About   Help   FAQ
Gene Expression Data
Assay Details
Assay
Reference: J:228563 Koscielny G, et al., The International Mouse Phenotyping Consortium Web Portal, a unified point of access for knockout mice and related phenotyping data. Nucleic Acids Res. 2014 Jan;42(Database issue):D802-9
Assay type: In situ reporter (knock in)
MGI Accession ID: MGI:6690935
Gene symbol: Cdc34
Gene name: cell division cycle 34
Reporter: lacZ
Direct Detection
Results
Specimen JAX_1124423: embryonic day 12.5; Cdc34tm1.1(KOMP)Mbp/Cdc34+ (more )
Structure Level Pattern Image Note
TS20: embryo Present JAX_1124423

Specimen JAX_1124425: embryonic day 12.5; Cdc34tm1.1(KOMP)Mbp/Cdc34+ (more )
Structure Level Pattern Image Note
TS20: embryo Present JAX_1124425

Specimen JAX_1124427: embryonic day 12.5; Cdc34tm1.1(KOMP)Mbp/Cdc34+ (more )
Structure Level Pattern Image Note
TS20: embryo Present JAX_1124427

Specimen JAX_1124429: embryonic day 12.5; Cdc34tm1.1(KOMP)Mbp/Cdc34+ (more )
Structure Level Pattern Image Note
TS20: embryo Present JAX_1124429

Specimen JAX_1124407: embryonic day 12.5; Cdc34tm1.1(KOMP)Mbp/Cdc34+ (more )
Structure Level Pattern Image Note
TS20: embryo Present JAX_1124407

Specimen JAX_1124409: embryonic day 12.5; Cdc34tm1.1(KOMP)Mbp/Cdc34+ (more )
Structure Level Pattern Image Note
TS20: embryo Present JAX_1124409

Specimen JAX_1124411: embryonic day 12.5; Cdc34tm1.1(KOMP)Mbp/Cdc34+ (more )
Structure Level Pattern Image Note
TS20: embryo Present JAX_1124411

Specimen JAX_1124413: embryonic day 12.5; Cdc34tm1.1(KOMP)Mbp/Cdc34+ (more )
Structure Level Pattern Image Note
TS20: embryo Present JAX_1124413

Specimen JAX_733179: postnatal adult; Cdc34tm1.1(KOMP)Mbp/Cdc34+ (more )
Structure Level Pattern Image Note
TS28: thalamus Present JAX_733179

Specimen JAX_733181: postnatal adult; Cdc34tm1.1(KOMP)Mbp/Cdc34+ (more )
Structure Level Pattern Image Note
TS28: midbrain Present JAX_733181

Specimen JAX_733183: postnatal adult; Cdc34tm1.1(KOMP)Mbp/Cdc34+ (more )
Structure Level Pattern Image Note
TS28: vascular system Present JAX_733183

Specimen JAX_733185: postnatal adult; Cdc34tm1.1(KOMP)Mbp/Cdc34+ (more )
Structure Level Pattern Image Note
TS28: brown fat Present JAX_733185

Specimen JAX_733187: postnatal adult; Cdc34tm1.1(KOMP)Mbp/Cdc34+ (more )
Structure Level Pattern Image Note
TS28: bone marrow Present JAX_733187

Specimen JAX_733189: postnatal adult; Cdc34tm1.1(KOMP)Mbp/Cdc34+ (more )
Structure Level Pattern Image Note
TS28: bladder Present JAX_733189

Specimen JAX_733191: postnatal adult; Cdc34tm1.1(KOMP)Mbp/Cdc34+ (more )
Structure Level Pattern Image Note
TS28: corpus striatum Present JAX_733191

Specimen JAX_733193: postnatal adult; Cdc34tm1.1(KOMP)Mbp/Cdc34+ (more )
Structure Level Pattern Image Note
TS28: Peyer's patch Present JAX_733193

Specimen JAX_733195: postnatal adult; Cdc34tm1.1(KOMP)Mbp/Cdc34+ (more )
Structure Level Pattern Image Note
TS28: olfactory lobe Present JAX_733195

Specimen JAX_733197: postnatal adult; Cdc34tm1.1(KOMP)Mbp/Cdc34+ (more )
Structure Level Pattern Image Note
TS28: hypothalamus Present JAX_733197

Specimen JAX_733199: postnatal adult; Cdc34tm1.1(KOMP)Mbp/Cdc34+ (more )
Structure Level Pattern Image Note
TS28: hippocampus Present JAX_733199

Specimen JAX_733201: postnatal adult; Cdc34tm1.1(KOMP)Mbp/Cdc34+ (more )
Structure Level Pattern Image Note
TS28: cerebellum Present JAX_733201

Specimen JAX_733203: postnatal adult; Cdc34tm1.1(KOMP)Mbp/Cdc34+ (more )
Structure Level Pattern Image Note
TS28: cerebral cortex Present JAX_733203

Specimen JAX_733205: postnatal adult; Cdc34tm1.1(KOMP)Mbp/Cdc34+ (more )
Structure Level Pattern Image Note
TS28: brainstem Present JAX_733205

Specimen JAX_733207: postnatal adult; Cdc34tm1.1(KOMP)Mbp/Cdc34+ (more )
Structure Level Pattern Image Note
TS28: spleen Present JAX_733207

Specimen JAX_733209: postnatal adult; Cdc34tm1.1(KOMP)Mbp/Cdc34+ (more )
Structure Level Pattern Image Note
TS28: pancreas Present JAX_733209

Specimen JAX_733211: postnatal adult; Cdc34tm1.1(KOMP)Mbp/Cdc34+ (more )
Structure Level Pattern Image Note
TS28: aorta Present JAX_733211

Specimen JAX_733213: postnatal adult; Cdc34tm1.1(KOMP)Mbp/Cdc34+ (more )
Structure Level Pattern Image Note
TS28: lung Present JAX_733213

Specimen JAX_733215: postnatal adult; Cdc34tm1.1(KOMP)Mbp/Cdc34+ (more )
Structure Level Pattern Image Note
TS28: white fat Present JAX_733215

Specimen JAX_733217: postnatal adult; Cdc34tm1.1(KOMP)Mbp/Cdc34+ (more )
Structure Level Pattern Image Note
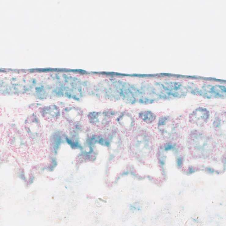
TS28: small intestine Present JAX_733217

Specimen JAX_733219: postnatal adult; Cdc34tm1.1(KOMP)Mbp/Cdc34+ (more )
Structure Level Pattern Image Note
TS28: skeletal muscle tissue Present JAX_733219

Specimen JAX_733221: postnatal adult; Cdc34tm1.1(KOMP)Mbp/Cdc34+ (more )
Structure Level Pattern Image Note
TS28: pituitary gland Present JAX_733221

Specimen JAX_733223: postnatal adult; Cdc34tm1.1(KOMP)Mbp/Cdc34+ (more )
Structure Level Pattern Image Note
TS28: spinal cord Present JAX_733223

Specimen JAX_733225: postnatal adult; Cdc34tm1.1(KOMP)Mbp/Cdc34+ (more )
Structure Level Pattern Image Note
TS28: esophagus Present JAX_733225

Specimen JAX_733227: postnatal adult; Cdc34tm1.1(KOMP)Mbp/Cdc34+ (more )
Structure Level Pattern Image Note
TS28: uterus Present JAX_733227

Specimen JAX_733229: postnatal adult; Cdc34tm1.1(KOMP)Mbp/Cdc34+ (more )
Structure Level Pattern Image Note
TS28: thymus Present JAX_733229

Specimen JAX_733231: postnatal adult; Cdc34tm1.1(KOMP)Mbp/Cdc34+ (more )
Structure Level Pattern Image Note
TS28: stomach Present JAX_733231

Specimen JAX_733233: postnatal adult; Cdc34tm1.1(KOMP)Mbp/Cdc34+ (more )
Structure Level Pattern Image Note
TS28: skin Present JAX_733233

Specimen JAX_733235: postnatal adult; Cdc34tm1.1(KOMP)Mbp/Cdc34+ (more )
Structure Level Pattern Image Note
TS28: oviduct Present JAX_733235

Specimen JAX_733237: postnatal adult; Cdc34tm1.1(KOMP)Mbp/Cdc34+ (more )
Structure Level Pattern Image Note
TS28: ovary Present JAX_733237

Specimen JAX_733239: postnatal adult; Cdc34tm1.1(KOMP)Mbp/Cdc34+ (more )
Structure Level Pattern Image Note
TS28: mammary gland Present JAX_733239

Specimen JAX_733241: postnatal adult; Cdc34tm1.1(KOMP)Mbp/Cdc34+ (more )
Structure Level Pattern Image Note
TS28: lymph node Present JAX_733241

Specimen JAX_733243: postnatal adult; Cdc34tm1.1(KOMP)Mbp/Cdc34+ (more )
Structure Level Pattern Image Note
TS28: liver Present JAX_733243

Specimen JAX_733245: postnatal adult; Cdc34tm1.1(KOMP)Mbp/Cdc34+ (more )
Structure Level Pattern Image Note
TS28: metanephros Present JAX_733245 kidney

Specimen JAX_733247: postnatal adult; Cdc34tm1.1(KOMP)Mbp/Cdc34+ (more )
Structure Level Pattern Image Note
TS28: heart Present JAX_733247

Specimen JAX_733249: postnatal adult; Cdc34tm1.1(KOMP)Mbp/Cdc34+ (more )
Structure Level Pattern Image Note
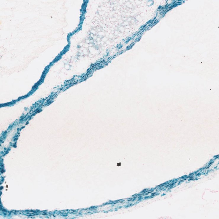
TS28: eye Present JAX_733249

Specimen JAX_733251: postnatal adult; Cdc34tm1.1(KOMP)Mbp/Cdc34+ (more )
Structure Level Pattern Image Note
TS28: brain Present JAX_733251

Specimen JAX_733253: postnatal adult; Cdc34tm1.1(KOMP)Mbp/Cdc34+ (more )
Structure Level Pattern Image Note
TS28: adrenal gland Present JAX_733253

Specimen JAX_733255: postnatal adult; Cdc34tm1.1(KOMP)Mbp/Cdc34+ (more )
Structure Level Pattern Image Note
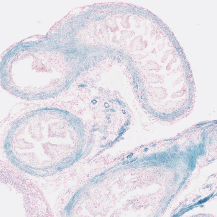
TS28: epididymis Present JAX_733255

Specimen JAX_733257: postnatal adult; Cdc34tm1.1(KOMP)Mbp/Cdc34+ (more )
Structure Level Pattern Image Note
TS28: submandibular gland Present JAX_733257

Specimen JAX_733259: postnatal adult; Cdc34tm1.1(KOMP)Mbp/Cdc34+ (more )
Structure Level Pattern Image Note
TS28: peripheral nervous system Present JAX_733259

Specimen JAX_733261: postnatal adult; Cdc34tm1.1(KOMP)Mbp/Cdc34+ (more )
Structure Level Pattern Image Note
TS28: cartilage Present JAX_733261

Specimen JAX_733263: postnatal adult; Cdc34tm1.1(KOMP)Mbp/Cdc34+ (more )
Structure Level Pattern Image Note
TS28: thyroid gland Present JAX_733263

Specimen JAX_733265: postnatal adult; Cdc34tm1.1(KOMP)Mbp/Cdc34+ (more )
Structure Level Pattern Image Note
TS28: large intestine Present JAX_733265

Specimen JAX_733267: postnatal adult; Cdc34tm1.1(KOMP)Mbp/Cdc34+ (more )
Structure Level Pattern Image Note
TS28: trachea Present JAX_733267

Specimen JAX_733269: postnatal adult; Cdc34tm1.1(KOMP)Mbp/Cdc34+ (more )
Structure Level Pattern Image Note
TS28: testis Present JAX_733269


Contributing Projects:
Mouse Genome Database (MGD), Gene Expression Database (GXD), Mouse Models of Human Cancer database (MMHCdb) (formerly Mouse Tumor Biology (MTB)), Gene Ontology (GO)
Citing These Resources
Funding Information
Warranty Disclaimer, Privacy Notice, Licensing, & Copyright
Send questions and comments to User Support.
last database update
03/24/2026
MGI 6.24
The Jackson Laboratory