About   Help   FAQ
Gene Expression Data
Assay Details
Assay
Reference: J:228563 Koscielny G, et al., The International Mouse Phenotyping Consortium Web Portal, a unified point of access for knockout mice and related phenotyping data. Nucleic Acids Res. 2014 Jan;42(Database issue):D802-9
Assay type: In situ reporter (knock in)
MGI Accession ID: MGI:6690982
Gene symbol: Xk
Gene name: X-linked Kx blood group
Reporter: lacZ
Direct Detection
Results
Specimen UC Davis_1876169: postnatal adult; Xktm1b(KOMP)Mbp/Xk+ (more )
Structure Level Pattern Image Note
TS28: parathyroid gland Present UC Davis_1876169

Specimen UC Davis_1876170: postnatal adult; Xktm1b(KOMP)Mbp/Xk+ (more )
Structure Level Pattern Image Note
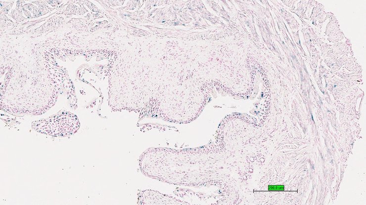
TS28: stomach Present UC Davis_1876170

Specimen UC Davis_1876171: postnatal adult; Xktm1b(KOMP)Mbp/Xk+ (more )
Structure Level Pattern Image Note
TS28: stomach Present UC Davis_1876171

Specimen UC Davis_1876172: postnatal adult; Xktm1b(KOMP)Mbp/Xk+ (more )
Structure Level Pattern Image Note
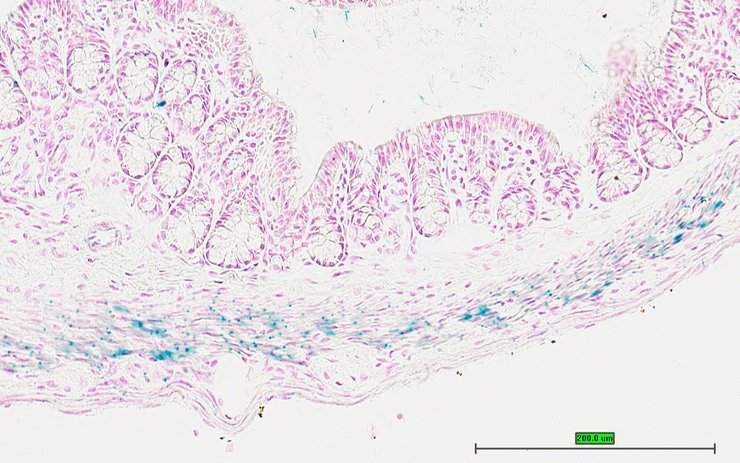
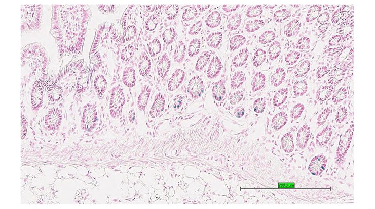
TS28: jejunum Present UC Davis_1876172

Specimen UC Davis_1876173: postnatal adult; Xktm1b(KOMP)Mbp/Xk+ (more )
Structure Level Pattern Image Note
TS28: ileum Present UC Davis_1876173

Specimen UC Davis_1876174: postnatal adult; Xktm1b(KOMP)Mbp/Xk+ (more )
Structure Level Pattern Image Note
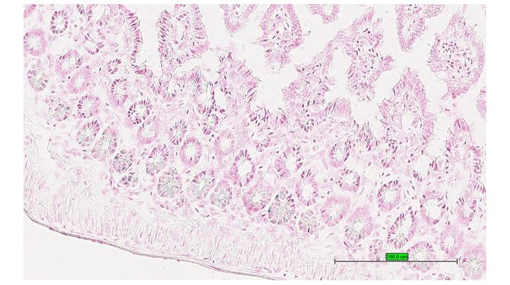
TS28: colon Present UC Davis_1876174

Specimen UC Davis_1876175: postnatal adult; Xktm1b(KOMP)Mbp/Xk+ (more )
Structure Level Pattern Image Note
TS28: colon Present UC Davis_1876175

Specimen UC Davis_1876176: postnatal adult; Xktm1b(KOMP)Mbp/Xk+ (more )
Structure Level Pattern Image Note
TS28: cecum Present UC Davis_1876176

Specimen UC Davis_1876177: postnatal adult; Xktm1b(KOMP)Mbp/Xk+ (more )
Structure Level Pattern Image Note
TS28: pancreas Present UC Davis_1876177

Specimen UC Davis_1876178: postnatal adult; Xktm1b(KOMP)Mbp/Xk+ (more )
Structure Level Pattern Image Note
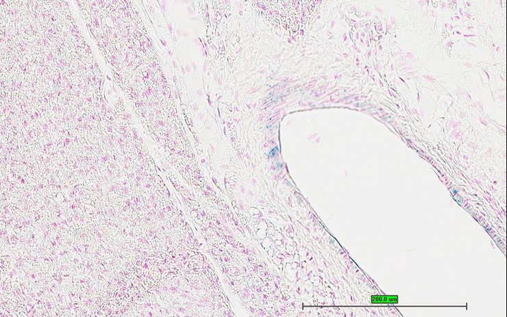
TS28: metanephros Present UC Davis_1876178 kidney

Specimen UC Davis_1876179: postnatal adult; Xktm1b(KOMP)Mbp/Xk+ (more )
Structure Level Pattern Image Note
TS28: tongue Present UC Davis_1876179

Specimen UC Davis_1876181: postnatal adult; Xktm1b(KOMP)Mbp/Xk+ (more )
Structure Level Pattern Image Note
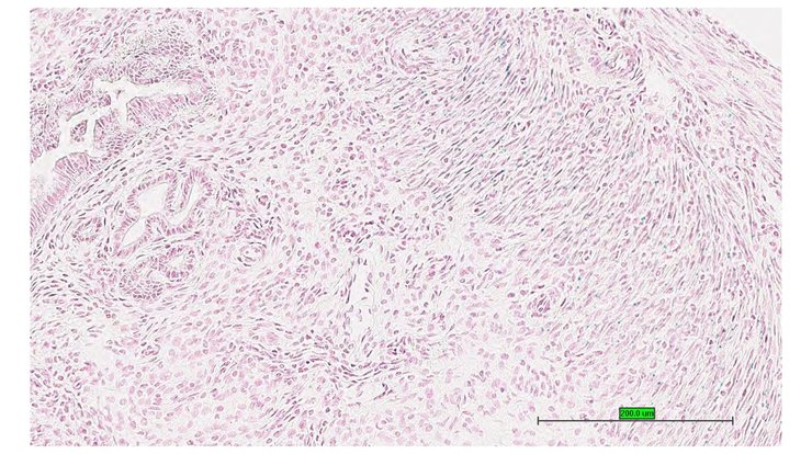
TS28: gonadal fat pad Present UC Davis_1876181

Specimen UC Davis_1876182: postnatal adult; Xktm1b(KOMP)Mbp/Xk+ (more )
Structure Level Pattern Image Note
TS28: gonadal fat pad Present UC Davis_1876182

Specimen UC Davis_1876183: postnatal adult; Xktm1b(KOMP)Mbp/Xk+ (more )
Structure Level Pattern Image Note
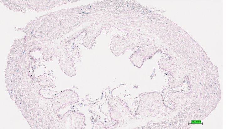
TS28: oviduct Present UC Davis_1876183

Specimen UC Davis_1876184: postnatal adult; Xktm1b(KOMP)Mbp/Xk+ (more )
Structure Level Pattern Image Note
TS28: uterus Present UC Davis_1876184

Specimen UC Davis_1876185: postnatal adult; Xktm1b(KOMP)Mbp/Xk+ (more )
Structure Level Pattern Image Note
TS28: vagina Present UC Davis_1876185

Specimen UC Davis_1876186: postnatal adult; Xktm1b(KOMP)Mbp/Xk+ (more )
Structure Level Pattern Image Note
TS28: bladder Present UC Davis_1876186

Specimen UC Davis_1876187: postnatal adult; Xktm1b(KOMP)Mbp/Xk+ (more )
Structure Level Pattern Image Note
TS28: bladder Present UC Davis_1876187

Specimen UC Davis_1876188: postnatal adult; Xktm1b(KOMP)Mbp/Xk+ (more )
Structure Level Pattern Image Note
TS28: bladder Present UC Davis_1876188

Specimen UC Davis_1876190: postnatal adult; Xktm1b(KOMP)Mbp/Xk+ (more )
Structure Level Pattern Image Note
TS28: mammary gland Present UC Davis_1876190

Specimen UC Davis_1876142: postnatal adult; Xktm1b(KOMP)Mbp/Y (more )
Structure Level Pattern Image Note
TS28: parathyroid gland Present UC Davis_1876142

Specimen UC Davis_1876143: postnatal adult; Xktm1b(KOMP)Mbp/Y (more )
Structure Level Pattern Image Note
TS28: aorta Present UC Davis_1876143

Specimen UC Davis_1876144: postnatal adult; Xktm1b(KOMP)Mbp/Y (more )
Structure Level Pattern Image Note
TS28: stomach Present UC Davis_1876144

Specimen UC Davis_1876145: postnatal adult; Xktm1b(KOMP)Mbp/Y (more )
Structure Level Pattern Image Note
TS28: stomach Present UC Davis_1876145

Specimen UC Davis_1876146: postnatal adult; Xktm1b(KOMP)Mbp/Y (more )
Structure Level Pattern Image Note
TS28: stomach Present UC Davis_1876146

Specimen UC Davis_1876147: postnatal adult; Xktm1b(KOMP)Mbp/Y (more )
Structure Level Pattern Image Note
TS28: jejunum Present UC Davis_1876147

Specimen UC Davis_1876148: postnatal adult; Xktm1b(KOMP)Mbp/Y (more )
Structure Level Pattern Image Note
TS28: ileum Present UC Davis_1876148

Specimen UC Davis_1876149: postnatal adult; Xktm1b(KOMP)Mbp/Y (more )
Structure Level Pattern Image Note
TS28: colon Present UC Davis_1876149

Specimen UC Davis_1876150: postnatal adult; Xktm1b(KOMP)Mbp/Y (more )
Structure Level Pattern Image Note
TS28: colon Present UC Davis_1876150

Specimen UC Davis_1876151: postnatal adult; Xktm1b(KOMP)Mbp/Y (more )
Structure Level Pattern Image Note
TS28: cecum Present UC Davis_1876151

Specimen UC Davis_1876152: postnatal adult; Xktm1b(KOMP)Mbp/Y (more )
Structure Level Pattern Image Note
TS28: metanephros Present UC Davis_1876152 kidney

Specimen UC Davis_1876153: postnatal adult; Xktm1b(KOMP)Mbp/Y (more )
Structure Level Pattern Image Note
TS28: quadriceps femoris muscle Present UC Davis_1876153

Specimen UC Davis_1876154: postnatal adult; Xktm1b(KOMP)Mbp/Y (more )
Structure Level Pattern Image Note
TS28: eye Present UC Davis_1876154

Specimen UC Davis_1876155: postnatal adult; Xktm1b(KOMP)Mbp/Y (more )
Structure Level Pattern Image Note
TS28: gonadal fat pad Present UC Davis_1876155

Specimen UC Davis_1876156: postnatal adult; Xktm1b(KOMP)Mbp/Y (more )
Structure Level Pattern Image Note
TS28: brown fat Present UC Davis_1876156

Specimen UC Davis_1876157: postnatal adult; Xktm1b(KOMP)Mbp/Y (more )
Structure Level Pattern Image Note
TS28: midbrain Present UC Davis_1876157

Specimen UC Davis_1876158: postnatal adult; Xktm1b(KOMP)Mbp/Y (more )
Structure Level Pattern Image Note
TS28: trigeminal nerve Present UC Davis_1876158

Specimen UC Davis_1876159: postnatal adult; Xktm1b(KOMP)Mbp/Y (more )
Structure Level Pattern Image Note
TS28: bladder Present UC Davis_1876159

Specimen UC Davis_1876160: postnatal adult; Xktm1b(KOMP)Mbp/Y (more )
Structure Level Pattern Image Note
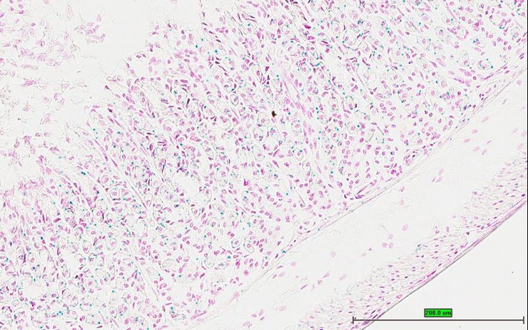
TS28: testis Present UC Davis_1876160

Specimen UC Davis_1876161: postnatal adult; Xktm1b(KOMP)Mbp/Y (more )
Structure Level Pattern Image Note
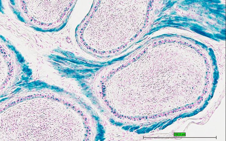
TS28: epididymis Present UC Davis_1876161

Specimen UC Davis_1876162: postnatal adult; Xktm1b(KOMP)Mbp/Y (more )
Structure Level Pattern Image Note
TS28: epididymis Present UC Davis_1876162

Specimen UC Davis_1876163: postnatal adult; Xktm1b(KOMP)Mbp/Y (more )
Structure Level Pattern Image Note
TS28: penis Present UC Davis_1876163

Specimen UC Davis_1876164: postnatal adult; Xktm1b(KOMP)Mbp/Y (more )
Structure Level Pattern Image Note
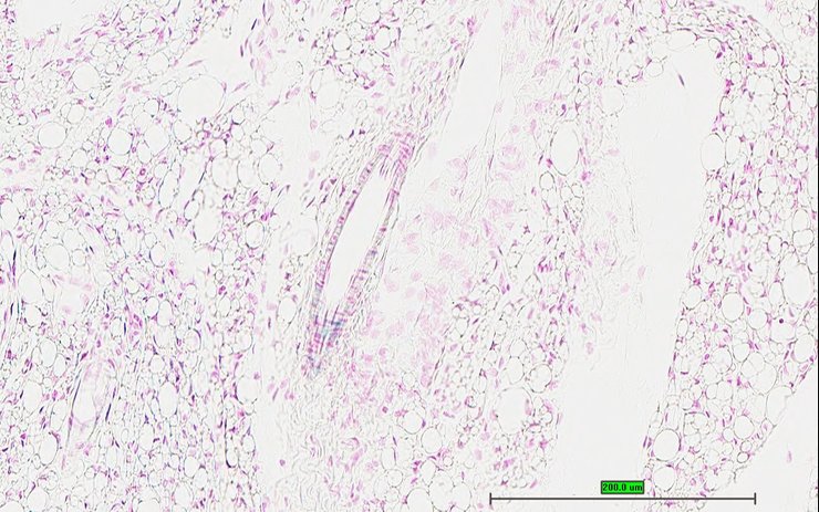
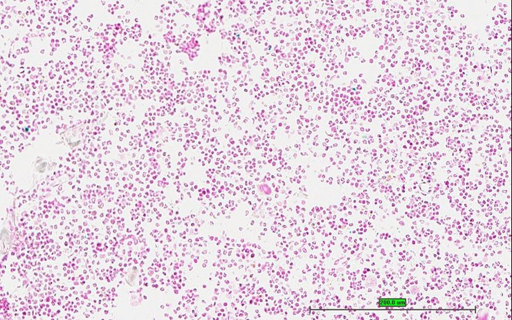
TS28: bone marrow Present UC Davis_1876164

Specimen UC Davis_1876165: postnatal adult; Xktm1b(KOMP)Mbp/Y (more )
Structure Level Pattern Image Note
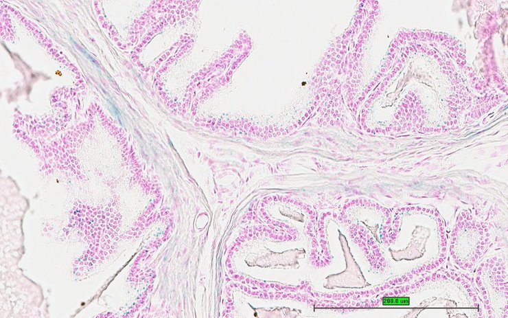
TS28: ductus deferens Present UC Davis_1876165 vas deferens

Specimen UC Davis_1876167: postnatal adult; Xktm1b(KOMP)Mbp/Y (more )
Structure Level Pattern Image Note
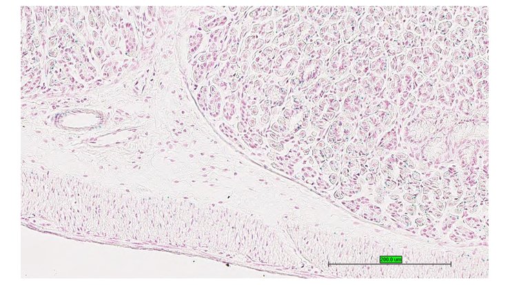
TS28: seminal vesicle Present UC Davis_1876167 vesicular gland

Specimen UC Davis_1876168: postnatal adult; Xktm1b(KOMP)Mbp/Y (more )
Structure Level Pattern Image Note
TS28: seminal vesicle Present UC Davis_1876168 vesicular gland


Contributing Projects:
Mouse Genome Database (MGD), Gene Expression Database (GXD), Mouse Models of Human Cancer database (MMHCdb) (formerly Mouse Tumor Biology (MTB)), Gene Ontology (GO)
Citing These Resources
Funding Information
Warranty Disclaimer, Privacy Notice, Licensing, & Copyright
Send questions and comments to User Support.
last database update
01/20/2026
MGI 6.24
The Jackson Laboratory