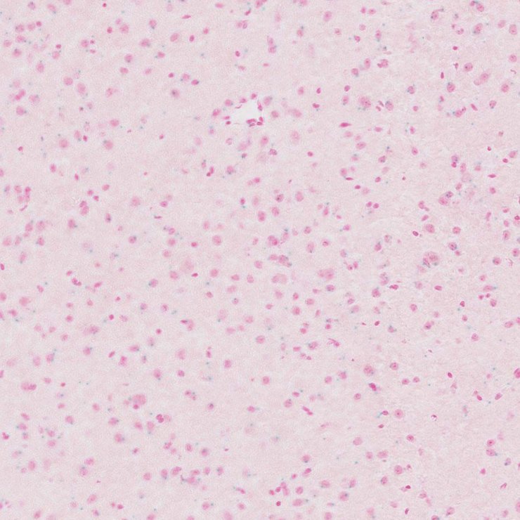
Specimen JAX_1797635: postnatal adult; Nsftm1b(KOMP)Mbp/Nsf+ (more )
Structure Level Pattern Image Note
TS28: thalamus Present JAX_1797635

Specimen JAX_1797636: postnatal adult; Nsftm1b(KOMP)Mbp/Nsf+ (more )
Structure Level Pattern Image Note
TS28: midbrain Present JAX_1797636

Specimen JAX_1797637: postnatal adult; Nsftm1b(KOMP)Mbp/Nsf+ (more )
Structure Level Pattern Image Note
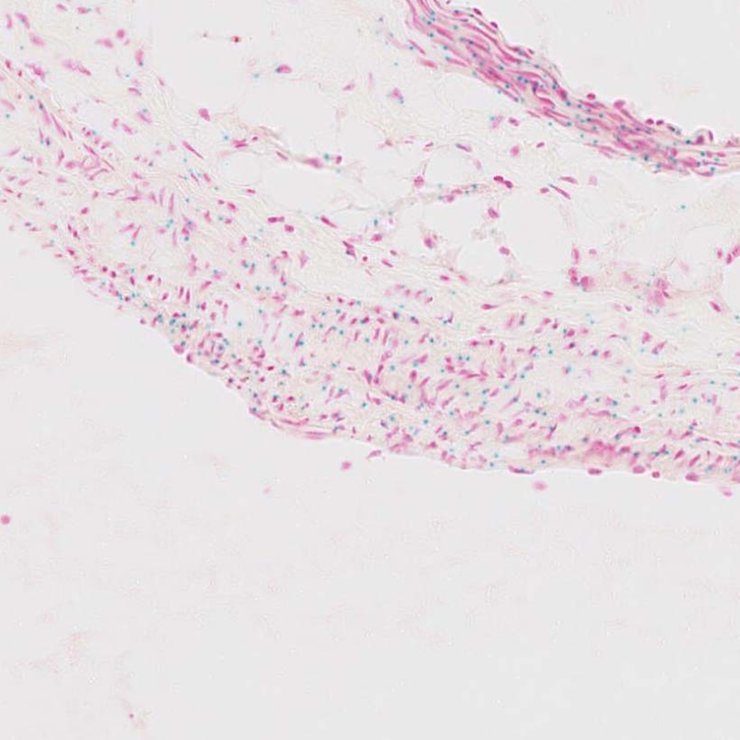
TS28: vascular system Present JAX_1797637

Specimen JAX_1797638: postnatal adult; Nsftm1b(KOMP)Mbp/Nsf+ (more )
Structure Level Pattern Image Note
TS28: epididymis Present JAX_1797638

Specimen JAX_1797639: postnatal adult; Nsftm1b(KOMP)Mbp/Nsf+ (more )
Structure Level Pattern Image Note
TS28: submandibular gland Present JAX_1797639

Specimen JAX_1797640: postnatal adult; Nsftm1b(KOMP)Mbp/Nsf+ (more )
Structure Level Pattern Image Note
TS28: bladder Present JAX_1797640

Specimen JAX_1797641: postnatal adult; Nsftm1b(KOMP)Mbp/Nsf+ (more )
Structure Level Pattern Image Note
TS28: corpus striatum Present JAX_1797641

Specimen JAX_1797642: postnatal adult; Nsftm1b(KOMP)Mbp/Nsf+ (more )
Structure Level Pattern Image Note
TS28: olfactory lobe Present JAX_1797642

Specimen JAX_1797643: postnatal adult; Nsftm1b(KOMP)Mbp/Nsf+ (more )
Structure Level Pattern Image Note
TS28: hypothalamus Present JAX_1797643

Specimen JAX_1797644: postnatal adult; Nsftm1b(KOMP)Mbp/Nsf+ (more )
Structure Level Pattern Image Note
TS28: hippocampus Present JAX_1797644

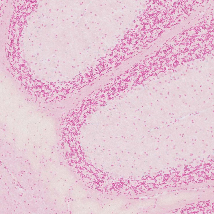
Specimen JAX_1797645: postnatal adult; Nsftm1b(KOMP)Mbp/Nsf+ (more )
Structure Level Pattern Image Note
TS28: cerebellum Present JAX_1797645

Specimen JAX_1797646: postnatal adult; Nsftm1b(KOMP)Mbp/Nsf+ (more )
Structure Level Pattern Image Note
TS28: cerebral cortex Present JAX_1797646

Specimen JAX_1797647: postnatal adult; Nsftm1b(KOMP)Mbp/Nsf+ (more )
Structure Level Pattern Image Note
TS28: brainstem Present JAX_1797647

Specimen JAX_1797648: postnatal adult; Nsftm1b(KOMP)Mbp/Nsf+ (more )
Structure Level Pattern Image Note
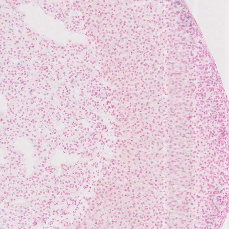
TS28: pancreas Present JAX_1797648

Specimen JAX_1797649: postnatal adult; Nsftm1b(KOMP)Mbp/Nsf+ (more )
Structure Level Pattern Image Note
TS28: aorta Present JAX_1797649

Specimen JAX_1797650: postnatal adult; Nsftm1b(KOMP)Mbp/Nsf+ (more )
Structure Level Pattern Image Note
TS28: lung Present JAX_1797650

Specimen JAX_1797651: postnatal adult; Nsftm1b(KOMP)Mbp/Nsf+ (more )
Structure Level Pattern Image Note
TS28: pituitary gland Present JAX_1797651

Specimen JAX_1797652: postnatal adult; Nsftm1b(KOMP)Mbp/Nsf+ (more )
Structure Level Pattern Image Note
TS28: testis Present JAX_1797652

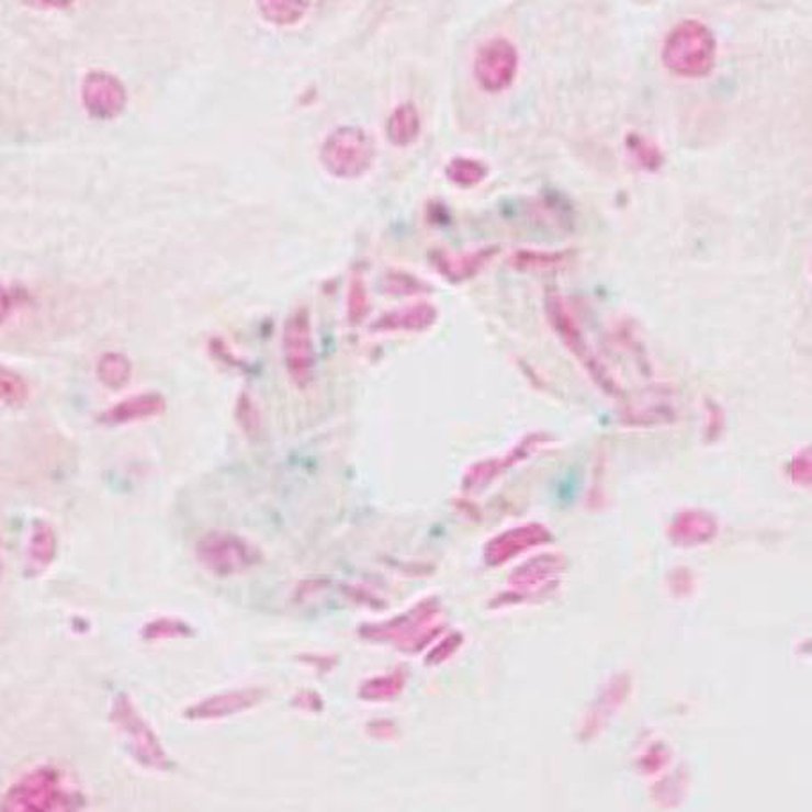
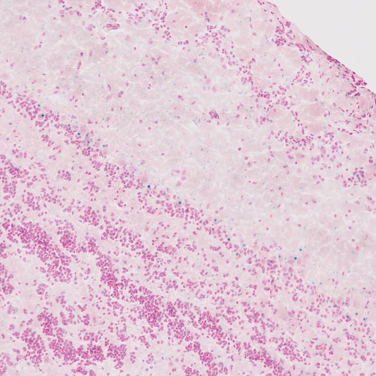
Specimen JAX_1797653: postnatal adult; Nsftm1b(KOMP)Mbp/Nsf+ (more )
Structure Level Pattern Image Note
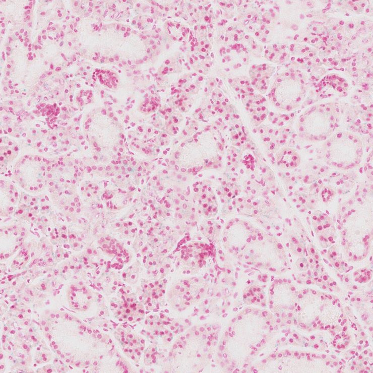
TS28: metanephros Present JAX_1797653 kidney

Specimen JAX_1797654: postnatal adult; Nsftm1b(KOMP)Mbp/Nsf+ (more )
Structure Level Pattern Image Note
TS28: heart Present JAX_1797654

Specimen JAX_1797655: postnatal adult; Nsftm1b(KOMP)Mbp/Nsf+ (more )
Structure Level Pattern Image Note
TS28: eye Present JAX_1797655

Specimen JAX_1797656: postnatal adult; Nsftm1b(KOMP)Mbp/Nsf+ (more )
Structure Level Pattern Image Note
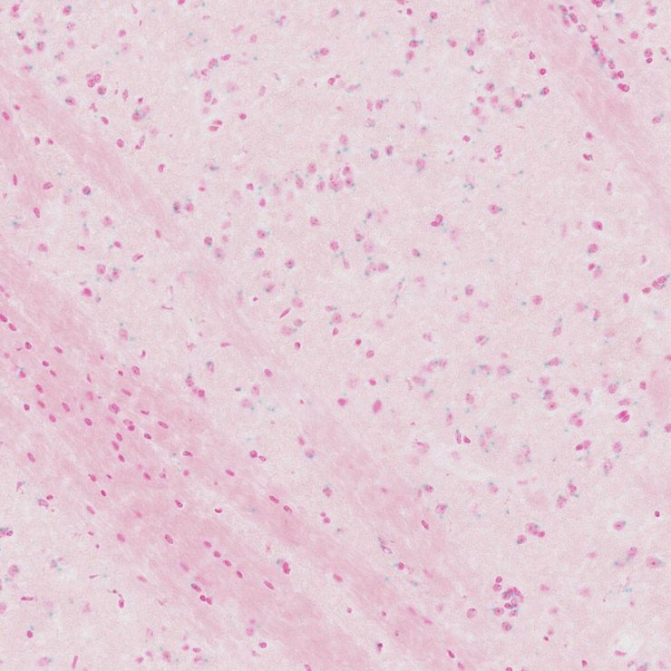
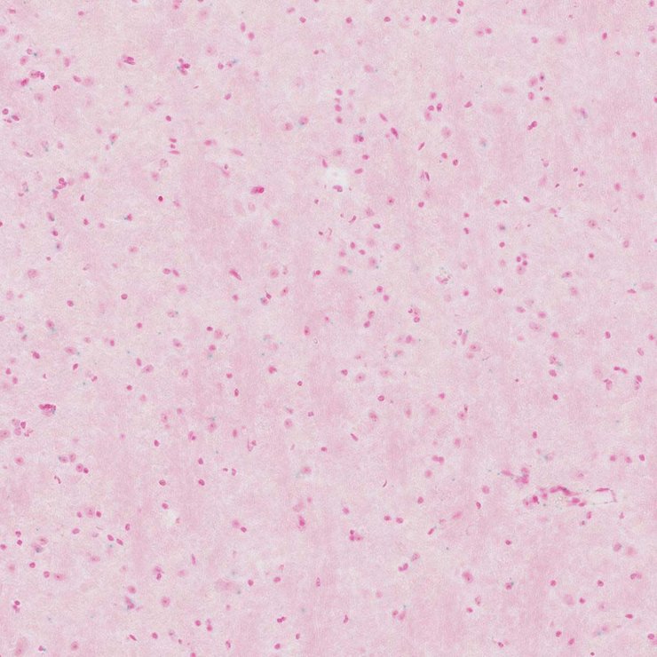
TS28: brain Present JAX_1797656

Specimen JAX_1797657: postnatal adult; Nsftm1b(KOMP)Mbp/Nsf+ (more )
Structure Level Pattern Image Note
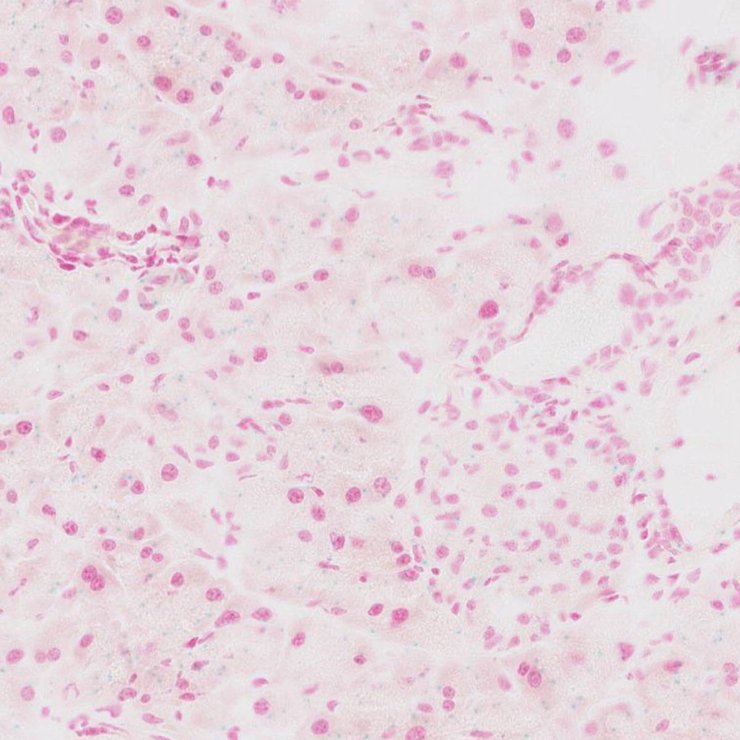
TS28: adrenal gland Present JAX_1797657


Contributing Projects:
Mouse Genome Database (MGD), Gene Expression Database (GXD), Mouse Models of Human Cancer database (MMHCdb) (formerly Mouse Tumor Biology (MTB)), Gene Ontology (GO)
Citing These Resources
Funding Information
Warranty Disclaimer, Privacy Notice, Licensing, & Copyright
Send questions and comments to User Support.
last database update
12/30/2025
MGI 6.24
The Jackson Laboratory