About   Help   FAQ
Gene Expression Data
Assay Details
Assay
Reference: J:228563 Koscielny G, et al., The International Mouse Phenotyping Consortium Web Portal, a unified point of access for knockout mice and related phenotyping data. Nucleic Acids Res. 2014 Jan;42(Database issue):D802-9
Assay type: In situ reporter (knock in)
MGI Accession ID: MGI:6690929
Gene symbol: Tex2
Gene name: testis expressed gene 2
Reporter: lacZ
Direct Detection
Results
Specimen JAX_1314451: embryonic day 12.5; Tex2tm1.1(KOMP)Vlcg/Tex2+ (more )
Structure Level Pattern Image Note
TS20: embryo Present JAX_1314451

Specimen JAX_1314452: embryonic day 12.5; Tex2tm1.1(KOMP)Vlcg/Tex2+ (more )
Structure Level Pattern Image Note
TS20: embryo Present JAX_1314452

Specimen JAX_1314453: embryonic day 12.5; Tex2tm1.1(KOMP)Vlcg/Tex2+ (more )
Structure Level Pattern Image Note
TS20: embryo Present JAX_1314453

Specimen JAX_1314454: embryonic day 12.5; Tex2tm1.1(KOMP)Vlcg/Tex2+ (more )
Structure Level Pattern Image Note
TS20: embryo Present JAX_1314454

Specimen JAX_1314455: embryonic day 12.5; Tex2tm1.1(KOMP)Vlcg/Tex2+ (more )
Structure Level Pattern Image Note
TS20: embryo Present JAX_1314455

Specimen JAX_1314456: embryonic day 12.5; Tex2tm1.1(KOMP)Vlcg/Tex2+ (more )
Structure Level Pattern Image Note
TS20: embryo Present JAX_1314456

Specimen JAX_1314457: embryonic day 12.5; Tex2tm1.1(KOMP)Vlcg/Tex2+ (more )
Structure Level Pattern Image Note
TS20: embryo Present JAX_1314457

Specimen JAX_1314458: embryonic day 12.5; Tex2tm1.1(KOMP)Vlcg/Tex2+ (more )
Structure Level Pattern Image Note
TS20: embryo Present JAX_1314458

Specimen JAX_1633036: postnatal adult; Tex2tm1.1(KOMP)Vlcg/Tex2+ (more )
Structure Level Pattern Image Note
TS28: uterus Present JAX_1633036

Specimen JAX_1633037: postnatal adult; Tex2tm1.1(KOMP)Vlcg/Tex2+ (more )
Structure Level Pattern Image Note
TS28: oviduct Present JAX_1633037

Specimen JAX_1633038: postnatal adult; Tex2tm1.1(KOMP)Vlcg/Tex2+ (more )
Structure Level Pattern Image Note
TS28: ovary Present JAX_1633038

Specimen JAX_1633039: postnatal adult; Tex2tm1.1(KOMP)Vlcg/Tex2+ (more )
Structure Level Pattern Image Note
TS28: mammary gland Present JAX_1633039

Specimen JAX_1633040: postnatal adult; Tex2tm1.1(KOMP)Vlcg/Tex2+ (more )
Structure Level Pattern Image Note
TS28: thalamus Present JAX_1633040

Specimen JAX_1633041: postnatal adult; Tex2tm1.1(KOMP)Vlcg/Tex2+ (more )
Structure Level Pattern Image Note
TS28: midbrain Present JAX_1633041

Specimen JAX_1633042: postnatal adult; Tex2tm1.1(KOMP)Vlcg/Tex2+ (more )
Structure Level Pattern Image Note
TS28: vascular system Present JAX_1633042

Specimen JAX_1633043: postnatal adult; Tex2tm1.1(KOMP)Vlcg/Tex2+ (more )
Structure Level Pattern Image Note
TS28: epididymis Present JAX_1633043

Specimen JAX_1633044: postnatal adult; Tex2tm1.1(KOMP)Vlcg/Tex2+ (more )
Structure Level Pattern Image Note
TS28: submandibular gland Present JAX_1633044

Specimen JAX_1633045: postnatal adult; Tex2tm1.1(KOMP)Vlcg/Tex2+ (more )
Structure Level Pattern Image Note
TS28: brown fat Present JAX_1633045

Specimen JAX_1633046: postnatal adult; Tex2tm1.1(KOMP)Vlcg/Tex2+ (more )
Structure Level Pattern Image Note
TS28: bone marrow Present JAX_1633046

Specimen JAX_1633047: postnatal adult; Tex2tm1.1(KOMP)Vlcg/Tex2+ (more )
Structure Level Pattern Image Note
TS28: bone Present JAX_1633047

Specimen JAX_1633048: postnatal adult; Tex2tm1.1(KOMP)Vlcg/Tex2+ (more )
Structure Level Pattern Image Note
TS28: bladder Present JAX_1633048

Specimen JAX_1633049: postnatal adult; Tex2tm1.1(KOMP)Vlcg/Tex2+ (more )
Structure Level Pattern Image Note
TS28: corpus striatum Present JAX_1633049

Specimen JAX_1633050: postnatal adult; Tex2tm1.1(KOMP)Vlcg/Tex2+ (more )
Structure Level Pattern Image Note
TS28: Peyer's patch Present JAX_1633050

Specimen JAX_1633051: postnatal adult; Tex2tm1.1(KOMP)Vlcg/Tex2+ (more )
Structure Level Pattern Image Note
TS28: peripheral nervous system Present JAX_1633051

Specimen JAX_1633052: postnatal adult; Tex2tm1.1(KOMP)Vlcg/Tex2+ (more )
Structure Level Pattern Image Note
TS28: olfactory lobe Present JAX_1633052

Specimen JAX_1633053: postnatal adult; Tex2tm1.1(KOMP)Vlcg/Tex2+ (more )
Structure Level Pattern Image Note
TS28: hypothalamus Present JAX_1633053

Specimen JAX_1633054: postnatal adult; Tex2tm1.1(KOMP)Vlcg/Tex2+ (more )
Structure Level Pattern Image Note
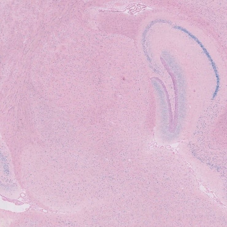
TS28: hippocampus Present JAX_1633054

Specimen JAX_1633055: postnatal adult; Tex2tm1.1(KOMP)Vlcg/Tex2+ (more )
Structure Level Pattern Image Note
TS28: cerebellum Present JAX_1633055

Specimen JAX_1633056: postnatal adult; Tex2tm1.1(KOMP)Vlcg/Tex2+ (more )
Structure Level Pattern Image Note
TS28: cerebral cortex Present JAX_1633056

Specimen JAX_1633057: postnatal adult; Tex2tm1.1(KOMP)Vlcg/Tex2+ (more )
Structure Level Pattern Image Note
TS28: cartilage Present JAX_1633057

Specimen JAX_1633058: postnatal adult; Tex2tm1.1(KOMP)Vlcg/Tex2+ (more )
Structure Level Pattern Image Note
TS28: brainstem Present JAX_1633058

Specimen JAX_1633059: postnatal adult; Tex2tm1.1(KOMP)Vlcg/Tex2+ (more )
Structure Level Pattern Image Note
TS28: spleen Present JAX_1633059

Specimen JAX_1633060: postnatal adult; Tex2tm1.1(KOMP)Vlcg/Tex2+ (more )
Structure Level Pattern Image Note
TS28: pancreas Present JAX_1633060

Specimen JAX_1633061: postnatal adult; Tex2tm1.1(KOMP)Vlcg/Tex2+ (more )
Structure Level Pattern Image Note
TS28: aorta Present JAX_1633061

Specimen JAX_1633062: postnatal adult; Tex2tm1.1(KOMP)Vlcg/Tex2+ (more )
Structure Level Pattern Image Note
TS28: lung Present JAX_1633062

Specimen JAX_1633063: postnatal adult; Tex2tm1.1(KOMP)Vlcg/Tex2+ (more )
Structure Level Pattern Image Note
TS28: white fat Present JAX_1633063

Specimen JAX_1633064: postnatal adult; Tex2tm1.1(KOMP)Vlcg/Tex2+ (more )
Structure Level Pattern Image Note
TS28: small intestine Present JAX_1633064

Specimen JAX_1633065: postnatal adult; Tex2tm1.1(KOMP)Vlcg/Tex2+ (more )
Structure Level Pattern Image Note
TS28: skeletal muscle tissue Present JAX_1633065

Specimen JAX_1633066: postnatal adult; Tex2tm1.1(KOMP)Vlcg/Tex2+ (more )
Structure Level Pattern Image Note
TS28: pituitary gland Present JAX_1633066

Specimen JAX_1633067: postnatal adult; Tex2tm1.1(KOMP)Vlcg/Tex2+ (more )
Structure Level Pattern Image Note
TS28: thyroid gland Present JAX_1633067

Specimen JAX_1633068: postnatal adult; Tex2tm1.1(KOMP)Vlcg/Tex2+ (more )
Structure Level Pattern Image Note
TS28: spinal cord Present JAX_1633068

Specimen JAX_1633069: postnatal adult; Tex2tm1.1(KOMP)Vlcg/Tex2+ (more )
Structure Level Pattern Image Note
TS28: esophagus Present JAX_1633069

Specimen JAX_1633070: postnatal adult; Tex2tm1.1(KOMP)Vlcg/Tex2+ (more )
Structure Level Pattern Image Note
TS28: large intestine Present JAX_1633070

Specimen JAX_1633071: postnatal adult; Tex2tm1.1(KOMP)Vlcg/Tex2+ (more )
Structure Level Pattern Image Note
TS28: trachea Present JAX_1633071

Specimen JAX_1633072: postnatal adult; Tex2tm1.1(KOMP)Vlcg/Tex2+ (more )
Structure Level Pattern Image Note
TS28: thymus Present JAX_1633072

Specimen JAX_1633073: postnatal adult; Tex2tm1.1(KOMP)Vlcg/Tex2+ (more )
Structure Level Pattern Image Note
TS28: testis Present JAX_1633073

Specimen JAX_1633074: postnatal adult; Tex2tm1.1(KOMP)Vlcg/Tex2+ (more )
Structure Level Pattern Image Note
TS28: stomach Present JAX_1633074

Specimen JAX_1633075: postnatal adult; Tex2tm1.1(KOMP)Vlcg/Tex2+ (more )
Structure Level Pattern Image Note
TS28: skin Present JAX_1633075

Specimen JAX_1633076: postnatal adult; Tex2tm1.1(KOMP)Vlcg/Tex2+ (more )
Structure Level Pattern Image Note
TS28: liver Present JAX_1633076

Specimen JAX_1633077: postnatal adult; Tex2tm1.1(KOMP)Vlcg/Tex2+ (more )
Structure Level Pattern Image Note
TS28: metanephros Present JAX_1633077 kidney

Specimen JAX_1633078: postnatal adult; Tex2tm1.1(KOMP)Vlcg/Tex2+ (more )
Structure Level Pattern Image Note
TS28: heart Present JAX_1633078

Specimen JAX_1633079: postnatal adult; Tex2tm1.1(KOMP)Vlcg/Tex2+ (more )
Structure Level Pattern Image Note
TS28: eye Present JAX_1633079

Specimen JAX_1633080: postnatal adult; Tex2tm1.1(KOMP)Vlcg/Tex2+ (more )
Structure Level Pattern Image Note
TS28: brain Present JAX_1633080

Specimen JAX_1633081: postnatal adult; Tex2tm1.1(KOMP)Vlcg/Tex2+ (more )
Structure Level Pattern Image Note
TS28: adrenal gland Present JAX_1633081


Contributing Projects:
Mouse Genome Database (MGD), Gene Expression Database (GXD), Mouse Models of Human Cancer database (MMHCdb) (formerly Mouse Tumor Biology (MTB)), Gene Ontology (GO)
Citing These Resources
Funding Information
Warranty Disclaimer, Privacy Notice, Licensing, & Copyright
Send questions and comments to User Support.
last database update
12/09/2025
MGI 6.24
The Jackson Laboratory