About   Help   FAQ
Gene Expression Data
Assay Details
Assay
Reference: J:228563 Koscielny G, et al., The International Mouse Phenotyping Consortium Web Portal, a unified point of access for knockout mice and related phenotyping data. Nucleic Acids Res. 2014 Jan;42(Database issue):D802-9
Assay type: In situ reporter (knock in)
MGI Accession ID: MGI:6690931
Gene symbol: Cst3
Gene name: cystatin C
Reporter: lacZ
Direct Detection
Results
Specimen TCP_2460469: postnatal adult; Cst3tm1b(EUCOMM)Wtsi/Cst3+ (more )
Structure Level Pattern Image Note
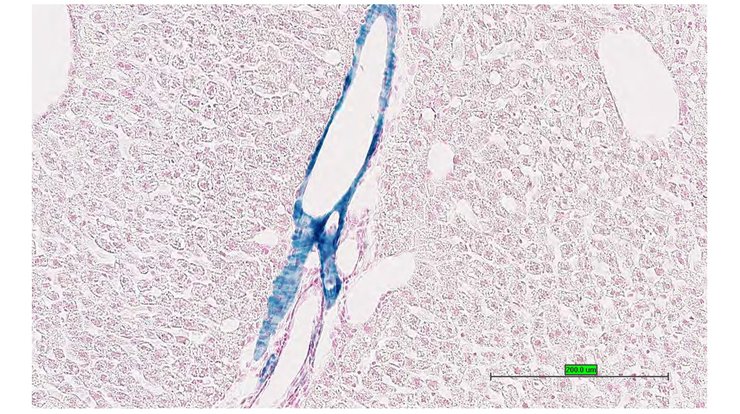
TS28: vascular system Present TCP_2460469

Specimen TCP_2460470: postnatal adult; Cst3tm1b(EUCOMM)Wtsi/Cst3+ (more )
Structure Level Pattern Image Note
TS28: heart Present TCP_2460470

Specimen TCP_2460471: postnatal adult; Cst3tm1b(EUCOMM)Wtsi/Cst3+ (more )
Structure Level Pattern Image Note
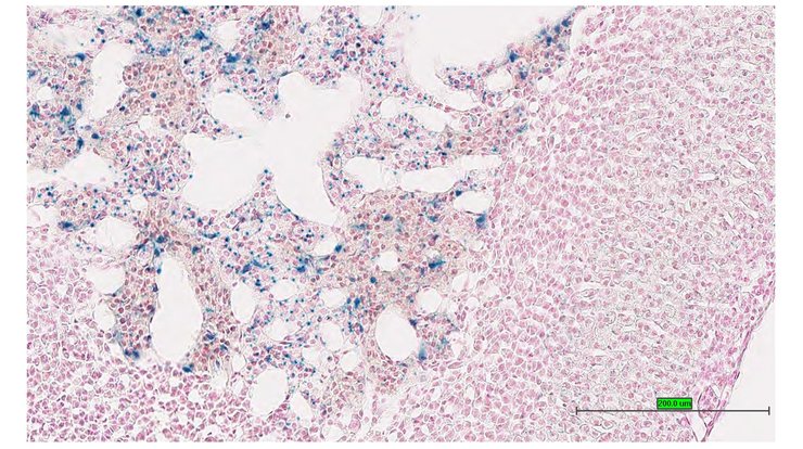
TS28: liver Present TCP_2460471

Specimen TCP_2460472: postnatal adult; Cst3tm1b(EUCOMM)Wtsi/Cst3+ (more )
Structure Level Pattern Image Note
TS28: lung Present TCP_2460472

Specimen TCP_2460473: postnatal adult; Cst3tm1b(EUCOMM)Wtsi/Cst3+ (more )
Structure Level Pattern Image Note
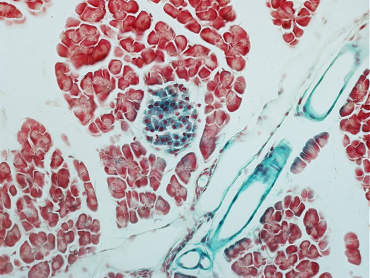
TS28: pancreas Present TCP_2460473

Specimen TCP_2460474: postnatal adult; Cst3tm1b(EUCOMM)Wtsi/Cst3+ (more )
Structure Level Pattern Image Note
TS28: skin Present TCP_2460474

Specimen UC Davis_1876994: postnatal adult; Cst3tm1b(EUCOMM)Wtsi/Cst3tm1b(EUCOMM)Wtsi (more )
Structure Level Pattern Image Note
TS28: submandibular gland Absent UC Davis_1876994

Specimen UC Davis_1876995: postnatal adult; Cst3tm1b(EUCOMM)Wtsi/Cst3tm1b(EUCOMM)Wtsi (more )
Structure Level Pattern Image Note
TS28: submandibular gland Absent UC Davis_1876995

Specimen UC Davis_1876996: postnatal adult; Cst3tm1b(EUCOMM)Wtsi/Cst3tm1b(EUCOMM)Wtsi (more )
Structure Level Pattern Image Note
TS28: sublingual gland Absent UC Davis_1876996

Specimen UC Davis_1876997: postnatal adult; Cst3tm1b(EUCOMM)Wtsi/Cst3tm1b(EUCOMM)Wtsi (more )
Structure Level Pattern Image Note
TS28: parotid gland Absent UC Davis_1876997

Specimen UC Davis_1876999: postnatal adult; Cst3tm1b(EUCOMM)Wtsi/Cst3tm1b(EUCOMM)Wtsi (more )
Structure Level Pattern Image Note
TS28: esophagus Absent UC Davis_1876999

Specimen UC Davis_1877000: postnatal adult; Cst3tm1b(EUCOMM)Wtsi/Cst3tm1b(EUCOMM)Wtsi (more )
Structure Level Pattern Image Note
TS28: esophagus Absent UC Davis_1877000

Specimen UC Davis_1877001: postnatal adult; Cst3tm1b(EUCOMM)Wtsi/Cst3tm1b(EUCOMM)Wtsi (more )
Structure Level Pattern Image Note
TS28: thyroid gland Absent UC Davis_1877001

Specimen UC Davis_1877002: postnatal adult; Cst3tm1b(EUCOMM)Wtsi/Cst3tm1b(EUCOMM)Wtsi (more )
Structure Level Pattern Image Note
TS28: parathyroid gland Absent UC Davis_1877002

Specimen UC Davis_1877003: postnatal adult; Cst3tm1b(EUCOMM)Wtsi/Cst3tm1b(EUCOMM)Wtsi (more )
Structure Level Pattern Image Note
TS28: aorta Absent UC Davis_1877003

Specimen UC Davis_1877004: postnatal adult; Cst3tm1b(EUCOMM)Wtsi/Cst3tm1b(EUCOMM)Wtsi (more )
Structure Level Pattern Image Note
TS28: lung Absent UC Davis_1877004

Specimen UC Davis_1877005: postnatal adult; Cst3tm1b(EUCOMM)Wtsi/Cst3tm1b(EUCOMM)Wtsi (more )
Structure Level Pattern Image Note
TS28: lung Absent UC Davis_1877005

Specimen UC Davis_1877006: postnatal adult; Cst3tm1b(EUCOMM)Wtsi/Cst3tm1b(EUCOMM)Wtsi (more )
Structure Level Pattern Image Note
TS28: thymus Absent UC Davis_1877006

Specimen UC Davis_1877007: postnatal adult; Cst3tm1b(EUCOMM)Wtsi/Cst3tm1b(EUCOMM)Wtsi (more )
Structure Level Pattern Image Note
TS28: thymus Absent UC Davis_1877007

Specimen UC Davis_1877011: postnatal adult; Cst3tm1b(EUCOMM)Wtsi/Cst3tm1b(EUCOMM)Wtsi (more )
Structure Level Pattern Image Note
TS28: mesenteric lymph node Absent UC Davis_1877011

Specimen UC Davis_1877012: postnatal adult; Cst3tm1b(EUCOMM)Wtsi/Cst3tm1b(EUCOMM)Wtsi (more )
Structure Level Pattern Image Note
TS28: mesenteric lymph node Absent UC Davis_1877012

Specimen UC Davis_1877013: postnatal adult; Cst3tm1b(EUCOMM)Wtsi/Cst3tm1b(EUCOMM)Wtsi (more )
Structure Level Pattern Image Note
TS28: stomach Absent UC Davis_1877013

Specimen UC Davis_1877014: postnatal adult; Cst3tm1b(EUCOMM)Wtsi/Cst3tm1b(EUCOMM)Wtsi (more )
Structure Level Pattern Image Note
TS28: stomach Absent UC Davis_1877014

Specimen UC Davis_1877015: postnatal adult; Cst3tm1b(EUCOMM)Wtsi/Cst3tm1b(EUCOMM)Wtsi (more )
Structure Level Pattern Image Note
TS28: stomach Absent UC Davis_1877015

Specimen UC Davis_1877016: postnatal adult; Cst3tm1b(EUCOMM)Wtsi/Cst3tm1b(EUCOMM)Wtsi (more )
Structure Level Pattern Image Note
TS28: jejunum Absent UC Davis_1877016

Specimen UC Davis_1877017: postnatal adult; Cst3tm1b(EUCOMM)Wtsi/Cst3tm1b(EUCOMM)Wtsi (more )
Structure Level Pattern Image Note
TS28: ileum Absent UC Davis_1877017

Specimen UC Davis_1877018: postnatal adult; Cst3tm1b(EUCOMM)Wtsi/Cst3tm1b(EUCOMM)Wtsi (more )
Structure Level Pattern Image Note
TS28: ileum Absent UC Davis_1877018

Specimen UC Davis_1877019: postnatal adult; Cst3tm1b(EUCOMM)Wtsi/Cst3tm1b(EUCOMM)Wtsi (more )
Structure Level Pattern Image Note
TS28: colon Absent UC Davis_1877019

Specimen UC Davis_1877020: postnatal adult; Cst3tm1b(EUCOMM)Wtsi/Cst3tm1b(EUCOMM)Wtsi (more )
Structure Level Pattern Image Note
TS28: colon Absent UC Davis_1877020

Specimen UC Davis_1877021: postnatal adult; Cst3tm1b(EUCOMM)Wtsi/Cst3tm1b(EUCOMM)Wtsi (more )
Structure Level Pattern Image Note
TS28: colon Absent UC Davis_1877021

Specimen UC Davis_1877022: postnatal adult; Cst3tm1b(EUCOMM)Wtsi/Cst3tm1b(EUCOMM)Wtsi (more )
Structure Level Pattern Image Note
TS28: colon Absent UC Davis_1877022

Specimen UC Davis_1877023: postnatal adult; Cst3tm1b(EUCOMM)Wtsi/Cst3tm1b(EUCOMM)Wtsi (more )
Structure Level Pattern Image Note
TS28: colon Absent UC Davis_1877023

Specimen UC Davis_1877024: postnatal adult; Cst3tm1b(EUCOMM)Wtsi/Cst3tm1b(EUCOMM)Wtsi (more )
Structure Level Pattern Image Note
TS28: colon Absent UC Davis_1877024

Specimen UC Davis_1877025: postnatal adult; Cst3tm1b(EUCOMM)Wtsi/Cst3tm1b(EUCOMM)Wtsi (more )
Structure Level Pattern Image Note
TS28: cecum Absent UC Davis_1877025

Specimen UC Davis_1877026: postnatal adult; Cst3tm1b(EUCOMM)Wtsi/Cst3tm1b(EUCOMM)Wtsi (more )
Structure Level Pattern Image Note
TS28: spleen Absent UC Davis_1877026

Specimen UC Davis_1877027: postnatal adult; Cst3tm1b(EUCOMM)Wtsi/Cst3tm1b(EUCOMM)Wtsi (more )
Structure Level Pattern Image Note
TS28: spleen Absent UC Davis_1877027

Specimen UC Davis_1877028: postnatal adult; Cst3tm1b(EUCOMM)Wtsi/Cst3tm1b(EUCOMM)Wtsi (more )
Structure Level Pattern Image Note
TS28: spleen Absent UC Davis_1877028

Specimen UC Davis_1877029: postnatal adult; Cst3tm1b(EUCOMM)Wtsi/Cst3tm1b(EUCOMM)Wtsi (more )
Structure Level Pattern Image Note
TS28: pancreas Absent UC Davis_1877029

Specimen UC Davis_1877030: postnatal adult; Cst3tm1b(EUCOMM)Wtsi/Cst3tm1b(EUCOMM)Wtsi (more )
Structure Level Pattern Image Note
TS28: pancreas Absent UC Davis_1877030

Specimen UC Davis_1877031: postnatal adult; Cst3tm1b(EUCOMM)Wtsi/Cst3tm1b(EUCOMM)Wtsi (more )
Structure Level Pattern Image Note
TS28: liver Absent UC Davis_1877031

Specimen UC Davis_1877032: postnatal adult; Cst3tm1b(EUCOMM)Wtsi/Cst3tm1b(EUCOMM)Wtsi (more )
Structure Level Pattern Image Note
TS28: liver Absent UC Davis_1877032

Specimen UC Davis_1877033: postnatal adult; Cst3tm1b(EUCOMM)Wtsi/Cst3tm1b(EUCOMM)Wtsi (more )
Structure Level Pattern Image Note
TS28: metanephros Absent UC Davis_1877033 kidney

Specimen UC Davis_1877034: postnatal adult; Cst3tm1b(EUCOMM)Wtsi/Cst3tm1b(EUCOMM)Wtsi (more )
Structure Level Pattern Image Note
TS28: metanephros Absent UC Davis_1877034 kidney

Specimen UC Davis_1877035: postnatal adult; Cst3tm1b(EUCOMM)Wtsi/Cst3tm1b(EUCOMM)Wtsi (more )
Structure Level Pattern Image Note
TS28: metanephros Absent UC Davis_1877035 kidney

Specimen UC Davis_1877036: postnatal adult; Cst3tm1b(EUCOMM)Wtsi/Cst3tm1b(EUCOMM)Wtsi (more )
Structure Level Pattern Image Note
TS28: metanephros Absent UC Davis_1877036 kidney

Specimen UC Davis_1877037: postnatal adult; Cst3tm1b(EUCOMM)Wtsi/Cst3tm1b(EUCOMM)Wtsi (more )
Structure Level Pattern Image Note
TS28: quadriceps femoris muscle Absent UC Davis_1877037

Specimen UC Davis_1877038: postnatal adult; Cst3tm1b(EUCOMM)Wtsi/Cst3tm1b(EUCOMM)Wtsi (more )
Structure Level Pattern Image Note
TS28: sciatic nerve Absent UC Davis_1877038

Specimen UC Davis_1877039: postnatal adult; Cst3tm1b(EUCOMM)Wtsi/Cst3tm1b(EUCOMM)Wtsi (more )
Structure Level Pattern Image Note
TS28: sciatic nerve Absent UC Davis_1877039

Specimen UC Davis_1877040: postnatal adult; Cst3tm1b(EUCOMM)Wtsi/Cst3tm1b(EUCOMM)Wtsi (more )
Structure Level Pattern Image Note
TS28: tongue Absent UC Davis_1877040

Specimen UC Davis_1877041: postnatal adult; Cst3tm1b(EUCOMM)Wtsi/Cst3tm1b(EUCOMM)Wtsi (more )
Structure Level Pattern Image Note
TS28: tongue Absent UC Davis_1877041

Specimen UC Davis_1877042: postnatal adult; Cst3tm1b(EUCOMM)Wtsi/Cst3tm1b(EUCOMM)Wtsi (more )
Structure Level Pattern Image Note
TS28: tongue Absent UC Davis_1877042

Specimen UC Davis_1877043: postnatal adult; Cst3tm1b(EUCOMM)Wtsi/Cst3tm1b(EUCOMM)Wtsi (more )
Structure Level Pattern Image Note
TS28: diaphragm Absent UC Davis_1877043

Specimen UC Davis_1877044: postnatal adult; Cst3tm1b(EUCOMM)Wtsi/Cst3tm1b(EUCOMM)Wtsi (more )
Structure Level Pattern Image Note
TS28: adrenal gland Absent UC Davis_1877044

Specimen UC Davis_1877045: postnatal adult; Cst3tm1b(EUCOMM)Wtsi/Cst3tm1b(EUCOMM)Wtsi (more )
Structure Level Pattern Image Note
TS28: adrenal gland Absent UC Davis_1877045

Specimen UC Davis_1877046: postnatal adult; Cst3tm1b(EUCOMM)Wtsi/Cst3tm1b(EUCOMM)Wtsi (more )
Structure Level Pattern Image Note
TS28: pituitary gland Absent UC Davis_1877046

Specimen UC Davis_1877047: postnatal adult; Cst3tm1b(EUCOMM)Wtsi/Cst3tm1b(EUCOMM)Wtsi (more )
Structure Level Pattern Image Note
TS28: spinal cord Absent UC Davis_1877047

Specimen UC Davis_1877048: postnatal adult; Cst3tm1b(EUCOMM)Wtsi/Cst3tm1b(EUCOMM)Wtsi (more )
Structure Level Pattern Image Note
TS28: spinal cord Absent UC Davis_1877048

Specimen UC Davis_1877049: postnatal adult; Cst3tm1b(EUCOMM)Wtsi/Cst3tm1b(EUCOMM)Wtsi (more )
Structure Level Pattern Image Note
TS28: eye Absent UC Davis_1877049

Specimen UC Davis_1877051: postnatal adult; Cst3tm1b(EUCOMM)Wtsi/Cst3tm1b(EUCOMM)Wtsi (more )
Structure Level Pattern Image Note
TS28: Harderian gland Absent UC Davis_1877051

Specimen UC Davis_1877052: postnatal adult; Cst3tm1b(EUCOMM)Wtsi/Cst3tm1b(EUCOMM)Wtsi (more )
Structure Level Pattern Image Note
TS28: gonadal fat pad Absent UC Davis_1877052

Specimen UC Davis_1877053: postnatal adult; Cst3tm1b(EUCOMM)Wtsi/Cst3tm1b(EUCOMM)Wtsi (more )
Structure Level Pattern Image Note
TS28: mesenteric adipose tissue Absent UC Davis_1877053

Specimen UC Davis_1877054: postnatal adult; Cst3tm1b(EUCOMM)Wtsi/Cst3tm1b(EUCOMM)Wtsi (more )
Structure Level Pattern Image Note
TS28: skin Absent UC Davis_1877054

Specimen UC Davis_1877055: postnatal adult; Cst3tm1b(EUCOMM)Wtsi/Cst3tm1b(EUCOMM)Wtsi (more )
Structure Level Pattern Image Note
TS28: skin Absent UC Davis_1877055

Specimen UC Davis_1877056: postnatal adult; Cst3tm1b(EUCOMM)Wtsi/Cst3tm1b(EUCOMM)Wtsi (more )
Structure Level Pattern Image Note
TS28: skin Absent UC Davis_1877056

Specimen UC Davis_1877057: postnatal adult; Cst3tm1b(EUCOMM)Wtsi/Cst3tm1b(EUCOMM)Wtsi (more )
Structure Level Pattern Image Note
TS28: skin Absent UC Davis_1877057

Specimen UC Davis_1877058: postnatal adult; Cst3tm1b(EUCOMM)Wtsi/Cst3tm1b(EUCOMM)Wtsi (more )
Structure Level Pattern Image Note
TS28: brown fat Absent UC Davis_1877058

Specimen UC Davis_1877059: postnatal adult; Cst3tm1b(EUCOMM)Wtsi/Cst3tm1b(EUCOMM)Wtsi (more )
Structure Level Pattern Image Note
TS28: brown fat Absent UC Davis_1877059

Specimen UC Davis_1877060: postnatal adult; Cst3tm1b(EUCOMM)Wtsi/Cst3tm1b(EUCOMM)Wtsi (more )
Structure Level Pattern Image Note
TS28: olfactory lobe Absent UC Davis_1877060

Specimen UC Davis_1877063: postnatal adult; Cst3tm1b(EUCOMM)Wtsi/Cst3tm1b(EUCOMM)Wtsi (more )
Structure Level Pattern Image Note
TS28: midbrain Absent UC Davis_1877063

Specimen UC Davis_1877065: postnatal adult; Cst3tm1b(EUCOMM)Wtsi/Cst3tm1b(EUCOMM)Wtsi (more )
Structure Level Pattern Image Note
TS28: cerebellum Absent UC Davis_1877065

Specimen UC Davis_1877066: postnatal adult; Cst3tm1b(EUCOMM)Wtsi/Cst3tm1b(EUCOMM)Wtsi (more )
Structure Level Pattern Image Note
TS28: trigeminal nerve Absent UC Davis_1877066

Specimen UC Davis_1877067: postnatal adult; Cst3tm1b(EUCOMM)Wtsi/Cst3tm1b(EUCOMM)Wtsi (more )
Structure Level Pattern Image Note
TS28: ovary Absent UC Davis_1877067

Specimen UC Davis_1877068: postnatal adult; Cst3tm1b(EUCOMM)Wtsi/Cst3tm1b(EUCOMM)Wtsi (more )
Structure Level Pattern Image Note
TS28: ovary Absent UC Davis_1877068

Specimen UC Davis_1877069: postnatal adult; Cst3tm1b(EUCOMM)Wtsi/Cst3tm1b(EUCOMM)Wtsi (more )
Structure Level Pattern Image Note
TS28: oviduct Absent UC Davis_1877069

Specimen UC Davis_1877070: postnatal adult; Cst3tm1b(EUCOMM)Wtsi/Cst3tm1b(EUCOMM)Wtsi (more )
Structure Level Pattern Image Note
TS28: oviduct Absent UC Davis_1877070

Specimen UC Davis_1877071: postnatal adult; Cst3tm1b(EUCOMM)Wtsi/Cst3tm1b(EUCOMM)Wtsi (more )
Structure Level Pattern Image Note
TS28: oviduct Absent UC Davis_1877071

Specimen UC Davis_1877072: postnatal adult; Cst3tm1b(EUCOMM)Wtsi/Cst3tm1b(EUCOMM)Wtsi (more )
Structure Level Pattern Image Note
TS28: uterus Absent UC Davis_1877072

Specimen UC Davis_1877073: postnatal adult; Cst3tm1b(EUCOMM)Wtsi/Cst3tm1b(EUCOMM)Wtsi (more )
Structure Level Pattern Image Note
TS28: uterus Absent UC Davis_1877073

Specimen UC Davis_1877074: postnatal adult; Cst3tm1b(EUCOMM)Wtsi/Cst3tm1b(EUCOMM)Wtsi (more )
Structure Level Pattern Image Note
TS28: vagina Absent UC Davis_1877074

Specimen UC Davis_1877075: postnatal adult; Cst3tm1b(EUCOMM)Wtsi/Cst3tm1b(EUCOMM)Wtsi (more )
Structure Level Pattern Image Note
TS28: vagina Absent UC Davis_1877075

Specimen UC Davis_1877076: postnatal adult; Cst3tm1b(EUCOMM)Wtsi/Cst3tm1b(EUCOMM)Wtsi (more )
Structure Level Pattern Image Note
TS28: bladder Absent UC Davis_1877076

Specimen UC Davis_1877077: postnatal adult; Cst3tm1b(EUCOMM)Wtsi/Cst3tm1b(EUCOMM)Wtsi (more )
Structure Level Pattern Image Note
TS28: bladder Absent UC Davis_1877077

Specimen UC Davis_1877078: postnatal adult; Cst3tm1b(EUCOMM)Wtsi/Cst3tm1b(EUCOMM)Wtsi (more )
Structure Level Pattern Image Note
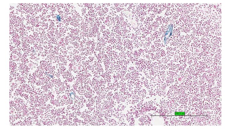
TS28: bone marrow Absent UC Davis_1877078

Specimen UC Davis_1877079: postnatal adult; Cst3tm1b(EUCOMM)Wtsi/Cst3tm1b(EUCOMM)Wtsi (more )
Structure Level Pattern Image Note
TS28: bone marrow Absent UC Davis_1877079

Specimen TCP_2460463: postnatal adult; Cst3tm1b(EUCOMM)Wtsi/Cst3+ (more )
Structure Level Pattern Image Note
TS28: vascular system Present TCP_2460463

Specimen TCP_2460465: postnatal adult; Cst3tm1b(EUCOMM)Wtsi/Cst3+ (more )
Structure Level Pattern Image Note
TS28: heart Present TCP_2460465

Specimen TCP_2460466: postnatal adult; Cst3tm1b(EUCOMM)Wtsi/Cst3+ (more )
Structure Level Pattern Image Note
TS28: lung Present TCP_2460466

Specimen TCP_2460467: postnatal adult; Cst3tm1b(EUCOMM)Wtsi/Cst3+ (more )
Structure Level Pattern Image Note
TS28: pancreas Present TCP_2460467

Specimen TCP_2460468: postnatal adult; Cst3tm1b(EUCOMM)Wtsi/Cst3+ (more )
Structure Level Pattern Image Note
TS28: skin Present TCP_2460468

Specimen UC Davis_1876926: postnatal adult; Cst3tm1b(EUCOMM)Wtsi/Cst3tm1b(EUCOMM)Wtsi (more )
Structure Level Pattern Image Note
TS28: submandibular gland Present UC Davis_1876926

Specimen UC Davis_1876927: postnatal adult; Cst3tm1b(EUCOMM)Wtsi/Cst3tm1b(EUCOMM)Wtsi (more )
Structure Level Pattern Image Note
TS28: sublingual gland Present UC Davis_1876927

Specimen UC Davis_1876931: postnatal adult; Cst3tm1b(EUCOMM)Wtsi/Cst3tm1b(EUCOMM)Wtsi (more )
Structure Level Pattern Image Note
TS28: lung Present UC Davis_1876931

Specimen UC Davis_1876932: postnatal adult; Cst3tm1b(EUCOMM)Wtsi/Cst3tm1b(EUCOMM)Wtsi (more )
Structure Level Pattern Image Note
TS28: lung Present UC Davis_1876932

Specimen UC Davis_1876933: postnatal adult; Cst3tm1b(EUCOMM)Wtsi/Cst3tm1b(EUCOMM)Wtsi (more )
Structure Level Pattern Image Note
TS28: thymus Present UC Davis_1876933

Specimen UC Davis_1876934: postnatal adult; Cst3tm1b(EUCOMM)Wtsi/Cst3tm1b(EUCOMM)Wtsi (more )
Structure Level Pattern Image Note
TS28: thymus Present UC Davis_1876934

Specimen UC Davis_1876935: postnatal adult; Cst3tm1b(EUCOMM)Wtsi/Cst3tm1b(EUCOMM)Wtsi (more )
Structure Level Pattern Image Note
TS28: thymus Present UC Davis_1876935

Specimen UC Davis_1876939: postnatal adult; Cst3tm1b(EUCOMM)Wtsi/Cst3tm1b(EUCOMM)Wtsi (more )
Structure Level Pattern Image Note
TS28: mesenteric lymph node Present UC Davis_1876939

Specimen UC Davis_1876940: postnatal adult; Cst3tm1b(EUCOMM)Wtsi/Cst3tm1b(EUCOMM)Wtsi (more )
Structure Level Pattern Image Note
TS28: mesenteric lymph node Present UC Davis_1876940

Specimen UC Davis_1876941: postnatal adult; Cst3tm1b(EUCOMM)Wtsi/Cst3tm1b(EUCOMM)Wtsi (more )
Structure Level Pattern Image Note
TS28: stomach Present UC Davis_1876941

Specimen UC Davis_1876942: postnatal adult; Cst3tm1b(EUCOMM)Wtsi/Cst3tm1b(EUCOMM)Wtsi (more )
Structure Level Pattern Image Note
TS28: stomach Present UC Davis_1876942

Specimen UC Davis_1876943: postnatal adult; Cst3tm1b(EUCOMM)Wtsi/Cst3tm1b(EUCOMM)Wtsi (more )
Structure Level Pattern Image Note
TS28: jejunum Present UC Davis_1876943

Specimen UC Davis_1876944: postnatal adult; Cst3tm1b(EUCOMM)Wtsi/Cst3tm1b(EUCOMM)Wtsi (more )
Structure Level Pattern Image Note
TS28: ileum Present UC Davis_1876944

Specimen UC Davis_1876945: postnatal adult; Cst3tm1b(EUCOMM)Wtsi/Cst3tm1b(EUCOMM)Wtsi (more )
Structure Level Pattern Image Note
TS28: colon Present UC Davis_1876945

Specimen UC Davis_1876946: postnatal adult; Cst3tm1b(EUCOMM)Wtsi/Cst3tm1b(EUCOMM)Wtsi (more )
Structure Level Pattern Image Note
TS28: colon Present UC Davis_1876946

Specimen UC Davis_1876947: postnatal adult; Cst3tm1b(EUCOMM)Wtsi/Cst3tm1b(EUCOMM)Wtsi (more )
Structure Level Pattern Image Note
TS28: cecum Present UC Davis_1876947

Specimen UC Davis_1876948: postnatal adult; Cst3tm1b(EUCOMM)Wtsi/Cst3tm1b(EUCOMM)Wtsi (more )
Structure Level Pattern Image Note
TS28: spleen Present UC Davis_1876948

Specimen UC Davis_1876949: postnatal adult; Cst3tm1b(EUCOMM)Wtsi/Cst3tm1b(EUCOMM)Wtsi (more )
Structure Level Pattern Image Note
TS28: spleen Present UC Davis_1876949

Specimen UC Davis_1876950: postnatal adult; Cst3tm1b(EUCOMM)Wtsi/Cst3tm1b(EUCOMM)Wtsi (more )
Structure Level Pattern Image Note
TS28: pancreas Present UC Davis_1876950

Specimen UC Davis_1876951: postnatal adult; Cst3tm1b(EUCOMM)Wtsi/Cst3tm1b(EUCOMM)Wtsi (more )
Structure Level Pattern Image Note
TS28: pancreas Present UC Davis_1876951

Specimen UC Davis_1876952: postnatal adult; Cst3tm1b(EUCOMM)Wtsi/Cst3tm1b(EUCOMM)Wtsi (more )
Structure Level Pattern Image Note
TS28: liver Present UC Davis_1876952

Specimen UC Davis_1876953: postnatal adult; Cst3tm1b(EUCOMM)Wtsi/Cst3tm1b(EUCOMM)Wtsi (more )
Structure Level Pattern Image Note
TS28: liver Present UC Davis_1876953

Specimen UC Davis_1876954: postnatal adult; Cst3tm1b(EUCOMM)Wtsi/Cst3tm1b(EUCOMM)Wtsi (more )
Structure Level Pattern Image Note
TS28: metanephros Present UC Davis_1876954 kidney

Specimen UC Davis_1876955: postnatal adult; Cst3tm1b(EUCOMM)Wtsi/Cst3tm1b(EUCOMM)Wtsi (more )
Structure Level Pattern Image Note
TS28: metanephros Present UC Davis_1876955 kidney

Specimen UC Davis_1876956: postnatal adult; Cst3tm1b(EUCOMM)Wtsi/Cst3tm1b(EUCOMM)Wtsi (more )
Structure Level Pattern Image Note
TS28: metanephros Present UC Davis_1876956 kidney

Specimen UC Davis_1876957: postnatal adult; Cst3tm1b(EUCOMM)Wtsi/Cst3tm1b(EUCOMM)Wtsi (more )
Structure Level Pattern Image Note
TS28: quadriceps femoris muscle Present UC Davis_1876957

Specimen UC Davis_1876958: postnatal adult; Cst3tm1b(EUCOMM)Wtsi/Cst3tm1b(EUCOMM)Wtsi (more )
Structure Level Pattern Image Note
TS28: quadriceps femoris muscle Present UC Davis_1876958

Specimen UC Davis_1876959: postnatal adult; Cst3tm1b(EUCOMM)Wtsi/Cst3tm1b(EUCOMM)Wtsi (more )
Structure Level Pattern Image Note
TS28: sciatic nerve Present UC Davis_1876959

Specimen UC Davis_1876960: postnatal adult; Cst3tm1b(EUCOMM)Wtsi/Cst3tm1b(EUCOMM)Wtsi (more )
Structure Level Pattern Image Note
TS28: tongue Present UC Davis_1876960

Specimen UC Davis_1876961: postnatal adult; Cst3tm1b(EUCOMM)Wtsi/Cst3tm1b(EUCOMM)Wtsi (more )
Structure Level Pattern Image Note
TS28: tongue Present UC Davis_1876961

Specimen UC Davis_1876962: postnatal adult; Cst3tm1b(EUCOMM)Wtsi/Cst3tm1b(EUCOMM)Wtsi (more )
Structure Level Pattern Image Note
TS28: diaphragm Present UC Davis_1876962

Specimen UC Davis_1876963: postnatal adult; Cst3tm1b(EUCOMM)Wtsi/Cst3tm1b(EUCOMM)Wtsi (more )
Structure Level Pattern Image Note
TS28: adrenal gland Present UC Davis_1876963

Specimen UC Davis_1876964: postnatal adult; Cst3tm1b(EUCOMM)Wtsi/Cst3tm1b(EUCOMM)Wtsi (more )
Structure Level Pattern Image Note
TS28: adrenal gland Present UC Davis_1876964

Specimen UC Davis_1876965: postnatal adult; Cst3tm1b(EUCOMM)Wtsi/Cst3tm1b(EUCOMM)Wtsi (more )
Structure Level Pattern Image Note
TS28: spinal cord Present UC Davis_1876965

Specimen UC Davis_1876966: postnatal adult; Cst3tm1b(EUCOMM)Wtsi/Cst3tm1b(EUCOMM)Wtsi (more )
Structure Level Pattern Image Note
TS28: eye Present UC Davis_1876966

Specimen UC Davis_1876967: postnatal adult; Cst3tm1b(EUCOMM)Wtsi/Cst3tm1b(EUCOMM)Wtsi (more )
Structure Level Pattern Image Note
TS28: eye Present UC Davis_1876967

Specimen UC Davis_1876968: postnatal adult; Cst3tm1b(EUCOMM)Wtsi/Cst3tm1b(EUCOMM)Wtsi (more )
Structure Level Pattern Image Note
TS28: Harderian gland Present UC Davis_1876968

Specimen UC Davis_1876969: postnatal adult; Cst3tm1b(EUCOMM)Wtsi/Cst3tm1b(EUCOMM)Wtsi (more )
Structure Level Pattern Image Note
TS28: gonadal fat pad Present UC Davis_1876969

Specimen UC Davis_1876970: postnatal adult; Cst3tm1b(EUCOMM)Wtsi/Cst3tm1b(EUCOMM)Wtsi (more )
Structure Level Pattern Image Note
TS28: gonadal fat pad Present UC Davis_1876970

Specimen UC Davis_1876971: postnatal adult; Cst3tm1b(EUCOMM)Wtsi/Cst3tm1b(EUCOMM)Wtsi (more )
Structure Level Pattern Image Note
TS28: mesenteric adipose tissue Present UC Davis_1876971

Specimen UC Davis_1876972: postnatal adult; Cst3tm1b(EUCOMM)Wtsi/Cst3tm1b(EUCOMM)Wtsi (more )
Structure Level Pattern Image Note
TS28: mesenteric adipose tissue Present UC Davis_1876972

Specimen UC Davis_1876973: postnatal adult; Cst3tm1b(EUCOMM)Wtsi/Cst3tm1b(EUCOMM)Wtsi (more )
Structure Level Pattern Image Note
TS28: skin Present UC Davis_1876973

Specimen UC Davis_1876974: postnatal adult; Cst3tm1b(EUCOMM)Wtsi/Cst3tm1b(EUCOMM)Wtsi (more )
Structure Level Pattern Image Note
TS28: skin Present UC Davis_1876974

Specimen UC Davis_1876975: postnatal adult; Cst3tm1b(EUCOMM)Wtsi/Cst3tm1b(EUCOMM)Wtsi (more )
Structure Level Pattern Image Note
TS28: brown fat Present UC Davis_1876975

Specimen UC Davis_1876976: postnatal adult; Cst3tm1b(EUCOMM)Wtsi/Cst3tm1b(EUCOMM)Wtsi (more )
Structure Level Pattern Image Note
TS28: brown fat Present UC Davis_1876976

Specimen UC Davis_1876977: postnatal adult; Cst3tm1b(EUCOMM)Wtsi/Cst3tm1b(EUCOMM)Wtsi (more )
Structure Level Pattern Image Note
TS28: olfactory lobe Present UC Davis_1876977

Specimen UC Davis_1876980: postnatal adult; Cst3tm1b(EUCOMM)Wtsi/Cst3tm1b(EUCOMM)Wtsi (more )
Structure Level Pattern Image Note
TS28: midbrain Present UC Davis_1876980

Specimen UC Davis_1876982: postnatal adult; Cst3tm1b(EUCOMM)Wtsi/Cst3tm1b(EUCOMM)Wtsi (more )
Structure Level Pattern Image Note
TS28: cerebellum Present UC Davis_1876982

Specimen UC Davis_1876983: postnatal adult; Cst3tm1b(EUCOMM)Wtsi/Cst3tm1b(EUCOMM)Wtsi (more )
Structure Level Pattern Image Note
TS28: bladder Present UC Davis_1876983

Specimen UC Davis_1876984: postnatal adult; Cst3tm1b(EUCOMM)Wtsi/Cst3tm1b(EUCOMM)Wtsi (more )
Structure Level Pattern Image Note
TS28: testis Present UC Davis_1876984

Specimen UC Davis_1876985: postnatal adult; Cst3tm1b(EUCOMM)Wtsi/Cst3tm1b(EUCOMM)Wtsi (more )
Structure Level Pattern Image Note
TS28: epididymis Present UC Davis_1876985

Specimen UC Davis_1876986: postnatal adult; Cst3tm1b(EUCOMM)Wtsi/Cst3tm1b(EUCOMM)Wtsi (more )
Structure Level Pattern Image Note
TS28: epididymis Present UC Davis_1876986

Specimen UC Davis_1876987: postnatal adult; Cst3tm1b(EUCOMM)Wtsi/Cst3tm1b(EUCOMM)Wtsi (more )
Structure Level Pattern Image Note
TS28: prostate gland Present UC Davis_1876987

Specimen UC Davis_1876988: postnatal adult; Cst3tm1b(EUCOMM)Wtsi/Cst3tm1b(EUCOMM)Wtsi (more )
Structure Level Pattern Image Note
TS28: penis Present UC Davis_1876988

Specimen UC Davis_1876989: postnatal adult; Cst3tm1b(EUCOMM)Wtsi/Cst3tm1b(EUCOMM)Wtsi (more )
Structure Level Pattern Image Note
TS28: bone marrow Present UC Davis_1876989

Specimen UC Davis_1876990: postnatal adult; Cst3tm1b(EUCOMM)Wtsi/Cst3tm1b(EUCOMM)Wtsi (more )
Structure Level Pattern Image Note
TS28: bone marrow Present UC Davis_1876990

Specimen UC Davis_1876992: postnatal adult; Cst3tm1b(EUCOMM)Wtsi/Cst3tm1b(EUCOMM)Wtsi (more )
Structure Level Pattern Image Note
TS28: seminal vesicle Present UC Davis_1876992 vesicular gland

Specimen UC Davis_1876993: postnatal adult; Cst3tm1b(EUCOMM)Wtsi/Cst3tm1b(EUCOMM)Wtsi (more )
Structure Level Pattern Image Note
TS28: seminal vesicle Present UC Davis_1876993 vesicular gland


Contributing Projects:
Mouse Genome Database (MGD), Gene Expression Database (GXD), Mouse Models of Human Cancer database (MMHCdb) (formerly Mouse Tumor Biology (MTB)), Gene Ontology (GO)
Citing These Resources
Funding Information
Warranty Disclaimer, Privacy Notice, Licensing, & Copyright
Send questions and comments to User Support.
last database update
03/24/2026
MGI 6.24
The Jackson Laboratory