About   Help   FAQ
Gene Expression Data
Assay Details
Assay
Reference: J:157956 Gordon J, et al., Evidence for an early role for BMP4 signaling in thymus and parathyroid morphogenesis. Dev Biol. 2010 Mar 1;339(1):141-54
Assay type: RNA in situ
MGI Accession ID: MGI:6429921
Gene symbol: Gcm2
Gene name: glial cells missing homolog 2
Results
Specimen 2I: embryonic day 10.5 (more )
Structure Level Pattern Image Note
TS17: 3rd branchial pouch Present Regionally restricted 2I Expression in anterior, dorsal domain.

Specimen 2J: embryonic day 10.5; Bmp4tm1Blh/Bmp4tm4Blh, Foxg1tm1(cre)Skm/Foxg1+ (more )
Note: Conditional mutant.
Structure Level Pattern Image Note
TS17: 3rd branchial pouch Present Regionally restricted 2J Authors report normal expression.

Specimen 2O: embryonic day 11.5 (more )
Structure Level Pattern Image Note
TS19: thymus/parathyroid primordium Present 2O

Specimen 2P: embryonic day 11.5; Bmp4tm1Blh/Bmp4tm4Blh, Foxg1tm1(cre)Skm/Foxg1+ (more )
Note: Conditional mutant.
Structure Level Pattern Image Note
TS19: thymus/parathyroid primordium Present 2P Authors report normal expression.

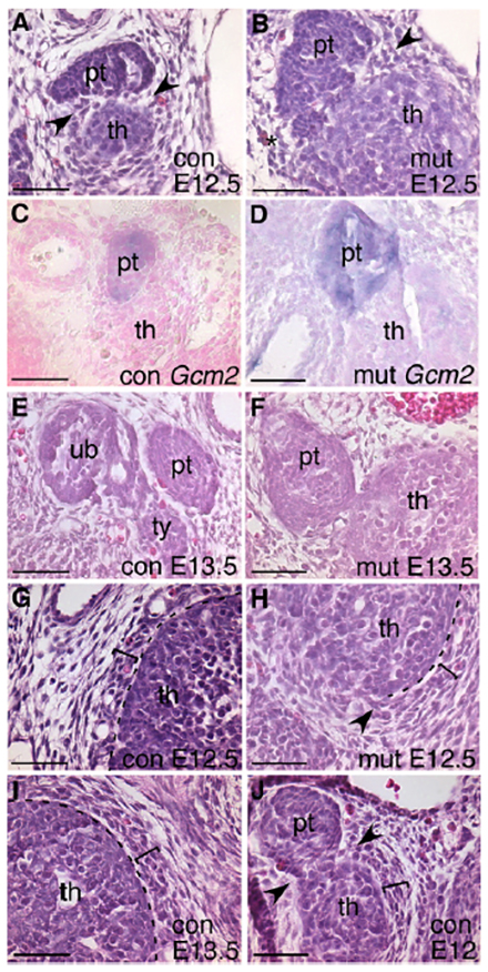
Specimen 8C: embryonic day 12.5 (more )
Structure Level Pattern Image Note
TS20: parathyroid primordium Present 8C Parathyroid primordium separate from thymus.

Specimen 8D: embryonic day 12.5; Bmp4tm1Blh/Bmp4tm4Blh, Foxg1tm1(cre)Skm/Foxg1+ (more )
Note: Conditional mutant.
Structure Level Pattern Image Note
TS20: parathyroid primordium Present Clusters 8D Expression in tight cluster of cells attached to anterior region of thymus.


Contributing Projects:
Mouse Genome Database (MGD), Gene Expression Database (GXD), Mouse Models of Human Cancer database (MMHCdb) (formerly Mouse Tumor Biology (MTB)), Gene Ontology (GO)
Citing These Resources
Funding Information
Warranty Disclaimer, Privacy Notice, Licensing, & Copyright
Send questions and comments to User Support.
last database update
03/24/2026
MGI 6.24
The Jackson Laboratory