About   Help   FAQ
Gene Expression Data
Assay Details
Assay
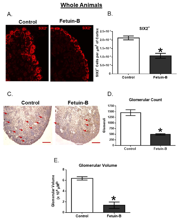
Reference: J:266599 Rabadi MM, et al., Maternal malnourishment induced upregulation of fetuin-B blunts nephrogenesis in the low birth weight neonate. Dev Biol. 2018 Nov 1;443(1):78-91
Assay type: Immunohistochemistry
MGI Accession ID: MGI:6276162
Gene symbol: Six2
Gene name: sine oculis-related homeobox 2
Antibody: anti-Six2 (11562-1-AP)
Detection system: Secondary antibody coupled to Alexa Fluor 594
Assay notes: Data was quantified in Fig 3B.
Results
Specimen 3A Control: embryonic day 17.0 (more )
Structure Level Pattern Image Note
TS25: renal cortex Present 3A left


Contributing Projects:
Mouse Genome Database (MGD), Gene Expression Database (GXD), Mouse Models of Human Cancer database (MMHCdb) (formerly Mouse Tumor Biology (MTB)), Gene Ontology (GO)
Citing These Resources
Funding Information
Warranty Disclaimer, Privacy Notice, Licensing, & Copyright
Send questions and comments to User Support.
last database update
12/30/2025
MGI 6.24
The Jackson Laboratory