About   Help   FAQ
Gene Expression Data
Assay Details
Assay
Reference: J:228563 Koscielny G, et al., The International Mouse Phenotyping Consortium Web Portal, a unified point of access for knockout mice and related phenotyping data. Nucleic Acids Res. 2014 Jan;42(Database issue):D802-9
Assay type: In situ reporter (knock in)
MGI Accession ID: MGI:6690980
Gene symbol: Cxcl12
Gene name: C-X-C motif chemokine ligand 12
Reporter: lacZ
Direct Detection
Results
Specimen UC Davis_1885204: postnatal adult; Cxcl12tm1.1(KOMP)Vlcg/Cxcl12+ (more )
Structure Level Pattern Image Note
TS28: submandibular gland Present UC Davis_1885204

Specimen UC Davis_1885205: postnatal adult; Cxcl12tm1.1(KOMP)Vlcg/Cxcl12+ (more )
Structure Level Pattern Image Note
TS28: submandibular gland Present UC Davis_1885205

Specimen UC Davis_1885206: postnatal adult; Cxcl12tm1.1(KOMP)Vlcg/Cxcl12+ (more )
Structure Level Pattern Image Note
TS28: sublingual gland Present UC Davis_1885206

Specimen UC Davis_1885207: postnatal adult; Cxcl12tm1.1(KOMP)Vlcg/Cxcl12+ (more )
Structure Level Pattern Image Note
TS28: parotid gland Present UC Davis_1885207

Specimen UC Davis_1885210: postnatal adult; Cxcl12tm1.1(KOMP)Vlcg/Cxcl12+ (more )
Structure Level Pattern Image Note
TS28: esophagus Present UC Davis_1885210

Specimen UC Davis_1885211: postnatal adult; Cxcl12tm1.1(KOMP)Vlcg/Cxcl12+ (more )
Structure Level Pattern Image Note
TS28: thyroid gland Present UC Davis_1885211

Specimen UC Davis_1885212: postnatal adult; Cxcl12tm1.1(KOMP)Vlcg/Cxcl12+ (more )
Structure Level Pattern Image Note
TS28: aorta Present UC Davis_1885212

Specimen UC Davis_1885213: postnatal adult; Cxcl12tm1.1(KOMP)Vlcg/Cxcl12+ (more )
Structure Level Pattern Image Note
TS28: lung Present UC Davis_1885213

Specimen UC Davis_1885214: postnatal adult; Cxcl12tm1.1(KOMP)Vlcg/Cxcl12+ (more )
Structure Level Pattern Image Note
TS28: lung Present UC Davis_1885214

Specimen UC Davis_1885215: postnatal adult; Cxcl12tm1.1(KOMP)Vlcg/Cxcl12+ (more )
Structure Level Pattern Image Note
TS28: lung Present UC Davis_1885215

Specimen UC Davis_1885216: postnatal adult; Cxcl12tm1.1(KOMP)Vlcg/Cxcl12+ (more )
Structure Level Pattern Image Note
TS28: thymus Present UC Davis_1885216

Specimen UC Davis_1885217: postnatal adult; Cxcl12tm1.1(KOMP)Vlcg/Cxcl12+ (more )
Structure Level Pattern Image Note
TS28: thymus Present UC Davis_1885217

Specimen UC Davis_1885218: postnatal adult; Cxcl12tm1.1(KOMP)Vlcg/Cxcl12+ (more )
Structure Level Pattern Image Note
TS28: thymus Present UC Davis_1885218

Specimen UC Davis_1885222: postnatal adult; Cxcl12tm1.1(KOMP)Vlcg/Cxcl12+ (more )
Structure Level Pattern Image Note
TS28: mesenteric lymph node Present UC Davis_1885222

Specimen UC Davis_1885223: postnatal adult; Cxcl12tm1.1(KOMP)Vlcg/Cxcl12+ (more )
Structure Level Pattern Image Note
TS28: stomach Present UC Davis_1885223

Specimen UC Davis_1885224: postnatal adult; Cxcl12tm1.1(KOMP)Vlcg/Cxcl12+ (more )
Structure Level Pattern Image Note
TS28: stomach Present UC Davis_1885224

Specimen UC Davis_1885225: postnatal adult; Cxcl12tm1.1(KOMP)Vlcg/Cxcl12+ (more )
Structure Level Pattern Image Note
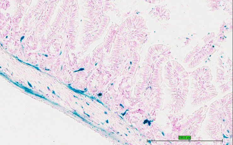
TS28: duodenum Present UC Davis_1885225

Specimen UC Davis_1885226: postnatal adult; Cxcl12tm1.1(KOMP)Vlcg/Cxcl12+ (more )
Structure Level Pattern Image Note
TS28: duodenum Present UC Davis_1885226

Specimen UC Davis_1885227: postnatal adult; Cxcl12tm1.1(KOMP)Vlcg/Cxcl12+ (more )
Structure Level Pattern Image Note
TS28: jejunum Present UC Davis_1885227

Specimen UC Davis_1885228: postnatal adult; Cxcl12tm1.1(KOMP)Vlcg/Cxcl12+ (more )
Structure Level Pattern Image Note
TS28: jejunum Present UC Davis_1885228

Specimen UC Davis_1885229: postnatal adult; Cxcl12tm1.1(KOMP)Vlcg/Cxcl12+ (more )
Structure Level Pattern Image Note
TS28: ileum Present UC Davis_1885229

Specimen UC Davis_1885230: postnatal adult; Cxcl12tm1.1(KOMP)Vlcg/Cxcl12+ (more )
Structure Level Pattern Image Note
TS28: colon Present UC Davis_1885230

Specimen UC Davis_1885231: postnatal adult; Cxcl12tm1.1(KOMP)Vlcg/Cxcl12+ (more )
Structure Level Pattern Image Note
TS28: colon Present UC Davis_1885231

Specimen UC Davis_1885232: postnatal adult; Cxcl12tm1.1(KOMP)Vlcg/Cxcl12+ (more )
Structure Level Pattern Image Note
TS28: cecum Present UC Davis_1885232

Specimen UC Davis_1885233: postnatal adult; Cxcl12tm1.1(KOMP)Vlcg/Cxcl12+ (more )
Structure Level Pattern Image Note
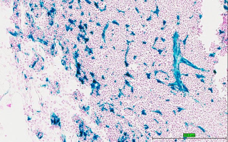
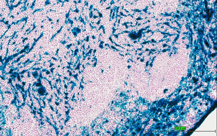
TS28: spleen Present UC Davis_1885233

Specimen UC Davis_1885234: postnatal adult; Cxcl12tm1.1(KOMP)Vlcg/Cxcl12+ (more )
Structure Level Pattern Image Note
TS28: spleen Present UC Davis_1885234

Specimen UC Davis_1885235: postnatal adult; Cxcl12tm1.1(KOMP)Vlcg/Cxcl12+ (more )
Structure Level Pattern Image Note
TS28: spleen Present UC Davis_1885235

Specimen UC Davis_1885236: postnatal adult; Cxcl12tm1.1(KOMP)Vlcg/Cxcl12+ (more )
Structure Level Pattern Image Note
TS28: pancreas Present UC Davis_1885236

Specimen UC Davis_1885237: postnatal adult; Cxcl12tm1.1(KOMP)Vlcg/Cxcl12+ (more )
Structure Level Pattern Image Note
TS28: liver Present UC Davis_1885237

Specimen UC Davis_1885238: postnatal adult; Cxcl12tm1.1(KOMP)Vlcg/Cxcl12+ (more )
Structure Level Pattern Image Note
TS28: liver Present UC Davis_1885238

Specimen UC Davis_1885239: postnatal adult; Cxcl12tm1.1(KOMP)Vlcg/Cxcl12+ (more )
Structure Level Pattern Image Note
TS28: liver Present UC Davis_1885239

Specimen UC Davis_1885240: postnatal adult; Cxcl12tm1.1(KOMP)Vlcg/Cxcl12+ (more )
Structure Level Pattern Image Note
TS28: metanephros Present UC Davis_1885240 kidney

Specimen UC Davis_1885241: postnatal adult; Cxcl12tm1.1(KOMP)Vlcg/Cxcl12+ (more )
Structure Level Pattern Image Note
TS28: metanephros Present UC Davis_1885241 kidney

Specimen UC Davis_1885242: postnatal adult; Cxcl12tm1.1(KOMP)Vlcg/Cxcl12+ (more )
Structure Level Pattern Image Note
TS28: metanephros Present UC Davis_1885242 kidney

Specimen UC Davis_1885243: postnatal adult; Cxcl12tm1.1(KOMP)Vlcg/Cxcl12+ (more )
Structure Level Pattern Image Note
TS28: quadriceps femoris muscle Present UC Davis_1885243

Specimen UC Davis_1885244: postnatal adult; Cxcl12tm1.1(KOMP)Vlcg/Cxcl12+ (more )
Structure Level Pattern Image Note
TS28: quadriceps femoris muscle Present UC Davis_1885244

Specimen UC Davis_1885245: postnatal adult; Cxcl12tm1.1(KOMP)Vlcg/Cxcl12+ (more )
Structure Level Pattern Image Note
TS28: sciatic nerve Present UC Davis_1885245

Specimen UC Davis_1885246: postnatal adult; Cxcl12tm1.1(KOMP)Vlcg/Cxcl12+ (more )
Structure Level Pattern Image Note
TS28: tongue Present UC Davis_1885246

Specimen UC Davis_1885247: postnatal adult; Cxcl12tm1.1(KOMP)Vlcg/Cxcl12+ (more )
Structure Level Pattern Image Note
TS28: tongue Present UC Davis_1885247

Specimen UC Davis_1885248: postnatal adult; Cxcl12tm1.1(KOMP)Vlcg/Cxcl12+ (more )
Structure Level Pattern Image Note
TS28: tongue Present UC Davis_1885248

Specimen UC Davis_1885249: postnatal adult; Cxcl12tm1.1(KOMP)Vlcg/Cxcl12+ (more )
Structure Level Pattern Image Note
TS28: diaphragm Present UC Davis_1885249

Specimen UC Davis_1885250: postnatal adult; Cxcl12tm1.1(KOMP)Vlcg/Cxcl12+ (more )
Structure Level Pattern Image Note
TS28: adrenal gland Present UC Davis_1885250

Specimen UC Davis_1885251: postnatal adult; Cxcl12tm1.1(KOMP)Vlcg/Cxcl12+ (more )
Structure Level Pattern Image Note
TS28: spinal cord Present UC Davis_1885251

Specimen UC Davis_1885252: postnatal adult; Cxcl12tm1.1(KOMP)Vlcg/Cxcl12+ (more )
Structure Level Pattern Image Note
TS28: spinal cord Present UC Davis_1885252

Specimen UC Davis_1885253: postnatal adult; Cxcl12tm1.1(KOMP)Vlcg/Cxcl12+ (more )
Structure Level Pattern Image Note
TS28: eye Present UC Davis_1885253

Specimen UC Davis_1885254: postnatal adult; Cxcl12tm1.1(KOMP)Vlcg/Cxcl12+ (more )
Structure Level Pattern Image Note
TS28: eye Present UC Davis_1885254

Specimen UC Davis_1885256: postnatal adult; Cxcl12tm1.1(KOMP)Vlcg/Cxcl12+ (more )
Structure Level Pattern Image Note
TS28: Harderian gland Present UC Davis_1885256

Specimen UC Davis_1885257: postnatal adult; Cxcl12tm1.1(KOMP)Vlcg/Cxcl12+ (more )
Structure Level Pattern Image Note
TS28: gonadal fat pad Present UC Davis_1885257

Specimen UC Davis_1885258: postnatal adult; Cxcl12tm1.1(KOMP)Vlcg/Cxcl12+ (more )
Structure Level Pattern Image Note
TS28: mesenteric adipose tissue Present UC Davis_1885258

Specimen UC Davis_1885259: postnatal adult; Cxcl12tm1.1(KOMP)Vlcg/Cxcl12+ (more )
Structure Level Pattern Image Note
TS28: skin Present UC Davis_1885259

Specimen UC Davis_1885260: postnatal adult; Cxcl12tm1.1(KOMP)Vlcg/Cxcl12+ (more )
Structure Level Pattern Image Note
TS28: skin Present UC Davis_1885260

Specimen UC Davis_1885261: postnatal adult; Cxcl12tm1.1(KOMP)Vlcg/Cxcl12+ (more )
Structure Level Pattern Image Note
TS28: brown fat Present UC Davis_1885261

Specimen UC Davis_1885262: postnatal adult; Cxcl12tm1.1(KOMP)Vlcg/Cxcl12+ (more )
Structure Level Pattern Image Note
TS28: olfactory lobe Present UC Davis_1885262

Specimen UC Davis_1885266: postnatal adult; Cxcl12tm1.1(KOMP)Vlcg/Cxcl12+ (more )
Structure Level Pattern Image Note
TS28: midbrain Present UC Davis_1885266

Specimen UC Davis_1885268: postnatal adult; Cxcl12tm1.1(KOMP)Vlcg/Cxcl12+ (more )
Structure Level Pattern Image Note
TS28: cerebellum Present UC Davis_1885268

Specimen UC Davis_1885269: postnatal adult; Cxcl12tm1.1(KOMP)Vlcg/Cxcl12+ (more )
Structure Level Pattern Image Note
TS28: trigeminal nerve Present UC Davis_1885269

Specimen UC Davis_1885270: postnatal adult; Cxcl12tm1.1(KOMP)Vlcg/Cxcl12+ (more )
Structure Level Pattern Image Note
TS28: oviduct Present UC Davis_1885270

Specimen UC Davis_1885271: postnatal adult; Cxcl12tm1.1(KOMP)Vlcg/Cxcl12+ (more )
Structure Level Pattern Image Note
TS28: uterus Present UC Davis_1885271

Specimen UC Davis_1885272: postnatal adult; Cxcl12tm1.1(KOMP)Vlcg/Cxcl12+ (more )
Structure Level Pattern Image Note
TS28: uterus Present UC Davis_1885272

Specimen UC Davis_1885273: postnatal adult; Cxcl12tm1.1(KOMP)Vlcg/Cxcl12+ (more )
Structure Level Pattern Image Note
TS28: vagina Present UC Davis_1885273

Specimen UC Davis_1885274: postnatal adult; Cxcl12tm1.1(KOMP)Vlcg/Cxcl12+ (more )
Structure Level Pattern Image Note
TS28: bladder Present UC Davis_1885274

Specimen UC Davis_1885276: postnatal adult; Cxcl12tm1.1(KOMP)Vlcg/Cxcl12+ (more )
Structure Level Pattern Image Note
TS28: bone marrow Present UC Davis_1885276

Specimen UC Davis_1885277: postnatal adult; Cxcl12tm1.1(KOMP)Vlcg/Cxcl12+ (more )
Structure Level Pattern Image Note
TS28: bone marrow Present UC Davis_1885277

Specimen UC Davis_1885278: postnatal adult; Cxcl12tm1.1(KOMP)Vlcg/Cxcl12+ (more )
Structure Level Pattern Image Note
TS28: mammary gland Present UC Davis_1885278

Specimen UC Davis_1885113: postnatal adult; Cxcl12tm1.1(KOMP)Vlcg/Cxcl12+ (more )
Structure Level Pattern Image Note
TS28: submandibular gland Present UC Davis_1885113

Specimen UC Davis_1885114: postnatal adult; Cxcl12tm1.1(KOMP)Vlcg/Cxcl12+ (more )
Structure Level Pattern Image Note
TS28: submandibular gland Present UC Davis_1885114

Specimen UC Davis_1885115: postnatal adult; Cxcl12tm1.1(KOMP)Vlcg/Cxcl12+ (more )
Structure Level Pattern Image Note
TS28: sublingual gland Present UC Davis_1885115

Specimen UC Davis_1885116: postnatal adult; Cxcl12tm1.1(KOMP)Vlcg/Cxcl12+ (more )
Structure Level Pattern Image Note
TS28: sublingual gland Present UC Davis_1885116

Specimen UC Davis_1885117: postnatal adult; Cxcl12tm1.1(KOMP)Vlcg/Cxcl12+ (more )
Structure Level Pattern Image Note
TS28: parotid gland Present UC Davis_1885117

Specimen UC Davis_1885120: postnatal adult; Cxcl12tm1.1(KOMP)Vlcg/Cxcl12+ (more )
Structure Level Pattern Image Note
TS28: trachea Present UC Davis_1885120

Specimen UC Davis_1885121: postnatal adult; Cxcl12tm1.1(KOMP)Vlcg/Cxcl12+ (more )
Structure Level Pattern Image Note
TS28: trachea Present UC Davis_1885121

Specimen UC Davis_1885122: postnatal adult; Cxcl12tm1.1(KOMP)Vlcg/Cxcl12+ (more )
Structure Level Pattern Image Note
TS28: esophagus Present UC Davis_1885122

Specimen UC Davis_1885123: postnatal adult; Cxcl12tm1.1(KOMP)Vlcg/Cxcl12+ (more )
Structure Level Pattern Image Note
TS28: esophagus Present UC Davis_1885123

Specimen UC Davis_1885124: postnatal adult; Cxcl12tm1.1(KOMP)Vlcg/Cxcl12+ (more )
Structure Level Pattern Image Note
TS28: thyroid gland Present UC Davis_1885124

Specimen UC Davis_1885126: postnatal adult; Cxcl12tm1.1(KOMP)Vlcg/Cxcl12+ (more )
Structure Level Pattern Image Note
TS28: lung Present UC Davis_1885126

Specimen UC Davis_1885127: postnatal adult; Cxcl12tm1.1(KOMP)Vlcg/Cxcl12+ (more )
Structure Level Pattern Image Note
TS28: lung Present UC Davis_1885127

Specimen UC Davis_1885128: postnatal adult; Cxcl12tm1.1(KOMP)Vlcg/Cxcl12+ (more )
Structure Level Pattern Image Note
TS28: thymus Present UC Davis_1885128

Specimen UC Davis_1885129: postnatal adult; Cxcl12tm1.1(KOMP)Vlcg/Cxcl12+ (more )
Structure Level Pattern Image Note
TS28: thymus Present UC Davis_1885129

Specimen UC Davis_1885134: postnatal adult; Cxcl12tm1.1(KOMP)Vlcg/Cxcl12+ (more )
Structure Level Pattern Image Note
TS28: mesenteric lymph node Present UC Davis_1885134

Specimen UC Davis_1885135: postnatal adult; Cxcl12tm1.1(KOMP)Vlcg/Cxcl12+ (more )
Structure Level Pattern Image Note
TS28: mesenteric lymph node Present UC Davis_1885135

Specimen UC Davis_1885136: postnatal adult; Cxcl12tm1.1(KOMP)Vlcg/Cxcl12+ (more )
Structure Level Pattern Image Note
TS28: stomach Present UC Davis_1885136

Specimen UC Davis_1885137: postnatal adult; Cxcl12tm1.1(KOMP)Vlcg/Cxcl12+ (more )
Structure Level Pattern Image Note
TS28: stomach Present UC Davis_1885137

Specimen UC Davis_1885138: postnatal adult; Cxcl12tm1.1(KOMP)Vlcg/Cxcl12+ (more )
Structure Level Pattern Image Note
TS28: duodenum Present UC Davis_1885138

Specimen UC Davis_1885139: postnatal adult; Cxcl12tm1.1(KOMP)Vlcg/Cxcl12+ (more )
Structure Level Pattern Image Note
TS28: jejunum Present UC Davis_1885139

Specimen UC Davis_1885140: postnatal adult; Cxcl12tm1.1(KOMP)Vlcg/Cxcl12+ (more )
Structure Level Pattern Image Note
TS28: ileum Present UC Davis_1885140

Specimen UC Davis_1885141: postnatal adult; Cxcl12tm1.1(KOMP)Vlcg/Cxcl12+ (more )
Structure Level Pattern Image Note
TS28: ileum Present UC Davis_1885141

Specimen UC Davis_1885142: postnatal adult; Cxcl12tm1.1(KOMP)Vlcg/Cxcl12+ (more )
Structure Level Pattern Image Note
TS28: colon Present UC Davis_1885142

Specimen UC Davis_1885143: postnatal adult; Cxcl12tm1.1(KOMP)Vlcg/Cxcl12+ (more )
Structure Level Pattern Image Note
TS28: colon Present UC Davis_1885143

Specimen UC Davis_1885144: postnatal adult; Cxcl12tm1.1(KOMP)Vlcg/Cxcl12+ (more )
Structure Level Pattern Image Note
TS28: colon Present UC Davis_1885144

Specimen UC Davis_1885145: postnatal adult; Cxcl12tm1.1(KOMP)Vlcg/Cxcl12+ (more )
Structure Level Pattern Image Note
TS28: cecum Present UC Davis_1885145

Specimen UC Davis_1885146: postnatal adult; Cxcl12tm1.1(KOMP)Vlcg/Cxcl12+ (more )
Structure Level Pattern Image Note
TS28: cecum Present UC Davis_1885146

Specimen UC Davis_1885147: postnatal adult; Cxcl12tm1.1(KOMP)Vlcg/Cxcl12+ (more )
Structure Level Pattern Image Note
TS28: spleen Present UC Davis_1885147

Specimen UC Davis_1885148: postnatal adult; Cxcl12tm1.1(KOMP)Vlcg/Cxcl12+ (more )
Structure Level Pattern Image Note
TS28: spleen Present UC Davis_1885148

Specimen UC Davis_1885149: postnatal adult; Cxcl12tm1.1(KOMP)Vlcg/Cxcl12+ (more )
Structure Level Pattern Image Note
TS28: pancreas Present UC Davis_1885149

Specimen UC Davis_1885150: postnatal adult; Cxcl12tm1.1(KOMP)Vlcg/Cxcl12+ (more )
Structure Level Pattern Image Note
TS28: pancreas Present UC Davis_1885150

Specimen UC Davis_1885151: postnatal adult; Cxcl12tm1.1(KOMP)Vlcg/Cxcl12+ (more )
Structure Level Pattern Image Note
TS28: liver Present UC Davis_1885151

Specimen UC Davis_1885152: postnatal adult; Cxcl12tm1.1(KOMP)Vlcg/Cxcl12+ (more )
Structure Level Pattern Image Note
TS28: liver Present UC Davis_1885152

Specimen UC Davis_1885153: postnatal adult; Cxcl12tm1.1(KOMP)Vlcg/Cxcl12+ (more )
Structure Level Pattern Image Note
TS28: metanephros Present UC Davis_1885153 kidney

Specimen UC Davis_1885154: postnatal adult; Cxcl12tm1.1(KOMP)Vlcg/Cxcl12+ (more )
Structure Level Pattern Image Note
TS28: metanephros Present UC Davis_1885154 kidney

Specimen UC Davis_1885155: postnatal adult; Cxcl12tm1.1(KOMP)Vlcg/Cxcl12+ (more )
Structure Level Pattern Image Note
TS28: metanephros Present UC Davis_1885155 kidney

Specimen UC Davis_1885156: postnatal adult; Cxcl12tm1.1(KOMP)Vlcg/Cxcl12+ (more )
Structure Level Pattern Image Note
TS28: metanephros Present UC Davis_1885156 kidney

Specimen UC Davis_1885157: postnatal adult; Cxcl12tm1.1(KOMP)Vlcg/Cxcl12+ (more )
Structure Level Pattern Image Note
TS28: quadriceps femoris muscle Present UC Davis_1885157

Specimen UC Davis_1885158: postnatal adult; Cxcl12tm1.1(KOMP)Vlcg/Cxcl12+ (more )
Structure Level Pattern Image Note
TS28: quadriceps femoris muscle Present UC Davis_1885158

Specimen UC Davis_1885159: postnatal adult; Cxcl12tm1.1(KOMP)Vlcg/Cxcl12+ (more )
Structure Level Pattern Image Note
TS28: quadriceps femoris muscle Present UC Davis_1885159

Specimen UC Davis_1885160: postnatal adult; Cxcl12tm1.1(KOMP)Vlcg/Cxcl12+ (more )
Structure Level Pattern Image Note
TS28: tongue Present UC Davis_1885160

Specimen UC Davis_1885161: postnatal adult; Cxcl12tm1.1(KOMP)Vlcg/Cxcl12+ (more )
Structure Level Pattern Image Note
TS28: tongue Present UC Davis_1885161

Specimen UC Davis_1885162: postnatal adult; Cxcl12tm1.1(KOMP)Vlcg/Cxcl12+ (more )
Structure Level Pattern Image Note
TS28: tongue Present UC Davis_1885162

Specimen UC Davis_1885163: postnatal adult; Cxcl12tm1.1(KOMP)Vlcg/Cxcl12+ (more )
Structure Level Pattern Image Note
TS28: diaphragm Present UC Davis_1885163

Specimen UC Davis_1885164: postnatal adult; Cxcl12tm1.1(KOMP)Vlcg/Cxcl12+ (more )
Structure Level Pattern Image Note
TS28: adrenal gland Present UC Davis_1885164

Specimen UC Davis_1885165: postnatal adult; Cxcl12tm1.1(KOMP)Vlcg/Cxcl12+ (more )
Structure Level Pattern Image Note
TS28: spinal cord Present UC Davis_1885165

Specimen UC Davis_1885166: postnatal adult; Cxcl12tm1.1(KOMP)Vlcg/Cxcl12+ (more )
Structure Level Pattern Image Note
TS28: spinal cord Present UC Davis_1885166

Specimen UC Davis_1885167: postnatal adult; Cxcl12tm1.1(KOMP)Vlcg/Cxcl12+ (more )
Structure Level Pattern Image Note
TS28: eye Present UC Davis_1885167

Specimen UC Davis_1885168: postnatal adult; Cxcl12tm1.1(KOMP)Vlcg/Cxcl12+ (more )
Structure Level Pattern Image Note
TS28: eye Present UC Davis_1885168

Specimen UC Davis_1885169: postnatal adult; Cxcl12tm1.1(KOMP)Vlcg/Cxcl12+ (more )
Structure Level Pattern Image Note
TS28: eye Present UC Davis_1885169

Specimen UC Davis_1885170: postnatal adult; Cxcl12tm1.1(KOMP)Vlcg/Cxcl12+ (more )
Structure Level Pattern Image Note
TS28: Harderian gland Present UC Davis_1885170

Specimen UC Davis_1885171: postnatal adult; Cxcl12tm1.1(KOMP)Vlcg/Cxcl12+ (more )
Structure Level Pattern Image Note
TS28: Harderian gland Present UC Davis_1885171

Specimen UC Davis_1885172: postnatal adult; Cxcl12tm1.1(KOMP)Vlcg/Cxcl12+ (more )
Structure Level Pattern Image Note
TS28: gonadal fat pad Present UC Davis_1885172

Specimen UC Davis_1885173: postnatal adult; Cxcl12tm1.1(KOMP)Vlcg/Cxcl12+ (more )
Structure Level Pattern Image Note
TS28: mesenteric adipose tissue Present UC Davis_1885173

Specimen UC Davis_1885174: postnatal adult; Cxcl12tm1.1(KOMP)Vlcg/Cxcl12+ (more )
Structure Level Pattern Image Note
TS28: skin Present UC Davis_1885174

Specimen UC Davis_1885175: postnatal adult; Cxcl12tm1.1(KOMP)Vlcg/Cxcl12+ (more )
Structure Level Pattern Image Note
TS28: skin Present UC Davis_1885175

Specimen UC Davis_1885176: postnatal adult; Cxcl12tm1.1(KOMP)Vlcg/Cxcl12+ (more )
Structure Level Pattern Image Note
TS28: skin Present UC Davis_1885176

Specimen UC Davis_1885177: postnatal adult; Cxcl12tm1.1(KOMP)Vlcg/Cxcl12+ (more )
Structure Level Pattern Image Note
TS28: brown fat Present UC Davis_1885177

Specimen UC Davis_1885178: postnatal adult; Cxcl12tm1.1(KOMP)Vlcg/Cxcl12+ (more )
Structure Level Pattern Image Note
TS28: brown fat Present UC Davis_1885178

Specimen UC Davis_1885179: postnatal adult; Cxcl12tm1.1(KOMP)Vlcg/Cxcl12+ (more )
Structure Level Pattern Image Note
TS28: olfactory lobe Present UC Davis_1885179

Specimen UC Davis_1885183: postnatal adult; Cxcl12tm1.1(KOMP)Vlcg/Cxcl12+ (more )
Structure Level Pattern Image Note
TS28: midbrain Present UC Davis_1885183

Specimen UC Davis_1885185: postnatal adult; Cxcl12tm1.1(KOMP)Vlcg/Cxcl12+ (more )
Structure Level Pattern Image Note
TS28: cerebellum Present UC Davis_1885185

Specimen UC Davis_1885186: postnatal adult; Cxcl12tm1.1(KOMP)Vlcg/Cxcl12+ (more )
Structure Level Pattern Image Note
TS28: trigeminal nerve Present UC Davis_1885186

Specimen UC Davis_1885187: postnatal adult; Cxcl12tm1.1(KOMP)Vlcg/Cxcl12+ (more )
Structure Level Pattern Image Note
TS28: trigeminal nerve Present UC Davis_1885187

Specimen UC Davis_1885188: postnatal adult; Cxcl12tm1.1(KOMP)Vlcg/Cxcl12+ (more )
Structure Level Pattern Image Note
TS28: bladder Present UC Davis_1885188

Specimen UC Davis_1885189: postnatal adult; Cxcl12tm1.1(KOMP)Vlcg/Cxcl12+ (more )
Structure Level Pattern Image Note
TS28: testis Present UC Davis_1885189

Specimen UC Davis_1885190: postnatal adult; Cxcl12tm1.1(KOMP)Vlcg/Cxcl12+ (more )
Structure Level Pattern Image Note
TS28: testis Present UC Davis_1885190

Specimen UC Davis_1885191: postnatal adult; Cxcl12tm1.1(KOMP)Vlcg/Cxcl12+ (more )
Structure Level Pattern Image Note
TS28: testis Present UC Davis_1885191

Specimen UC Davis_1885192: postnatal adult; Cxcl12tm1.1(KOMP)Vlcg/Cxcl12+ (more )
Structure Level Pattern Image Note
TS28: epididymis Present UC Davis_1885192

Specimen UC Davis_1885193: postnatal adult; Cxcl12tm1.1(KOMP)Vlcg/Cxcl12+ (more )
Structure Level Pattern Image Note
TS28: epididymis Present UC Davis_1885193

Specimen UC Davis_1885194: postnatal adult; Cxcl12tm1.1(KOMP)Vlcg/Cxcl12+ (more )
Structure Level Pattern Image Note
TS28: prostate gland Present UC Davis_1885194

Specimen UC Davis_1885195: postnatal adult; Cxcl12tm1.1(KOMP)Vlcg/Cxcl12+ (more )
Structure Level Pattern Image Note
TS28: penis Present UC Davis_1885195

Specimen UC Davis_1885196: postnatal adult; Cxcl12tm1.1(KOMP)Vlcg/Cxcl12+ (more )
Structure Level Pattern Image Note
TS28: bone marrow Present UC Davis_1885196

Specimen UC Davis_1885197: postnatal adult; Cxcl12tm1.1(KOMP)Vlcg/Cxcl12+ (more )
Structure Level Pattern Image Note
TS28: bone marrow Present UC Davis_1885197

Specimen UC Davis_1885198: postnatal adult; Cxcl12tm1.1(KOMP)Vlcg/Cxcl12+ (more )
Structure Level Pattern Image Note
TS28: ductus deferens Present UC Davis_1885198 vas deferens

Specimen UC Davis_1885199: postnatal adult; Cxcl12tm1.1(KOMP)Vlcg/Cxcl12+ (more )
Structure Level Pattern Image Note
TS28: ductus deferens Present UC Davis_1885199 vas deferens

Specimen UC Davis_1885201: postnatal adult; Cxcl12tm1.1(KOMP)Vlcg/Cxcl12+ (more )
Structure Level Pattern Image Note
TS28: seminal vesicle Present UC Davis_1885201 vesicular gland

Specimen UC Davis_1885202: postnatal adult; Cxcl12tm1.1(KOMP)Vlcg/Cxcl12+ (more )
Structure Level Pattern Image Note
TS28: seminal vesicle Present UC Davis_1885202 vesicular gland

Specimen UC Davis_1885203: postnatal adult; Cxcl12tm1.1(KOMP)Vlcg/Cxcl12+ (more )
Structure Level Pattern Image Note
TS28: seminal vesicle Present UC Davis_1885203 vesicular gland


Contributing Projects:
Mouse Genome Database (MGD), Gene Expression Database (GXD), Mouse Models of Human Cancer database (MMHCdb) (formerly Mouse Tumor Biology (MTB)), Gene Ontology (GO)
Citing These Resources
Funding Information
Warranty Disclaimer, Privacy Notice, Licensing, & Copyright
Send questions and comments to User Support.
last database update
01/20/2026
MGI 6.24
The Jackson Laboratory