About   Help   FAQ
Gene Expression Data
Assay Details
Assay
Reference: J:281432 Alharatani R, et al., Expression of the guanine nucleotide exchange factor, RAPGEF5, during mouse and human embryogenesis. Gene Expr Patterns. 2019 Jun 1;34:119057
Assay type: RNA in situ
MGI Accession ID: MGI:6385309
Gene symbol: Rapgef5
Gene name: Rap guanine nucleotide exchange factor (GEF) 5
Probe: 6494175
Probe preparation: Antisense labelled with digoxigenin RNA
Results
Specimen 2A Lateral: embryonic day 9.5 (more )
Structure Level Pattern Image Note
TS15: bulbus cordis Strong 2A Lateral magnified , 2A Lateral
TS15: future forebrain Strong 2A Lateral magnified , 2A Lateral
TS15: future hindbrain Strong 2A Lateral magnified , 2A Lateral
TS15: future midbrain Strong 2A Lateral magnified , 2A Lateral
TS15: midbrain-hindbrain junction Strong 2A Lateral magnified , 2A Lateral
TS15: 1st branchial arch mandibular component Present 2A Lateral magnified , 2A Lateral
TS15: fronto-nasal process Present 2A Lateral magnified , 2A Lateral
TS15: trigeminal preganglion Present 2A Lateral magnified , 2A Lateral
TS15: 1st branchial arch maxillary component Present Regionally restricted 2A Lateral , 2A Lateral magnified
TS15: forelimb bud Present 2A Lateral
TS15: dorsal aorta Strong 2A Lateral
TS15: nose Present Regionally restricted 2A Lateral , 2A Lateral magnified Expression is in the nasal pit.
TS15: otocyst Weak Regionally restricted 2A Lateral magnified , 2A Lateral Expression is in the rostral domain.
TS15: 2nd branchial arch Present Regionally restricted 2A Lateral , 2A Lateral magnified Expression is in the proximal regions.
TS15: 3rd branchial arch Present Regionally restricted 2A Lateral , 2A Lateral magnified Expression is in the proximal regions.
TS15: somite Weak 2A Lateral
TS15: optic cup Weak 2A Lateral , 2A Lateral magnified
TS15: aortic sac Absent 2A Lateral magnified , 2A Lateral

Specimen 2A Frontal: embryonic day 9.5 (more )
Structure Level Pattern Image Note
TS15: future forebrain Strong 2A Frontal
TS15: future hindbrain Strong 2A Frontal
TS15: future midbrain Strong 2A Frontal
TS15: midbrain-hindbrain junction Strong 2A Frontal
TS15: forelimb bud Present 2A Frontal
TS15: fronto-nasal process Present 2A Frontal
TS15: heart Present 2A Frontal

Specimen 2A Dorsal: embryonic day 9.5 (more )
Structure Level Pattern Image Note
TS15: future forebrain Strong 2A Dorsal
TS15: future hindbrain Strong 2A Dorsal
TS15: future midbrain Strong 2A Dorsal
TS15: midbrain-hindbrain junction Strong 2A Dorsal
TS15: forelimb bud Present 2A Dorsal

Specimen 2B Lateral: embryonic day 10.5 (more )
Structure Level Pattern Image Note
TS17: aortic sac Strong 2B Lateral , 2B Lateral magnified
TS17: forebrain Strong 2B Lateral , 2B Lateral magnified
TS17: heart Strong 2B Lateral , 2B Lateral magnified
TS17: hindbrain Strong 2B Lateral , 2B Lateral magnified
TS17: midbrain Strong 2B Lateral , 2B Lateral magnified
TS17: neural tube Strong 2B Lateral , 2B Lateral magnified
TS17: fronto-nasal process Present 2B Lateral magnified , 2B Lateral
TS17: latero-nasal process Present 2B Lateral magnified , 2B Lateral
TS17: nasal pit Present 2B Lateral magnified , 2B Lateral
TS17: trigeminal ganglion Present 2B Lateral magnified , 2B Lateral
TS17: 1st branchial arch Present Regionally restricted 2B Lateral , 2B Lateral magnified Expression is in the proximal regions.
TS17: 2nd branchial arch Present Regionally restricted 2B Lateral , 2B Lateral magnified Expression is in the proximal regions.
TS17: 3rd branchial arch Present Regionally restricted 2B Lateral , 2B Lateral magnified Expression is in the proximal regions.
TS17: 4th branchial arch Present Regionally restricted 2B Lateral , 2B Lateral magnified Expression is in the proximal regions.
TS17: dorsal aorta Present 2B Lateral
TS17: forelimb bud Present 2B Lateral
TS17: midbrain-hindbrain junction Present 2B Lateral
TS17: otocyst Present Regionally restricted 2B Lateral , 2B Lateral magnified Expression is in the rostral domain.

Specimen 2B Frontal: embryonic day 10.5 (more )
Structure Level Pattern Image Note
TS17: forebrain Present 2B Frontal
TS17: heart Present 2B Frontal
TS17: midbrain Present 2B Frontal
TS17: midbrain-hindbrain junction Present 2B Frontal
TS17: neural tube Present 2B Frontal

Specimen 2B Dorsal: embryonic day 10.5 (more )
Structure Level Pattern Image Note
TS17: forelimb bud Present 2B Dorsal
TS17: midbrain Present 2B Dorsal
TS17: neural tube Present 2B Dorsal

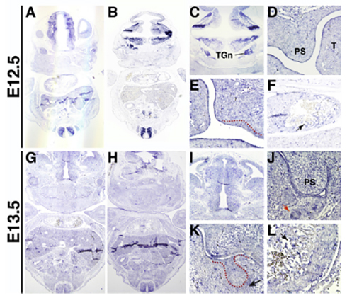
Specimen 3A: embryonic day 12.5 (more )
Structure Level Pattern Image Note
TS20: diencephalon Strong 3A
TS20: brain Present 3A
TS20: facial ganglion Present 3A

Specimen 3B: embryonic day 12.5 (more )
Structure Level Pattern Image Note
TS20: diencephalon Strong 3B
TS20: trigeminal ganglion Strong 3B
TS20: brain Present 3B
TS20: facial ganglion Present 3B

Specimen 3C: embryonic day 12.5 (more )
Structure Level Pattern Image Note
TS20: diencephalon Strong 3C
TS20: trigeminal ganglion Strong 3C
TS20: brain Present 3C
TS20: facial ganglion Present 3C

Specimen 3D: embryonic day 12.5 (more )
Structure Level Pattern Image Note
TS20: oral epithelium Present 3D
TS20: palatal shelf epithelium Present 3D
TS20: tongue epithelium Present 3D

Specimen 3E: embryonic day 12.5 (more )
Structure Level Pattern Image Note
TS20: oral epithelium Present 3E
TS20: dental placode Present Regionally restricted 3E Expression is in the early dental lamina of the upper jaw.
TS20: tooth bud Present Regionally restricted 3E Expression is in the early dental lamina of the upper jaw.

Specimen 3F: embryonic day 12.5 (more )
Structure Level Pattern Image Note
TS20: ventricle cardiac muscle Present 3F
TS20: ventricle endocardial lining Present 3F

Specimen 3G: embryonic day 13.5 (more )
Structure Level Pattern Image Note
TS21: brain Strong 3G

Specimen 3H: embryonic day 13.5 (more )
Structure Level Pattern Image Note
TS21: brain Strong 3H

Specimen 3I: embryonic day 13.5 (more )
Structure Level Pattern Image Note
TS21: brain Strong 3I
TS21: trigeminal ganglion Strong 3I

Specimen 3J: embryonic day 13.5 (more )
Structure Level Pattern Image Note
TS21: oral epithelium Present 3J
TS21: palatal shelf epithelium Present 3J
TS21: salivary gland epithelium Present 3J
TS21: tongue epithelium Present 3J

Specimen 3K: embryonic day 13.5 (more )
Structure Level Pattern Image Note
TS21: dental lamina Present 3K
TS21: tooth bud Present 3K
TS21: tooth mesenchyme Present Regionally restricted 3K Expression is in the ectomesenchymal dental papilla.

Specimen 3L: embryonic day 13.5 (more )
Structure Level Pattern Image Note
TS21: ventricle cardiac muscle Present 3L
TS21: ventricle endocardial lining Present 3L

Specimen 4A: embryonic day 14.5 (more )
Structure Level Pattern Image Note
TS22: brain Present 4A
TS22: cerebral cortex Present 4A
TS22: diencephalon Present 4A
TS22: trigeminal ganglion Present 4A

Specimen 4B: embryonic day 14.5 (more )
Structure Level Pattern Image Note
TS22: brain Present 4B
TS22: cerebral cortex Present 4B
TS22: diencephalon Present 4B
TS22: trigeminal ganglion Present 4B

Specimen 4C: embryonic day 14.5 (more )
Structure Level Pattern Image Note
TS22: brain Present 4C
TS22: cerebral cortex Present 4C
TS22: diencephalon Present 4C

Specimen 4D: embryonic day 14.5 (more )
Structure Level Pattern Image Note
TS22: palatal shelf epithelium Present Regionally restricted 4D Expression is in the medial edge epithelium.
TS22: tongue epithelium Present 4D
TS22: oral epithelium Present Regionally restricted 4D Expression is in the floor of the oral cavity.

Specimen 4E: embryonic day 14.5 (more )
Structure Level Pattern Image Note
TS22: trigeminal ganglion Present 4E

Specimen 4F: embryonic day 14.5 (more )
Note: Early cap stage of tooth development.
Structure Level Pattern Image Note
TS22: cap stage tooth Present Diffuse 4F
TS22: dental lamina Present Diffuse 4F
TS22: dental papilla Present Diffuse 4F
TS22: tooth epithelium Present Diffuse 4F

Specimen 4G: embryonic day 14.5 (more )
Structure Level Pattern Image Note
TS22: salivary gland epithelium Present Regionally restricted 4G Expression is in the branching epithelium.

Specimen 4H: embryonic day 14.5 (more )
Structure Level Pattern Image Note
TS22: endocardial lining Strong 4H
TS22: atrium cardiac muscle Present 4H
TS22: interventricular septum muscular part Present 4H
TS22: ventricle cardiac muscle Present 4H

Specimen 4I: embryonic day 15.5 (more )
Structure Level Pattern Image Note
TS23: cerebral cortex Strong 4I
TS23: diencephalon Strong 4I
TS23: brain Present 4I

Specimen 4J: embryonic day 15.5 (more )
Structure Level Pattern Image Note
TS23: cerebral cortex Strong 4J
TS23: diencephalon Strong 4J
TS23: brain Present 4J

Specimen 4K: embryonic day 15.5 (more )
Structure Level Pattern Image Note
TS23: cerebral cortex Strong 4K
TS23: diencephalon Strong 4K
TS23: brain Present 4K

Specimen 4L: embryonic day 15.5 (more )
Structure Level Pattern Image Note
TS23: tongue mesenchyme Present 4L
TS23: oral epithelium Present Regionally restricted 4L Expression is in the floor of the oral cavity.

Specimen 4M: embryonic day 15.5 (more )
Structure Level Pattern Image Note
TS23: lower jaw incisor Strong 4M

Specimen 4N: embryonic day 15.5 (more )
Note: Late cap stage of tooth development.
Structure Level Pattern Image Note
TS23: cap stage tooth Present Diffuse 4N
TS23: dental lamina Present Diffuse 4N
TS23: dental papilla Present Diffuse 4N
TS23: tooth epithelium Present Diffuse 4N

Specimen 4O: embryonic day 15.5 (more )
Structure Level Pattern Image Note
TS23: salivary gland Present Regionally restricted 4O Expression is in the basal cytoplasm and secretory vesicles of the serous acini and in the interlobular excretory ducts.

Specimen 4P: embryonic day 15.5 (more )
Structure Level Pattern Image Note
TS23: endocardial lining Strong 4P
TS23: atrium cardiac muscle Present 4P
TS23: interventricular septum muscular part Present 4P
TS23: ventricle cardiac muscle Present 4P

Specimen 4Q: embryonic day 16.5 (more )
Structure Level Pattern Image Note
TS24: main olfactory bulb Present Regionally restricted 4Q Expression is in cells lining the walls of the olfactory bulbs bilaterally.
TS24: tongue epithelium Present 4Q
TS24: oral epithelium Present Regionally restricted 4Q Expression is in the floor of the oral cavity.

Specimen 4R: embryonic day 16.5 (more )
Note: Bell stage of tooth development.
Structure Level Pattern Image Note
TS24: bell stage tooth Present 4R
TS24: dental lamina Present 4R
TS24: dental papilla Present 4R
TS24: enamel knot Present 4R
TS24: inner enamel epithelium Present 4R
TS24: outer enamel epithelium Present 4R

Specimen 4S: embryonic day 16.5 (more )
Structure Level Pattern Image Note
TS24: salivary gland Present Regionally restricted 4S Expression is in the basal cytoplasm and secretory vesicles of the serous acini and in the interlobular excretory ducts.

Specimen 5A: embryonic day 14.5 (more )
Structure Level Pattern Image Note
TS22: lens anterior epithelium Present 5A
TS22: neural retina Present 5A
TS22: cornea epithelium Present Regionally restricted 5A Expression is in the anterior and posterior corneal epithelium.

Specimen 5B: embryonic day 16.5 (more )
Structure Level Pattern Image Note
TS24: lens fiber Present Regionally restricted 5B Expression is in the medial primary fiber cells and proximal secondary fiber cells.
TS24: pigmented retinal epithelium Present 5B
TS24: retina inner nuclear layer Present 5B
TS24: retina outer nuclear layer Present 5B
TS24: neural retina Present Regionally restricted 5B Expression is in the inner plexiform layer.

Specimen 5C: embryonic day 13.5 (more )
Structure Level Pattern Image Note
TS21: adenohypophysis Present 5C
TS21: adenohypophysis pars intermedia Present 5C
TS21: neurohypophysis Present 5C

Specimen 5D: embryonic day 15.5 (more )
Structure Level Pattern Image Note
TS23: adenohypophysis Present 5D
TS23: adenohypophysis pars intermedia Present 5D
TS23: neurohypophysis Present 5D

Specimen 5E: embryonic day 15.5 (more )
Structure Level Pattern Image Note
TS23: facial muscle Present Regionally restricted 5E Expression is in the connective tissue of the lateral pterygoid muscle.

Specimen 5F: embryonic day 15.5 (more )
Structure Level Pattern Image Note
TS23: pericardium Present 5F

Specimen 5G: embryonic day 15.5 (more )
Structure Level Pattern Image Note
TS23: genioglossus Present 5G
TS23: hyoglossus Present 5G
TS23: mylohyoid Present 5G
TS23: tongue extrinsic muscle Present 5G
TS23: tongue intrinsic muscle Present 5G
TS23: pharynx skeletal muscle Present Regionally restricted 5G Expression is in the geniohyoid muscle.

Specimen 5H: embryonic day 16.5 (more )
Structure Level Pattern Image Note
TS24: genioglossus Present 5H
TS24: hyoglossus Present 5H
TS24: mylohyoid Present 5H
TS24: tongue extrinsic muscle Present 5H
TS24: tongue intrinsic muscle Present 5H
TS24: pharynx skeletal muscle Present Regionally restricted 5H Expression is in the geniohyoid muscle.

Specimen 5I: embryonic day 12.5 (more )
Structure Level Pattern Image Note
TS20: spinal cord mantle layer Present Regionally restricted 5I Expression is in the middle of the caudal neural tube.
TS20: dorsal root ganglion Present 5I
TS20: spinal cord marginal layer Absent 5I

Specimen 5J: embryonic day 13.5 (more )
Structure Level Pattern Image Note
TS21: dorsal root ganglion Present 5J
TS21: spinal cord mantle layer Present 5J
TS21: spinal cord ventricular layer Present 5J
TS21: spinal cord marginal layer Absent 5J

Specimen 5K: embryonic day 14.5 (more )
Structure Level Pattern Image Note
TS22: alar columns Present 5K
TS22: basal columns Present 5K
TS22: dorsal root ganglion Present 5K
TS22: spinal cord mantle layer Present 5K
TS22: spinal cord ventricular layer Present 5K
TS22: spinal cord marginal layer Absent 5K

Specimen 5L: embryonic day 15.5 (more )
Structure Level Pattern Image Note
TS23: alar columns Present Regionally restricted 5L Expression is in part of the middle mantle zone.
TS23: basal columns Present Regionally restricted 5L Expression is in part of the middle mantle zone.
TS23: spinal cord mantle layer Present Regionally restricted 5L Expression is in part of the middle mantle zone.
TS23: dorsal root ganglion Present 5L
TS23: spinal cord marginal layer Absent 5L

Specimen 5M: embryonic day 12.5 (more )
Structure Level Pattern Image Note
TS20: pretubular aggregate Present 5M , 5M'
TS20: mesenchyme of metanephros Present Regionally restricted 5M , 5M' Expression is in the condensing mesenchyme.
TS20: early nephron Present Regionally restricted 5M' , 5M Expression is in the metanephric glomerulus in the uretric bud.
TS20: sympathetic ganglion Strong Regionally restricted 5M Expression is in the preaortic abdominal sympathetic ganglia.

Specimen 5N: embryonic day 13.5 (more )
Structure Level Pattern Image Note
TS21: pretubular aggregate Present 5N' , 5N
TS21: mesenchyme of metanephros Present Regionally restricted 5N' , 5N Expression is in the condensing mesenchyme.
TS21: early nephron Present Regionally restricted 5N , 5N' Expression is in the metanephric glomerulus in the uretric bud.

Specimen 5O: embryonic day 14.5 (more )
Structure Level Pattern Image Note
TS22: pretubular aggregate Present 5O , 5O'
TS22: mesenchyme of metanephros Present Regionally restricted 5O , 5O' Expression is in the condensing mesenchyme.
TS22: maturing glomerular tuft Present Regionally restricted 5O , 5O' Expression is in the metanephric glomerulus in the uretric bud.
TS22: sympathetic ganglion Strong Regionally restricted 5O Expression is in the preaortic abdominal sympathetic ganglia.

Specimen 5P: embryonic day 15.5 (more )
Structure Level Pattern Image Note
TS23: pretubular aggregate Strong 5P , 5P'
TS23: mesenchyme of metanephros Strong Regionally restricted 5P , 5P' Expression is in the condensing mesenchyme.
TS23: maturing glomerular tuft Strong Regionally restricted 5P , 5P' Expression is in the metanephric glomerulus in the uretric bud.


Contributing Projects:
Mouse Genome Database (MGD), Gene Expression Database (GXD), Mouse Models of Human Cancer database (MMHCdb) (formerly Mouse Tumor Biology (MTB)), Gene Ontology (GO)
Citing These Resources
Funding Information
Warranty Disclaimer, Privacy Notice, Licensing, & Copyright
Send questions and comments to User Support.
last database update
09/30/2025
MGI 6.24
The Jackson Laboratory