About   Help   FAQ
Gene Expression Data
Assay Details
Assay
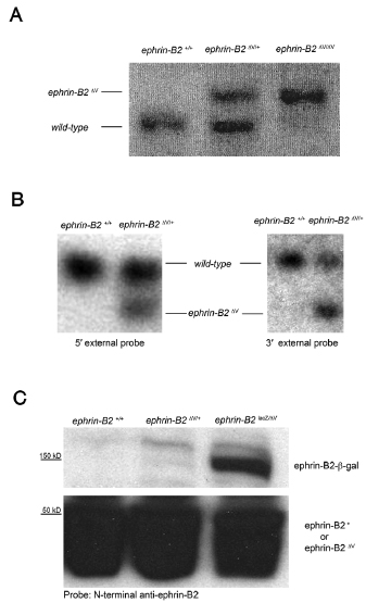
Reference: J:173636 Dravis C, et al., Ephrin-B reverse signaling controls septation events at the embryonic midline through separate tyrosine phosphorylation-independent signaling avenues. Dev Biol. 2011 Jul 1;355(1):138-51
Assay type: Western blot
MGI Accession ID: MGI:6275538
Gene symbol: Efnb2
Gene name: ephrin B2
Results
 Sample Information Bands Other Sample Information
Lane AgeStructure 50 kDa 45 kDa Genetic BackgroundMutant Allele(s)Sex
ephrin-B2 +/+ E12.5 TS20: embryo Present Ambiguous involves: 129 * CD-1 Not Specified
ephrin-B2 AV/+ E12.5 TS20: embryo Present Ambiguous involves: 129 * CD-1 Efnb2tm2.1Henk/Efnb2+Not Specified
ephrin-B2 lacZ/AV E12.5 TS20: embryo Present Present (a) involves: 129 * CD-1 Efnb2tm1Henk/Efnb2tm2.1HenkNot Specified
Notes:
(a) Authors report the presence of a 45 kD band.

Contributing Projects:
Mouse Genome Database (MGD), Gene Expression Database (GXD), Mouse Models of Human Cancer database (MMHCdb) (formerly Mouse Tumor Biology (MTB)), Gene Ontology (GO)
Citing These Resources
Funding Information
Warranty Disclaimer, Privacy Notice, Licensing, & Copyright
Send questions and comments to User Support.
last database update
12/30/2025
MGI 6.24
The Jackson Laboratory