About   Help   FAQ
Gene Expression Data
Assay Details
Assay
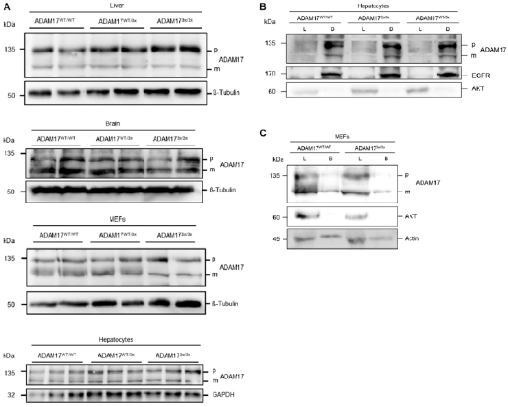
Reference: J:284798 Veit M, et al., Mutagenesis of the ADAM17-phosphatidylserine-binding motif leads to embryonic lethality in mice. Life Sci Alliance. 2019 Oct;2(5)
Assay type: Western blot
MGI Accession ID: MGI:6393860
Gene symbol: Adam17
Gene name: a disintegrin and metallopeptidase domain 17
Antibody: anti-Adam17
Detection system: horseradish peroxidase
Results
 Sample Information Bands Other Sample Information
Lane AgeStructure Size Not Specified (b) Genetic BackgroundMutant Allele(s)Sex
WT/WT E14.0 (a) TS22: brain Present involves: C57BL/6NTac Not Specified
WT/WT E14.0 (a) TS22: brain Present involves: C57BL/6NTac Not Specified
WT/3x E14.0 (a) TS22: brain Present involves: C57BL/6NTac Adam17em1Krss/Adam17+Not Specified
WT/3x E14.0 (a) TS22: brain Present involves: C57BL/6NTac Adam17em1Krss/Adam17+Not Specified
3x/3x E14.0 (a) TS22: brain Present involves: C57BL/6NTac Adam17em1Krss/Adam17em1KrssNot Specified
3x/3x E14.0 (a) TS22: brain Present involves: C57BL/6NTac Adam17em1Krss/Adam17em1KrssNot Specified
Notes:
(a) Age of embryo at noon of plug day not specified in reference.
(b) Authors report comparable expression of both pro- and mature forms in liver and brains of wild type and mutant embryos.

Contributing Projects:
Mouse Genome Database (MGD), Gene Expression Database (GXD), Mouse Models of Human Cancer database (MMHCdb) (formerly Mouse Tumor Biology (MTB)), Gene Ontology (GO)
Citing These Resources
Funding Information
Warranty Disclaimer, Privacy Notice, Licensing, & Copyright
Send questions and comments to User Support.
last database update
12/30/2025
MGI 6.24
The Jackson Laboratory