About   Help   FAQ
Gene Expression Data
Assay Details
Assay
Reference: J:103587 Oxburgh L, et al., BMP4 substitutes for loss of BMP7 during kidney development. Dev Biol. 2005 Oct 15;286(2):637-46
Assay type: In situ reporter (knock in)
MGI Accession ID: MGI:6386721
Gene symbol: Bmp7
Gene name: bone morphogenetic protein 7
Reporter: lacZ
Direct Detection
Assay notes: The fixative was 0.5% glutaraldehyde, 1% paraformaldehyde.
Results
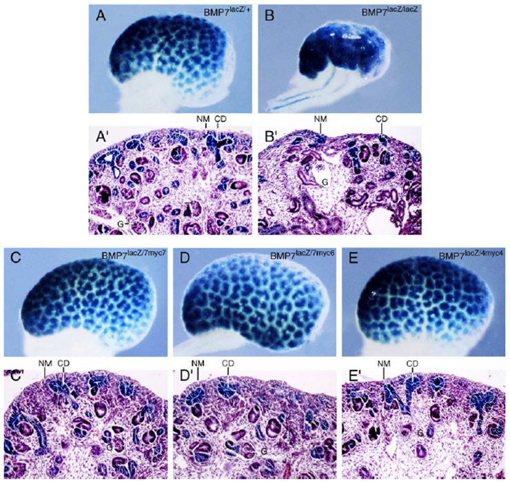
Specimen 4A: embryonic day 14.5; Bmp7tm2Rob/Bmp7+ (more )
Structure Level Pattern Image Note
TS22: mesenchyme of metanephros Present Regionally restricted 4A Expression is in the nephrogenic mesenchyme.
TS22: collecting duct Present 4A
TS22: cortical early distal tubule Present 4A
TS22: early nephron Present 4A
TS22: Bowman's capsule of maturing renal corpuscle Present Regionally restricted 4A Expression is in podocytes.

Specimen 4A': embryonic day 14.5; Bmp7tm2Rob/Bmp7+ (more )
Structure Level Pattern Image Note
TS22: mesenchyme of metanephros Present Regionally restricted 4A' Expression is in the nephrogenic mesenchyme.
TS22: collecting duct Present 4A'
TS22: cortical early distal tubule Present 4A'
TS22: early nephron Present 4A'
TS22: Bowman's capsule of maturing renal corpuscle Present Regionally restricted 4A' Expression is in podocytes.

Specimen 4B: embryonic day 14.5; Bmp7tm2Rob/Bmp7tm2Rob (more )
Structure Level Pattern Image Note
TS22: metanephros Present 4B Expression is in the abnormally developed deformed kidney.

Specimen 4B': embryonic day 14.5; Bmp7tm2Rob/Bmp7tm2Rob (more )
Structure Level Pattern Image Note
TS22: metanephros Present 4B' Expression is in the abnormally developed deformed kidney.


Contributing Projects:
Mouse Genome Database (MGD), Gene Expression Database (GXD), Mouse Models of Human Cancer database (MMHCdb) (formerly Mouse Tumor Biology (MTB)), Gene Ontology (GO)
Citing These Resources
Funding Information
Warranty Disclaimer, Privacy Notice, Licensing, & Copyright
Send questions and comments to User Support.
last database update
01/20/2026
MGI 6.24
The Jackson Laboratory