About   Help   FAQ
Gene Expression Data
Assay Details
Assay
Reference: J:46518 Besset V, et al., The identification and characterization of expression of Pftaire-1, a novel Cdk family member, suggest its function in the mouse testis and nervous system. Mol Reprod Dev. 1998 May;50(1):18-29
Assay type: Northern blot
MGI Accession ID: MGI:6437898
Gene symbol: Cdk14
Gene name: cyclin dependent kinase 14
Probe: Pftaire-1 cDNA4
Probe preparation: Antisense labelled with P32
Visualized with: Autoradiography
Results
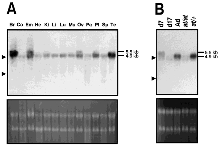
Image: 3A ©

 Sample Information Bands Other Sample Information
Lane AgeStructure 5.5 kb 4.9 kb Amount Genetic BackgroundMutant Allele(s)Sex
Br P adult TS28: brain Present Strong 10 µg; total RNA Swiss Webster Not Specified
Co P adult TS28: colon Absent Weak 10 µg; total RNA Swiss Webster Not Specified
Em E12.5 TS20: embryo Present Strong 10 µg; total RNA Swiss Webster Not Specified
He P adult TS28: heart Absent Weak 10 µg; total RNA Swiss Webster Not Specified
Ki P adult TS28: metanephros Absent Weak 10 µg; total RNA Swiss Webster Not Specified
Li P adult TS28: liver Absent Weak 10 µg; total RNA Swiss Webster Not Specified
Lu P adult TS28: lung Absent Weak 10 µg; total RNA Swiss Webster Not Specified
Mu P adult TS28: muscle tissue Absent Weak 10 µg; total RNA Swiss Webster Not Specified
Ov P adult TS28: ovary Present Weak 10 µg; total RNA Swiss Webster Female
Pa P adult TS28: pancreas Absent Weak 10 µg; total RNA Swiss Webster Not Specified
Pl P adult TS28: placenta Absent Weak 10 µg; total RNA Swiss Webster Not Specified
Sp P adult TS28: spleen Absent Weak 10 µg; total RNA Swiss Webster Not Specified
Te P adult TS28: testis Absent Strong 10 µg; total RNA Swiss Webster Male

Contributing Projects:
Mouse Genome Database (MGD), Gene Expression Database (GXD), Mouse Models of Human Cancer database (MMHCdb) (formerly Mouse Tumor Biology (MTB)), Gene Ontology (GO)
Citing These Resources
Funding Information
Warranty Disclaimer, Privacy Notice, Licensing, & Copyright
Send questions and comments to User Support.
last database update
10/07/2025
MGI 6.24
The Jackson Laboratory