About   Help   FAQ
Gene Expression Data
Assay Details
Assay
Reference: J:228563 Koscielny G, et al., The International Mouse Phenotyping Consortium Web Portal, a unified point of access for knockout mice and related phenotyping data. Nucleic Acids Res. 2014 Jan;42(Database issue):D802-9
Assay type: In situ reporter (knock in)
MGI Accession ID: MGI:6690990
Gene symbol: Cdkn1a
Gene name: cyclin dependent kinase inhibitor 1A
Reporter: lacZ
Direct Detection
Results
Specimen UC Davis_1866539: postnatal adult; Cdkn1atm1.1(KOMP)Vlcg/Cdkn1a+ (more )
Structure Level Pattern Image Note
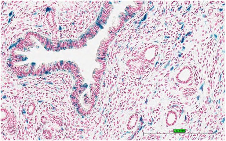
TS28: submandibular gland Present UC Davis_1866539

Specimen UC Davis_1866540: postnatal adult; Cdkn1atm1.1(KOMP)Vlcg/Cdkn1a+ (more )
Structure Level Pattern Image Note
TS28: submandibular gland Present UC Davis_1866540

Specimen UC Davis_1866541: postnatal adult; Cdkn1atm1.1(KOMP)Vlcg/Cdkn1a+ (more )
Structure Level Pattern Image Note
TS28: sublingual gland Present UC Davis_1866541

Specimen UC Davis_1866542: postnatal adult; Cdkn1atm1.1(KOMP)Vlcg/Cdkn1a+ (more )
Structure Level Pattern Image Note
TS28: sublingual gland Present UC Davis_1866542

Specimen UC Davis_1866543: postnatal adult; Cdkn1atm1.1(KOMP)Vlcg/Cdkn1a+ (more )
Structure Level Pattern Image Note
TS28: parotid gland Present UC Davis_1866543

Specimen UC Davis_1866546: postnatal adult; Cdkn1atm1.1(KOMP)Vlcg/Cdkn1a+ (more )
Structure Level Pattern Image Note
TS28: esophagus Present UC Davis_1866546

Specimen UC Davis_1866547: postnatal adult; Cdkn1atm1.1(KOMP)Vlcg/Cdkn1a+ (more )
Structure Level Pattern Image Note
TS28: esophagus Present UC Davis_1866547

Specimen UC Davis_1866548: postnatal adult; Cdkn1atm1.1(KOMP)Vlcg/Cdkn1a+ (more )
Structure Level Pattern Image Note
TS28: thyroid gland Present UC Davis_1866548

Specimen UC Davis_1866549: postnatal adult; Cdkn1atm1.1(KOMP)Vlcg/Cdkn1a+ (more )
Structure Level Pattern Image Note
TS28: thyroid gland Present UC Davis_1866549

Specimen UC Davis_1866550: postnatal adult; Cdkn1atm1.1(KOMP)Vlcg/Cdkn1a+ (more )
Structure Level Pattern Image Note
TS28: parathyroid gland Present UC Davis_1866550

Specimen UC Davis_1866551: postnatal adult; Cdkn1atm1.1(KOMP)Vlcg/Cdkn1a+ (more )
Structure Level Pattern Image Note
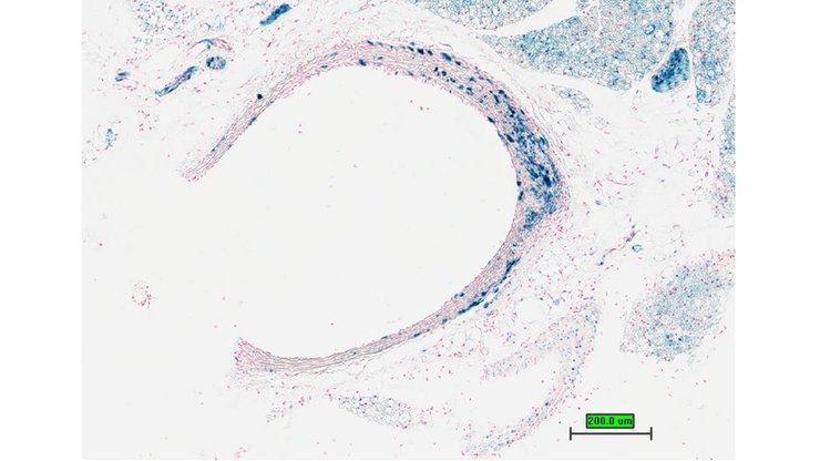
TS28: aorta Present UC Davis_1866551

Specimen UC Davis_1866552: postnatal adult; Cdkn1atm1.1(KOMP)Vlcg/Cdkn1a+ (more )
Structure Level Pattern Image Note
TS28: lung Present UC Davis_1866552

Specimen UC Davis_1866553: postnatal adult; Cdkn1atm1.1(KOMP)Vlcg/Cdkn1a+ (more )
Structure Level Pattern Image Note
TS28: lung Present UC Davis_1866553

Specimen UC Davis_1866554: postnatal adult; Cdkn1atm1.1(KOMP)Vlcg/Cdkn1a+ (more )
Structure Level Pattern Image Note
TS28: lung Present UC Davis_1866554

Specimen UC Davis_1866555: postnatal adult; Cdkn1atm1.1(KOMP)Vlcg/Cdkn1a+ (more )
Structure Level Pattern Image Note
TS28: lung Present UC Davis_1866555

Specimen UC Davis_1866556: postnatal adult; Cdkn1atm1.1(KOMP)Vlcg/Cdkn1a+ (more )
Structure Level Pattern Image Note
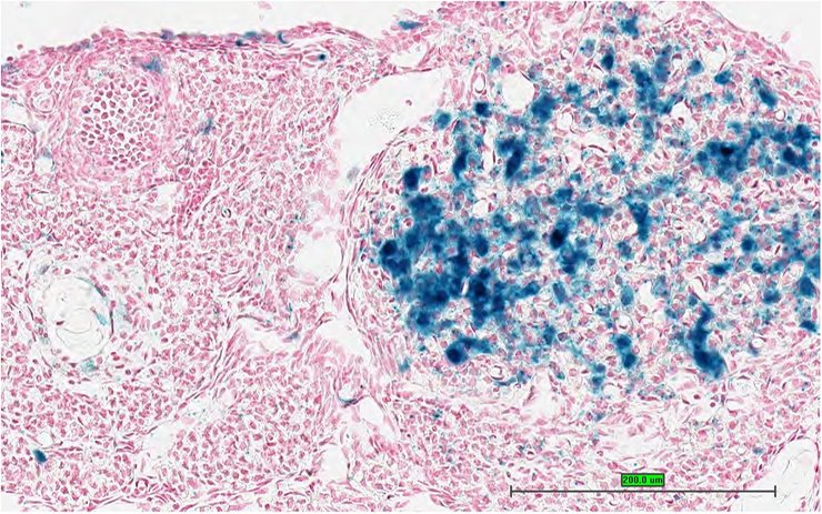
TS28: thymus Present UC Davis_1866556

Specimen UC Davis_1866557: postnatal adult; Cdkn1atm1.1(KOMP)Vlcg/Cdkn1a+ (more )
Structure Level Pattern Image Note
TS28: thymus Present UC Davis_1866557

Specimen UC Davis_1866558: postnatal adult; Cdkn1atm1.1(KOMP)Vlcg/Cdkn1a+ (more )
Structure Level Pattern Image Note
TS28: thymus Present UC Davis_1866558

Specimen UC Davis_1866565: postnatal adult; Cdkn1atm1.1(KOMP)Vlcg/Cdkn1a+ (more )
Structure Level Pattern Image Note
TS28: mesenteric lymph node Present UC Davis_1866565

Specimen UC Davis_1866566: postnatal adult; Cdkn1atm1.1(KOMP)Vlcg/Cdkn1a+ (more )
Structure Level Pattern Image Note
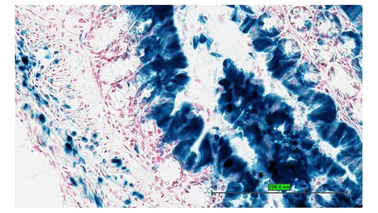
TS28: stomach Present UC Davis_1866566

Specimen UC Davis_1866567: postnatal adult; Cdkn1atm1.1(KOMP)Vlcg/Cdkn1a+ (more )
Structure Level Pattern Image Note
TS28: stomach Present UC Davis_1866567

Specimen UC Davis_1866568: postnatal adult; Cdkn1atm1.1(KOMP)Vlcg/Cdkn1a+ (more )
Structure Level Pattern Image Note
TS28: stomach Present UC Davis_1866568

Specimen UC Davis_1866569: postnatal adult; Cdkn1atm1.1(KOMP)Vlcg/Cdkn1a+ (more )
Structure Level Pattern Image Note
TS28: stomach Present UC Davis_1866569

Specimen UC Davis_1866570: postnatal adult; Cdkn1atm1.1(KOMP)Vlcg/Cdkn1a+ (more )
Structure Level Pattern Image Note
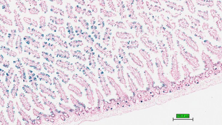
TS28: duodenum Present UC Davis_1866570

Specimen UC Davis_1866571: postnatal adult; Cdkn1atm1.1(KOMP)Vlcg/Cdkn1a+ (more )
Structure Level Pattern Image Note
TS28: jejunum Present UC Davis_1866571

Specimen UC Davis_1866572: postnatal adult; Cdkn1atm1.1(KOMP)Vlcg/Cdkn1a+ (more )
Structure Level Pattern Image Note
TS28: jejunum Present UC Davis_1866572

Specimen UC Davis_1866573: postnatal adult; Cdkn1atm1.1(KOMP)Vlcg/Cdkn1a+ (more )
Structure Level Pattern Image Note
TS28: ileum Present UC Davis_1866573

Specimen UC Davis_1866574: postnatal adult; Cdkn1atm1.1(KOMP)Vlcg/Cdkn1a+ (more )
Structure Level Pattern Image Note
TS28: ileum Present UC Davis_1866574

Specimen UC Davis_1866575: postnatal adult; Cdkn1atm1.1(KOMP)Vlcg/Cdkn1a+ (more )
Structure Level Pattern Image Note
TS28: colon Present UC Davis_1866575

Specimen UC Davis_1866576: postnatal adult; Cdkn1atm1.1(KOMP)Vlcg/Cdkn1a+ (more )
Structure Level Pattern Image Note
TS28: colon Present UC Davis_1866576

Specimen UC Davis_1866577: postnatal adult; Cdkn1atm1.1(KOMP)Vlcg/Cdkn1a+ (more )
Structure Level Pattern Image Note
TS28: colon Present UC Davis_1866577

Specimen UC Davis_1866578: postnatal adult; Cdkn1atm1.1(KOMP)Vlcg/Cdkn1a+ (more )
Structure Level Pattern Image Note
TS28: cecum Present UC Davis_1866578

Specimen UC Davis_1866579: postnatal adult; Cdkn1atm1.1(KOMP)Vlcg/Cdkn1a+ (more )
Structure Level Pattern Image Note
TS28: cecum Present UC Davis_1866579

Specimen UC Davis_1866580: postnatal adult; Cdkn1atm1.1(KOMP)Vlcg/Cdkn1a+ (more )
Structure Level Pattern Image Note
TS28: spleen Present UC Davis_1866580

Specimen UC Davis_1866581: postnatal adult; Cdkn1atm1.1(KOMP)Vlcg/Cdkn1a+ (more )
Structure Level Pattern Image Note
TS28: spleen Present UC Davis_1866581

Specimen UC Davis_1866582: postnatal adult; Cdkn1atm1.1(KOMP)Vlcg/Cdkn1a+ (more )
Structure Level Pattern Image Note
TS28: spleen Present UC Davis_1866582

Specimen UC Davis_1866583: postnatal adult; Cdkn1atm1.1(KOMP)Vlcg/Cdkn1a+ (more )
Structure Level Pattern Image Note
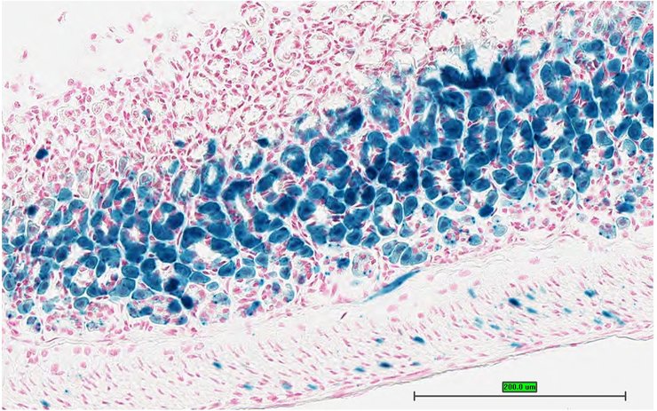
TS28: pancreas Present UC Davis_1866583

Specimen UC Davis_1866584: postnatal adult; Cdkn1atm1.1(KOMP)Vlcg/Cdkn1a+ (more )
Structure Level Pattern Image Note
TS28: pancreas Present UC Davis_1866584

Specimen UC Davis_1866585: postnatal adult; Cdkn1atm1.1(KOMP)Vlcg/Cdkn1a+ (more )
Structure Level Pattern Image Note
TS28: pancreas Present UC Davis_1866585

Specimen UC Davis_1866586: postnatal adult; Cdkn1atm1.1(KOMP)Vlcg/Cdkn1a+ (more )
Structure Level Pattern Image Note
TS28: liver Present UC Davis_1866586

Specimen UC Davis_1866587: postnatal adult; Cdkn1atm1.1(KOMP)Vlcg/Cdkn1a+ (more )
Structure Level Pattern Image Note
TS28: liver Present UC Davis_1866587

Specimen UC Davis_1866588: postnatal adult; Cdkn1atm1.1(KOMP)Vlcg/Cdkn1a+ (more )
Structure Level Pattern Image Note
TS28: liver Present UC Davis_1866588

Specimen UC Davis_1866589: postnatal adult; Cdkn1atm1.1(KOMP)Vlcg/Cdkn1a+ (more )
Structure Level Pattern Image Note
TS28: liver Present UC Davis_1866589

Specimen UC Davis_1866590: postnatal adult; Cdkn1atm1.1(KOMP)Vlcg/Cdkn1a+ (more )
Structure Level Pattern Image Note
TS28: metanephros Present UC Davis_1866590 kidney

Specimen UC Davis_1866591: postnatal adult; Cdkn1atm1.1(KOMP)Vlcg/Cdkn1a+ (more )
Structure Level Pattern Image Note
TS28: metanephros Present UC Davis_1866591 kidney

Specimen UC Davis_1866592: postnatal adult; Cdkn1atm1.1(KOMP)Vlcg/Cdkn1a+ (more )
Structure Level Pattern Image Note
TS28: metanephros Present UC Davis_1866592 kidney

Specimen UC Davis_1866593: postnatal adult; Cdkn1atm1.1(KOMP)Vlcg/Cdkn1a+ (more )
Structure Level Pattern Image Note
TS28: metanephros Present UC Davis_1866593 kidney

Specimen UC Davis_1866594: postnatal adult; Cdkn1atm1.1(KOMP)Vlcg/Cdkn1a+ (more )
Structure Level Pattern Image Note
TS28: quadriceps femoris muscle Present UC Davis_1866594

Specimen UC Davis_1866595: postnatal adult; Cdkn1atm1.1(KOMP)Vlcg/Cdkn1a+ (more )
Structure Level Pattern Image Note
TS28: quadriceps femoris muscle Present UC Davis_1866595

Specimen UC Davis_1866596: postnatal adult; Cdkn1atm1.1(KOMP)Vlcg/Cdkn1a+ (more )
Structure Level Pattern Image Note
TS28: quadriceps femoris muscle Present UC Davis_1866596

Specimen UC Davis_1866597: postnatal adult; Cdkn1atm1.1(KOMP)Vlcg/Cdkn1a+ (more )
Structure Level Pattern Image Note
TS28: sciatic nerve Present UC Davis_1866597

Specimen UC Davis_1866598: postnatal adult; Cdkn1atm1.1(KOMP)Vlcg/Cdkn1a+ (more )
Structure Level Pattern Image Note
TS28: tongue Present UC Davis_1866598

Specimen UC Davis_1866599: postnatal adult; Cdkn1atm1.1(KOMP)Vlcg/Cdkn1a+ (more )
Structure Level Pattern Image Note
TS28: tongue Present UC Davis_1866599

Specimen UC Davis_1866600: postnatal adult; Cdkn1atm1.1(KOMP)Vlcg/Cdkn1a+ (more )
Structure Level Pattern Image Note
TS28: tongue Present UC Davis_1866600

Specimen UC Davis_1866601: postnatal adult; Cdkn1atm1.1(KOMP)Vlcg/Cdkn1a+ (more )
Structure Level Pattern Image Note
TS28: tongue Present UC Davis_1866601

Specimen UC Davis_1866602: postnatal adult; Cdkn1atm1.1(KOMP)Vlcg/Cdkn1a+ (more )
Structure Level Pattern Image Note
TS28: diaphragm Present UC Davis_1866602

Specimen UC Davis_1866603: postnatal adult; Cdkn1atm1.1(KOMP)Vlcg/Cdkn1a+ (more )
Structure Level Pattern Image Note
TS28: diaphragm Present UC Davis_1866603

Specimen UC Davis_1866604: postnatal adult; Cdkn1atm1.1(KOMP)Vlcg/Cdkn1a+ (more )
Structure Level Pattern Image Note
TS28: adrenal gland Present UC Davis_1866604

Specimen UC Davis_1866605: postnatal adult; Cdkn1atm1.1(KOMP)Vlcg/Cdkn1a+ (more )
Structure Level Pattern Image Note
TS28: adrenal gland Present UC Davis_1866605

Specimen UC Davis_1866606: postnatal adult; Cdkn1atm1.1(KOMP)Vlcg/Cdkn1a+ (more )
Structure Level Pattern Image Note
TS28: adrenal gland Present UC Davis_1866606

Specimen UC Davis_1866607: postnatal adult; Cdkn1atm1.1(KOMP)Vlcg/Cdkn1a+ (more )
Structure Level Pattern Image Note
TS28: spinal cord Present UC Davis_1866607

Specimen UC Davis_1866608: postnatal adult; Cdkn1atm1.1(KOMP)Vlcg/Cdkn1a+ (more )
Structure Level Pattern Image Note
TS28: eye Present UC Davis_1866608

Specimen UC Davis_1866609: postnatal adult; Cdkn1atm1.1(KOMP)Vlcg/Cdkn1a+ (more )
Structure Level Pattern Image Note
TS28: eye Present UC Davis_1866609

Specimen UC Davis_1866610: postnatal adult; Cdkn1atm1.1(KOMP)Vlcg/Cdkn1a+ (more )
Structure Level Pattern Image Note
TS28: eye Present UC Davis_1866610

Specimen UC Davis_1866611: postnatal adult; Cdkn1atm1.1(KOMP)Vlcg/Cdkn1a+ (more )
Structure Level Pattern Image Note
TS28: eye Present UC Davis_1866611

Specimen UC Davis_1866614: postnatal adult; Cdkn1atm1.1(KOMP)Vlcg/Cdkn1a+ (more )
Structure Level Pattern Image Note
TS28: Harderian gland Present UC Davis_1866614

Specimen UC Davis_1866615: postnatal adult; Cdkn1atm1.1(KOMP)Vlcg/Cdkn1a+ (more )
Structure Level Pattern Image Note
TS28: Harderian gland Present UC Davis_1866615

Specimen UC Davis_1866616: postnatal adult; Cdkn1atm1.1(KOMP)Vlcg/Cdkn1a+ (more )
Structure Level Pattern Image Note
TS28: gonadal fat pad Present UC Davis_1866616

Specimen UC Davis_1866617: postnatal adult; Cdkn1atm1.1(KOMP)Vlcg/Cdkn1a+ (more )
Structure Level Pattern Image Note
TS28: gonadal fat pad Present UC Davis_1866617

Specimen UC Davis_1866618: postnatal adult; Cdkn1atm1.1(KOMP)Vlcg/Cdkn1a+ (more )
Structure Level Pattern Image Note
TS28: mesenteric adipose tissue Present UC Davis_1866618

Specimen UC Davis_1866619: postnatal adult; Cdkn1atm1.1(KOMP)Vlcg/Cdkn1a+ (more )
Structure Level Pattern Image Note
TS28: skin Present UC Davis_1866619

Specimen UC Davis_1866620: postnatal adult; Cdkn1atm1.1(KOMP)Vlcg/Cdkn1a+ (more )
Structure Level Pattern Image Note
TS28: skin Present UC Davis_1866620

Specimen UC Davis_1866621: postnatal adult; Cdkn1atm1.1(KOMP)Vlcg/Cdkn1a+ (more )
Structure Level Pattern Image Note
TS28: skin Present UC Davis_1866621

Specimen UC Davis_1866622: postnatal adult; Cdkn1atm1.1(KOMP)Vlcg/Cdkn1a+ (more )
Structure Level Pattern Image Note
TS28: brown fat Present UC Davis_1866622

Specimen UC Davis_1866623: postnatal adult; Cdkn1atm1.1(KOMP)Vlcg/Cdkn1a+ (more )
Structure Level Pattern Image Note
TS28: brown fat Present UC Davis_1866623

Specimen UC Davis_1866624: postnatal adult; Cdkn1atm1.1(KOMP)Vlcg/Cdkn1a+ (more )
Structure Level Pattern Image Note
TS28: brown fat Present UC Davis_1866624

Specimen UC Davis_1866625: postnatal adult; Cdkn1atm1.1(KOMP)Vlcg/Cdkn1a+ (more )
Structure Level Pattern Image Note
TS28: brown fat Present UC Davis_1866625

Specimen UC Davis_1866626: postnatal adult; Cdkn1atm1.1(KOMP)Vlcg/Cdkn1a+ (more )
Structure Level Pattern Image Note
TS28: olfactory lobe Present UC Davis_1866626

Specimen UC Davis_1866630: postnatal adult; Cdkn1atm1.1(KOMP)Vlcg/Cdkn1a+ (more )
Structure Level Pattern Image Note
TS28: midbrain Present UC Davis_1866630

Specimen UC Davis_1866632: postnatal adult; Cdkn1atm1.1(KOMP)Vlcg/Cdkn1a+ (more )
Structure Level Pattern Image Note
TS28: cerebellum Present UC Davis_1866632

Specimen UC Davis_1866633: postnatal adult; Cdkn1atm1.1(KOMP)Vlcg/Cdkn1a+ (more )
Structure Level Pattern Image Note
TS28: trigeminal nerve Present UC Davis_1866633

Specimen UC Davis_1866634: postnatal adult; Cdkn1atm1.1(KOMP)Vlcg/Cdkn1a+ (more )
Structure Level Pattern Image Note
TS28: trigeminal nerve Present UC Davis_1866634

Specimen UC Davis_1866635: postnatal adult; Cdkn1atm1.1(KOMP)Vlcg/Cdkn1a+ (more )
Structure Level Pattern Image Note
TS28: ovary Present UC Davis_1866635

Specimen UC Davis_1866636: postnatal adult; Cdkn1atm1.1(KOMP)Vlcg/Cdkn1a+ (more )
Structure Level Pattern Image Note
TS28: ovary Present UC Davis_1866636

Specimen UC Davis_1866637: postnatal adult; Cdkn1atm1.1(KOMP)Vlcg/Cdkn1a+ (more )
Structure Level Pattern Image Note
TS28: oviduct Present UC Davis_1866637

Specimen UC Davis_1866638: postnatal adult; Cdkn1atm1.1(KOMP)Vlcg/Cdkn1a+ (more )
Structure Level Pattern Image Note
TS28: uterus Present UC Davis_1866638

Specimen UC Davis_1866639: postnatal adult; Cdkn1atm1.1(KOMP)Vlcg/Cdkn1a+ (more )
Structure Level Pattern Image Note
TS28: uterus Present UC Davis_1866639

Specimen UC Davis_1866640: postnatal adult; Cdkn1atm1.1(KOMP)Vlcg/Cdkn1a+ (more )
Structure Level Pattern Image Note
TS28: uterus Present UC Davis_1866640

Specimen UC Davis_1866641: postnatal adult; Cdkn1atm1.1(KOMP)Vlcg/Cdkn1a+ (more )
Structure Level Pattern Image Note
TS28: uterus Present UC Davis_1866641

Specimen UC Davis_1866642: postnatal adult; Cdkn1atm1.1(KOMP)Vlcg/Cdkn1a+ (more )
Structure Level Pattern Image Note
TS28: vagina Present UC Davis_1866642

Specimen UC Davis_1866643: postnatal adult; Cdkn1atm1.1(KOMP)Vlcg/Cdkn1a+ (more )
Structure Level Pattern Image Note
TS28: vagina Present UC Davis_1866643

Specimen UC Davis_1866644: postnatal adult; Cdkn1atm1.1(KOMP)Vlcg/Cdkn1a+ (more )
Structure Level Pattern Image Note
TS28: vagina Present UC Davis_1866644

Specimen UC Davis_1866645: postnatal adult; Cdkn1atm1.1(KOMP)Vlcg/Cdkn1a+ (more )
Structure Level Pattern Image Note
TS28: bladder Present UC Davis_1866645

Specimen UC Davis_1866646: postnatal adult; Cdkn1atm1.1(KOMP)Vlcg/Cdkn1a+ (more )
Structure Level Pattern Image Note
TS28: bladder Present UC Davis_1866646

Specimen UC Davis_1866648: postnatal adult; Cdkn1atm1.1(KOMP)Vlcg/Cdkn1a+ (more )
Structure Level Pattern Image Note
TS28: blood Present UC Davis_1866648

Specimen UC Davis_1866649: postnatal adult; Cdkn1atm1.1(KOMP)Vlcg/Cdkn1a+ (more )
Structure Level Pattern Image Note
TS28: blood Present UC Davis_1866649

Specimen UC Davis_1866650: postnatal adult; Cdkn1atm1.1(KOMP)Vlcg/Cdkn1a+ (more )
Structure Level Pattern Image Note
TS28: blood Present UC Davis_1866650

Specimen UC Davis_1866651: postnatal adult; Cdkn1atm1.1(KOMP)Vlcg/Cdkn1a+ (more )
Structure Level Pattern Image Note
TS28: bone marrow Present UC Davis_1866651

Specimen UC Davis_1866652: postnatal adult; Cdkn1atm1.1(KOMP)Vlcg/Cdkn1a+ (more )
Structure Level Pattern Image Note
TS28: bone marrow Present UC Davis_1866652

Specimen UC Davis_1866653: postnatal adult; Cdkn1atm1.1(KOMP)Vlcg/Cdkn1a+ (more )
Structure Level Pattern Image Note
TS28: bone marrow Present UC Davis_1866653

Specimen UC Davis_1866654: postnatal adult; Cdkn1atm1.1(KOMP)Vlcg/Cdkn1a+ (more )
Structure Level Pattern Image Note
TS28: mammary gland Present UC Davis_1866654

Specimen UC Davis_1866655: postnatal adult; Cdkn1atm1.1(KOMP)Vlcg/Cdkn1a+ (more )
Structure Level Pattern Image Note
TS28: mammary gland Present UC Davis_1866655

Specimen UC Davis_1866427: postnatal adult; Cdkn1atm1.1(KOMP)Vlcg/Cdkn1a+ (more )
Structure Level Pattern Image Note
TS28: submandibular gland Present UC Davis_1866427

Specimen UC Davis_1866428: postnatal adult; Cdkn1atm1.1(KOMP)Vlcg/Cdkn1a+ (more )
Structure Level Pattern Image Note
TS28: submandibular gland Present UC Davis_1866428

Specimen UC Davis_1866429: postnatal adult; Cdkn1atm1.1(KOMP)Vlcg/Cdkn1a+ (more )
Structure Level Pattern Image Note
TS28: submandibular gland Present UC Davis_1866429

Specimen UC Davis_1866430: postnatal adult; Cdkn1atm1.1(KOMP)Vlcg/Cdkn1a+ (more )
Structure Level Pattern Image Note
TS28: sublingual gland Present UC Davis_1866430

Specimen UC Davis_1866431: postnatal adult; Cdkn1atm1.1(KOMP)Vlcg/Cdkn1a+ (more )
Structure Level Pattern Image Note
TS28: sublingual gland Present UC Davis_1866431

Specimen UC Davis_1866432: postnatal adult; Cdkn1atm1.1(KOMP)Vlcg/Cdkn1a+ (more )
Structure Level Pattern Image Note
TS28: sublingual gland Present UC Davis_1866432

Specimen UC Davis_1866433: postnatal adult; Cdkn1atm1.1(KOMP)Vlcg/Cdkn1a+ (more )
Structure Level Pattern Image Note
TS28: parotid gland Present UC Davis_1866433

Specimen UC Davis_1866434: postnatal adult; Cdkn1atm1.1(KOMP)Vlcg/Cdkn1a+ (more )
Structure Level Pattern Image Note
TS28: parotid gland Present UC Davis_1866434

Specimen UC Davis_1866436: postnatal adult; Cdkn1atm1.1(KOMP)Vlcg/Cdkn1a+ (more )
Structure Level Pattern Image Note
TS28: trachea Present UC Davis_1866436

Specimen UC Davis_1866437: postnatal adult; Cdkn1atm1.1(KOMP)Vlcg/Cdkn1a+ (more )
Structure Level Pattern Image Note
TS28: trachea Present UC Davis_1866437

Specimen UC Davis_1866438: postnatal adult; Cdkn1atm1.1(KOMP)Vlcg/Cdkn1a+ (more )
Structure Level Pattern Image Note
TS28: esophagus Present UC Davis_1866438

Specimen UC Davis_1866439: postnatal adult; Cdkn1atm1.1(KOMP)Vlcg/Cdkn1a+ (more )
Structure Level Pattern Image Note
TS28: esophagus Present UC Davis_1866439

Specimen UC Davis_1866440: postnatal adult; Cdkn1atm1.1(KOMP)Vlcg/Cdkn1a+ (more )
Structure Level Pattern Image Note
TS28: thyroid gland Present UC Davis_1866440

Specimen UC Davis_1866441: postnatal adult; Cdkn1atm1.1(KOMP)Vlcg/Cdkn1a+ (more )
Structure Level Pattern Image Note
TS28: thyroid gland Present UC Davis_1866441

Specimen UC Davis_1866444: postnatal adult; Cdkn1atm1.1(KOMP)Vlcg/Cdkn1a+ (more )
Structure Level Pattern Image Note
TS28: parathyroid gland Present UC Davis_1866444

Specimen UC Davis_1866445: postnatal adult; Cdkn1atm1.1(KOMP)Vlcg/Cdkn1a+ (more )
Structure Level Pattern Image Note
TS28: aorta Present UC Davis_1866445

Specimen UC Davis_1866446: postnatal adult; Cdkn1atm1.1(KOMP)Vlcg/Cdkn1a+ (more )
Structure Level Pattern Image Note
TS28: aorta Present UC Davis_1866446

Specimen UC Davis_1866447: postnatal adult; Cdkn1atm1.1(KOMP)Vlcg/Cdkn1a+ (more )
Structure Level Pattern Image Note
TS28: aorta Present UC Davis_1866447

Specimen UC Davis_1866448: postnatal adult; Cdkn1atm1.1(KOMP)Vlcg/Cdkn1a+ (more )
Structure Level Pattern Image Note
TS28: lung Present UC Davis_1866448

Specimen UC Davis_1866449: postnatal adult; Cdkn1atm1.1(KOMP)Vlcg/Cdkn1a+ (more )
Structure Level Pattern Image Note
TS28: lung Present UC Davis_1866449

Specimen UC Davis_1866450: postnatal adult; Cdkn1atm1.1(KOMP)Vlcg/Cdkn1a+ (more )
Structure Level Pattern Image Note
TS28: thymus Present UC Davis_1866450

Specimen UC Davis_1866451: postnatal adult; Cdkn1atm1.1(KOMP)Vlcg/Cdkn1a+ (more )
Structure Level Pattern Image Note
TS28: thymus Present UC Davis_1866451

Specimen UC Davis_1866455: postnatal adult; Cdkn1atm1.1(KOMP)Vlcg/Cdkn1a+ (more )
Structure Level Pattern Image Note
TS28: mesenteric lymph node Present UC Davis_1866455

Specimen UC Davis_1866456: postnatal adult; Cdkn1atm1.1(KOMP)Vlcg/Cdkn1a+ (more )
Structure Level Pattern Image Note
TS28: mesenteric lymph node Present UC Davis_1866456

Specimen UC Davis_1866457: postnatal adult; Cdkn1atm1.1(KOMP)Vlcg/Cdkn1a+ (more )
Structure Level Pattern Image Note
TS28: stomach Present UC Davis_1866457

Specimen UC Davis_1866458: postnatal adult; Cdkn1atm1.1(KOMP)Vlcg/Cdkn1a+ (more )
Structure Level Pattern Image Note
TS28: stomach Present UC Davis_1866458

Specimen UC Davis_1866459: postnatal adult; Cdkn1atm1.1(KOMP)Vlcg/Cdkn1a+ (more )
Structure Level Pattern Image Note
TS28: stomach Present UC Davis_1866459

Specimen UC Davis_1866460: postnatal adult; Cdkn1atm1.1(KOMP)Vlcg/Cdkn1a+ (more )
Structure Level Pattern Image Note
TS28: duodenum Present UC Davis_1866460

Specimen UC Davis_1866461: postnatal adult; Cdkn1atm1.1(KOMP)Vlcg/Cdkn1a+ (more )
Structure Level Pattern Image Note
TS28: duodenum Present UC Davis_1866461

Specimen UC Davis_1866462: postnatal adult; Cdkn1atm1.1(KOMP)Vlcg/Cdkn1a+ (more )
Structure Level Pattern Image Note
TS28: jejunum Present UC Davis_1866462

Specimen UC Davis_1866463: postnatal adult; Cdkn1atm1.1(KOMP)Vlcg/Cdkn1a+ (more )
Structure Level Pattern Image Note
TS28: ileum Present UC Davis_1866463

Specimen UC Davis_1866464: postnatal adult; Cdkn1atm1.1(KOMP)Vlcg/Cdkn1a+ (more )
Structure Level Pattern Image Note
TS28: ileum Present UC Davis_1866464

Specimen UC Davis_1866465: postnatal adult; Cdkn1atm1.1(KOMP)Vlcg/Cdkn1a+ (more )
Structure Level Pattern Image Note
TS28: ileum Present UC Davis_1866465

Specimen UC Davis_1866466: postnatal adult; Cdkn1atm1.1(KOMP)Vlcg/Cdkn1a+ (more )
Structure Level Pattern Image Note
TS28: colon Present UC Davis_1866466

Specimen UC Davis_1866467: postnatal adult; Cdkn1atm1.1(KOMP)Vlcg/Cdkn1a+ (more )
Structure Level Pattern Image Note
TS28: colon Present UC Davis_1866467

Specimen UC Davis_1866468: postnatal adult; Cdkn1atm1.1(KOMP)Vlcg/Cdkn1a+ (more )
Structure Level Pattern Image Note
TS28: cecum Present UC Davis_1866468

Specimen UC Davis_1866469: postnatal adult; Cdkn1atm1.1(KOMP)Vlcg/Cdkn1a+ (more )
Structure Level Pattern Image Note
TS28: cecum Present UC Davis_1866469

Specimen UC Davis_1866470: postnatal adult; Cdkn1atm1.1(KOMP)Vlcg/Cdkn1a+ (more )
Structure Level Pattern Image Note
TS28: spleen Present UC Davis_1866470

Specimen UC Davis_1866471: postnatal adult; Cdkn1atm1.1(KOMP)Vlcg/Cdkn1a+ (more )
Structure Level Pattern Image Note
TS28: spleen Present UC Davis_1866471

Specimen UC Davis_1866472: postnatal adult; Cdkn1atm1.1(KOMP)Vlcg/Cdkn1a+ (more )
Structure Level Pattern Image Note
TS28: pancreas Present UC Davis_1866472

Specimen UC Davis_1866473: postnatal adult; Cdkn1atm1.1(KOMP)Vlcg/Cdkn1a+ (more )
Structure Level Pattern Image Note
TS28: pancreas Present UC Davis_1866473

Specimen UC Davis_1866474: postnatal adult; Cdkn1atm1.1(KOMP)Vlcg/Cdkn1a+ (more )
Structure Level Pattern Image Note
TS28: liver Present UC Davis_1866474

Specimen UC Davis_1866475: postnatal adult; Cdkn1atm1.1(KOMP)Vlcg/Cdkn1a+ (more )
Structure Level Pattern Image Note
TS28: liver Present UC Davis_1866475

Specimen UC Davis_1866476: postnatal adult; Cdkn1atm1.1(KOMP)Vlcg/Cdkn1a+ (more )
Structure Level Pattern Image Note
TS28: metanephros Present UC Davis_1866476 kidney

Specimen UC Davis_1866477: postnatal adult; Cdkn1atm1.1(KOMP)Vlcg/Cdkn1a+ (more )
Structure Level Pattern Image Note
TS28: metanephros Present UC Davis_1866477 kidney

Specimen UC Davis_1866478: postnatal adult; Cdkn1atm1.1(KOMP)Vlcg/Cdkn1a+ (more )
Structure Level Pattern Image Note
TS28: quadriceps femoris muscle Present UC Davis_1866478

Specimen UC Davis_1866479: postnatal adult; Cdkn1atm1.1(KOMP)Vlcg/Cdkn1a+ (more )
Structure Level Pattern Image Note
TS28: quadriceps femoris muscle Present UC Davis_1866479

Specimen UC Davis_1866480: postnatal adult; Cdkn1atm1.1(KOMP)Vlcg/Cdkn1a+ (more )
Structure Level Pattern Image Note
TS28: quadriceps femoris muscle Present UC Davis_1866480

Specimen UC Davis_1866481: postnatal adult; Cdkn1atm1.1(KOMP)Vlcg/Cdkn1a+ (more )
Structure Level Pattern Image Note
TS28: quadriceps femoris muscle Present UC Davis_1866481

Specimen UC Davis_1866482: postnatal adult; Cdkn1atm1.1(KOMP)Vlcg/Cdkn1a+ (more )
Structure Level Pattern Image Note
TS28: sciatic nerve Present UC Davis_1866482

Specimen UC Davis_1866483: postnatal adult; Cdkn1atm1.1(KOMP)Vlcg/Cdkn1a+ (more )
Structure Level Pattern Image Note
TS28: sciatic nerve Present UC Davis_1866483

Specimen UC Davis_1866484: postnatal adult; Cdkn1atm1.1(KOMP)Vlcg/Cdkn1a+ (more )
Structure Level Pattern Image Note
TS28: tongue Present UC Davis_1866484

Specimen UC Davis_1866485: postnatal adult; Cdkn1atm1.1(KOMP)Vlcg/Cdkn1a+ (more )
Structure Level Pattern Image Note
TS28: tongue Present UC Davis_1866485

Specimen UC Davis_1866486: postnatal adult; Cdkn1atm1.1(KOMP)Vlcg/Cdkn1a+ (more )
Structure Level Pattern Image Note
TS28: tongue Present UC Davis_1866486

Specimen UC Davis_1866487: postnatal adult; Cdkn1atm1.1(KOMP)Vlcg/Cdkn1a+ (more )
Structure Level Pattern Image Note
TS28: tongue Present UC Davis_1866487

Specimen UC Davis_1866488: postnatal adult; Cdkn1atm1.1(KOMP)Vlcg/Cdkn1a+ (more )
Structure Level Pattern Image Note
TS28: diaphragm Present UC Davis_1866488

Specimen UC Davis_1866489: postnatal adult; Cdkn1atm1.1(KOMP)Vlcg/Cdkn1a+ (more )
Structure Level Pattern Image Note
TS28: diaphragm Present UC Davis_1866489

Specimen UC Davis_1866490: postnatal adult; Cdkn1atm1.1(KOMP)Vlcg/Cdkn1a+ (more )
Structure Level Pattern Image Note
TS28: adrenal gland Present UC Davis_1866490

Specimen UC Davis_1866491: postnatal adult; Cdkn1atm1.1(KOMP)Vlcg/Cdkn1a+ (more )
Structure Level Pattern Image Note
TS28: adrenal gland Present UC Davis_1866491

Specimen UC Davis_1866492: postnatal adult; Cdkn1atm1.1(KOMP)Vlcg/Cdkn1a+ (more )
Structure Level Pattern Image Note
TS28: pituitary gland Present UC Davis_1866492

Specimen UC Davis_1866493: postnatal adult; Cdkn1atm1.1(KOMP)Vlcg/Cdkn1a+ (more )
Structure Level Pattern Image Note
TS28: pituitary gland Present UC Davis_1866493

Specimen UC Davis_1866494: postnatal adult; Cdkn1atm1.1(KOMP)Vlcg/Cdkn1a+ (more )
Structure Level Pattern Image Note
TS28: pituitary gland Present UC Davis_1866494

Specimen UC Davis_1866495: postnatal adult; Cdkn1atm1.1(KOMP)Vlcg/Cdkn1a+ (more )
Structure Level Pattern Image Note
TS28: spinal cord Present UC Davis_1866495

Specimen UC Davis_1866496: postnatal adult; Cdkn1atm1.1(KOMP)Vlcg/Cdkn1a+ (more )
Structure Level Pattern Image Note
TS28: spinal cord Present UC Davis_1866496

Specimen UC Davis_1866497: postnatal adult; Cdkn1atm1.1(KOMP)Vlcg/Cdkn1a+ (more )
Structure Level Pattern Image Note
TS28: eye Present UC Davis_1866497

Specimen UC Davis_1866498: postnatal adult; Cdkn1atm1.1(KOMP)Vlcg/Cdkn1a+ (more )
Structure Level Pattern Image Note
TS28: eye Present UC Davis_1866498

Specimen UC Davis_1866499: postnatal adult; Cdkn1atm1.1(KOMP)Vlcg/Cdkn1a+ (more )
Structure Level Pattern Image Note
TS28: Harderian gland Present UC Davis_1866499

Specimen UC Davis_1866500: postnatal adult; Cdkn1atm1.1(KOMP)Vlcg/Cdkn1a+ (more )
Structure Level Pattern Image Note
TS28: Harderian gland Present UC Davis_1866500

Specimen UC Davis_1866501: postnatal adult; Cdkn1atm1.1(KOMP)Vlcg/Cdkn1a+ (more )
Structure Level Pattern Image Note
TS28: gonadal fat pad Present UC Davis_1866501

Specimen UC Davis_1866502: postnatal adult; Cdkn1atm1.1(KOMP)Vlcg/Cdkn1a+ (more )
Structure Level Pattern Image Note
TS28: mesenteric adipose tissue Present UC Davis_1866502

Specimen UC Davis_1866503: postnatal adult; Cdkn1atm1.1(KOMP)Vlcg/Cdkn1a+ (more )
Structure Level Pattern Image Note
TS28: skin Present UC Davis_1866503

Specimen UC Davis_1866504: postnatal adult; Cdkn1atm1.1(KOMP)Vlcg/Cdkn1a+ (more )
Structure Level Pattern Image Note
TS28: skin Present UC Davis_1866504

Specimen UC Davis_1866505: postnatal adult; Cdkn1atm1.1(KOMP)Vlcg/Cdkn1a+ (more )
Structure Level Pattern Image Note
TS28: skin Present UC Davis_1866505

Specimen UC Davis_1866506: postnatal adult; Cdkn1atm1.1(KOMP)Vlcg/Cdkn1a+ (more )
Structure Level Pattern Image Note
TS28: brown fat Present UC Davis_1866506

Specimen UC Davis_1866507: postnatal adult; Cdkn1atm1.1(KOMP)Vlcg/Cdkn1a+ (more )
Structure Level Pattern Image Note
TS28: brown fat Present UC Davis_1866507

Specimen UC Davis_1866508: postnatal adult; Cdkn1atm1.1(KOMP)Vlcg/Cdkn1a+ (more )
Structure Level Pattern Image Note
TS28: olfactory lobe Present UC Davis_1866508

Specimen UC Davis_1866512: postnatal adult; Cdkn1atm1.1(KOMP)Vlcg/Cdkn1a+ (more )
Structure Level Pattern Image Note
TS28: midbrain Present UC Davis_1866512

Specimen UC Davis_1866514: postnatal adult; Cdkn1atm1.1(KOMP)Vlcg/Cdkn1a+ (more )
Structure Level Pattern Image Note
TS28: cerebellum Present UC Davis_1866514

Specimen UC Davis_1866515: postnatal adult; Cdkn1atm1.1(KOMP)Vlcg/Cdkn1a+ (more )
Structure Level Pattern Image Note
TS28: trigeminal nerve Present UC Davis_1866515

Specimen UC Davis_1866516: postnatal adult; Cdkn1atm1.1(KOMP)Vlcg/Cdkn1a+ (more )
Structure Level Pattern Image Note
TS28: trigeminal nerve Present UC Davis_1866516

Specimen UC Davis_1866517: postnatal adult; Cdkn1atm1.1(KOMP)Vlcg/Cdkn1a+ (more )
Structure Level Pattern Image Note
TS28: bladder Present UC Davis_1866517

Specimen UC Davis_1866518: postnatal adult; Cdkn1atm1.1(KOMP)Vlcg/Cdkn1a+ (more )
Structure Level Pattern Image Note
TS28: bladder Present UC Davis_1866518

Specimen UC Davis_1866519: postnatal adult; Cdkn1atm1.1(KOMP)Vlcg/Cdkn1a+ (more )
Structure Level Pattern Image Note
TS28: testis Present UC Davis_1866519

Specimen UC Davis_1866520: postnatal adult; Cdkn1atm1.1(KOMP)Vlcg/Cdkn1a+ (more )
Structure Level Pattern Image Note
TS28: testis Present UC Davis_1866520

Specimen UC Davis_1866521: postnatal adult; Cdkn1atm1.1(KOMP)Vlcg/Cdkn1a+ (more )
Structure Level Pattern Image Note
TS28: epididymis Present UC Davis_1866521

Specimen UC Davis_1866522: postnatal adult; Cdkn1atm1.1(KOMP)Vlcg/Cdkn1a+ (more )
Structure Level Pattern Image Note
TS28: epididymis Present UC Davis_1866522

Specimen UC Davis_1866523: postnatal adult; Cdkn1atm1.1(KOMP)Vlcg/Cdkn1a+ (more )
Structure Level Pattern Image Note
TS28: prostate gland Present UC Davis_1866523

Specimen UC Davis_1866524: postnatal adult; Cdkn1atm1.1(KOMP)Vlcg/Cdkn1a+ (more )
Structure Level Pattern Image Note
TS28: prostate gland Present UC Davis_1866524

Specimen UC Davis_1866525: postnatal adult; Cdkn1atm1.1(KOMP)Vlcg/Cdkn1a+ (more )
Structure Level Pattern Image Note
TS28: penis Present UC Davis_1866525

Specimen UC Davis_1866526: postnatal adult; Cdkn1atm1.1(KOMP)Vlcg/Cdkn1a+ (more )
Structure Level Pattern Image Note
TS28: penis Present UC Davis_1866526

Specimen UC Davis_1866527: postnatal adult; Cdkn1atm1.1(KOMP)Vlcg/Cdkn1a+ (more )
Structure Level Pattern Image Note
TS28: penis Present UC Davis_1866527

Specimen UC Davis_1866530: postnatal adult; Cdkn1atm1.1(KOMP)Vlcg/Cdkn1a+ (more )
Structure Level Pattern Image Note
TS28: blood Present UC Davis_1866530

Specimen UC Davis_1866531: postnatal adult; Cdkn1atm1.1(KOMP)Vlcg/Cdkn1a+ (more )
Structure Level Pattern Image Note
TS28: bone marrow Present UC Davis_1866531

Specimen UC Davis_1866532: postnatal adult; Cdkn1atm1.1(KOMP)Vlcg/Cdkn1a+ (more )
Structure Level Pattern Image Note
TS28: bone marrow Present UC Davis_1866532

Specimen UC Davis_1866533: postnatal adult; Cdkn1atm1.1(KOMP)Vlcg/Cdkn1a+ (more )
Structure Level Pattern Image Note
TS28: ductus deferens Present UC Davis_1866533 vas deferens

Specimen UC Davis_1866534: postnatal adult; Cdkn1atm1.1(KOMP)Vlcg/Cdkn1a+ (more )
Structure Level Pattern Image Note
TS28: ductus deferens Present UC Davis_1866534 vas deferens

Specimen UC Davis_1866537: postnatal adult; Cdkn1atm1.1(KOMP)Vlcg/Cdkn1a+ (more )
Structure Level Pattern Image Note
TS28: seminal vesicle Present UC Davis_1866537 vesicular gland

Specimen UC Davis_1866538: postnatal adult; Cdkn1atm1.1(KOMP)Vlcg/Cdkn1a+ (more )
Structure Level Pattern Image Note
TS28: seminal vesicle Present UC Davis_1866538 vesicular gland


Contributing Projects:
Mouse Genome Database (MGD), Gene Expression Database (GXD), Mouse Models of Human Cancer database (MMHCdb) (formerly Mouse Tumor Biology (MTB)), Gene Ontology (GO)
Citing These Resources
Funding Information
Warranty Disclaimer, Privacy Notice, Licensing, & Copyright
Send questions and comments to User Support.
last database update
12/30/2025
MGI 6.24
The Jackson Laboratory