About   Help   FAQ
Gene Expression Data
Assay Details
Assay
Reference: J:228563 Koscielny G, et al., The International Mouse Phenotyping Consortium Web Portal, a unified point of access for knockout mice and related phenotyping data. Nucleic Acids Res. 2014 Jan;42(Database issue):D802-9
Assay type: In situ reporter (knock in)
MGI Accession ID: MGI:6690949
Gene symbol: Dgkq
Gene name: diacylglycerol kinase, theta
Reporter: lacZ
Direct Detection
Results
Specimen UC Davis_1868272: postnatal adult; Dgkqtm1b(KOMP)Wtsi/Dgkq+ (more )
Structure Level Pattern Image Note
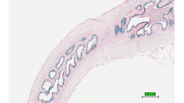
TS28: esophagus Present UC Davis_1868272

Specimen UC Davis_1868273: postnatal adult; Dgkqtm1b(KOMP)Wtsi/Dgkq+ (more )
Structure Level Pattern Image Note
TS28: esophagus Present UC Davis_1868273

Specimen UC Davis_1868274: postnatal adult; Dgkqtm1b(KOMP)Wtsi/Dgkq+ (more )
Structure Level Pattern Image Note
TS28: stomach Present UC Davis_1868274

Specimen UC Davis_1868275: postnatal adult; Dgkqtm1b(KOMP)Wtsi/Dgkq+ (more )
Structure Level Pattern Image Note
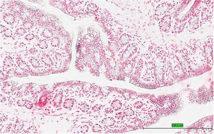
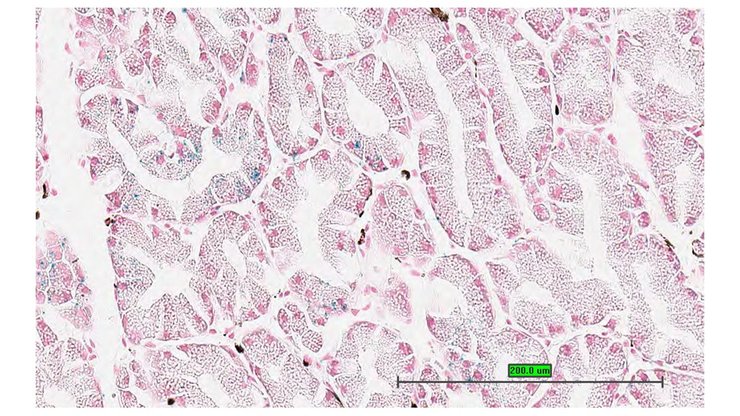
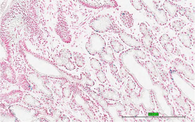
TS28: duodenum Present UC Davis_1868275

Specimen UC Davis_1868276: postnatal adult; Dgkqtm1b(KOMP)Wtsi/Dgkq+ (more )
Structure Level Pattern Image Note
TS28: duodenum Present UC Davis_1868276

Specimen UC Davis_1868277: postnatal adult; Dgkqtm1b(KOMP)Wtsi/Dgkq+ (more )
Structure Level Pattern Image Note
TS28: ileum Present UC Davis_1868277

Specimen UC Davis_1868278: postnatal adult; Dgkqtm1b(KOMP)Wtsi/Dgkq+ (more )
Structure Level Pattern Image Note
TS28: colon Present UC Davis_1868278

Specimen UC Davis_1868279: postnatal adult; Dgkqtm1b(KOMP)Wtsi/Dgkq+ (more )
Structure Level Pattern Image Note
TS28: colon Present UC Davis_1868279

Specimen UC Davis_1868280: postnatal adult; Dgkqtm1b(KOMP)Wtsi/Dgkq+ (more )
Structure Level Pattern Image Note
TS28: colon Present UC Davis_1868280

Specimen UC Davis_1868281: postnatal adult; Dgkqtm1b(KOMP)Wtsi/Dgkq+ (more )
Structure Level Pattern Image Note
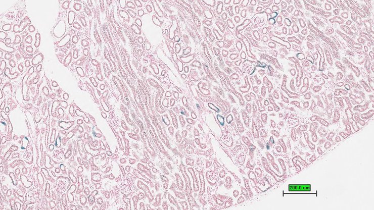
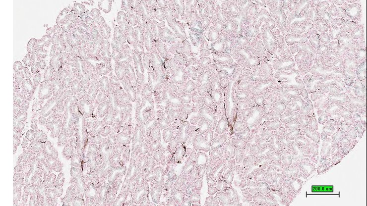
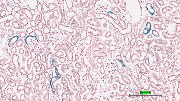
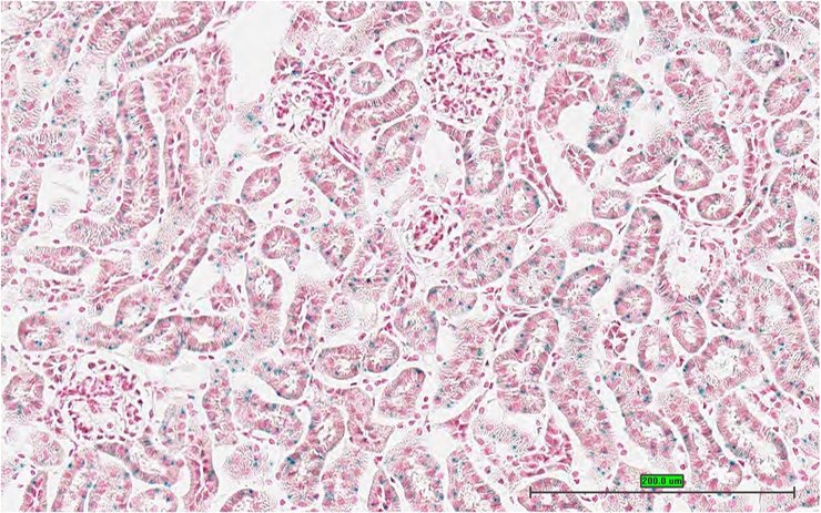
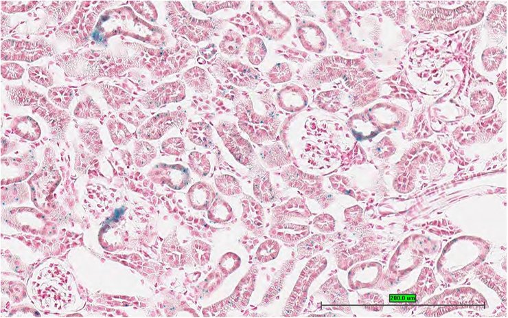
TS28: metanephros Present UC Davis_1868281 kidney

Specimen UC Davis_1868282: postnatal adult; Dgkqtm1b(KOMP)Wtsi/Dgkq+ (more )
Structure Level Pattern Image Note
TS28: metanephros Present UC Davis_1868282 kidney

Specimen UC Davis_1868283: postnatal adult; Dgkqtm1b(KOMP)Wtsi/Dgkq+ (more )
Structure Level Pattern Image Note
TS28: metanephros Present UC Davis_1868283 kidney

Specimen UC Davis_1868284: postnatal adult; Dgkqtm1b(KOMP)Wtsi/Dgkq+ (more )
Structure Level Pattern Image Note
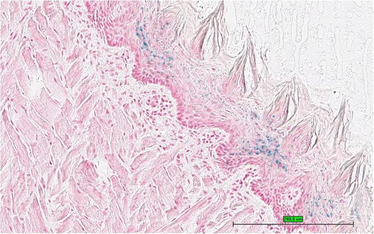
TS28: tongue Present UC Davis_1868284

Specimen UC Davis_1868285: postnatal adult; Dgkqtm1b(KOMP)Wtsi/Dgkq+ (more )
Structure Level Pattern Image Note
TS28: tongue Present UC Davis_1868285

Specimen UC Davis_1868286: postnatal adult; Dgkqtm1b(KOMP)Wtsi/Dgkq+ (more )
Structure Level Pattern Image Note
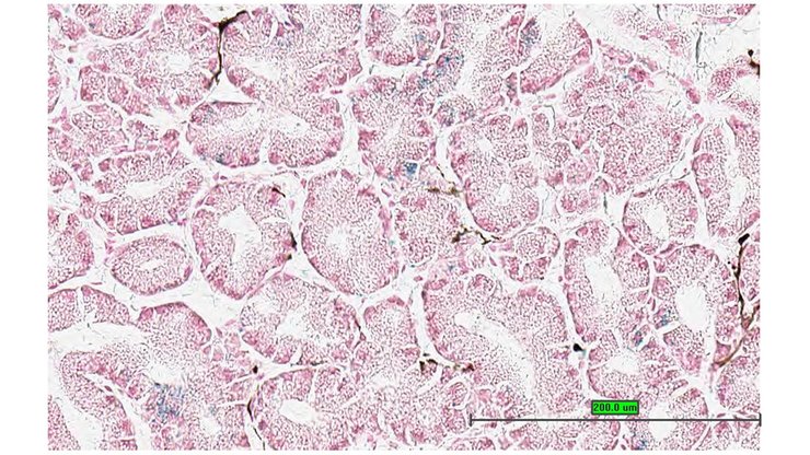
TS28: Harderian gland Present UC Davis_1868286

Specimen UC Davis_1868287: postnatal adult; Dgkqtm1b(KOMP)Wtsi/Dgkq+ (more )
Structure Level Pattern Image Note
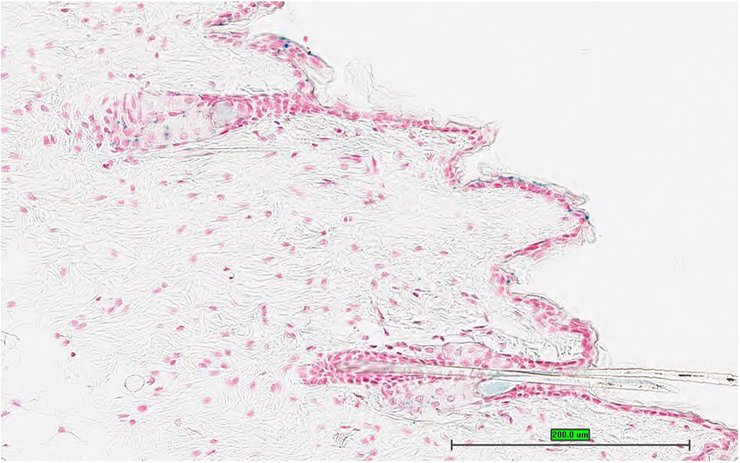
TS28: skin Present UC Davis_1868287

Specimen UC Davis_1868288: postnatal adult; Dgkqtm1b(KOMP)Wtsi/Dgkq+ (more )
Structure Level Pattern Image Note
TS28: skin Present UC Davis_1868288

Specimen UC Davis_1868291: postnatal adult; Dgkqtm1b(KOMP)Wtsi/Dgkq+ (more )
Structure Level Pattern Image Note
TS28: midbrain Present UC Davis_1868291

Specimen UC Davis_1868293: postnatal adult; Dgkqtm1b(KOMP)Wtsi/Dgkq+ (more )
Structure Level Pattern Image Note
TS28: cerebellum Present UC Davis_1868293

Specimen UC Davis_1868294: postnatal adult; Dgkqtm1b(KOMP)Wtsi/Dgkq+ (more )
Structure Level Pattern Image Note
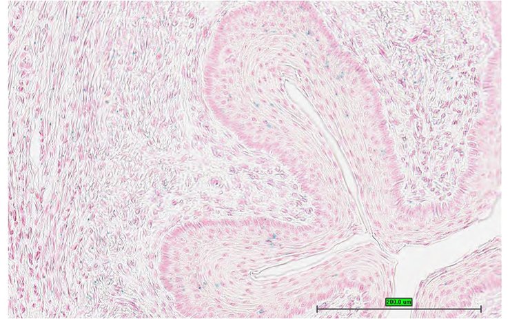
TS28: vagina Present UC Davis_1868294

Specimen UC Davis_1868295: postnatal adult; Dgkqtm1b(KOMP)Wtsi/Dgkq+ (more )
Structure Level Pattern Image Note
TS28: vagina Present UC Davis_1868295

Specimen UC Davis_1868246: postnatal adult; Dgkqtm1b(KOMP)Wtsi/Dgkq+ (more )
Structure Level Pattern Image Note
TS28: esophagus Present UC Davis_1868246

Specimen UC Davis_1868247: postnatal adult; Dgkqtm1b(KOMP)Wtsi/Dgkq+ (more )
Structure Level Pattern Image Note
TS28: esophagus Present UC Davis_1868247

Specimen UC Davis_1868250: postnatal adult; Dgkqtm1b(KOMP)Wtsi/Dgkq+ (more )
Structure Level Pattern Image Note
TS28: stomach Present UC Davis_1868250

Specimen UC Davis_1868251: postnatal adult; Dgkqtm1b(KOMP)Wtsi/Dgkq+ (more )
Structure Level Pattern Image Note
TS28: duodenum Present UC Davis_1868251

Specimen UC Davis_1868252: postnatal adult; Dgkqtm1b(KOMP)Wtsi/Dgkq+ (more )
Structure Level Pattern Image Note
TS28: ileum Present UC Davis_1868252

Specimen UC Davis_1868253: postnatal adult; Dgkqtm1b(KOMP)Wtsi/Dgkq+ (more )
Structure Level Pattern Image Note
TS28: ileum Present UC Davis_1868253

Specimen UC Davis_1868254: postnatal adult; Dgkqtm1b(KOMP)Wtsi/Dgkq+ (more )
Structure Level Pattern Image Note
TS28: metanephros Present UC Davis_1868254 kidney

Specimen UC Davis_1868255: postnatal adult; Dgkqtm1b(KOMP)Wtsi/Dgkq+ (more )
Structure Level Pattern Image Note
TS28: metanephros Present UC Davis_1868255 kidney

Specimen UC Davis_1868256: postnatal adult; Dgkqtm1b(KOMP)Wtsi/Dgkq+ (more )
Structure Level Pattern Image Note
TS28: metanephros Present UC Davis_1868256 kidney

Specimen UC Davis_1868257: postnatal adult; Dgkqtm1b(KOMP)Wtsi/Dgkq+ (more )
Structure Level Pattern Image Note
TS28: metanephros Present UC Davis_1868257 kidney

Specimen UC Davis_1868258: postnatal adult; Dgkqtm1b(KOMP)Wtsi/Dgkq+ (more )
Structure Level Pattern Image Note
TS28: metanephros Present UC Davis_1868258 kidney

Specimen UC Davis_1868259: postnatal adult; Dgkqtm1b(KOMP)Wtsi/Dgkq+ (more )
Structure Level Pattern Image Note
TS28: Harderian gland Present UC Davis_1868259

Specimen UC Davis_1868260: postnatal adult; Dgkqtm1b(KOMP)Wtsi/Dgkq+ (more )
Structure Level Pattern Image Note
TS28: Harderian gland Present UC Davis_1868260

Specimen UC Davis_1868261: postnatal adult; Dgkqtm1b(KOMP)Wtsi/Dgkq+ (more )
Structure Level Pattern Image Note
TS28: Harderian gland Present UC Davis_1868261

Specimen UC Davis_1868262: postnatal adult; Dgkqtm1b(KOMP)Wtsi/Dgkq+ (more )
Structure Level Pattern Image Note
TS28: Harderian gland Present UC Davis_1868262

Specimen UC Davis_1868263: postnatal adult; Dgkqtm1b(KOMP)Wtsi/Dgkq+ (more )
Structure Level Pattern Image Note
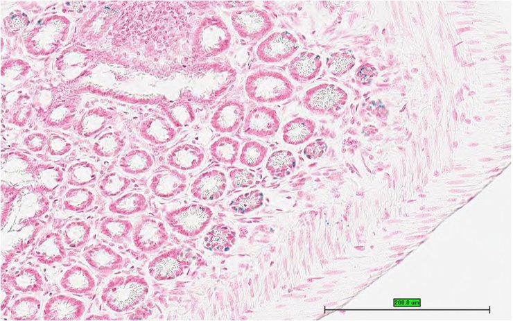
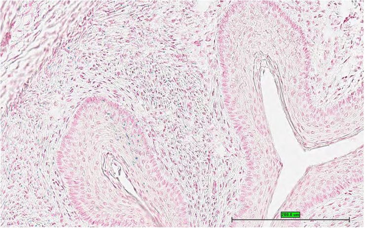
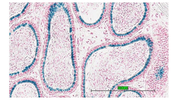
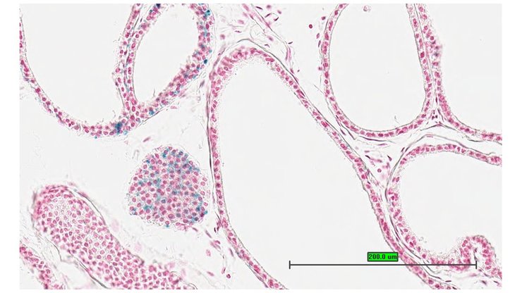
TS28: testis Present UC Davis_1868263

Specimen UC Davis_1868264: postnatal adult; Dgkqtm1b(KOMP)Wtsi/Dgkq+ (more )
Structure Level Pattern Image Note
TS28: epididymis Present UC Davis_1868264

Specimen UC Davis_1868265: postnatal adult; Dgkqtm1b(KOMP)Wtsi/Dgkq+ (more )
Structure Level Pattern Image Note
TS28: epididymis Present UC Davis_1868265

Specimen UC Davis_1868266: postnatal adult; Dgkqtm1b(KOMP)Wtsi/Dgkq+ (more )
Structure Level Pattern Image Note
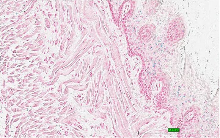
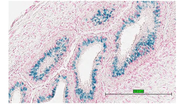
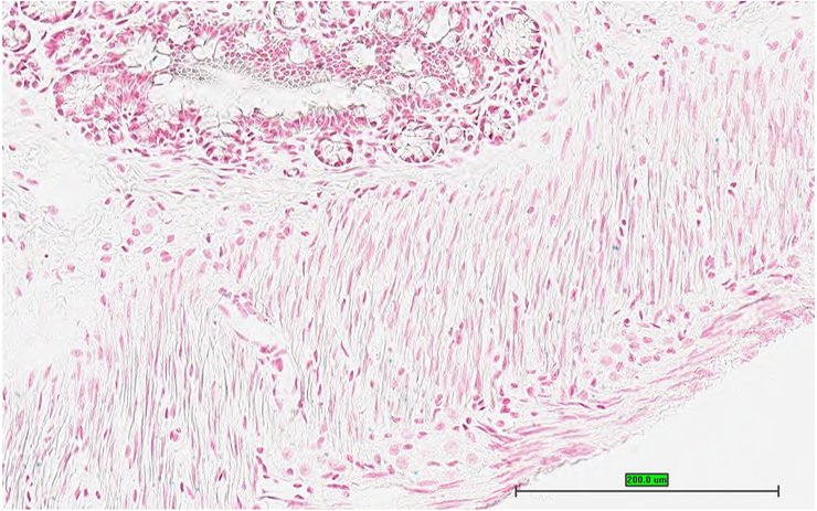
TS28: prostate gland Present UC Davis_1868266

Specimen UC Davis_1868267: postnatal adult; Dgkqtm1b(KOMP)Wtsi/Dgkq+ (more )
Structure Level Pattern Image Note
TS28: prostate gland Present UC Davis_1868267

Specimen UC Davis_1868268: postnatal adult; Dgkqtm1b(KOMP)Wtsi/Dgkq+ (more )
Structure Level Pattern Image Note
TS28: ductus deferens Present UC Davis_1868268 vas deferens

Specimen UC Davis_1868269: postnatal adult; Dgkqtm1b(KOMP)Wtsi/Dgkq+ (more )
Structure Level Pattern Image Note
TS28: ductus deferens Present UC Davis_1868269 vas deferens


Contributing Projects:
Mouse Genome Database (MGD), Gene Expression Database (GXD), Mouse Models of Human Cancer database (MMHCdb) (formerly Mouse Tumor Biology (MTB)), Gene Ontology (GO)
Citing These Resources
Funding Information
Warranty Disclaimer, Privacy Notice, Licensing, & Copyright
Send questions and comments to User Support.
last database update
01/28/2026
MGI 6.24
The Jackson Laboratory