About   Help   FAQ
Gene Expression Data
Assay Details
Assay
Reference: J:228563 Koscielny G, et al., The International Mouse Phenotyping Consortium Web Portal, a unified point of access for knockout mice and related phenotyping data. Nucleic Acids Res. 2014 Jan;42(Database issue):D802-9
Assay type: In situ reporter (knock in)
MGI Accession ID: MGI:6690953
Gene symbol: Ube2a
Gene name: ubiquitin-conjugating enzyme E2A
Reporter: lacZ
Direct Detection
Results
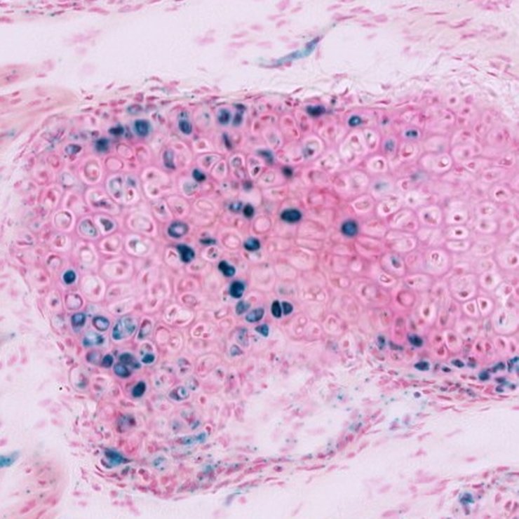
Specimen JAX_1263449: embryonic day 12.5; Ube2atm1.1(KOMP)Vlcg/Ube2a+ (more )
Structure Level Pattern Image Note
TS20: embryo Present JAX_1263449

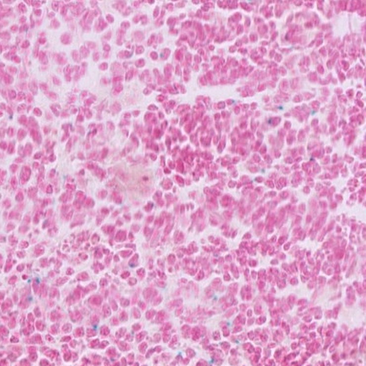
Specimen JAX_1263451: embryonic day 12.5; Ube2atm1.1(KOMP)Vlcg/Ube2a+ (more )
Structure Level Pattern Image Note
TS20: embryo Present JAX_1263451

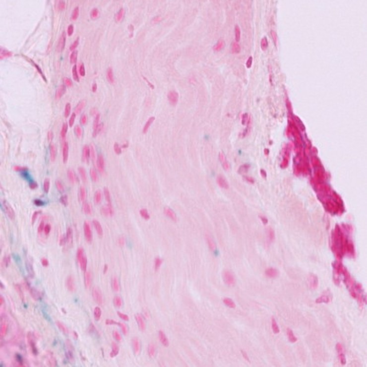
Specimen JAX_1263453: embryonic day 12.5; Ube2atm1.1(KOMP)Vlcg/Ube2a+ (more )
Structure Level Pattern Image Note
TS20: embryo Present JAX_1263453

Specimen JAX_1263455: embryonic day 12.5; Ube2atm1.1(KOMP)Vlcg/Ube2a+ (more )
Structure Level Pattern Image Note
TS20: embryo Present JAX_1263455

Specimen JAX_1263457: embryonic day 12.5; Ube2atm1.1(KOMP)Vlcg/Ube2a+ (more )
Structure Level Pattern Image Note
TS20: embryo Present JAX_1263457

Specimen JAX_1263459: embryonic day 12.5; Ube2atm1.1(KOMP)Vlcg/Ube2a+ (more )
Structure Level Pattern Image Note
TS20: embryo Present JAX_1263459

Specimen JAX_1263461: embryonic day 12.5; Ube2atm1.1(KOMP)Vlcg/Ube2a+ (more )
Structure Level Pattern Image Note
TS20: embryo Present JAX_1263461

Specimen JAX_1263463: embryonic day 12.5; Ube2atm1.1(KOMP)Vlcg/Ube2a+ (more )
Structure Level Pattern Image Note
TS20: embryo Present JAX_1263463

Specimen JAX_1330147: postnatal adult; Ube2atm1.1(KOMP)Vlcg/Ube2a+ (more )
Structure Level Pattern Image Note
TS28: thalamus Present JAX_1330147

Specimen JAX_1330148: postnatal adult; Ube2atm1.1(KOMP)Vlcg/Ube2a+ (more )
Structure Level Pattern Image Note
TS28: midbrain Present JAX_1330148

Specimen JAX_1330149: postnatal adult; Ube2atm1.1(KOMP)Vlcg/Ube2a+ (more )
Structure Level Pattern Image Note
TS28: submandibular gland Present JAX_1330149

Specimen JAX_1330150: postnatal adult; Ube2atm1.1(KOMP)Vlcg/Ube2a+ (more )
Structure Level Pattern Image Note
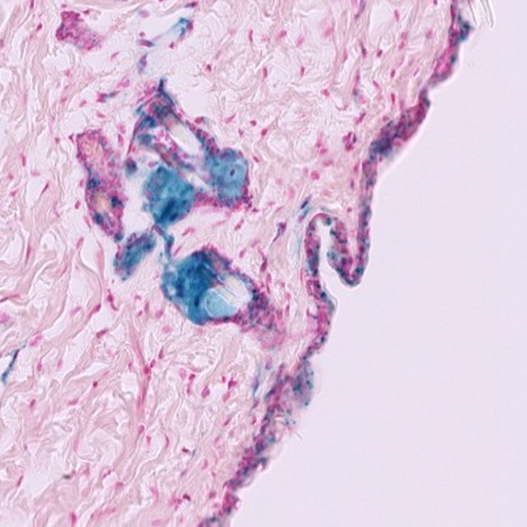
TS28: brown fat Present JAX_1330150

Specimen JAX_1330151: postnatal adult; Ube2atm1.1(KOMP)Vlcg/Ube2a+ (more )
Structure Level Pattern Image Note
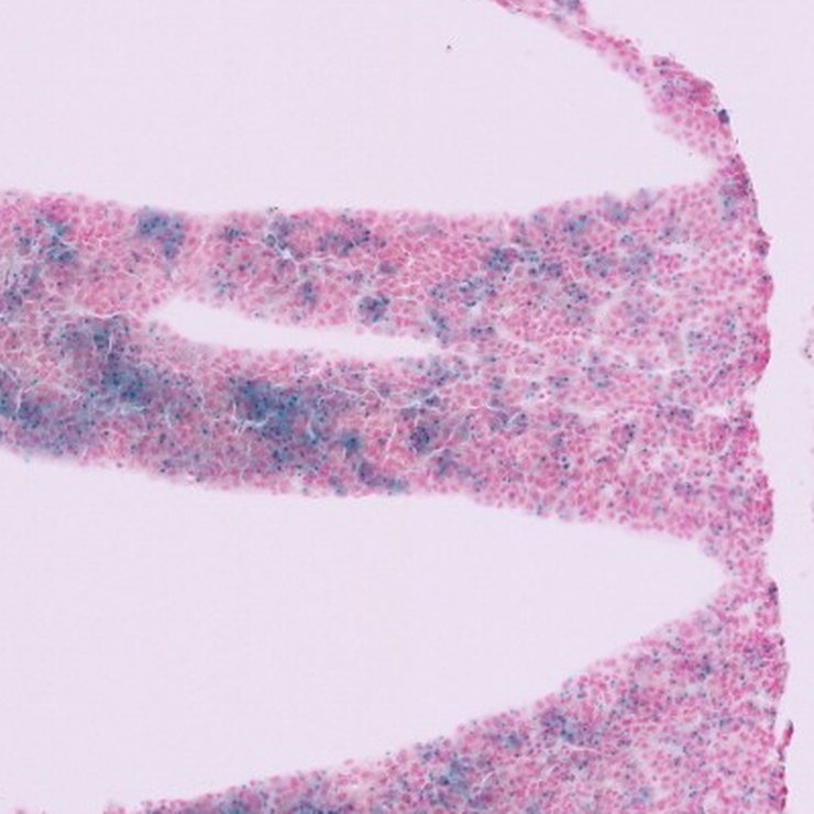
TS28: bone marrow Present JAX_1330151

Specimen JAX_1330152: postnatal adult; Ube2atm1.1(KOMP)Vlcg/Ube2a+ (more )
Structure Level Pattern Image Note
TS28: corpus striatum Present JAX_1330152

Specimen JAX_1330153: postnatal adult; Ube2atm1.1(KOMP)Vlcg/Ube2a+ (more )
Structure Level Pattern Image Note
TS28: hypothalamus Present JAX_1330153

Specimen JAX_1330154: postnatal adult; Ube2atm1.1(KOMP)Vlcg/Ube2a+ (more )
Structure Level Pattern Image Note
TS28: hippocampus Present JAX_1330154

Specimen JAX_1330155: postnatal adult; Ube2atm1.1(KOMP)Vlcg/Ube2a+ (more )
Structure Level Pattern Image Note
TS28: cerebellum Present JAX_1330155

Specimen JAX_1330156: postnatal adult; Ube2atm1.1(KOMP)Vlcg/Ube2a+ (more )
Structure Level Pattern Image Note
TS28: cerebral cortex Present JAX_1330156

Specimen JAX_1330157: postnatal adult; Ube2atm1.1(KOMP)Vlcg/Ube2a+ (more )
Structure Level Pattern Image Note
TS28: brainstem Present JAX_1330157

Specimen JAX_1330158: postnatal adult; Ube2atm1.1(KOMP)Vlcg/Ube2a+ (more )
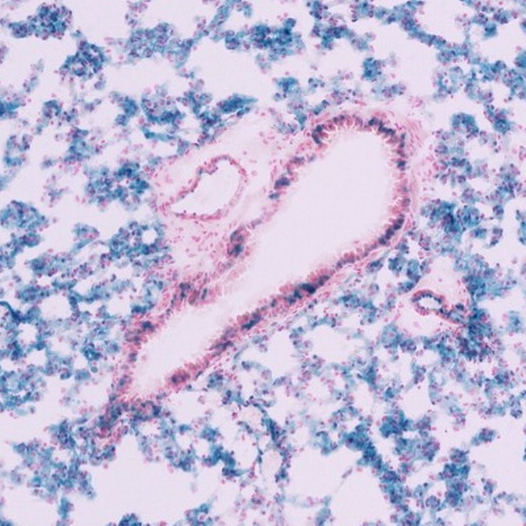
Structure Level Pattern Image Note
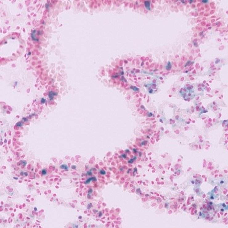
TS28: lung Present JAX_1330158

Specimen JAX_1330159: postnatal adult; Ube2atm1.1(KOMP)Vlcg/Ube2a+ (more )
Structure Level Pattern Image Note
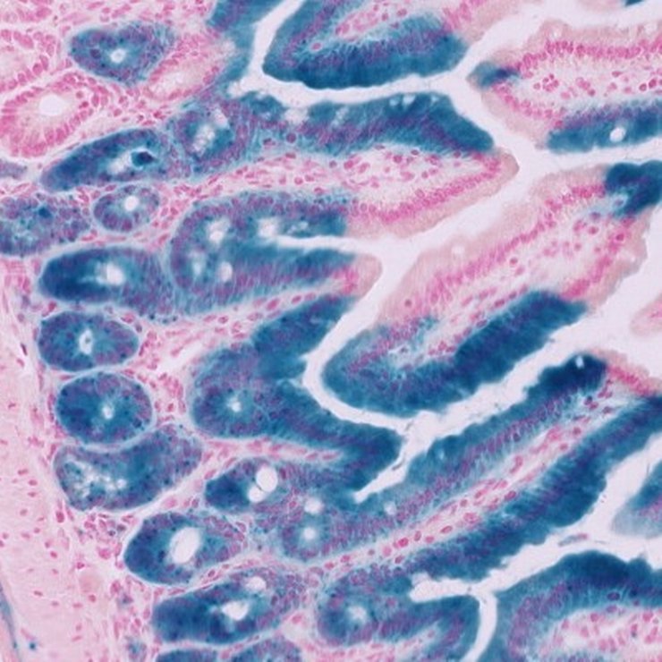
TS28: small intestine Present JAX_1330159

Specimen JAX_1330160: postnatal adult; Ube2atm1.1(KOMP)Vlcg/Ube2a+ (more )
Structure Level Pattern Image Note
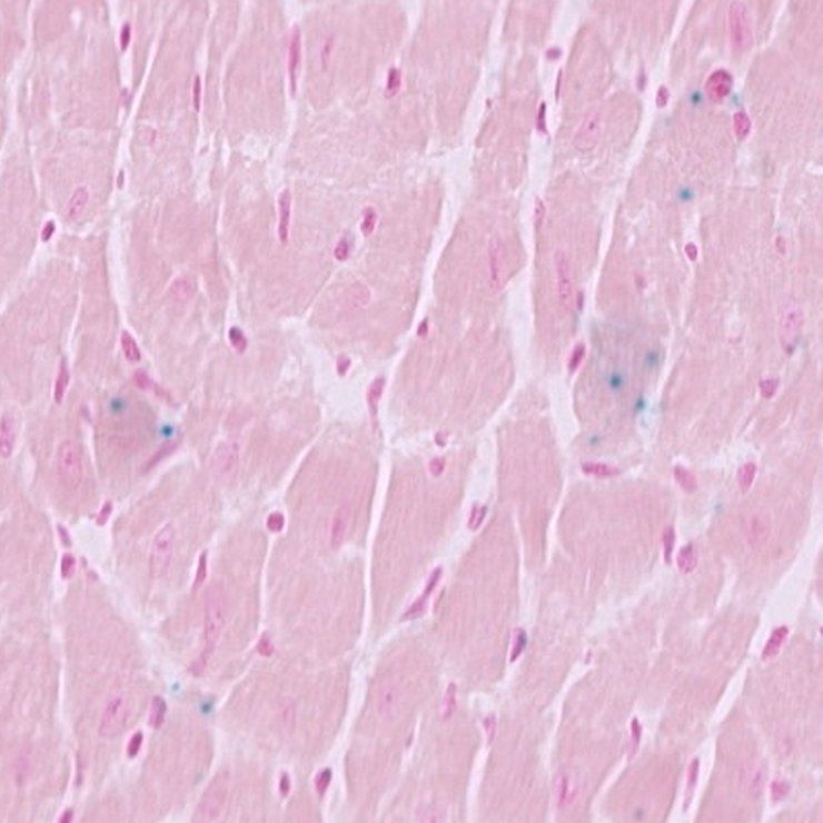
TS28: skeletal muscle tissue Ambiguous JAX_1330160

Specimen JAX_1330161: postnatal adult; Ube2atm1.1(KOMP)Vlcg/Ube2a+ (more )
Structure Level Pattern Image Note
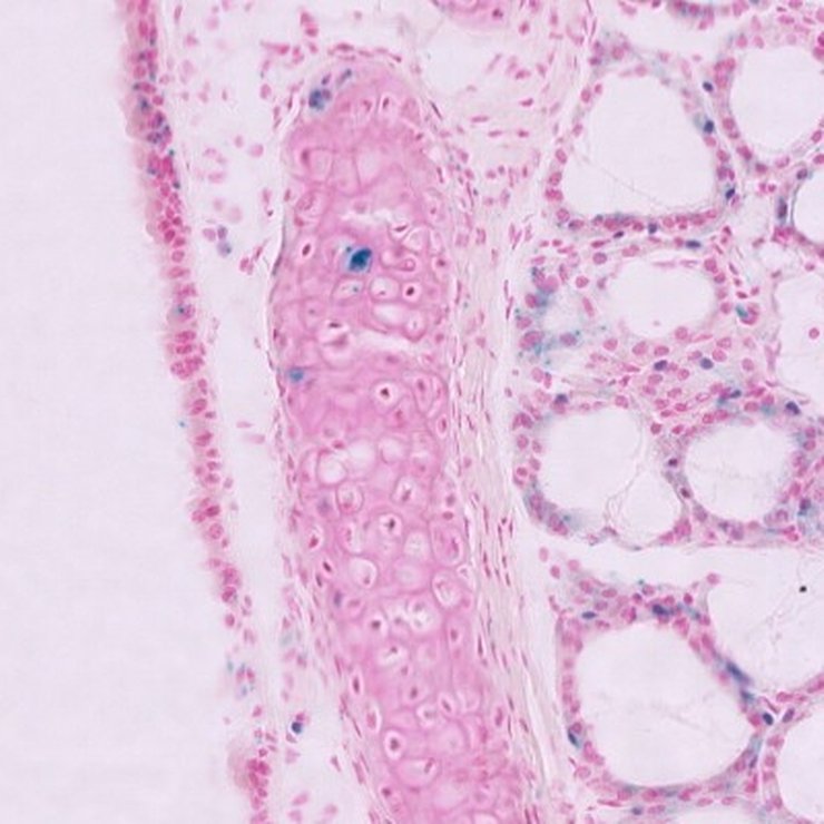
TS28: thyroid gland Present JAX_1330161

Specimen JAX_1330162: postnatal adult; Ube2atm1.1(KOMP)Vlcg/Ube2a+ (more )
Structure Level Pattern Image Note
TS28: esophagus Present JAX_1330162

Specimen JAX_1330163: postnatal adult; Ube2atm1.1(KOMP)Vlcg/Ube2a+ (more )
Structure Level Pattern Image Note
TS28: uterus Present JAX_1330163

Specimen JAX_1330164: postnatal adult; Ube2atm1.1(KOMP)Vlcg/Ube2a+ (more )
Structure Level Pattern Image Note
TS28: trachea Present JAX_1330164

Specimen JAX_1330165: postnatal adult; Ube2atm1.1(KOMP)Vlcg/Ube2a+ (more )
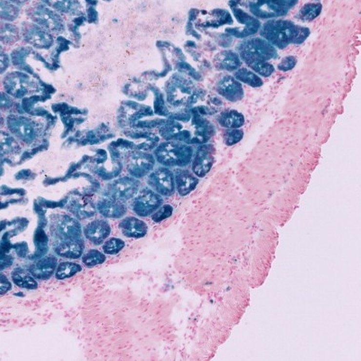
Structure Level Pattern Image Note
TS28: stomach Present JAX_1330165

Specimen JAX_1330166: postnatal adult; Ube2atm1.1(KOMP)Vlcg/Ube2a+ (more )
Structure Level Pattern Image Note
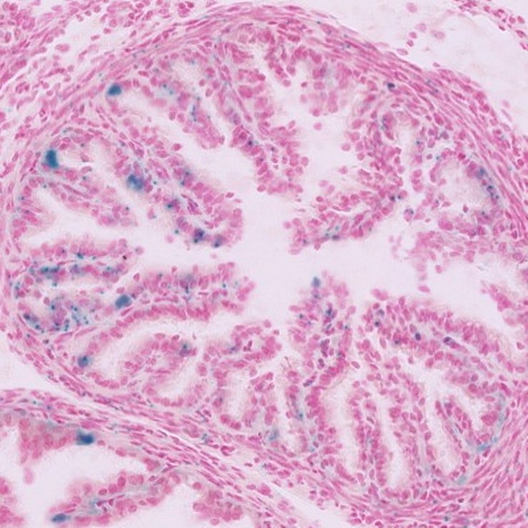
TS28: oviduct Present JAX_1330166

Specimen JAX_1330167: postnatal adult; Ube2atm1.1(KOMP)Vlcg/Ube2a+ (more )
Structure Level Pattern Image Note
TS28: ovary Present JAX_1330167

Specimen JAX_1330168: postnatal adult; Ube2atm1.1(KOMP)Vlcg/Ube2a+ (more )
Structure Level Pattern Image Note
TS28: mammary gland Present JAX_1330168

Specimen JAX_1330169: postnatal adult; Ube2atm1.1(KOMP)Vlcg/Ube2a+ (more )
Structure Level Pattern Image Note
TS28: eye Present JAX_1330169

Specimen JAX_1330170: postnatal adult; Ube2atm1.1(KOMP)Vlcg/Ube2a+ (more )
Structure Level Pattern Image Note
TS28: brain Present JAX_1330170

Specimen JAX_1330121: postnatal adult; Ube2atm1.1(KOMP)Vlcg/Y (more )
Structure Level Pattern Image Note
TS28: vascular system Present JAX_1330121

Specimen JAX_1330122: postnatal adult; Ube2atm1.1(KOMP)Vlcg/Y (more )
Structure Level Pattern Image Note
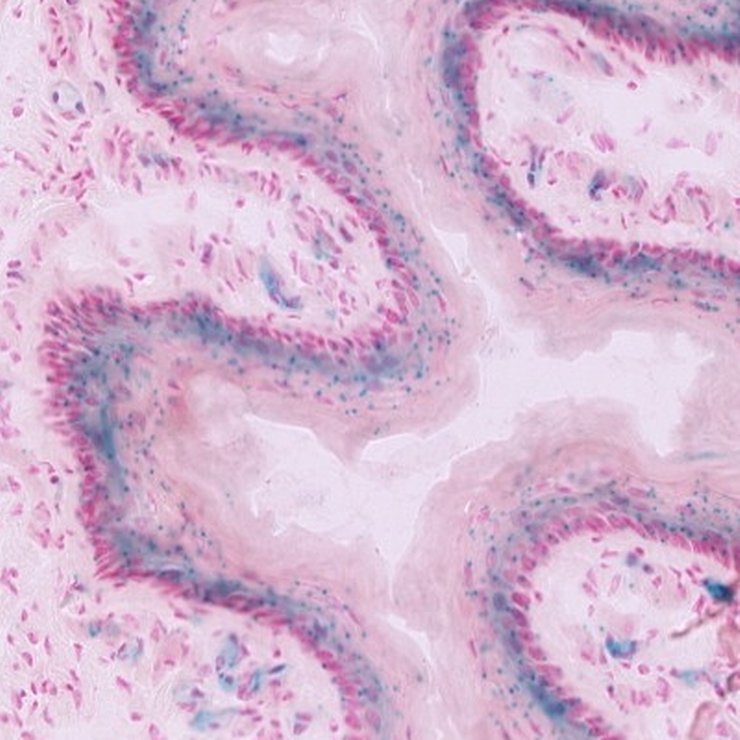
TS28: epididymis Present JAX_1330122

Specimen JAX_1330123: postnatal adult; Ube2atm1.1(KOMP)Vlcg/Y (more )
Structure Level Pattern Image Note
TS28: bladder Present JAX_1330123

Specimen JAX_1330124: postnatal adult; Ube2atm1.1(KOMP)Vlcg/Y (more )
Structure Level Pattern Image Note
TS28: Peyer's patch Present JAX_1330124

Specimen JAX_1330125: postnatal adult; Ube2atm1.1(KOMP)Vlcg/Y (more )
Structure Level Pattern Image Note
TS28: peripheral nervous system Present JAX_1330125

Specimen JAX_1330126: postnatal adult; Ube2atm1.1(KOMP)Vlcg/Y (more )
Structure Level Pattern Image Note
TS28: olfactory lobe Present JAX_1330126

Specimen JAX_1330127: postnatal adult; Ube2atm1.1(KOMP)Vlcg/Y (more )
Structure Level Pattern Image Note
TS28: cartilage Present JAX_1330127

Specimen JAX_1330128: postnatal adult; Ube2atm1.1(KOMP)Vlcg/Y (more )
Structure Level Pattern Image Note
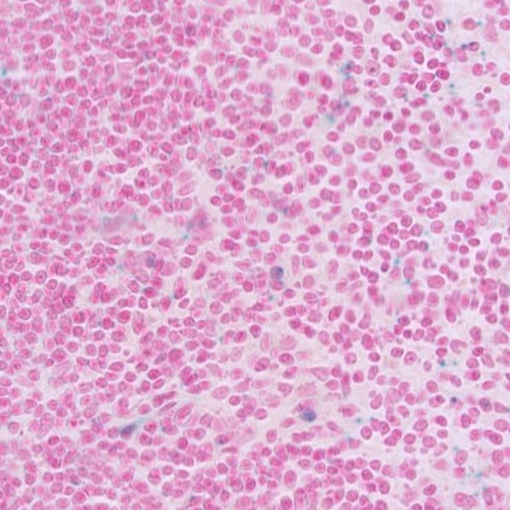
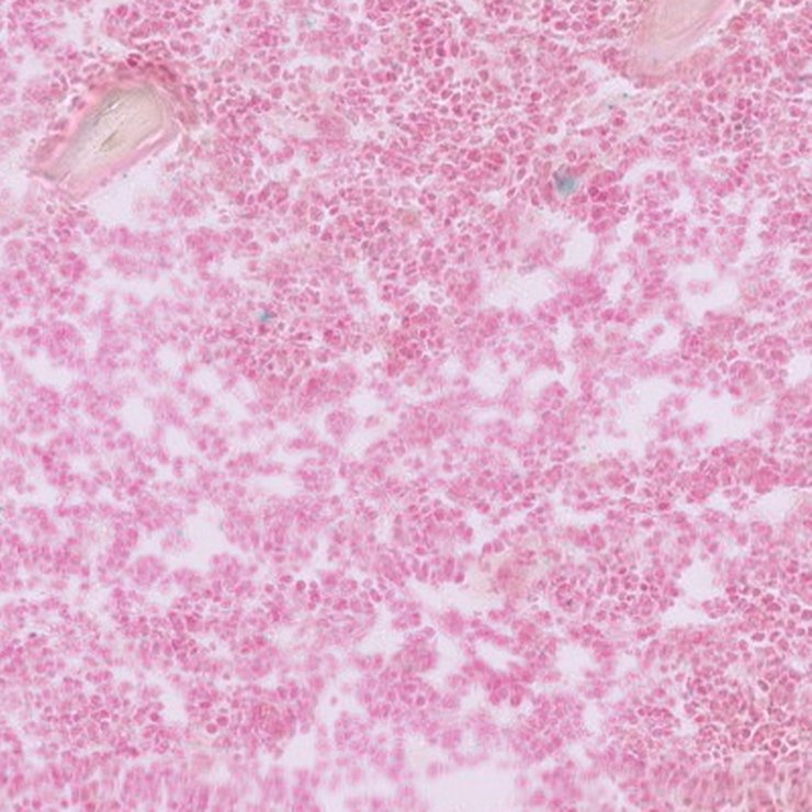
TS28: spleen Present JAX_1330128

Specimen JAX_1330129: postnatal adult; Ube2atm1.1(KOMP)Vlcg/Y (more )
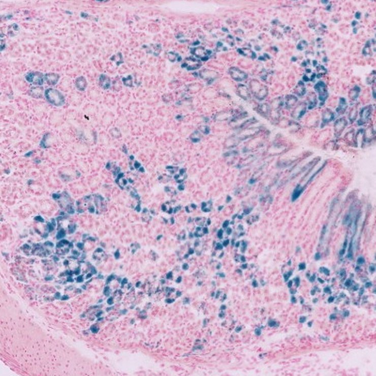
Structure Level Pattern Image Note
TS28: pancreas Present JAX_1330129

Specimen JAX_1330130: postnatal adult; Ube2atm1.1(KOMP)Vlcg/Y (more )
Structure Level Pattern Image Note
TS28: aorta Present JAX_1330130

Specimen JAX_1330131: postnatal adult; Ube2atm1.1(KOMP)Vlcg/Y (more )
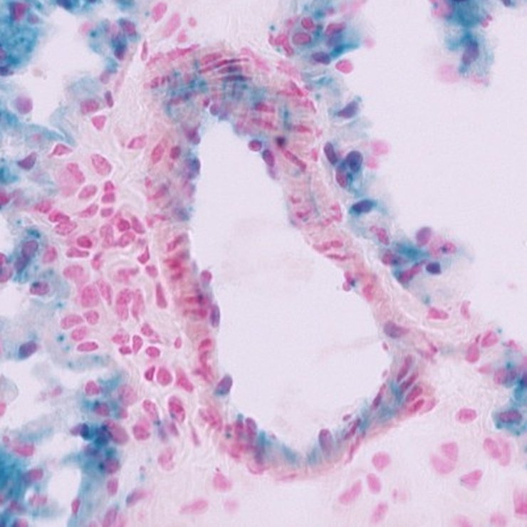
Structure Level Pattern Image Note
TS28: lung Present JAX_1330131

Specimen JAX_1330132: postnatal adult; Ube2atm1.1(KOMP)Vlcg/Y (more )
Structure Level Pattern Image Note
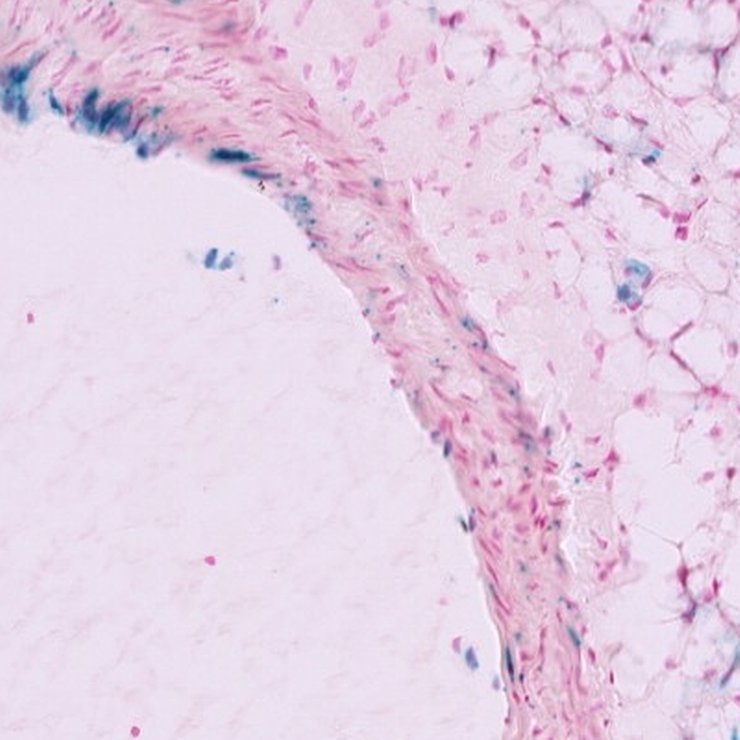
TS28: white fat Present JAX_1330132

Specimen JAX_1330133: postnatal adult; Ube2atm1.1(KOMP)Vlcg/Y (more )
Structure Level Pattern Image Note
TS28: pituitary gland Present JAX_1330133

Specimen JAX_1330134: postnatal adult; Ube2atm1.1(KOMP)Vlcg/Y (more )
Structure Level Pattern Image Note
TS28: spinal cord Present JAX_1330134

Specimen JAX_1330135: postnatal adult; Ube2atm1.1(KOMP)Vlcg/Y (more )
Structure Level Pattern Image Note
TS28: esophagus Present JAX_1330135

Specimen JAX_1330136: postnatal adult; Ube2atm1.1(KOMP)Vlcg/Y (more )
Structure Level Pattern Image Note
TS28: large intestine Present JAX_1330136

Specimen JAX_1330137: postnatal adult; Ube2atm1.1(KOMP)Vlcg/Y (more )
Structure Level Pattern Image Note
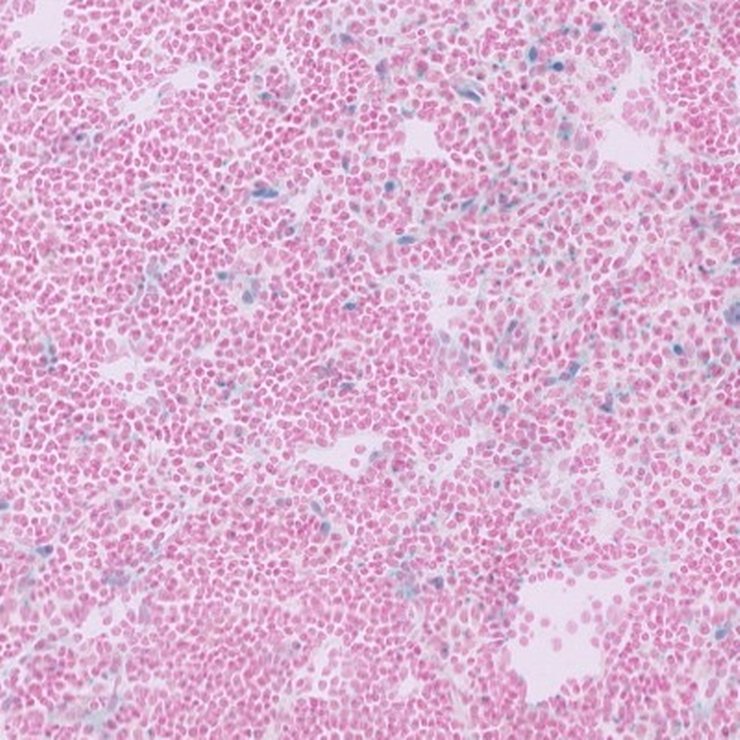
TS28: thymus Present JAX_1330137

Specimen JAX_1330138: postnatal adult; Ube2atm1.1(KOMP)Vlcg/Y (more )
Structure Level Pattern Image Note
TS28: testis Present JAX_1330138

Specimen JAX_1330139: postnatal adult; Ube2atm1.1(KOMP)Vlcg/Y (more )
Structure Level Pattern Image Note
TS28: skin Present JAX_1330139

Specimen JAX_1330140: postnatal adult; Ube2atm1.1(KOMP)Vlcg/Y (more )
Structure Level Pattern Image Note
TS28: lymph node Present JAX_1330140

Specimen JAX_1330141: postnatal adult; Ube2atm1.1(KOMP)Vlcg/Y (more )
Structure Level Pattern Image Note
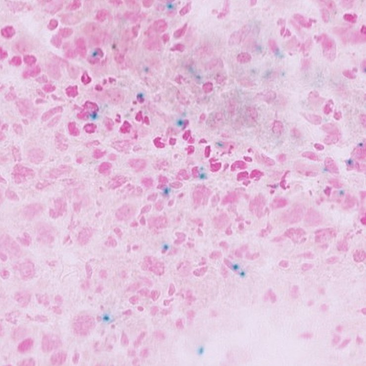
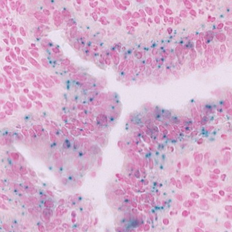
TS28: liver Present JAX_1330141

Specimen JAX_1330142: postnatal adult; Ube2atm1.1(KOMP)Vlcg/Y (more )
Structure Level Pattern Image Note
TS28: metanephros Present JAX_1330142 kidney

Specimen JAX_1330143: postnatal adult; Ube2atm1.1(KOMP)Vlcg/Y (more )
Structure Level Pattern Image Note
TS28: heart Present JAX_1330143

Specimen JAX_1330144: postnatal adult; Ube2atm1.1(KOMP)Vlcg/Y (more )
Structure Level Pattern Image Note
TS28: eye Present JAX_1330144

Specimen JAX_1330145: postnatal adult; Ube2atm1.1(KOMP)Vlcg/Y (more )
Structure Level Pattern Image Note
TS28: brain Present JAX_1330145

Specimen JAX_1330146: postnatal adult; Ube2atm1.1(KOMP)Vlcg/Y (more )
Structure Level Pattern Image Note
TS28: adrenal gland Present JAX_1330146


Contributing Projects:
Mouse Genome Database (MGD), Gene Expression Database (GXD), Mouse Models of Human Cancer database (MMHCdb) (formerly Mouse Tumor Biology (MTB)), Gene Ontology (GO)
Citing These Resources
Funding Information
Warranty Disclaimer, Privacy Notice, Licensing, & Copyright
Send questions and comments to User Support.
last database update
12/30/2025
MGI 6.24
The Jackson Laboratory